Abstract
Biological control using beneficial microbes offers a sustainable alternative to chemical fungicides for managing postharvest diseases. This study reports the isolation and characterization of Bacillus amyloliquefaciens AsL-1 from the latex of Alstonia scholaris (L.) R. Br., unconventional ecological niche. The cell-free supernatant (CFS) of AsL-1 showed strong antifungal activity, inhibiting the growth of Colletotrichum musae (48.89 ± 0.57%), Glomerella cingulata (52.22 ± 0.00%), Fusarium graminearum (47.78 ± 0.57%), and Colletotrichum gloeosporioides (47.78 ± 0.00%) in vitro. Microscopy revealed that the CFS disrupted fungal development by blocking conidial germination and appressorium formation, and in C. gloeosporioides caused melanization defects linked to reduced virulence. In vivo tests on mango fruit confirmed that AsL-1 significantly decreased anthracnose lesion size and disease incidence. Protein analyses (SDS-PAGE, gel overlay, and LC-MS/MS) identified two antifungal proteins (24 and 16 kDa), corresponding to β-1,3-1,4-glucanase and flagellin. The detected β-1,3-1,4-glucanase activity indicates its role in degrading fungal cell walls and interfering with melanin biosynthesis pathways essential for pathogenicity. Overall, these findings highlight B. amyloliquefaciens AsL-1 as a promising protein-based biocontrol agent and show that latex-associated microbes may serve as valuable sources of new antifungal strategies.
1. Introduction
Mango (Mangifera indica), a commercially valuable tropical fruit, is highly susceptible to Colletotrichum gloeosporioides, the pathogen responsible for anthracnose. This disease causes lesions both before and after harvest, leading to significant economic damage. Under conducive environmental conditions and in the absence of effective control measures, anthracnose can reduce yields by 30–60%, and in extreme cases, lead to total crop loss [,]. The severity of these impacts highlights the need for robust disease management strategies. In particular, while managing fungal diseases is essential for maintaining healthy mango production, heavy dependence on chemical fungicides comes with well-known drawbacks. Residue concerns, rising cases of fungicide resistance, and their impact on the environment all point to the need for better solutions. For this reason, sustainable biocontrol approaches are becoming increasingly important as safer and more environmentally responsible options for managing these diseases.
Biological control, particularly through the application of antagonistic microorganisms, offers an environmentally sustainable alternative []. Among the microbial taxa studied for biocontrol, Bacillus species have emerged as robust candidates due to their ability to form stress-resistant endospores and produce a diverse array of antimicrobial compounds []. Antifungal compounds produced by Bacillus spp. include lipopeptides such as surfactin, iturin, and fengycin, along with hydrolytic enzymes that degrade fungal cell walls. Species like Bacillus subtilis and B. amyloliquefaciens typically produce iturin and fengycin, which suppress pathogens such as Colletotrichum gloeosporioides and Botrytis cinerea. Bacillus velezensis strains are also known for generating surfactin and various degrading enzymes that inhibit fruit-rotting fungi. Together, these metabolites underpin the strong antifungal activity of Bacillus-based biocontrol agents [,].
In addition to direct antagonism, some Bacillus strains induce systemic resistance in host plants [], further enhancing their protective capacity. Several commercial formulations based on Bacillus amyloliquefaciens, including GB03 and FZB42, have been successfully applied in agricultural systems, targeting soilborne pathogens such as Rhizoctonia solani, Fusarium oxysporum, and Pythium spp., as well as foliar pathogens, including Botrytis cinerea and Colletotrichum gloeosporioides [,]. However, most biocontrol strains characterized to date have been isolated from soil, rhizosphere, or phyllosphere environments [].
In contrast, endophytic and epiphytic microbial communities residing in specialized plant tissues, such as latex, remain largely unexplored as potential sources of biocontrol agents. Plant latex is a complex, milky fluid stored in laticifer cells and ducts, composed of cytoplasmic contents suspended in a matrix of proteins, alkaloids, terpenoids, and phenolic compounds []. Latex-producing plants often contain diverse bioactive secondary metabolites that exert strong selective pressures on microbial colonists []. This chemically rich environment may thus act as a reservoir for microbes with unique adaptive traits and antagonistic mechanisms. A. scholaris (Apocynaceae), a tropical evergreen tree with a long history of use in traditional medicine, exudes a milky latex rich in alkaloids, terpenoids, and phenolic compounds []. While the chemical composition and therapeutic properties of A. scholaris latex have been extensively studied [], its associated microbial inhabitants have received limited scientific investigation.
In addition to C. gloeosporioides, this study evaluated other major fungal pathogens, including F. graminearum, C. musae, and G. cingulata, which cause significant pre- and postharvest losses in diverse crops. F. graminearum is a globally important cereal pathogen causing Fusarium head blight and mycotoxin contamination, while C. musae causes banana crown rot and anthracnose, leading to rapid fruit decay. G. cingulata, closely related to C. gloeosporioides, induces anthracnose in multiple tropical fruit species. These pathogens were selected for their economic impact in tropical agriculture, including crops commonly grown in Taiwan and Southeast Asia. Accordingly, this study aimed to isolate and characterize beneficial bacteria from A. scholaris latex and assess their potential as biocontrol agents against postharvest fungal pathogens. We focused on strains with strong antifungal activity and investigated whether protein-based mechanisms contribute to inhibition. By integrating microbiological, biochemical, and proteomic approaches, we examined the functional attributes of promising isolates and their relevance for sustainable postharvest disease management, highlighting A. scholaris latex as a novel source of biocontrol agents.
2. Materials and Methods
2.1. Microbial Strain and Culture Conditions
The bacterial strain B. amyloliquefaciens AsL-1 used in this study was originally isolated from the latex of A. scholaris. For routine cultivation, the strain was maintained on solid or liquid Luria–Bertani (LB) medium (Cyrusbioscience, USA) at room temperature. For long-term preservation, bacterial cultures were supplemented with 50% (v/v) glycerol and stored at −80 °C. To prepare cell-free culture supernatant (CFS) for antifungal assays, a single colony of AsL-1 was inoculated into 100 mL of potato dextrose broth (PDB; Condalab, Torrejón Spain) and incubated at ±37 °C with shaking at 250 rpm for 48 h. The resulting culture was centrifuged at 8000× g for 10 min, and the supernatant was filtered through a 0.22 μm membrane (Millipore, USA) to remove residual bacterial cells.
For molecular identification, genomic DNA was extracted using the RCB Genomic DNA Bacterial Kit (RBC Bioscience, Taiwan). The 16S rRNA gene was amplified using universal primers 16SF3-372F and 16SR3-1491R. PCR products were purified, sequenced, and analyzed for sequence similarity using the BLASTn algorithm (NCBI). Phylogenetic analysis was conducted in MEGA version 10.1.8 using the maximum-likelihood method with 1000 bootstrap replications. Phytopathogenic fungi (Colletotrichum musae, C. gloeosporioides, Glomerella cingulata, and Fusarium graminearum) were obtained from the Department of Biotechnology, National Pingtung University of Science and Technology (NPUST), Taiwan. Fungal isolates were maintained on potato dextrose agar (PDA; Condalab, Spain) at room temperature (25 ± 2 °C). For spore production, the fungi were cultured on half-strength PDA and filtered through 110 mm filter paper (Advantec, Japan) to obtain conidial suspensions.
2.2. Assessment of Antifungal Activity
The antifungal activity of the cell-free filtrate was assessed using the agar well diffusion method as described in [,]. Wells (5.5 mm in diameter) were bored into PDA plates (20 mL per plate) using the broad end of sterile 100 µL pipette tips. Each well was loaded with 20 µL of the filtrate and allowed to diffuse in a biosafety cabinet at room temperature. PDB served as the negative control, while terbinafine was used as the positive control. Ethanol (Et) was included as a solvent control, and 100% cell-free supernatant (CFS) of strain AsL-1 was tested to evaluate the antifungal potential of secreted metabolites. A fungal spore suspension (10 mL in sterile distilled water) was overlaid onto the surface of each PDA plate. Plates were incubated at ambient temperature for 4–7 days. Antifungal activity was determined by measuring the diameter of the clear zone of inhibition surrounding each well. Antifungal efficiency was calculated as follows:
2.3. Growth Rate and Antifungal Activity Inhibition
To assess the growth dynamics of the bacterial strain and perform initial screening for antifungal activity, a time-course experiment was conducted using the selected antifungal strain AsL-1. A pre-culture was prepared by incubating the strain overnight in 3 mL of LB broth at ±37 °C with shaking at 150 rpm for 12 h. Subsequently, 500 µL of this pre-culture was inoculated into 50 mL of PDB and incubated under identical conditions.
In this study, antifungal assays utilized the cell-free supernatant (CFS) derived from strain AsL-1. The CFS was obtained by culturing the bacteria in 50 mL of broth medium for five days, followed by centrifugation at 10,000× g for 10 min at 4 °C. The resulting supernatant was then filtered through a 0.22 µm membrane to remove any remaining bacterial cells. PDB served as the negative control. Two treatment conditions were applied: a 1:1 (v/v) mixture of PDB and AsL-1 CFS (50% CFS), and undiluted AsL-1 CFS (100% CFS).
Samples were collected at two-hour intervals over a 72 h period. Bacterial growth was monitored by measuring the optical density at 600 nm (OD600) using a spectrophotometer (BioTek Instruments, USA). All experiments were performed in triplicate. Growth curves were plotted based on OD600 values, and time-dependent antifungal activity was analyzed to determine the peak production of bioactive compounds. Growth and antifungal activity (%) were calculated using the following formula:
2.4. Protein Extraction and Purification from Strain AsL-1
B. amyloliquefaciens AsL-1 was cultivated in 250 mL of PDB at ±37 °C with shaking at 250 rpm for 48 h. Cultures were centrifuged at 8000× g for 15 min at 4 °C to remove bacterial cells and debris. The supernatant was filtered through a 0.22 μm sterile membrane to obtain a cell-free, protein-containing solution. Large molecules and small molecules were collected using Amicon® Ultra-15 filters (Merch, UK).
Proteins were precipitated by adding ammonium sulfate to 40% (w/v) and incubating overnight at 4 °C []. Precipitated proteins were collected by centrifugation at 10,000× g for 10 min at 4 °C, resuspended in sterile distilled water, and dialyzed using tubing with a molecular weight cut-off (MWCO) of 12–14 kDa (Chen Shuo Biotechnology Co., Ltd., Taiwan) for 24 h at 4 °C, with the water replaced every 4–6 h. The dialysate was lyophilized and reconstituted in sterile ddH2O. Active fractions were further purified via reversed-phase extraction and evaluated for antifungal activity against selected fungal indicators. Protein concentration was determined using the Bradford assay with bovine serum albumin (BSA) as the standard.
For purification, the crude protein extract was applied to a Superdex™ 75 Increase 10/300 GL size-exclusion chromatography column using an ÄKTA Prime protein purification system (Cytiva, USA). Protein elution was monitored at 280 nm, and fractions were collected for downstream assays. Protein concentration was estimated by absorbance at 280 nm, and purity was assessed by SDS–PAGE (12% resolving gel), followed by Coomassie Brilliant Blue R-250 staining. Prominent protein bands were excised and subjected to liquid chromatography–tandem mass spectrometry (LC-MS/MS) for identification and characterization.
For purification, the crude protein extract was applied to a Superdex™ 75 Increase 10/300 GL size-exclusion chromatography column using an ÄKTA Prime protein purification system (Cytiva, USA). Protein elution was monitored at 280 nm, and fractions were collected for downstream assays. Protein concentration was estimated by absorbance at 280 nm, and purity was assessed by SDS–PAGE (12% resolving gel), followed by Coomassie Brilliant Blue R-250 staining. After staining, prominent protein bands were excised and subjected to liquid chromatography–tandem mass spectrometry (LC-MS/MS) for identification and characterization.
2.5. Antifungal Assay of Purified Extracts from Strain AsL-1
Antifungal proteinaceous compounds were initially separated by clarifying the cell-free culture filtrate through a 0.22-μm sterile membrane filter. Size-exclusion chromatography was performed using a Superdex™ 75 Increase 10/300 GL column (Cytiva, USA) on an ÄKTA Prime system. The column was equilibrated with five column volumes of 20 mM Tris–HCl buffer (pH 8.0). A 1 mL aliquot of the filtered sample was injected, and proteins were eluted at a flow rate of 0.25 mL min−1 using 0.1 M Tris–HCl buffer containing 0.001 M EDTA. Eluted fractions were collected and dialyzed against Tris–HCl buffer at 4 °C to remove low-molecular-weight contaminants.
Active fractions were concentrated by freeze-drying and screened for antifungal activity. For bioassays, lyophilized fractions were mixed with sterile PDA at ±55 °C, poured into 9 cm Petri dishes, and allowed to solidify. A 5.5 mm fungal mycelial plug was placed at the center of each plate. Plates were incubated at room temperature for 7 days, and fungal growth inhibition was assessed by measuring colony diameters. Percent inhibition was calculated according to Formula (1).
2.6. Discovery and Recovery of Antifungal Agents Produced by Strain AsL-1
To evaluate the antifungal activity of diffusible metabolites produced by B. amyloliquefaciens AsL-1, a modified dual-culture assay was performed based on []. Sterile half-strength potato dextrose agar (½PDA) plates (100 mm diameter) were prepared, and sterile filter paper discs (8 mm diameter) were placed 2 cm from the plate edge. An agar plug (8 mm diameter) from the actively growing margin of a fungal pathogen (e.g., Colletotrichum gloeosporioides) was positioned directly opposite the bacterial disc. Plates were incubated at 25–28 °C for 7 days. Antifungal activity was assessed by measuring the zone of inhibition or reduced fungal growth around the fungal disc.
To distinguish fungistatic from fungicidal effects, a recovery assay was conducted. Each ½PDA plate was divided into four quadrants. Two 2 mm2 plugs were excised from the inhibition zone near the bacterial colony and transferred to quadrants one and three of a fresh PDA plate. Two control plugs, taken from regions of the fungal colony farthest from bacterial influence, were transferred to quadrants two and four. Plates were incubated at 25–28 °C for 5–7 days, and regrowth was monitored daily. Absence of regrowth indicated fungicidal activity, whereas resumed mycelial growth suggested a fungistatic effect. This approach allows for evaluation of both the bioactivity and mode of action of diffusible antifungal metabolites produced by strain AsL-1.
2.7. Qualitative Enzyme Activity Assays of Strain AsL-1
Bacillus strain AsL-1 was cultured in LB broth at 37 °C with shaking (220 rpm) for 16 h (OD600 ≈ 0.5). Sterile 8 mm filter paper discs were briefly immersed in the bacterial culture and placed at the center of agar plates formulated with enzyme-specific substrates. Each disc received an additional 10 µL of cell suspension. After incubation, enzymatic activity was evaluated qualitatively or semi-quantitatively based on halo formation, color change, or substrate degradation (Table 1). The presence, size, or intensity of the halo was used to determine positive activity, with larger or more intense halos indicating stronger enzyme activity.
Table 1.
Enzyme-specific substrates and detection criteria used in qualitative enzyme assays.
2.7.1. Cellulase Activity
Cellulase activity was assessed using CMC agar, consisting of 10 g/L sodium CMC in basal medium []. Plates were incubated at ±37 °C for 24 h, then flooded with 0.1% Congo Red solution and destained with 1 M NaCl. Control plates contained LB broth. Colony and halo diameters were recorded. Enzymatic efficiency (EE) and enzymatic intensity (EI) were calculated following [,,] using the following formulas:
2.7.2. Lipase Activity
Lipase activity was evaluated on tributyrin agar (15 g/L agar and 10 mL/L glyceryl tributyrate in basal medium). Plates were incubated at ±37 °C for 24 h and stained with methyl red. EE and EI values were calculated as described above.
2.7.3. Protease Activity
Protease activity was tested on skim milk agar (100 g/L skim milk powder in basal medium) at 30 °C for 24 h. Colony and halo diameters were measured, and EE and EI were determined.
2.7.4. Chitinase Activity
Chitinase activity was assessed on basal medium supplemented with 1% colloidal chitin, prepared by treating 5 g of crab shell chitin with concentrated HCl, followed by ethanol precipitation, centrifugation, filtration, and neutralization to pH 7.0. Plates were incubated at ±37 °C for 24 h, and EE and EI were calculated. Chitinase activity was further confirmed spectrophotometrically [].
2.7.5. Amylase Activity
Amylase production was examined on basal agar containing 1% soluble starch. After incubation at 30 °C for 24 h, plates were treated with Gram’s iodine, and EE and EI were calculated based on colony and hydrolysis zone diameters.
2.7.6. Phytase Activity
Phytase activity was determined on phytase agar supplemented with D-glucose (15 g/L), sodium phytate (5 g/L), and essential mineral salts []. Plates were incubated at ±37 °C for 24 h, and colony and halo diameters were recorded for EE and EI calculations.
2.7.7. Pectinase Activity
Pectinase activity was analyzed on basal agar containing 10 g/L pectin. Plates were incubated at ±37 °C for 24 h, followed by staining with Gram’s iodine. EE and EI values were calculated.
2.7.8. Xylanase Activity
Xylanase activity was tested using basal agar supplemented with 25% oat spelt xylan. After incubation at ±37 °C for 24 h, plates were stained with 0.1% Congo Red and destained with 1 M NaCl. EE and EI were calculated accordingly.
2.7.9. β-Glucanase Activity
β-Glucanase activity was evaluated on basal agar containing 1% laminarin (Tokyo Chemical Industry, Japan). Plates were incubated at ±37 °C for 24 h, stained with 0.1% iodine, and destained with 1 M NaCl. EE and EI values were determined.
2.8. Determination of Minimum Inhibitory Concentration (MIC) and Minimum Fungicidal Concentration (MFC)
The minimum inhibitory concentration (MIC) of antifungal metabolites produced by strain AsL-1 was determined using a modified broth microdilution assay based on Clinical and Laboratory Standards Institute (CLSI) guidelines, adapted for both monoculture and co-culture conditions. Strain AsL-1 was grown in Mueller Hinton (MH) broth (Mast Group, Merseyside, UK) at ±37 °C for 20 h. Cell-free culture supernatants were obtained by centrifugation at 10,000× g for 15 min at 4 °C, followed by filtration through a 0.22-μm membrane to eliminate residual cells.
For MIC determination, serial two-fold dilutions of the supernatant (ranging from 21 to 210) were prepared in fresh MH broth. Aliquots (100 μL) of each dilution were dispensed into the wells of a 96-well flat-bottomed microtiter plate. A fungal spore suspension (1 × 103 CFU/mL), prepared in 0.1% Tween 80, was added to each well (5 μL), bringing the final volume to 200 μL per well. The plates were incubated statically at ±37 °C for 72 h. Fungal growth was evaluated by measuring the optical density at 600 nm (OD600) using a microplate reader (BioTek Instruments, USA). The MIC was defined as the lowest dilution at which no visible fungal growth (OD600 ≈ baseline) was observed, relative to the untreated control. All assays were performed in biological triplicate. Amphotericin B and terbinafine were included as positive controls at concentrations ranging from 0.125 to 64 μg/mL to validate the assay.
To determine the minimum fungicidal concentration (MFC), 5 μL from each MIC-negative well was transferred into a fresh 96-well plate and incubated at ±37 °C for 24 h. Subsequently, 5 μL from each well was plated onto Sabouraud Dextrose Agar (SDA; Difco, East Rutherford, NJ, USA) and spread evenly. The SDA plates were incubated at 25–28 °C for 72–96 h. The MFC was defined as the lowest concentration of culture filtrate that completely inhibited fungal colony formation on SDA. Absence of colony growth indicated fungicidal activity, whereas visible colonies were interpreted as evidence of fungistatic effects. All assays were performed in triplicate to ensure reproducibility.
2.9. In Vivo Biocontrol Assay on Mango Fruit
To evaluate the biocontrol efficacy of strain AsL-1 against Colletotrichum gloeosporioides, an in vivo assay was performed using fresh, healthy mango fruits (Mangifera indica), following a modified protocol described by []. Uniform, unblemished mangoes were selected, thoroughly washed under running tap water, and surface-sterilized by immersion in 2% (v/v) sodium hypochlorite (NaOCl) for 2 min. Fruits were then rinsed three times with sterile distilled water to remove residual bleach and allowed to air-dry under aseptic conditions.
Spore suspensions were prepared from 7-day-old C. gloeosporioides cultures grown on PDA. Conidia were gently scraped using sterile triangular sticks and suspended in sterile PDB. The suspension was adjusted to a final concentration of 1 × 104 CFU/mL, and 10 mL of the inoculum was transferred to a sterile pump sprayer for application.
Four treatment groups were established: the negative control, where fruits were sprayed five times (approximately 2 mL) with sterile distilled water; the first positive control, where fruits received five sprays of amphotericin B (0.7 mg/mL); the second positive control, where fruits were treated with five sprays of AsL-1 cell-free supernatant (CFS) without pathogen inoculation; and the test group, where fruits were sprayed five times with CFS from strain AsL-1 cultures prior to fungal inoculation. All treatments were applied topically using a micropipette at a pre-marked site on the mango surface. Following treatment, fruits were incubated at room temperature for 24 h to allow absorption.
After the pre-treatment period, each fruit was inoculated at the same marked site with five sprays of C. gloeosporioides conidial suspension (4 × 104 spores/mL in sterile water). Inoculated fruits were placed in moist plastic containers lined with sterile paper towels to maintain high humidity and incubated at 25–28 °C under natural light–dark cycles. Disease progression was monitored daily for 7 days post-inoculation (dpi). Lesion diameters were measured in two perpendicular directions using a digital vernier caliper, and the average lesion length was recorded. All treatments were conducted in triplicate, with three fruits per treatment group to ensure statistical robustness.
2.10. Protein Identification by LC-MS/MS
Protein samples for SDS-PAGE were prepared following ammonium sulfate precipitation, as previously described []. The antifungal-producing Bacillus isolate was cultured, and cell-free supernatants were subjected to protein concentration by the gradual addition of solid ammonium sulfate to 40% saturation. The mixture was incubated at 4 °C, and precipitated proteins were harvested via centrifugation at 12,000× g for 20 min at 4 °C. The resulting pellet was resuspended in sterile distilled water.
To estimate the molecular weight of antifungal components, Tris-Glycine SDS-PAGE was performed using a 12.5% resolving gel (pH 8.8) and a 4% stacking gel (pH 6.8), following the protocol of []. Electrophoresis was carried out at 30 V for 30 min, then at 100 V for 90 min. One gel was fixed in 25% methanol and 5% acetic acid for 30 min and rinsed in sterile water for 10 min prior to visualization. To localize antifungal proteins, a gel overlay assay was performed based on []. Protein samples were resolved by Tris-Glycine SDS–PAGE using 12.5% resolving and 4% stacking gels (pH 8.8 and 6.8, respectively). Gels were aseptically transferred onto PDA plates and incubated for 6 h before overlaying with fungal spores ranging from 1.0 × 104 to 1.0 × 105 conidia/mL. Plates were incubated under standard conditions for 72–96 h. Antifungal activity was detected as clear inhibition zones corresponding to active protein bands. Colony morphology and hyphal growth were measured post-incubation. All experiments were performed in triplicate.
In this study, proteins excised from SDS-PAGE gel bands were subjected to in-gel digestion. Excised protein bands from the SDS-PAGE gel were first destained using a standard destaining solution until clear. The gel pieces were then dehydrated in acetonitrile and subjected to reduction by incubating with 10 mM dithiothreitol (DTT) at 55–60 °C for 45 min to break disulfide bonds. Following reduction, alkylation was carried out using 55 mM iodoacetamide (IAM) in the dark at room temperature for 30 min to prevent the reformation of disulfide linkages. After a series of washing and dehydration steps, in-gel tryptic digestion was performed by adding sequencing-grade modified trypsin (1 µg/µL) and incubating overnight at 37 °C. Digestion was stopped by adding 0.1% formic acid.
Protein identification was performed using LC-MS/MS, with the assistance of search engine Mascot version 2.3.01 (Matrix Science, UK). A UPLC system (Acquity UPLC™, Waters Corp., USA) coupled with a hybrid LTQ Orbitrap XL mass spectrometer (Thermo Fisher Scientific Inc., Bremen, Germany) was used to analyze the in-gel digest obtained from SDS-PAGE. For LC–MS/MS analysis, 50 µL of digested peptides were injected into a Waters Acquity UPLC™ system (Waters Corp., USA) fitted with a Hypersil GOLD™ column (100 × 2.1 mm, 1.9 µm; Thermo Scientific, USA) for chromatographic separation. Peptides were ionized by electrospray ionization (ESI), and MS and MS/MS spectra were acquired on a hybrid LTQ Orbitrap XL mass spectrometer (Thermo Scientific, USA) operating in data-independent acquisition (DIA) mode. Protein identification was performed using Mascot (v2.3.01) against the Bacillus amyloliquefaciens protein database from NCBI (887,183 proteins).
2.11. Statistical Analysis
All experiments were conducted in triplicate to ensure the reliability and reproducibility of the results. Raw data were compiled and processed using Microsoft Excel 365 to calculate mean values, standard deviations (SD), and standard errors (SE) for each dataset. Statistical analyses were performed using SPSS software version 20.0 (IBM Corp., Armonk, NY, USA). A one-way analysis of variance (ANOVA) was used to assess overall differences among treatment groups. When significant variation was detected (p < 0.05), Duncan’s multiple range test (DMRT) was applied as a post hoc test to compare individual group means. A p-value of less than 0.05 was considered statistically significant throughout the study. Data are expressed as mean ± standard deviation (SD).
3. Results
3.1. Isolation and Identification of Antagonistic AsL-1 Bacterial Strains
In this study, the bacterium AsL-1 was isolated from the latex of the Alstonia scholaris tree, a plant recognized for its unique latex-producing properties. To determine the taxonomic identity of AsL-1, a detailed phylogenetic analysis was performed based on the partial sequencing of the 16S rRNA gene. The obtained sequence was compared with reference sequences from closely related species available in public databases. Phylogenetic analysis revealed that AsL-1 clustered within the Bacillus genus, forming a robust clade with species such as Bacillus velezensis, Bacillus amyloliquefaciens, Bacillus siamensis, Bacillus nakamurai, Bacillus subtilis, and several other strains, all members of the B. amyloliquefaciens group (Figure 1). Morphologically, AsL-1 cells exhibited a length of approximately 3–4 µm based on light-microscopy observations (Figure 1a). The colony diameter was about 1 mm under the specified growth conditions, although we acknowledge that colony size can vary depending on inoculum density and environmental factors (Figure 1b). A more detailed morphological characterization (e.g., SEM or high-resolution imaging) is warranted for future studies. This clustering indicates a close evolutionary relationship between AsL-1 and other Bacillus species known for their diverse ecological roles and industrial importance.
Figure 1.
Analysis of strain AsL-1: (a) Gram stain of AsL-1; (b) a single colony of AsL-1; (c) a phylogenetic tree was constructed using the partial 16S rRNA gene sequence of strain AsL-1, with alignment and tree construction performed in MEGA software (version 10.1.8). Bootstrap support for each branch was calculated based on 1000 replicates, and values greater than 85% are indicated at the corresponding nodes. The bootstrap values reflect the level of confidence in the clustering of taxa. The tree was scaled to represent nucleotide substitutions per site, and the scale bar shows 0.050 nucleotide substitutions per site. The branching pattern illustrates the relationship between AsL-1 and related species within the Bacillus genus.
In addition to molecular analysis, a comprehensive morphological characterization of AsL-1 was conducted. Colonies grown on Luria-Bertani (LB) agar appeared white and moderately sized, approximately 1 mm in diameter. They exhibited a round shape with raised, convex elevation and a smooth surface. Upon closer inspection, the colonies were found to have a viscid texture, consistent with typical Bacillus morphology. These phenotypic traits further support the classification of AsL-1 as B. amyloliquefaciens, a species known for forming distinct, smooth, and often mucoid colonies under certain growth conditions.
Based on both 16S rRNA gene phylogenetic analysis and colony morphology, AsL-1 was conclusively identified as a strain of B. amyloliquefaciens. This identification lays the groundwork for future investigations into the ecological role and biotechnological potential of AsL-1, particularly in the context of plant-associated microbial communities.
3.2. Antifungal Screening of Bacterial Strains
Crude protein from Bacillus amyloliquefaciens AsL-1 was extracted from culture filtrates using ammonium sulfate precipitation for subsequent protein purification. To assess its antifungal potential, four representative phytopathogenic fungi were selected: Colletotrichum musae, Glomerella cingulata, Fusarium graminearum, and Colletotrichum gloeosporioides. As illustrated in the accompanying figure, the crude protein extract from strain AsL-1 exhibited significant antagonistic activity, particularly against C. gloeosporioides, where it strongly inhibited mycelial growth, resulting in distinctive inhibition zones. Quantitative analysis of antifungal activity revealed inhibition rates of 48.89 ± 0.57% for C. musae, 52.22 ± 0.00% for G. cingulata, 47.78 ± 0.57% for F. graminearum, and 47.78 ± 0.00% for C. gloeosporioides (Figure 2). These results demonstrate that the crude protein extract from AsL-1 possesses notable antifungal activity, with varying degrees of effectiveness depending on the fungal species.
Figure 2.
Extraction and antifungal activity of AsL-1 crude protein. Antagonistic effects of the crude protein extracted from strain AsL-1 against (a) C. musae, (b) G. cingulata, (c) F. graminearum, and (d) C. gloeosporioides. The crude protein was tested for its antifungal properties by evaluating its inhibitory effects on the growth of the aforementioned fungal pathogens. As controls, deionized water (ddH2O) was used as the negative control (Ctrl), while Ampho-B (Tn) served as the positive control antibiotic. Ethanol (Et) was included as a solvent control, and the cell-free supernatant (CFS) of 100% of AsL-1 was also tested to assess the antifungal potential of secreted metabolites. The results were compared to determine the relative antifungal activity of the crude protein and other controls.
3.3. Growth and Inhibition Rate of B. amyloliquefaciens AsL-1
The antifungal activity of Bacillus amyloliquefaciens strain AsL-1 was evaluated by measuring inhibition of fungal growth. The fungal species tested in this study included C. musae, C. gloeosporioides, F. graminearum, and G. cingulata. The results demonstrated a significant reduction in fungal growth, with control treatments for all fungal species exhibiting cell counts ranging from 1.0 × 103 to 1.0 × 105 CFU/mL. Cell-free supernatant prepared from AsL-1 cultured in PDB exhibited significantly higher antifungal activity against the tested phytopathogens compared to supernatant from LB cultures, indicating that PDB promotes enhanced production of inhibitory metabolites.
The growth kinetics of Bacillus amyloliquefaciens strain AsL-1 were monitored using a spectrophotometer set to 600 nm, providing insights into the bacterial growth curve. Antifungal activity was quantified by measuring the growth rates, and the results are depicted in Figure 3. The production of antifungal compounds by B. amyloliquefaciens strain AsL-1 commenced after 22 h of incubation for F. graminearum and G. cingulata, and after 4 and 12 h for C. musae and C. gloeosporioides, respectively. Notably, peak antifungal production occurred during the late stationary phase of bacterial growth. The fungal growth inhibition was quantitatively measured using a serial dilution method, which revealed a fluctuating pattern of antifungal activity over time. The highest level of antifungal activity was observed at 48 h of incubation, when bacterial cell accumulation reached its peak. These findings suggest that the production of antifungal compounds by B. amyloliquefaciens is closely associated with the bacterial growth phase, with the late stationary phase being the most favorable for maximizing antifungal activity.

Figure 3.
Antifungal Growth Inhibition by Bacillus amyloliquefaciens strain AsL-1: (a) F. graminearum; (b) C. musae; (c) G. cingulata; (d) C. gloeosporioides. The line represents the fungal growth rate on control medium (PDB), 50% CFS of AsL-1, and 100% CFS of AsL-1, while the bars indicate the inhibition percentage of 50% and 100% CFS against fungal pathogens.
3.4. Separation, Characterization, and Identification of Antifungal Proteins in the AsL-1
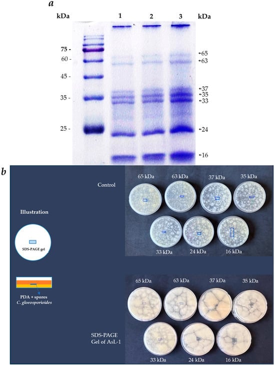
To validate the production of antifungal proteins by B. amyloliquefaciens AsL-1, crude protein extracts from the culture supernatant were separated via SDS-PAGE and visualized using Coomassie Brilliant Blue staining. Multiple distinct protein bands were observed at approximate molecular weights of 65, 63, 37, 35, 33, 24, and 16 kDa (Figure 4a). To determine which proteins possessed antifungal activity, a gel overlay assay was performed against C. gloeosporioides. Notably, antifungal activity was detected in the regions corresponding to the 24 kDa and 16 kDa protein bands (Figure 4b).
Figure 4.
SDS-PAGE protein separation and gel-overlay antifungal activity of B. amyloliquefaciens AsL-1: (a) SDS-PAGE electrophoresis of crude AsL-1 protein extracts. Lane M: molecular weight marker; Lanes 1–3: replicate samples of crude protein from culture supernatant. (b) Gel overlay assay showing antifungal activity against C. gloeosporioides. The boxed imprint on the agar plate corresponds to the SDS-PAGE gel region used for protein transfer.
Protein extracts from B. amyloliquefaciens strain AsL-1 were subjected to Size Exclusion Chromatography (SEC), resulting in five distinct elution peaks (Figure 5a). Among these, peak 3 exhibited the highest absorbance but did not show significant antifungal activity compared to peaks 1 and 5 (Figure 5b). The eluates corresponding to each peak were collected, freeze-dried, and concentrated for antifungal bioassays. Notably, peak 4 demonstrated the most consistent and significant inhibitory effect on fungal pathogens. Significant variation was detected among treatments based on one-way ANOVA (F4,10 = 309.17), indicating that the treatments exhibited distinct effects. These results suggest that the antifungal activity is associated with a specific protein fraction, distinct from the major protein component in peak 3, implying the presence of a bioactive compound within the AsL-1 secretome.
Figure 5.
FPLC protein separation and fractionation antifungal activity of Bacillus amyloliquefaciens AsL-1: (a) SDS-PAGE electrophoresis of crude AsL-1 protein extracts. Lane M: molecular weight marker; Lanes 1–3: replicate samples of crude protein from culture supernatant. (b) Gel overlay assay showing antifungal activity against Colletotrichum gloeosporioides. The boxed imprint on the agar plate corresponds to the SDS-PAGE gel region used for protein transfer. Data represent means ± SD; p-value < 0.05. The a and b are significantly different.
SDS-PAGE analysis revealed seven distinct protein bands in the crude extract, whereas the FPLC-purified fractions displayed five major bands, indicating partial purification and selective enrichment of specific protein components through chromatographic separation.
3.5. Effect of Diffusible Molecule Assay on Fungal Pathogen
3.5.1. Effect of B. amyloliquefaciens AsL-1 on Pathogen Growth
In this study, an in vitro antifungal assay was conducted to evaluate the inhibitory properties of Bacillus amyloliquefaciens strain AsL-1 against various fungal pathogens. Fungal growth was quantified by measuring the radial expansion of the fungal colony from the center of the fungal plug to the center of the bacterium-containing filter paper, as well as the longest radius of the fungal colony. The assay was performed on four distinct fungal species. The results showed a significant reduction in the growth of all tested fungi compared to the controls, where no bacteria were present (Figure 6A). Of the fungi tested, C. gloeosporioides exhibited the highest susceptibility to the diffusible compounds produced by AsL-1, as evidenced by the largest inhibition zone (Figure 6B). A one-way ANOVA was conducted to compare inhibition levels among the four fungal pathogens (F. graminearum, C. musae, C. gloeosporioides, and G. cingulata). The analysis showed no statistically significant difference among groups (F(3,8) = 0.94, p = 0.466). Consistently, Tukey’s HSD test revealed no significant pairwise differences between any of the fungal species. These results indicate that the inhibition percentages did not vary significantly across the pathogens under the tested conditions.
Figure 6.
Diffusible Assay of Bacillus amyloliquefaciens AsL-1: (A) Antifungal activity of B. amyloliquefaciens strain AsL-1 against four fungal pathogens, assessed using a diffusible assay. The growth inhibition of the following pathogens was observed: (a) F. graminearum, (b) C. musae, (c) G. cingulata, and (d) C. gloeosporioides. The inhibition zones resulting from the diffusible compounds produced by B. amyloliquefaciens were clearly evident around the bacterial colonies. (B) The inhibition ratios (%) of fungal growth as a result of the diffusible assay are shown, with SD indicated at p-Value < 0.05. These results quantitatively demonstrate the antifungal efficacy of B. amyloliquefaciens against the tested fungi. (C) Recovery plates from the diffusible assay, showing the recovery of fungal growth on Quadrant recovery plates. Fungal growth of (a) F. graminearum, (b) C. musae, (c) G. cingulata, and (d) C. gloeosporioides was assessed after exposure to the diffusible compounds from B. amyloliquefaciens.
Subsequently, a recovery assay was performed to determine whether the inhibitory metabolites secreted by B. amyloliquefaciens strain AsL-1 had fungistatic or fungicidal effects. Fungal sections were taken from two areas within the inhibition zone (one near the bacterial colony and one further away) and from control plates. These sections were plated onto fresh media, incubated for five days, and then imaged (Figure 6C). Fungal growth was clearly evident from the recovery plates, indicating that the growth of all tested fungal pathogens was arrested in the presence of the diffusible molecules (Figure 6A). However, fungal colonies were able to regrow on the recovery plates, suggesting that the antifungal activity of AsL-1 is primarily fungistatic, rather than fungicidal. These findings indicate that the exudates secreted by the B. amyloliquefaciens strain AsL-1 effectively inhibit fungal growth but do not kill the fungi. It is also possible that some viable fungal cells may have been inadvertently excised during the transfer process to the recovery plates.
3.5.2. Effect of B. amyloliquefaciens AsL-1 Inhibit Normal Hyphal Growth and Spore Germination of C. gloeosporioides
To investigate the mechanism of biocontrol, we examined the microscopic changes in C. musae hyphae within the zone of inhibition using a dissecting microscope. The results showed a significant reduction in spore germination after 24 h of exposure to the diffusible molecules from B. amyloliquefaciens strain AsL-1 (Figure S1a). In all fungi tested, hyphae in the inhibition zone exhibited bubble-like structures (Figure S1b), with septate mycelia. Although fungal colonies grew over the AsL-1 bacterial colony in the diffusible molecule assay, fungal growth was not completely inhibited. However, hyphae directly over the bacterial colony were much less dense compared to the rest of the plate or the control treatment (Figure S1c). Notably, the C. musae colony, typically white except for the sclerotial bodies, became highly pigmented in the inhibition zone (Figure S1d), suggesting alterations in metabolic or morphological processes due to exposure to AsL-1 diffusible molecules.
Next, we examined the impact of AsL-1 diffusible molecules on the spores of C. gloeosporioides to further understand the infection mechanism. To investigate the effects of AsL-1 on conidial germination and appressorium formation, C. gloeosporioides was incubated with PDB and the cell-free supernatant of B. amyloliquefaciens strain AsL-1, and the formation of germ tubes and appressoria was imaged. Then, the effect on small- and large-molecule bacteria was assessed. Both small-and large-molecules fractions exhibited inhibitory activity agains C. gloeosporioides. However, the large-molecules fraction showed a substantially higher inhibition rate compared with the small-molecules fraction (Figure S2). Fractionation of the culture supernatant using Amicon® Ultra-15 filters showed that the protein-enriched large-molecule fraction retained some antifungal activity. However, the active compound could not be recovered, indicating that the activity may involve low-abundance proteins or additional small molecules.
Under standard in vitro conditions, conidia typically germinate and form melanized bulbous appressoria within 6 to 24 h. However, in the presence of the AsL-1 supernatant, we observed significant disruptions in the typical infection process. Instead of forming normal appressoria, fungal spores exhibited swollen, bubble-like structures, indicating the inhibition of proper penetration structure development (Figure S1). Additionally, the dry weight of fungal colonies was measured after 5 days of incubation at 25 °C, which further confirmed the inhibitory effects on fungal growth. The fungal growth and spore assays showed consistent inhibition by the AsL-1 supernatant, which reduced colony expansion and markedly suppressed conidial germination and appressoria formation. Treated spores developed abnormal or aborted structures, indicating that diffusible metabolites from AsL-1 interfere with early infection development. These observations support the conclusion that AsL-1 produces molecules capable of disrupting key pathogenic processes.
3.6. Hydrolytic Activity of B. amyloliquefaciens Strain AsL-1
Collectively, these results demonstrate that B. amyloliquefaciens strain AsL-1 produces a wide spectrum of extracellular enzymes, many of which are implicated in the degradation of fungal cell walls and suppression of pathogen growth. This enzymatic arsenal likely contributes to the strain’s robust antifungal activity and its potential as an effective biocontrol agent.
The extracellular enzymatic potential of Bacillus amyloliquefaciens strain AsL-1 was evaluated on solid media supplemented with various substrates. The strain exhibited pronounced hydrolytic activity, forming large clear zones around the inoculation site on carboxymethyl cellulose (CMC) agar, skim milk agar, starch agar (for amylase), and pectin agar (Figure S3b), indicative of cellulase, protease, amylase, and pectinase activity, respectively. In contrast, while AsL-1 was capable of growing on media containing substrates for lipase, chitinase, phytase, xylanase, and beta-glucanase assays, no visible zones of clearance were observed, suggesting limited or no extracellular enzymatic activity under the tested conditions. These results are consistent with previous reports on the enzymatic profiles of B. amyloliquefaciens strains, which demonstrate variability in enzyme production depending on strain specificity and environmental conditions.
3.7. MIC and MFC of B. amyloliquefaciens AsL-1
For further analysis, we performed minimum inhibitory concentration (MIC) and minimum fungicidal concentration (MFC) assays to assess the antifungal activity of standard antifungals (Amphotericin B, Terbinafine) and protein fractions (large and small molecules) against Colletotrichum gloeosporioides.
The protein fractions isolated from Bacillus amyloliquefaciens strain AsL-1 exhibited moderate antifungal activity. Both large and small protein fractions showed an MIC value of 256 µg/mL against C. gloeosporioides, with corresponding MFC values of 512 µg/mL against other pathogens such as Fusarium graminearum and Glomerella cingulata. However, these fractions did not display fungicidal activity against C. gloeosporioides at any tested concentration, as the MFC values for C. gloeosporioides were all higher than 512 µg/mL, indicating that this pathogen may exhibit strong resistance to the Bacillus-derived compounds (Table 2).
Table 2.
MIC and MFC of AsL-1 bacteria with small molecules (less than 30 kDa) and large molecules (more than 30 kDa).
These findings indicate that while the Bacillus-derived proteins possess antifungal properties, their efficacy is limited against C. gloeosporioides, which appears to be highly resistant. This highlights the need for further studies to identify specific bioactive compounds in B. amyloliquefaciens, which may be more effective against C. gloeosporioides and could serve as a basis for future biocontrol strategies. Additionally, the results underscore the need for further purification and in vivo testing to better understand the full potential of these proteins in plant disease management.
3.8. Effect of Cell-Free Supernatant of B. amyloliquefaciens AsL-1 on Mango Anthracnose
To evaluate the biocontrol potential of B. amyloliquefaciens strain AsL-1 in a postharvest setting, we tested the efficacy of its cell-free supernatant (CFS) against anthracnose disease in mango fruit caused by Colletotrichum gloeosporioides. Mango fruits were surface-sterilized and spray-inoculated with a conidial suspension of C. gloeosporioides (1 × 105 CFU/mL), followed by treatment with AsL-1 CFS. The fruits were incubated at 25 °C and monitored for disease development over a period of 6 days. Representative photographs were captured at 0, 3, and 6 days post-inoculation (dpi) to document disease symptoms (Figure 6a). As controls, a negative control group (–) was treated with sterile double-distilled water (ddH2O) prior to pathogen inoculation, and a positive control group (+) was treated with AsL-1 CFS without pathogen inoculation. Given the strong antifungal activity of the B. amyloliquefaciens strain AsL-1 CFS observed in in vitro diffusible molecule assays, we next evaluated its efficacy in suppressing C. gloeosporioides infection in vivo on mango fruit. To this end, mango fruits were artificially inoculated with a conidial suspension of C. gloeosporioides and subsequently treated with the CFS derived from strain AsL-1. The inoculated fruits were then stored at 25 °C, and disease progression was monitored over a six-day period.
After three days of inoculation, initial signs of infection, such as slight sunken lesions and light brown discoloration, began to appear on the fruit surface. However, the extent of lesion development in the CFS-treated group was markedly reduced in comparison to the untreated control group. As illustrated in Figure 7a, mango fruits treated with AsL-1 CFS exhibited significantly smaller anthracnose lesions after six days post-inoculation, with visibly reduced lesion size and lighter pigmentation in the infected areas.

Figure 7.
In vivo inhibitory effect of Bacillus amyloliquefaciens strain AsL-1 cell-free supernatant (CFS) on mango anthracnose: (a) days after-inoculation of C. gloeosporioides on mango for 0, 3, and 6 days; (b) decay area of C. gloeosporioides for 6 days; (c) control efficacy. Data represent means ± SD; p-value < 0.05. different letters significantly different.
Quantitative assessment of disease severity further supported these visual observations. As shown in Figure 7b, the disease incidence in the CFS-treated group was substantially lower than in the control group. Moreover, the treatment group exhibited significantly higher control efficacy, indicating effective suppression of fungal infection by the antifungal compounds present in the AsL-1 supernatant.
The effect of the different treatments on fungal inhibition was analyzed using a one-way ANOVA, which revealed a statistically significant difference among treatments (F(11, 24) = 6.07, p = 0.000114). Post hoc comparisons showed that the AsL-1 cell-free supernatant (CFS) and Amphotericin-B treatments produced significantly greater inhibition than the untreated control, whereas several other treatments exhibited intermediate or lower levels of activity. These results demonstrate that the treatments had a substantial impact on fungal growth inhibition. Taken together, the statistical evidence and biological observations confirm that the CFS from Bacillus amyloliquefaciens strain AsL-1 exerts a potent inhibitory effect on Colletotrichum gloeosporioides under in vivo conditions. The reduced lesion size, diminished discoloration, and lower infection incidence collectively highlight the strong potential of AsL-1 as an effective biocontrol agent for the postharvest management of mango anthracnose.
3.9. Identification of Bioactive Proteins via LC-MS/MS
Liquid chromatography–tandem mass spectrometry (LC-MS/MS) analysis of the active antifungal fraction led to the identification of two key proteinaceous components: β-1,3-1,4-glucanase and flagellin (Table 3). Both proteins were detected with high confidence based on unique peptide matches and significant sequence coverage. These proteins have been previously associated with antifungal defense in bacteria, supporting their potential mechanistic role in the growth inhibition observed against fungal indicator strains.
Table 3.
LC-MS/MS identification of all bands of AsL-1.
β-1,3-1,4-glucanase is known to hydrolyze β-glucans in fungal cell walls, compromising structural integrity and leading to cell lysis. Flagellin, beyond its canonical role in motility, has been shown to trigger immune responses and may exert direct antifungal effects through membrane interactions or induction of host resistance pathways.
The presence of these proteins in the bioactive fraction suggests a synergistic or complementary mode of antifungal action by B. amyloliquefaciens AsL-1. These findings not only corroborate previous reports of their bioactivity but also highlight their potential as lead molecules for the development of environmentally friendly bio-fungicides.
Future studies will focus on the targeted purification, functional validation, and mode-of-action elucidation of each protein individually. In parallel, the genes encoding β-1,3-1,4-glucanase and flagellin will be cloned, sequenced, and heterologously expressed to evaluate their antifungal efficacy in isolation. This approach will facilitate both mechanistic insight and potential upscaling for industrial or agricultural applications.
4. Discussion
Biological control using beneficial microbes offers a sustainable alternative to chemical fungicides. Among these, B. amyloliquefaciens is well known for its antifungal potential. In this study, we report the first isolation of a B. amyloliquefaciens strain, AsL-1, from the latex of A. scholaris, a niche environment rich in microbial diversity, including taxa previously associated with rubber degradation and latex preservation [,,]. Strain AsL-1 exhibited pronounced antifungal activity against C. gloeosporioides, a major postharvest pathogen, and moderate inhibition of C. musae. The striking morphological alterations observed in C. gloeosporioides, including hyphal thickening, vesicle-like deformities, and intense melanization, are typical stress phenotypes linked to the fungal melanin biosynthetic pathway, a key determinant of pathogenicity and environmental resilience [,,,,]. These responses suggest that AsL-1 disrupts fungal defense mechanisms, possibly by interfering with melanin biosynthesis or inducing oxidative stress, consistent with studies emphasizing the importance of the DHN-melanin pathway in fungal virulence [].
The antifungal activity of AsL-1 is likely driven by a combination of enzymatic degradation of fungal cell-wall components and the action of proteinaceous metabolites. Enzymatic assays revealed strong cellulase, chitinase, protease, lipase, and phytase activities, with particularly high chitinase and cellulase activity consistent with lytic mechanisms previously reported for Bacillus spp. [,]. SDS–PAGE of the crude extract revealed seven protein bands, whereas FPLC yielded five enriched fractions, demonstrating selective concentration of active components and removal of less abundant proteins [,,]. Given its reproducibility and scalability, FPLC remains a standard method for purifying microbial bioactives [,].
Proteomic analysis of the cell-free supernatant identified several putative antifungal proteins, including β-1,3-1,4-glucanase and flagellin. While these identifications agree with proteins commonly secreted by related biocontrol strains, they remain tentative because they are based primarily on molecular weight profiling and LC–MS/MS matches. Thus, the proposed model, cell-wall degradation combined with possible flagellin-associated immune or direct inhibitory effects, should be interpreted cautiously. A key limitation of the present study is that we did not validate the functions of these proteins biochemically. Specifically, we did not quantify cell-wall degradation products, assess plant immune markers, measure host gene expression, or test the sensitivity of antifungal activity to heat or protease treatment. These gaps limit our ability to definitively link the observed antifungal phenotypes to specific proteins.
In addition, the protein extraction workflow used here (ammonium sulfate precipitation, dialysis, and lyophilization) may have inadvertently excluded low-abundance, thermolabile, or non-protein antimicrobial compounds. Such components, including small lipopeptides or volatile metabolites, may have contributed to antifungal activity but were not captured under our extraction conditions. Future studies should therefore incorporate complementary extraction strategies (e.g., organic phase extraction, SPE fractionation, or metabolomic profiling) to ensure that the full diversity of active metabolites is identified.
β-1,3-1,4-Glucanase is known to disrupt fungal cell walls and inhibit spore germination, particularly in C. gloeosporioides [,], and functional validation via CMC plate assays confirmed glucanase activity in AsL-1. Given the link between fungal cell-wall remodeling and stress responses, glucanase-mediated weakening may also amplify melanin-associated defense disruption. Flagellin and its conserved epitope flg22 have been widely documented to trigger plant immune responses and enhance resistance to fungal pathogens [,]. As a microbe-associated molecular pattern (MAMP), flagellin is recognized by plant receptors such as FLS2, as shown in Xanthomonas axonopodis [], initiating downstream defense pathways including ROS bursts, induction of pathogenesis-related genes, and resistance to biotic and abiotic stresses []. Similar effects have been reported in Azospirillum brasilense, where flagellin enhanced resistance in strawberry against Macrophomina phaseolina []. These findings highlight the potential of flagellin as a biocontrol-enhancing agent in agriculture []. The detection of flagellin in the AsL-1 secretome is therefore noteworthy and warrants further investigation, particularly regarding its potential contribution to induced systemic resistance.
Our findings broaden the ecological and functional understanding of B. amyloliquefaciens, especially strains adapted to chemically complex environments such as latex-rich niches. The ability of AsL-1 to colonize such substrates may reflect specialized regulatory pathways associated with secondary metabolite biosynthesis, stress tolerance, or competitive interactions. Comparative genomics will be essential to elucidate the genetic determinants underlying these adaptations.
In summary, this study identifies B. amyloliquefaciens AsL-1 as a potent biocontrol agent with both enzymatic and protein-based antifungal mechanisms. Its strong efficacy against C. gloeosporioides under in vitro and in vivo conditions, combined with its ability to disrupt fungal melanization, underscores its potential for sustainable postharvest disease management. Future work should focus on molecular dissection of its antifungal pathways, functional validation of secreted proteins, and optimization of application strategies. Expanding beyond protein-only extraction methods will also be important to ensure that additional active metabolites are not overlooked. Such efforts support the development of natural, protein-rich microbial agents that reduce dependence on chemical fungicides and help mitigate fungicide resistance, key priorities for global food security and agricultural sustainability.
5. Conclusions
This study identifies Bacillus amyloliquefaciens strain AsL-1 from Alstonia scholaris latex as a potent natural antagonist of Colletotrichum gloeosporioides and other postharvest fungal pathogens. The protein-based antifungal activity and strong enzymatic repertoire of AsL-1 reveal a multifaceted defense mechanism that bridges endophytic symbiosis and biocontrol potential. By uncovering the ecological role of latex-associated Bacillus in plant protection, this work expands our understanding of microbial interactions in natural defense systems. These findings establish a foundation for developing biologically derived antifungal formulations and for exploring endophytic Bacillus species as models of sustainable plant–microbe cooperation.
Supplementary Materials
The following supporting information can be downloaded at: https://www.mdpi.com/article/10.3390/agronomy15122760/s1, Figure S1: Microscopic analysis of Colletotrichum gloeosporioides in response to CFS from B. amyloliquefaciens AsL-1 using the diffusible molecule assay. Figure S2: Antifungal analysis of Colletotrichum gloeosporioides in response to large and small molecules from B. amyloliquefaciens AsL-1 using the diffusible molecule assay. Figure S3: Enzymatic activity profile of B. amyloliquefaciens strain AsL-1.
Author Contributions
Conceptualization, S.R., J.-L.H. and D.J.H.S.; methodology, S.R., J.-L.H. and D.J.H.S.; validation, S.R., J.-L.H. and D.J.H.S.; formal analysis, S.R.; investigation, S.R. and J.-L.H.; resources, J.-L.H. and D.J.H.S.; data curation, S.R.; writing—original draft preparation, S.R.; writing—review and editing, J.-L.H. and D.J.H.S.; visualization, S.R.; supervision, J.-L.H. and D.J.H.S.; project administration, J.-L.H.; funding acquisition, J.-L.H. and D.J.H.S. All authors have read and agreed to the published version of the manuscript.
Funding
This research was funded by the National Science and Technology Council, Taiwan (NSTC 113-2113-M-020-001).
Data Availability Statement
The original contributions presented in this study are included in the article. Further inquiries can be directed to the corresponding authors.
Acknowledgments
The authors sincerely thank the Department of Biological Science and Technology, National Pingtung University of Science and Technology (NPUST), for providing laboratory facilities and technical support. We also acknowledge the assistance of colleagues of BT207 and BT306 of NPUST during sample collection and biochemical analyses. Additionally, the authors express their gratitude to Annur Ahadi Abdillah and Haroon Afzal for their critical review of the manuscript. During the preparation of this manuscript, the authors used ChatGPT 4.0 (OpenAI) for the purposes of language editing and stylistic improvements. All scientific content, ideas, and conclusions are the sole responsibility of the authors. The authors have reviewed and edited the output and take full responsibility for the content of this publication.
Conflicts of Interest
The authors declare no conflicts of interest.
References
- Weir, B.S.; Johnston, P.R.; Damm, U. The Colletotrichum gloeosporioides species complex. Stud. Mycol. 2012, 73, 115–180. [Google Scholar] [CrossRef]
- Dofuor, A.K.; Quartey, N.K.-A.; Osabutey, A.F.; Antwi-Agyakwa, A.K.; Asante, K.; Boateng, B.O.; Ablormeti, F.K.; Lutuf, H.; Osei-Owusu, J.; Osei, J.H.N.; et al. Mango anthracnose disease: The current situation and direction for future research. Front. Plant Sci. 2023, 14, 123456. [Google Scholar] [CrossRef]
- Köhl, J.; Kolnaar, R.; Ravensberg, W.J. Mode of action of microbial biological control agents against plant diseases: Relevance beyond efficacy. Front. Plant Sci. 2019, 10, 845. [Google Scholar] [CrossRef]
- Ongena, M.; Jacques, P. Bacillus lipopeptides: Versatile weapons for plant disease biocontrol. Trends Microbiol. 2008, 16, 115–125. [Google Scholar] [CrossRef]
- Chen, X.H.; Koumoutsi, A.; Scholz, R.; Eisenreich, A.; Schneider, K.; Heinemeyer, I.; Morgenstern, B.; Voss, B.; Hess, W.R.; Reva, O.; et al. Comparative analysis of the complete genome sequence of the plant growth–promoting bacterium Bacillus amyloliquefaciens FZB42. Nat. Biotechnol. 2007, 25, 1007–1014. [Google Scholar] [CrossRef]
- Kloepper, J.W.; Ryu, C.M.; Zhang, S. Induced systemic resistance and promotion of plant growth by Bacillus spp. Phytopathology 2004, 94, 1259–1266. [Google Scholar] [CrossRef] [PubMed]
- Raaijmakers, J.M.; de Bruijn, I.; de Kock, M.J.F. Cyclic lipopeptide production by plant-associated Pseudomonas species: Diversity, activity, biosynthesis, and regulation. Mol. Plant-Microbe Interact. 2006, 19, 699–710. [Google Scholar] [CrossRef] [PubMed]
- Chowdhury, S.P.; Hartmann, A.; Gao, X.W.; Borriss, R. Biocontrol mechanism by root-associated Bacillus amyloliquefaciens FZB42—A review. Front. Microbiol. 2015, 6, 780. [Google Scholar] [CrossRef]
- Choudhary, D.K.; Johri, B.N. Interactions of Bacillus spp. and plants–with special reference to induced systemic resistance (ISR). Microbiol. Res. 2009, 164, 493–513. [Google Scholar] [CrossRef]
- Berg, G.; Raaijmakers, J.M. Saving seed microbiomes. ISME J. 2018, 12, 1167–1170. [Google Scholar] [CrossRef] [PubMed]
- Banik, B.; Das, M.K. Therapeutic Potential of Alstonia scholaris Latex in the Management of Inflammatory Diseases: An in vitro Approach. Pharmacogn. Res. 2023, 15, 478–483. [Google Scholar] [CrossRef]
- Konno, K. Plant latex and other exudates as plant defense systems: Roles of various defense chemicals and proteins contained therein. Phytochemistry 2011, 72, 1510–1530. [Google Scholar] [CrossRef]
- Verma, P.K.; Tukra, S.; Singh, B.; Sharma, P.; Abdi, G.; Zuhaib, F.B. Unveiling the ethnomedicinal potential of Alstonia scholaris (L.) R. Br.: A comprehensive review on phytochemistry, pharmacology and its applications. Food Chem. Adv. 2025, 6, 100866. [Google Scholar] [CrossRef]
- Singh, M.; Singh, S. Chemical composition and antibacterial activity of floral volatile oil of Alstonia scholaris (L.) R. Br from India. J. Med. Aromat. Plant Sci. 2022, 42, 4. [Google Scholar]
- Magaldi, S.; Mata-Essayag, S.; de Capriles, C.H.; Pérez, C.; Colella, M.T.; Olaizola, C.; Ontiveros, Y. Well diffusion for antifungal susceptibility testing. Int. J. Infect. Dis. 2004, 8, 39–45. [Google Scholar] [CrossRef]
- Valgas, C.; Souza, S.M.D.; Smânia, E.F.; Smânia, A., Jr. Screening methods to determine antibacterial activity of natural products. Braz. J. Microbiol. 2007, 38, 369–380. [Google Scholar] [CrossRef]
- Mahn, A.; Ismail, M. Depletion of Highly Abundant Proteins in Blood Plasma by Ammonium Sulfate Precipitation for 2D-PAGE Analysis. J. Chromatogr. B 2011, 879, 3645–3648. [Google Scholar] [CrossRef] [PubMed]
- Ji, S.H.; Paul, N.C.; Deng, J.X.; Kim, Y.S.; Yun, B.S.; Yu, S.H. Biocontrol activity of Bacillus amyloliquefaciens CNU114001 against fungal plant diseases. Mycobiology 2013, 41, 234–242. [Google Scholar] [CrossRef]
- Batubara, U.M.; Mardalisa, M.; Suparjo, S.; Maritsa, H.U.; Pujianto, E.; Herlini, M. Isolation and characterization of cellulolytic bacteria diversity in peatland ecosystem and their cellulolytic activities. In IOP Conference Series: Earth and Environmental Science; IOP Publishing: Bristol, UK, 2021; Volume 934, p. 012028. [Google Scholar] [CrossRef]
- Dewiyanti, I.; Darmawi, D.; Muchlisin, Z.A.; Helmi, T.Z.; Arisa, I.I.; Rahmiati, R.; Destri, E. Cellulase enzyme activity of the bacteria isolated from mangrove ecosystem in Aceh Besar and Banda Aceh. In IOP Conference Series: Earth and Environmental Science; IOP Publishing: Bristol, UK, 2022; Volume 951, p. 012113. [Google Scholar] [CrossRef]
- Hossain, T.J.; Sumaiya, I.C.; Halima, A.Z.; Mohammad, N.A.C.; Ferdausi, A.; Nabila, R.; Sujan, D. Hydrolytic exo-enzymes produced by bacteria isolated and identified from the gastrointestinal tract of Bombay duck (Harpadon nehereus). Front. Microbiol. 2020, 11, 2097. [Google Scholar] [CrossRef]
- Aleem, B.; Rashid, M.H.; Zeb, N.; Saqib, A.; Ihsan, A.; Iqbal, M.; Ali, H. Random mutagenesis of super Koji (Aspergillus oryzae): Improvement in production and thermal stability of α-amylases for maltose syrup production. BMC Microbiol. 2018, 18, 200. [Google Scholar] [CrossRef] [PubMed]
- Monreal, J.; Reese, E.T. The chitinase of Serratia marcescens. Can. J. Microbiol. 1969, 15, 689–696. [Google Scholar] [CrossRef] [PubMed]
- Howson, S.J.; Davis, R.P. Production of phytate-hydrolysing enzyme by some fungi. Enzym. Microb. Technol. 1983, 5, 377–382. [Google Scholar] [CrossRef]
- Li, W.; Chen, H.; Cheng, J.; Zhang, M.; Xu, Y.; Wang, L.; Zhao, X.; Zhang, J.; Liu, B.; Sun, J. Improving resistance of mango to Colletotrichum gloeosporioides by activating reactive oxygen species and phenylpropane metabolism of Bacillus amyloliquefaciens GSBa-1. Metabolites 2024, 14, 417. [Google Scholar] [CrossRef] [PubMed]
- Englard, S.; Seifter, S. Precipitation techniques. Methods Enzymol. 1990, 182, 285–300. [Google Scholar]
- Schägger, H. Tricine-SDS-PAGE. Nat. Protoc. 2006, 1, 16–22. [Google Scholar] [CrossRef]
- Yung, S.C.; Murphy, P.M. Antimicrobial chemokines. Front. Immunol. 2012, 3, 276. [Google Scholar] [CrossRef]
- Salomez, M.; Subileau, M.; Intapun, J.; Bonfils, F.; Sainte-Beuve, J.; Vaysse, L.; Dubreucq, E. Micro-organisms in latex and natural rubber coagula of Hevea brasiliensis and their impact on rubber composition, structure and properties. J. Appl. Microbiol. 2014, 117, 921–929. [Google Scholar] [CrossRef]
- Linos, A.; Berekaa, M.M.; Reichelt, R.; Keller, U.; Schmitt, J.; Flemming, H.C.; Kroppenstedt, R.M.; Steinbüchel, A. Biodegradation of cis-1,4-polyisoprene rubbers by distinct actinomycetes: Microbial strategies and detailed surface analysis. Appl. Environ. Microbiol. 2000, 66, 1639–1645. [Google Scholar] [CrossRef]
- Linos, A.; Reichelt, R.; Keller, U.; Steinbüchel, A. A gram-negative bacterium, identified as Pseudomonas aeruginosa AL98, is a potent degrader of natural rubber and synthetic cis-1,4-polyisoprene. FEMS Microbiol. Lett. 2000, 182, 155–161. [Google Scholar] [CrossRef]
- Butler, M.J.; Gardiner, R.B. Melanin synthesis by Sclerotinia sclerotiorum. Mycologia 2009, 101, 296–304. [Google Scholar] [CrossRef]
- Wang, T.; Ren, D.; Guo, H.; Chen, X.; Zhu, P.; Nie, H.; Xu, L. CgSCD1 is essential for melanin biosynthesis and pathogenicity of Colletotrichum gloeosporioides. Pathogens 2020, 9, 141. [Google Scholar] [CrossRef]
- Langfelder, K.; Streibel, M.; Jahn, B.; Haase, G.; Brakhage, A.A. Biosynthesis of fungal melanins and their importance for human pathogenic fungi. Fungal Genet. Biol. 2003, 38, 143–158. [Google Scholar] [CrossRef]
- Jia, H.; Liu, N.; Zhang, L.; Li, P.; Meng, Y.; Yuan, W.; Li, H.; Tantai, D.; Qu, Q.; Cao, Z.; et al. Fungal melanin in plant pathogens: Complex biosynthesis and multifaceted roles. Plants 2025, 14, 2121. [Google Scholar] [CrossRef]
- Butler, M.J.; Day, A.W. Fungal melanins: A review. Can. J. Microbiol. 1998, 44, 1115–1136. [Google Scholar] [CrossRef]
- Qin, X.; Tian, C.; Meng, F. Comparative transcriptome analysis reveals the effect of the DHN melanin biosynthesis pathway on the appressorium turgor pressure of the poplar anthracnose-causing fungus Colletotrichum gloeosporioides. Int. J. Mol. Sci. 2023, 24, 7411. [Google Scholar] [CrossRef] [PubMed]
- Msimbira, L.A.; Subramanian, S.; Naamala, J.; Antar, M.; Smith, D.L. Secretome Analysis of the Plant Biostimulant Bacteria Strains Bacillus subtilis (EB2004S) and Lactobacillus helveticus (EL2006H) in Response to pH Changes. Int. J. Mol. Sci. 2022, 23, 15144. [Google Scholar] [CrossRef]
- Xu, T.; Zhu, T.; Li, S. β-1,3-1,4-glucanase gene from Bacillus velezensis ZJ20 exerts antifungal effect on plant pathogenic fungi. World J. Microbiol. Biotechnol. 2016, 32, 26. [Google Scholar] [CrossRef] [PubMed]
- Benítez, T.; Rincón, A.M.; Limón, M.C.; Codón, A.C. Biocontrol mechanisms of Trichoderma strains. Int. Microbiol. 2004, 7, 249–260. [Google Scholar]
- Scopes, R.K. Protein Purification: Principles and Practice, 3rd ed.; Springer: New York, NY, USA, 2013. [Google Scholar]
- Schiermeyer, A. Optimizing product quality in molecular farming. Curr. Opin. Biotechnol. 2020, 61, 15–20. [Google Scholar] [CrossRef]
- Sridharan, M.; Battapadi, T.; Balakrishnan, L. Affinity purification of a 6X-His-tagged protein using a fast protein liquid chromatography system. J. Vis. Exp. 2024, 206, e66529. [Google Scholar] [CrossRef]
- Choub, V.; Maung, C.E.H.; Won, S.-J.; Moon, J.-H.; Kim, K.Y.; Han, Y.S.; Cho, J.-Y.; Ahn, Y.S. Antifungal activity of Bacillus velezensis CE 100 against anthracnose disease (Colletotrichum gloeosporioides) and growth promotion of walnut (Juglans regia L.) trees. Int. J. Mol. Sci. 2021, 22, 10438. [Google Scholar] [CrossRef]
- Iorio, E.; Torosantucci, A.; Bromuro, C.; Chiani, P.; Ferretti, A.; Giannini, M.; Cassone, A.; Podo, F. Candida albicans cell wall comprises a branched β-d-(1–6)-glucan with β-d-(1–3)-side chains. Carbohydr. Res. 2008, 343, 1050–1061. [Google Scholar] [CrossRef] [PubMed]
- Mufida, D.R.A.; Putra, I.P.; Nawangsih, A.A.; Krishanti, N.P.R.A.; Wahyudi, A.T. Glucanase Enzyme Activity from Rhizospheric Streptomyces spp. Inhibits Growth and Damages the Cell Wall of Fusarium oxysporum. Rhizosphere 2024, 32, 100991. [Google Scholar] [CrossRef]
- Pitson, S.M.; Seviour, R.J.; McDougall, B.M. Noncellulolytic Fungal β-Glucanases: Their Physiology and Regulation. Enzym. Microb. Technol. 1993, 15, 178–192. [Google Scholar] [CrossRef]
- Ryu, H.; Choi, S.; Cheng, M.; Koo, B.-K.; Kim, E.Y.; Lee, H.-S.; Lee, D.-H. Flagellin Sensing, Signaling, and Immune Responses in Plants. Plant Commun. 2025, 6, 7. [Google Scholar] [CrossRef]
- Gómez-Gómez, L.; Boller, T. FLS2: An LRR receptor-like kinase involved in the perception of the bacterial elicitor flagellin. Mol. Cell 2000, 5, 1003–1011. [Google Scholar] [CrossRef] [PubMed]
- Mani, T.; Joshi, J.B.; Priyadharshini, R.; Mishra, R.; Awasthi, S.; Gupta, P. Flagellin, a plant-defense-activating protein identified from Xanthomonas axonopodis pv. Dieffenbachiae, invokes defense response in tobacco. BMC Microbiol. 2023, 23, 284. [Google Scholar] [CrossRef]
- Li, X.; Huiqiong, L.; Weiguo, Z. Flagellin induces innate immunity in nonhost interactions that is suppressed by Pseudomonas syringae effectors. Proc. Natl. Acad. Sci. USA 2005, 102, 12990–12995. [Google Scholar] [CrossRef] [PubMed]
- Takakura, Y.; Che, F.-S.; Ishida, Y.; Suzuki, T.; Kubo, T.; Nishi, T. Expression of a bacterial flagellin gene triggers plant immune responses and confers disease resistance in transgenic rice plants. Mol. Plant Pathol. 2008, 9, 525–529. [Google Scholar] [CrossRef] [PubMed]
Disclaimer/Publisher’s Note: The statements, opinions and data contained in all publications are solely those of the individual author(s) and contributor(s) and not of MDPI and/or the editor(s). MDPI and/or the editor(s) disclaim responsibility for any injury to people or property resulting from any ideas, methods, instructions or products referred to in the content. |
© 2025 by the authors. Licensee MDPI, Basel, Switzerland. This article is an open access article distributed under the terms and conditions of the Creative Commons Attribution (CC BY) license (https://creativecommons.org/licenses/by/4.0/).