Efficacy and Radiographic Analysis of Minimally Invasive Posterior Mono-Axial Pedicle Screw Fixation in Treating Thoracolumbar Burst Fractures
Abstract
:1. Introduction
2. Materials and Methods
2.1. Patients
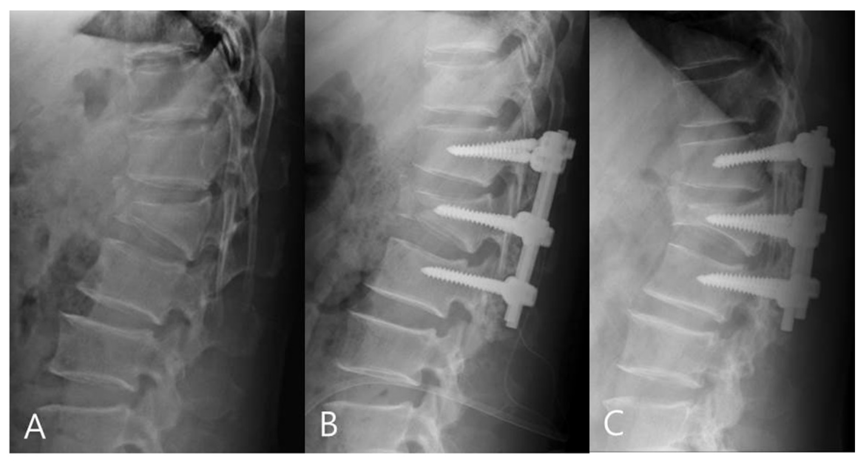
2.2. Operative Technique
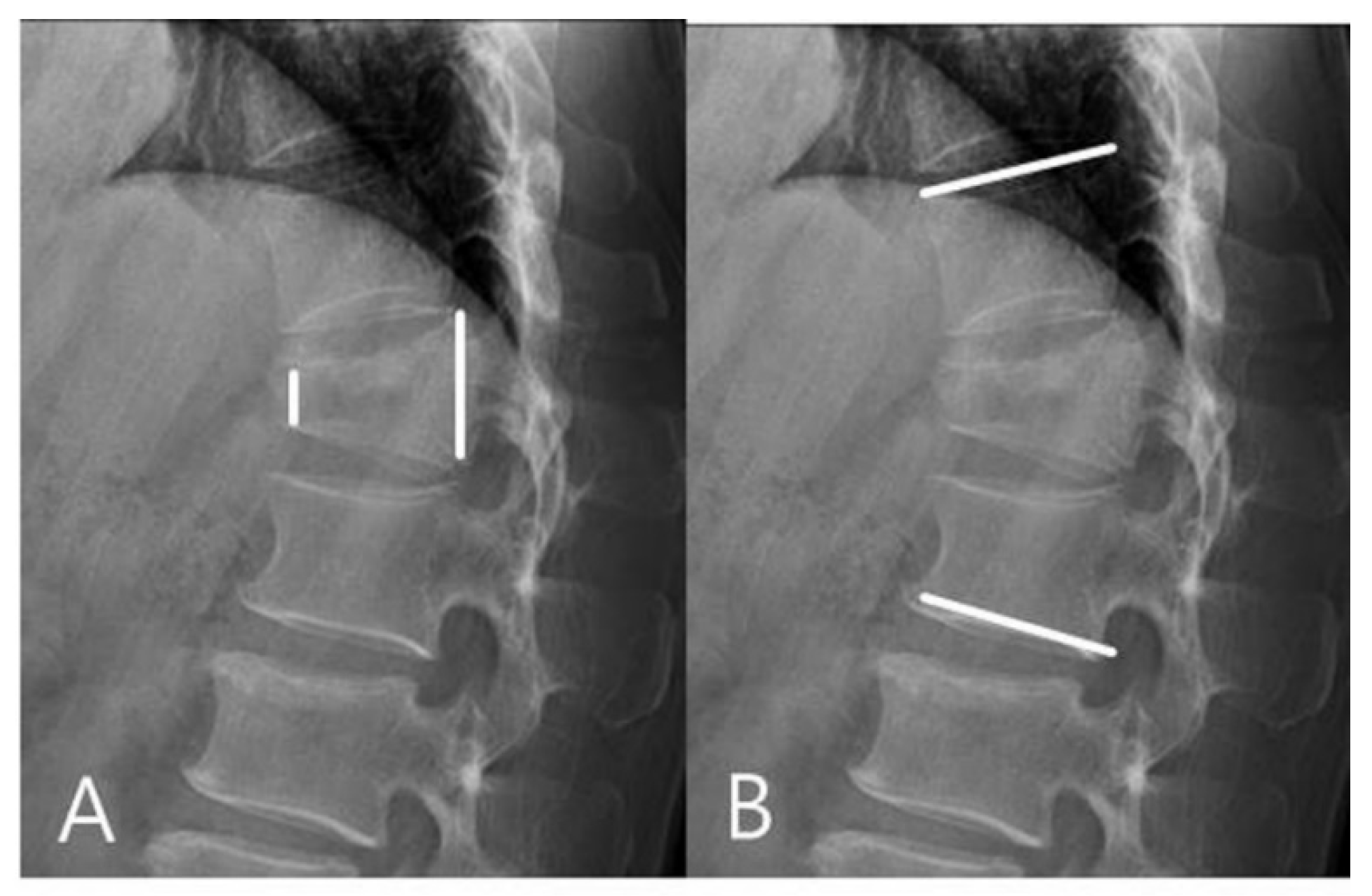
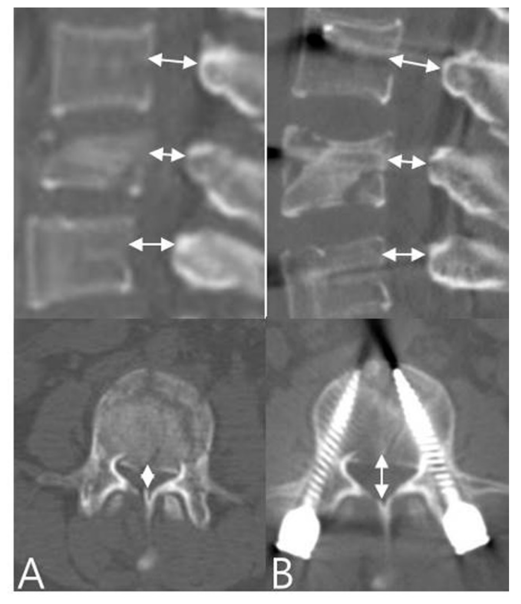
2.3. Radiologic Evaluation and Clinical Assessments
2.4. Statistical Analysis
3. Results
3.1. Radiographic Outcomes
3.2. Clinical Outcomes
4. Discussion
5. Conclusions
Author Contributions
Funding
Institutional Review Board Statement
Informed Consent Statement
Data Availability Statement
Conflicts of Interest
References
- Lee, K.Y.; Kim, M.-W.; Seok, S.Y.; Kim, D.R.; Im, C.S. The Relationship between Superior Disc-Endplate Complex Injury and Correction Loss in Young Adult Patients with Thoracolumbar Stable Burst Fracture. Clin. Orthop. Surg. 2017, 9, 465–471. [Google Scholar] [CrossRef] [PubMed]
- Jo, D.-J.; Kim, K.-T.; Kim, S.-M.; Lee, S.-H.; Cho, M.-G.; Seo, E.-M. Single-Stage Posterior Subtotal Corpectomy and Circumferential Reconstruction for the Treatment of Unstable Thoracolumbar Burst Fractures. J. Korean Neurosurg. Soc. 2016, 59, 122–128. [Google Scholar] [CrossRef]
- Cantor, J.B.L.; Lebwohl, N.H.; Garvey, T.; Eismont, F.J. Non-operative management of stable thoracolumbar burst fractures with early ambulation and bracing. Spine 1993, 18, 971–976. [Google Scholar] [CrossRef] [PubMed]
- Shen, W.-J.; Liu, T.-J.; Shen, Y.-S. Nonoperative Treatment Versus Posterior Fixation for Thoracolumbar Junction Burst Fractures Without Neurologic Deficit. Spine 2001, 26, 1038–1045. [Google Scholar] [CrossRef]
- Mumford, J.; Weinstein, J.N.; Spratt, F.; Goel, V.K. Thoracolumbar burs fractures: The clinical efficacy and outcome of non-operative management. Spine 1993, 18, 955–970. [Google Scholar] [CrossRef]
- Kazanci, A.I.; Gurcan, O. Efficacy of impaction of retro-pulsed bony fragments in lumbar burst fractures: Comparison with ligamentotaxis. J. Turk. Spinal Surg. 2016, 27, 71–76. [Google Scholar]
- Knop, C.; Bastian, L.; Lange, U.; Blauth, M. Transpedicular fusion of the thoraco-lumbar junction. Clinical, radiographic and CT results. Orthopade 1999, 28, 703–713. [Google Scholar]
- Liu, C.L.; Wang, S.T.; Lin, H.J.; Kao, H.C.; Yu, W.K.; Lo, W.H. AO fixateur interne in treating burst fractures of the thoracolumbar spine. Chung Hua I Hsueh Tsa. Chih. 1999, 62, 619–625. [Google Scholar]
- Sanderson, P.L.; Fraser, R.D.; Hall, D.J.; Cain, C.M.J.; Osti, O.L.; Potter, G.R. Short segment fixation of thoracolumbar burst fractures without fusion. Eur. Spine J. 1999, 8, 495–500. [Google Scholar] [CrossRef] [PubMed] [Green Version]
- Korkmaz, M.; Akgul, T.; Ozkunt, O.; Sariyilmaz, K.; Vallyev, N.; Dikici, F. Short-segment pedicle screw fixation including pedicle screw at the fractured level for treatment of unstable thoracolumbar fractures. J. Turk. Spinal Surg. 2015, 26, 19–25. [Google Scholar]
- Okten, A.I.; Gezercan, Y.; Özsoy, K.M.; Ates, T.; Menekse, G.; Aslan, A.; Cetinalp, E.; Guzel, A. Results of treatment of unstable thoracolumbar burst fractures using pedicle instrumentation with and without fracture-level screws. Acta Neurochir. 2015, 157, 831–836. [Google Scholar] [CrossRef] [PubMed]
- Yildizhan, S.; Boyaci, M.G.; Karavelioglu, E.; Aslan, A.; Karabekir, H.S. Spinal trauma classification and principles of treatment: A retrospective study of 234 cases. J. Turk. Spinal Surg. 2015, 26, 27–36. [Google Scholar]
- Danisa, O.A.; Shaffrey, C.I.; Jane, J.A.; Whitehill, R.; Wang, G.-J.; Szabo, T.A.; Hansen, C.A.; Shaffrey, M.E.; Chan, D.P.K. Surgical approaches for the correction of unstable thoracolumbar burst fractures: A retrospective analysis of treatment outcomes. J. Neurosurg. 1995, 83, 977–983. [Google Scholar] [CrossRef] [PubMed] [Green Version]
- Jo, D.-J.; Kim, Y.-S.; Kim, S.-M.; Kim, K.-T.; Seo, E.-M. Clinical and radiological outcomes of modified posterior closing wedge osteotomy for the treatment of posttraumatic thoracolumbar kyphosis. J. Neurosurg. Spine 2015, 23, 510–517. [Google Scholar] [CrossRef] [Green Version]
- Dick, J.C.; Jones, M.P.; Zdeblick, T.A.; Kunz, D.N.; Horton, W.C. A biomechanical comparison evaluating the use of intermediate screws and crosslinkage in lumbar pedicle fixation. J. Spinal Disord. 1994, 7, 402–407. [Google Scholar] [CrossRef]
- Roy-Camille, R.; Saillant, G.; Mazel, C. Internal fixation of the lumbar spine with pedicle screw plating. Clin. Orthop. Relat. Res. 1986, 203, 7–17. [Google Scholar] [CrossRef]
- Lam, F.C.; Groff, M.W.; Alkalay, R.N. The effect of screw head design on rod derotation in the correction of thoracolumbar spinal deformity. J. Neurosurg. Spine 2013, 19, 351–359. [Google Scholar] [CrossRef]
- Korovessis, P.G.; Baikousis, A.; Stamatakis, M. Use of the Texas Scottish Rite Hospital Instrumentation in the Treatment of Thoracolumbar Injuries. Spine 1997, 22, 882–888. [Google Scholar] [CrossRef]
- Xue, X.; Zhao, S. Posterior monoaxial screw fixation combined with distraction-compression technology assisted endplate reduction for thoracolumbar burst fractures: A retrospective study. BMC Musculoskelet. Disord. 2020, 21, 17. [Google Scholar] [CrossRef]
- Alvine, G.F.; Swain, J.M.; Asher, M.A.; Burton, D.C. Treatment of thoracolumbar burst fractures with variable screw placement or Isola instrumentation and arthrodesis: Case series and literature review. J. Spinal Disord. Tech. 2004, 17, 251–264. [Google Scholar] [CrossRef]
- Briem, D.; Lehmann, W.; Ruecker, A.H.; Windolf, J.; Rueger, J.M.; Linhart, W. Factors influencing the quality of life after burst fractures of the thoracolumbar transition. Arch. Orthop. Trauma. Surg. 2004, 124, 461–468. [Google Scholar] [CrossRef]
- Chen, H.-H.; Wang, W.-K.; Li, K.-C.; Chen, T.-H. Biomechanical Effects of the Body Augmenter for Reconstruction of the Vertebral Body. Spine 2004, 29, E382–E387. [Google Scholar] [CrossRef]
- Guven, O.; Kocaoglu, B.; Bezer, M.; Aydin, N.; Nalbantoglu, U. The Use of Screw at the Fracture Level in the Treatment of Thoracolumbar Burst Fractures. J. Spinal Disord. Tech. 2009, 22, 417–421. [Google Scholar] [CrossRef]
- Altay, M.; Ozkurt, B.; Aktekin, C.N.; Ozturk, A.M.; Dogan, Ö.; Tabak, A.Y. Treatment of unstable thoracolumbar junction burst fractures with short- or long-segment posterior fixation in magerl type a fractures. Eur. Spine J. 2007, 16, 1145–1155. [Google Scholar] [CrossRef] [Green Version]
- Farrokhi, M.-R.; Razmkon, A.; Maghami, Z.; Nikoo, Z. Inclusion of the fracture level in short segment fixation of thoracolumbar fractures. Eur. Spine J. 2010, 19, 1651–1656. [Google Scholar] [CrossRef] [Green Version]
- McDonnell, M.; Shah, K.N.; Paller, D.J.; Thakur, N.A.; Koruprolu, S.; Palumbo, M.A.; Daniels, A.H. Biomechanical Analysis of Pedicle Screw Fixation for Thoracolumbar Burst Fractures. Orthopedics 2016, 39, e514–e518. [Google Scholar] [CrossRef] [PubMed] [Green Version]
- Cho, D.-Y.; Lee, W.-Y.; Sheu, P.-C. Treatment of Thoracolumbar Burst Fractures with Polymethyl Methacrylate Vertebroplasty and Short-segment Pedicle Screw Fixation. Neurosurgery 2003, 53, 1354–1361. [Google Scholar] [CrossRef] [Green Version]
- McCormack, T.; Karaikovic, E.; Gaines, R.W. The Load Sharing Classification of Spine Fractures. Spine 1994, 19, 1741–1744. [Google Scholar] [CrossRef] [PubMed]
- Wang, X.-Y.; Dai, L.-Y.; Xu, H.-Z.; Chi, Y.-L. Kyphosis recurrence after posterior short-segment fixation in thoracolumbar burst fractures. J. Neurosurg. Spine 2008, 8, 246–254. [Google Scholar] [CrossRef] [PubMed]
- McLain, R.F. The Biomechanics of Long Versus Short Fixation for Thoracolumbar Spine Fractures. Spine 2006, 31, S70–S79. [Google Scholar] [CrossRef]
- Wahba, G.M.; Bhatia, N.; Bui, C.N.H.; Lee, K.H.; Lee, T.Q. Biomechanical Evaluation of Short-Segment Posterior Instrumentation with and without Crosslinks in a Human Cadaveric Unstable Thoracolumbar Burst Fracture Model. Spine 2010, 35, 278–285. [Google Scholar] [CrossRef] [PubMed]
- Wang, H.; Zhou, Y.; Li, C.; Liu, J.; Xiang, L. Comparison of Open Versus Percutaneous Pedicle Screw Fixation Using the Sextant System in the Treatment of Traumatic Thoracolumbar Fractures. Clin. Spine Surg. A Spine Publ. 2017, 30, E239–E246. [Google Scholar] [CrossRef] [PubMed]




| Demographics | All Patients | Mono Group | Poly Group | p Value |
|---|---|---|---|---|
| No. of patients | 98 | 52 | 46 | 0.755 |
| Age (years) | 50.1 ± 13.4 | 49.3 ± 14.8 | 52.9 ± 12.6 | 0.063 |
| Gender (M:F) | 2.27:1 | 2.47:1 | 2.07:1 | 0.323 |
| Follow-up (months) (mean ± SD) | 33.3 ± 15.1 | 27.9 ± 14.6 | 34.7 ± 16.7 | 0.626 |
| Timing from trauma to surgery (day) | 2.9 ± 0.8 | 2.8 ± 0.9 | 3.1 ± 0.7 | 0.761 |
| Level of fracture (n (%)) | ||||
| T12 | 35(36) | 20(38) | 15(33) | 0.622 |
| L1 | 63(64) | 32(62) | 31(67) | 0.634 |
| Mono Group | Poly Group | p Value | |
|---|---|---|---|
| Regional kyphosis angle (degrees) (°) | |||
| Preoperation | 21.56° ± 8.5° | 23.18° ± 7.6° | 0.865 |
| Postoperation | 8.13° ± 5.8° | 11.09° ± 7.6° | <0.05 |
| Final follow-up | 11.18° ± 6.4° | 18.83° ± 8.5° | <0.05 |
| p value (pre-final) | <0.05 | <0.05 | |
| Sagittal index (SI) | |||
| Preoperation | O.59 ± 0.12 | O.57 ± 0.11 | 0.863 |
| Postoperation | O.80 ± 0.09 | O.73 ± 0.11 | <0.05 |
| Final follow-up | O.76 ± 0.09 | O.65 ± 0.11 | <0.05 |
| p value (pre-final) | <0.05 | <0.05 | |
| Spinal canal encroachment (%) | |||
| Preoperation | 38.6 ± 11.4 | 36.4 ± 17.6 | 0.412 |
| Postoperation | 14.8 ± 9.7 | 22.3 ± 10.3 | <0.05 |
| Final follow-up | 15.1 ± 10.8 | 23.7 ± 11.6 | <0.05 |
| p value (pre-final) | <0.05 | <0.05 |
| Mono Group | POLY Group | p Value | |
|---|---|---|---|
| Operation time(min) Blood loss(mL) VAS back score | 55.1 ± 57.6 120.3 ± 82.9 | 60.0 ± 44.4 110.6 ± 69.6 | 0.756 0.471 |
| Preoperation | 6.4 ± 3.5 | 6.5 ± 3.3 | 0.33 |
| Postoperation | 2.2 ± 1.4 | 2.2 ± 1.2 | 0.47 |
| Final follow-up | 2.1 ± 1.6 | 2.2 ± 1.4 | 0.83 |
| p value (pre-final) | <0.001 | <0.001 |
| Mono Group | Poly Group | |
|---|---|---|
| Implant failure | 7 (13%) | 4 (9%) |
| screw fracture | 1 (2%) | 0 (0%) |
| Screw pullout | 5 (9%) | 4 (9%) |
| rod fracture | 1 (2%) | 0 (0%) |
| Pseudarthrosis | 0 (0%) | 0 (0%) |
| Perioperative complications | ||
| Infection | 1 (2%) | 0 (0%) |
| Neurological deficit | 0 (0%) | 0 (0%) |
Publisher’s Note: MDPI stays neutral with regard to jurisdictional claims in published maps and institutional affiliations. |
© 2022 by the authors. Licensee MDPI, Basel, Switzerland. This article is an open access article distributed under the terms and conditions of the Creative Commons Attribution (CC BY) license (https://creativecommons.org/licenses/by/4.0/).
Share and Cite
Shim, J.-H.; Seo, E.-M. Efficacy and Radiographic Analysis of Minimally Invasive Posterior Mono-Axial Pedicle Screw Fixation in Treating Thoracolumbar Burst Fractures. J. Clin. Med. 2022, 11, 516. https://doi.org/10.3390/jcm11030516
Shim J-H, Seo E-M. Efficacy and Radiographic Analysis of Minimally Invasive Posterior Mono-Axial Pedicle Screw Fixation in Treating Thoracolumbar Burst Fractures. Journal of Clinical Medicine. 2022; 11(3):516. https://doi.org/10.3390/jcm11030516
Chicago/Turabian StyleShim, Jae-Hoon, and Eun-Min Seo. 2022. "Efficacy and Radiographic Analysis of Minimally Invasive Posterior Mono-Axial Pedicle Screw Fixation in Treating Thoracolumbar Burst Fractures" Journal of Clinical Medicine 11, no. 3: 516. https://doi.org/10.3390/jcm11030516
APA StyleShim, J.-H., & Seo, E.-M. (2022). Efficacy and Radiographic Analysis of Minimally Invasive Posterior Mono-Axial Pedicle Screw Fixation in Treating Thoracolumbar Burst Fractures. Journal of Clinical Medicine, 11(3), 516. https://doi.org/10.3390/jcm11030516

