Anti-CK7/CK20 Immunohistochemistry Did Not Associate with the Metastatic Site in TTF-1-Negative Lung Cancer
Abstract
:1. Introduction
2. Material and Methods
2.1. Patients
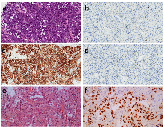
2.2. Histopathologic Evaluation
2.3. Molecular Analysis
2.4. Statistical Analysis
3. Results
3.1. Patient Characteristics
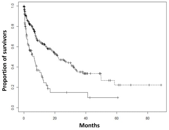
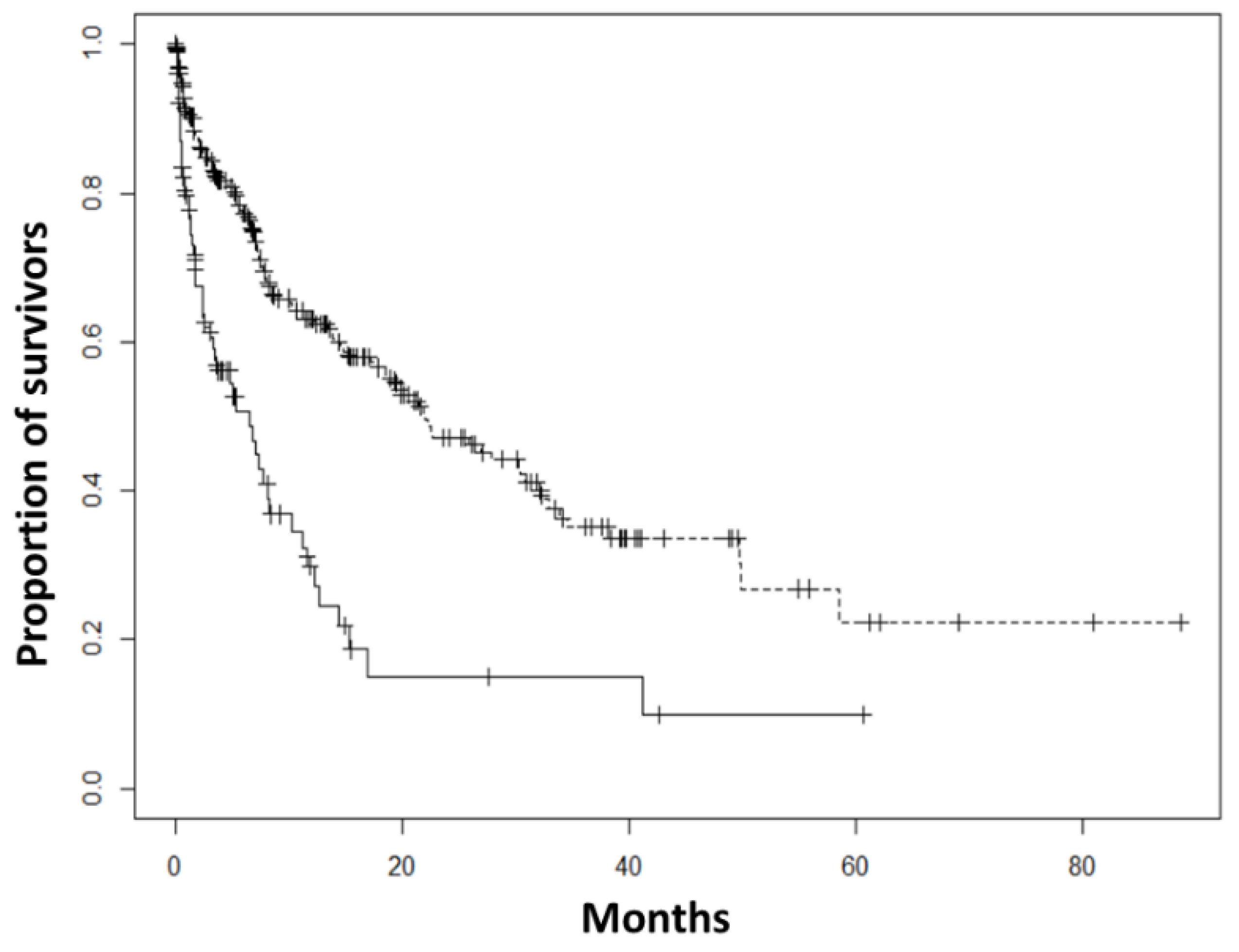
3.2. TTF-1 Negative versus TTF-1 Positive Groups
3.3. Anti-CK7 and CK20 Immunohistochemistry
4. Discussion
Author Contributions
Funding
Institutional Review Board Statement
Informed Consent Statement
Data Availability Statement
Acknowledgments
Conflicts of Interest
References
- Forest, F.; Thuret, G.; Gain, P.; Dumollard, J.-M.; Peoc’h, M.; Perrache, C.; He, Z. Optimization of immunostaining on flat-mounted human corneas. Mol. Vis. 2015, 21, 1345–1356. [Google Scholar] [PubMed]
- Pelosi, G.; Scarpa, A.; Forest, F.; Sonzogni, A. The impact of immunohistochemistry on the classification of lung tumors. Expert Rev. Respir. Med. 2016, 10, 1105–1121. [Google Scholar] [CrossRef] [PubMed]
- Bishop, J.A.; Teruya-Feldstein, J.; Westra, W.H.; Pelosi, G.; Travis, W.D.; Rekhtman, N. p40 (ΔNp63) is superior to p63 for the diagnosis of pulmonary squamous cell carcinoma. Mod. Pathol. 2012, 25, 405–415. [Google Scholar] [CrossRef] [PubMed]
- Forest, F.; Stachowicz, M.-L.; Casteillo, F.; Karpathiou, G.; Gouzy-Grosjean, F.; Guilaubey, C.; Cottier, M.; Beal, J.; Clemenson, A.; Péoc’h, M. EGFR, KRAS, BRAF and HER2 testing in metastatic lung adenocarcinoma: Value of testing on samples with poor specimen adequacy and analysis of discrepancies. Exp. Mol. Pathol. 2017, 103, 306–310. [Google Scholar] [CrossRef] [PubMed]
- Travis, W.D.; Brambilla, E.; Noguchi, M.; Nicholson, A.G.; Geisinger, K.R.; Yatabe, Y.; Beer, D.G.; Powell, C.A.; Riely, G.J.; Van Schil, P.E.; et al. International Association for the Study of Lung Cancer/American Thoracic Society/European Respiratory Society International Multidisciplinary Classification of Lung Adenocarcinoma. J. Thorac. Oncol. 2011, 6, 244–285. [Google Scholar] [CrossRef] [Green Version]
- Gerull, W.D.; Puri, V.; Kozower, B.D. The epidemiology and biology of pulmonary metastases. J. Thorac. Dis. 2021, 13, 2585–2589. [Google Scholar] [CrossRef] [PubMed]
- Montezuma, D.; Azevedo, R.; Lopes, P.; Vieira, R.; Cunha, A.L.; Henrique, R. A panel of four immunohistochemical markers (CK7, CK20, TTF-1, and p63) allows accurate diagnosis of primary and metastatic lung carcinoma on biopsy specimens. Virchows Arch. 2013, 463, 749–754. [Google Scholar] [CrossRef]
- Travis, W.D.; Brambilla, E.; Noguchi, M.; Nicholson, A.G.; Geisinger, K.; Yatabe, Y.; Powell, C.A.; Beer, D.; Riely, G.; Garg, K.; et al. International Association for the Study of Lung Cancer/American Thoracic Society/European Respiratory Society: International multidisciplinary classification of lung adenocarcinoma—An executive summary. Proc. Am. Thorac. Soc. 2011, 8, 381–385. [Google Scholar] [CrossRef]
- Geles, A.; Gruber-Moesenbacher, U.; Quehenberger, F.; Manzl, C.; Al Effah, M.; Grygar, E.; Juettner-Smolle, F.; Popper, H.H. Pulmonary mucinous adenocarcinomas: Architectural patterns in correlation with genetic changes, prognosis and survival. Virchows Arch. 2015, 467, 675–686. [Google Scholar] [CrossRef]
- Chu, P.; Wu, E.; Weiss, L.M. Cytokeratin 7 and Cytokeratin 20 Expression in Epithelial Neoplasms: A Survey of 435 Cases. Mod. Pathol. 2000, 13, 962–972. [Google Scholar] [CrossRef]
- Vidarsdottir, H.; Tran, L.; Nodin, B.; Jirström, K.; Planck, M.; Jönsson, P.; Mattsson, J.S.M.; Botling, J.; Micke, P.; Brunnström, H. Immunohistochemical profiles in primary lung cancers and epithelial pulmonary metastases. Hum. Pathol. 2019, 84, 221–230. [Google Scholar] [CrossRef] [PubMed]
- WHO. Classification of Tumors Editorial Board Thoracic Tumors, 5th ed.; International Agency for Research on Cancer: Lyon, France, 2021; ISBN 978-92-832-4506-3. [Google Scholar]
- Forest, F.; Laville, D.; Habougit, C.; Da Cruz, V.; Casteillo, F.; Yvorel, V.; Bard-Sorel, S.; Godard, W.; Picot, T.; Tiffet, O.; et al. Histopathological and molecular profiling of lung adenocarcinoma skin metastases reveals specific features. Histopathology 2021, 79, 1051–1060. [Google Scholar] [CrossRef] [PubMed]
- Bourhis, A.; Remoué, A.; Le Flahec, G.; Marcorelles, P.; Uguen, A. Avoiding non-contributive molecular results in cancer samples: Proposal of a score-based approach for sample choice. Pathology 2019, 51, 524–528. [Google Scholar] [CrossRef] [PubMed]
- R Core Team. R: A Language And Environment for Statistical Computing. The R Project for Statistical Computing: Online. 2018, Volume 2. Available online: https://www.R-project.org (accessed on 26 April 2022).
- Therneau, T. A Package for Survival Analysis in S.; R Package Version; Survival: London, UK, 2012. [Google Scholar]
- Schilsky, J.B.; Ni, A.; Ahn, L.; Datta, S.; Travis, W.D.; Kris, M.G.; Chaft, J.E.; Rekhtman, N.; Hellmann, M.D. Prognostic impact of TTF-1 expression in patients with stage IV lung adenocarcinomas. Lung Cancer 2017, 108, 205–211. [Google Scholar] [CrossRef] [PubMed]
- Casteillo, F.; Guy, J.-B.; Dal-Col, P.; Karpathiou, G.; Pommier, B.; Bayle-Bleuez, S.; Fournel, P.; Vassal, F.; Forest, F. Pathologic Subtypes of Lung Adenocarcinoma Brain Metastasis Is a Strong Predictor of Survival After Resection. Am. J. Surg. Pathol. 2018, 42, 1701–1707. [Google Scholar] [CrossRef] [PubMed]
- Da Cruz, V.; Yvorel, V.; Casteillo, F.; Tissot, C.; Luchez, A.; Bayle-Bleuez, S.; Fournel, P.; Tiffet, O.; Péoc’h, M.; Forest, F.; et al. Histopathological subtyping is a prognostic factor in stage IV lung adenocarcinoma. Lung Cancer 2020, 147, 77–82. [Google Scholar] [CrossRef]
- Kadota, K.; Nitadori, J.; Sarkaria, I.S.; Sima, C.S.; Jia, X.; Yoshizawa, A.; Rusch, V.W.; Travis, W.D.; Adusumilli, P.S. Thyroid transcription factor-1 expression is an independent predictor of recurrence and correlates with the IASLC/ATS/ERS histologic classification in patients with stage I lung adenocarcinoma. Cancer 2013, 119, 931–938. [Google Scholar] [CrossRef]
- Qian, H.; Xu, T.; Cai, X.; Ji, T.; Guo, H. Prognostic value of TTF-1 expression in patients with non-small cell lung cancer: A meta-analysis. Clin. Chim. Acta 2015, 451, 208–214. [Google Scholar] [CrossRef]
- Fallet, V.; Cadranel, J.; Doubre, H.; Toper, C.; Monnet, I.; Chinet, T.; Oliviero, G.; Foulon, G.; De Cremoux, H.; Vieira, T.; et al. Prospective screening for ALK: Clinical features and outcome according to ALK status. Eur. J. Cancer 2014, 50, 1239–1246. [Google Scholar] [CrossRef]
- Rodriguez, E.F.; VandenBussche, C.J.; Chowsilpa, S.; Maleki, Z. Molecular genetic alterations in thyroid transcription factor 1–negative lung adenocarcinoma in cytology specimens: A subset with aggressive behavior and a poor prognosis. Cancer Cytopathol. 2018, 126, 853–859. [Google Scholar] [CrossRef] [Green Version]
- Casteillo, F.; Fournel, P.; Da Cruz, V.; Karpathiou, G.; Boutet, C.; Jacquin, J.; Tissot, C.; Meyer-Bisch, V.; Péoc’h, M.; Forest, F. TTF-1-positive Metastatic Endometrioid Carcinoma. Appl. Immunohistochem. Mol. Morphol. 2020, 28, e6–e9. [Google Scholar] [CrossRef] [PubMed]
- Little, D.R.; Gerner-Mauro, K.N.; Flodby, P.; Crandall, E.D.; Borok, Z.; Akiyama, H.; Kimura, S.; Ostrin, E.J.; Chen, J. Transcriptional control of lung alveolar type 1 cell development and maintenance by NK homeobox 2-1. Proc. Natl. Acad. Sci. USA 2019, 116, 20545–20555. [Google Scholar] [CrossRef] [PubMed] [Green Version]
- Serre, I.; Garcia, S.; Forest, F. SMARCA4-deficient Thoracic Sarcomas. Int. J. Surg. Pathol. 2018. [Google Scholar] [CrossRef]
- Perret, R.; Chalabreysse, L.; Watson, S.; Serre, I.; Garcia, S.; Forest, F.; Yvorel, V.; Pissaloux, D.; Thomas de Montpreville, V.; Masliah-planchon, J.; et al. SMARCA4-deficient Thoracic Sarcomas. Am. J. Surg. Pathol. 2019, 43, 455–465. [Google Scholar] [CrossRef]
- Le Loarer, F.; Watson, S.; Pierron, G.; de Montpreville, V.T.; Ballet, S.; Firmin, N.; Auguste, A.; Pissaloux, D.; Boyault, S.; Paindavoine, S.; et al. SMARCA4 inactivation defines a group of undifferentiated thoracic malignancies transcriptionally related to BAF-deficient sarcomas. Nat. Genet. 2015, 47, 1200–1205. [Google Scholar] [CrossRef]
- Forest, F.; Yvorel, V.; Karpathiou, G.; Stachowicz, M.L.; Vergnon, J.M.; Fournel, P.; Tiffet, O.; Trombert, B.; Péoc’H, M. Histomolecular profiling of pleomorphic, spindle cell, and giant cell carcinoma of the lung for targeted therapies. Hum. Pathol. 2016, 49, 99–106. [Google Scholar] [CrossRef]
- Forest, F.; Cote, G.; Laville, D.; Da Cruz, V.; Dal Col, P.; Camy, F.; Mobarki, M.; Clemenson, A.; Yvorel, V.; Péoc’h, M. Impact of delayed fixation and decalcification on PD-L1 expression: A comparison of two clones. Virchows Arch. 2019, 475, 693–699. [Google Scholar] [CrossRef]
- Boureille, A.; Ferraro-Peyret, C.; Pontarollo, G.; Confavreux, C.; Pialat, J.-B.; Isaac, S.; Forest, F.; Yvorel, V.; Watkin, E.; Girard, N.; et al. Rapid detection of EGFR mutations in decalcified lung cancer bone metastasis. J. Bone Oncol. 2020, 21, 100277. [Google Scholar] [CrossRef]
- Forest, F.; Casteillo, F.; Da Cruz, V.; Yvorel, V.; Picot, T.; Vassal, F.; Tiffet, O.; Péoc’h, M. Heterogeneity of PD-L1 expression in lung adenocarcinoma metastasis is related to histopathological subtypes. Lung Cancer 2021, 155, 1–9. [Google Scholar] [CrossRef]
- Adam, J.; Forest, F.; Mansuet-Lupo, A.; Ilié, M.; pour le groupe PATTERN (PAThologistes Thoraciques de valorisation de l’Expertise, de la R. et de l’iNnovation F.S.L.C. Recent updates regarding PD-L1 testing in non-small cell lung carcinoma. Ann. Pathol. 2019, 39, 303–304. [Google Scholar] [CrossRef]
- Soria, J.C.; Ohe, Y.; Vansteenkiste, J.; Reungwetwattana, T.; Chewaskulyong, B.; Lee, K.H.; Dechaphunkul, A.; Imamura, F.; Nogami, N.; Kurata, T.; et al. Osimertinib in untreated EGFR-Mutated advanced non-small-cell lung cancer. N. Engl. J. Med. 2018, 378, 113–125. [Google Scholar] [CrossRef] [PubMed]
- McLeer-Florin, A.; Duruisseaux, M.; Pinsolle, J.; Dubourd, S.; Mondet, J.; Phillips Houlbracq, M.; Magnat, N.; Fauré, J.; Chatagnon, A.; de Fraipont, F.; et al. ALK fusion variants detection by targeted RNA-next generation sequencing and clinical responses to crizotinib in ALK-positive non-small cell lung cancer. Lung Cancer 2018, 116, 15–24. [Google Scholar] [CrossRef] [PubMed]
- Yu, K.H.; Wang, F.; Berry, G.J.; Ré, C.; Altman, R.B.; Snyder, M.; Kohane, I.S. Classifying non-small cell lung cancer types and transcriptomic subtypes using convolutional neural networks. J. Am. Med. Inform. Assoc. 2020, 1, 757–769. [Google Scholar] [CrossRef] [PubMed]


| Metastatic Site | TTF-1 Positive, n (%) | TTF-1 Negative, n (%) | p |
|---|---|---|---|
| n (%) | 240 (66.5) | 81 (22.4) | |
| Lung | 0.716 | ||
| Yes | 51 (19.4) | 19 (20.9) | |
| No | 189 (71.8) | 62 (68.1) | |
| Lymph nodes | 0.206 | ||
| Yes | 49 (18.6) | 22 (24.2) | |
| No | 191 (72.6) | 59 (64.8) | |
| Pleura | 0.089 * | ||
| Yes | 29 (11) | 4 (4.4) | |
| No | 211 (80.2) | 77 (84.6) | |
| Bone | 0.634 | ||
| Yes | 84 (31.9) | 26 (28.6) | |
| No | 156 (59.3) | 55 (60.4) | |
| Adrenals | 0.039 | ||
| Yes | 40 (15.2) | 22 (24.2) | |
| No | 200 (76) | 59 (64.8) | |
| Brain | 0.224 | ||
| Yes | 89 (33.8) | 24 (26.4) | |
| No | 151 (57.4) | 57 (62.6) | |
| Liver | 0.965 | ||
| Yes | 42 (16) | 14 (15.4) | |
| No | 198 (75.3) | 67 (73.6) | |
| Other metastatic site | 15 (5.7) | 11 (12.1) | |
| No metastasis | 179 (68.6) | 60 (65.9) | |
| Data not available | 23 (8.8) | 10 (11) |
| TTF-1 Positive, n (%) | TTF-1 Negative, n (%) | p | |
|---|---|---|---|
| EGFR | <0.001 | ||
| Mutated | 43 (16.3) | 1 (1.1) | |
| Wild type | 192 (73) | 79 (86.8) | |
| Not performed | 28 (10.6) | 11 (12.1) | |
| KRAS | |||
| Mutated | 75 (28.5) | 33 (36.3) | 0.148 |
| Wild type | 157 (59.7) | 47 (51.6) | |
| Not performed | 31 (11.8) | 11 (12.1) | |
| BRAF | 0.65 | ||
| Mutated | 11 (4.2) | 3 (3.3) | |
| Wild type | 196 (74.5) | 72 (79.1) | |
| Not performed | 56 (21.3) | 16 (17.6) | |
| ALK | 0.023 | ||
| Rearranged | 14 (5.3) | 0 (0) | |
| Not rearranged | 214 (81.4) | 80 (87.9) | |
| Not performed | 35 (13.3) | 11 (12.1) | |
| ROS1 | 0.106 | ||
| Rearranged | 6 (2.3) | 0 (0) | |
| Not rearranged | 150 (57) | 66 (72.5) | |
| Not performed | 107 (40.7) | 25 (27.5) |
| Metastatic Site for TTF-1 Negative | CK7+/CK20-, n (%) | CK7-/CK20-, n (%) | CK7+/CK20+, n (%) | CK7-/CK20+, n (%) | p |
|---|---|---|---|---|---|
| n (%) | 61 (87.1) | 4 (5.7) | 3 (4.3) | 2 (2.8) | |
| Lung | 0.771 * | ||||
| Yes | 10 (16.4) | 0 (0) | 1 (33.3) | 0 (0) | |
| No | 44 (72.1) | 2 (50) | 2 (66.7) | 2 (100) | |
| Lymph nodes | 0.892 * | ||||
| Yes | 16 (26.2) | 0 (0) | 1 (33.3) | 1 (50) | |
| No | 38 (62.3) | 2 (50) | 2 (66.7) | 1 (50) | |
| Pleura | 0.191 * | ||||
| Yes | 2 (3.3) | 0 (0) | 0 (0) | 1 (50) | |
| No | 52 (85.2) | 2 (50) | 3 (100) | 1 (50) | |
| Bone | 0.672 * | ||||
| Yes | 23 (37.7) | 0 (0) | 1 (33.3) | 0 (0) | |
| No | 31 (50.8) | 2 (50) | 2 (66.7) | 2 (100) | |
| Adrenals | 0.258 * | ||||
| Yes | 14 (22.9) | 0 (0) | 2 (66.7) | 1 (50) | |
| No | 40 (65.6) | 2 (50) | 1 (33.3) | 1 (50) | |
| Brain | 0.621 * | ||||
| Yes | 19 (31.1) | 0 (0) | 0 (0) | 0 (0) | |
| No | 38 (62.3) | 2 (50) | 3 (100) | 2 (100) | |
| Liver | 0.078 | ||||
| Yes | 7 (11.5) | 0 (0) | 2 (66.7) | 0 (0) | |
| No | 47 (77) | 2 (50) | 1 (33.3) | 0 (0) | |
| Other metastatic site | 9 (14.7) | 0 (0) | 0 (0) | 0 | |
| No metastasis | 35 (57.4) | 2 (50) | 1 (33.3) | 2 (100) | |
| Data not available | 7 (11.5) | 2 (50) | 0 (0) | 0 (0) |
| CK7+/CK20-, n (%) | CK7-/CK20-, n (%) | CK7+/CK20+, n (%) | CK7-/CK20+, n (%) | p | |
|---|---|---|---|---|---|
| EGFR | 61 | 4 | 3 | 2 | 0.081 |
| Mutated | 0 (0) | 0 (0) | 1 (33.3) | 0 (0) | |
| Wild type | 53 (86.9) | 4 (100) | 2 (66.7) | 2 (100) | |
| Not performed | 8 (11.5) | 0 (0) | 0 (0) | 0 (0) | |
| KRAS | 0.118 | ||||
| Mutated | 23 (37.7) | 0 (0) | 0 (0) | 0 (0) | |
| Wild type | 30 (49.2) | 4 (100) | 3 (100) | 2 (100) | |
| Not performed | 8 (13.1) | 0 (0) | 0 (0) | 0 (0) | |
| BRAF | 0.397 | ||||
| Mutated | 2 (3.3) | 1 (25) | 0 (0) | 0 (0) | |
| Wild type | 48 (78.7) | 3 (75) | 3 (100) | 2 (100) | |
| Not performed | 11 (18) | 0 (0) | 0 (0) | 0 (0) | |
| ALK | 1 | ||||
| Rearranged | 0 (0) | 0 (0) | 0 (0) | 0 (0) | |
| Not rearranged | 53 (86.9) | 4 (100) | 2 (66.7) | 2 (100) | |
| Not performed | 8 (13.1) | 0 (0) | 1 (33.3) | 0 (0) | |
| ROS1 | 1 | ||||
| Rearranged | 0 (0) | 0 (0) | 0 (0) | 0 (0) | |
| Not rearranged | 43 (70.5) | 4 (100) | 0 (0) | 2 (100) | |
| Not performed | 18 (29.5) | 0 (0) | 3 (100) | 0 (0) |
Publisher’s Note: MDPI stays neutral with regard to jurisdictional claims in published maps and institutional affiliations. |
© 2022 by the authors. Licensee MDPI, Basel, Switzerland. This article is an open access article distributed under the terms and conditions of the Creative Commons Attribution (CC BY) license (https://creativecommons.org/licenses/by/4.0/).
Share and Cite
Court, A.; Laville, D.; Dagher, S.; Grosjean, V.; Dal-Col, P.; Yvorel, V.; Casteillo, F.; Bayle-Bleuez, S.; Vergnon, J.-M.; Forest, F. Anti-CK7/CK20 Immunohistochemistry Did Not Associate with the Metastatic Site in TTF-1-Negative Lung Cancer. Diagnostics 2022, 12, 1589. https://doi.org/10.3390/diagnostics12071589
Court A, Laville D, Dagher S, Grosjean V, Dal-Col P, Yvorel V, Casteillo F, Bayle-Bleuez S, Vergnon J-M, Forest F. Anti-CK7/CK20 Immunohistochemistry Did Not Associate with the Metastatic Site in TTF-1-Negative Lung Cancer. Diagnostics. 2022; 12(7):1589. https://doi.org/10.3390/diagnostics12071589
Chicago/Turabian StyleCourt, Alice, David Laville, Sami Dagher, Vincent Grosjean, Pierre Dal-Col, Violaine Yvorel, François Casteillo, Sophie Bayle-Bleuez, Jean-Michel Vergnon, and Fabien Forest. 2022. "Anti-CK7/CK20 Immunohistochemistry Did Not Associate with the Metastatic Site in TTF-1-Negative Lung Cancer" Diagnostics 12, no. 7: 1589. https://doi.org/10.3390/diagnostics12071589
APA StyleCourt, A., Laville, D., Dagher, S., Grosjean, V., Dal-Col, P., Yvorel, V., Casteillo, F., Bayle-Bleuez, S., Vergnon, J.-M., & Forest, F. (2022). Anti-CK7/CK20 Immunohistochemistry Did Not Associate with the Metastatic Site in TTF-1-Negative Lung Cancer. Diagnostics, 12(7), 1589. https://doi.org/10.3390/diagnostics12071589

