Assessing the Efficacy of Anastomosis between Ansa Cervicalis and Facial Nerve for Patients with Concomitant Facial Palsy and Peripheral Neuropathy
Abstract
1. Introduction
2. Materials and Methods
2.1. Patient Selection
- (1)
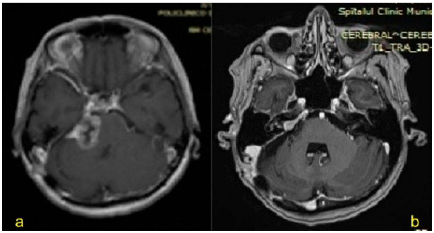
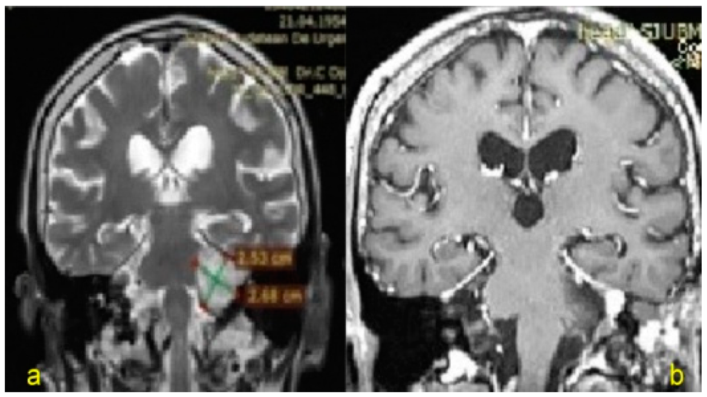
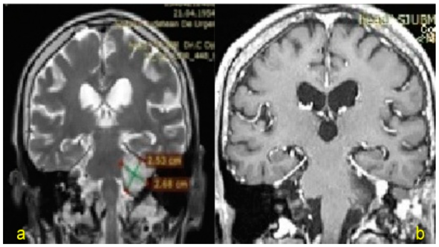
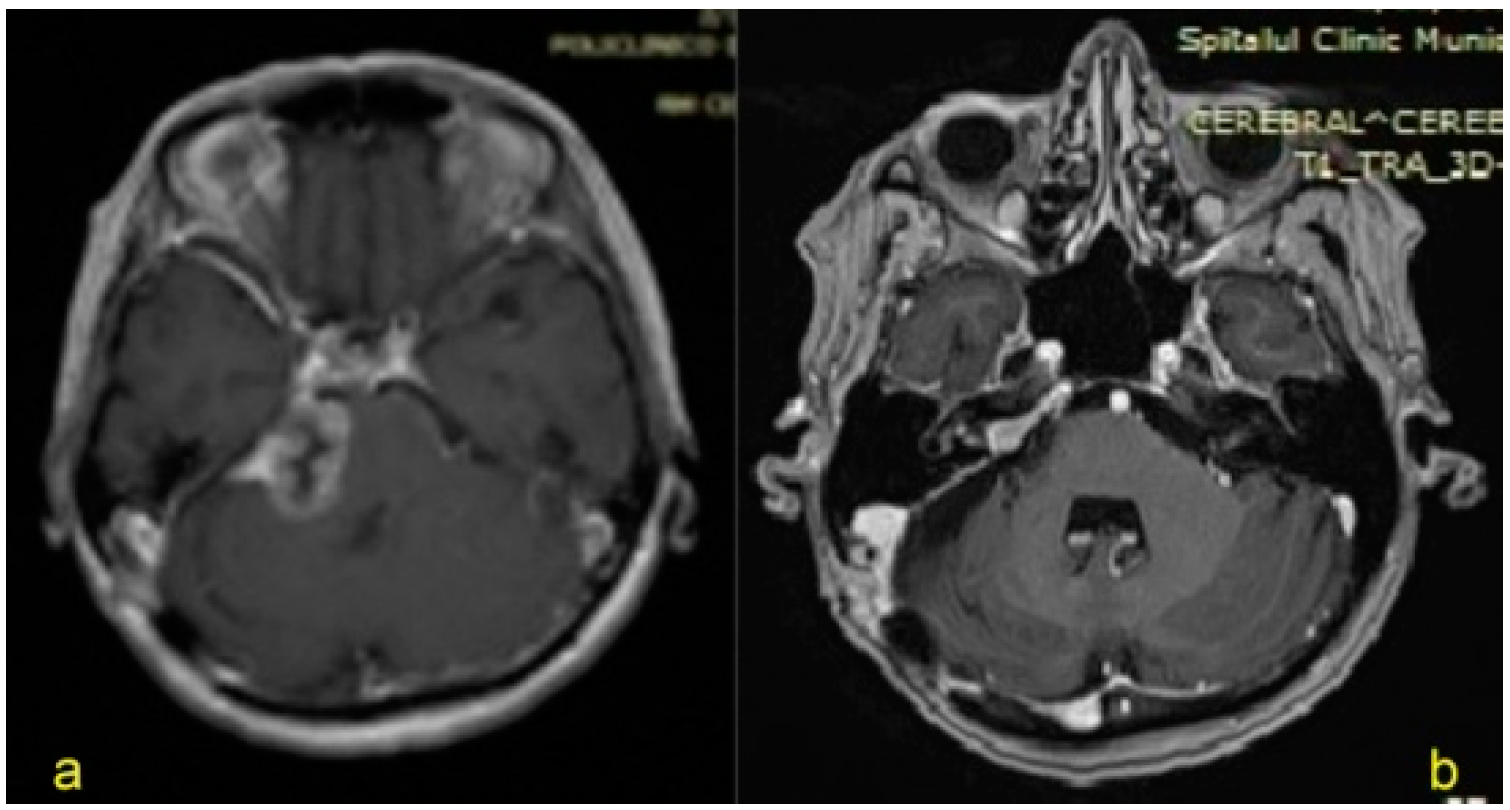
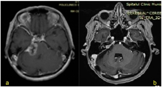
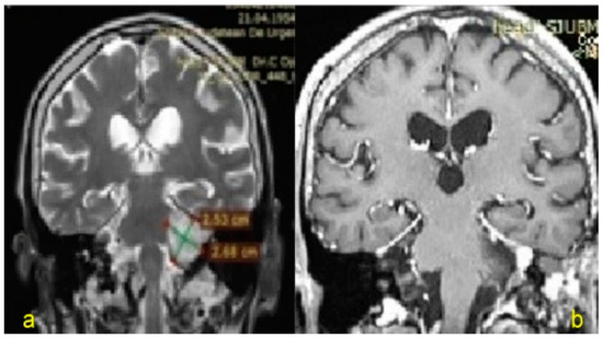
- Surgery for nonneoplastic cerebellopontine tumors and development of high-grade peripheral facial palsy.
- (2)
- No improvement in high-grade facial palsy (HB grades IV-VI) for 6 months following vs. resection based on clinical examination at rest and during voluntary contractions and on neurophysiological monitoring.
- (3)
- (4)
- Progression-free status for previousmalignancies.
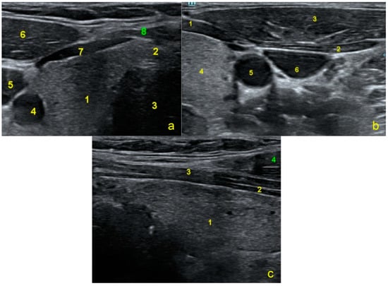
2.2. Surgical Technique (Video 1)
2.2.1. Patient Positioning
2.2.2. Neurophysiological Monitoring
2.2.3. Surgical Technique
2.3. Follow-Up Protocol
3. Results
4. Discussions
5. Conclusions
Author Contributions
Funding
Institutional Review Board Statement
Informed Consent Statement
Data Availability Statement
Acknowledgments
Conflicts of Interest
References
- Conley, J.M.; Baker, D.C.M. Hypoglossal-Facial Nerve Anastomosis for Reinnervation of the Paralyzed Face. Plast. Reconstr. Surg. 1979, 63, 63–72. [Google Scholar] [CrossRef] [PubMed]
- Tos, M.; Thomsen, J. Preservation and Reconstruction of the Facial Nerve after Translabyrinthine Removal of 200 Acoustic Neuromas. Adv. Otorhinolaryng 1984, 34, 176–186. [Google Scholar] [CrossRef]
- Harii, K.; Ohmori, K.; Torii, S. Free Gracilis Muscle Transplantation, with Microneurovascular Anastomoses for the Treatment of Facial Paralysis. Plast. Reconstr. Surg. 1976, 57, 133–143. [Google Scholar] [CrossRef] [PubMed]
- Okazaki, M.; Kentaro, T.; Noriko, U.; Satoshi, U.; Tsutomu, H.; Alisa, O.; Mayuko, H.; Hiroki, M. One-stage dual latissimus dorsi muscle flap transfer with a pair of vascular anastomoses and double nerve suturing for long-standing facial paralysis. J. Plast. Reconstr. Aesthetic Surg. 2015, 68, e113–e119. [Google Scholar] [CrossRef] [PubMed]
- Coombs, C.; Ek, E.; Wu, T.; Cleland, H.; Leung, M. Masseteric-facial nerve coaptation—An alternative technique for facial nerve reinnervation. J. Plast. Reconstr. Aesthetic Surg. 2009, 62, 1580–1588. [Google Scholar] [CrossRef]
- Murphey, A.W.; Clinkscales, W.B.; Oyer, S.L. Masseteric Nerve Transfer for Facial Nerve Paralysis. JAMA Facial Plast. Surg. 2017, 10, E1–E7. [Google Scholar] [CrossRef]
- Elkatatny, A.A.A.M.; Abdallah, H.A.A.; Ghoraba, D.; Amer, T.A.; Hamdy, T. Hypoglossal Facial Nerve Anastomosis for Post-Operative and Post-Traumatic Complete Facial Nerve Paralysis. Open Access Maced. J. Med. Sci. 2019, 7, 3984–3996. [Google Scholar] [CrossRef]
- O’Brien, B.M.; Franklin, J.D.; Morrison, W.A. Cross-facial nerve grafts and microneurovascular free muscle transfer for long established facial palsy. Br. J. Plast. Surg. 1980, 33, 202–215. [Google Scholar] [CrossRef]
- Yetiser, S.; Karapinar, U. Hypoglossal-Facial Nerve Anastomosis: A Meta-Analytic Study. Ann. Otol. Rhinol. Laryngol. 2007, 116, 542–549. [Google Scholar] [CrossRef]
- Lee, E.I.; Hurvitz, K.A.; Evans, G.R.; Wirth, G.A. Cross-facial nerve graft: Past and present. J. Plast. Reconstr. Aesthetic Surg. 2008, 61, 250–256. [Google Scholar] [CrossRef]
- Anderl, H. Cross-Face Nerve Transplantation in Facial Palsy. Proc. R. Soc. Med. 1976, 69, 781–783. [Google Scholar] [CrossRef] [PubMed]
- Caldwell, E.H. Anastomosis of the branches of the facial and spinal accessory nerves for facial paralysis. Surgery 1958, 44, 978–983. [Google Scholar] [PubMed]
- Gu, X.M. A preliminary study on cross anastomoses between facial and accessory nerves and reconstruction of motor unit. Zhonghua Kou Qiang Yi Xue Za Zhi 1992, 27, 217–219, 256. [Google Scholar]
- Chang, C.G.-S.; Shen, A.L.-Y. Hypoglossofacial anastomosis for facial palsy after resection of acoustic neuroma. Surg. Neurol. 1984, 21, 282–286. [Google Scholar] [CrossRef] [PubMed]
- Kochhar, A.; Albathi, M.; Sharon, J.D.; Ishii, L.E.; Byrne, P.; Boahene, K.D. Transposition of the Intratemporal Facial to Hypoglossal Nerve for Reanimation of the Paralyzed Face. JAMA Facial Plast. Surg. 2016, 18, 370–378. [Google Scholar] [CrossRef]
- Lin, V.; Jacobson, M.; Dorion, J.; Chen, J.; Nedzelski, J. Global Assessment of Outcomes After Varying Reinnervation Techniques for Patients With Facial Paralysis Subsequent to Acoustic Neuroma Excision. Otol. Neurotol. 2009, 30, 408–413. [Google Scholar] [CrossRef]
- Hayashi, A.; Nishida, M.; Seno, H.; Inoue, M.; Iwata, H.; Shirasawa, T.; Arai, H.; Kayamori, R.; Komuro, Y.; Yanai, A. Hemihypoglossal nerve transfer for acute facial paralysis. J. Neurosurg. 2013, 118, 160–166. [Google Scholar] [CrossRef] [PubMed]
- Arai, H.; Sato, K.; Yanai, A. Hemihypoglossal—Facial nerve anastomosis in treating unilateral facial palsy after acoustic neurinoma resection. J. Neurosurg. 1995, 82, 51–54. [Google Scholar] [CrossRef] [PubMed]
- Sabin, H.I.; Bordi, L.T.; Symon, L.; Compton, J.S. Facio-hypoglossal anastomosis for the treatment of facial palsy after acoustic neuroma resection. Br. J. Neurosurg. 1990, 4, 313–318. [Google Scholar] [CrossRef] [PubMed]
- Kukwa, A.; Marchel, A.; Pietniczka, M.; Rakowicz, M.; Krajewski, R. Reanimation of the face after facial nerve palsy resulting from resection of a cerebellopontine angle tumour. Br. J. Neurosurg. 1994, 8, 327–332. [Google Scholar] [CrossRef]
- Schipper, J.; Arndt, S.; Maier, W.; Spetzger, U.; Ridder, G.J. Paralyzed face. Ansa-cervicalis-nervihypoglossi. Chirurg 2005, 76, 47–53. (In German) [Google Scholar] [CrossRef] [PubMed]
- Hill, D.A.; Linet, M.S.; Black, P.M.; Fine, H.A.; Selker, R.G.; Shapiro, W.R.; Inskip, P.D. Meningioma and schwannoma risk in adults in relation to family history of cancer. Neuro-oncology 2004, 6, 274–280. [Google Scholar] [CrossRef] [PubMed]
- Cornblath, D.R.; Chaudhry, V.; Carter, K.; Lee, D.; Seysedadr, M.; Miernicki, M.; Joh, T. Total neuropathy score: Validation and reliability study. Neurology 1999, 53, 1660–1664. [Google Scholar] [CrossRef] [PubMed]
- Goel, S.; Goldberg, G.L.; Kuo, D.Y.-S.; Muggia, F.; Arezzo, J.; Mani, S. Novel neurosensory testing in cancer patients treated with the epothilone B analog, ixabepilone. Ann. Oncol. 2008, 19, 2048–2052. [Google Scholar] [CrossRef]
- Garbe, C.; Eigentler, T.K.; Keilholz, U.; Hauschild, A.; Kirkwood, J.M. Systematic Review of Medical Treatment in Melanoma: Current Status and Future Prospects. Oncologist 2011, 16, 5–24. [Google Scholar] [CrossRef]
- Garces, H.I.; Mora, P.A.R.; Alves, F.V.G.; Carmo, C.C.D.; Grazziotin, R.; Fernandes, A.C.F.M.; Nogueira-Rodrigues, A.; de Melo, A.C. First-Line Paclitaxel and Carboplatin in Persistent/Recurrent or Advanced Cervical Cancer. Int. J. Gynecol. Cancer 2013, 23, 743–748. [Google Scholar] [CrossRef] [PubMed]
- Nemni, R.; Bottacchi, E.; Fazio, R.; Mamoli, A.; Corbo, M.; Camerlingo, M.; Galardi, G.; Erenbourg, L.; Canal, N. Polyneuropathy in hypothyroidism: Clinical, electrophysiological and morphological findings in four cases. J. Neurol. Neurosurg. Psychiatry 1987, 50, 1454–1460. [Google Scholar] [CrossRef] [PubMed]
- Pollard, J.; McLeod, J.; Honnibal, T.; Verheijden, M. Hypothyroid polyneuropathy: Clinical, electrophysiological and nerve biopsy findings in two cases. J. Neurol. Sci. 1982, 53, 461–471. [Google Scholar] [CrossRef]
- Guarin, D.L.; Dusseldorp, J.; Hadlock, T.A.; Jowett, N. A machine learning approach for automated facial measurements in facial palsy. JAMA Facial Plast. Surg. 2018, 20, 335–337. [Google Scholar] [CrossRef]
- Nicoucar, K.; Momjian, S.; Vader, J.-P.; de Tribolet, N. Surgery for large vestibular schwannomas: How patients and surgeons perceive quality of life. J. Neurosurg. 2006, 105, 205–212. [Google Scholar] [CrossRef]
- Jung, S.; Kang, S.-S.; Kim, T.-S.; Kim, H.-J.; Jeong, S.-K.; Chul, S.; Lee, J.-K.; Kim, J.-H.; Kim, S.-H.; Lee, J.-H. Current surgical results of retrosigmoid approach in extralarge vestibular schwannomas. Surg. Neurol. 2000, 53, 370–378. [Google Scholar] [CrossRef] [PubMed]
- Samii, M.; Gerganov, V.M.; Samii, A. Functional outcome after complete surgical removal of giant vestibular schwannomas. J. Neurosurg. 2010, 112, 860–867. [Google Scholar] [CrossRef] [PubMed]
- Fenton, J.E.; Chin, R.Y.; Fagan, P.A.; Sterkers, O.; Sterkers, J.M. Predictive Factors of Long-term Facial Nerve Function after Vestibular Schwannoma Surgery. Otol. Neurotol. 2002, 23, 388–392. [Google Scholar] [CrossRef]
- Erickson, N.J.; Schmalz, P.G.R.; Agee, B.S.; Fort, M.; Walters, B.C.; McGrew, B.M.; Fisher, W.S. Koos Classification of Vestibular Schwannomas: A Reliability Study. Neurosurgery 2018, 85, 409–414. [Google Scholar] [CrossRef]
- House, J.W.; Brackmann, D.E. Facial Nerve Grading System. Otolaryngol. Neck Surg. 1985, 93, 146–147. [Google Scholar] [CrossRef] [PubMed]
- Guidelines Regarding the Inclusion of Cancer Survivor and HIV-Positive Individuals on Clinical Trials. Available online: https://ctep.cancer.gov/protocoldevelopment/policies_hiv.htm (accessed on 10 August 2019).
- Bloch, O.; Sughrue, M.E.; Kaur, R.; Kane, A.J.; Rutkowski, M.J.; Kaur, G.; Yang, I.; Pitts, L.H.; Parsa, A.T. Factors associated with preservation of facial nerve function after surgical resection of vestibular schwannoma. J. Neuro-Oncol. 2011, 102, 281–286. [Google Scholar] [CrossRef]
- Courtmans, J.D.; Born, A.; Carlier, P.H. Comment je traite…la paralysie faciale par anastomose hypoglosso-faciale. Rev. Med. Liege 2002, 57, 3–6. [Google Scholar]
- Jandali, D.; Revenaugh, P.C. Facial reanimation: An update on nerve transfers in facial paralysis. Curr. Opin. Otolaryngol. Head Neck Surg. 2019, 27, 231–236. [Google Scholar] [CrossRef]
- Kehrer, A.; Engelmann, S.; Ruewe, M.; Geis, S.; Taeger, C.; Kehrer, M.; Tamm, E.; Bleys, R.; Prantl, L.; Mandlik, V. Perfusion maintains functional potential in denervated mimic muscles in early persistent facial paralysis which requires early microsurgical treatment—The histoanatomic basis of the extratemporal facial nerve trunk assessing axonal load in the context of possible nerve transfers1. Clin. Hemorheol. Microcirc. 2018, 70, 1–13. [Google Scholar] [CrossRef]











| Patient | Age/Gender | Etiology | Associated Pathology | Duration of Palsy before the Anastomosis (Months) | Additional Procedures | H&B (Pre/Postop) | Postop Complications |
|---|---|---|---|---|---|---|---|
| 1. | 61/F | VS (Jun 2015) Koos grade IV(large tumor with brainstem displacement) | Breast cancer(treated surgically in 2013), CIPN—TNSc grade 2 | 19 | Tarsorrhaphy | VI/III (right side) Total paralysis/obvious weakness but not totally disfiguring, complete eye closure with effort and symmetric at rest | - |
| 2. | 65/F | VS (Sep 2016) Koos grade IV | Uterine cancer, Melanoma (treated surgically in 2014), CIPN—TNSc grade 2 | 13 | Tarsorrhaphy | VI/III (right side) | - |
| 3. | 64/M | VS (Apr 2015) Koos grade IV | - | 26 | Tarsorrhaphy | VI/IV (left side) Total paralysis/Disfiguring weakness, incomplete eye closure and asymmetric at rest | CSF leak Hydrocephalus (VCS, right VP shunt) |
| 4. | 63/F | VS (Jan 2018) Koos grade IV | Chronic hypothyroidism (2006) PN—TNSc grade 2 | 6 | Tarsorrhaphy | VI/IV (left side) | - |
| TNSc | |||||
|---|---|---|---|---|---|
| Sensory symptoms | 0 | 1 | 2 | 3 | 4 |
| None | Limited to fingers or toes | Extended to ankle or wrist | Extended to knee or elbow | Above knees/elbows | |
| Motor symptoms | None | Slight difficulty | Moderate difficulty | Requires help/assistance | Disabled |
| Autonomic symptoms | 0 | 1 | 2 | 3 | 4 or 5 |
| Pin sensation | Normal | Reduced in fingers or toes | Reduced up to wrist/ankle | Reduced up to elbow/knee | Reduced above elbow/knee |
| Vibration sensibility | Normal | Reduced in fingers or toes | Reduced up to wrist/ankle | Reduced up to elbow/knee | Reduced above elbow/knee |
| Strength | Normal | Mild weakness | Moderate weakness | Severe weakness | Paralysis |
| Tendon reflexes | Normal | Ankle reflex (AR) reduced | AR absent | AR absent and others reduced | All reflexes absent |
Disclaimer/Publisher’s Note: The statements, opinions and data contained in all publications are solely those of the individual author(s) and contributor(s) and not of MDPI and/or the editor(s). MDPI and/or the editor(s) disclaim responsibility for any injury to people or property resulting from any ideas, methods, instructions or products referred to in the content. |
© 2022 by the authors. Licensee MDPI, Basel, Switzerland. This article is an open access article distributed under the terms and conditions of the Creative Commons Attribution (CC BY) license (https://creativecommons.org/licenses/by/4.0/).
Share and Cite
Balaci, G.M.; Oṣlobanu, A.; Major, Z.Z.; Dávid, R.E.; Iepure, M.; Hancu, D.; Popa, A.M.; Florian, I.Ṣ. Assessing the Efficacy of Anastomosis between Ansa Cervicalis and Facial Nerve for Patients with Concomitant Facial Palsy and Peripheral Neuropathy. J. Pers. Med. 2023, 13, 76. https://doi.org/10.3390/jpm13010076
Balaci GM, Oṣlobanu A, Major ZZ, Dávid RE, Iepure M, Hancu D, Popa AM, Florian IṢ. Assessing the Efficacy of Anastomosis between Ansa Cervicalis and Facial Nerve for Patients with Concomitant Facial Palsy and Peripheral Neuropathy. Journal of Personalized Medicine. 2023; 13(1):76. https://doi.org/10.3390/jpm13010076
Chicago/Turabian StyleBalaci, Georgeta Magdalena, Aurel Oṣlobanu, Zoltán Zsigmond Major, Réka Emma Dávid, Maria Iepure, Daniela Hancu, Adina Mihaela Popa, and Ioan Ṣtefan Florian. 2023. "Assessing the Efficacy of Anastomosis between Ansa Cervicalis and Facial Nerve for Patients with Concomitant Facial Palsy and Peripheral Neuropathy" Journal of Personalized Medicine 13, no. 1: 76. https://doi.org/10.3390/jpm13010076
APA StyleBalaci, G. M., Oṣlobanu, A., Major, Z. Z., Dávid, R. E., Iepure, M., Hancu, D., Popa, A. M., & Florian, I. Ṣ. (2023). Assessing the Efficacy of Anastomosis between Ansa Cervicalis and Facial Nerve for Patients with Concomitant Facial Palsy and Peripheral Neuropathy. Journal of Personalized Medicine, 13(1), 76. https://doi.org/10.3390/jpm13010076

