Intrauterine Valvuloplasty in Severe Aortic Stenosis—A Ten Years Single Center Experience
Abstract
:1. Introduction
2. Materials and Methods
2.1. Patients
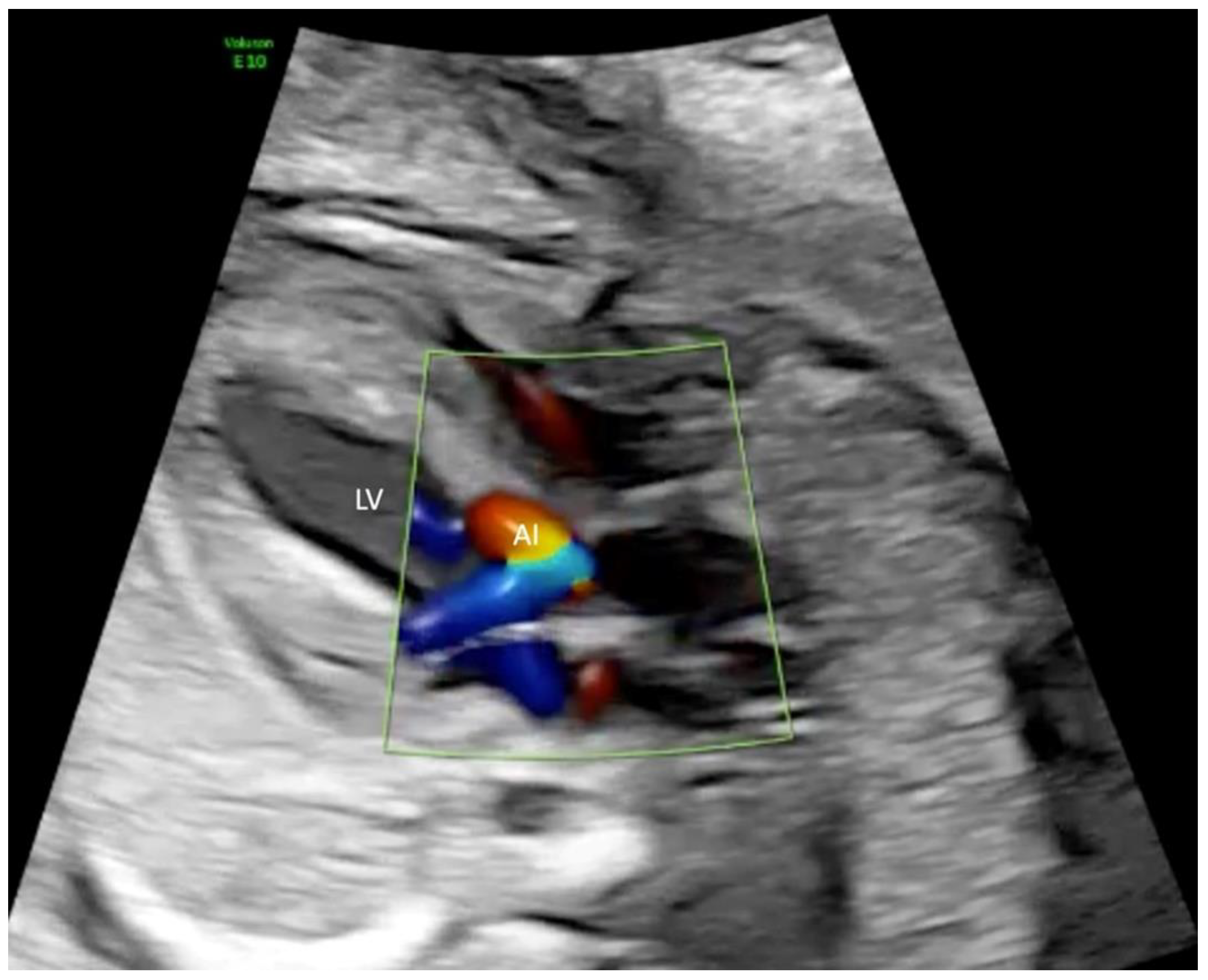
2.2. Procedure
2.3. Outcome
2.4. Data Analysis
3. Results
4. Discussion
5. Conclusions
Author Contributions
Funding
Institutional Review Board Statement
Informed Consent Statement
Data Availability Statement
Conflicts of Interest
References
- Simpson, J.M.; Sharland, G.K. Natural history and outcome of aortic stenosis diagnosed prenatally. Heart 1997, 77, 205–210. [Google Scholar] [CrossRef] [PubMed] [Green Version]
- Gardiner, H.M.; Kovacevic, A.; Tulzer, G.; Sarkola, T.; Herberg, U.; Dangel, J.; Öhman, A.; Bartrons, J.; Carvalho, J.S.; Jicinska, H.; et al. Fetal Working Group of the AEPC. Natural history of 107 cases of fetal aortic stenosis from a European multicenter retrospective study. Ultrasound Obstet. Gynecol. 2016, 48, 373–381. [Google Scholar] [CrossRef] [PubMed]
- Mäkikallio, K.; McElhinney, D.B.; Levine, J.C.; Marx, G.R.; Colan, S.D.; Marshall, A.C.; Lock, J.E.; Marcus, E.N.; Tworetzky, W. Fetal aortic valve stenosis and the evolution of hypoplastic left heart syndrome: Patient selection for fetal intervention. Circulation 2006, 113, 1401–1405. [Google Scholar] [CrossRef] [PubMed] [Green Version]
- Maxwell, D.; Allan, L.; Tynan, M.J. Balloon dilatation of the aortic valve in the fetus: A report of two cases. Heart 1991, 65, 256–258. [Google Scholar] [CrossRef] [PubMed]
- Tulzer, A.; Arzt, W.; Gitter, R.; Sames-Dolzer, E.; Kreuzer, M.; Mair, R.; Tulzer, G. Valvuloplasty in 103 fetuses with critical aortic stenosis: Outcome and new predictors for postnatal circulation. Ultrasound Obstet. Gynecol. 2022, 59, 633–641. [Google Scholar] [CrossRef] [PubMed]
- Friedman, K.G.; Sleeper, L.A.; Freud, L.R.; Marshall, A.C.; Godfrey, M.E.; Drogosz, M.; Lafranchi, T.; Benson, C.B.; Wilkins-Haug, L.E.; Tworetzky, W. Improved technical success, postnatal outcome and refined predictors of outcome for fetal aortic valvuloplasty: Biventricular outcome after fetal aortic valvuloplasty. Ultrasound Obstet. Gynecol. 2018, 52, 212–220. [Google Scholar] [CrossRef] [PubMed] [Green Version]
- Kohl, T.; Sharland, G.; Allan, L.D.; Gembruch, U.; Chaoui, R.; Lopes, L.M.; Zielinsky, P.; Huhta, J.; Silverman, N.H. World experience of percutaneous ultrasound-guided balloon valvuloplasty in human fetuses with severe aortic valve obstruction. Am. J. Cardiol. 2000, 85, 1230–1233. [Google Scholar] [CrossRef]
- McElhinney, D.B.; Marshall, A.C.; Wilkins-Haug, L.E.; Brown, D.W.; Benson, C.B.; Silva, V.; Marx, G.R.; Mizrahi-Arnaud, A.; Lock, J.E.; Tworetzky, W. Predictors of technical success and postnatal biventricular outcome after in utero aortic valvuloplasty for aortic stenosis with evolving hypoplastic left heart syndrome. Circulation 2009, 120, 1482–1490. [Google Scholar] [CrossRef] [PubMed]
- Tworetzky, W.; Wilkins-Haug, L.; Jennings, R.W.; van der Velde, M.E.; Marshall, A.C.; Marx, G.R.; Colan, S.D.; Benson, C.B.; Lock, J.E.; Perry, S.B. Balloon dilation of severe aortic stenosis in the fetus: Potential for prevention of hypoplastic left heart syndrome: Candidate selection, technique, and results of successful intervention. Circulation 2004, 110, 2125–2131. [Google Scholar] [CrossRef] [PubMed] [Green Version]
- Arzt, W.; Wertaschnigg, D.; Veit, I.; Klement, F.; Gitter, R.; Tulzer, G. Intrauterine aortic valvuloplasty in fetuses with critical aortic stenosis: Experience and results of 24 procedures. Ultrasound Obstet. Gynecol. 2011, 37, 689–695. [Google Scholar] [CrossRef] [PubMed]
- Schneider, C.; McCrindle, B.W.; Carvalho, J.S.; Hornberger, L.K.; McCarthy, K.P.; Daubeney, P.E.F. Development of Z-scores for fetal cardiac dimensions from echocardiography. Ultrasound Obstet. Gynecol. 2005, 26, 599–605. [Google Scholar] [CrossRef] [PubMed]
- Vigneswaran, T.V.; Akolekar, R.; Syngelaki, A.; Charakida, M.; Allan, L.D.; Nicolaides, K.H.; Zidere, V.; Simpson, J.M. Reference ranges for the size of the fetal cardiac outflow tracts from 13 to 36 weeks gestation: A single-center study of over 7000 cases. Circ. Cardiovasc. Imaging 2018, 11, e007575. [Google Scholar] [CrossRef] [PubMed] [Green Version]
- Kovacevic, A.; Öhman, A.; Tulzer, G.; Herberg, U.; Dangel, J.; Carvalho, J.S.; Fesslova, V.; Jicinska, H.; Sarkola, T.; Pedroza, C.; et al. the Fetal Working Group of the AEPC. Fetal hemodynamic response to aortic valvuloplasty and postnatal outcome: A European multicenter study: Fetal hemodynamic response to aortic valvuloplasty. Ultrasound Obstet. Gynecol. 2018, 52, 221–229. [Google Scholar] [CrossRef] [PubMed]
- Vorisek, C.N.; Zurakowski, D.; Tamayo, A.; Axt-Fliedner, R.; Siepmann, T.; Friehs, I. Postnatal outcome in patients with aortic stenosis undergoing fetal aortic valvuloplasty: Systematic review and meta-analysis. Ultrasound Obstet. Gynecol. 2022, 59, 576–584. [Google Scholar] [CrossRef] [PubMed]
- Galindo, A.; Comas, C.; Martínez, J.M.; Gutiérrez-Larraya, F.; Carrera, J.M.; Puerto, B.; Borrell, A.; Mortera, C.; de la Fuente, P. Cardiac defects in chromosomally normal fetuses with increased nuchal translucency at 10–14 weeks of gestation. J. Matern.-Fetal Neonatal Med. 2003, 13, 163–170. [Google Scholar] [PubMed]
- Sames-Dolzer, E.; Wickenhauser, E.; Kreuzer, M.; Benedikt, P.; Gitter, R.; Prandstetter, C.; Gierlinger, G.; Tulzer, G.; Mair, R. The Ross-Konno procedure in neonates and infants less than 3 months of age. Eur. J. Cardiothorac. Surg. 2018, 54, 71–77. [Google Scholar] [CrossRef] [PubMed] [Green Version]
- Sojak, V.; Bokenkamp, R.; Kuipers, I.; Schneider, A.; Hazekamp, M. Left heart growth and biventricular repair after hybrid palliation. Interact Cardiovasc. Thorac. Surg. 2021, 32, 792–799. [Google Scholar] [CrossRef] [PubMed]






| Complication | Successful (25/38) | Not Successful (13/38) | Over All (%) |
|---|---|---|---|
| Bradycardia | 2 | 2 | 10.53 |
| Pericardial effusion | 3 | 1 | 10.53 |
| Drainage of pericardial effusion | 1 | 1 | 5.26 |
| Epinephrine | 1 | 2 | 7.89 |
| Thrombus in left ventricle | 0 | 3 | 7.89 |
| Intrauterine blood transfusion | 2 | 2 | 10.53 |
| Premature Labor (without preterm delivery) | 2 | 0 | 5.26 |
| Procedure related fetal death | 0 | 3 | 7.89 |
| Parameter | All Liveborn | Biventricular (n = 13) | Univentricular (n = 8) | Odds Ratio (95% CI) | p–Value (OR) | p-Value (Student) |
|---|---|---|---|---|---|---|
| LV Z-score | −0.31 (±1.05) | 0.1 (±0.86) | −0.8 (±1.06) | 4.0 (0.92–17.21) | 0.063 | 0.031 |
| RV/LV length Ratio | 0.93 (±0.13) | 0.88 (±0.93) | 0.97 (±0.16) | 0.053 | ||
| MV Z-score | −2.58 (±3.35) | −1.9 (±3.58) | −3.58 (±2.9) | 1.77 (1.03–3.02) | 0.039 | 0.287 |
| TV/MV Ratio | 1.37(±0.49) | 1.14 (±0.12) | 1.77 (±0.62) | 0.01 (0.1–0.61) | 0.032 | 0.003 |
| AoV 1 Diameter Z-score | 3.44 (±1.09) | −3.21 (±1.17) | −3.84 (±0.88) | 1.81(0.68–4.80) | 0.237 | 0.243 |
| Aortic stenosis (mmHg) | 34.45 (±15.83) | 39.77 (±14.58) | 18.50 (±3.54) | 0.100 | ||
| MR Vmax (cm/s) | 379.61 (±76.11) | 390.91 (±58.55) | 359.29 (±99.94) | 1.01 (0.99–1.02) | 0.385 | 0.407 |
| Pulmonary venous flow pulsatility | 5 (normal) 5 (moderate) 2 (severe) | 3 (normal) 1 (moderate) 3 (severe) | ||||
| GA at intervention (weeks) | 26.59 (±2.51) | 27.31 (±2.77) | 25.63 (±1.85) | 1.41 (0.88–2.25) | 0.154 | 0.132 |
Publisher’s Note: MDPI stays neutral with regard to jurisdictional claims in published maps and institutional affiliations. |
© 2022 by the authors. Licensee MDPI, Basel, Switzerland. This article is an open access article distributed under the terms and conditions of the Creative Commons Attribution (CC BY) license (https://creativecommons.org/licenses/by/4.0/).
Share and Cite
Walter, A.; Strizek, B.; Weber, E.C.; Gottschalk, I.; Geipel, A.; Herberg, U.; Gembruch, U.; Berg, C. Intrauterine Valvuloplasty in Severe Aortic Stenosis—A Ten Years Single Center Experience. J. Clin. Med. 2022, 11, 3058. https://doi.org/10.3390/jcm11113058
Walter A, Strizek B, Weber EC, Gottschalk I, Geipel A, Herberg U, Gembruch U, Berg C. Intrauterine Valvuloplasty in Severe Aortic Stenosis—A Ten Years Single Center Experience. Journal of Clinical Medicine. 2022; 11(11):3058. https://doi.org/10.3390/jcm11113058
Chicago/Turabian StyleWalter, Adeline, Brigitte Strizek, Eva Christin Weber, Ingo Gottschalk, Annegret Geipel, Ulrike Herberg, Ulrich Gembruch, and Christoph Berg. 2022. "Intrauterine Valvuloplasty in Severe Aortic Stenosis—A Ten Years Single Center Experience" Journal of Clinical Medicine 11, no. 11: 3058. https://doi.org/10.3390/jcm11113058
APA StyleWalter, A., Strizek, B., Weber, E. C., Gottschalk, I., Geipel, A., Herberg, U., Gembruch, U., & Berg, C. (2022). Intrauterine Valvuloplasty in Severe Aortic Stenosis—A Ten Years Single Center Experience. Journal of Clinical Medicine, 11(11), 3058. https://doi.org/10.3390/jcm11113058

