Proposition of a New Scale for Marginal Bone Loss Prediction Around Dental Implants—A 5-Year Follow-Up of Functional Loaded Implants
Abstract
1. Introduction
2. Materials and Methods
- •
- Surgery was performed under local anesthesia with Articaine and Adrenaline 1:100,000.
- •
- A periosteal flap was created, and the implant site was drilled.
- •
- The implant was inserted according to manufacturer-recommended protocols.
- •
- The healing process proceeded under a closed mucoperiosteal flap.
- •
- All inserted implants were two-stage implants. The healing process proceeded under a closed mucoperiosteal flap, with the implant remaining unloaded during this period.
- •
- Following an initial healing period of 3 months, the implant was uncovered under local anesthesia using Articaine with Adrenaline 1:100,000.
- •
- Standard healing abutments were placed.
- •
- Impressions were taken two weeks later, after soft tissue healing was complete.
- •
- Prosthetic restorations were then fabricated and applied.
- •
- The patients were observed over a follow-up period of 5 years.
2.1. Inclusion Criteria
- 18 years old or older patients.
- Bleeding on probing <20%.
- Good oral hygiene.
- Gingival pocket depth 3 mm or less.
- o
- Two-dimensional radiographs taken during routine checks and regular follow-ups.
- Blood tests considered ion and hormone levels:
- o
- TSH (normal range 0.23–4.0 µU/mL).
- o
- PTH (normal range 10 to 60 pg/mL).
- o
- Glycated hemoglobin (normal range < 5%).
- o
- Ions Ca2+ (normal range 9–11 mg/dL).
- o
- Vitamin D3 (normal range 31–50 ng/mL).
- Bone mineral density was evaluated by spine densitometry.
2.2. Exclusion Criteria
- Absence, low quality, or lack of radiographic images during the observation period.
- Implant loss within the initial 3-month healing period.
- Lack of laboratory test results.
- Radiographic images showing defects upon visual assessment.
- Poorly controlled internal comorbidities.
- Presence of other immunodeficiencies.
- History of radiotherapy.
- Additional soft tissue and/or bone augmentation procedures.
- Use of cytostatic drugs in the patient’s medical history.
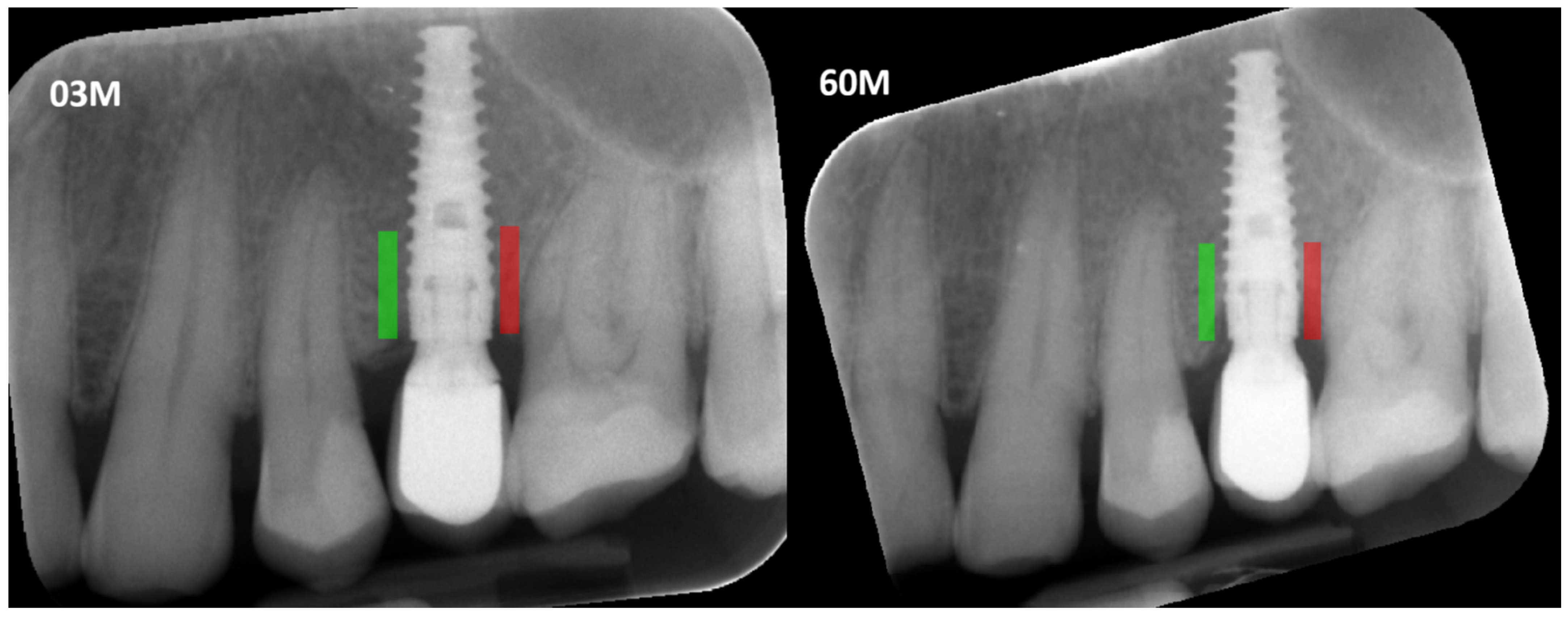
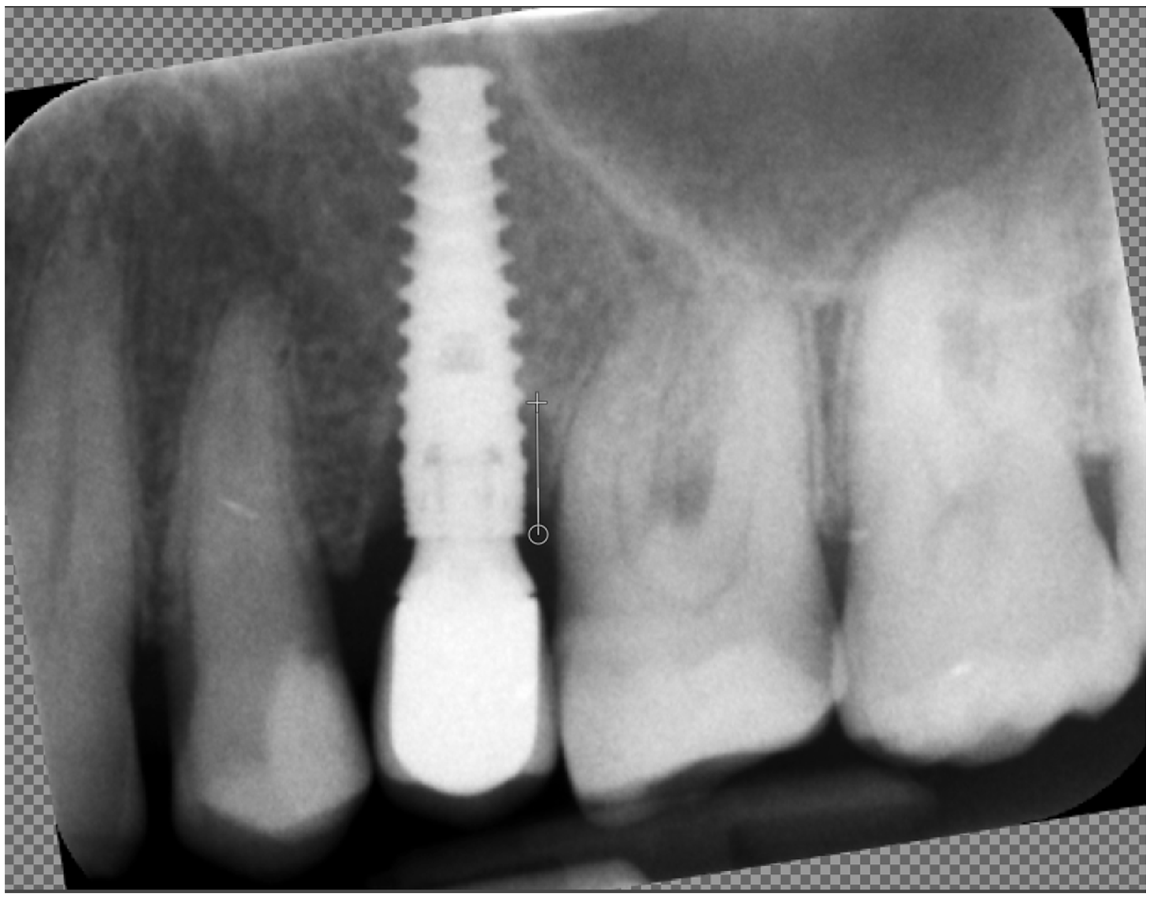
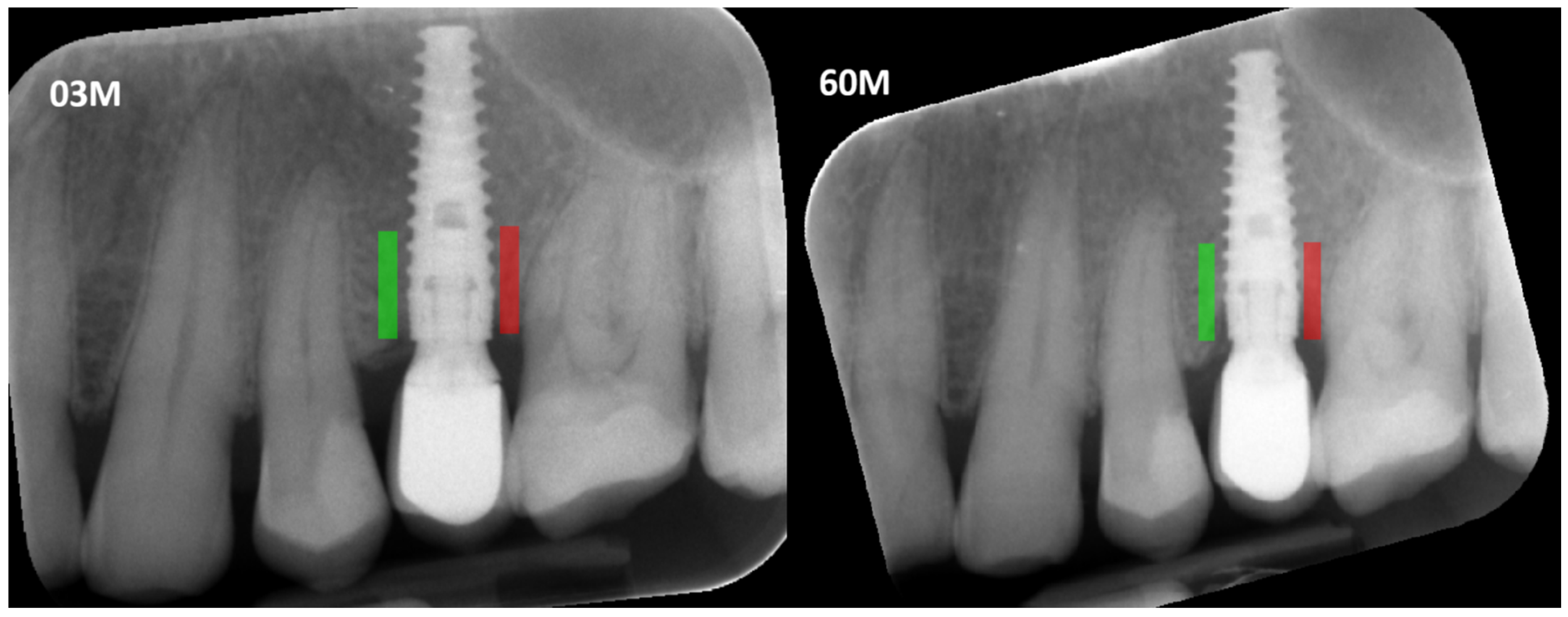
2.3. Data Acquisition
3. Results

4. Discussion
4.1. Complications and Importance of Follow-Up
4.2. Radiological Follow-Up: CBCT Vs. Two-Dimensional Imaging
- •
- Artifacts from metal and dense objects: CBCT images often suffer from beam hardening artifacts, seen as dark streaks between metal implants. There is also a photon starvation effect, which generates significant noise and streaks around very dense objects (like implants or metal restorations), obscuring detail.
- •
- Voltage-dependent distortion: The apparent size of objects in CBCT images can vary with the X-ray tube voltage. Lower voltage settings may cause objects to appear larger, whereas higher voltages can make them appear smaller. This variability can distort measurements and make reliable texture analysis impossible.
4.3. Prevention: Planning and Patient Selection
4.4. Corticalization Index and Marginal Bone Loss
- •
- All follow-up radiographs should be taken with the same radiographic device and settings, to ensure consistency in image quality and grayscale, which affects the CI calculation.
- •
- Specialized image analysis software (such as MaZda 4.6) is required to calculate the Corticalization Index from the radiographs, which may not be readily available in all clinical settings.
- •
- The CI must be calculated on a defined Region of Interest (ROI) on the radiograph, and this ROI selection must be standardized. In our study, we standardized the ROI based on the method described by Kozakiewicz et al. [10], ensuring that the measurements are reliable and reproducible.
- •
- As with any such analysis, operator training is needed to correctly perform texture analysis and interpret the Corticalization Index values.
4.5. Prosthetic Considerations and Early Interventions
4.6. Occlusal Overload and Maintenance of Implant Success
4.7. Assessing Bone Quality and Long-Term Outcomes
5. Conclusions
Author Contributions
Funding
Institutional Review Board Statement
Informed Consent Statement
Data Availability Statement
Conflicts of Interest
References
- Alghamdi, H.S.; Jansen, J.A. The development and future of dental implants. Dent. Mater. J. 2020, 39, 167–172. [Google Scholar] [CrossRef] [PubMed]
- Derks, J.; Schaller, D.; Håkansson, J.; Wennström, J.L.; Tomasi, C.; Berglundh, T. Effectiveness of Implant Therapy Analyzed in a Swedish Population: Prevalence of Peri-implantitis. J. Dent. Res. 2016, 95, 43–49. [Google Scholar] [CrossRef]
- Renvert, S.; Persson, G.R.; Pirih, F.Q.; Camargo, P.M. Peri-implant health, peri-implant mucositis, and peri-implantitis: Case definitions and diagnostic considerations. J. Clin. Periodontol. 2018, 45, S278–S285. [Google Scholar] [CrossRef]
- Brägger, U.; Karoussis, I.; Persson, R.; Pjetursson, B.; Salvi, G.; Lang, N.P. Technical and biological complications/failures with single crowns and fixed partial dentures on implants: A 10-year prospective cohort study. Clin. Oral Implant. Res. 2005, 16, 326–334. [Google Scholar] [CrossRef]
- Larsson, A.; Manuh, J.; Chrcanovic, B.R. Risk Factors Associated with Failure and Technical Complications of Implant-Supported Single Crowns: A Retrospective Study. Medicina 2023, 59, 1603. [Google Scholar] [CrossRef] [PubMed]
- De Boever, J.A. Prosthetic complications in fixed endosseous implant-borne reconstructions after an observations period of at least 40 months. J. Oral Rehabil. 2006, 33, 833–839. [Google Scholar] [CrossRef] [PubMed]
- Pardal-Peláez, B.; Dib, A.; Guadilla, Y.; Flores-Fraile, J.; Quispe-López, N.; Montero, J. Marginal Bone Loss and Treatment Complications with Mandibular Overdentures Retained by Two Immediate or Conventionally Loaded Implants—A Randomized Clinical Trial. Prosthesis 2023, 5, 295–309. [Google Scholar] [CrossRef]
- Jung, R.E.; Zembic, A.; Pjetursson, B.E.; Zwahlen, M.; Thoma, D.S.; Dentistry, R. Systematic review of the survival rate and the incidence of bio-logical, technical, and aesthetic complications of single crowns on implants reported in longitudinal studies with a mean follow-up of 5 years. Clin. Oral Implant. Res. 2012, 23, 2–21. [Google Scholar] [CrossRef]
- Gupta, J.; Ali, S. Cone beam computed tomography in oral implants. Natl. J. Maxillofac. Surg. 2013, 4, 2–6. [Google Scholar] [CrossRef]
- Kozakiewicz, M.; Wilamski, M. Technika standaryzacji wewnątrzustnych zdjęć rentgenowskich [Standardization technique for intraoral radiographs]. Czas Stomat 1999, 52, 673–677. [Google Scholar]
- Kozakiewicz, M.; Stefańczyk, M.; Materka, A.; Kozakiewicz, M.; Stefańczyk, M.; Materka, A. Krótkie łańcuchy podobnych punktów obrazu w radioteksturze kości wyrostka zębodołowego szczęki i części zębodołowej żuchwy u człowieka. Pol. Merkur. Lek. 2007, 23, 200–205. [Google Scholar]
- Kozakiewicz, M.; Skorupska, M.; Wach, T. What Does Bone Corticalization around Dental Implants Mean in Light of Ten Years of Follow-Up? J. Clin. Med. 2022, 11, 3545. [Google Scholar] [CrossRef] [PubMed]
- Kozakiewicz, M. Measures of Corticalization. J. Clin. Med. 2022, 11, 5463. [Google Scholar] [CrossRef] [PubMed]
- Szczypiński, P.M.; Strzelecki, M.; Materka, A.; Klepaczko, A. MaZda—A software package for image texture analysis. Comput. Methods Programs Biomed. 2009, 94, 66–76. [Google Scholar] [CrossRef]
- Szczypiński, P.M.; Strzelecki, M.; Materka, A.; Klepaczko, A. MaZda—The Software Package for Textural Analysis of Biomedical Images; Springer: Berlin/Heidelberg, Germany, 2009; pp. 73–84. [Google Scholar] [CrossRef]
- Wach, T.; Kozakiewicz, M. Are recent available blended collagen-calcium phosphate better than collagen alone or crystalline calcium phosphate? Radiotextural analysis of a 1-year clinical trial. Clin. Oral Investig. 2021, 25, 3711–3718. [Google Scholar] [CrossRef]
- Pauwels, R.; Jacobs, R.; Singer, S.R.; Mupparapu, M. CBCT-based bone quality assessment: Are Hounsfield units applicable? Dentomaxillofacial Radiol. 2015, 44, 20140238. [Google Scholar] [CrossRef] [PubMed]
- Haralick, R.M. Statistical and structural approaches to texture. Proc. IEEE 1979, 67, 786–804. [Google Scholar] [CrossRef]
- Materka, A.; Strzelecki, M. Texture analysis methods—A review, COST B11 report. In Proceedings of the MC Meeting and Workshop, Brussels, Belgium, 11–12 June 1998. [Google Scholar]
- Hanif, A.; Qureshi, S.; Sheikh, Z.; Rashid, H. Complications in implant dentistry. Eur. J. Dent. 2017, 11, 135–140. [Google Scholar] [CrossRef]
- Guruprasad, Y.; Ibrahim, M.; Singh, K.; Shetty, S.; Garg, D.K.; Srilakshmi, D.; Karre, S. Assessment of Complications in Dental Implant Surgery. J. Pharm. Bioallied Sci. 2024, 16 (Suppl. S3), S2437–S2439. [Google Scholar] [CrossRef]
- Sawicki, P.; Zawadzki, P.J.; Regulski, P. The Impact of Cone-Beam Computed Tomography Exposure Parameters on Peri-Implant Artifacts: A Literature Review. Cureus 2022, 14, e23035. [Google Scholar] [CrossRef]
- Hussaini, S.; Glogauer, M.; Sheikh, Z.; Al-Waeli, H. CBCT in Dental Implantology: A Key Tool for Preventing Peri-Implantitis and Enhancing Patient Outcomes. Dent. J. 2024, 12, 196. [Google Scholar] [CrossRef]
- Romanos, G.E.; Delgado-Ruiz, R.; Sculean, A. Concepts for prevention of complications in implant therapy. Periodontology 2000 2019, 81, 7–17. [Google Scholar] [CrossRef] [PubMed]
- Drake, M.T.; Clarke, B.L.; Khosla, S. Bisphosphonates: Mechanism of Action and Role in Clinical Practice. Mayo Clin. Proc. 2008, 83, 1032–1045. [Google Scholar] [CrossRef] [PubMed]
- Lomashvili, K.A.; Monier-Faugere, M.-C.; Wang, X.; Malluche, H.H.; O’neill, W.C. Effect of bisphosphonates on vascular calcification and bone metabolism in experimental renal failure. Kidney Int. 2009, 75, 617–625. [Google Scholar] [CrossRef]
- Fiorillo, L.; Cicciù, M.; Tözüm, T.F.; D’Amico, C.; Oteri, G.; Cervino, G. Impact of bisphosphonate drugs on dental implant healing and peri-implant hard and soft tissues: A systematic review. BMC Oral Health 2022, 22, 291. [Google Scholar] [CrossRef]
- Sailer, I.; Karasan, D.; Todorovic, A.; Ligoutsikou, M.; Pjetursson, B.E. Prosthetic failures in dental implant therapy. Periodontology 2000 2022, 88, 130–144. [Google Scholar] [CrossRef]
- Rammelsberg, P.; Lorenzo-Bermejo, J.; Kappel, S. Effect of prosthetic restoration on implant survival and success. Clin. Oral Implant. Res. 2016, 28, 1296–1302. [Google Scholar] [CrossRef]
- Szpak, P.; Szymanska, J. The relationship between marginal bone loss around dental implants and the specific characteristics of implant-prosthetic treatment. Curr. Issues Pharm. Med. Sci. 2018, 31, 97–100. [Google Scholar] [CrossRef]
- Wach, T.; Okulski, J.; Nski, R.Z.; Trybek, G.; Michcik, A.; Kozakiewicz, M. New Radiological Corticalization Index as an Indicator of Implant Success Rate Depending on Prosthetic Restoration-5 Years of Follow-Up. Diagnostics 2024, 14, 867. [Google Scholar] [CrossRef]
- Stilwell, C. Occlusal considerations in maintaining health of implants and their restorations. Br. Dent. J. 2024, 236, 773–779. [Google Scholar] [CrossRef]
- Sadowsky, S.J. Occlusal overload with dental implants: A review. Int. J. Implant. Dent. 2019, 5, 29. [Google Scholar] [CrossRef] [PubMed]
- Cuong, N.L.Q.; Minh, N.H.; Cuong, H.M.; Quoc, P.N.; Van Anh, N.H.; Van Hieu, N. Porosity Estimation from High Resolution CT SCAN Images of Rock Samples by Using Housfield Unit. Open J. Geol. 2018, 8, 1019–1026. [Google Scholar] [CrossRef]
- Schreiber, J.J.; Anderson, P.A.; Rosas, H.G.; Buchholz, A.L.; Au, A.G. Hounsfield units for assessing bone mineral density and strength: A tool for osteoporosis management. J. Bone Jt. Surg. 2011, 93, 1057–1063. [Google Scholar] [CrossRef] [PubMed]
- Chun, K.J. Bone densitometry. Semin. Nucl. Med. 2011, 41, 220–228. [Google Scholar] [CrossRef]










| Metric | Follow Up | Mean | SD | Notes |
|---|---|---|---|---|
| CI | 0 months (Immediately) | 175.02 | 127,857 | - |
| 3 months | 210.70 | 149.78 | Significant vs. 0 M (p < 0.05) | |
| 60 months | 277.88 | 198.78 | Significant vs. 3 M (p < 0.05) | |
| MBL | 0 months (Immediately) | 0.00 mm | 0.04 mm | - |
| 3 months | 0.24 mm | 0.90 mm | Significant vs. 0 M (p < 0.05) | |
| 60 months | 0.86 mm | 1.29 mm | Significant vs. 3 M (p < 0.05) |
| Correlation | Variables | Mean ± SD | (p-Value) |
|---|---|---|---|
| CI 60 M ↔ MBL 60 M | CI 60 M: 277.88 ± 198.78 MBL 60 M: 0.86 ± 1.29 | CI 60 M: 277.88 ± 198.78 MBL 60 M: 0.86 ± 1.29 | Significant (p < 0.05) |
| CI 60 M ↔ CI 03 M | CI 60 M: 277.88 ± 198.78 CI 03 M: 210.70 ± 149.78 | CI 60 M: 277.88 ± 198.78 CI 03 M: 210.70 ± 149.78 | Significant (p < 0.05) |
Disclaimer/Publisher’s Note: The statements, opinions and data contained in all publications are solely those of the individual author(s) and contributor(s) and not of MDPI and/or the editor(s). MDPI and/or the editor(s) disclaim responsibility for any injury to people or property resulting from any ideas, methods, instructions or products referred to in the content. |
© 2025 by the authors. Licensee MDPI, Basel, Switzerland. This article is an open access article distributed under the terms and conditions of the Creative Commons Attribution (CC BY) license (https://creativecommons.org/licenses/by/4.0/).
Share and Cite
Wach, T.; Kozakiewicz, M.; Michcik, A.; Hadrowicz, P.; Pruszyńska, P.; Trybek, G.; Sikora, M.; Szymor, P.; Olszewski, R. Proposition of a New Scale for Marginal Bone Loss Prediction Around Dental Implants—A 5-Year Follow-Up of Functional Loaded Implants. Diagnostics 2025, 15, 3101. https://doi.org/10.3390/diagnostics15243101
Wach T, Kozakiewicz M, Michcik A, Hadrowicz P, Pruszyńska P, Trybek G, Sikora M, Szymor P, Olszewski R. Proposition of a New Scale for Marginal Bone Loss Prediction Around Dental Implants—A 5-Year Follow-Up of Functional Loaded Implants. Diagnostics. 2025; 15(24):3101. https://doi.org/10.3390/diagnostics15243101
Chicago/Turabian StyleWach, Tomasz, Marcin Kozakiewicz, Adam Michcik, Piotr Hadrowicz, Paulina Pruszyńska, Grzegorz Trybek, Maciej Sikora, Piotr Szymor, and Raphael Olszewski. 2025. "Proposition of a New Scale for Marginal Bone Loss Prediction Around Dental Implants—A 5-Year Follow-Up of Functional Loaded Implants" Diagnostics 15, no. 24: 3101. https://doi.org/10.3390/diagnostics15243101
APA StyleWach, T., Kozakiewicz, M., Michcik, A., Hadrowicz, P., Pruszyńska, P., Trybek, G., Sikora, M., Szymor, P., & Olszewski, R. (2025). Proposition of a New Scale for Marginal Bone Loss Prediction Around Dental Implants—A 5-Year Follow-Up of Functional Loaded Implants. Diagnostics, 15(24), 3101. https://doi.org/10.3390/diagnostics15243101

