Colon Disease Diagnosis with Convolutional Neural Network and Grasshopper Optimization Algorithm
Abstract
1. Introduction
2. Literature Review
3. Material and Methods
3.1. Distance and Movement
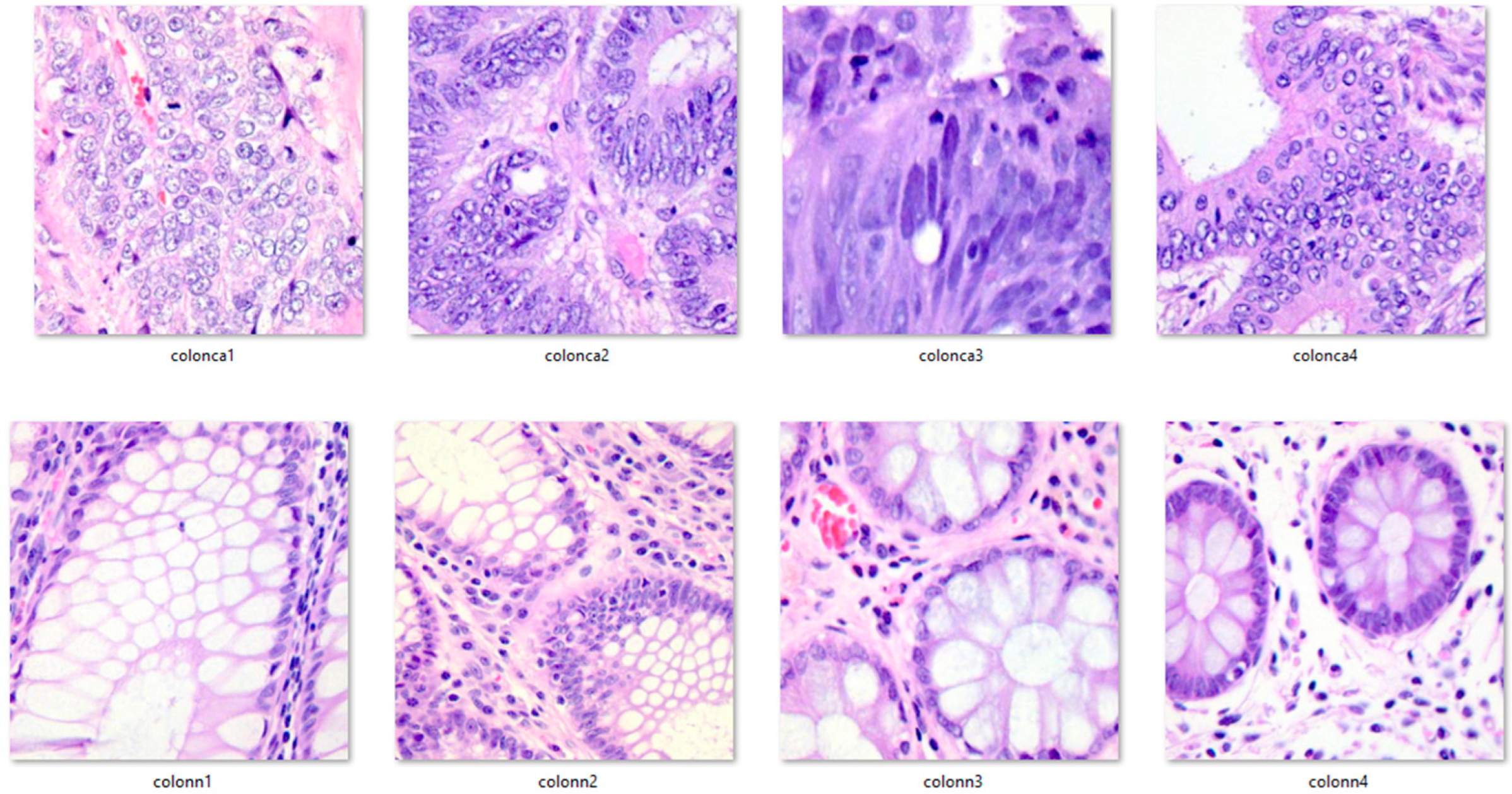
3.2. Dataset
4. Results and Discussion
4.1. Data Set
4.2. Evaluation
4.3. Analysis
4.3.1. Objective Function Analysis
4.3.2. Classification Accuracy Analysis
4.3.3. Comparison
5. Conclusions
Author Contributions
Funding
Institutional Review Board Statement
Informed Consent Statement
Data Availability Statement
Conflicts of Interest
References
- Roy, S.; Shoghi, K.I. Computer-aided tumor segmentation from T2-weighted MR images of patient-derived tumor xenografts. In Proceedings of the InImage Analysis and Recognition: 16th International Conference, ICIAR 2019, Waterloo, ON, Canada, 27–29 August 2019; Part II 16 2019. Springer International Publishing: Berlin/Heidelberg, Germany, 2019; pp. 159–171. [Google Scholar] [CrossRef]
- Wang, P.; Xiao, X.; Glissen Brown, J.R.; Berzin, T.M.; Tu, M.; Xiong, F.; Hu, X.; Liu, P.; Song, Y.; Zhang, D. Development and Validation of a Deep-Learning Algorithm for the Detection of Polyps during Colonoscopy. Nat. Biomed. Eng. 2018, 2, 741–748. [Google Scholar] [CrossRef] [PubMed]
- Bazazeh, D.; Shubair, R. Comparative Study of Machine Learning Algorithms for Breast Cancer Detection and Diagnosis. In Proceedings of the 2016 5th International Conference on Electronic Devices, Systems and Applications (ICEDSA), Ras al Khaimah, United Arab Emirates, 6–8 December 2016; pp. 1–4. [Google Scholar]
- Alam, J.; Alam, S.; Hossan, A. Multi-Stage Lung Cancer Detection and Prediction Using Multi-Class Svm Classifie. In Proceedings of the 2018 International Conference on Computer Communication, Chemical, Material and Electronic Engineering (IC4ME2), Rajshahi, Bangladesh, 8–9 February 2018; pp. 1–4. [Google Scholar]
- Tan, Y.J.; Sim, K.S.; Ting, F.F. Breast Cancer Detection Using Convolutional Neural Networks for Mammogram Imaging System. In Proceedings of the 2017 International Conference on Robotics, Automation and Sciences (ICORAS), Melaka, Malaysia, 27–29 November 2017; pp. 1–5. [Google Scholar]
- Roy, S.; Meena, T.; Lim, S.J. Demystifying Supervised Learning in Healthcare 4.0: A new Reality of Transforming Diagnostic Medicine. Diagnostics 2022, 12, 2549. [Google Scholar] [CrossRef] [PubMed]
- Chiang, T.-C.; Huang, Y.-S.; Chen, R.-T.; Huang, C.-S.; Chang, R.-F. Tumor Detection in Automated Breast Ultrasound Using 3-D CNN and Prioritized Candidate Aggregation. IEEE Trans. Med. Imaging 2018, 38, 240–249. [Google Scholar] [CrossRef] [PubMed]
- Roy, S.; Bhattacharyya, D.; Bandyopadhyay, S.K.; Kim, T.H. An improved brain MR image binarization method as a preprocessing for abnormality detection and features extraction. Front. Comput. Sci. 2017, 11, 717–727. [Google Scholar] [CrossRef]
- Leavesley, S.J.; Walters, M.; Lopez, C.; Baker, T.; Favreau, P.F.; Rich, T.C.; Rider, P.F.; Boudreaux, C.W. Hyperspectral Imaging Fluorescence Excitation Scanning for Colon Cancer Detection. J. Biomed. Opt. 2016, 21, 104003. [Google Scholar] [CrossRef]
- Nathan, M.; Kabatznik, A.S.; Mahmood, A. Hyperspectral Imaging for Cancer Detection and Classification. In Proceedings of the 2018 3rd Biennial South African Biomedical Engineering Conference (SAIBMEC), Stellenbosch, South Africa, 4–6 April 2018; pp. 1–4. [Google Scholar]
- Rathore, S.; Hussain, M.; Ali, A.; Khan, A. A Recent Survey on Colon Cancer Detection Techniques. IEEE/ACM Trans. Comput. Biol. Bioinforma. 2013, 10, 545–563. [Google Scholar] [CrossRef]
- Lu, G.; Halig, L.V.; Wang, D.; Qin, X.; Chen, Z.G.; Fei, B. Spectral-Spatial Classification for Noninvasive Cancer Detection Using Hyperspectral Imaging. J. Biomed. Opt. 2014, 19, 106004. [Google Scholar] [CrossRef]
- Pike, R.; Lu, G.; Wang, D.; Chen, Z.G.; Fei, B. A Minimum Spanning Forest-Based Method for Noninvasive Cancer Detection with Hyperspectral Imaging. IEEE Trans. Biomed. Eng. 2015, 63, 653–663. [Google Scholar] [CrossRef]
- Roy, S.; Bandyopadhyay, S.K. A New Method of Brain Tissues Segmentation from MRI with Accuracy Estimation. Procedia Comput. Sci. 2016, 85, 362–369. [Google Scholar] [CrossRef]
- Leavesley, S.J.; Deal, J.; Hill, S.; Martin, W.A.; Lall, M.; Lopez, C.; Rider, P.F.; Rich, T.C.; Boudreaux, C.W. Colorectal Cancer Detection by Hyperspectral Imaging Using Fluorescence Excitation Scanning. In Optical Biopsy XVI: Toward Real-Time Spectroscopic Imaging and Diagnosis; International Society for Optics and Photonics: Bellingham, WA, USA, 2018; Volume 10489, p. 104890K. [Google Scholar]
- Ma, L.; Lu, G.; Wang, D.; Wang, X.; Chen, Z.G.; Muller, S.; Chen, A.; Fei, B. Deep Learning Based Classification for Head and Neck Cancer Detection with Hyperspectral Imaging in an Animal Model. In Medical Imaging 2017: Biomedical Applications in Molecular, Structural, and Functional Imaging; International Society for Optics and Photonics: Bellingham, WA, USA, 2017; Volume 10137, p. 101372G. [Google Scholar]
- Saremi, S.; Mirjalili, S.; Lewis, A. Grasshopper Optimisation Algorithm: Theory and Application. Adv. Eng. Softw. 2017, 105, 30–47. [Google Scholar] [CrossRef]
- Borkowski, A.A.; Bui, M.M.; Thomas, L.B.; Wilson, C.P.; DeLand, L.A.; Mastorides, S.M. Lung and Colon Cancer Histopathological Image Dataset (lc25000). arXiv 2019, arXiv:1912.12142. [Google Scholar]
- Al Shalchi, N.F.A.; Rahebi, J. Human Retinal Optic Disc Detection with Grasshopper Optimization Algorithm. Multimed. Tools Appl. 2022, 81, 24937–24955. [Google Scholar] [CrossRef]
- Al-Safi, H.; Munilla, J.; Rahebi, J. Patient Privacy in Smart Cities by Blockchain Technology and Feature Selection with Harris Hawks Optimization (HHO) Algorithm and Machine Learning. Multimed. Tools Appl. 2022, 81, 8719–8743. [Google Scholar] [CrossRef]
- Iswisi, A.F.A.; Karan, O.; Rahebi, J. Diagnosis of Multiple Sclerosis Disease in Brain Magnetic Resonance Imaging Based on the Harris Hawks Optimization Algorithm. Biomed Res. Int. 2021, 2021, 3248834. [Google Scholar] [CrossRef]
- Al-Safi, H.; Munilla, J.; Rahebi, J. Harris Hawks Optimization (HHO) Algorithm Based on Artificial Neural Network for Heart Disease Diagnosis. In Proceedings of the 2021 IEEE International Conference on Mobile Networks and Wireless Communications (ICMNWC), Tumkur, India, 3–4 December 2021; pp. 1–5. [Google Scholar]
- Al-Rahlawee, A.T.H.; Rahebi, J. Multilevel Thresholding of Images with Improved Otsu Thresholding by Black Widow Optimization Algorithm. Multimed. Tools Appl. 2021, 80, 28217–28243. [Google Scholar] [CrossRef]
- Hadiyoso, S.; Aulia, S.; Irawati, I.D. Diagnosis of Lung and Colon Cancer Based on Clinical Pathology Images Using Convolutional Neural Network and CLAHE Framework. Int. J. Appl. Sci. Eng. 2023, 20, 2022004. [Google Scholar] [CrossRef]
- Mangal, S.; Chaurasia, A.; Khajanchi, A. Convolution Neural Networks for Diagnosing Colon and Lung Cancer Histopathological Images. arXiv 2020, arXiv:2009.03878. [Google Scholar]
- Masud, M.; Sikder, N.; Nahid, A.-A.; Bairagi, A.K.; AlZain, M.A. A Machine Learning Approach to Diagnosing Lung and Colon Cancer Using a Deep Learning-Based Classification Framework. Sensors 2021, 21, 748. [Google Scholar] [CrossRef]
- Roy, S.; Bhattacharyya, D.; Bandyopadhyay, S.K.; Kim, T.H. An effective method for computerized prediction and segmentation of multiple sclerosis lesions in brain MRI. Comput. Methods Programs Biomed. 2017, 140, 307–320. [Google Scholar] [CrossRef]
- Stephen, O.; Sain, M. Using Deep Learning with Bayesian–Gaussian Inspired Convolutional Neural Architectural Search for Cancer Recognition and Classification from Histopathological Image Frames. J. Healthc. Eng. 2023, 2023, 4597445. [Google Scholar] [CrossRef]
- Naga Raju, M.S.; Srinivasa Rao, B. Lung and Colon Cancer Classification Using Hybrid Principle Component Analysis Network-extreme Learning Machine. Concurr. Comput. Pract. Exp. 2023, 35, e7361. [Google Scholar] [CrossRef]
- Hage Chehade, A.; Abdallah, N.; Marion, J.-M.; Oueidat, M.; Chauvet, P. Lung and Colon Cancer Classification Using Medical Imaging: A Feature Engineering Approach. Phys. Eng. Sci. Med. 2022, 45, 729–746. [Google Scholar] [CrossRef] [PubMed]
- Mehmood, S.; Ghazal, T.M.; Khan, M.A.; Zubair, M.; Naseem, M.T.; Faiz, T.; Ahmad, M. Malignancy Detection in Lung and Colon Histopathology Images Using Transfer Learning with Class Selective Image Processing. IEEE Access 2022, 10, 25657–25668. [Google Scholar] [CrossRef]
- Bukhari, S.U.K.; Syed, A.; Bokhari, S.K.A.; Hussain, S.S.; Armaghan, S.U.; Shah, S.S.H. The Histological Diagnosis of Colonic Adenocarcinoma by Applying Partial Self Supervised Learning. MedRxiv 2020, 2008–2020. [Google Scholar] [CrossRef]









| Image Type | Class ID | Class Title | Total Images |
|---|---|---|---|
| Colon Adenocarcinoma | 0 | Col_Ad | 5000 |
| Colon Benign Tissue | 1 | Col_Be | 5000 |
| Total images | 10,000 | ||
| Method | Sensitivity | Specificity | Accuracy | F1 Score |
|---|---|---|---|---|
| ACO | 97.21% | 96.79% | 95.58% | 96.21% |
| PSO | 97.89% | 96.34% | 94.67% | 97.34% |
| GA | 97.18% | 95.79% | 93.90% | 96.01% |
| GWO | 98.45% | 97.18% | 98.34% | 97.99% |
| Proposed Method | 99.34% | 99.41% | 99.12% | 98.94% |
| Reference | Method | Sensitivity | Specificity | Accuracy | Precision | F1 Score |
|---|---|---|---|---|---|---|
| [24] | Convolutional neural network and CLAHE framework | - | - | 98.96% | - | - |
| [25] | Convolution neural networks | - | - | 96.00% | - | - |
| [26] | Machine learning approach and deep-learning-based | 96.37% | - | 96.33% | 96.39 | 96.38% |
| [27] | Deep Learning Method | 97.00% | 97.00% | 97% | 97.00% | |
| [28] | Deep Learning with Bayesian–Gaussian-Inspired Convolutional Neural Architectural Search | 93.00% | - | 97.92% | 97% | 97.00% |
| [29] | Hybrid principal component analysis network and extreme learning machine | 99.12% | 99.38% | 98.97% | 98.87% | 98.84% |
| [30] | Convolutional Neural Network | 99.00% | - | 99.00% | 98.6% | 98.8% |
| [31] | Transfer learning with class-selective image processing | - | - | 98.40% | ||
| [32] | Partial self-supervised learning | 95.74% | 80.95% | 93.04% | 95.74% | 95.74% |
| Proposed Method | CNN based on SqueezeNet and GOA | 99.34% | 99.41% | 99.12% | 98.91% | 98.94% |
Disclaimer/Publisher’s Note: The statements, opinions and data contained in all publications are solely those of the individual author(s) and contributor(s) and not of MDPI and/or the editor(s). MDPI and/or the editor(s) disclaim responsibility for any injury to people or property resulting from any ideas, methods, instructions or products referred to in the content. |
© 2023 by the authors. Licensee MDPI, Basel, Switzerland. This article is an open access article distributed under the terms and conditions of the Creative Commons Attribution (CC BY) license (https://creativecommons.org/licenses/by/4.0/).
Share and Cite
Mohamed, A.A.A.; Hançerlioğullari, A.; Rahebi, J.; Ray, M.K.; Roy, S. Colon Disease Diagnosis with Convolutional Neural Network and Grasshopper Optimization Algorithm. Diagnostics 2023, 13, 1728. https://doi.org/10.3390/diagnostics13101728
Mohamed AAA, Hançerlioğullari A, Rahebi J, Ray MK, Roy S. Colon Disease Diagnosis with Convolutional Neural Network and Grasshopper Optimization Algorithm. Diagnostics. 2023; 13(10):1728. https://doi.org/10.3390/diagnostics13101728
Chicago/Turabian StyleMohamed, Amna Ali A., Aybaba Hançerlioğullari, Javad Rahebi, Mayukh K. Ray, and Sudipta Roy. 2023. "Colon Disease Diagnosis with Convolutional Neural Network and Grasshopper Optimization Algorithm" Diagnostics 13, no. 10: 1728. https://doi.org/10.3390/diagnostics13101728
APA StyleMohamed, A. A. A., Hançerlioğullari, A., Rahebi, J., Ray, M. K., & Roy, S. (2023). Colon Disease Diagnosis with Convolutional Neural Network and Grasshopper Optimization Algorithm. Diagnostics, 13(10), 1728. https://doi.org/10.3390/diagnostics13101728

