Alopecia Areata of the Nails: Diagnosis and Management
Abstract
1. Introduction
2. Clinical Presentation
2.1. Nail Pitting
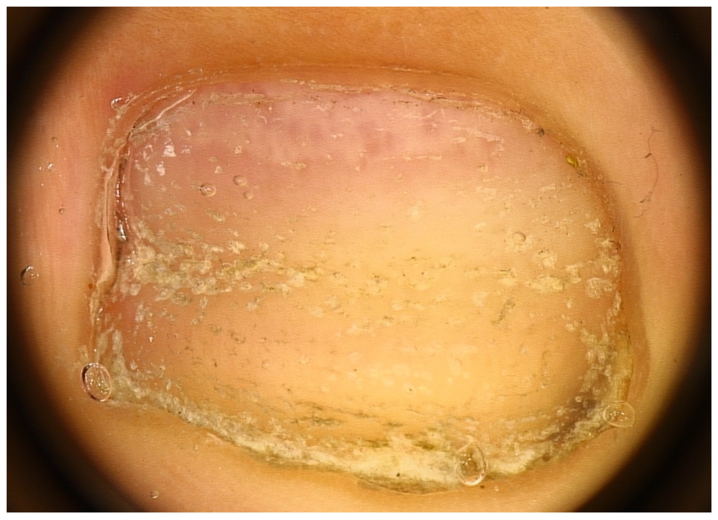
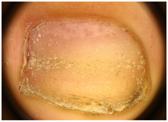
2.2. Trachyonychia
2.3. Leukonychia
2.4. Red Lunula
2.5. Miscellaneous Nail Changes
3. Diagnosis
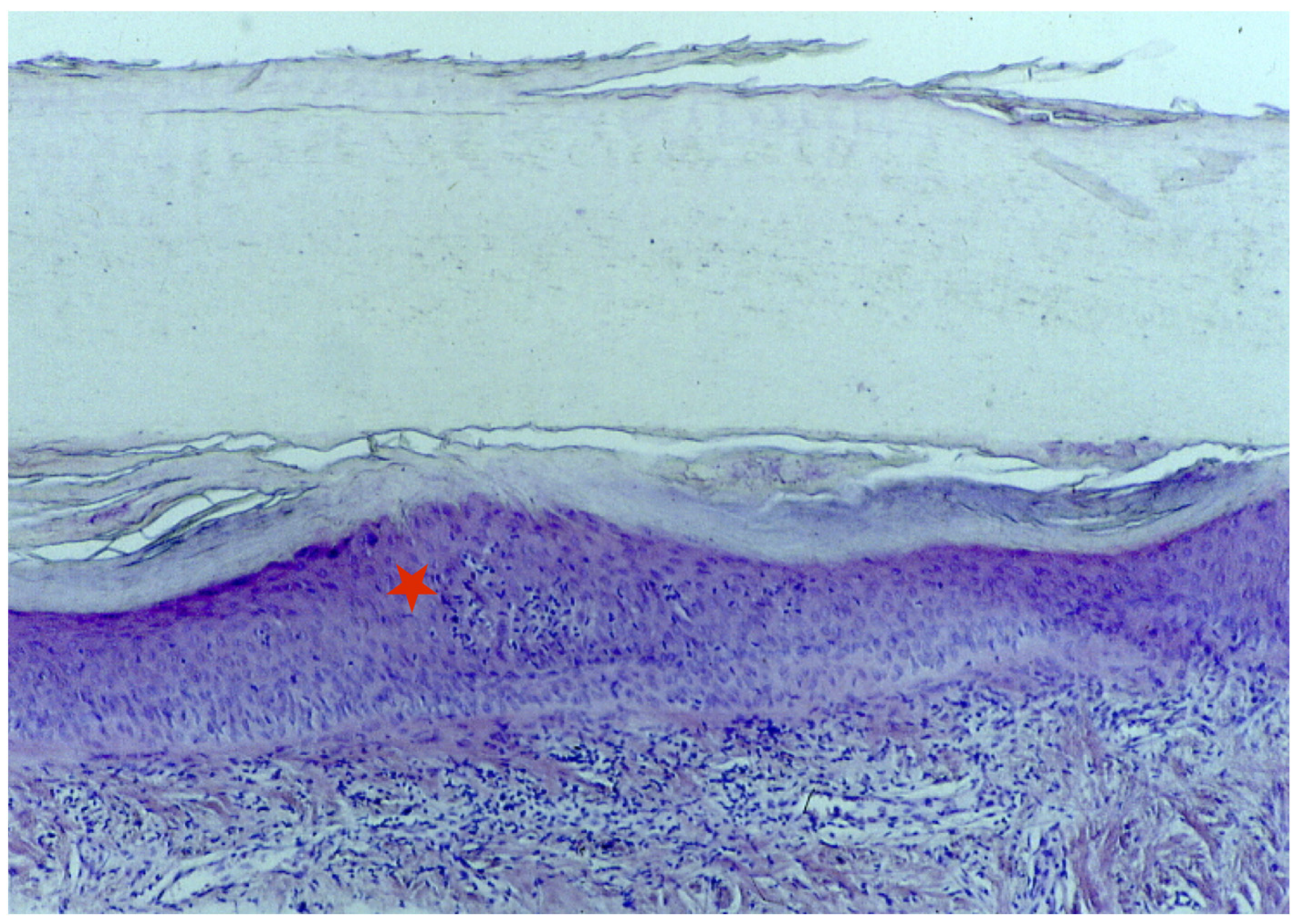
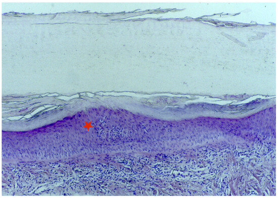
3.1. Biopsy
3.2. Clipping
3.3. Imaging
4. Management
4.1. No Treatment
4.2. Cosmetic Treatment
4.3. Topical Treatment
4.4. Intralesional Treatment
4.5. Systemic Treatment
5. Conclusions
Author Contributions
Funding
Conflicts of Interest
References
- Jeon, J.J.; Jung, S.W.; Kim, Y.H.; Parisi, R.; Lee, J.Y.; Kim, M.H.; Lee, W.S.; Lee, S. Global, Regional, and National Epidemiology of Alopecia Areata: A Systematic Review and Modelling Study. Br. J. Dermatol. 2024, ljae058. [Google Scholar] [CrossRef] [PubMed]
- Alkhalifah, A.; Alsantali, A.; Wang, E.; McElwee, K.J.; Shapiro, J. Alopecia areata update: Part I. Clinical picture, histopathology, and pathogenesis. J. Am. Acad. Dermatol. 2010, 62, 177–188. [Google Scholar] [CrossRef] [PubMed]
- Tosti, A.; Bellavista, S.; Iorizzo, M. Alopecia areata: A long term follow-up study of 191 patients. J. Am. Acad. Dermatol. 2006, 55, 438–441. [Google Scholar] [CrossRef] [PubMed]
- Cho, H.H.; Jo, S.J.; Paik, S.H.; Jeon, H.C.; Kim, K.H.; Eun, H.C.; Kwon, O.S. Clinical characteristics and prognostic factors in early-onset alopecia totalis and alopecia universalis. J. Korean Med. Sci. 2012, 27, 799–802. [Google Scholar] [CrossRef] [PubMed]
- Ito, T.; Meyer, K.C.; Ito, N.; Paus, R. Immune privilege and the skin. Curr. Dir. Autoimmun. 2008, 10, 27–52. [Google Scholar] [CrossRef] [PubMed]
- Tosti, A.; Fanti, P.A.; Morelli, R.; Bardazzi, F. Trachyonychia associated with alopecia areata: A clinical and pathological study. J. Am. Acad. Dermatol. 1991, 25, 266–270. [Google Scholar] [CrossRef] [PubMed]
- Sharma, V.K.; Dawn, G.; Muralidhar, S.; Kumar, B. Nail changes in 1000 Indian patients with alopecia areata. J. Eur. Acad. Dermatol. Venereol. 1998, 10, 189–191. [Google Scholar] [CrossRef]
- Kasumagic-Halilovic, E.; Prohic, A. Nail changes in alopecia areata: Frequency and clinical presentation. J. Eur. Acad. Dermatol. 2009, 23, 240–241. [Google Scholar] [CrossRef]
- Starace, M.; Alessandrini, A.; Bruni, F.; Piraccini, B.M. Trachyonychia: A retrospective study of 122 patients in a period of 30 years. J. Eur. Acad. Dermatol. Venereol. 2020, 34, 880–884. [Google Scholar] [CrossRef]
- Tosti, A.; Morelli, R.; Bardazzi, F.; Peluso, A.M. Prevalence of nail abnormalities in children with alopecia areata. Pediatr. Dermatol. 1994, 11, 112–115. [Google Scholar] [CrossRef]
- Lundin, M.; Chawa, S.; Sachdev, A.; Bhanusali, D.; Seiffert-Sinha, K.; Sinha, A.A. Gender differences in alopecia areata. J. Drugs Dermatol. 2014, 13, 409–413. [Google Scholar] [PubMed]
- Roest, Y.B.M.; van Middendorp, H.T.; Evers, A.W.M.; van de Kerkhof, P.C.M.; Pasch, M.C. Nail Involvement in Alopecia Areata: A Questionnaire-based Survey on Clinical Signs, Impact on Quality of Life and Review of the Literature. Acta Derm. Venereol. 2018, 98, 212–217. [Google Scholar] [CrossRef] [PubMed]
- Chelidze, K.; Lipner, S.R. Nail changes in alopecia areata: An update and review. Int. J. Dermatol. 2018, 57, 776–783. [Google Scholar] [CrossRef] [PubMed]
- Sharma, V.K.; Kumar, B.; Dawn, G. A clinical study of childhood alopecia areata in Chandigarh, India. Pediatr. Dermatol. 1996, 13, 372–377. [Google Scholar] [CrossRef] [PubMed]
- Gordon, P.M.; Aldrige, R.D.; McVittie, E.; Hunter, J.A. Topical diphencyprone for alopecia areata: Evaluation of 48 cases after 30 months’ follow-up. Br. J. Dermatol. 1996, 134, 869–871. [Google Scholar] [CrossRef] [PubMed]
- Tan, E.; Tay, Y.K.; Goh, C.L.; Chin Giam, Y. The pattern and profile of alopecia areata in Singapore—A study of 219 Asians. Int. J. Dermatol. 2002, 41, 748–753. [Google Scholar] [CrossRef] [PubMed]
- Gandhi, V.; Baruah, M.C.; Bhattacharaya, S.N. Nail changes in alopecia areata: Incidence and pattern. Indian J. Dermatol. Venereol. Leprol. 2003, 69, 114–115. [Google Scholar] [PubMed]
- Goh, C.; Finkel, M.; Christos, P.J.; Sinha, A.A. Profile of 513 patients with alopecia areata: Associations of disease subtypes with atopy, autoimmune disease and positive family history. J. Eur. Acad. Dermatol. Venereol. 2006, 20, 1055–1060. [Google Scholar] [CrossRef] [PubMed]
- Al-Mutairi, N.; Eldin, O.N. Clinical profile and impact on quality of life: Seven years experience with patients of alopecia areata. Indian J. Dermatol. Venereol. Leprol. 2011, 77, 489–493. [Google Scholar] [CrossRef]
- Ranawaka, R.R. An observational study of alopecia areata in Sri Lankan adult patients. Ceylon Med. J. 2014, 59, 128–131. [Google Scholar] [CrossRef]
- Lee, J.S.; Huh, C.H.; Kwon, O.; Yoon, H.S.; Cho, S.; Park, H.S. Nail involvement in patients with moderate-to-severe alopecia areata treated with oral tofacitinib. J. Dermatolog. Treat. 2018, 29, 819–822. [Google Scholar] [CrossRef]
- Shakoei, S.; Seifi, G.; Ghanami, F.; Ghandi, N.; Hamzelou, S.; Nasimi, M.; Etesami, I. Clinical and demographic characteristics associated with nail involvement in alopecia areata: A cross-sectional study of 197 patients. Health Sci. Rep. 2024, 7, e2020. [Google Scholar] [CrossRef]
- Dotz, W.I.; Lieber, C.D.; Vogt, P.J. Leukonychia punctata and pitted nails in alopecia areata. Arch. Dermatol. 1985, 121, 1452–1454. [Google Scholar] [CrossRef] [PubMed]
- Baran, R.; Dupré, A.; Christol, B.; Bonafé, J.L.; Sayag, J.; Ferrère, J. L’ongle grésé peladique [Vertical striated sand-papered twenty-nail dystrophy (author’s transl)]. Ann. Dermatol. Venereol. 1978, 105, 387–392. [Google Scholar]
- Jacobsen, A.A.; Tosti, A. Trachyonychia and Twenty-Nail Dystrophy: A Comprehensive Review and Discussion of Diagnostic Accuracy. Skin Appendage Disord. 2016, 2, 7–13. [Google Scholar] [CrossRef]
- Tosti, A.; Piraccini, B.M.; Iorizzo, M. Trachyonychia and related disorders: Evaluation and treatment plans. Dermatol. Therapy. 2002, 15, 121–125. [Google Scholar] [CrossRef]
- Tosti, A.; Bardazzi, F.; Piraccini, B.M.; Fanti, P.A.; Cameli, N.; Pileri, S. Is trachyonychia, a variety of alopecia areata, limited to the nails? J. Investig. Dermatol. 1995, 104 (Suppl. 5), 27S–28S. [Google Scholar] [CrossRef] [PubMed]
- Arias, A.M.; Yung, C.W.; Rendler, S.; Soltani, K.; Lorincz, A.L. Familial severe twenty-nail dystrophy. J. Am. Acad. Dermatol. 1982, 7, 349–352. [Google Scholar] [CrossRef] [PubMed]
- Commens, C.A. Twenty nail dystrophy in identical twins. Pediatr. Dermatol. 1988, 5, 117–119. [Google Scholar] [CrossRef]
- Taniguchi, S.; Kutsuna, H.; Tani, Y.; Kawahira, K.; Hamada, T. Twenty-nail dystrophy (trachyonychia) caused by lichen planus in a patient with alopecia universalis and ichthyosis vulgaris. J. Am. Acad. Dermatol. 1995, 33 Pt 2, 903–905. [Google Scholar] [CrossRef]
- Iorizzo, M.; Haneke, E. Tofacitinib as Treatment for Nail Lichen Planus Associated With Alopecia Universalis. JAMA Dermatol. 2021, 157, 352–353. [Google Scholar] [CrossRef] [PubMed]
- Jerasutus, S.; Suvanprakorn, P.; Kitchawengkul, O. Twenty-nail dystrophy. A clinical manifestation of spongiotic inflammation of the nail matrix. Arch. Dermatol. 1990, 126, 1068–1070. [Google Scholar] [CrossRef] [PubMed]
- Tosti, A.; Bardazzi, F.; Piraccini, B.M.; Fanti, P.A. Idiopathic trachyonychia (twenty-nail dystrophy): A pathological study of 23 patients. Br. J. Dermatol. 1994, 131, 866–872. [Google Scholar] [CrossRef] [PubMed]
- Heindingsfeld, M.L. The pathology of leukonychia. J. Cutan. Dis. 1900, 18, 490. [Google Scholar]
- Laporte, M.; André, J.; Achten, G. Microscopic approach to true leukonychia. In Dermatology, Progress & Perspectives, Proceedings of the 18th World Congress of Dermatology, New York, 12–18 June 1992; Burgdorf, W.H.C., Katz, S.I., Burgdorf, W.H.C., Katz, S.I., Eds.; The Parthenon Publishing Group: Pearl River, NY, USA, 1993; pp. 375–376. [Google Scholar]
- Iorizzo, M.; Starace, M.; Pasch, M.C. Leukonychia: What Can White Nails Tell Us? Am. J. Clin. Dermatol. 2022, 23, 177–193. [Google Scholar] [CrossRef] [PubMed]
- Shelley, W.B. The spotted lunula. A neglected nail sign associated with alopecia areata. J. Am. Acad. Dermatol. 1980, 2, 385–387. [Google Scholar] [CrossRef] [PubMed]
- Wilkerson, M.G.; Wilkin, J.K. Red lunulae revisited: A clinical and histopathologic examination. J. Am. Acad. Dermatol. 1989, 20, 453–457. [Google Scholar] [CrossRef]
- Morrissey, K.A.; Rubin, A.I. Histopathology of the red lunula: New histologic features and clinical correlations of a rare type of erythronychia. J. Cutan. Pathol. 2013, 40, 972–975. [Google Scholar] [CrossRef]
- Bergner, T.; Donhauser, G.; Ruzicka, T. Red lunulae in severe alopecia areata. Acta Derm. Venereol. 1992, 72, 203–205. [Google Scholar] [CrossRef]
- Litaiem, N.; Charfi, O.; Bacha, T.; Zeglaoui, F. Koilonychia in a Patient with Alopecia Areata. J. Clin. Aesthet. Dermatol. 2021, 14, 42–43. [Google Scholar]
- Yesudian, P.D.; de Berker, D.A.R. Inflammatory nail conditions. Part 2, nail changes in lichen planus and alopecia areata. Clin. Exp. Dermatol. 2021, 46, 16–20. [Google Scholar] [CrossRef]
- Horne, M.I.; Utzig, J.B.; Rieder, E.A.; Vincenzi, C.; Tosti, A. Alopecia Areata and Habit Tic Deformities. Skin Appendage Disord. 2018, 4, 323–325. [Google Scholar] [CrossRef]
- Grover, C.; Khandpur, S.; Reddy, B.S.; Chaturvedi, K.U. Longitudinal nail biopsy: Utility in 20-nail dystrophy. Dermatol. Surg. 2003, 29, 1125–1129. [Google Scholar] [CrossRef]
- Haneke, E. Non-infectious inflammatory disorders of the nail apparatus. J. Dtsch. Dermatol. Ges. 2009, 7, 787–797. [Google Scholar] [CrossRef] [PubMed]
- Laporte, M.; André, J.; Stouffs-Vanhoof, F.; Achten, G. Nail changes in alopecia areata: Light and electron microscopy. Arch. Dermatol. Res. 1988, 280, S85–S89. [Google Scholar] [PubMed]
- Fernández, L.T.; Gómez-Flores, M.; Herz-Ruelas, M.E.; Garza-Rodríguez, V.; Franco-Márquez, R.; Sánchez-Muñoz, M.G.; Ocampo-Candiani, J.; Alba-Rojas, E.L. Nail clippings microscopy in alopecia areata: An unexplored tool. J. Eur. Acad. Dermatol. Venereol. 2022, 36, e767–e769. [Google Scholar] [CrossRef]
- Stephen, S.; Tosti, A.; Rubin, A.I. Diagnostic applications of nail clippings. Dermatol. Clin. 2015, 33, 289–301. [Google Scholar] [CrossRef] [PubMed]
- de Almeida, C.Á.; Guarçoni, S.; Leverone, A.; Nakamura, R.; Canella, C. Characterization of nail changes in alopecia areata using 33-MHz ultrasonography. Clin. Exp. Dermatol. 2021, 46, 1108–1109. [Google Scholar] [CrossRef]
- Wyrwich, K.W.; Kitchen, H.; Knight, S.; Aldhouse, N.V.J.; Macey, J.; Nunes, F.P.; Dutronc, Y.; Mesinkovska, N.; Ko, J.M.; King, B.A. Development of Clinician-Reported Outcome (ClinRO) and Patient-Reported Outcome (PRO) Measures for Eyebrow, Eyelash and Nail Assessment in Alopecia Areata. Am. J. Clin. Dermatol. 2020, 21, 725–732. [Google Scholar] [CrossRef]
- Sakata, S.; Howard, A.; Tosti, A.; Sinclair, R. Follow up of 12 patients with trachyonychia. Australas. J. Dermatol. 2006, 47, 166–168. [Google Scholar] [CrossRef]
- Chessa, M.A.; Iorizzo, M.; Richert, B.; López-Estebaranz, J.L.; Rigopoulos, D.; Tosti, A.; Gupta, A.K.; Di Chiacchio, N.; Di Chiacchio, N.G.; Rubin, A.I.; et al. Pathogenesis, Clinical Signs and Treatment Recommendations in Brittle Nails: A Review. Dermatol. Ther. 2020, 10, 15–27. [Google Scholar] [CrossRef] [PubMed]
- Soda, R.; Diluvio, L.; Bianchi, L.; Chimenti, S. Treatment of trachyonychia with tazarotene. Clin. Exp. Dermatol. 2005, 30, 301–302. [Google Scholar] [CrossRef] [PubMed]
- Baran, R. Action therapeutique et complications du retinoide aromatique sur l’appareil ungueal. Ann. Dermatol. Venereol. 1982, 109, 367–371. [Google Scholar] [PubMed]
- Baran, R. Retinoids and the nails. J. Dermatol. Treat. 1990, 1, 151–154. [Google Scholar] [CrossRef]
- Abell, E.; Munro, D.D. Intralesional treatment of alopecia areata with triamcinolone acetonide by jet injector. Br. J. Dermatol. 1973, 88, 55–59. [Google Scholar] [CrossRef] [PubMed]
- Iorizzo, M.; Gioia Di Chiacchio, N.; Di Chiacchio, N.; Grover, C.; Lipner, S.R.; Richert, B.; Piraccini, B.M.; Starace, M.; Tosti, A. Intralesional steroid injections for inflammatory nail dystrophies in the pediatric population. Pediatr. Dermatol. 2023, 40, 759–761. [Google Scholar] [CrossRef] [PubMed]
- Grover, C.; Bansal, S. A Compendium of Intralesional Therapies in Nail Disorders. Indian Dermatol. Online J. 2018, 9, 373–382. [Google Scholar] [CrossRef] [PubMed]
- Clark, A.; Jellinek, N.J. Intralesional Injection for Inflammatory Nail Diseases. Dermatol. Surg. 2016, 42, 257–260. [Google Scholar] [CrossRef] [PubMed]
- Grover, C.; Bansal, S.; Nanda, S.; Reddy, B.S. Efficacy of triamcinolone acetonide in various acquired nail dystrophies. J. Dermatol. 2005, 32, 963–968. [Google Scholar] [CrossRef]
- Khoo, B.P.; Giam, Y.C. A pilot study on the role of intralesional triamcinolone acetonide in the treatment of pitted nails in children. Singap. Med. J. 2000, 41, 66–68. [Google Scholar]
- Tosti, A.; Pazzaglia, M.; Venturi, M.; Chiacchio, N.C., Jr. Severe onycholysis in a card illusionist with alopecia areata universalis. Int. J. Trichology 2013, 5, 81–82. [Google Scholar] [CrossRef] [PubMed]
- Ferreira, S.B.; Scheinberg, M.; Steiner, D.; Steiner, T.; Bedin, G.L.; Ferreira, R.B. Remarkable Improvement of Nail Changes in Alopecia Areata Universalis with 10 Months of Treatment with Tofacitinib: A Case Report. Case Rep. Dermatol. 2016, 8, 262–266. [Google Scholar] [CrossRef]
- Dhayalan, A.; King, B.A. Tofacitinib Citrate for the Treatment of Nail Dystrophy Associated With Alopecia Universalis. JAMA Dermatol. 2016, 152, 492–493. [Google Scholar] [CrossRef] [PubMed]
- Dube, V.; Bhushan, R. Tofacitinib for the Treatment of Twenty-Nail Dystrophy: A Single Case Report. Indian J. Dermatol. 2022, 67, 725–727. [Google Scholar] [CrossRef] [PubMed]
- King, B.; Ohyama, M.; Kwon, O.; Zlotogorski, A.; Ko, J.; Mesinkovska, N.A.; Hordinsky, M.; Dutronc, Y.; Wu, W.S.; McCollam, J.; et al. Two Phase 3 Trials of Baricitinib for Alopecia Areata. N. Engl. J. Med. 2022, 386, 1687–1699. [Google Scholar] [CrossRef]
- King, B.; Zhang, X.; Harcha, W.G.; Szepietowski, J.C.; Shapiro, J.; Lynde, C.; Mesinkovska, N.A.; Zwillich, S.H.; Napatalung, L.; Wajsbrot, D.; et al. Efficacy and safety of ritlecitinib in adults and adolescents with alopecia areata: A randomised, double-blind, multicentre, phase 2b-3 trial. Lancet 2023, 401, 1518–1529. [Google Scholar] [CrossRef]







| Nail Changes | Tosti 1991 n = 1095 [6] | Tosti 1994 n = 272 [10] | Sharma 1996 n = 201 [14] | Gordon 1996 n = 48 [15] | Sharma 1998 n = 1000 [7] | Sharma 1998 n = 761 [7] | Sharma 1998 n = 239 [7] | Tan 2002 n = 219 [16] | Ghandi 2003 n = 100 [17] | Goh 2006 n = 513 [18] | Kasumagic 2009 n = 200 [8] | Al-Mutairi 2011 n = 2962 [19] | Cho 2012 n = 287 [4] | Ranawaka 2014 n = 290 [20] | Roest 2018 n = 256 [12] | Lee 2018 n = 33 [21] | Starace 2020 n = 27 [9] | Shakoei 2024 n = 197 [22] | Overall n = 7476 | ||
|---|---|---|---|---|---|---|---|---|---|---|---|---|---|---|---|---|---|---|---|---|---|
| all | 25.6% (280/1095) | 46.3% (126/272) | 29.9% (60/201) | 66.7% (32/48) | 19.8% (198/1000) | 16.8% (128/761) | 29.3% (70/239) | 10.5% (23/219) | 44% (44/100) | 38% (195/513) | 24.5% (49/200) | 10.0% (297/2962) | 7.3% (21/287) | 9.3% (27/290) | 64.1% (164/256) | 45.5% (15/33) | 83.8% (165/197) | 22.1% (1696/7673) | |||
| pitting | 85.7% (240/280) | 73% (92/126) | 65% (39/60) | 70.2% (139/198) | 73.4% (94/128) | 64.3% (45/70) | 63.6% (28/44) | 79.6% (39/49) | 46.3% (76/164) | 93.3% (14/15) | 92.6% (25/27) | 63.6% (105/165) | 70.7% (797/1128) | ||||||||
| mild pitting | 44.4% (56/126) | 44.4% (56/126) | |||||||||||||||||||
| severe pitting/ crumbling | 28.6% (36/126) | 41.5% (68/164) | 35.9% (104/290) | ||||||||||||||||||
| trachyonychia | 14.3% (40/280) | 25.4% (32/126) | 13.3% (8/60) | 41.9% (83/198) | 48.4% (62/128) | 30% (21/70) | 20.5% (9/44) | 14.3% (7/49) | 48% (46/164) | 6.7% (1/15) | 63% (17/27) | 17.6% (29/165) | 24.1% (272/1128) | ||||||||
| rough/opaque trachonychia | 3.2% (9/280) | 5.6% (7/126) | 10.6% (21/198) | 6.1% (37/604) | |||||||||||||||||
| shiny trachyonychia | 11.1% (31/280) | 19.8% (25/126) | 3.3% (2/60) | 1.2% (2/165) | 9.5% (60/631) | ||||||||||||||||
| longitudinal ridging | 13.3% (8/60) | 39.4% (78/198) | 38.3% (49/128) | 15.7% (11/70) | 22.7% (10/44) | 14% (23/164) | 77.8% (21/27) | 55.8% (92/165) | 35.3% (232/658) | ||||||||||||
| koilonychia | 4.9% (8/164) | 55.6% (15/27) | 6.7% (11/165) | 9.6% (34/356) | |||||||||||||||||
| onchomadesis Beau’s lines | 2.4% (3/126) | 4.5% (2/44) | 1.8% (1+2/164) | 13.3% (2/15) | 1.8% (3/165) | 2.5% (13/514) | |||||||||||||||
| onychorrhexis distal notching onchoschisis brittle nails | 5% (10/198) | 4.5% (2/44) | 6.1% (3/49) | 16.5% (8+9+10/164) | 38.2% (53+10/165) | 16.9% (105/620) | |||||||||||||||
| leukonychia | 0.8% (1/126) | 1.7% (1/60) | 13.6% (27/198) | 38.4% (63/164) | 21.2% (35/165) | 17.8% (127/713) | |||||||||||||||
| pigmentation discoloration | 3.3% (2/60) | 3.0% (5/165) | 3.1% (7/225) | ||||||||||||||||||
| red (mottled) lunula | 4.8% (6/126) | 0% (0/198) | 7.9% (13/164) | 13.3% (2/15) | 1.2% (2/165) | 3.4% (23/668) | |||||||||||||||
| disappearing lunula | 0.6% (1/164) | 8.5% (14/165) | 4.6% (15/329) | ||||||||||||||||||
| onycholysis | 1.8% (3/164) | 6.7% (1/15) | 3.0% (5/165) | 2.6% (9/344) | |||||||||||||||||
| ragged cuticles | 4.5% (2/44) | 4.8% (8/165) | 4.8% (10/209) | ||||||||||||||||||
| slow growth | 0.6% (1/164) | 4.2% (7/165) | 2.4% (8/329) | ||||||||||||||||||
Disclaimer/Publisher’s Note: The statements, opinions and data contained in all publications are solely those of the individual author(s) and contributor(s) and not of MDPI and/or the editor(s). MDPI and/or the editor(s) disclaim responsibility for any injury to people or property resulting from any ideas, methods, instructions or products referred to in the content. |
© 2024 by the authors. Licensee MDPI, Basel, Switzerland. This article is an open access article distributed under the terms and conditions of the Creative Commons Attribution (CC BY) license (https://creativecommons.org/licenses/by/4.0/).
Share and Cite
Pelzer, C.; Iorizzo, M. Alopecia Areata of the Nails: Diagnosis and Management. J. Clin. Med. 2024, 13, 3292. https://doi.org/10.3390/jcm13113292
Pelzer C, Iorizzo M. Alopecia Areata of the Nails: Diagnosis and Management. Journal of Clinical Medicine. 2024; 13(11):3292. https://doi.org/10.3390/jcm13113292
Chicago/Turabian StylePelzer, Christin, and Matilde Iorizzo. 2024. "Alopecia Areata of the Nails: Diagnosis and Management" Journal of Clinical Medicine 13, no. 11: 3292. https://doi.org/10.3390/jcm13113292
APA StylePelzer, C., & Iorizzo, M. (2024). Alopecia Areata of the Nails: Diagnosis and Management. Journal of Clinical Medicine, 13(11), 3292. https://doi.org/10.3390/jcm13113292

