Experimental Infection of Calves with Transfected Attenuated Babesia bovis Expressing the Rhipicephalus microplus Bm86 Antigen and eGFP Marker: Preliminary Studies towards a Dual Anti-Tick/Babesia Vaccine
Abstract
1. Introduction
2. Results
2.1. Stable Integration of the R. microplus Bm86 and eGFP Genes into the ef-1α Locus of B. bovis
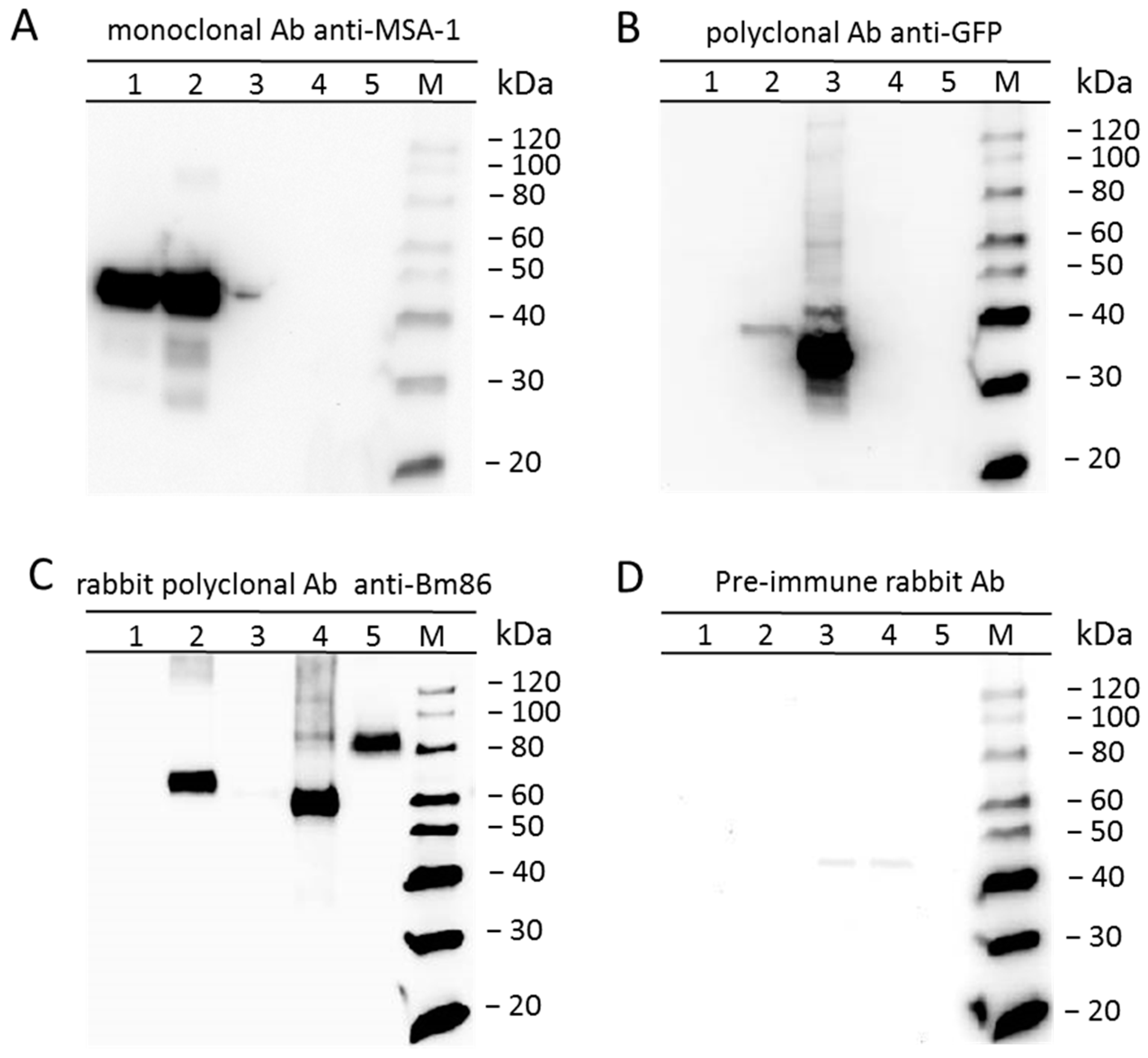
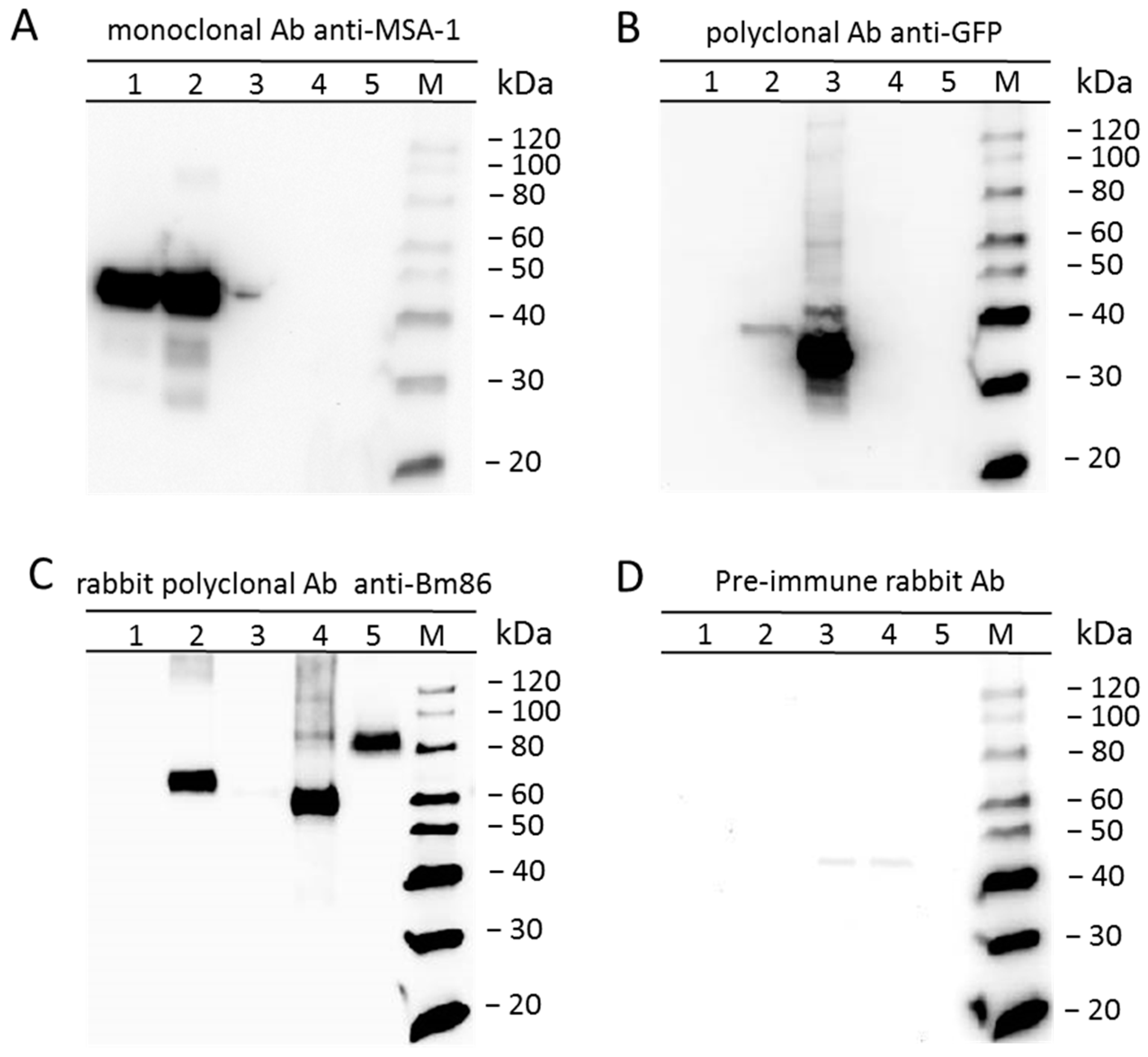
2.2. The R. microplus Bm86Ch is Expressed on the Surface of Transfected B. bovis/Bm86/eGFP
2.3. Experimental Infection of Splenectomized Calves with B. bovis/Bm86/eGFP Parasites Elicits Mild Clinical Babesiosis with Production of Antibodies Reactive to Native Bm86
2.4. Fitness Reduction of Ticks Fed B. bovis/Bm86/eGFP-Infected Calves
2.5. Postmortem Examination of Infected Calves
3. Discussion
4. Materials and Methods
4.1. B. bovis Parasites
4.2. Construction of Transfection Plasmid
4.3. B. bovis Transfection
4.4. Analysis of B. bovis/Bm86/eGFP Parasites
4.5. Immunoblotting
4.6. Indirect Immunofluorescence Assays
4.7. Experimental Infection of Calves with B. bovis/Bm86/eGFP
4.8. Serology
4.9. PCR Assays
4.10. R. annulatus Infestation
5. Conclusions
Supplementary Materials
Author Contributions
Funding
Institutional Review Board Statement
Informed Consent Statement
Data Availability Statement
Acknowledgments
Conflicts of Interest
References
- Bock, R.; Jackson, L.; de Vos, A.; Jorgensen, W. Babesiosis of cattle. Parasitology 2004, 129, S247–S269. [Google Scholar] [CrossRef] [PubMed]
- Suarez, C.E.; Noh, S. Emerging perspectives in the research of bovine babesiosis and anaplasmosis. Vet. Parasitol. 2011, 180, 109–125. [Google Scholar] [CrossRef] [PubMed]
- Miraballes, C.; Riet-Correa, F. A review of the history of research and control of Rhipicephalus (Boophilus) microplus, babesiosis and anaplasmosis in Uruguay. Exp. Appl. Acarol. 2018, 75, 383–398. [Google Scholar] [CrossRef]
- Miraballes, C.; Aráoz, V.; Riet-Correa, F. Rhipicephalus microplus, babesiosis and anaplasmosis in Uruguay: Current situation and control or elimination programs on farms. Exp. Appl. Acarol. 2019, 78, 579–593. [Google Scholar] [CrossRef] [PubMed]
- Giglioti, R.; de Oliveira, H.N.; Okino, C.H.; de Sena Oliveira, M.C. qPCR estimates of Babesia bovis and Babesia bigemina infection levels in beef cattle and Rhipicephalus microplus larvae. Exp. Appl. Acarol. 2018, 75, 235–240. [Google Scholar] [CrossRef] [PubMed]
- Molad, T.; Fleiderovitz, L.; Leibovich, B.; Wolkomirsky, R.; Erster, O.; Roth, A.; Mazuz, M.L.; Markovics, A.; Shkap, V. Genetic polymorphism of Babesia bovis merozoite surface antigens-2 (MSA-2) isolates from bovine blood and Rhipicephalus annulatus ticks in Israel. Vet. Parasitol. 2014, 205, 20–27. [Google Scholar] [CrossRef] [PubMed]
- Oliveira, M.C.; Oliveira-Sequeira, T.C.; Regitano, L.C.; Alencar, M.M.; Néo, T.A.; Silva, A.M.; Oliveira, H.N. Detection of Babesia bigemina in cattle of different genetic groups and in Rhipicephalus (Boophilus) microplus tick. Vet. Parasitol. 2008, 155, 281–286. [Google Scholar] [CrossRef]
- Fish, L.; Leibovich, B.; Krigel, Y.; McElwain, T.; Shkap, V. Vaccination of cattle against B. bovis infection with live attenuated parasites and non-viable immunogens. Vaccine 2008, 26 (Suppl. 6), G29–G33. [Google Scholar] [CrossRef] [PubMed]
- Florin-Christensen, M.; Suarez, C.E.; Rodriguez, A.E.; Flores, D.A.; Schnittger, L. Vaccines against bovine babesiosis: Where we are now and possible roads ahead. Parasitology 2014, 1–30. [Google Scholar] [CrossRef]
- De Vos, A.J.; Bock, R.E. Vaccination against bovine babesiosis. Ann. N. Y. Acad. Sci. 2000, 916, 540–545. [Google Scholar] [CrossRef]
- Callow, L.L.; Dalgliesh, R.J.; de Vos, A.J. Development of effective living vaccines against bovine babesiosis—The longest field trial? Int. J. Parasitol. 1997, 27, 747–767. [Google Scholar] [CrossRef]
- Shkap, V.; de Vos, A.J.; Zweygarth, E.; Jongejan, F. Attenuated vaccines for tropical theileriosis, babesiosis and heartwater: The continuing necessity. Trends Parasitol. 2007, 23, 420–426. [Google Scholar] [CrossRef] [PubMed]
- Bock, R.E.; de Vos, A.J.; Kingston, T.G.; Shiels, I.A.; Dalgliesh, R.J. Investigations of breakdowns in protection provided by living Babesia bovis vaccine. Vet. Parasitol. 1992, 43, 45–56. [Google Scholar] [CrossRef]
- Brown, W.C.; Palmer, G.H. Designing blood-stage vaccines against Babesia bovis and B. bigemina. Parasitol. Today 1999, 15, 275–281. [Google Scholar] [CrossRef]
- Mazuz, M.L.; Molad, T.; Fish, L.; Leibovitz, B.; Wolkomirsky, R.; Fleiderovitz, L.; Shkap, V. Genetic diversity of Babesia bovis in virulent and attenuated strains. Parasitology 2012, 139, 317–323. [Google Scholar] [CrossRef]
- George, J.E.; Pound, J.M.; Davey, R.B. Chemical control of ticks on cattle and the resistance of these parasites to acaricides. Parasitology 2004, 129, S353–S366. [Google Scholar] [CrossRef]
- Abbas, R.Z.; Zaman, M.A.; Colwell, D.D.; Gilleard, J.; Iqbal, Z. Acaricide resistance in cattle ticks and approaches to its management: The state of play. Vet. Parasitol. 2014, 203, 6–20. [Google Scholar] [CrossRef]
- Tabor, A.E.; Ali, A.; Rehman, G.; Garcia, G.R.; Zangirolamo, A.F.; Malardo, T.; Jonsson, N.N. Cattle tick Rhipicephalus microplus-host interface: A review of resistant and susceptible host responses. Front. Cell. Infect. Microbiol. 2017, 7, 506. [Google Scholar] [CrossRef]
- Rodriguez-Vivas, R.I.; Jonsson, N.N.; Bhushan, C. Strategies for the control of Rhipicephalus microplus ticks in a world of conventional acaricide and macrocyclic lactone resistance. Parasitol. Res. 2018, 117, 3–29. [Google Scholar] [CrossRef]
- Rodríguez-Mallon, A. Developing anti-tick vaccines. Methods Mol. Biol. 2016, 1404, 243–259. [Google Scholar] [CrossRef]
- Rand, K.N.; Moore, T.; Sriskantha, A.; Spring, K.; Tellam, R.; Willadsen, P.; Cobon, G.S. Cloning and expression of a protective antigen from the cattle tick Boophilus microplus. Proc. Natl. Acad. Sci. USA 1989, 86, 9657–9661. [Google Scholar] [CrossRef] [PubMed]
- Rodríguez, M.; Massard, C.L.; da Fonseca, A.H.; Ramos, N.F.; Machado, H.; Labarta, V.; de la Fuente, J. Effect of vaccination with a recombinant Bm86 antigen preparation on natural infestations of Boophilus microplus in grazing dairy and beef pure and cross-bred cattle in Brazil. Vaccine 1995, 13, 1804–1808. [Google Scholar] [CrossRef]
- de la Fuente, J.; Rodríguez, M.; Montero, C.; Redondo, M.; García-García, J.C.; Méndez, L.; Serrano, E.; Valdés, M.; Enríquez, A.; Canales, M.; et al. Vaccination against ticks (Boophilus spp.): The experience with the Bm86-based vaccine Gavac. Genet. Anal. 1999, 15, 143–148. [Google Scholar] [CrossRef]
- Labarta, V.; Rodríguez, M.; Penichet, M.; Lleonart, R.; Luaces, L.L.; de la Fuente, J. Simulation of control strategies for the cattle tick Boophilus microplus employing vaccination with a recombinant Bm86 antigen preparation. Vet. Parasitol. 1996, 63, 131–160. [Google Scholar] [CrossRef]
- de la Fuente, J.; Kocan, K.M.; Blouin, E.F. Tick vaccines and the transmission of tick-borne pathogens. Vet. Res. Commun. 2007, 31 (Suppl. 1), 85–90. [Google Scholar] [CrossRef]
- Pipano, E.; Alekceev, E.; Galker, F.; Fish, L.; Samish, M.; Shkap, V. Immunity against Boophilus annulatus induced by the Bm86 (Tick-GARD) vaccine. Exp. Appl. Acarol. 2003, 29, 141–149. [Google Scholar] [CrossRef]
- Willadsen, P. Tick control: Thoughts on a research agenda. Vet. Parasitol. 2006, 138, 161–168. [Google Scholar] [CrossRef]
- Merino, O.; Alberdi, P.; de la Lastra, J.M.P.; de la Fuente, J. Tick vaccines and the control of tick-borne pathogens. Front. Cell. Infect. Microbiol. 2013, 3, 30. [Google Scholar] [CrossRef]
- Fragoso, H.; Rad, P.H.; Ortiz, M.; Rodríguez, M.; Redondo, M.; Herrera, L.; de la Fuente, J. Protection against Boophilus annulatus infestations in cattle vaccinated with the B. microplus Bm86-containing vaccine Gavac. off. Vaccine 1998, 16, 1990–1992. [Google Scholar] [CrossRef]
- Vargas, M.; Montero, C.; Sánchez, D.; Pérez, D.; Valdés, M.; Alfonso, A.; Joglar, M.; Machado, H.; Rodríguez, E.; Méndez, L.; et al. Two initial vaccinations with the Bm86-based Gavacplus vaccine against Rhipicephalus (Boophilus) microplus induce similar reproductive suppression to three initial vaccinations under production conditions. BMC Vet. Res. 2010, 6, 43. [Google Scholar] [CrossRef]
- Hüe, T.; Petermann, J.; Bonnefond, R.; Mermoud, I.; Rantoen, D.; Vuocolo, T. Experimental efficacy of a vaccine against Rhipicephalus australis. Exp. Appl. Acarol. 2017, 73, 245–256. [Google Scholar] [CrossRef] [PubMed]
- Guerrero, F.D.; Miller, R.J.; de León, A.A.P. Cattle tick vaccines: Many candidate antigens, but will a commercially viable product emerge? Int. J. Parasitol. 2012, 42, 421–427. [Google Scholar] [CrossRef] [PubMed]
- Suarez, C.E.; McElwain, T.F. Stable expression of a GFP-BSD fusion protein in Babesia bovis merozoites. Int. J. Parasitol. 2009, 39, 289–297. [Google Scholar] [CrossRef] [PubMed]
- Asada, M.; Tanaka, M.; Goto, Y.; Yokoyama, N.; Inoue, N.; Kawazu, S. Stable expression of green fluorescent protein and targeted disruption of thioredoxin peroxidase-1 gene in Babesia bovis with the WR99210/dhfr selection system. Mol. Biochem. Parasitol. 2012, 181, 162–170. [Google Scholar] [CrossRef] [PubMed]
- Hakimi, H.; Ishizaki, T.; Kegawa, Y.; Kaneko, O.; Kawazu, S.I.; Asada, M. Genome editing of Babesia bovis using the CRISPR/Cas9 system. mSphere 2019, 4. [Google Scholar] [CrossRef] [PubMed]
- Laughery, J.M.; Knowles, D.P.; Schneider, D.A.; Bastos, R.G.; McElwain, T.F.; Suarez, C.E. Targeted surface expression of an exogenous antigen in stably transfected Babesia bovis. PLoS ONE 2014, 9, e97890. [Google Scholar] [CrossRef][Green Version]
- Oldiges, D.P.; Laughery, J.M.; Tagliari, N.J.; Filho, R.V.L.; Davis, W.C.; da Silva Vaz, I., Jr.; Termignoni, C.; Knowles, D.P.; Suarez, C.E. Transfected Babesia bovis expressing a tick GST as a live vector vaccine. PLoS Negl. Trop. Dis. 2016, 10, e0005152. [Google Scholar] [CrossRef]
- Cunha, R.C.; Andreotti, R.; Leite, F.P. Rhipicephalus (Boophilus) microplus: Expression and characterization of Bm86-CG in Pichia pastoris. Rev. Bras. Parasitol. Vet. 2011, 20, 103–110. [Google Scholar] [CrossRef][Green Version]
- Asada, M.; Yahata, K.; Hakimi, H.; Yokoyama, N.; Igarashi, I.; Kaneko, O.; Suarez, C.E.; Kawazu, S. Transfection of Babesia bovis by double selection with WR99210 and Blasticidin-S and Its Application for Functional Analysis of Thioredoxin Peroxidase-1. PLoS ONE 2015, 10, e0125993. [Google Scholar] [CrossRef]
- Suarez, C.E.; Johnson, W.C.; Herndon, D.R.; Laughery, J.M.; Davis, W.C. Integration of a transfected gene into the genome of Babesia bovis occurs by legitimate homologous recombination mechanisms. Mol. Biochem. Parasitol. 2015, 202, 23–28. [Google Scholar] [CrossRef]
- Suarez, C.E.; Laughery, J.M.; Schneider, D.A.; Sondgeroth, K.S.; McElwain, T.F. Acute and persistent infection by a transfected Mo7 strain of Babesia bovis. Mol. Biochem. Parasitol. 2012, 185, 52–57. [Google Scholar] [CrossRef] [PubMed]
- Yunker, C.E.; Kuttler, K.L.; Johnson, L.W. Attenuation of Babesia bovis by in vitro cultivation. Vet. Parasitol. 1987, 24, 7–13. [Google Scholar] [CrossRef]
- Bomford, R. Adjuvants for anti-parasite vaccines. Parasitol. Today 1989, 5, 41–46. [Google Scholar] [CrossRef]
- Goff, W.L.; Johnson, W.C.; Cluff, C.W. Babesia bovis immunity. In vitro and in vivo evidence for IL-10 regulation of IFN-gamma and iNOS. Ann. N. Y. Acad. Sci. 1998, 849, 161–180. [Google Scholar] [CrossRef] [PubMed]
- Levy, M.G.; Ristic, M. Babesia bovis: Continuous cultivation in a microaerophilous stationary phase culture. Science 1980, 207, 1218–1220. [Google Scholar] [CrossRef]
- Suarez, C.E.; McElwain, T.F. Transfection systems for Babesia bovis: A review of methods for the transient and stable expression of exogenous genes. Vet. Parasitol. 2010, 167, 205–215. [Google Scholar] [CrossRef]
- Madruga, C.R.; Suarez, C.E.; McElwain, T.F.; Palmer, G.H. Conservation of merozoite membrane and apical complex B cell epitopes among Babesia bigemina and Babesia bovis strains isolated in Brazil. Vet. Parasitol. 1996, 61, 21–30. [Google Scholar] [CrossRef]
- Shkap, V.; Leibovitz, B.; Krigel, Y.; Hammerschlag, J.; Marcovics, A.; Fish, L.; Molad, T.; Savitsky, I.; Mazuz, M. Vaccination of older Bos taurus bulls against bovine babesiosis. Vet. Parasitol. 2005, 129, 235–242. [Google Scholar] [CrossRef]
- Labruna, M.B.; Leite, R.C.; Faccini, J.L.; Ferreira, F. Life cycle of the tick Haemaphysalis leporis-palustris (Acari: Ixodidae) under laboratory conditions. Exp. Appl. Acarol. 2000, 24, 683–694. [Google Scholar] [CrossRef]






| Calves | Inoculum (Dose/Route) | Fever (≥38.8 °C) | PCV | Parasitemia | |||
|---|---|---|---|---|---|---|---|
| Start (DPI) | Duration (days) | Highest Drop (%) | Duration (days) | Highest PPE (%) | Duration (DPI) | ||
| #89 | B. bovis/Bm86/eGFP (2 × 108 parasites/IV) | 10 | 6 | 28.1 | 17 | 0.1 | 10–17 |
| #96 | B. bovis/Bm86/eGFP (2 × 108 parasites/IV) | 10 | 5 | 25 | 14 | 0.5 | 10–15 |
| #97 | Blood from calf #89 (50 mL/IV) | 4 | 6 | 40.6 | 17 | 0.5 | 4–10 |
| B. bovis/Bm86/eGFP | Control | ||
|---|---|---|---|
| Calf Number | #96 | #97 | #99 |
| Total number of engorged ticks | 690 | 624 | 2587 |
| Mean tick weight (g ± SD) | 0.26 ± 0.05 | 0.26 ± 0.03 | 0.27 ± 0.04 |
| Mean egg mass (g ± SD) | 0.13 ± 0.03 | 0.14 ± 0.02 | 0.14 ± 0.06 |
| Eggs weight/female weight (g ± SD) | 0.49 ± 0.06 | 0.53 ± 0.03 | 0.49 ± 0.06 |
| Rate of egg hatching * (E ± SD) | 4.31 ± 0.68 | 4.32 ± 0.73 | 4.30 ± 0.64 |
| PCR | B. bovis | Bm86 | ||
|---|---|---|---|---|
| Calf Number | #96 | #97 | #96 | #97 |
| Brain | + | + | + | + |
| Lungs | + | + | + | + |
| Spine cord | + | + | + | + |
| Kidney | + | + | − | + |
| Liver | + | + | + | − |
| Heart | + | + | − | + |
Publisher’s Note: MDPI stays neutral with regard to jurisdictional claims in published maps and institutional affiliations. |
© 2021 by the authors. Licensee MDPI, Basel, Switzerland. This article is an open access article distributed under the terms and conditions of the Creative Commons Attribution (CC BY) license (http://creativecommons.org/licenses/by/4.0/).
Share and Cite
Mazuz, M.L.; Laughery, J.M.; Lebovitz, B.; Yasur-Landau, D.; Rot, A.; Bastos, R.G.; Edery, N.; Fleiderovitz, L.; Levi, M.M.; Suarez, C.E. Experimental Infection of Calves with Transfected Attenuated Babesia bovis Expressing the Rhipicephalus microplus Bm86 Antigen and eGFP Marker: Preliminary Studies towards a Dual Anti-Tick/Babesia Vaccine. Pathogens 2021, 10, 135. https://doi.org/10.3390/pathogens10020135
Mazuz ML, Laughery JM, Lebovitz B, Yasur-Landau D, Rot A, Bastos RG, Edery N, Fleiderovitz L, Levi MM, Suarez CE. Experimental Infection of Calves with Transfected Attenuated Babesia bovis Expressing the Rhipicephalus microplus Bm86 Antigen and eGFP Marker: Preliminary Studies towards a Dual Anti-Tick/Babesia Vaccine. Pathogens. 2021; 10(2):135. https://doi.org/10.3390/pathogens10020135
Chicago/Turabian StyleMazuz, Monica L., Jacob M. Laughery, Benjamin Lebovitz, Daniel Yasur-Landau, Assael Rot, Reginaldo G. Bastos, Nir Edery, Ludmila Fleiderovitz, Maayan Margalit Levi, and Carlos E. Suarez. 2021. "Experimental Infection of Calves with Transfected Attenuated Babesia bovis Expressing the Rhipicephalus microplus Bm86 Antigen and eGFP Marker: Preliminary Studies towards a Dual Anti-Tick/Babesia Vaccine" Pathogens 10, no. 2: 135. https://doi.org/10.3390/pathogens10020135
APA StyleMazuz, M. L., Laughery, J. M., Lebovitz, B., Yasur-Landau, D., Rot, A., Bastos, R. G., Edery, N., Fleiderovitz, L., Levi, M. M., & Suarez, C. E. (2021). Experimental Infection of Calves with Transfected Attenuated Babesia bovis Expressing the Rhipicephalus microplus Bm86 Antigen and eGFP Marker: Preliminary Studies towards a Dual Anti-Tick/Babesia Vaccine. Pathogens, 10(2), 135. https://doi.org/10.3390/pathogens10020135

