A Sacrificial PLA Block Mediated Route to Injectable and Degradable PNIPAAm-Based Hydrogels
Abstract
1. Introduction
2. Experimental Section
2.1. Materials
2.2. Polymer Synthesis
2.2.1. Synthesis of Polylactide-2-Hydroxyethyl Acrylate (PLA-HEA)
2.2.2. Synthesis of PLA-SG1 Macroinitiator/Alkoxyamine
2.2.3. Synthesis of Poly(Ethylene Glycol Methacrylate) (PEGMA) Macro-Monomer
2.2.4. Synthesis of PLA-b-P(NIPAAm-co-PEGMA) (i.e., PLA-b-PNIPAAm-g-PEG) Copolymer
2.3. Polymer Characterization
2.4. Copolymer Aqueous Solution Properties vs. Temperature
2.4.1. Dynamic Light Scattering (DLS)
2.4.2. UV-visible Measurements with Cyanine 5.5-Carboxyl Probe
2.4.3. Inverted Tube Method
2.5. Degradation Studies
2.6. Cell Culture Protocol
2.7. Cytotoxicity Studies
3. Results and Discussion
3.1. Polymer Synthesis
3.2. Aqueous Solution Properties of the Copolymer
3.3. Hydrogel Degradation Studies
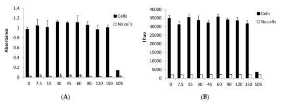
3.4. Cytotoxicity Evaluation
4. Conclusions
Supplementary Materials
Author Contributions
Funding
Acknowledgments
Conflicts of Interest
References
- Guo, B.; Ma, P.X. Synthetic biodegradable functional polymers for tissue engineering: A brief review. Sci. China Chem. 2014, 57, 490–500. [Google Scholar] [CrossRef] [PubMed]
- Sivashanmugam, A.; Arun Kumar, R.; Vishnu Priya, M.; Nair, S.V.; Jayakumar, R. An overview of injectable polymeric hydrogels for tissue engineering. Eur. Polym. J. 2015, 72, 543–565. [Google Scholar] [CrossRef]
- Makvandi, P.; Ali, G.W.; Della Sala, F.; Abdel-Fattah, W.I.; Borzacchiello, A. Hyaluronic acid/corn silk extract based injectable nanocomposite: A biomimetic antibacterial scaffold for bone tissue regeneration. Mater. Sci. Eng. C 2020, 107, 110195. [Google Scholar] [CrossRef] [PubMed]
- Makvandi, P.; Ali, G.W.; Della Sala, F.; Abdel-Fattah, W.I.; Borzacchiello, A. Biosynthesis and characterization of antibacterial thermosensitive hydrogels based on corn silk extract, hyaluronic acid and nanosilver for potential wound healing. Carbohydr. Polym. 2019, 223, 115023. [Google Scholar] [CrossRef]
- Song, H.; Yang, P.; Huang, P.; Zhang, C.; Kong, D.; Wang, W. Injectable polypeptide hydrogel-based co-delivery of vaccine and immune checkpoint inhibitors improves tumor immunotherapy. Theranostics 2019, 9, 2299–2314. [Google Scholar] [CrossRef]
- Lee, A.L.Z.; Yang, C.; Gao, S.; Hedrick, J.L.; Yang, Y.Y. Subcutaneous vaccination using injectable biodegradable hydrogels for long-term immune response. Nanomedicine Nanotechnol. Biol. Med. 2019, 21, 102056. [Google Scholar] [CrossRef]
- Patenaude, M.; Smeets, N.M.B.; Hoare, T. Designing Injectable, Covalently Cross-Linked Hydrogels for Biomedical Applications. Macromol. Rapid Commun. 2014, 35, 598–617. [Google Scholar] [CrossRef]
- Nagahama, K.; Kimura, Y.; Takemoto, A. Living functional hydrogels generated by bioorthogonal cross-linking reactions of azide-modified cells with alkyne-modified polymers. Nat. Commun. 2018, 9, 1–11. [Google Scholar] [CrossRef]
- Fan, Y.; Deng, C.; Cheng, R.; Meng, F.; Zhong, Z. In Situ Forming Hydrogels via Catalyst-Free and Bioorthogonal “Tetrazole–Alkene” Photo-Click Chemistry. Biomacromolecules 2013, 14, 2814–2821. [Google Scholar] [CrossRef]
- Bercea, M.; Biliuta, G.; Avadanei, M.; Baron, R.I.; Butnaru, M.; Coseri, S. Self-healing hydrogels of oxidized pullulan and poly(vinyl alcohol). Carbohydr. Polym. 2019, 206, 210–219. [Google Scholar] [CrossRef]
- Makwana, S.B.; Patel, V.A.; Parmar, S.J. Development and characterization of in-situ gel for ophthalmic formulation containing ciprofloxacin hydrochloride. Results Pharma Sci. 2016, 6, 1–6. [Google Scholar] [CrossRef] [PubMed]
- Wahid, F.; Zhou, Y.-N.; Wang, H.-S.; Wan, T.; Zhong, C.; Chu, L.-Q. Injectable self-healing carboxymethyl chitosan-zinc supramolecular hydrogels and their antibacterial activity. Int. J. Biol. Macromol. 2018, 114, 1233–1239. [Google Scholar] [CrossRef] [PubMed]
- Li, Z.; Guan, J. Thermosensitive hydrogels for drug delivery. Expert Opin. Drug Deliv. 2011, 8, 991–1007. [Google Scholar] [CrossRef] [PubMed]
- Lanzalaco, S.; Armelin, E. Poly(N-isopropylacrylamide) and Copolymers: A Review on Recent Progresses in Biomedical Applications. Gels 2017, 3, 36. [Google Scholar] [CrossRef]
- Alexander, A.; Ajazuddin; Khan, J.; Saraf, S.; Saraf, S. Polyethylene glycol (PEG)–Poly(N-isopropylacrylamide) (PNIPAAm) based thermosensitive injectable hydrogels for biomedical applications. Eur. J. Pharm. Biopharm. 2014, 88, 575–585. [Google Scholar] [CrossRef]
- Pertici, V.; Trimaille, T.; Gigmes, D. Inputs of Macromolecular Engineering in the Design of Injectable Hydrogels Based on Synthetic Thermoresponsive Polymers. Macromolecules 2020, 54, 682–692. [Google Scholar] [CrossRef]
- Ma, Z.; Nelson, D.M.; Hong, Y.; Wagner, W.R. Thermally Responsive Injectable Hydrogel Incorporating Methacrylate-Polylactide for Hydrolytic Lability. Biomacromolecules 2010, 11, 1873–1881. [Google Scholar] [CrossRef]
- Fan, Z.; Fu, M.; Xu, Z.; Zhang, B.; Li, Z.; Li, H.; Zhou, X.; Liu, X.; Duan, Y.; Lin, P.-H.; et al. Sustained Release of a Peptide-Based Matrix Metalloproteinase-2 Inhibitor to Attenuate Adverse Cardiac Remodeling and Improve Cardiac Function Following Myocardial Infarction. Biomacromolecules 2017, 18, 2820–2829. [Google Scholar] [CrossRef]
- Niu, H.; Li, X.; Li, H.; Fan, Z.; Ma, J.; Guan, J. Thermosensitive, fast gelling, photoluminescent, highly flexible, and degradable hydrogels for stem cell delivery. Acta Biomater. 2019, 83, 96–108. [Google Scholar] [CrossRef]
- Niu, H.; Li, C.; Guan, Y.; Dang, Y.; Li, X.; Fan, Z.; Shen, J.; Ma, L.; Guan, J. High oxygen preservation hydrogels to augment cell survival under hypoxic condition. Acta Biomater. 2020, 105, 56–67. [Google Scholar] [CrossRef]
- Liu, M.; Song, X.; Wen, Y.; Zhu, J.-L.; Li, J. Injectable Thermoresponsive Hydrogel Formed by Alginate- g -Poly(N-isopropylacrylamide) That Releases Doxorubicin-Encapsulated Micelles as a Smart Drug Delivery System. ACS Appl. Mater. Interfaces 2017, 9, 35673–35682. [Google Scholar] [CrossRef] [PubMed]
- Tan, H.; Ramirez, C.M.; Miljkovic, N.; Li, H.; Rubin, J.P.; Marra, K.G. Thermosensitive injectable hyaluronic acid hydrogel for adipose tissue engineering. Biomaterials 2009, 30, 6844–6853. [Google Scholar] [CrossRef] [PubMed]
- Abandansari, H.S.; Aghaghafari, E.; Nabid, M.R.; Niknejad, H. Preparation of injectable and thermoresponsive hydrogel based on penta-block copolymer with improved sol stability and mechanical properties. Polymer 2013, 54, 1329–1340. [Google Scholar] [CrossRef]
- Pertici, V.; Pin-Barre, C.; Rivera, C.; Pellegrino, C.; Laurin, J.; Gigmes, D.; Trimaille, T. Degradable and Injectable Hydrogel for Drug Delivery in Soft Tissues. Biomacromolecules 2019, 20, 149–163. [Google Scholar] [CrossRef]
- Kwon, I.K.; Matsuda, T. Photo-iniferter-based thermoresponsive block copolymers composed of poly(ethylene glycol) and poly(N-isopropylacrylamide) and chondrocyte immobilization. Biomaterials 2006, 27, 986–995. [Google Scholar] [CrossRef]
- Kumar, S.; Achazi, K.; Licha, K.; Manchanda, P.; Haag, R.; Sharma, S.K. Chemo-enzymatic synthesis of dendronized polymers for cyanine dye encapsulation. Adv. Polym. Technol. 2017, 37, 1797–1805. [Google Scholar] [CrossRef]
- Neufeld, B.H.; Tapia, J.B.; Lutzke, A.; Reynolds, M.M. Small Molecule Interferences in Resazurin and MTT-Based Metabolic Assays in the Absence of Cells. Anal. Chem. 2018, 90, 6867–6876. [Google Scholar] [CrossRef]
- Prasannan, A.; Tsai, H.-C.; Chen, Y.-S.; Hsiue, G.-H. A thermally triggered in situ hydrogel from poly(acrylic acid-co-N-isopropylacrylamide) for controlled release of anti-glaucoma drugs. J. Mater. Chem. B 2014, 2, 1988. [Google Scholar] [CrossRef]
- Capella, V.; Rivero, R.E.; Liaudat, A.C.; Ibarra, L.E.; Roma, D.A.; Alustiza, F.; Mañas, F.; Barbero, C.A.; Bosch, P.; Rivarola, C.R.; et al. Cytotoxicity and bioadhesive properties of poly-N-isopropylacrylamide hydrogel. Heliyon 2019, 5, e01474. [Google Scholar] [CrossRef]
- Su, F.; Shen, X.; Hu, Y.; Darcos, V.; Li, S. Biocompatibility of thermo-responsive PNIPAAm-PLLA-PNIPAAm triblock copolymer as potential drug carrier: Biocompatibility of PNIPAAm-PLLA-PNIPAAm Triblock Copolymer. Polym. Adv. Technol. 2015, 26, 1567–1574. [Google Scholar] [CrossRef]







© 2020 by the authors. Licensee MDPI, Basel, Switzerland. This article is an open access article distributed under the terms and conditions of the Creative Commons Attribution (CC BY) license (http://creativecommons.org/licenses/by/4.0/).
Share and Cite
Tebong Mbah, V.; Pertici, V.; Lacroix, C.; Verrier, B.; Stipa, P.; Gigmes, D.; Trimaille, T. A Sacrificial PLA Block Mediated Route to Injectable and Degradable PNIPAAm-Based Hydrogels. Polymers 2020, 12, 925. https://doi.org/10.3390/polym12040925
Tebong Mbah V, Pertici V, Lacroix C, Verrier B, Stipa P, Gigmes D, Trimaille T. A Sacrificial PLA Block Mediated Route to Injectable and Degradable PNIPAAm-Based Hydrogels. Polymers. 2020; 12(4):925. https://doi.org/10.3390/polym12040925
Chicago/Turabian StyleTebong Mbah, Vernon, Vincent Pertici, Céline Lacroix, Bernard Verrier, Pierluigi Stipa, Didier Gigmes, and Thomas Trimaille. 2020. "A Sacrificial PLA Block Mediated Route to Injectable and Degradable PNIPAAm-Based Hydrogels" Polymers 12, no. 4: 925. https://doi.org/10.3390/polym12040925
APA StyleTebong Mbah, V., Pertici, V., Lacroix, C., Verrier, B., Stipa, P., Gigmes, D., & Trimaille, T. (2020). A Sacrificial PLA Block Mediated Route to Injectable and Degradable PNIPAAm-Based Hydrogels. Polymers, 12(4), 925. https://doi.org/10.3390/polym12040925

