Dynamic Digital Radiography (DDR) in the Diagnosis of a Diaphragm Dysfunction
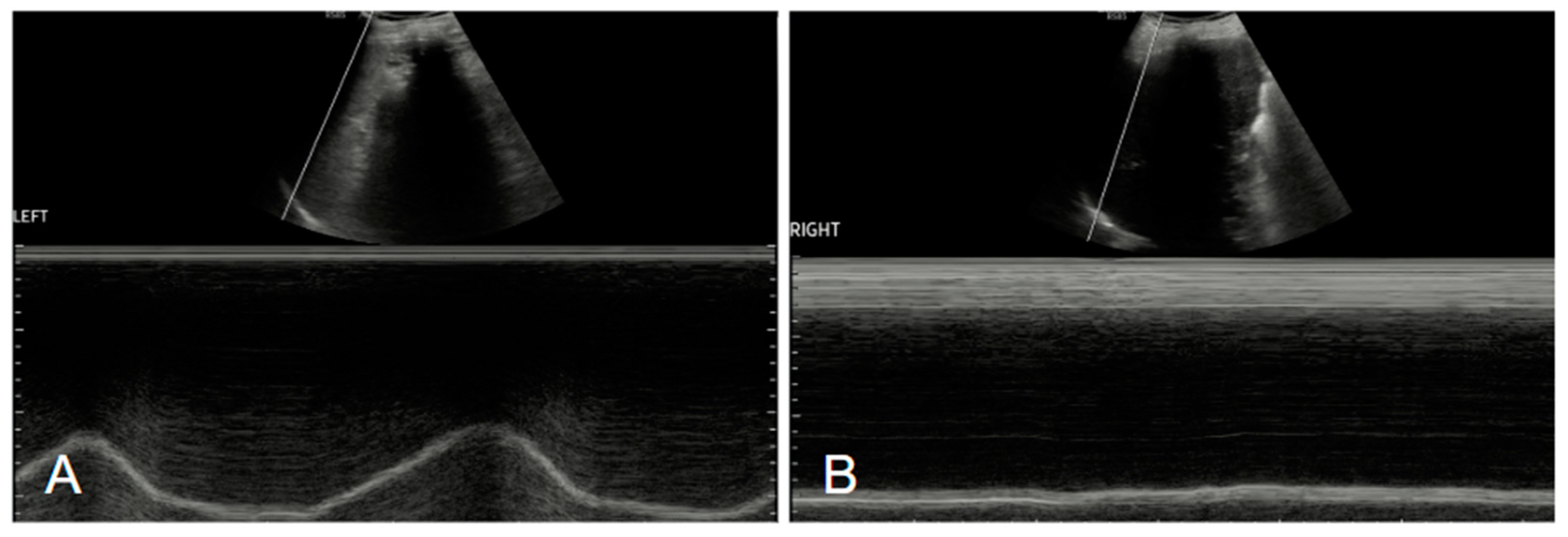
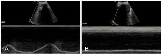
Abstract




Supplementary Materials
Author Contributions
Funding
Institutional Review Board Statement
Informed Consent Statement
Data Availability Statement
Conflicts of Interest
References
- Fyles, F.; FitzMaurice, T.S.; Robinson, R.E.; Bedi, R.; Burhan, H.; Walshaw, M.J. Dynamic Chest Radiography: A State-of-the-Art Review. Insights Imaging 2023, 14, 107. [Google Scholar] [CrossRef] [PubMed]
- Cè, M.; Oliva, G.; Rabaiotti, F.L.; Macrì, L.; Zollo, S.; Aquila, A.; Cellina, M. Portable Dynamic Chest Radiography: Literature Review and Potential Bedside Applications. Med. Sci. 2024, 12, 10. [Google Scholar] [CrossRef] [PubMed]
- Dubé, B.-P.; Dres, M. Diaphragm Dysfunction: Diagnostic Approaches and Management Strategies. J. Clin. Med. 2016, 5, 113. [Google Scholar] [CrossRef] [PubMed]
- Nason, L.K.; Walker, C.M.; McNeeley, M.F.; Burivong, W.; Fligner, C.L.; Godwin, J.D. Imaging of the diaphragm: Anatomy and function. RadioGraphics 2012, 32, E51–E70. [Google Scholar] [CrossRef] [PubMed]
- Chetta, A.; Rehman, A.K.; Moxham, J.; Carr, D.H.; Polkey, M.I. Chest Radiography Cannot Predict Diaphragm Function. Respir. Med. 2005, 99, 39–44. [Google Scholar] [CrossRef]
- Santana, P.V.; Cardenas, L.Z.; Albuquerque, A.L.P.; Carvalho, C.R.R.; Caruso, P. Diaphragmatic ultrasound: A review of its methodological aspects and clinical uses. J. Bras. Pneumol. 2020, 46, e20200064. [Google Scholar] [CrossRef] [PubMed] [PubMed Central]
- Hata, A.; Yamada, Y.; Tanaka, R.; Nishino, M.; Hida, T.; Hino, T.; Ueyama, M.; Yanagawa, M.; Kamitani, T.; Kurosaki, A.; et al. Dynamic Chest X-ray Using a Flat-Panel Detector System: Technique and Applications. Korean J. Radiol. 2021, 22, 634–651. [Google Scholar] [CrossRef] [PubMed]
- Hida, T.; Yamada, Y.; Ueyama, M.; Araki, T.; Nishino, M.; Kurosaki, A.; Jinzaki, M.; Honda, H.; Hatabu, H.; Kudoh, S. Time-Resolved Quantitative Evaluation of Diaphragmatic Motion during Forced Breathing in a Health Screening Cohort in a Standing Position: Dynamic Chest Phrenicography. Eur. J. Radiol. 2019, 113, 59–65. [Google Scholar] [CrossRef] [PubMed]
- Hino, T.; Hata, A.; Hida, T.; Yamada, Y.; Ueyama, M.; Araki, T.; Kamitani, T.; Nishino, M.; Kurosaki, A.; Jinzaki, M.; et al. Projected lung areas using dynamic X-ray (DXR). Eur. J. Radiol. Open 2020, 7, 100263. [Google Scholar] [CrossRef] [PubMed]
- Watanabe, T.; Suzuki, E.; Yoshii, N.; Tsuchida, H.; Yobita, S.; Uchiyama, S.; Iguchi, K.; Nakamura, M.; Endo, T.; Tanahashi, M. Preoperative detection of pleural adhesions using dynamic chest radiography: Prospective analysis. J. Thorac. Dis. 2023, 15, 1096–1105. [Google Scholar] [CrossRef] [PubMed]
Disclaimer/Publisher’s Note: The statements, opinions and data contained in all publications are solely those of the individual author(s) and contributor(s) and not of MDPI and/or the editor(s). MDPI and/or the editor(s) disclaim responsibility for any injury to people or property resulting from any ideas, methods, instructions or products referred to in the content. |
© 2024 by the authors. Licensee MDPI, Basel, Switzerland. This article is an open access article distributed under the terms and conditions of the Creative Commons Attribution (CC BY) license (https://creativecommons.org/licenses/by/4.0/).
Share and Cite
Calabrò, E.; Lisnic, T.; Cè, M.; Macrì, L.; Rabaiotti, F.L.; Cellina, M. Dynamic Digital Radiography (DDR) in the Diagnosis of a Diaphragm Dysfunction. Diagnostics 2025, 15, 2. https://doi.org/10.3390/diagnostics15010002
Calabrò E, Lisnic T, Cè M, Macrì L, Rabaiotti FL, Cellina M. Dynamic Digital Radiography (DDR) in the Diagnosis of a Diaphragm Dysfunction. Diagnostics. 2025; 15(1):2. https://doi.org/10.3390/diagnostics15010002
Chicago/Turabian StyleCalabrò, Elisa, Tiana Lisnic, Maurizio Cè, Laura Macrì, Francesca Lucrezia Rabaiotti, and Michaela Cellina. 2025. "Dynamic Digital Radiography (DDR) in the Diagnosis of a Diaphragm Dysfunction" Diagnostics 15, no. 1: 2. https://doi.org/10.3390/diagnostics15010002
APA StyleCalabrò, E., Lisnic, T., Cè, M., Macrì, L., Rabaiotti, F. L., & Cellina, M. (2025). Dynamic Digital Radiography (DDR) in the Diagnosis of a Diaphragm Dysfunction. Diagnostics, 15(1), 2. https://doi.org/10.3390/diagnostics15010002

