Benign Giant Cell Lesion of C1 Lateral Mass: A Case Report and Literature Review
Abstract
1. Introduction
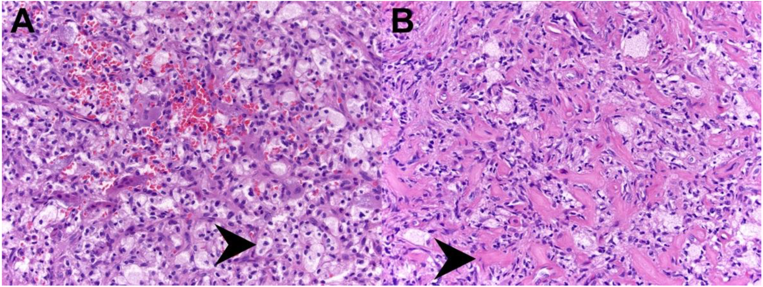
2. Case Description
3. Discussion
4. Conclusions
Author Contributions
Funding
Conflicts of Interest
References
- Rosemberg, S.; Fujiwara, D. Epidemiology of pediatric tumors of the nervous system according to the WHO 2000 classification: A report of 1,195 cases from a single institution. Child’s Nerv. Syst. 2005, 21, 940–944. [Google Scholar] [CrossRef] [PubMed]
- Vincent, F.; Fehlings, M.G.; Nater, A. Spinal column tumors. In Neuro-Concology: The Essentials; Bernstein, M., Berger, M., Eds.; Thieme: New York, NY, USA, 2000; pp. 391–402. [Google Scholar]
- West, R. Childhood cancer mortality: International comparisons 1955–1974. World Health Stat. Q. Rapp. Trimest. Stat. Sanit. Mond. 1984, 37, 98–127. [Google Scholar]
- Harter, D.; Weiner, H. Spinal tumors. In Principles and Practice of Pediatric Neurosurgery; Albright, A.L., Pollack, I., Adelson, P., Eds.; Thieme: New York, NY, USA, 2014. [Google Scholar]
- Ravindra, V.M.; Eli, I.M.; Schmidt, M.H.; Brockmeyer, D.L. Primary osseous tumors of the pediatric spinal column: Review of pathology and surgical decision making. Neurosurg. Focus 2016, 41, E3. [Google Scholar] [CrossRef]
- Albrecht, S.; Crutchfield, J.S.; SeGall, G.K. On spinal osteochondromas. J. Neurosurg. 1992, 77, 247–252. [Google Scholar] [CrossRef]
- Sharma, M.C.; Arora, R.; Deol, P.S.; Mahapatra, A.K.; Mehta, V.S.; Sarkar, C. Osteochondroma of the spine: An enigmatic tumor of the spinal cord. A series of 10 cases. J. Neurosurg. Sci. 2002, 46, 66–70; discussion 70. [Google Scholar] [PubMed]
- Zaijun, L.; Xinhai, Y.; Zhipeng, W.; Wending, H.; Quan, H.; Zhenhua, Z.; Dapeng, F.; Jisheng, Z.; Wei, Z.; Jianru, X. Outcome and prognosis of myelopathy and radiculopathy from osteochondroma in the mobile spine: A report on 14 patients. J. Spinal Disord. Technol. 2013, 26, 194–199. [Google Scholar] [CrossRef]
- Ilaslan, H.; Sundaram, M.; Unni, K.K.; Shives, T.C. Primary vertebral osteosarcoma: Imaging findings. Radiology 2004, 230, 697–702. [Google Scholar] [CrossRef] [PubMed]
- Venkateswaran, L.; Rodriguez-Galindo, C.; Merchant, T.E.; Poquette, C.A.; Rao, B.N.; Pappo, A.S. Primary Ewing tumor of the vertebrae: Clinical characteristics, prognostic factors, and outcome. Med. Pediatr. Oncol. 2001, 37, 30–35. [Google Scholar] [CrossRef] [PubMed]
- Saifuddin, A.; White, J.; Sherazi, Z.; Shaikh, M.I.; Natali, C.; Ransford, A.O. Osteoid osteoma and osteoblastoma of the spine. Factors associated with the presence of scoliosis. Spine 1998, 23, 47–53. [Google Scholar] [CrossRef] [PubMed]
- Dormans, J.P.; Moroz, L. Infection and tumors of the spine in children. J. Bone Joint Surg. Am. 2007, 89 (Suppl. 1), 79–97. [Google Scholar]
- McLeod, R.A.; Dahlin, D.C.; Beabout, J.W. The spectrum of osteoblastoma. A.J.R. Am. J. Roentgenol. 1976, 126, 321–325. [Google Scholar] [CrossRef]
- Hay, M.C.; Paterson, D.; Taylor, T.K. Aneurysmal bone cysts of the spine. J. Bone Joint Surg. Br. 1978, 60, 406–411. [Google Scholar] [CrossRef] [PubMed]
- Lifeso, R.M.; Younge, D. Aneurysmal bone cysts of the spine. Int. Orthop. 1985, 8, 281–285. [Google Scholar] [CrossRef] [PubMed]
- Capanna, R.; Albisinni, U.; Picci, P.; Calderoni, P.; Campanacci, M.; Springfield, D.S. Aneurysmal bone cyst of the spine. J. Bone Joint Surg. Am. 1985, 67, 527–531. [Google Scholar] [CrossRef]
- Greenlee, J.D.W.; Fenoy, A.J.; Donovan, K.A.; Menezes, A.H. Eosinophilic granuloma in the pediatric spine. Pediatr. Neurosurg. 2007, 43, 285–292. [Google Scholar] [CrossRef] [PubMed]
- Levine, S.E.; Dormans, J.P.; Meyer, J.S.; Corcoran, T.A. Langerhans’ cell histiocytosis of the spine in children. Clin. Orthop. 1996, 288–293. [Google Scholar] [CrossRef]
- Cloyd, J.M.; Acosta, F.L.; Polley, M.-Y.; Ames, C.P. En bloc resection for primary and metastatic tumors of the spine: A systematic review of the literature. Neurosurgery 2010, 67, 435–444. [Google Scholar] [CrossRef]
- Boriani, S.; Bandiera, S.; Biagini, R.; Bacchini, P.; Boriani, L.; Cappuccio, M.; Chevalley, F.; Gasbarrini, A.; Picci, P.; Weinstein, J.N. Chordoma of the mobile spine: Fifty years of experience. Spine 2006, 31, 493–503. [Google Scholar] [CrossRef] [PubMed]
- Jiang, H.; He, J.; Zhan, X.; He, M.; Zong, S.; Xiao, Z. Occipito-cervical fusion following gross total resection for the treatment of spinal extramedullary tumors in craniocervical junction: A retrospective case series. World J. Surg. Oncol. 2015, 13, 279. [Google Scholar] [CrossRef] [PubMed]
- Ortega-Porcayo, L.A.; Cabrera-Aldana, E.E.; Arriada-Mendicoa, N.; Gómez-Amador, J.L.; Granados-García, M.; Barges-Coll, J. Operative technique for en bloc resection of upper cervical chordomas: Extended transoral transmandibular approach and multilevel reconstruction. Asian Spine J. 2014, 8, 820–826. [Google Scholar] [PubMed]
- Kanavel, A.B. Bullet located between the atlas and the base of the skull: Technique of removal through the mouth. Surg. Clin. Chic. 1917, 1, 361–366. [Google Scholar]
- Tuite, G.F.; Veres, R.; Crockard, H.A.; Sell, D. Pediatric transoral surgery: Indications, complications, and long-term outcome. J. Neurosurg. 1996, 84, 573–583. [Google Scholar] [CrossRef]
- Salem, K.M.I.; Visser, J.; Quraishi, N.A. Trans-oral approach for the management of a C2 neuroblastoma. Eur. Spine J. 2015, 24, 170–176. [Google Scholar] [CrossRef]
- Grammatica, A.; Bonali, M.; Ruscitti, F.; Marchioni, D.; Pinna, G.; Cunsolo, E.M.; Presutti, L. Transnasal endoscopic removal of malformation of the odontoid process in a patient with type I Arnold-Chiari malformation: A case report. Acta Otorhinolaryngol. Ital. 2011, 31, 248–252. [Google Scholar]



© 2019 by the authors. Licensee MDPI, Basel, Switzerland. This article is an open access article distributed under the terms and conditions of the Creative Commons Attribution (CC BY) license (http://creativecommons.org/licenses/by/4.0/).
Share and Cite
Heinrich, C.; Gospodarev, V.; Kheradpour, A.; Zuppan, C.; Douglas, C.C.; Minasian, T. Benign Giant Cell Lesion of C1 Lateral Mass: A Case Report and Literature Review. Brain Sci. 2019, 9, 105. https://doi.org/10.3390/brainsci9050105
Heinrich C, Gospodarev V, Kheradpour A, Zuppan C, Douglas CC, Minasian T. Benign Giant Cell Lesion of C1 Lateral Mass: A Case Report and Literature Review. Brain Sciences. 2019; 9(5):105. https://doi.org/10.3390/brainsci9050105
Chicago/Turabian StyleHeinrich, Christopher, Vadim Gospodarev, Albert Kheradpour, Craig Zuppan, Clifford C. Douglas, and Tanya Minasian. 2019. "Benign Giant Cell Lesion of C1 Lateral Mass: A Case Report and Literature Review" Brain Sciences 9, no. 5: 105. https://doi.org/10.3390/brainsci9050105
APA StyleHeinrich, C., Gospodarev, V., Kheradpour, A., Zuppan, C., Douglas, C. C., & Minasian, T. (2019). Benign Giant Cell Lesion of C1 Lateral Mass: A Case Report and Literature Review. Brain Sciences, 9(5), 105. https://doi.org/10.3390/brainsci9050105
