Associations between the Bovine Myostatin Gene and Milk Fatty Acid Composition in New Zealand Holstein-Friesian × Jersey-Cross Cows
Simple Summary
Abstract
1. Introduction
2. Materials and Methods
2.1. The Dairy Cattle Investigated and the Collection of Milk Samples from Them
2.2. Gas Chromatography of the Fatty Acids in the Milk Samples
2.3. Blood Sample Collection
2.4. Polymerase Chain Reaction (PCR) Amplification of a Region of the Cattle Myostain Gene
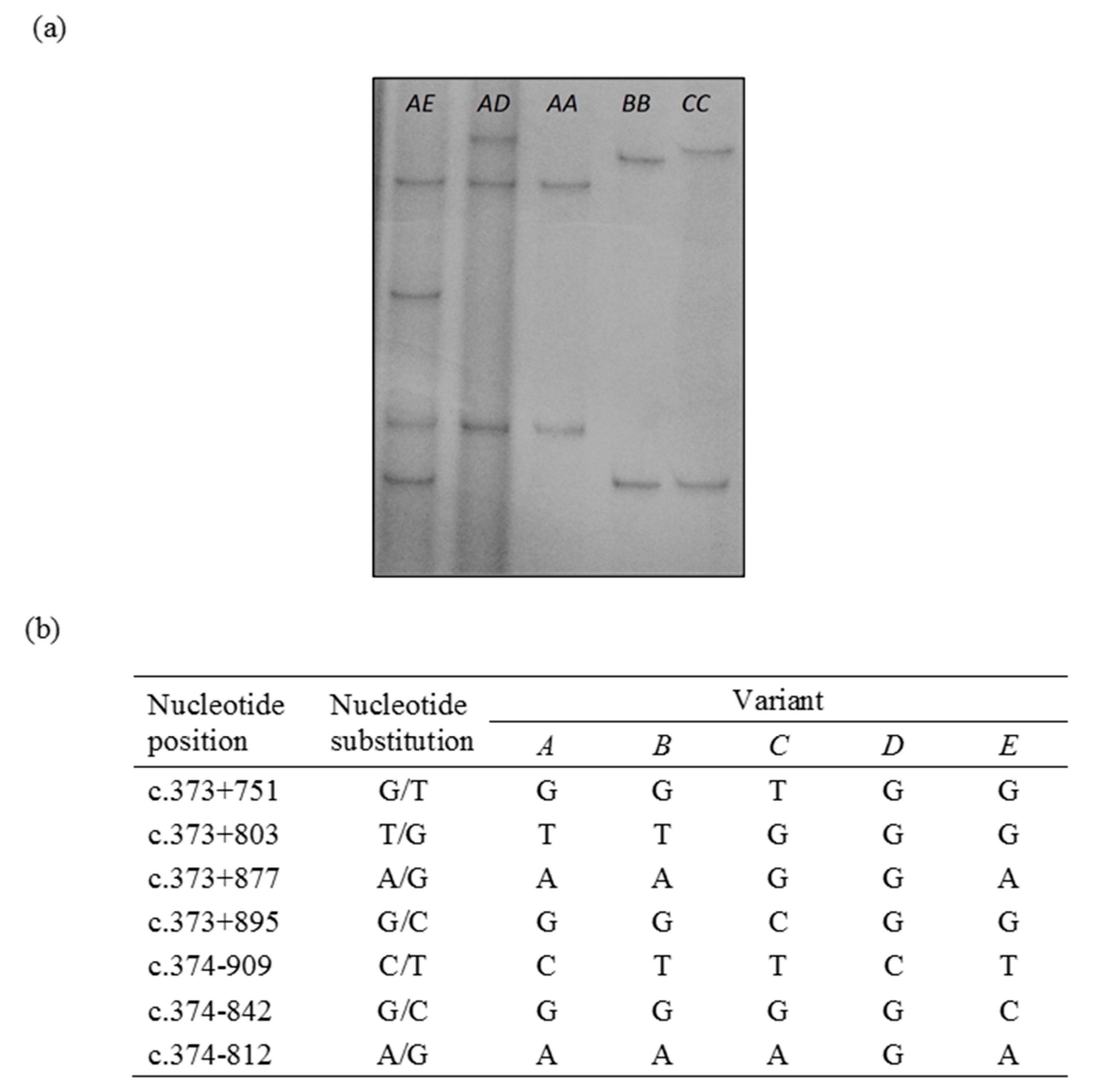
2.5. Single Strand Conformation Polymorphism (SSCP) Analysis
2.6. Nucleotide Sequencing and Sequence Analysis
2.7. Statistical Analyses
3. Results
3.1. Milk Production
3.2. Identification of Nucleotide Sequence Variation in Bovine MSTN
3.3. MSTN Genotype Models
4. Discussion
5. Conclusions
Supplementary Materials
Supplementary File 1Author Contributions
Funding
Acknowledgments
Conflicts of Interest
References
- McPherron, A.C.; Lawler, A.M.; Lee, S.J. Regulation of skeletal muscle mass in mice by a new TGF-b superfamily member. Nature 1997, 387, 83–90. [Google Scholar] [CrossRef] [PubMed]
- Mendias, C.L.; Bakhurin, K.I.; Faulkner, J.A. Tendons of myostatin-deficient mice are small, brittle, and hypocellular. Proc. Natl. Acad. Sci. USA 2008, 105, 388–393. [Google Scholar] [CrossRef] [PubMed]
- Whittemore, L.A.; Song, K.; Li, X.; Aghajanian, J.; Davies, M.; Girgenrath, S.; Hill, J.J.; Jalenak, M.; Kelley, P.; Knight, A.; et al. Inhibition of myostatin in adult mice increases skeletal muscle mass and strength. Biochem. Biophys. Res. Commun. 2003, 300, 965–971. [Google Scholar] [CrossRef]
- Kambadur, R.; Sharma, M.; Smith, T.P.; Bass, J.J. Mutations in myostatin (GDF8) in double-muscled Belgian Blue and Piedmontese cattle. Genome Res. 1997, 7, 910–916. [Google Scholar] [CrossRef]
- Hickford, J.G.H.; Forrest, R.H.; Zhou, H.; Fang, Q.; Han, J.; Frampton, C.M.; Horrell, A.L. Polymorphisms in the ovine myostatin gene (MSTN) and their association with growth and carcass traits in New Zealand Romney sheep. Anim. Genet. 2010, 41, 64–72. [Google Scholar] [CrossRef]
- McPherron, A.C.; Lee, S.J. Suppression of body fat accumulation in myostatin-deficient mice. J. Clin. Investig. 2002, 109, 595–601. [Google Scholar] [CrossRef]
- Grummer, R.R. Effects of feed on the composition of milk fat. J. Dairy Sci. 1991, 74, 3244–3257. [Google Scholar] [CrossRef]
- Palmquist, D.L.; Beaulieu, A.D.; Barbano, D.M. Feed and animal factors influencing milk fat composition. J. Dairy Sci. 1993, 76, 1753–1771. [Google Scholar] [CrossRef]
- Dewhurst, R.J.; Shingfield, K.J.; Lee, M.R.F.; Scollan, N.D. Increasing the concentrations of beneficial polyunsaturated fatty acids in milk produced by dairy cows in high-forage systems. Anim. Feed Sci. Technol. 2006, 131, 168–206. [Google Scholar] [CrossRef]
- Soyeurt, H.; Dardenne, P.F.; Dehareng, G.; Lognay, G.; Veselko, D.; Marlier, M.; Bertozzi, C.; Mayeres, P.; Gengler, N. Estimating fatty acid content in cow milk using mid-infrared spectrometry. J. Dairy Sci. 2006, 89, 3690–3695. [Google Scholar] [CrossRef]
- Stoop, W.M.; van Arendonk, J.A.M.; Heck, J.M.L.; van Valenberg, H.J.F.; Bovenhuis, H. Genetic parameters for major milk fatty acids and milk production traits of Dutch Holstein Friesians. J. Dairy Sci. 2008, 91, 385–394. [Google Scholar] [CrossRef] [PubMed]
- Palladino, R.A.; Buckley, F.; Prendiville, R.; Murphy, J.J.; Callan, J.; Kenny, D.A. A comparison between Holstein-Friesian and Jersey dairy cows and their f1 hybrid on milk fatty acid composition under grazing conditions. J. Dairy Sci. 2010, 93, 2176–2184. [Google Scholar] [CrossRef] [PubMed]
- Maurice-Van Eijndhoven, M.H.T.; Hiemstra, S.J.; Calus, M.P.L. Short communication: Milk fat composition of 4 cattle breeds in the Netherlands. J. Dairy Sci. 2011, 94, 1021–1025. [Google Scholar] [CrossRef] [PubMed]
- Strucken, E.M.; Laurenson, Y.C.S.M.; Brockmann, G.A. Go with the flow-biology and genetics of the lactation cycle. Front. Genet. 2015, 6, 118. [Google Scholar] [CrossRef] [PubMed]
- Bauman, D.E.; Bruce Currie, W. Partitioning of nutrients during pregnancy and lactation: A review of mechanisms involving homeostasis and homeorhesis. J. Dairy Sci. 1980, 63, 1514–1529. [Google Scholar] [CrossRef]
- Arnould, V.M.R.; Soyeurt, H. Genetic variability of milk fatty acids. J. Appl. Genet. 2009, 209, 29–39. [Google Scholar] [CrossRef]
- Li, Y.; Zhou, H.; Cheng, L.; Edwards, G.R.; Hickford, G.H.J. Effect of DGAT1 variant (K232A) on milk traits and milk fat composition in outdoor pasture-grazed dairy cattle. NZ. J. Agric. Res. 2019. [Google Scholar] [CrossRef]
- Zhou, H.; Hickford, G.H.J.; Fang, Q. A two-step procedure for extracting genomic DNA from dried blood spots on filter paper for polymerase chain reaction amplification. Anal. Biochem. 2006, 354, 159–161. [Google Scholar] [CrossRef]
- Haruna, I.L.; Ekegbu, U.J.; Ullah, F.; Amirpour-Najafabadi, H.; Zhou, H.; Hickford, J.G.H. Genetic variation and haplotypic diversity in the myostatin gene of New Zealand cattle breeds. Gene 2020, 740. [Google Scholar] [CrossRef]
- Byun, S.O.; Fang, Q.; Zhou, H.; Hickford, J.G.H. An effective method for silver-staining DNA in large numbers of polyacrylamide gels. Anal. Biochem. 2009, 385, 174–175. [Google Scholar] [CrossRef]
- Gong, H.; Zhou, H.; Hickford, J.G.H. Diversity of the glycine/tyrosine-rich keratin-associated protein 6 gene (KAP6) family in sheep. Mol. Biol. Rep. 2011, 38, 31–35. [Google Scholar] [CrossRef] [PubMed]
- Smith, J.A.; Lewis, A.M.; Wiener, P.; Williams, J.L. Genetic variation in the bovine myostatin gene in UK beef cattle: Allele frequencies and haplotype analysis in the South Devon. Anim. Genet. 2000, 31, 306–309. [Google Scholar] [CrossRef] [PubMed]
- Wiener, P.; Woolliams, J.A.; Frank-Lawale, A.; Ryan, M.; Richardson, R.I.; Nute, G.R.; Wood, J.D.; Homer, D.; Williams, J.L. The effects of a mutation in the myostatin gene on meat and carcass quality. Meat Sci. 2009, 83, 127–134. [Google Scholar] [CrossRef] [PubMed]
- Raes, K.; de Smet, S.; Demeyer, D. Effect of double muscling in Belgian Blue young bulls on the intramuscular fatty acid composition with emphasis on conjugated linoleic acid and polyunsaturated fatty acids. Anim. Sci. 2001, 73, 253–260. [Google Scholar] [CrossRef]
- He, Y.L.; Wu, Y.H.; Quan, F.S.; Liu, Y.G.; Zhang, Y. Molecular analysis of the first intron in the bovine myostatin gene. Mol. Biol. Rep. 2010, 38, 4643–4649. [Google Scholar] [CrossRef]
- Buske, B.; Gengler, N.; Soyeurt, H. Short-communication: Influence of the muscle hypertrophy mutation of the myostatin gene on milk production traits and milk fatty acid composition in dual-purpose Belgian Blue dairy cattle. J. Dairy Sci. 2011, 94, 3687–3692. [Google Scholar] [CrossRef]
- Liu, K.; Sandgren, E.P.; Palmiter, R.D.; Stein, A. Rat growth hormone gene introns stimulate nucleosome alignment in vitro and in transgenic mice. Proc. Natl. Acad. Sci. USA 1995, 92, 7724–7728. [Google Scholar] [CrossRef]
- Sauna, Z.E.; Kimchi-Sarfaty, C. Understanding the contribution of synonymous mutations to human disease. Nat. Rev. Genet. 2011, 12, 683–691. [Google Scholar] [CrossRef]
- Hunt, R.C.; Simhadri, V.L.; Iandoli, M.; Sauna, Z.E.; Kimchi-Sarfaty, C. Exposing synonymous mutations. Trends Genet. 2014, 30, 308–321. [Google Scholar] [CrossRef]

| Individual/Grouped Fatty Acids 1 | Mean ± Standard Error 2 (g/100 g Milk Fatty Acids) | p3 | |||
|---|---|---|---|---|---|
| AA (n = 149) | AB (n = 87) | AC (n = 48) | AD (n = 63) | ||
| C4:0 | 1.264 ± 0.012 | 1.252 ± 0.015 | 1.252 ± 0.020 | 1.262 ± 0.017 | 0.871 |
| C6:0 | 1.566 ± 0.010 | 1.548 ± 0.013 | 1.549 ± 0.017 | 1.547 ± 0.015 | 0.458 |
| C8:0 | 1.198 ± 0.009 | 1.179 ± 0.011 | 1.188 ± 0.014 | 1.169 ± 0.012 | 0.150 |
| C10:0 | 3.299 ± 0.035 | 3.244 ± 0.043 | 3.293 ± 0.056 | 3.164 ± 0.050 | 0.097 |
| C10:1 | 0.294 ± 0.004 | 0.282 ± 0.005 | 0.283 ± 0.007 | 0.284 ± 0.006 | 0.108 |
| C11:0 | 0.062 ± 0.002 | 0.058 ± 0.002 | 0.056 ± 0.003 | 0.057 ± 0.002 | 0.124 |
| C12:0 | 4.029 ± 0.046 a | 3.939 ± 0.057 ab | 4.015 ± 0.075 ab | 3.824 ± 0.067 b | 0.046 |
| C13:0 iso | 0.084 ± 0.002 | 0.079 ± 0.002 | 0.080 ± 0.002 | 0.078 ± 0.002 | 0.076 |
| C12:1 | 0.096 ± 0.002 a | 0.091 ± 0.002 ab | 0.093 ± 0.003 ab | 0.088 ± 0.003 b | 0.019 |
| C13:0 anteiso | 0.038 ± 0.000 | 0.038 ± 0.001 | 0.038 ± 0.001 | 0.039 ± 0.001 | 0.450 |
| C13:0 | 0.123 ± 0.002 | 0.119 ± 0.003 | 0.117 ± 0.004 | 0.118 ± 0.004 | 0.364 |
| C14:0 | 12.513 ± 0.079 | 12.478 ± 0.098 | 12.690 ± 0.128 | 12.365 ± 0.114 | 0.266 |
| C14:1 cis-9 | 1.003 ± 0.020 | 0.959 ± 0.025 | 0.967 ± 0.033 | 0.966 ± 0.029 | 0.390 |
| C15:0 iso | 0.296 ± 0.002 | 0.290 ± 0.003 | 0.299 ± 0.004 | 0.290 ± 0.004 | 0.148 |
| C15:0 anteiso | 0.639 ± 0.009 | 0.633 ± 0.011 | 0.647 ± 0.014 | 0.646 ± 0.012 | 0.814 |
| C15:0 | 1.485 ± 0.016 | 1.473 ± 0.019 | 1.474 ± 0.026 | 1.471 ± 0.023 | 0.922 |
| C15:1 | 0.283 ± 0.003 | 0.281 ± 0.004 | 0.287 ± 0.005 | 0.286 ± 0.004 | 0.714 |
| C16:0 | 37.396 ± 0.288 | 37.624 ± 0.354 | 36.999 ± 0.465 | 37.558 ± 0.412 | 0.711 |
| C16:1 cis-9 | 1.266 ± 0.023 | 1.245 ± 0.028 | 1.273 ± 0.037 | 1.301 ± 0.033 | 0.576 |
| C17:0 iso | 0.555 ± 0.006 | 0.553 ± 0.008 | 0.556 ± 0.010 | 0.553 ± 0.009 | 0.987 |
| C17:0 | 0.690 ± 0.006 | 0.698 ± 0.008 | 0.693 ± 0.010 | 0.690 ± 0.009 | 0.816 |
| C17:1 | 0.195 ± 0.002 | 0.194 ± 0.003 | 0.198 ± 0.004 | 0.199 ± 0.003 | 0.639 |
| C18:0 | 8.547 ± 0.119 | 8.652 ± 0.146 | 8.652 ± 0.192 | 8.607 ± 0.170 | 0.918 |
| C18:1 trans-11 | 2.756 ± 0.068 | 2.782 ± 0.083 | 2.801 ± 0.110 | 2.794 ± 0.097 | 0.974 |
| C18:1 cis-9 | 12.833 ± 0.142 | 12.891 ± 0.175 | 12.891 ± 0.230 | 13.146 ± 0.204 | 0.595 |
| C18:2 trans-9,12 | 0.377 ± 0.006 | 0.370 ± 0.007 | 0.391 ± 0.009 | 0.381 ± 0.008 | 0.230 |
| C18:2 cis-9, trans-13 | 0.288 ± 0.003 | 0.281 ± 0.004 | 0.291 ± 0.005 | 0.292 ± 0.005 | 0.225 |
| C18:2 cis-9, trans-12 | 0.067 ± 0.002 | 0.064 ± 0.002 | 0.065 ± 0.003 | 0.067 ± 0.002 | 0.670 |
| C18:2 trans-9, cis-12 | 0.475 ± 0.011 | 0.483 ± 0.014 | 0.492 ± 0.018 | 0.473 ± 0.016 | 0.771 |
| C18:2 cis-9,12 | 0.693 ± 0.007 | 0.677 ± 0.009 | 0.697 ± 0.012 | 0.699 ± 0.011 | 0.279 |
| C19:0 | 0.140 ± 0.003 | 0.140 ± 0.003 | 0.143 ± 0.004 | 0.142 ± 0.004 | 0.890 |
| C18:3 cis-6,9,12 | 0.075 ± 0.001 | 0.073 ± 0.001 | 0.074 ± 0.002 | 0.073 ± 0.001 | 0.511 |
| C18:3 cis-9,12,15 | 0.805 ± 0.010 | 0.776 ± 0.013 | 0.818 ± 0.017 | 0.800 ± 0.015 | 0.144 |
| CLA cis-9, trans-11 | 1.012 ± 0.028 | 1.001 ± 0.034 | 1.031 ± 0.045 | 1.029 ± 0.040 | 0.920 |
| C20:0 | 0.126 ± 0.002 | 0.126 ± 0.002 | 0.130 ± 0.003 | 0.127 ± 0.002 | 0.530 |
| C20:1 cis-5 | 0.060 ± 0.001 | 0.060 ± 0.002 | 0.062 ± 0.002 | 0.060 ± 0.002 | 0.891 |
| C20:1 cis-9 | 0.151 ± 0.002 | 0.152 ± 0.003 | 0.149 ± 0.004 | 0.151 ± 0.003 | 0.890 |
| C20:1 cis-11 | 0.077 ± 0.001 | 0.075 ± 0.002 | 0.076 ± 0.002 | 0.073 ± 0.002 | 0.093 |
| C20:3 cis-8,11,14 | 0.030 ± 0.001 | 0.031 ± 0.001 | 0.032 ± 0.001 | 0.029 ± 0.001 | 0.137 |
| C20:4 cis-5,8,11,14 | 0.035 ± 0.001 | 0.035 ± 0.001 | 0.034 ± 0.001 | 0.034 ± 0.001 | 0.927 |
| C22:0 | 0.064 ± 0.001 | 0.067 ± 0.002 | 0.066 ± 0.002 | 0.066 ± 0.002 | 0.519 |
| C22:1 trans-13 | 0.066 ± 0.001 | 0.068 ± 0.002 | 0.070 ± 0.002 | 0.067 ± 0.002 | 0.190 |
| C20:5 cis-5,8,11,14,17 | 0.088 ± 0.00 | 0.089 ± 0.001 | 0.089 ± 0.002 | 0.088 ± 0.002 | 0.936 |
| C24:0 | 0.044 ± 0.001 | 0.046 ± 0.001 | 0.044 ± 0.001 | 0.045 ± 0.001 | 0.294 |
| C22:5 cis-7,10,13,16,19 | 0.123 ± 0.002 | 0.122 ± 0.003 | 0.123 ± 0.004 | 0.123 ± 0.003 | 0.996 |
| SCFA | 4.030 ± 0.027 | 3.979 ± 0.033 | 3.989 ± 0.043 | 3.977 ± 0.038 | 0.451 |
| MCFA | 19.841 ± 0.148 | 19.661 ± 0.182 | 19.997 ± 0.239 | 19.353 ± 0.212 | 0.127 |
| LCFA | 48.492 ± 0.252 | 48.826 ± 0.310 | 48.201 ± 0.407 | 48.706 ± 0.360 | 0.587 |
| Total C18:1 | 16.300 ± 0.168 | 16.383 ± 0.206 | 16.400 ± 0.271 | 16.654 ± 0.240 | 0.634 |
| Total C18:2 | 2.911 ± 0.041 | 2.876 ± 0.051 | 2.969 ± 0.067 | 2.940 ± 0.059 | 0.664 |
| Total C18:3 | 0.880 ± 0.011 | 0.849 ± 0.013 | 0.893 ± 0.017 | 0.873 ± 0.015 | 0.123 |
| Omega 3 | 1.017 ± 0.011 | 0.987 ± 0.014 | 1.030 ± 0.018 | 1.011 ± 0.016 | 0.173 |
| Omega 6 | 0.832 ± 0.008 | 0.815 ± 0.010 | 0.838 ± 0.013 | 0.836 ± 0.011 | 0.317 |
| MUFA | 19.792 ± 0.174 | 19.790 ± 0.214 | 19.858 ± 0.281 | 20.128 ± 0.249 | 0.657 |
| PUFA | 4.067 ± 0.044 | 4.002 ± 0.054 | 4.139 ± 0.071 | 4.088 ± 0.063 | 0.410 |
| Branched FA | 1.611 ± 0.014 | 1.593 ± 0.017 | 1.620 ± 0.022 | 1.605 ± 0.020 | 0.735 |
| Total UFA | 23.859 ± 0.206 | 23.792 ± 0.254 | 23.997 ± 0.334 | 24.216 ± 0.295 | 0.663 |
| Total SFA | 72.548 ± 0.225 | 72.643 ± 0.277 | 72.362 ± 0.364 | 72.210 ± 0.323 | 0.701 |
| Unsaturated index | 24.756 ± 0.218 | 24.678 ± 0.269 | 24.911 ± 0.353 | 25.119 ± 0.313 | 0.677 |
| C10:1 index | 8.252 ± 0.136 | 8.032 ± 0.167 | 7.972 ± 0.219 | 8.321 ± 0.194 | 0.410 |
| C12:1 index | 2.328 ± 0.034 | 2.239 ± 0.042 | 2.266 ± 0.055 | 2.256 ± 0.048 | 0.243 |
| C14:1 index | 7.424 ± 0.148 | 7.133 ± 0.183 | 7.087 ± 0.240 | 7.256 ± 0.213 | 0.427 |
| C16:1 index | 3.281 ± 0.052 | 3.200 ± 0.063 | 3.319 ± 0.083 | 3.338 ± 0.074 | 0.435 |
| C18:1 index | 65.594 ± 0.331 | 65.409 ± 0.407 | 65.514 ± 0.535 | 65.913 ± 0.474 | 0.855 |
| CLA index | 26.626 ± 0.269 | 26.339 ± 0.332 | 26.725 ± 0.436 | 26.868 ± 0.386 | 0.716 |
© 2020 by the authors. Licensee MDPI, Basel, Switzerland. This article is an open access article distributed under the terms and conditions of the Creative Commons Attribution (CC BY) license (http://creativecommons.org/licenses/by/4.0/).
Share and Cite
Haruna, I.L.; Li, Y.; Ekegbu, U.J.; Amirpour-Najafabadi, H.; Zhou, H.; Hickford, J.G.H. Associations between the Bovine Myostatin Gene and Milk Fatty Acid Composition in New Zealand Holstein-Friesian × Jersey-Cross Cows. Animals 2020, 10, 1447. https://doi.org/10.3390/ani10091447
Haruna IL, Li Y, Ekegbu UJ, Amirpour-Najafabadi H, Zhou H, Hickford JGH. Associations between the Bovine Myostatin Gene and Milk Fatty Acid Composition in New Zealand Holstein-Friesian × Jersey-Cross Cows. Animals. 2020; 10(9):1447. https://doi.org/10.3390/ani10091447
Chicago/Turabian StyleHaruna, Ishaku L., Yunhai Li, Ugonna J. Ekegbu, Hamed Amirpour-Najafabadi, Huitong Zhou, and Jon G. H. Hickford. 2020. "Associations between the Bovine Myostatin Gene and Milk Fatty Acid Composition in New Zealand Holstein-Friesian × Jersey-Cross Cows" Animals 10, no. 9: 1447. https://doi.org/10.3390/ani10091447
APA StyleHaruna, I. L., Li, Y., Ekegbu, U. J., Amirpour-Najafabadi, H., Zhou, H., & Hickford, J. G. H. (2020). Associations between the Bovine Myostatin Gene and Milk Fatty Acid Composition in New Zealand Holstein-Friesian × Jersey-Cross Cows. Animals, 10(9), 1447. https://doi.org/10.3390/ani10091447

