Correlations between Head Ultrasounds Performed at Term-Equivalent Age in Premature Neonates and General Movements Neurologic Examination Patterns
Abstract
:1. Introduction
2. Materials and Methods
- TEA between April and 30 August 2023;
- Gestational age between 30–36 weeks;
- Parents’ agreement for the GM assessment and inclusion in the study.
2.1. The General Movements (GM) Examination
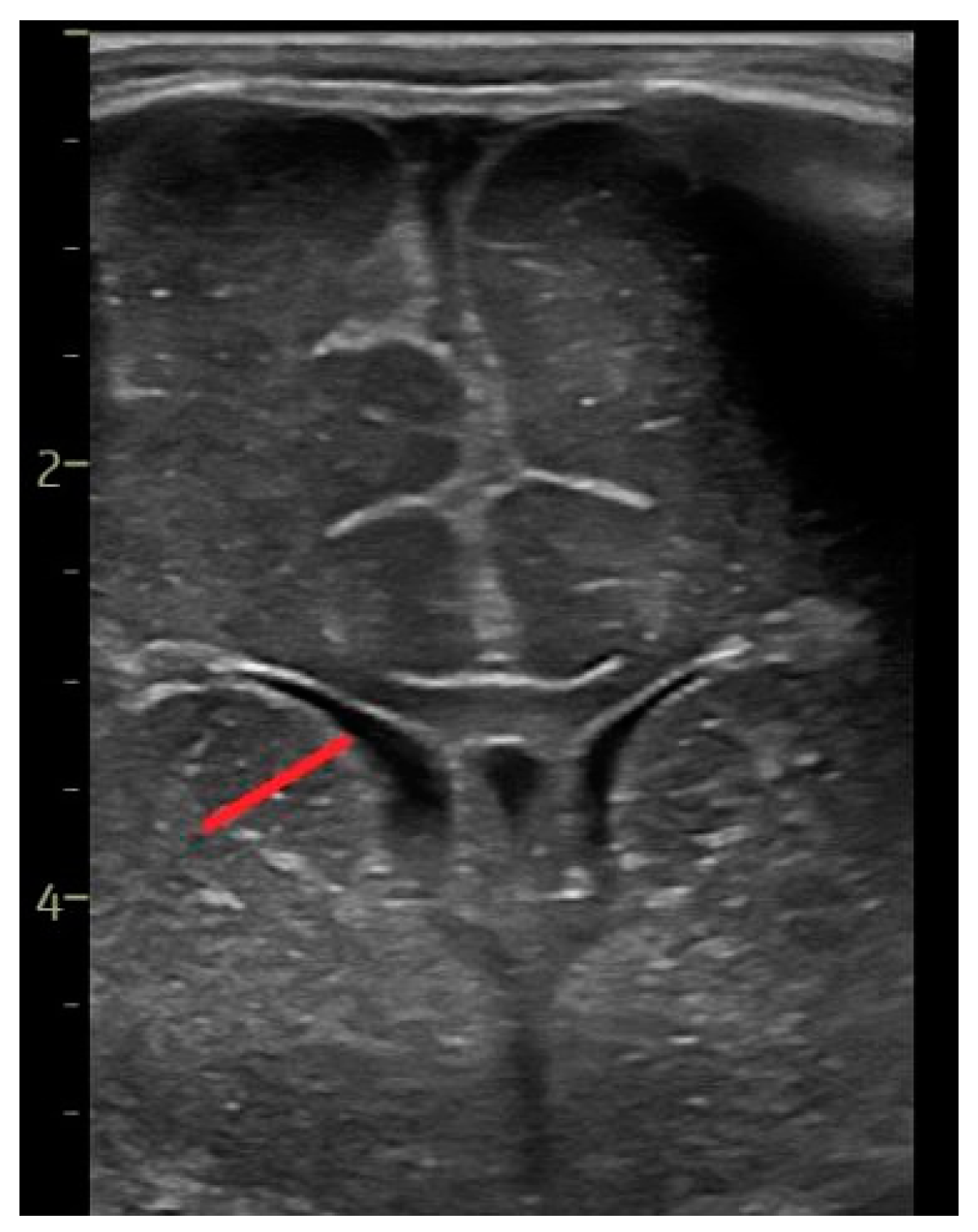
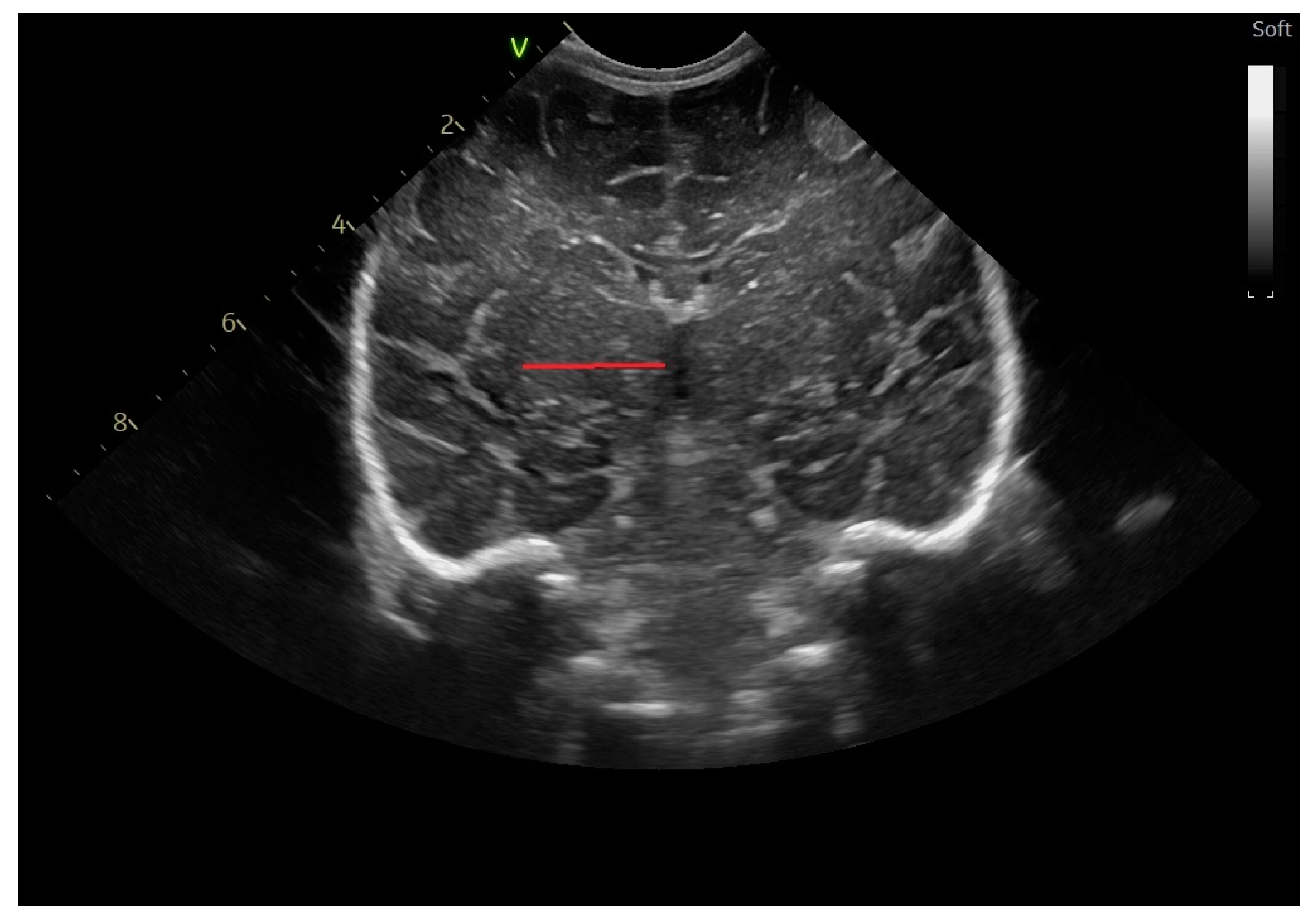
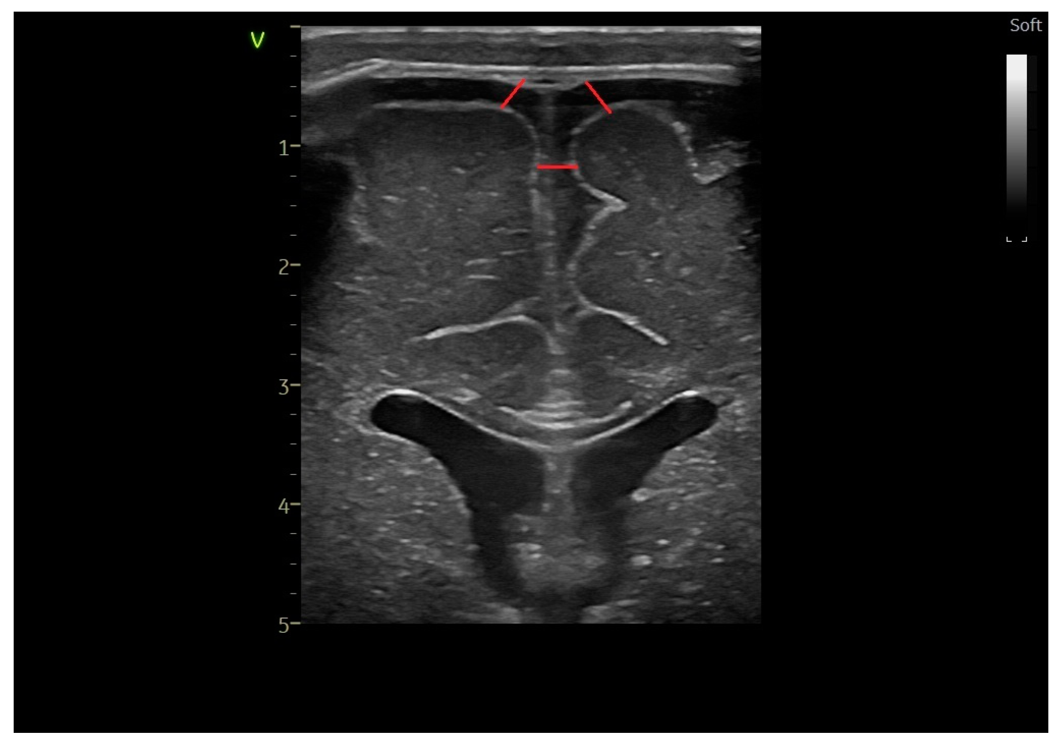
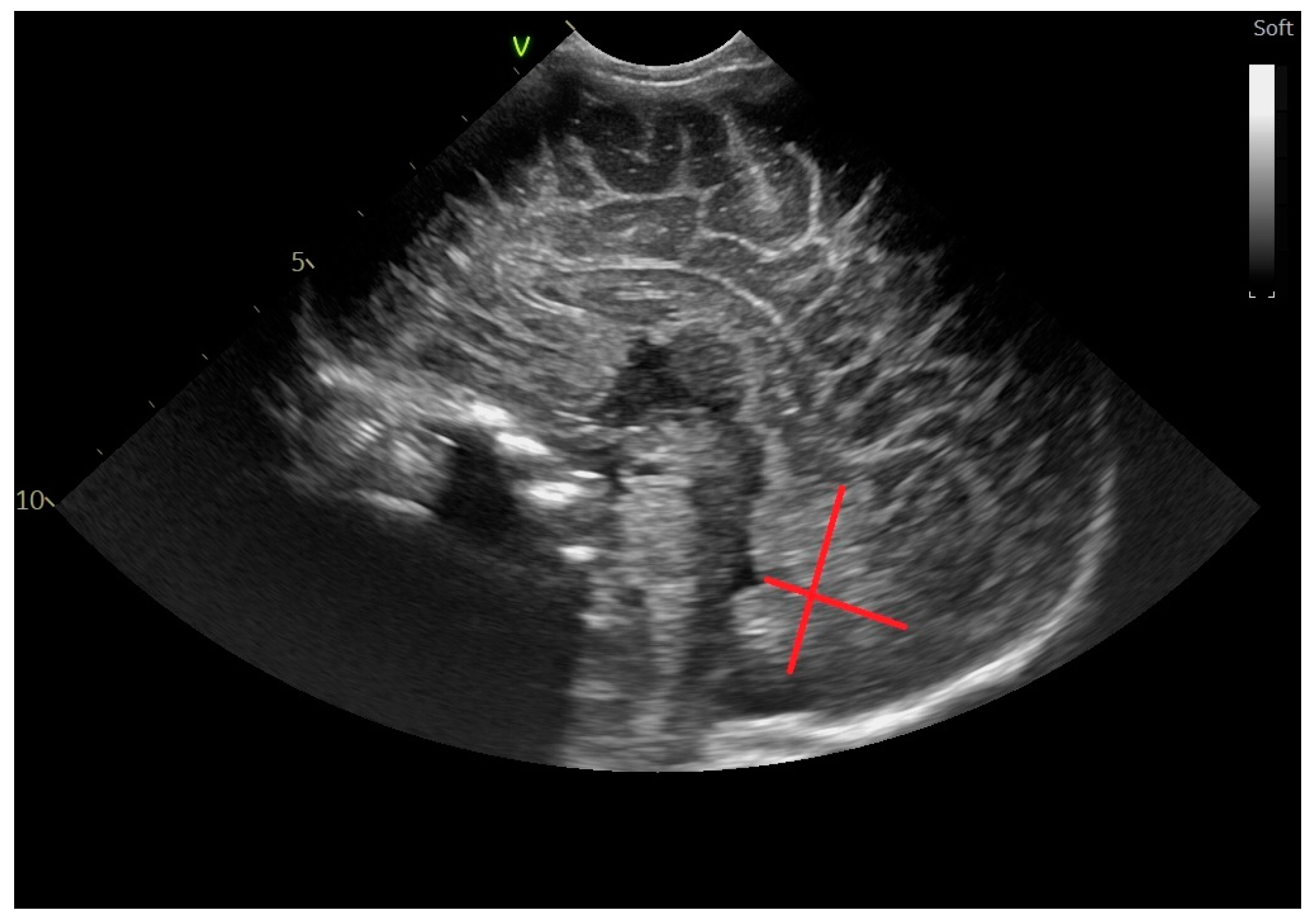
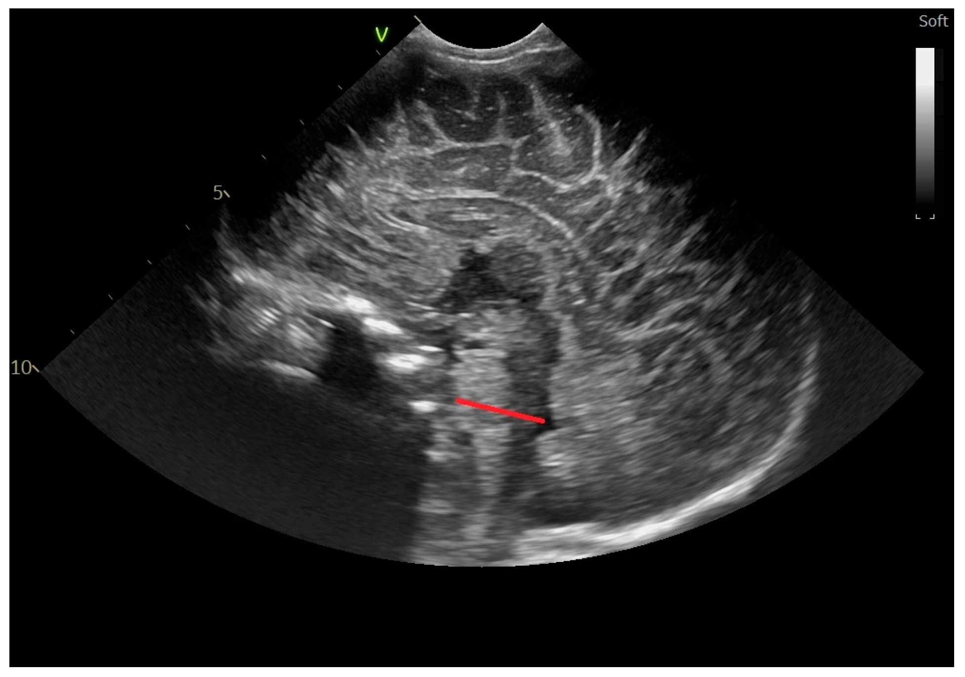
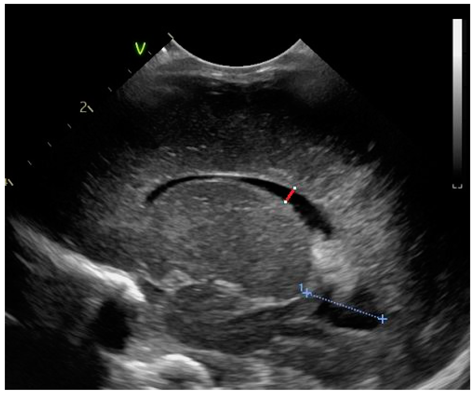
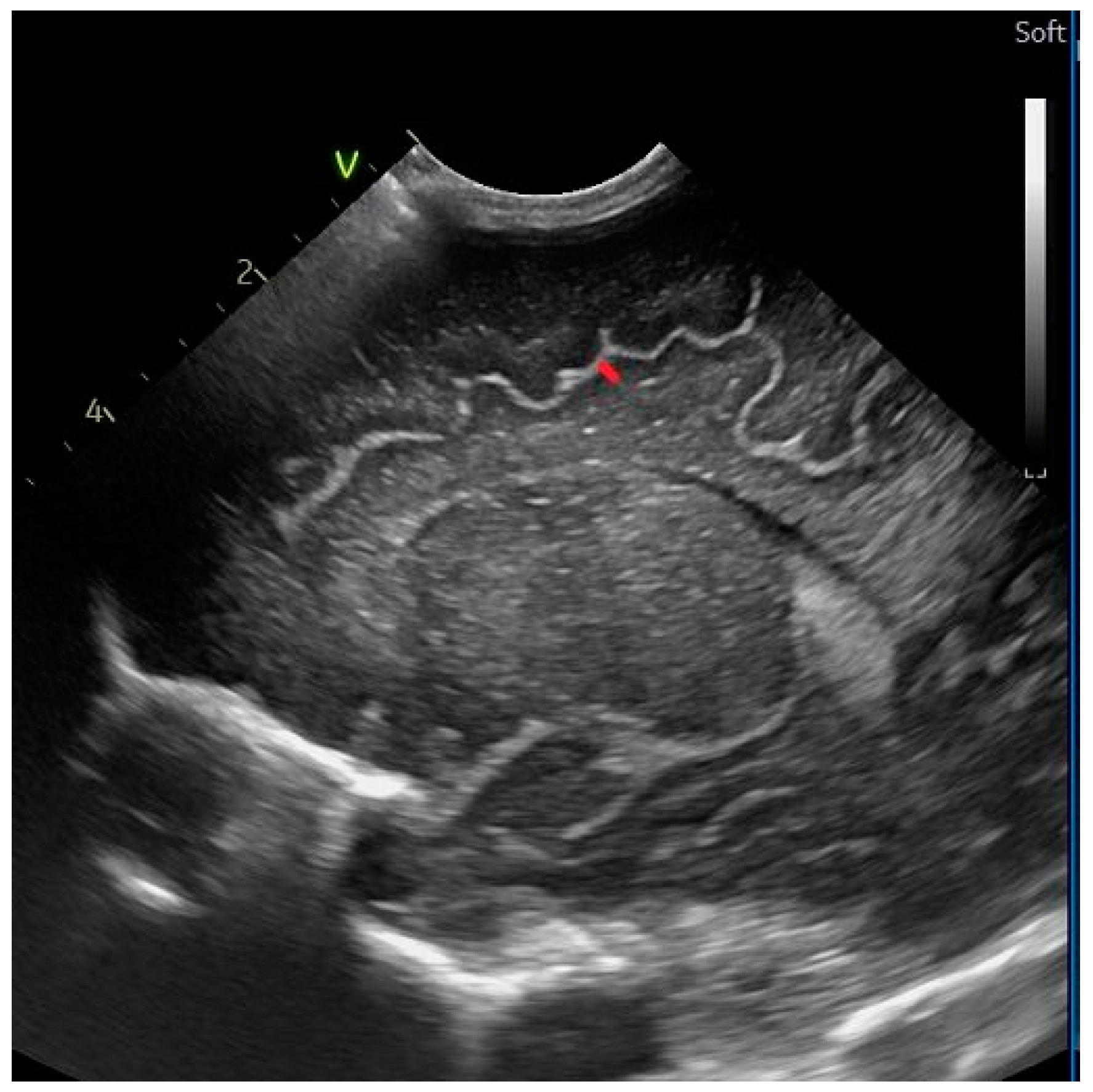
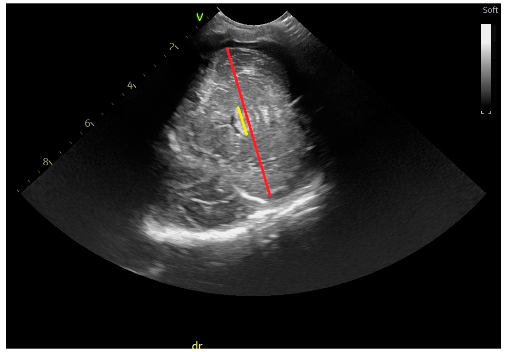
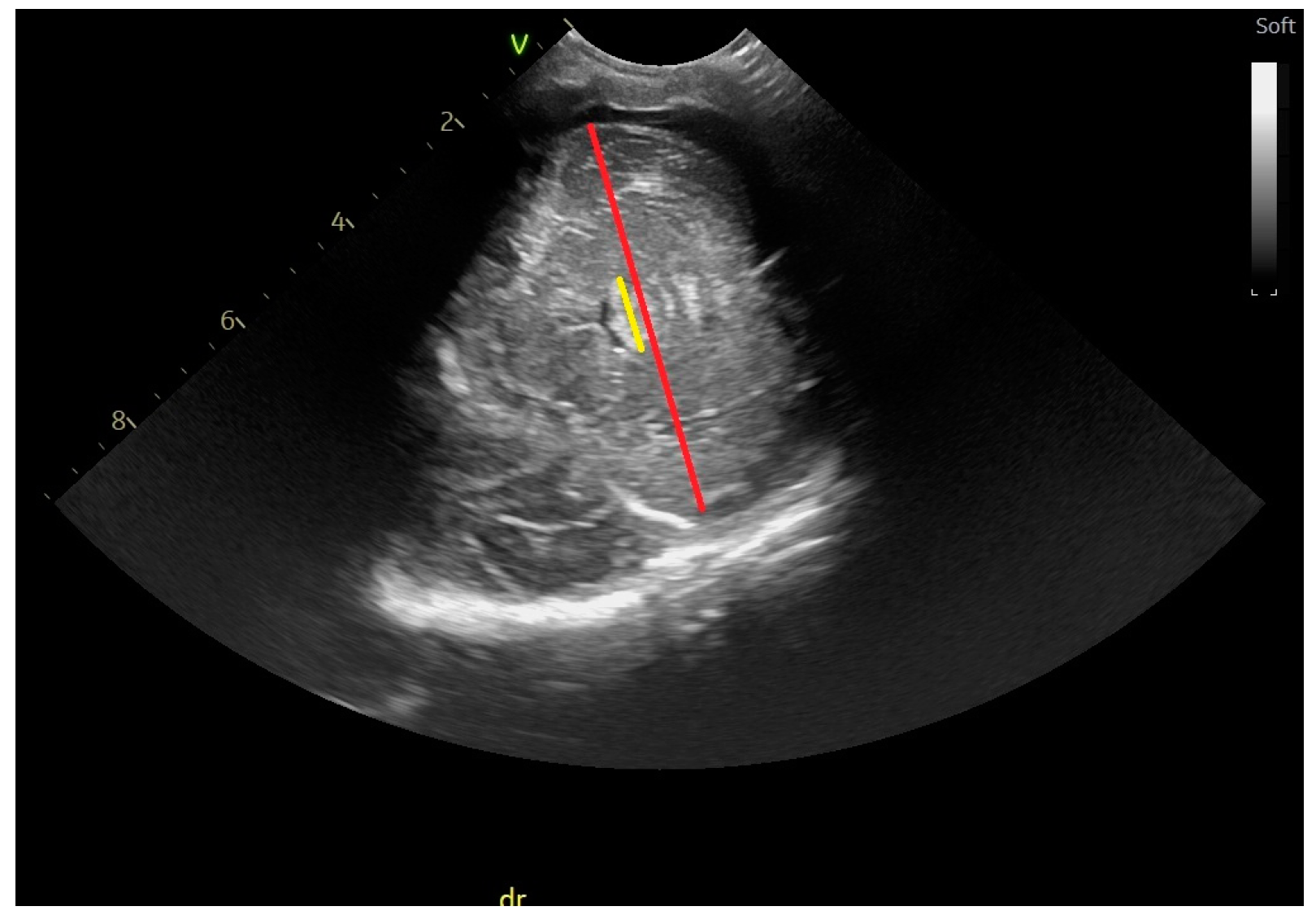
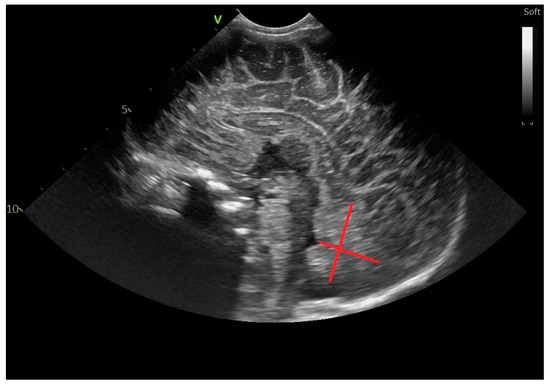
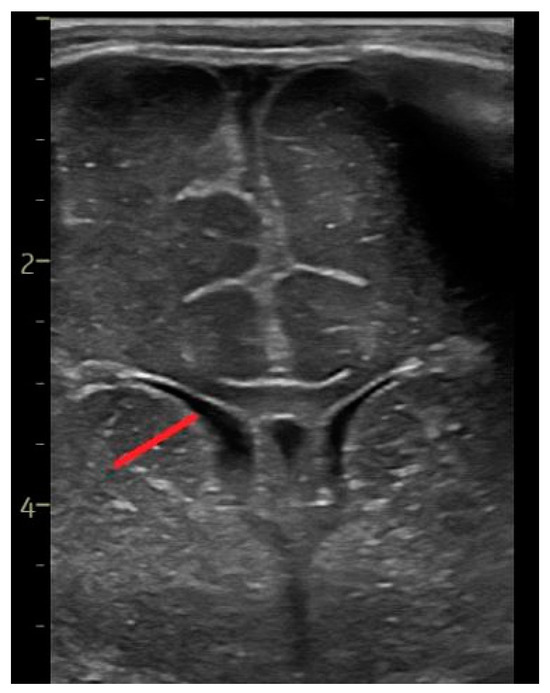
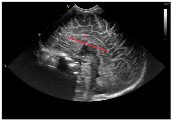
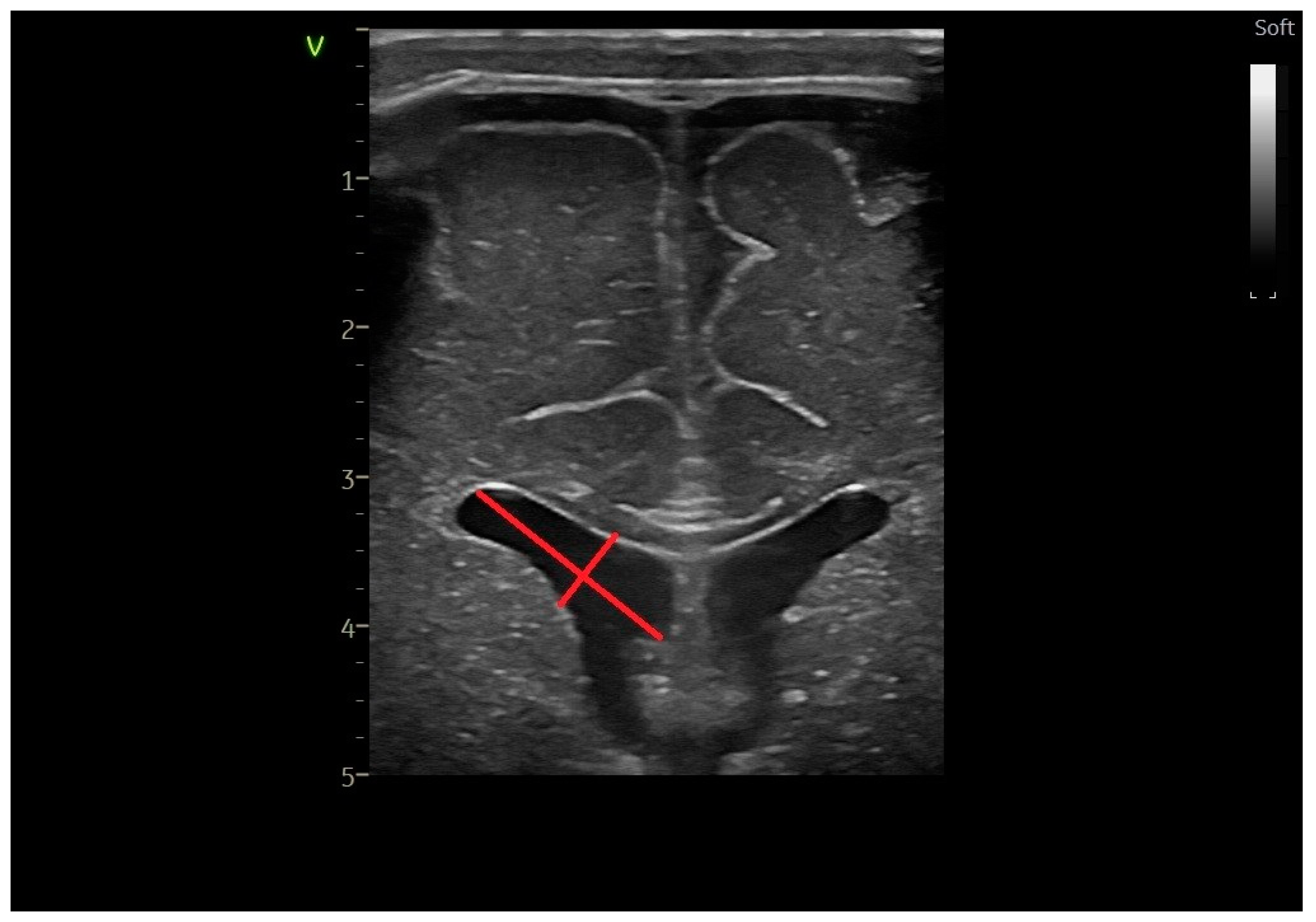
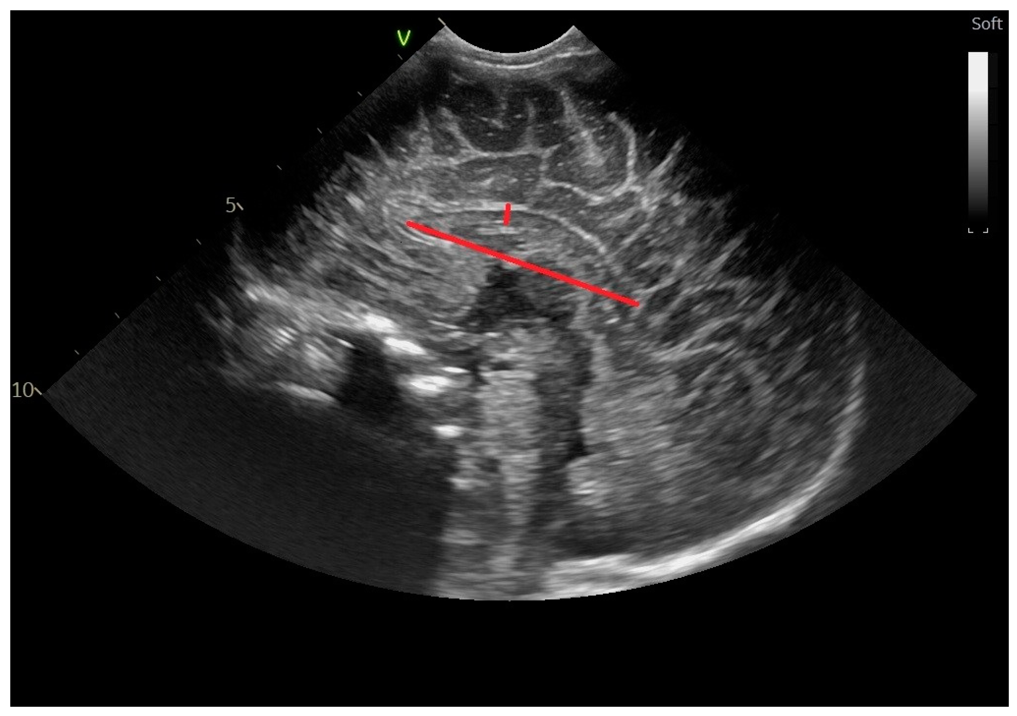
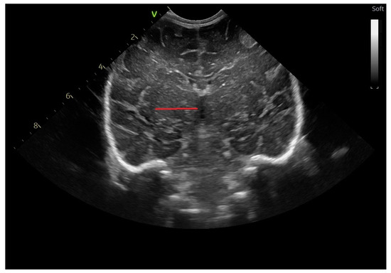
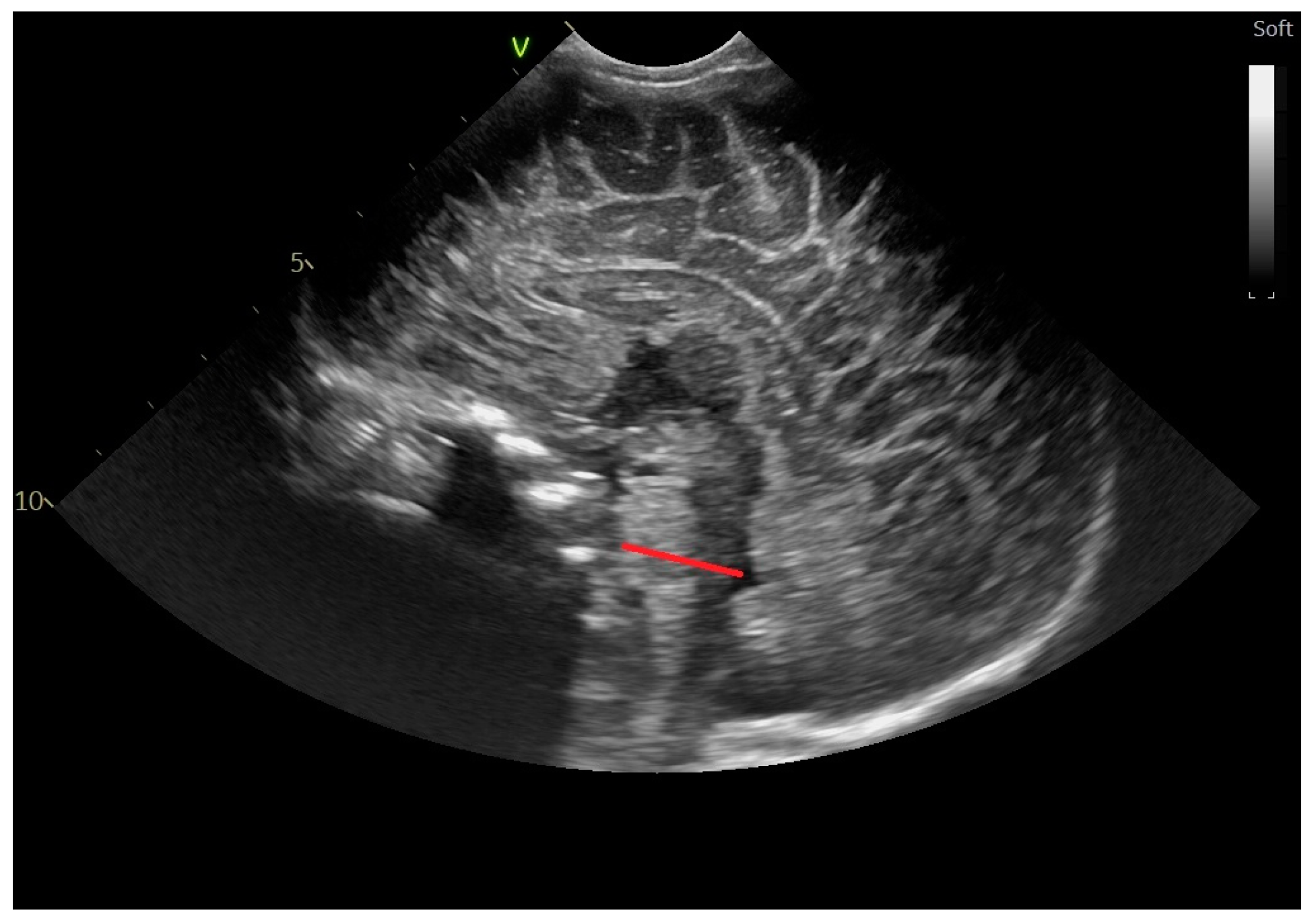
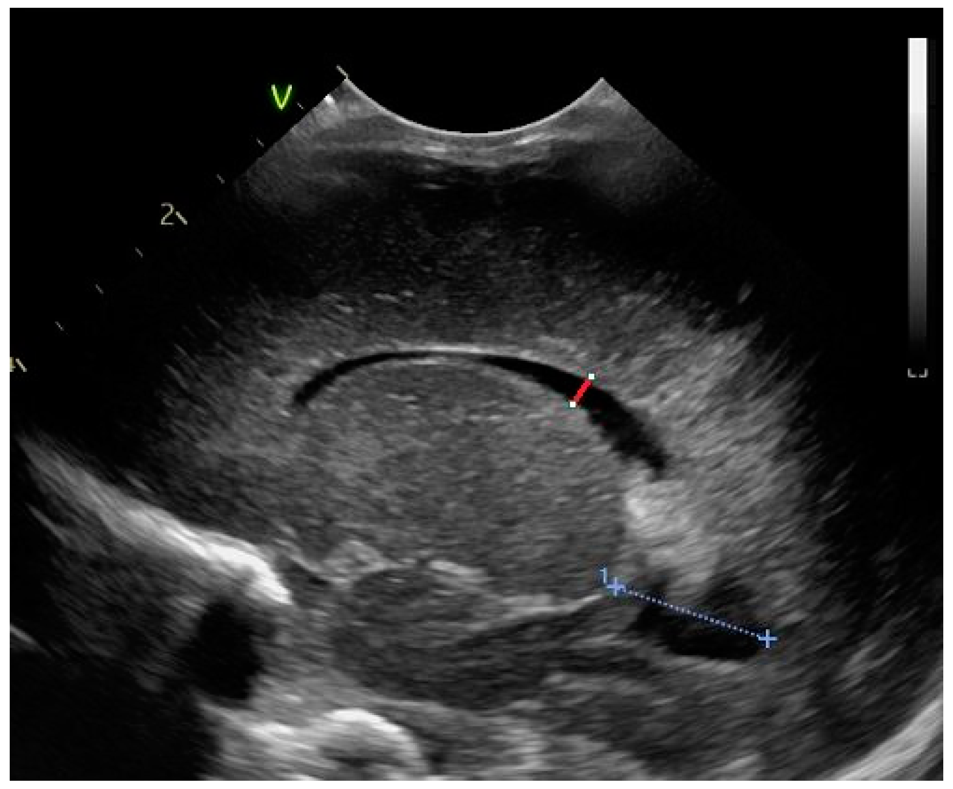
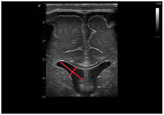
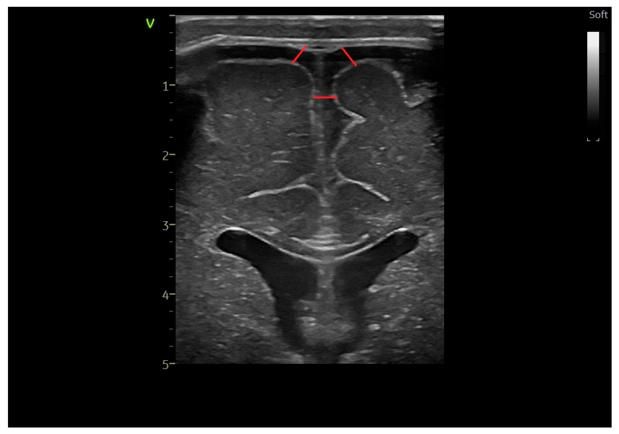
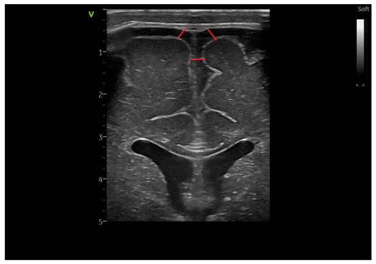
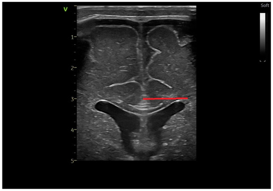
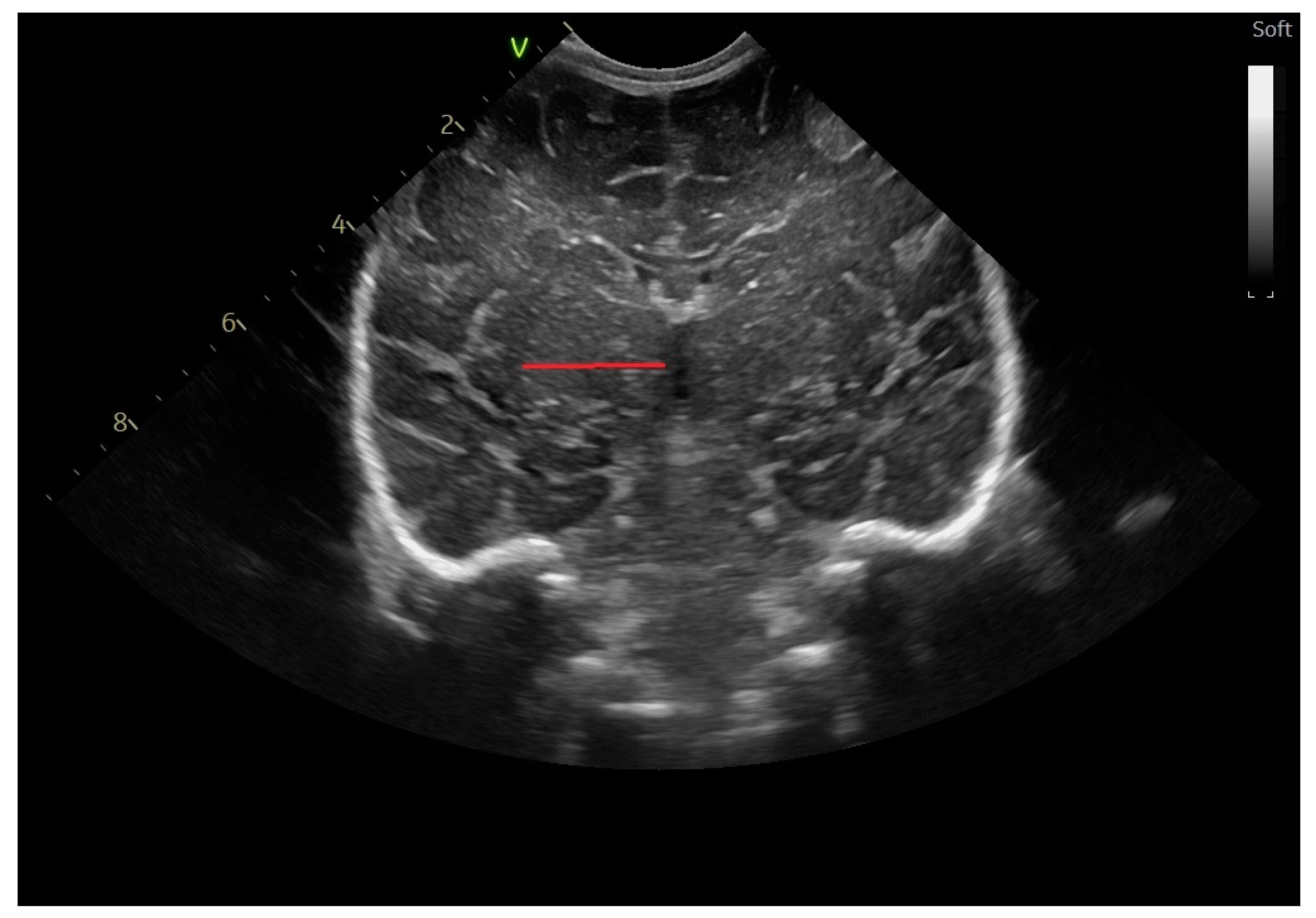
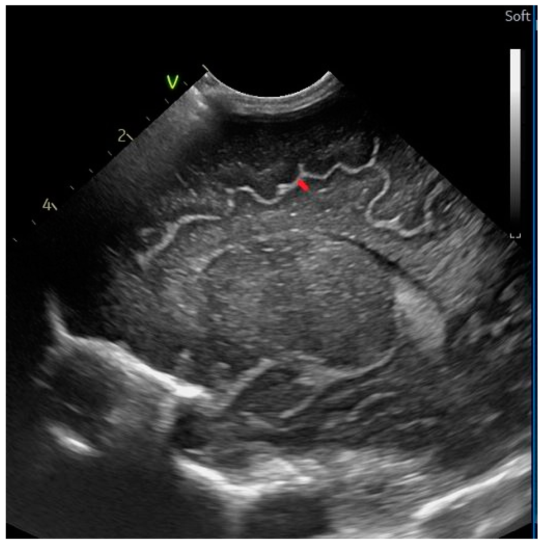
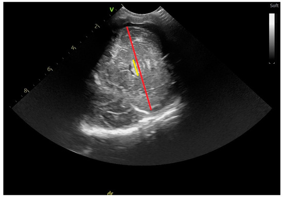
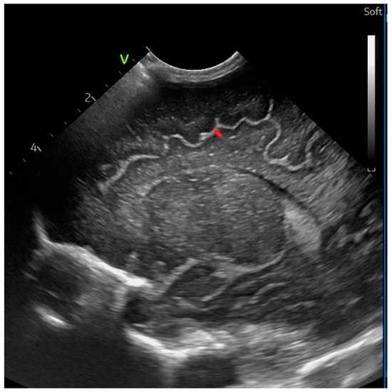
2.2. Head Ultrasound Measurements at TEA
2.3. Statistical Analysis of the Data
3. Results
3.1. Characteristics of the Study Population
3.2. Analysis of the Correlations in the Whole Group
3.3. Analysis of the Correlation in the Subgroup of Infants with Gestational Age ≤ 32 Weeks
4. Discussion
5. Conclusions
Author Contributions
Funding
Institutional Review Board Statement
Informed Consent Statement
Data Availability Statement
Acknowledgments
Conflicts of Interest
References
- Prechtl, H.F.R. Qualitative changes of spontaneous movements in fetus and preterm infant are a maker of neurological dysfunction. Early Hum. Dev. 1990, 23, 151–158. [Google Scholar] [CrossRef] [PubMed]
- Einspieler, C.; Prayer, D.; Marschik, P.B. Fetal movements: The origin of human behaviour. Dev. Med. Child. Neurol. 2021, 63, 1142–1148. [Google Scholar] [CrossRef] [PubMed]
- Einspieler, C.; Prechtl, H.F.R. Prechtl’s assessment of General Movements: A Diagnostic Tool for the Functional Assessment of the Young Nervous System. Ment. Retard. Dev. Disabil. Res. Rev. 2005, 11, 61–67. [Google Scholar] [CrossRef]
- Hadders-Algra, M. Putative neural substrate of normal and abnormal general movements. Neurosci. Biobehav. Rev. 2007, 31, 1181–1190. [Google Scholar] [CrossRef] [PubMed]
- Hadders-Algra, M. Neural substrate and clinical significance of general movements: An update. Dev. Med. Child. Neurol. 2018, 60, 39–46. [Google Scholar] [CrossRef] [PubMed]
- Yuste, R.; MacLean, J.N.; Smith, J.; Lansner, A. The cortex as a central pattern generator. Nat. Rev. 2005, 6, 477–483. [Google Scholar] [CrossRef]
- Visser, G.H.A.; Laurini, R.N.; de Vries, J.I.P.; Bekedam, D.J.; Prechtl, H.F.R. Abnormal motor behaviour in anencephalic foetuses. Early Hum. Dev. 1985, 12, 173–182. [Google Scholar] [CrossRef]
- Ferrari, F.; Coni, G.; Einspieler, C.; Roversi, M.F.; Bos, A.F.; Paolixlei, P.B.; Ranzi, A.; Prechtl, H.F.R. Cramped-Synchronized General Movements in Preterm Infants as an Early Marker for Cerebral Palsy. Arch. Pediatr. Adolesc. Med. 2002, 156, 460–467. [Google Scholar] [CrossRef]
- Einspieler, C.; Marschik, P.B.; Pansy, J.; Scheuchenegger, A.; Krieber, M.; Yang, H.; Kornacka, M.K.; Rowinska, E.; Soloveichick, M.; Bos, A.F. The general movement optimality score: A detailed assessment of general movements during preterm and term age. Dev. Med. Child. Neurol. 2016, 58, 361–368. [Google Scholar] [CrossRef]
- McConnell, S.K.; Ghosh, A.; Shatz, C.J. Subplate neurons pioneer the first axon pathway from the cerebral cortex. Science 1989, 245, 978–982. [Google Scholar] [CrossRef]
- Woodward, L.J.; Anderson, P.J.; Austin, N.C.; Howard, K.; Inder, T.E. Neonatal MRI to predict neurodevelopmental outcomes in preterm infants. N. Engl. J. Med. 2006, 355, 685–694. [Google Scholar] [CrossRef] [PubMed]
- Mirmiran, M.; Barnes, P.D.; Keller, K.; Constantinou, J.C.; Fleisher, B.E.; Hintz, S.R.; Ariagno, R.L. Neonatal brain magnetic resonance imaging before discharge is better than serial cranial ultrasound in predicting cerebral palsy in very low birth weight preterm infants. Pediatrics 2004, 114, 992–998. [Google Scholar] [CrossRef] [PubMed]
- Skiold, B.; Hallberg, B.; Vollmer, B.; Aden, U.; Blenow, M.; Horsch, S. A Novel Scoring System for Term-Equivalent-Age Cranial Ultrasound in Extremely Preterm Infants. Ultrasound Med. Biol. 2019, 45, 786–794. [Google Scholar] [CrossRef] [PubMed]
- Horsch, S.; Skiold, B.; Hallberg, B.; Nordell, B.; Nordell, A.; Mosskin, M.; Lagercrantz, H.; Aden, U.; Blennow, M. Cranial ultrasound and MRI at term age in extremely preterm infants. Arch. Dis. Child. Fetal Neonatal Ed. 2010, 95, F310–F314. [Google Scholar] [CrossRef] [PubMed]
- Hagmann, C.F.; Robertson, N.J.; Acolet, D.; Nyombi, N.; Nakakeeto, M.; Cowan, F.M. Cerebral measurements made using cranial ultrasound in term Ugandan newborns. Early Hum. Dev. 2011, 87, 342–347. [Google Scholar] [CrossRef] [PubMed]
- Levene, M.I. Measurement of the growth of the lateral ventricles in preterm infants with real-time ultrasound. Arch. Dis. Child. Dec. 1981, 56, 900–904. [Google Scholar] [CrossRef] [PubMed]
- Leijser, L.M.; Srinivasan, L.; Rutherford, M.A.; Counsell, S.J.; Allsop, J.M.; Cowan, F.M. Structural linear measurements in the newborn brain: Accuracy of cranial ultrasound compared to MRI. Pediat. Radiol. 2007, 37, 640–648. [Google Scholar] [CrossRef]
- Inder, T.; de Vries, L.S.; Ferreiro, D.M.; Grant, P.E.; Ment, L.R.; Miller, S.P.; Volpe, J.J. Neuroimaging of the Preterm Brain: Review and Recommendations. J. Pediatr. 2021, 237, 276–287.e4. [Google Scholar] [CrossRef]
- Hand, I.L.; Shellaas, R.A.; Milla, S.S. Committee on Fetus and Newborn, Section of Neurology, Section of Radiology. Routine neuroimaging of the Preterm Brain. Pediatrics 2020, 146, e2020029082. [Google Scholar] [CrossRef]
- Einspieler, C.; Prechtl, H.F.; Bos, A.F.; Ferrari, F.; Cioni, G. Prechtl’s Method on the Qualitative Assessment of General Movements in Preterm, Term and Young Infants; Mac Keith Press: London, UK, 2004. [Google Scholar]
- Lorenz, K.Z. Gestalt perception as a source of scientific knowledge. English translation from German paper in 1959. In Studies in Animal and Human Behaviour; Lorenz, K.Z., Ed.; Methuen: London, UK, 1971; Volume II, pp. 281–322. [Google Scholar]
- Shankar, H.; Pagel, P.S. Potential Adverse Effects of Ultrasound- related Biological Effects. A Critical Review. Anesthesiology 2011, 115, 1109–1124. [Google Scholar] [CrossRef]
- Fowlkes, J.B. Bioeffects Committee of the American Institute of Ultrasound in Medicine: American Institute of Ultrasound in Medicine consensus report on potential bioeffects of diagnostic ultrasound: Executive summary. J. Ultrasound Med. 2008, 27, 503–515. [Google Scholar] [PubMed]
- Meijler, G.; Steggerda, S.J. Neonatal Cranial Ultrasonography, 3rd ed.; Springer: Berlin/Heidelberg, Germany, 2019. [Google Scholar]
- Davies, M.W.; Swaminathan, S.L.; Betheras, F.R. Reference ranges for the linear dimensions of the intracranial ventricles in preterm neonates. Arch. Dis. Child. Fetal Neonatal Ed. 2000, 82, F218–F223. [Google Scholar] [CrossRef] [PubMed]
- Boiculese, L.V.; Dascalu, C. Informatica Medicala; Editura Venus: Bucuresti, Romania, 2001. [Google Scholar]
- Ancel, P.Y.; Livinec, F.; Larroque, B.; Marret, S.; Arnaud, C.; Pierrat, V.; Dehan, M.; N’Guyen, S.; Escande, B.; Burguet, A.; et al. Cerebral palsy among very preterm children in relation to gestational age and neonatal ultrasound abnormalities: The EPIPAGE cohort study. Pediatrics 2006, 117, 828–835. [Google Scholar] [CrossRef] [PubMed]
- Higgins, J.P.T.; Altman, D.G.; Sterne, J.A.C. Chapter 8: Assessing risk of bias in included studies. In Cochrane Handbook for Systematic Reviews of Interventions Version 5.2.0 (Updated June 2017); Higgins, J.P.T., Churchill, R., Chandler, J., Cumpston, M.S., Eds.; Cochrane: London, UK, 2017. [Google Scholar]
- Einspieler, C.; Bos, A.F.; Krieber-Tomantschger, M.; Alvarado, E.; Barbosa, V.M.; Bertoncelli, N.; Burger, M.; Chorna, O.; Del Secco, S.; DeRegnier, R.-A.; et al. Cerebral Palsy: Early Markers of Clinical Phenotype and Functional Outcome. J. Clin. Med. 2019, 8, 1616. [Google Scholar] [CrossRef]
- De Graaf-Peters, V.B.; Hadders-Algra, M. Ontogeny of the human central nervous system: What is happening when? Early Hum. Dev. 2006, 82, 257–266. [Google Scholar] [CrossRef]
- Volpe, J.J. Brain injury in premature infants: A complex amalgam of destructive and developmental disturbances. Lancet Neurol. 2009, 8, 110–124. [Google Scholar] [CrossRef]
- Kinney, H.C.; Volpe, J.J. Encephalopathy of Prematurity. Neuropathology. In Volpe s Neurology of the Newborn; Volpe, J.J., Ed.; Elsevier: Amsterdam, The Netherlands, 2018; pp. 389–404. [Google Scholar]
- Spittle, A.J.; Brown, N.C.; Doyle, L.W.; Boyd, R.N.; Hunt, R.W.; Bear, M.; Inder, T.E. Quality of general movements is related to white matter pathology in very preterm infants. Pediatrics 2008, 121, e1184–e1189. [Google Scholar] [CrossRef]
- Yum, S.K.; Im, S.A.; Seo, Y.M.; Sung, I.K. Enlarged subarachnoid space on cranial ultrasound in preterm infants: Neurodevelopmental implication. Nat. Sci. Rep. 2019, 9, 19072. [Google Scholar] [CrossRef]
- Davies, M.W.; Swaminathan, M.; Bertheras, F.R. Measurement of the transverse cerebellar diameter in preterm neonates and its use in assessment of gestational age. Australas. Radiol. 2001, 45, 309–312. [Google Scholar] [CrossRef]












| GA Group | CS | PR | Normal |
|---|---|---|---|
| ≤32 weeks | 8 | 6 | 3 |
| 33–34 week | 2 | 3 | 3 |
| 35–36 weeks | 0 | 5 | 14 |
| Total | 10 | 14 | 20 |
| Parameters | Pattern | p-Values for FANOVA Test | ||
|---|---|---|---|---|
| Normal (n = 20) | CS * (n = 10) | PR ** (n = 14) | ||
| Gestational age—weeks x ± SD, median/limits | 34.80 ± 1.64 35/31–37 | 31.90 ± 1.20 b) 32/30–34 | 33.07 ± 3.15 d) d) 33/26–36 | 0.003 |
| Birth weight—grams x ± SD, median/limits | 2302 ± 729 2303/1400–4100 | 1199 ± 283 a) 1199/900–1900 | 1842 ± 702 d) c) 1841/1100–3300 | 0.001 |
| Parenteral nutrition—days x ± SD, median/limits | 2.75 ± 2.83 3/0–10 | 7.00 ± 3.30 c) 7/1–12 | 5.71 ± 5.74 d) d) 6/0–15 | 0.020 |
| Antibiotic treatment—days x ± SD, median/limits | 5.05 ± 5.11 5/0–24 | 10.80 ± 1.95 c) 11/5–26 | 7.93 ± 6.46 d) d) 8/0–21 | 0.050 |
| CPAP—hours x ± SD, median/limits | 23.40 ± 6.48 23/0–120 | 16.80 ± 8.04 d) 17/0–72 | 14.14 ± 6.09 d) d) 5.75/3.70–7.00 | 0.581 |
| Mechanical Ventilation—days x ± SD, median/limits | 2.94 ± 1.19 3/0–4.8 | 1.60 ± 0.70 d) 1.60/0–5 | 1.46 ± 0.69 d) d) 1.45/0–7 | 0.843 |
| Associated Diseases | Pattern | Chi-Square Test Likelihood Ratio | ||
|---|---|---|---|---|
| Normal (n = 20) | CS * (n = 10) | PR ** (n = 14) | ||
| Necrotizing enterocolitis (NEC) | 0 (0.0%) | 2 (20.0%) c) | 3 (21.4%) c) d) | 0.037 |
| Asphyxia | 1 (5.0%) | 2 (20.0%) d) | 2 (14.3%) d) d) | 0.422 |
| Retinopathy of prematurity | 2 (10.0%) | 3 (30.0%) d) | 2 (14.3%) d) d) | 0.396 |
| Head ultrasound results No hemorrhage or PVL Germinal matrix/intraventricular hemorrhage PVL LSV | 14 (70.0%) 4 (20.0%) 0 (0.0%) 2 (10.0%) | 5 (50.0%) d) 2 (20.0%) d) 1 (10.0%) d) 2 (20.0%) d) | 7 (50.0%) d) d) 5 (35.7%) d) d) 2 (14.3%) d) d) 0 (0.0%) d) d) | 0.180 |
| Respiratory distress | 0.066 | |||
| No respiratory distress | 4 (20.0%) | 0 (0.0%) d) | 4 (28.6%) d) d) | |
| RDS | 5 (25.0%) | 5 (50.0%) d) | 7 (50.0%) d) d) | |
| TTN | 11 (55.0%) | 5 (50.0%) d) | 3 (21.4%) d) d) | |
| Parameters | Pattern | p-Values for FANOVA Test | ||
|---|---|---|---|---|
| Normal (n = 3) | CS * (n = 8) | PR ** (n = 6) | ||
| Gestational age—weeks x ± SD, median/limits | 31.67 ± 0.58 31.50/31–32 | 31.50 ± 0.93 d) 31/30–32 | 30.17 ± 2.56 d) d) 30/26–32 | 0.299 |
| Birth weight—grams x ± SD, median/limits | 1500 ± 132 1500/1400–1650 | 1116 ± 158 d) 1116/900–1350 | 1617 ± 838 d) d) 1616/1100–3300 | 0.210 |
| Parenteral nutrition—days x ± SD, median/limits | 4.67 ± 2.52 5/2–7 | 7.63 ± 3.16 d) 7.50/1–12 | 9.17 ± 5.95 d) d) 9/0–15 | 0.362 |
| Antibiotic treatment—days x ± SD, median/limits | 9.33 ± 2.08 9/7–11 | 11.50 ± 6.61 d) 11.50/7–26 | 13.17 ± 5.19 d) d) 13/7–21 | 0.636 |
| CPAP—hours x ± SD, median/limits | 52.00 ± 34.18 52/12–120 | 15.00 ± 9.00 c) 15/0–72 | 12.00 ± 8.20 b) d) 5.75/3.70–7.00 | 0.050 |
| Mechanical ventilation—days x ± SD, median/limits | 2.0 ± 2.0 2–4 | 2.0 ± 0.82 d) 1.60/0–5 | 3.40 ± 1.44 b) d) 3.30/0–7 | 0.125 |
| Associated Diseases | Pattern | Chi-Square Test Likelihood Ratio | ||
|---|---|---|---|---|
| Normal (n = 3) | CS * (n = 8) | PR ** (n = 6) | ||
| Necrotizing enterocolitis (NEC) | 0 (0.0%) | 2 (33.3%) d) | 1 (12.5%) d) d) | 0.337 |
| Asphyxia | 1 (33.3%) | 2 (25.0%) d) | 1(16.7%) d) d) | 0.849 |
| Retinopathy of prematurity | 1 (33.3%) | 3 (37.5%) d) | 2 (33.3%) d) d) | 0.984 |
| Head ultrasound results No hemorrhage or PVL Germinal matrix/intraventricular hemorrhage PVL LSV | 1 (33.3%) 1 (33.3%) 0 (0.0%) 1 (33.3%) | 4 (50.0%) d) 2 (25.0%) d) 1 (12.5%) d) 1 (12.5%) d) | 2 (33.3%) d) d) 3 (50.0%) d) d) 1 (16.7%) d) d) 0 (0.0%) d) d) | 0.690 |
| Respiratory distress | 0.127 | |||
| No respiratory distress | 0 (0.0%) | 0 (0.0%) d) | 1 (16.7%) d) d) | |
| RDS | 2 (66.7%) | 4 (50.0%) d) | 8 (83.3%) d) d) | |
| TTN | 1 (33.3%) | 4 (50.0%) d) | 0 (0.0%) d) d) | |
| Parameters | Pattern | p-Values for FANOVA Test | ||
|---|---|---|---|---|
| Normal (n = 20) | CS * (n = 10) | PR ** (n = 14) | ||
| Ventricular measurements | ||||
| Ventricular index x ± SD, median/limits | 8.90 ± 2.57 9.90/1.30–12.10 | 11.36 ± 2.10 c) 11.05/9.0–14.80 | 9.44 ± 2.43 d) d) 9.55/6.10–15.40 | 0.039 |
| Midbody VL x ± SD, median/limits | 3.34 ± 2.44 3.25/0.10–10.50 | 8.31 ± 3.20 a) 7.45/5.60–16.10 | 3.73 ± 1.58 d) a) 3.45/1.50–6.60 | 0.001 |
| Frontal horn—long axis x ± SD, median/limits | 10.08 ± 2.88 9.85/5.10–14.60 | 15.45 ± 2.11 a) 15.65/12.0–19.50 | 10.18 ± 2.80 d) a) 9.70/6.40–14.70 | 0.001 |
| Frontal horn—short axis x ± SD, median/limits | 3.61 ± 1.21 3.70/1.0–5.30 | 7.38 ± 1.70 a) 7.50/3.80–9.90 | 3.22 ± 1.27 d) a) 3.10/1.50–5.40 | 0.001 |
| Subarachnoid space | ||||
| Sino-cortical width x ± SD, median/limits | 1.90 ± 0.97 1.45/0.60–4.00 | 2.34 ± 0.95 d) 2.40/1.20–4.10 | 5.53 ± 0.91 a) a) 5.75/3.70–7.00 | 0.001 |
| Inter-hemispheric fissure x ± SD, median/limits | 1.56 ± 0.88 1.35/0.30–3.70 | 2.12 ± 1.40 d) 1.40/0.80–4.40 | 2.37 ± 1.29 d) d) 2.35/0.40–5.00 | 0.123 |
| Parenchima | ||||
| Cortical thickness x ± SD, median/limits | 1.52 ± 0.39 1.50/0.70–2.20 | 1.81 ± 0.31 d) 1.75/1.50–2.50 | 1.55 ± 0.44 d) d) 1.50/1.0–2.20 | 0.143 |
| Subcortical structures | ||||
| Width of the basal ganglia x ± SD, median/limits | 15.15 ± 1.95 15.05/10.20–18.60 | 11.07 ± 0.94 a) 11.05/9.50–12.30 | 15.69 ± 1.87 d) a) 16.05/11.10–17.90 | 0.001 |
| Diagonal of the head of the caudate nucleus x ± SD, median/limits | 5.77 ± 0.98 5.40/4.40–8.10 | 5.60 ± 0.87 d) 5.65/4.20–6.90 | 5.54 ± 0.83 d) d) 5.45/4.0–7.40 | 0.755 |
| Corpus callosum | ||||
| Corpus callosum thickness—body x ± SD, median/limits | 2.29 ± 0.69 2.20/1.0–3.70 | 2.46 ± 0.50 d) 2.40/1.60–3.00 | 2.41 ± 0.48 d) d) 2.35/1.50–3.10 | 0.715 |
| Corpus callosum length x ± SD, median/limits | 45.21 ± 3.87 45.55/38.30–51.30 | 44.99 ± 3.53 d) 45.70/39.20–49.80 | 43.16 ± 4.70 d) d) 43.50/33.80–51.00 | 0.333 |
| Posterior fossa | ||||
| AP diameter of the pons x ± SD, median/limits | 16.78 ± 2.11 16.70/12.50–20.30 | 16.83 ± 1.42 d) 16.75/14.90–19.60 | 12.06 ± 1.71 a) a) 11.90/9.0–15.50 | 0.001 |
| Vermis height x ± SD, median/limits | 28.33 ± 4.39 29.0/13.60–33.80 | 31.44 ± 3.63 d) 32.30/24.90–36.50 | 29.97 ± 3.37 d) d) 30.40/22.90–34.90 | 0.123 |
| Vermis AP diameter x ± SD, median/limits | 23.04 ± 3.48 22.05/18.70–33.10 | 23.96 ± 3.23 d) 23.55/18.40–27.80 | 22.11 ± 2.43 d) d) 21.90/18.0–27.20 | 0.363 |
| Cerebellar transverse diameter x ± SD, median/limits | 58.40 ± 5.53 58.50/49.60–67.10 | 59.31 ± 7.74 d) 59.50/48.90–68.40 | 57.24 ± 7.36 d) d) 57.00/46.80–68.90 | 0.748 |
| Vermis diameter x ± SD, median/limits | 13.67 ± 1.71 13.20/11.20–17.50 | 13.00 ± 1.32 d) 13.00/10.60–15.20 | 12.61 ± 1.65 d) d) 12.60/9.00–14.50 | 0.174 |
| Parameter | Group | p-Values for FANOVA Test | ||
|---|---|---|---|---|
| Normal (n = 3) | CS * (n = 8) | PR ** (n = 6) | ||
| Ventricular measurements | ||||
| Ventricular index x ± SD, median/limits | 9.47 ± 2.57 9.40/6.50–11.0 | 11.40 ± 2.37 d) 11.40/9.0–14.80 | 8.52 ± 1.77 d) d) 8.50/26.0–32.0 | 0.080 |
| Midbody VL x ± SD, median/limits | 3.43 ± 1.44 3.45/1.80–4.50 | 8.53 ± 3.59 c) 8.50/5.60–16.10 | 3.58 ± 1.42 d) c) 3.45/1.60–6.0 | 0.007 |
| Frontal horn—long axis x ± SD, median/limits | 9.73 ± 2.45 10.0/7.30–12.20 | 15.27 ± 2.34 c) 15.10/12.0–19.50 | 10.32 ± 2.94 d) b) 10.10/7.40–14.70 | 0.004 |
| Frontal horn –short axis x ± SD, median/limits | 4.80 ± 0.50 4.90/4.30–5.30 | 7.28 ± 1.91 d) 7.20/3.80–9.90 | 2.88 ± 1.38 d) a) 3.0/1.50–5.20 | 0.001 |
| Subarachnoid space | ||||
| Sino-cortical width x ± SD, median/limits | 2.83 ± 1.39 3.00/1.30–4.00 | 2.60 ± 0.88 d) 2.40/1.20–4.10 | 5.13 ± 0.74 b) a) 5.14/4.10–5.90 | 0.001 |
| Inter-hemispheric fissure x ± SD, median/limits | 2.07 ± 1.42 2.00/1.20–3.70 | 2.30 ± 1.52 d) 2.20/0.80–4.40 | 2.18 ± 1.63 d) d) 2.10/0.40–5.00 | 0.973 |
| Parenchima | ||||
| Cortical thickness x ± SD, median/limits | 1.67 ± 0.42 1.50/1.20–2.00 | 1.83 ± 0.35 d) 1.85/1.50–2.50 | 1.58 ± 0.50 d) d) 1.00/1.0–2.10 | 0.530 |
| Subcortical structures | ||||
| Width of the basal ganglia x ± SD, median/limits | 14.40 ± 0.53 14.50/14.0–15.0 | 11.10 ± 1.06 c) 11.05/9.50–12.30 | 14.90 ± 2.63 d) b) 15.0/11.10–17.60 | 0.003 |
| Diagonal of the head of the caudate nucleus x ± SD, median/limits | 5.73 ± 1.02 6.10/5.0–6.90 | 5.89 ± 0.70 d) 5.69/4.80–6.90 | 5.85 ± 0.90 d) d) 5.85/4.70–7.40 | 0.963 |
| Corpus callosum | ||||
| Corpus callosum thickness—body x ± SD, median/limits | 2.47 ± 1.08 2.50/1.70–3.70 | 2.56 ± 0.46 d) 2.50/2.0–3.0 | 2.18 ± 0.47 d) d) 2.38/1.50–2.90 | 0.504 |
| Corpus callosum length x ± SD, median/limits | 41.10 ± 3.48 41.0/38.30–45.0 | 44.93 ± 3.85 d) 45.0/39.20–49.80 | 40.90 ± 6.06 d) d) 41.0/33.80–50.00 | 0.259 |
| Midbody VL x ± SD, median/limits | 3.43 ± 1.44 3.45/1.80–4.50 | 8.53 ± 3.59 c) 8.50/5.60–16.10 | 3.58 ± 1.42 d) c) 3.45/1.60–6.0 | 0.007 |
| Posterior fossa | ||||
| AP diameter of the pons x ± SD, median/limits | 14.73 ± 1.93 15.0/12.50–15.90 | 17.15 ± 1.37 d) 17.0/15.20–19.60 | 12.13 ± 1.31 c) a) 12.0/10.30–13.80 | 0.001 |
| Vermis height x ± SD, median/limits | 28.70 ± 1.73 29.0/27.60–30.70 | 32.53 ± 2.98 d) 32.50/26.40–36.50 | 30.57 ± 3.98 d) d) 30.40/24.90–34.90 | 0.224 |
| Vermis AP diameter x ± SD, median/limits | 22.20 ± 2.69 22.15/20.0–25.20 | 24.55 ± 3.38 d) 24.0/18.40–27.80 | 20.38 ± 1.83 d) c) 20.45/18.0–23.0 | 0.048 |
Disclaimer/Publisher’s Note: The statements, opinions and data contained in all publications are solely those of the individual author(s) and contributor(s) and not of MDPI and/or the editor(s). MDPI and/or the editor(s) disclaim responsibility for any injury to people or property resulting from any ideas, methods, instructions or products referred to in the content. |
© 2023 by the authors. Licensee MDPI, Basel, Switzerland. This article is an open access article distributed under the terms and conditions of the Creative Commons Attribution (CC BY) license (https://creativecommons.org/licenses/by/4.0/).
Share and Cite
Toma, A.I.; Dima, V.; Alexe, A.; Rusu, L.; Nemeș, A.F.; Gonț, B.F.; Arghirescu, A.; Necula, A.; Fieraru, A.; Stoiciu, R. Correlations between Head Ultrasounds Performed at Term-Equivalent Age in Premature Neonates and General Movements Neurologic Examination Patterns. Life 2024, 14, 46. https://doi.org/10.3390/life14010046
Toma AI, Dima V, Alexe A, Rusu L, Nemeș AF, Gonț BF, Arghirescu A, Necula A, Fieraru A, Stoiciu R. Correlations between Head Ultrasounds Performed at Term-Equivalent Age in Premature Neonates and General Movements Neurologic Examination Patterns. Life. 2024; 14(1):46. https://doi.org/10.3390/life14010046
Chicago/Turabian StyleToma, Adrian Ioan, Vlad Dima, Adelina Alexe, Lidia Rusu, Alexandra Floriana Nemeș, Bogdan Florin Gonț, Alexandra Arghirescu, Andreea Necula, Alina Fieraru, and Roxana Stoiciu. 2024. "Correlations between Head Ultrasounds Performed at Term-Equivalent Age in Premature Neonates and General Movements Neurologic Examination Patterns" Life 14, no. 1: 46. https://doi.org/10.3390/life14010046
APA StyleToma, A. I., Dima, V., Alexe, A., Rusu, L., Nemeș, A. F., Gonț, B. F., Arghirescu, A., Necula, A., Fieraru, A., & Stoiciu, R. (2024). Correlations between Head Ultrasounds Performed at Term-Equivalent Age in Premature Neonates and General Movements Neurologic Examination Patterns. Life, 14(1), 46. https://doi.org/10.3390/life14010046

