Preoperative TAPSE/PASP Ratio as a Non-Invasive Predictor of Hypotension After General Anesthesia Induction
Abstract
1. Introduction
2. Materials and Methods
2.1. Study Design and Ethical Approval
2.2. Study Participants
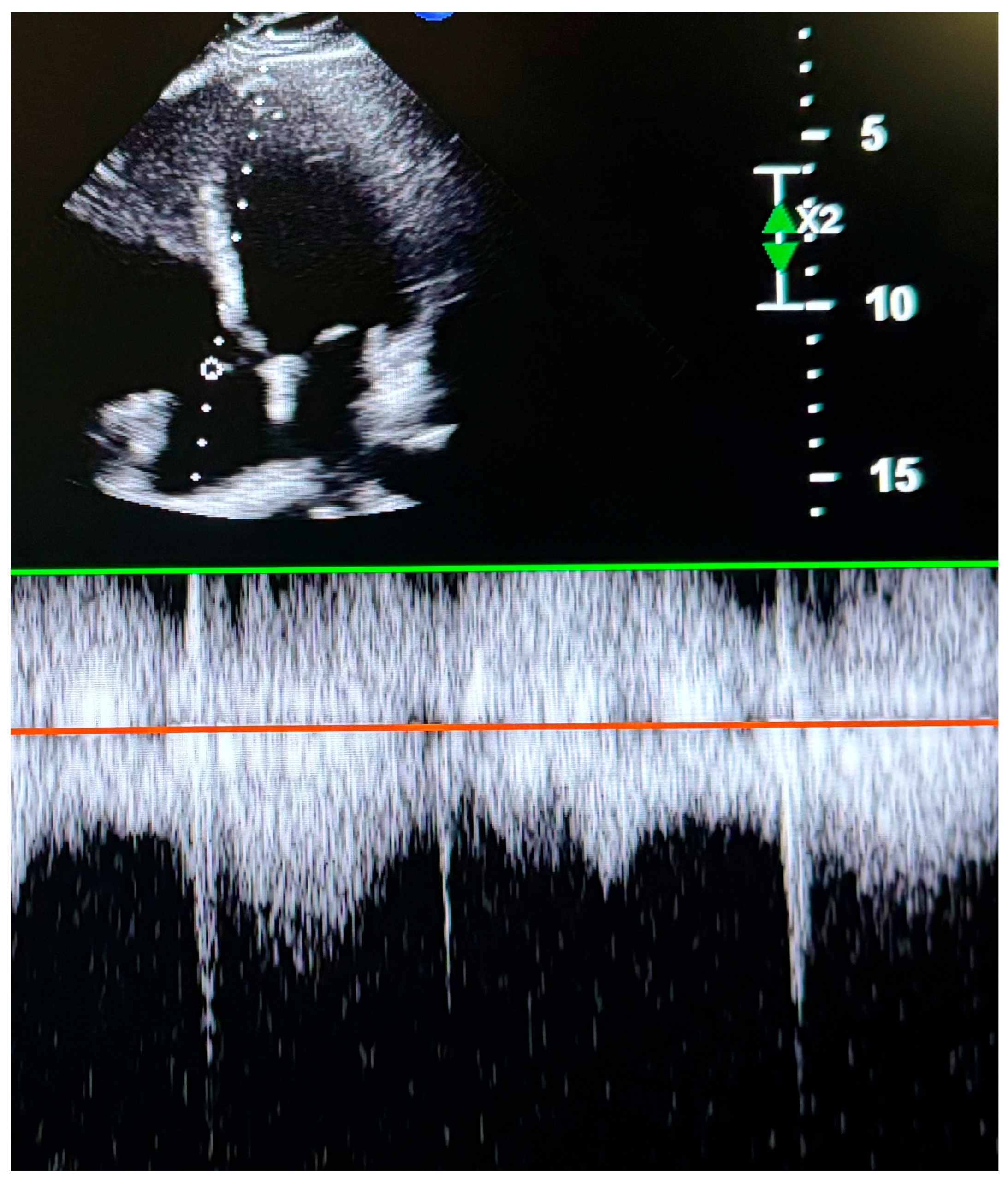
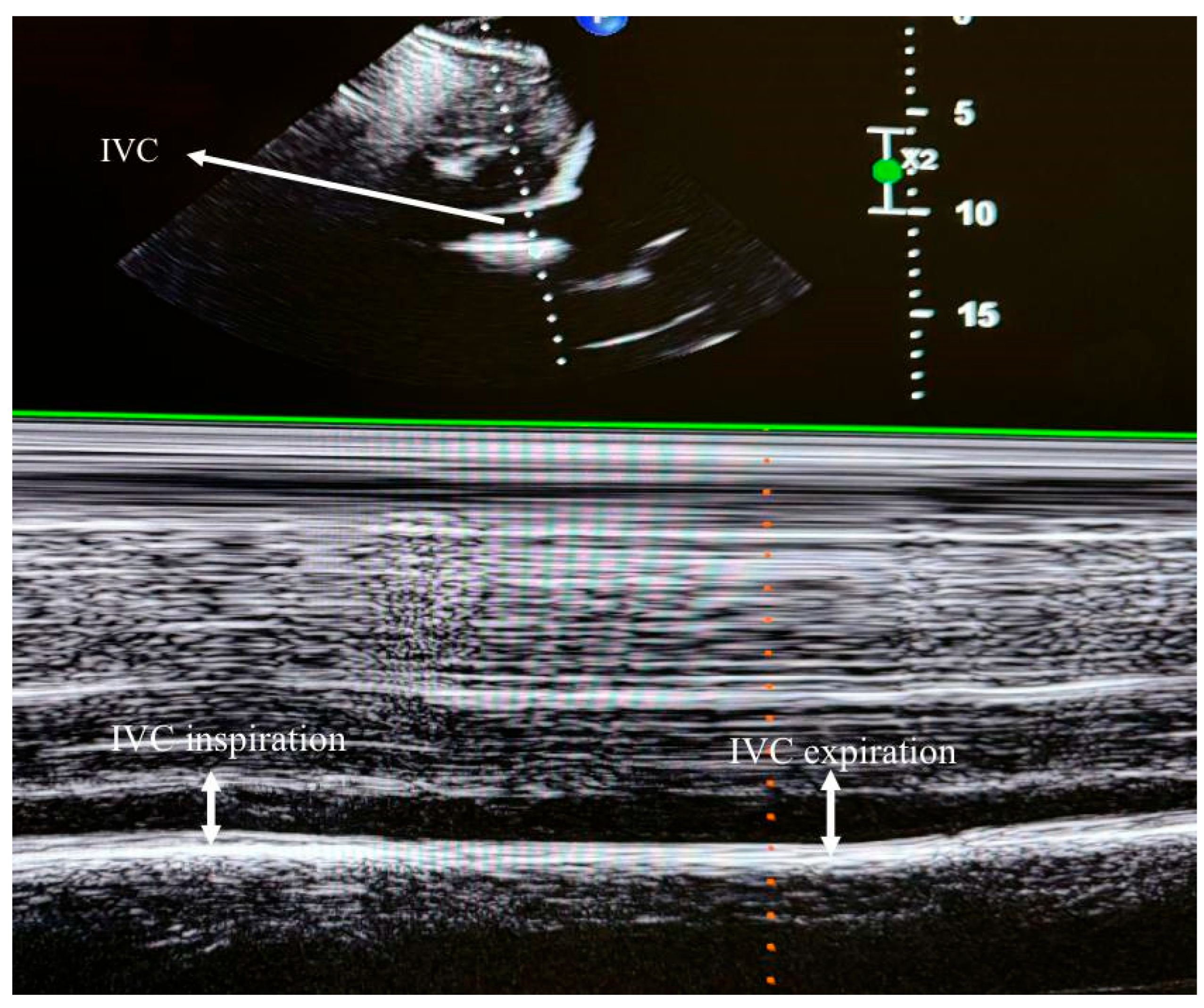
2.3. Transthoracic Echocardiography (TTE) and Data Collection
2.4. Definition of Hypotension and Hemodynamic Management
2.5. Anesthesia Induction and Monitoring
2.6. Echocardiography
3. Sample Size Calculation
Statistical Analysis
4. Results
5. Discussion
6. Conclusions
Key Messages
- RV–PA coupling quantitatively reflects right ventricular volume adaptation.
- The TAPSE/PASP ratio is a predictive marker for hypotension following general anesthesia induction.
- A TAPSE/PASP ratio of ≤1.98 demonstrated a sensitivity of 72.5% and a specificity of 64.1%, with an AUC of 0.733 (95% CI: 0.621–0.826, p < 0.001).
- A TAPSE of ≤1.98 demonstrated a sensitivity of 72.5% and a specificity of 79.5%, with an AUC of 0.807 (95% CI: 0.703–0.887, p < 0.001).
- No significant differences were observed in IVC-CI values between patients with and without hypotension.
Author Contributions
Funding
Institutional Review Board Statement
Informed Consent Statement
Data Availability Statement
Conflicts of Interest
References
- Bijker, J.B.; van Klei, W.A.; Vergouwe, Y.; Eleveld, D.J.; van Wolfswinkel, L.; Moons, K.G.; Kalkman, C.J. Intraoperative hypotension and 1-year mortality after noncardiac surgery. Anesthesiology 2009, 111, 1217–1226. [Google Scholar] [CrossRef] [PubMed]
- Gregory, A.; Stapelfeldt, W.H.; Khanna, A.K.; Smischney, N.J.; Boero, I.J.; Chen, Q.; Stevens, M.; Shaw, A.D. Intraoperative Hypotension Is Associated with Adverse Clinical Outcomes After Noncardiac Surgery. Anesth. Analg. 2021, 132, 1654–1665. [Google Scholar] [CrossRef] [PubMed] [PubMed Central]
- Hallqvist, L.; Granath, F.; Fored, M.; Bell, M. Intraoperative Hypotension and Myocardial Infarction Development Among High-Risk Patients Undergoing Noncardiac Surgery: A Nested Case-Control Study. Anesth. Analg. 2021, 133, 6–15. [Google Scholar] [CrossRef] [PubMed]
- Wijnberge, M.; Schenk, J.; Bulle, E.; Vlaar, A.P.; Maheshwari, K.; Hollmann, M.W.; Binnekade, J.M.; Geerts, B.F.; Veelo, D.P. Association of intraoperative hypotension with postoperative morbidity and mortality: Systematic review and meta-analysis. BJS Open 2021, 5, zraa018. [Google Scholar] [CrossRef] [PubMed] [PubMed Central]
- Walsh, M.; Devereaux, P.J.; Garg, A.X.; Kurz, A.; Turan, A.; Rodseth, R.N.; Cywinski, J.; Thabane, L.; Sessler, D.I. Relationship between intraoperative mean arterial pressure and clinical outcomes after noncardiac surgery: Toward an empirical definition of hypotension. Anesthesiology 2013, 119, 507–515. [Google Scholar] [CrossRef]
- De La Hoz, M.A.; Rangasamy, V.; Bastos, A.B.; Xu, X.; Novack, V.; Saugel, B.; Subramaniam, B. Intraoperative Hypotension and Acute Kidney Injury, Stroke, and Mortality during and outside Cardiopulmonary Bypass: A Retrospective Observational Cohort Study. Anesthesiology 2022, 136, 927–939. [Google Scholar] [CrossRef] [PubMed]
- Monk, T.G.; Saini, V.; Weldon, B.C.; Sigl, J.C. Anesthetic manage- ment and one-year mortality after noncardiac surgery. Anesth. Analg. 2005, 100, 4–10. [Google Scholar] [CrossRef]
- Robinson, B.J.; Ebert, T.J.; O’Brien, T.J.; Colinco, M.D.; Muzi, M. Mechanisms whereby propofol mediates peripheral vasodilation in humans. Sympathoinhibition or direct vascular relaxation? Anesthesiology 1997, 86, 64–72. [Google Scholar] [CrossRef] [PubMed]
- Qin, G.; Du, M.C.; Yi, K.X.; Gong, Y. Intraoperative hypotension and postoperative risks in non-cardiac surgery: A meta-analysis. BMC Anesthesiol. 2025, 25, 103. [Google Scholar] [CrossRef] [PubMed] [PubMed Central]
- Salmasi, V.; Maheshwari, K.; Yang, D.; Mascha, E.J.; Singh, A.; Sessler, D.I.; Kurz, A. Relationship between Intraoperative Hypotension, Defined by Either Reduction from Baseline or Absolute Thresholds, and Acute Kidney and Myocardial Injury after Noncardiac Surgery: A Retrospective Cohort Analysis. Anesthesiology 2017, 126, 47–65. [Google Scholar] [CrossRef] [PubMed]
- Jor, O.; Maca, J.; Koutna, J.; Gemrotova, M.; Vymazal, T.; Litschmannova, M.; Sevcik, P.; Reimer, P.; Mikulova, V.; Trlicova, M.; et al. Hypotension after induction of general anesthesia: Occurrence, risk factors, and therapy. A prospective multicentre observational study. J. Anesth. 2018, 32, 673–680. [Google Scholar] [CrossRef] [PubMed]
- Cournand, A.; Motley, H.L. Physiological studies of the effects of intermittent positive pressure breathing on cardiac output in man. Am. J. Physiol. 1948, 152, 162–174. [Google Scholar] [CrossRef] [PubMed]
- Fathy, M.M.; Wahdan, R.A.; Salah, A.A.A.; Elnakera, A.M. Inferior vena cava collapsibility index as a predictor of hypotension after induction of general anesthesia in hypertensive patients. BMC Anesthesiol. 2023, 23, 420. [Google Scholar] [CrossRef] [PubMed] [PubMed Central]
- Rose, N.; Chandra, M.; Nishanth, C.C.; Srinivasan, R. Preoperative Ultrasonographic Evaluation of Subclavian Vein and Inferior Vena Cava for Predicting Hypotension Associated with Induction of General Anesthesia. Anesth. Essays Res. 2022, 16, 54–59. [Google Scholar] [CrossRef] [PubMed] [PubMed Central]
- Lang, R.M.; Badano, L.P.; Mor-Avi, V.; Afilalo, J.; Armstrong, A.; Ernande, L.; Flachskampf, F.A.; Foster, E.; Goldstein, S.A.; Kuznetsova, T.; et al. Recommendations for cardiac chamber quantification by echocardiography in adults: An update from the American Society of Echocardiography and the European Association of Cardiovascular Imaging. J. Am. Soc. Echocardiogr. 2015, 28, 1–39.e14. [Google Scholar] [CrossRef]
- Haring, B.; Markwirth, P.; Böhm, M. Age-Related Changes of Pulmonary Artery Systolic Pressure: Prevention Is Key. J. Am. Coll. Cardiol. 2023, 82, 2193–2196. [Google Scholar] [CrossRef]
- Tello, K.; Axmann, J.; Ghofrani, H.A.; Naeije, R.; Narcin, N.; Rieth, A.; Seeger, W.; Gall, H.; Richter, M.J. Relevance of the TAPSE/PASP ratio in pulmonary arterial hypertension. Int. J. Cardiol. 2018, 266, 229–235. [Google Scholar] [CrossRef] [PubMed]
- Palazzuoli, A.; Cartocci, A.; Pirrotta, F.; Vannuccini, F.; Campora, A.; Martini, L.; Dini, F.L.; Carluccio, E.; Ruocco, G. Different right ventricular dysfunction and pulmonary coupling in acute heart failure according to the left ventricular ejection fraction. Prog. Cardiovasc. Dis. 2023, 81, 89–97. [Google Scholar] [CrossRef] [PubMed]
- Tello, K.; Dalmer, A.; Axmann, J.; Vanderpool, R.; Ghofrani, H.A.; Naeije, R.; Roller, F.; Seeger, W.; Sommer, N.; Wilhelm, J.; et al. Reserve of Right Ventricular-Arterial Coupling in the Setting of Chronic Overload. Circulation. Heart Fail. 2019, 12, e005512. [Google Scholar] [CrossRef]
- Li, H.; Ye, T.; Su, L.; Wang, J.; Jia, Z.; Wu, Q.; Liao, S. Assessment of Right Ventricular Arterial Coupling by Echocardiography in Patients with Right Ventricular Pressure and Volume Overload. Rev. Cardiovasc. Med. 2023, 24, 366. [Google Scholar] [CrossRef]
- Atkins, D.; Briss, P.A.; Eccles, M.; Flottorp, S.; Guyatt, G.H.; Harbour, R.T.; Hill, S.; Jaeschke, R.; Liberati, A.; Magrini, N.; et al. Systems for grading the quality of evidence and the strength of recommendations II: Pilot study of a new system. BMC Health Serv. Res. 2005, 5, 25. [Google Scholar] [CrossRef] [PubMed]
- Noma, H.; Matsushima, Y.; Ishii, R. Confidence interval for the AUC of SROC curve and some related methods using bootstrap for meta-analysis of diagnostic accuracy studies. Commun. Stat. Case Stud. Data Anal. Appl. 2021, 7, 344–358. [Google Scholar] [CrossRef]
- Reitsma, J.B.; Glas, A.S.; Rutjes, A.W.; Scholten, R.J.; Bossuyt, P.M.; Zwinderman, A.H. Bivariate analysis of sensitivity and specificity produces informative summary measures in diagnostic reviews. J. Clin. Epidemiol. 2005, 58, 982–990. [Google Scholar] [CrossRef] [PubMed]
- Wells, G.A.; Shea, B.; O’Connell, D.; Peterson, J.; Welch, V.; Losos, M.; Tugwell, P. The Newcastle–Ottawa Scale (NOS) for Assessing the Quality of Nonrandomized Studies in Meta-Analyses. 2013. Available online: https://www.ohri.ca/programs/clinical_epidemiology/oxford.asp (accessed on 26 March 2025).
- Ebert, T.J.; Muzi, M. Propofol and autonomic reflex function in humans. Anesth Analg. 1994, 78, 369–375. [Google Scholar] [CrossRef]
- Sato, M.; Tanaka, M.; Umehara, S.; Nishikawa, T. Baroreflex control of heart rate during and after propofol infusion in humans. Br. J. Anaesth. 2005, 94, 577–581. [Google Scholar] [CrossRef]
- Omar, H.; Moamen, A.; Abdelhamid, B.M.; Rady, A.; Farouk, I. Accuracy of preoperative evaluation of inferior vena cava collapsibility index and caval aorta index for prediction of hypotension after induction of general anesthesia: A prospective observational study. Anaesth. Pain Intensive Care 2023, 27, 449–455. [Google Scholar] [CrossRef]
- Kim, S.H.; Stoicea, N.; Soghomonyan, S.; Bergese, S.D. Intraoperative use of remifentanil and opioid induced hyperalgesia/acute opioid tolerance: Systematic review. Front. Pharmacol. 2014, 5, 108. [Google Scholar] [CrossRef]
- Das, K.; Sen, J.; Singam, A.; Borode, A. Pharmacokinetics and pharmacodynamics of remifentanil: A review. Multidiscip. Rev. 2025, 8, 2025242. [Google Scholar] [CrossRef]
- Dana, E.; Dana, H.K.; De Castro, C.; Bueno Rey, L.; Li, Q.; Tomlinson, G.; Khan, J.S. Inferior vena cava ultrasound to predict hypotension after general anesthesia induction: A systematic review and meta-analysis of observational studies. Can. J. Anaesth. 2024, 71, 1078–1091. [Google Scholar] [CrossRef]







| Variables | Without Hypotension (n = 39) | with Hypotension (n = 40) | p |
|---|---|---|---|
| Age | 58.0 (47.0–67.0) | 65.0 (53.3–69.0) | 0.101 |
| Sex | |||
| Male | 26 (66.7) | 24 (60.0) | 0.703 |
| Female | 13 (33.3) | 16 (40.0) | |
| Height | 168.97 ± 8.37 | 164.90 ± 8.99 | 0.040 |
| Weight | 76.13 ± 14.78 | 72.03 ± 12.16 | 0.181 |
| BMI | 26.52 ± 3.88 | 26.47 ± 3.85 | 0.953 |
| Comorbidity | |||
| DM | |||
| No | 34 (87.2) | 34 (85.0) | 1.000 |
| Yes | 5 (12.8) | 6 (15.0) | |
| HT | |||
| No | 30 (76.9) | 33 (82.5) | 0.736 |
| Yes | 9 (23.1) | 7 (17.5) | |
| Hypothyroidisim | |||
| No | 37 (94.9) | 38 (95.0) | 1.000 |
| Yes | 2 (5.1) | 2 (5.0) | |
| ASA | |||
| 1 | 24 (61.5) | 19 (47.5) | 0.305 |
| 2 | 15 (38.5) | 21 (52.5) | |
| POEM | 2 (5.1) | 0 (0) | 0.241 |
| Ophthalmic Surgeon | 34 (87.2) | 39 (97.5) | 0.108 |
| CDH surgeon | 3 (7.7) | 1 (2.5) | 0.359 |
| Variables | Without Hypotension (n = 39) | with Hypotension (n = 40) | p |
|---|---|---|---|
| Leukocyte (mcl) | 7.59 (6.40–8.60) | 7.31 (6.50–8.39) | 0.663 |
| Hemoglobin (g/dL) | 13.50 (12.80–15.30) | 13.20 (12.30–13.83) | 0.089 |
| Urea (mg/dL) | 25.00 (21.00–36.00) | 27.50 (22.25–39.75) | 0.312 |
| Creatinine (mg/dL) | 0.88 ± 0.19 | 0.84 ± 0.25 | 0.448 |
| Variables | Without Hypotension (n = 39) | with Hypotension (n = 40) | p |
|---|---|---|---|
| TAPSE | 25.75 ± 3.23 | 22.17 ± 2.68 | <0.001 |
| PASP | 11.31 (9.25–14.35) | 13.76 (10.56–21.59) | 0.026 |
| TAPSE/PASP | 2.29 ± 0.81 | 1.63 ± 0.68 | <0.001 |
| LV EF% | 65.00 (65.00–68.00) | 65.00 (65.00–68.00) | 0.186 |
| S’ | 19.80 ± 4.18 | 19.98 ± 5.82 | 0.874 |
| IVRT | 71.31 ± 17.73 | 74.43 ± 17.20 | 0.430 |
| IVCT | 69.00 (60.00–78.00) | 63.50 (57.00–78.00) | 0.262 |
| ET | 208.54 ± 39.86 | 204.95 ± 34.69 | 0.670 |
| MPI | 0.64 (0.55–0.80) | 0.66 (0.58–0.84) | 0.576 |
| TAPS Velocity | 0.93 (0.72–1.26) | 1.09 (0.66–1.83) | 0.243 |
| Tricuspid E | 52.65 ± 10.09 | 52.86 ± 12.24 | 0.934 |
| Tricuspid A | 38.00 (33.00–46.00) | 41.00 (34.25–48.00) | 0.307 |
| Tricuspid E/A | 1.32 ± 0.21 | 1.25 ± 0.28 | 0.189 |
| RV EDA | 25.00 ± 8.63 | 22.53 ± 7.94 | 0.189 |
| RV EDV | 50.00 (39.00–74.00) | 43.45 (33.75–61.56) | 0.161 |
| RV ESA | 13.09 (10.00–16.76) | 12.52 (10.01–15.71) | 0.806 |
| FAC | 0.44 (0.32–0.55) | 0.40 (0.28–0.55) | 0.375 |
| IVC inspirium | 10.47 ± 3.62 | 9.73 ± 4.32 | 0.412 |
| IVC expirium | 15.39 ± 3.85 | 15.46 ± 4.37 | 0.941 |
| IVC-CI | 0.37 (0.22–0.45) | 0.38 (0.29–0.51) | 0.305 |
| Variable | Cut-Off | Sensitivity | Specificity | Youden Index J | AUC (95% CI) | p |
|---|---|---|---|---|---|---|
| TAPSE/PASP | ≤1.988 | 0.725 | 0.641 | 0.366 | 0.733 (0.621–0.826) | <0.001 |
| TAPSE | ≤23.13 | 0.725 | 0.795 | 0.520 | 0.807 (0.703–0.887) | <0.001 |
Disclaimer/Publisher’s Note: The statements, opinions and data contained in all publications are solely those of the individual author(s) and contributor(s) and not of MDPI and/or the editor(s). MDPI and/or the editor(s) disclaim responsibility for any injury to people or property resulting from any ideas, methods, instructions or products referred to in the content. |
© 2025 by the authors. Licensee MDPI, Basel, Switzerland. This article is an open access article distributed under the terms and conditions of the Creative Commons Attribution (CC BY) license (https://creativecommons.org/licenses/by/4.0/).
Share and Cite
Gülaştı, F.; Gülaştı, S.; Can, B.C.; Öztürk, H.; Sarı, S. Preoperative TAPSE/PASP Ratio as a Non-Invasive Predictor of Hypotension After General Anesthesia Induction. Diagnostics 2025, 15, 1404. https://doi.org/10.3390/diagnostics15111404
Gülaştı F, Gülaştı S, Can BC, Öztürk H, Sarı S. Preoperative TAPSE/PASP Ratio as a Non-Invasive Predictor of Hypotension After General Anesthesia Induction. Diagnostics. 2025; 15(11):1404. https://doi.org/10.3390/diagnostics15111404
Chicago/Turabian StyleGülaştı, Ferdi, Sevil Gülaştı, Büşra Ceyhan Can, Hakan Öztürk, and Sinem Sarı. 2025. "Preoperative TAPSE/PASP Ratio as a Non-Invasive Predictor of Hypotension After General Anesthesia Induction" Diagnostics 15, no. 11: 1404. https://doi.org/10.3390/diagnostics15111404
APA StyleGülaştı, F., Gülaştı, S., Can, B. C., Öztürk, H., & Sarı, S. (2025). Preoperative TAPSE/PASP Ratio as a Non-Invasive Predictor of Hypotension After General Anesthesia Induction. Diagnostics, 15(11), 1404. https://doi.org/10.3390/diagnostics15111404

