Outer-Membrane Vesicles of Fusobacterium necrophorum: A Proteomic, Lipidomic, and Functional Characterization
Abstract
1. Introduction
2. Materials and Methods
2.1. Bacterial Strain and Cell Culture
2.2. Isolation and Purification of OMVs from Bacterial Culture Supernatants
2.3. OMV Extraction in Iron-Deficient Conditions
2.4. Transmission-Electron Microscopy (TEM)
2.5. PCR Amplification of F. necrophorum-Specific Genes
2.6. Proteomic Analysis of OMVs
2.7. Western-Blot Analysis
2.8. Lipid Analysis
2.9. Lactate Dehydrogenase (LDH) Cytotoxicity Assays
2.10. Statistical Analysis
3. Results
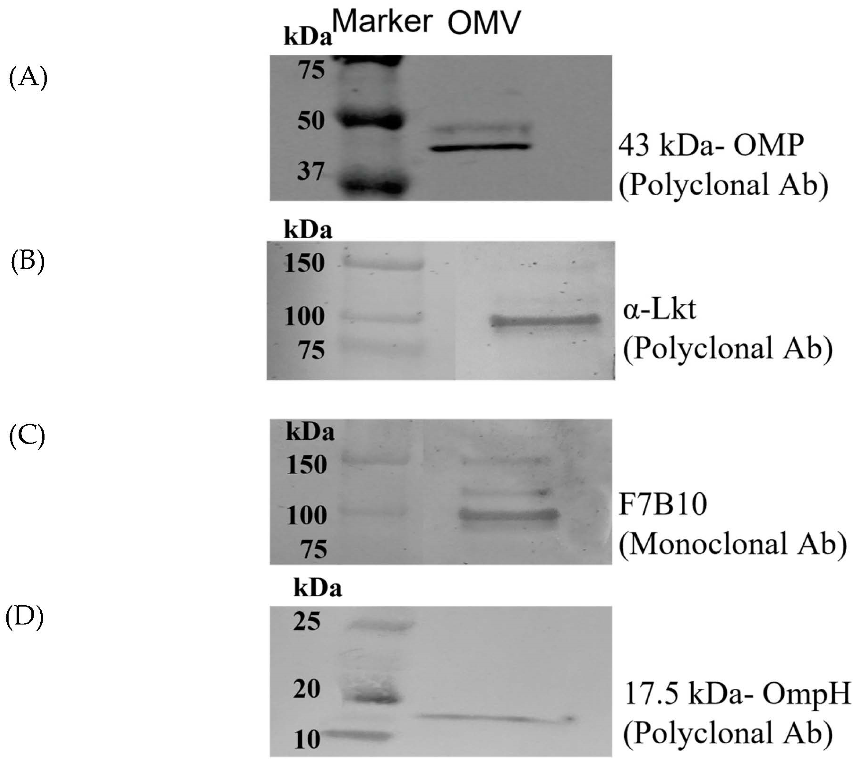
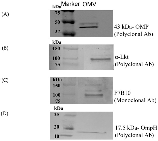
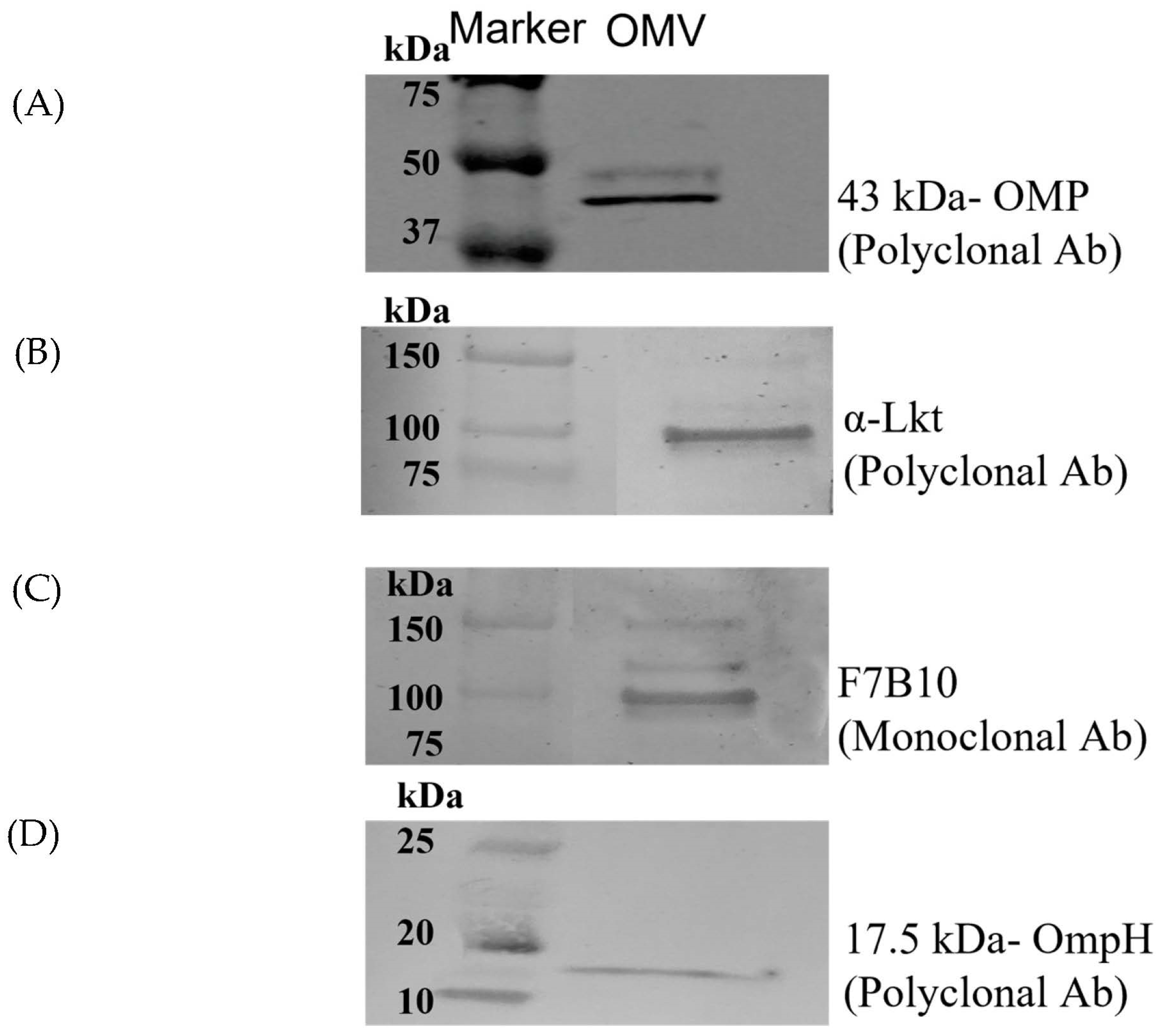
3.1. Characterization and Purity of OMVs
3.2. Proteomics Analysis of OMVs
3.3. Lipidomics Analysis of OMVs
3.4. Functional Characterization of F. necrophorum OMVs
4. Discussion
Supplementary Materials
Author Contributions
Funding
Data Availability Statement
Acknowledgments
Conflicts of Interest
References
- Nagaraja, T.G.; Narayanan, S.K.; Stewart, G.C.; Chengappa, M.M. Fusobacterium necrophorum Infections in Animals: Pathogenesis and Pathogenic Mechanisms. Anaerobe 2005, 11, 239–246. [Google Scholar] [CrossRef] [PubMed]
- Riordan, T. Human Infection with Fusobacterium necrophorum (Necrobacillosis), with a Focus on Lemierre’s Syndrome. Clin. Microbiol. Rev. 2007, 20, 622–659. [Google Scholar] [CrossRef]
- Langworth, B.F. Fusobacterium necrophorum: Its Characteristics and Role as an Animal Pathogen. Bacteriol. Rev. 1977, 41, 373–390. [Google Scholar] [CrossRef] [PubMed]
- Nagaraja, T.G.; Chengappa, M.M. Liver Abscesses in Feedlot Cattle: A Review. J. Anim. Sci. 1998, 2, 287–298. [Google Scholar] [CrossRef]
- Clifton, R.; Giebel, K.; Liu, N.L.B.H.; Purdy, K.J.; Green, L.E. Sites of Persistence of Fusobacterium necrophorum and Dichelobacter nodosus: A Paradigm Shift in Understanding the Epidemiology of Footrot in Sheep. Sci. Rep. 2019, 9, 14429. [Google Scholar] [CrossRef] [PubMed]
- Müller, H.C.; Van Bibber-Krueger, C.L.; Ogunrinu, O.J.; Amachawadi, R.G.; Scott, H.M.; Drouillard, J.S. Effects of Intermittent Feeding of Tylosin Phosphate during the Finishing Period on Feedlot Performance, Carcass Characteristics, Antimicrobial Resistance, and Incidence and Severity of Liver Abscesses in Steers. J. Anim. Sci. 2018, 96, 2877–2885. [Google Scholar] [CrossRef]
- Bandyopadhyay, S.; Samanta, I. Antimicrobial Resistance in Agri-Food Chain and Companion Animals as a Re-Emerging Menace in Post-COVID Epoch: Low-and Middle-Income Countries Perspective and Mitigation Strategies. Front. Vet. Sci. 2020, 7, 620. [Google Scholar] [CrossRef]
- Fox, J.T.; Thomson, D.U.; Lindberg, N.N.; Barling, K. A Comparison of Two Vaccines to Reduce Liver Abscesses in Natural-Fed Beef Cattle. Bov. Pract. 2009, 43, 168–174. [Google Scholar] [CrossRef]
- Saginala, S.; Nagaraja, T.G.; Lechtenberg, K.F.; Chengappa, M.M.; Kemp, K.E.; Hine, P.M. Effect of Fusobacterium necrophorum Leukotoxoid Vaccine on Susceptibility to Experimentally Induced Liver Abscesses in Cattle. J. Anim. Sci. 1997, 75, 1160–1166. [Google Scholar] [CrossRef]
- Kumar, A.; Menon, S.; Nagaraja, T.G.; Narayanan, S. Identification of an Outer Membrane Protein of Fusobacterium necrophorum Subsp. Necrophorum that Binds with High Affinity to Bovine Endothelial Cells. Vet. Microbiol. 2015, 176, 196–201. [Google Scholar] [CrossRef]
- Narayanan, S.K.; Chengappa, M.M.; Stewart, G.C.; Nagaraja, T.G. Immunogenicity and Protective Effects of Truncated Recombinant Leukotoxin Proteins of Fusobacterium necrophorum in Mice. Vet. Microbiol. 2003, 93, 335–347. [Google Scholar] [CrossRef]
- Nagai, S.; Kanoe, M.; Toda, M. Purification and Partial Characterization of Fusobacterium necrophorum Hemagglutinin. Zentralbl. Bakteriol. Mikrobiol. Hyg. A 1984, 258, 232–241. [Google Scholar] [CrossRef] [PubMed]
- Roier, S.; Zingl, F.G.; Cakar, F.; Schild, S. Bacterial Outer Membrane Vesicle Biogenesis: A New Mechanism and Its Implications. Microb. Cell 2016, 3, 257. [Google Scholar] [CrossRef] [PubMed]
- Li, M.; Zhou, H.; Yang, C.; Wu, Y.; Zhou, X.; Liu, H.; Wang, Y. Bacterial Outer Membrane Vesicles as a Platform for Biomedical Applications: An Update. J. Control. Release 2020, 323, 253–268. [Google Scholar] [CrossRef] [PubMed]
- Wang, S.; Gao, J.; Wang, Z. Outer Membrane Vesicles for Vaccination and Targeted Drug Delivery. Wiley Interdiscip. Rev. Nanomed. Nanobiotechnol. 2019, 11, e1523. [Google Scholar] [CrossRef]
- Hu, R.; Li, J.; Zhao, Y.; Lin, H.; Liang, L.; Wang, M.; Liu, H.; Min, Y.; Gao, Y.; Yang, M. Exploiting Bacterial Outer Membrane Vesicles as a Cross-Protective Vaccine Candidate against Avian Pathogenic Escherichia coli (APEC). Microb. Cell Factories 2020, 19, 119. [Google Scholar] [CrossRef] [PubMed]
- Gasperini, G.; Biagini, M.; Arato, V.; Gianfaldoni, C.; Vadi, A.; Norais, N.; Bensi, G.; Delany, I.; Pizza, M.; Aricò, B.; et al. Outer Membrane Vesicles (OMV)-Based and Proteomics-Driven Antigen Selection Identifies Novel Factors Contributing to Bordetella pertussis Adhesion to Epithelial Cells. Mol. Cell. Proteom. 2018, 17, 205–215. [Google Scholar] [CrossRef]
- Matthias, K.A.; Reveille, A.; Connolly, K.L.; Jerse, A.E.; Gao, Y.S.; Bash, M.C. Deletion of Major Porins from Meningococcal Outer Membrane Vesicle Vaccines Enhances Reactivity against Heterologous Serogroup B Neisseria meningitidis Strains. Vaccine 2020, 38, 2396–2405. [Google Scholar] [CrossRef]
- Altindis, E.; Fu, Y.; Mekalanos, J.J. Proteomic Analysis of Vibrio cholerae Outer Membrane Vesicles. Proc. Natl. Acad. Sci. USA 2014, 111, E1548–E1556. [Google Scholar] [CrossRef]
- McCaig, W.D.; Loving, C.L.; Hughes, H.R.; Brockmeier, S.L. Characterization and Vaccine Potential of Outer Membrane Vesicles Produced by Haemophilus parasuis. PLoS ONE 2016, 11, e0149132. [Google Scholar] [CrossRef]
- Liu, J.; Hsieh, C.-L.; Gelincik, O.; Devolder, B.; Sei, S.; Zhang, S.; Lipkin, S.M.; Chang, Y.-F. Proteomic Characterization of Outer Membrane Vesicles from Gut Mucosa-Derived Fusobacterium nucleatum. J. Proteom. 2019, 195, 125–137. [Google Scholar] [CrossRef]
- Holst, J.; Martin, D.; Arnold, R.; Huergo, C.C.; Oster, P.; O’Hallahan, J.; Rosenqvist, E. Properties and Clinical Performance of Vaccines Containing Outer Membrane Vesicles from Neisseria meningitidis. Vaccine 2009, 27, B3–B12. [Google Scholar] [CrossRef] [PubMed]
- Oster, P.; O’Hallahan, J.; Aaberge, I.; Tilman, S.; Ypma, E.; Martin, D. Immunogenicity and Safety of a Strain-Specific MenB OMV Vaccine Delivered to under 5-Year Olds in New Zealand. Vaccine 2007, 25, 3075–3079. [Google Scholar] [CrossRef] [PubMed]
- Bottero, D.; Gaillard, M.E.; Zurita, E.; Moreno, G.; Martinez, D.S.; Bartel, E.; Bravo, S.; Carriquiriborde, F.; Errea, A.; Castuma, C.; et al. Characterization of the Immune Response Induced by Pertussis OMVs-Based Vaccine. Vaccine 2016, 34, 3303–3309. [Google Scholar] [CrossRef] [PubMed]
- König, E.; Gagliardi, A.; Riedmiller, I.; Andretta, C.; Tomasi, M.; Irene, C.; Frattini, L.; Zanella, I.; Berti, F.; Grandi, A.; et al. Multi-Antigen Outer Membrane Vesicle Engineering to Develop Polyvalent Vaccines: The Staphylococcus aureus Case. Front. Immunol. 2021, 12, 752168. [Google Scholar] [CrossRef] [PubMed]
- Kim, S.-H.; Kim, K.-S.; Lee, S.-R.; Kim, E.; Kim, M.-S.; Lee, E.-Y.; Gho, Y.S.; Kim, J.-W.; Bishop, R.E.; Chang, K.-T. Structural Modifications of Outer Membrane Vesicles to Refine Them as Vaccine Delivery Vehicles. Biochim. Biophys. Acta BBA-Biomembr. 2009, 1788, 2150–2159. [Google Scholar] [CrossRef] [PubMed]
- Liu, Q.; Liu, Q.; Yi, J.; Liang, K.; Hu, B.; Zhang, X.; Curtiss, R.; Kong, Q. Outer Membrane Vesicles from Flagellin-Deficient Salmonella enterica Serovar Typhimurium Induce Cross-Reactive Immunity and Provide Cross-Protection against Heterologous Salmonella Challenge. Sci. Rep. 2016, 6, 34776. [Google Scholar] [CrossRef]
- Narayanan, S.K.; Nagaraja, T.G.; Okwumabua, O.; Staats, J.; Chengappa, M.M.; Oberst, R.D. Ribotyping to Compare Fusobacterium necrophorum Isolates from Bovine Liver Abscesses, Ruminal Walls, and Ruminal Contents. Appl. Environ. Microbiol. 1997, 63, 4671–4678. [Google Scholar] [CrossRef]
- Kohl, P.; Zingl, F.G.; Eichmann, T.O.; Schild, S. Isolation of Outer Membrane Vesicles Including Their Quantitative and Qualitative Analyses. In Vibrio cholerae: Methods and Protocols; Sikora, A.E., Ed.; Methods in Molecular Biology; Springer: New York, NY, USA, 2018; pp. 117–134. ISBN 978-1-4939-8685-9. [Google Scholar]
- Chutkan, H.; MacDonald, I.; Manning, A.; Kuehn, M.J. Quantitative and Qualitative Preparations of Bacterial Outer Membrane Vesicles. In Bacterial Cell Surfaces: Methods and Protocols; Delcour, A.H., Ed.; Methods in Molecular Biology; Humana Press: Totowa, NJ, USA, 2013; pp. 259–272. ISBN 978-1-62703-245-2. [Google Scholar]
- Cox, J.; Mann, M. MaxQuant Enables High Peptide Identification Rates, Individualized p.p.b.-Range Mass Accuracies and Proteome-Wide Protein Quantification. Nat. Biotechnol. 2008, 26, 1367–1372. [Google Scholar] [CrossRef]
- Narayanan, S.K.; Nagaraja, T.G.; Chengappa, M.M.; Stewart, G.C. Cloning, Sequencing, and Expression of the Leukotoxin Gene from Fusobacterium necrophorum. Infect. Immun. 2001, 69, 5447–5455. [Google Scholar] [CrossRef]
- Tan, Z.L.; Nagaraja, T.G.; Chengappa, M.M.; Staats, J.J. Purification and Quantification of Fusobacterium necrophorum Leukotoxin by Using Monoclonal Antibodies. Vet. Microbiol. 1994, 42, 121–133. [Google Scholar] [CrossRef] [PubMed]
- Bligh, E.G.; Dyer, W.J. A rapid method of total lipid extraction and purification. Can. J. Biochem. Physiol. 1959, 37, 911–917. [Google Scholar] [CrossRef] [PubMed]
- Clyde-Brockway, C.E.; Ferreira, C.R.; Flaherty, E.A.; Paladino, F.V. Lipid Profiling Suggests Species Specificity and Minimal Seasonal Variation in Pacific Green and Hawksbill Turtle Plasma. PLoS ONE 2021, 16, e0253916. [Google Scholar] [CrossRef]
- Cecil, J.D.; O’Brien-Simpson, N.M.; Lenzo, J.C.; Holden, J.A.; Chen, Y.-Y.; Singleton, W.; Gause, K.T.; Yan, Y.; Caruso, F.; Reynolds, E.C. Differential Responses of Pattern Recognition Receptors to Outer Membrane Vesicles of Three Periodontal Pathogens. PLoS ONE 2016, 11, e0151967. [Google Scholar] [CrossRef] [PubMed]
- Naradasu, D.; Miran, W.; Sharma, S.; Takenawa, S.; Soma, T.; Nomura, N.; Toyofuku, M.; Okamoto, A. Biogenesis of Outer Membrane Vesicles Concentrates the Unsaturated Fatty Acid of Phosphatidylinositol in Capnocytophaga ochracea. Front. Microbiol. 2021, 12, 682685. [Google Scholar] [CrossRef]
- Turner, L.; Bitto, N.J.; Steer, D.L.; Lo, C.; D’Costa, K.; Ramm, G.; Shambrook, M.; Hill, A.F.; Ferrero, R.L.; Kaparakis-Liaskos, M. Helicobacter pylori Outer Membrane Vesicle Size Determines Their Mechanisms of Host Cell Entry and Protein Content. Front. Immunol. 2018, 9, 1466. [Google Scholar] [CrossRef] [PubMed]
- Brameyer, S.; Plener, L.; Müller, A.; Klingl, A.; Wanner, G.; Jung, K. Outer Membrane Vesicles Facilitate Trafficking of the Hydrophobic Signaling Molecule CAI-1 between Vibrio harveyi Cells. J. Bacteriol. 2018, 200, e00740-17. [Google Scholar] [CrossRef] [PubMed]
- Schwechheimer, C.; Kuehn, M.J. Outer-Membrane Vesicles from Gram-Negative Bacteria: Biogenesis and Functions. Nat. Rev. Microbiol. 2015, 13, 605–619. [Google Scholar] [CrossRef]
- MacDonald, I.A.; Kuehn, M.J. Stress-Induced Outer Membrane Vesicle Production by Pseudomonas aeruginosa. J. Bacteriol. 2013, 195, 2971–2981. [Google Scholar] [CrossRef]
- Mozaheb, N.; Mingeot-Leclercq, M.-P. Membrane Vesicle Production as a Bacterial Defense against Stress. Front. Microbiol. 2020, 11, 600221. [Google Scholar] [CrossRef]
- Tan, Z.L.; Nagaraja, T.G.; Chengappa, M.M. Factors Affecting the Leukotoxin Activity of Fusobacterium necrophorum. Vet. Microbiol. 1992, 32, 15–28. [Google Scholar] [CrossRef] [PubMed]
- Prados-Rosales, R.; Weinrick, B.C.; Piqué, D.G.; Jacobs, W.R.; Casadevall, A.; Rodriguez, G.M. Role for Mycobacterium tuberculosis Membrane Vesicles in Iron Acquisition. J. Bacteriol. 2014, 196, 1250–1256. [Google Scholar] [CrossRef] [PubMed]
- de Jonge, E.F.; Tommassen, J. Conditional Growth Defect of Bordetella Pertussis and Bordetella Bronchiseptica Ferric Uptake Regulator (Fur) Mutants. FEMS Microbiol. Lett. 2022, 369, fnac047. [Google Scholar] [CrossRef] [PubMed]
- Grifantini, R.; Sebastian, S.; Frigimelica, E.; Draghi, M.; Bartolini, E.; Muzzi, A.; Rappuoli, R.; Grandi, G.; Genco, C.A. Identification of Iron-Activated and -Repressed Fur-Dependent Genes by Transcriptome Analysis of Neisseria meningitidis Group B. Proc. Natl. Acad. Sci. USA 2003, 100, 9542–9547. [Google Scholar] [CrossRef]
- Kroniger, T.; Mehanny, M.; Schlüter, R.; Trautwein-Schult, A.; Köllner, B.; Becher, D. Effect of Iron Limitation, Elevated Temperature, and Florfenicol on the Proteome and Vesiculation of the Fish Pathogen Aeromonas salmonicida. Microorganisms 2022, 10, 1735. [Google Scholar] [CrossRef] [PubMed]
- Elhenawy, W.; Debelyy, M.O.; Feldman, M.F. Preferential Packing of Acidic Glycosidases and Proteases into Bacteroides Outer Membrane Vesicles. mBio 2014, 5, e00909-14. [Google Scholar] [CrossRef]
- Rollier, C.S.; Dold, C.; Marsay, L.; Linder, A.; Green, C.A.; Sadarangani, M.; Norheim, G.; Derrick, J.P.; Feavers, I.M.; Maiden, M.C.J.; et al. Human B Cell Responses to Dominant and Subdominant Antigens Induced by a Meningococcal Outer Membrane Vesicle Vaccine in a Phase I Trial. mSphere 2022, 7, e0067421. [Google Scholar] [CrossRef]
- Kieselbach, T.; Zijnge, V.; Granström, E.; Oscarsson, J. Proteomics of Aggregatibacter actinomycetemcomitans Outer Membrane Vesicles. PLoS ONE 2015, 10, e0138591. [Google Scholar] [CrossRef]
- Mani, M.; Chen, C.; Amblee, V.; Liu, H.; Mathur, T.; Zwicke, G.; Zabad, S.; Patel, B.; Thakkar, J.; Jeffery, C.J. MoonProt: A Database for Proteins That Are Known to Moonlight. Nucleic Acids Res. 2015, 43, D277–D282. [Google Scholar] [CrossRef]
- van der Pol, L.; Stork, M.; van der Ley, P. Outer Membrane Vesicles as Platform Vaccine Technology. Biotechnol. J. 2015, 10, 1689–1706. [Google Scholar] [CrossRef]
- Pérez-Cruz, C.; Delgado, L.; López-Iglesias, C.; Mercade, E. Outer-Inner Membrane Vesicles Naturally Secreted by Gram-Negative Pathogenic Bacteria. PLoS ONE 2015, 10, e0116896. [Google Scholar] [CrossRef]
- Sekhavati, M.; Mobarez, A.M.; Siadat, S.D.; Noofeli, M. A Novel Method for the Extraction of Outer Membrane Vesicles (OMVs) from Bordetella pertussis Tohama Strain. Iran. J. Microbiol. 2020, 12, 37–42. [Google Scholar] [CrossRef]
- Wells, T.J.; Tree, J.J.; Ulett, G.C.; Schembri, M.A. Autotransporter Proteins: Novel Targets at the Bacterial Cell Surface. FEMS Microbiol. Lett. 2007, 274, 163–172. [Google Scholar] [CrossRef] [PubMed]
- Narayanan, S.; Stewart, G.C.; Chengappa, M.M.; Willard, L.; Shuman, W.; Wilkerson, M.; Nagaraja, T.G. Fusobacterium necrophorum Leukotoxin Induces Activation and Apoptosis of Bovine Leukocytes. Infect. Immun. 2002, 70, 4609–4620. [Google Scholar] [CrossRef]
- Agrawal, A.; Ramachandran, R. Exploring the Links between Lipid Geometry and Mitochondrial Fission: Emerging Concepts. Mitochondrion 2019, 49, 305–313. [Google Scholar] [CrossRef] [PubMed]
- Nagakubo, T.; Nomura, N.; Toyofuku, M. Cracking Open Bacterial Membrane Vesicles. Front. Microbiol. 2020, 10, 3026. [Google Scholar] [CrossRef]
- Jasim, R.; Han, M.-L.; Zhu, Y.; Hu, X.; Hussein, M.H.; Lin, Y.-W.; Zhou, Q.; Dong, C.Y.D.; Li, J.; Velkov, T. Lipidomic Analysis of the Outer Membrane Vesicles from Paired Polymyxin-Susceptible and -Resistant Klebsiella pneumoniae Clinical Isolates. Int. J. Mol. Sci. 2018, 19, 2356. [Google Scholar] [CrossRef] [PubMed]
- Sartorio, M.G.; Valguarnera, E.; Hsu, F.-F.; Feldman, M.F. Lipidomics Analysis of Outer Membrane Vesicles and Elucidation of the Inositol Phosphoceramide Biosynthetic Pathway in Bacteroides thetaiotaomicron. Microbiol. Spectr. 2022, 10, e00634-21. [Google Scholar] [CrossRef]
- Heaver, S.L.; Johnson, E.L.; Ley, R.E. Sphingolipids in Host–Microbial Interactions. Curr. Opin. Microbiol. 2018, 43, 92–99. [Google Scholar] [CrossRef]
- Casares, D.; Escriba, P.V.; Rossello, C.A. Membrane Lipid Composition: Effect on Membrane and Organelle Structure, Function and Compartmentalization and Therapeutic Avenues. Int. J. Mol. Sci. 2019, 20, 2167. [Google Scholar] [CrossRef]
- Pérez-Cruz, C.; Cañas, M.-A.; Giménez, R.; Badia, J.; Mercade, E.; Baldomà, L.; Aguilera, L. Membrane Vesicles Released by a Hypervesiculating Escherichia coli Nissle 1917 TolR Mutant Are Highly Heterogeneous and Show Reduced Capacity for Epithelial Cell Interaction and Entry. PLoS ONE 2016, 11, e0169186. [Google Scholar] [CrossRef] [PubMed]
- Singh, A.N.; Nice, J.B.; Brown, A.C.; Wittenberg, N.J. Identifying Size-Dependent Toxin Sorting in Bacterial Outer Membrane. bioRxiv 2023. [Google Scholar] [CrossRef]





| Accession Number | F.A.S.T.A. Headers | Mol. Weight (kDa) | Intensity | Predicted Function |
|---|---|---|---|---|
| JQ740821.1 | 43-kilodalton outer-membrane protein | 42.927 | 1.15 × 1011 | Adhesion |
| AYZ72976.1 | Outer-membrane-protein transport protein (aromatic-hydrocarbon-degradation protein) | 51.728 | 4.40 × 1010 | Cell envelope |
| AYZ73105.1 | Filamentous protein containing the N-terminal domain of hemagglutinin | 154.19 | 3.34 × 1010 | Adhesion/carbohydrate-dependency hemagglutination activity |
| AYZ73911.1 | Outer-membrane-protein assembly factor | 79.432 | 2.02 × 1010 | Protein translocase/membrane-protein-assembly factors |
| AYZ73504.1 | OmpA-family protein | 22.748 | 1.93 × 1010 | Adhesion/porin |
| AYZ72978.1 | Leukotoxin-LktA-family filamentous adhesin | 335.96 | 1.85 × 1010 | Toxin/adhesion |
| AYZ74730.1 | Cell-surface protein (CSP) | 66.384 | 1.54 × 1010 | Adhesion/protein transport |
| AYZ74302.1 | Complement-resistance protein TraT | 25.823 | 1.36 × 1010 | Outer-membrane-protein component/unproductive conjugation prevention |
| AYZ73912.1 | OmpH-family outer-membrane protein | 17.559 | 1.17 × 1010 | Adhesion/periplasmic chaperone |
| AYZ73620.1 | Adhesin protein FadA | 14.319 | 1.10 × 1010 | Adhesion |
Disclaimer/Publisher’s Note: The statements, opinions and data contained in all publications are solely those of the individual author(s) and contributor(s) and not of MDPI and/or the editor(s). MDPI and/or the editor(s) disclaim responsibility for any injury to people or property resulting from any ideas, methods, instructions or products referred to in the content. |
© 2023 by the authors. Licensee MDPI, Basel, Switzerland. This article is an open access article distributed under the terms and conditions of the Creative Commons Attribution (CC BY) license (https://creativecommons.org/licenses/by/4.0/).
Share and Cite
Bista, P.K.; Pillai, D.; Narayanan, S.K. Outer-Membrane Vesicles of Fusobacterium necrophorum: A Proteomic, Lipidomic, and Functional Characterization. Microorganisms 2023, 11, 2082. https://doi.org/10.3390/microorganisms11082082
Bista PK, Pillai D, Narayanan SK. Outer-Membrane Vesicles of Fusobacterium necrophorum: A Proteomic, Lipidomic, and Functional Characterization. Microorganisms. 2023; 11(8):2082. https://doi.org/10.3390/microorganisms11082082
Chicago/Turabian StyleBista, Prabha K., Deepti Pillai, and Sanjeev K. Narayanan. 2023. "Outer-Membrane Vesicles of Fusobacterium necrophorum: A Proteomic, Lipidomic, and Functional Characterization" Microorganisms 11, no. 8: 2082. https://doi.org/10.3390/microorganisms11082082
APA StyleBista, P. K., Pillai, D., & Narayanan, S. K. (2023). Outer-Membrane Vesicles of Fusobacterium necrophorum: A Proteomic, Lipidomic, and Functional Characterization. Microorganisms, 11(8), 2082. https://doi.org/10.3390/microorganisms11082082

