Autochthonous and Imported Visceral Leishmaniasis in Bulgaria—Clinical Experience and Treatment of Patients
Abstract
1. Introduction
2. Materials and Methods
3. Results
3.1. Clinical Observations of Infected Patients with VL
3.2. Laboratory Evaluation of Infected with VL Patients
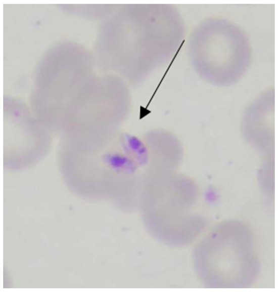
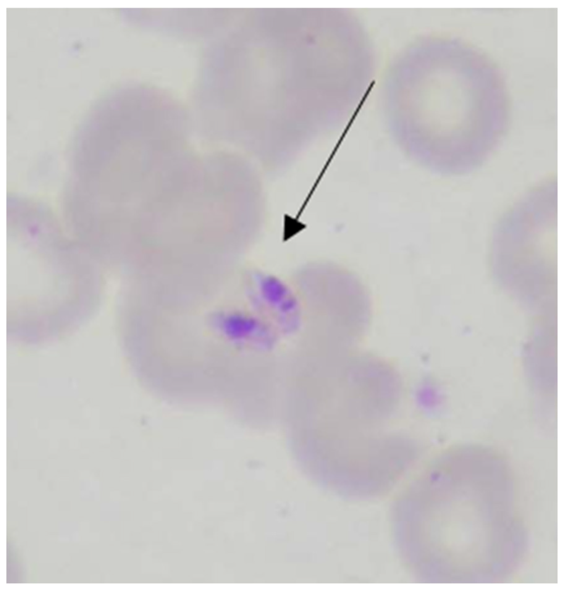
3.3. Etiological Diagnosis of Infected Patients with VL
3.4. Treatment of Infected Patients with VL
4. Discussion
5. Conclusions
Author Contributions
Funding
Institutional Review Board Statement
Informed Consent Statement
Data Availability Statement
Conflicts of Interest
References
- Burza, S.; Croft, S.L.; Boelaert, M. Leishmaniasis. Lancet 2018, 392, 951–970. [Google Scholar] [CrossRef] [PubMed]
 - Murray, H. Kala–Azar Progress against a Neglected Disease. N. Engl. J. Med. 2002, 145, 127–145. [Google Scholar] [CrossRef] [PubMed]
 - Van Griensven, J.; Diro, E. Visceral Leishmaniasis. Infect. Dis. Clin. N. Am. 2012, 26, 309–322. [Google Scholar] [CrossRef] [PubMed]
 - Ruiz-Postigo, J.A.; Saurabh, J.; Madjou, S.; Agua, J.F.V.; Maia-Elkhoury, A.N.; Valadas, S.; Warusavithana, S.; Osman, M.; Yajima, A.; Lin, Z.; et al. Global leishmaniasis surveillance, 2022: Assessing trends over the past 10 years. WHO Wkly. Epidemiol. Rec. 2023, 40, 471–488. [Google Scholar]
 - Varani, S.; Cagarelli, R.; Melchionda, F.; Attard, L.; Salvadori, C.; Finarelli, A.C.; Gentilomi, G.A.; Tigani, R.; Rangoni, R.; Todeschini, R.; et al. Ongoing Outbreak of Visceral Leishmaniasis in Bologna Province, Italy, November 2012 to May 2013. Eurosurveillance 2013, 18, 20530. [Google Scholar] [CrossRef] [PubMed]
 - Dujardin, J.C.; Campino, L.; Cañavate, C.; Dedet, J.P.; Gradoni, L.; Soteriadou, K.; Mazeris, A.; Ozbel, Y.; Boelaert, M. Spread of Vector-Borne Diseases and Neglect of Leishmaniasis, Europe. Emerg. Infect. Dis. 2008, 14, 1013–1018. [Google Scholar] [CrossRef] [PubMed]
 - Maia, C.; Conceição, C.; Pereira, A.; Rocha, R.; Ortuño, M.; Muñoz, C.; Jumakanova, Z.; Pérez-Cutillas, P.; Özbel, Y.; Töz, S.; et al. The estimated distribution of autochthonous leishmaniasis by Leishmania infantum in Europe in 2005–2020. PLoS Negl. Trop. Dis. 2023, 17, e0011497. [Google Scholar] [CrossRef] [PubMed]
 - Bratanov, B. Visceral Leishmaniosis; Medical Parasitology, State Publishing House Medicine and Physical Education Sofia: Sofia, Bulgaria, 1961; pp. 152–170. (In Bulgarian) [Google Scholar]
 - Gruev, T. Contribution to the study of leishmaniasis (kala-azar) in Bulgaria. Med. Rec. 1949, 8, 845–855. (In Bulgarian) [Google Scholar]
 - Andreev, I.; Angelov, A.; Karapanchev, B. Observation of cases of kala azar in childhood. Issues Ped Obst Gynec. 1958, 2, 38–46. (In Bulgarian) [Google Scholar]
 - Bratanov, B. First contributions to autochthonous childhood visceral leishmaniasis in Bulgaria. Sci. Pap. ISUL 1952, 1, 113–158. (In Bulgarian) [Google Scholar]
 - Zheleva, R.; Vachkov, P.; Stoycheva, E.; Peycheva, Z.; Vutova, K.; Elenkov, I.; Kostov, K.; Plochev, K.; Nakov, S.; Kurdova, R. Clinical-immunological study of patients with visceral leishmaniasis. In Proceedings of the II Jubilee Scientific Session “50 Years of Infectious Diseases Hospital”, Sofia, Bulgaria, 17–19 December 1989; pp. 44–45. (In Bulgarian). [Google Scholar]
 - Atanasov, K.; Baltov, I. Kala-azar-diagnosis, clinic and therapy (deescription of one case). Mod. Med. 1989, 11, 30–32. (In Bulgarian) [Google Scholar]
 - Filipov, G.; Harizanov, R.; Jordanova, D.; Vuchev, D.; Kurdova, R.; Dimitrov, H. Current state of visceral leishmaniasis in Bulgaria. Infectology 2003, 4, 29–31. (In Bulgarian) [Google Scholar]
 - Filipov, G.; Harizanov, R.; Rusinova, A.; Rasheva, G.; Kaneva, E.; Chakarova, B.; Muskruchka, E. Visceral leishmaniasis in Bulgaria–past and present. Med. Pharm. 2004, III–IV, 7–10. (In Bulgarian) [Google Scholar]
 - Vutova, K. Visceral leishmaniasis–clinical, laboratory features and treatment. Med. Rev. 2007, 3, 26–31. (In Bulgarian) [Google Scholar]
 - Harizanov, R.; Kaftandjiev, I.; Jordanova, D.; Marinova, I.; Tsvetkova, N. Clinical features, diagnostic tools, and treatment regimens for visceral leishmaniasis in Bulgaria. Pathog. Glob. Health 2013, 107, 260–266. [Google Scholar] [CrossRef] [PubMed][Green Version]
 - Harizanov, R.; Rainova, I.; Tzvetkova, N.; Kaftandjiev, I.; Bikov, I.; Mikov, O. Geographical distribution and epidemiological characteristics of visceral leishmaniasis in Bulgaria, 1988 to 2012. Euro Surveill. 2013, 18, 20531. [Google Scholar] [CrossRef] [PubMed]
 - Ministry of Public Health. Instruction No 0-8/27.03.1978 on Prophylactic, Therapeutic and Organizational Measures for Control of Malaria and Other Tropical Diseases; Ministry of Public Health: Sofia, Bulgaria, 1978; 29p. (In Bulgarian) [Google Scholar]
 - Ministry of Health. Ordinance No 5/06.04.2006 on the Diagnosis, Prevention and Control of Local Parasitic Diseases. In State Gazette; Ministry of Health: Sofia, Bulgaria, 2006; Volume 40, pp. 83–90. (In Bulgarian) [Google Scholar]
 - Ministry of Health. Ordinance No 21/08.07.2011 on the Order of Registration, Notification and Reporting of Infectious Diseases. In State Gazette; Ministry of Health: Sofia, Bulgaria, 2011; Volume 52, pp. 29–61. (In Bulgarian) [Google Scholar]
 - Tsachev, I.; Kyriasis, I.D.; Boutsini, S.; Karagouni, E.; Dotsika, E. First Report of Canine Visceral Leishmaniasis in Bulgaria. Turk J. Vet Anim. Sci. 2010, 34, 465–469. [Google Scholar] [CrossRef]
 - Tsachev, I. Exotic Zoonoses among Dogs in Bulgaria (Monocytic Ehrlichiosis, Granulocytic Anaplasmosis, Visceral Leishmaniasis). Ph.D. Thesis, Trakia University, Stara Zagora, Bulgaria, 2009; 315p. (In Bulgarian). [Google Scholar]
 - World Health Organization (WHO). Leishmaniasis. Burden of Disease; WHO: Geneva, Switzerland, 2012; Available online: http://www.who.int/leishmaniasis/burden/en/ (accessed on 30 July 2012).
 - Desjeux, P.; Alvar, J. Leishmania/HIV co-infections: Epidemiology in Europe. Ann. Trop. Med. Parasitol. 2003, 97, 3–15. [Google Scholar] [CrossRef] [PubMed]
 - Alvar, J.; Aparicio, P.; Aseffa, A.; Den Boer, M.; Canavate, C.; Dedet, J.-P.; Gradoni, L.; Ter Horst, R.; López-Vélez, R.; Moreno, J. The relationship between leishmaniasis and AIDS: The second 10 years. Clin. Microbiol. Rev. 2008, 21, 334–359. [Google Scholar] [CrossRef] [PubMed]
 - WHO. WHO Guidelines for the Treatment of Visceral Leishmaniasis in HIV Co-Infected Patients in East Africa and South-East Asia; World Health Organization: Geneva, Switzerland, 2022. [Google Scholar]
 - Gradoni, L.; Bryceson, A.; Desjeux, P. Treatment of Mediterranean visceral leishmaniasis. Bull. WHO 1995, 73, 191–197. [Google Scholar] [PubMed]
 




| Data of Patients with VL | Number of Cases | Relative Share | 
|---|---|---|
| Male | 43 | 74.1% | 
| Female | 15 | 26.% | 
| Children | 7 | 12.1% | 
| Adults | 51 | 87.9% | 
| Imported VL cases | 11 | 19% | 
| Autochthonous VL cases | 47 | 81% | 
| Relapses | 7 | 12.1% | 
| Fatal outcome | 8 | 10.3% | 
| During treatment | 2 | 3.5% | 
| Dehospitalized patients | 6 | 8.6% | 
| High temperature over 39 °C | 52 | 89.7% | 
| 38 °C | 6 | 10.3% | 
| 38.1–39 °C | 25 | 43.1% | 
| 39.1–40 °C | 23 | 39.7% | 
| 40.1–41 °C | 3 | 5.2% | 
| 42 °C | 1 | 1.7% | 
| Hepatomegaly | 58 | 100% | 
| Splenomegaly | 57 | 98.3% | 
| Anemia | 58 | 100% | 
| Mild anemia (hemoglobin 95–110 g/L) | 6 | 10.3% | 
| Moderate anemia (hemoglobin 80–94 g/L) | 25 | 43.1% | 
| Expressed anemia (hemoglobin 65–79 g/L) | 10 | 17.2% | 
| Heavy anemia (hemoglobin less than 65 g/L) | 12 | 20.7% | 
| Leucopenia | 58 | 100% | 
| Expressed leukopenia (0.4–2 g/L) | 27 | 46.6% | 
| Thrombocytopenia | 48 | 82.8% | 
| Very low thrombocyte count (0.4 to 80 g/L) | 28 | 48.3% | 
| High erythrocyte sedimentation rate (100–180 mm/h) | 24 | 41.4% | 
| Hypoalbuminemia | 27 | 46.6% | 
| Marked hypoalbuminemia (albumin up to 20 g/L) | 5 | 8.6% | 
Disclaimer/Publisher’s Note: The statements, opinions and data contained in all publications are solely those of the individual author(s) and contributor(s) and not of MDPI and/or the editor(s). MDPI and/or the editor(s) disclaim responsibility for any injury to people or property resulting from any ideas, methods, instructions or products referred to in the content.  | 
© 2024 by the authors. Licensee MDPI, Basel, Switzerland. This article is an open access article distributed under the terms and conditions of the Creative Commons Attribution (CC BY) license (https://creativecommons.org/licenses/by/4.0/).
Share and Cite
Vutova, K.; Yancheva-Petrova, N.; Tchipeva, R.; Velev, V. Autochthonous and Imported Visceral Leishmaniasis in Bulgaria—Clinical Experience and Treatment of Patients. Pathogens 2024, 13, 205. https://doi.org/10.3390/pathogens13030205
Vutova K, Yancheva-Petrova N, Tchipeva R, Velev V. Autochthonous and Imported Visceral Leishmaniasis in Bulgaria—Clinical Experience and Treatment of Patients. Pathogens. 2024; 13(3):205. https://doi.org/10.3390/pathogens13030205
Chicago/Turabian StyleVutova, Kamenna, Nina Yancheva-Petrova, Rossitsa Tchipeva, and Valeri Velev. 2024. "Autochthonous and Imported Visceral Leishmaniasis in Bulgaria—Clinical Experience and Treatment of Patients" Pathogens 13, no. 3: 205. https://doi.org/10.3390/pathogens13030205
APA StyleVutova, K., Yancheva-Petrova, N., Tchipeva, R., & Velev, V. (2024). Autochthonous and Imported Visceral Leishmaniasis in Bulgaria—Clinical Experience and Treatment of Patients. Pathogens, 13(3), 205. https://doi.org/10.3390/pathogens13030205
        
