Burkitt Lymphoma—A Guide to Biological Features, Diagnosis and Differential Diagnosis
Simple Summary
Abstract
1. History of Burkitt Lymphoma
2. Epidemiology
2.1. Geographical Patterns of Incidence
2.2. Sex and Age Patterns
2.3. Variants
2.4. Risk Factors
3. Pathogenesis
3.1. MYC Rearrangement
3.2. Genomic and Molecular Alterations
3.3. The Role of EBV
3.4. Activation-Induced Cytidine Deaminase (AID) and BL
3.5. Epstein-Barr Virus Presence or Absence as a Defining Feature
3.6. Immunogenetic Features of BL
4. Diagnostic Features
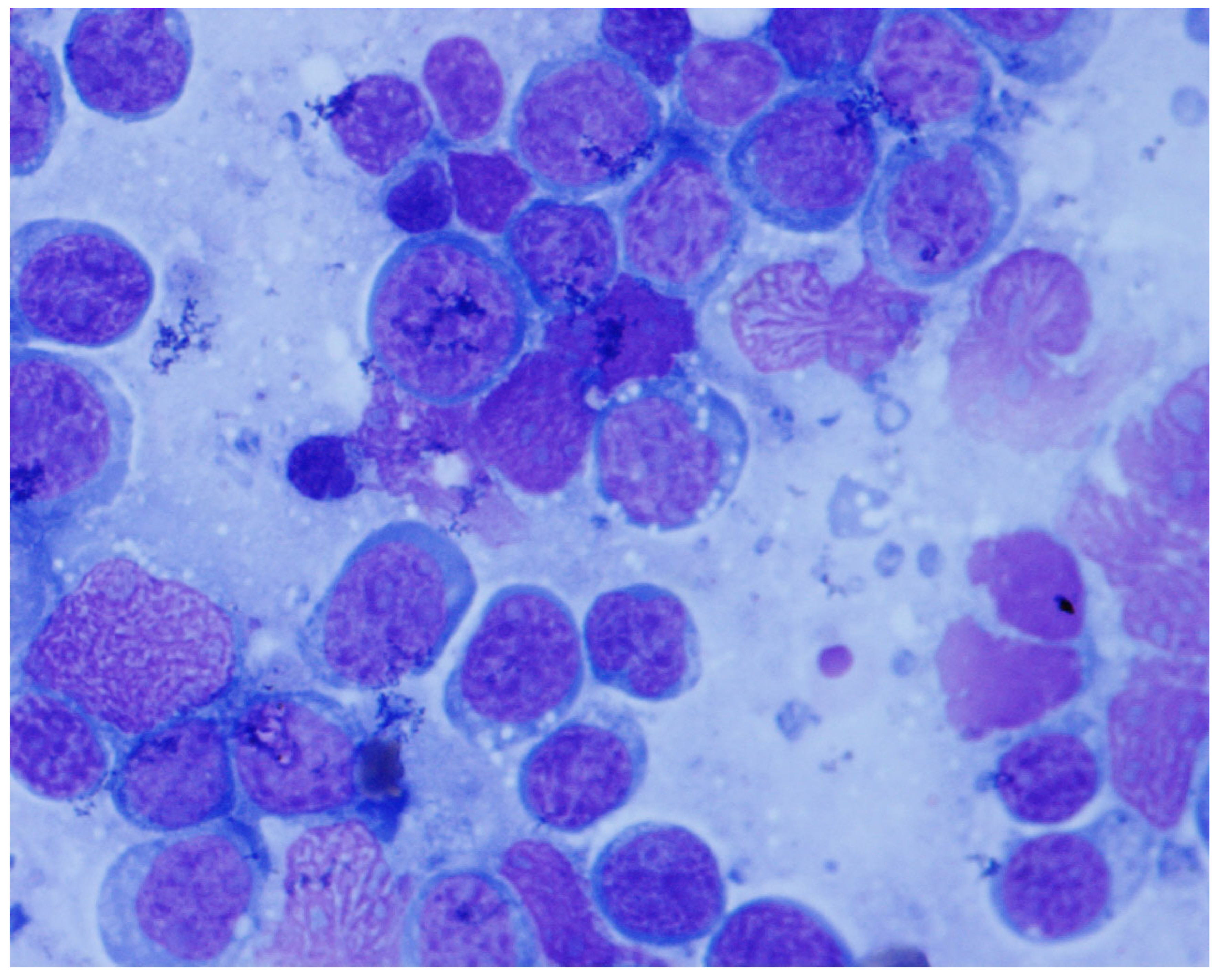
4.1. Morphology
4.2. Immunophenotype
4.3. Cytogenetic and Molecular Findings
4.4. Diagnosis in Resource-Limited Parts of the World
- •
- Medium-sized, monomorphic lymphoma cells with basophilic cytoplasm and multiple small nucleoli
- •
- Expression of CD20 and CD10; absence or weak expression of BCL2; Ki67 index > 95%
- •
- Usually strong expression of MYC (in >80% of cells) and/or demonstration of MYC breakage or IG::MYC translocation
- •
- Starry sky pattern, cohesive growth pattern
- •
- Expression of BCL6 and of CD38, absent expression of terminal deoxynucleotidyl transferase (TdT)
- •
- Absence of BCL2 and BCL6 translocations (mainly required in adult patients)
5. Differential Diagnosis (Key Points Summarized on Table 1)
5.1. High-Grade B-Cell Lymphoma with 11q Aberration
5.2. High-Grade B-Cell Lymphoma with MYC and BCL2 or MYC and BCL6 Rearrangements (HGBCL-MYC/BCL2 and HGBCL-MYC/BCL6)
5.3. High-Grade B-Cell-Lymphoma (HGBCL) NOS
5.4. Diffuse Large B-Cell Lymphoma
5.5. B-Lymphoblastic Leukemia/Lymphoma
| Entity | Morphology | Immunophenotype | Cytogenetic Findings |
|---|---|---|---|
| Burkitt lymphoma (BL) | Cohesive monomorphic, medium-sized cells with multiple small nucleoli and basophilic cytoplasm | B cells positive for CD20, CD10 and MYC protein, Ki67 > 95%, absent or weak expression of BCL2, negative for TdT and LMO2 | MYC translocation, most often IGH::MYC, absence of BCL2 or BCL6 translocations |
| High-grade B-cell lymphoma with 11q aberration | Morphology resembling BL but more pleomorphism with some variation in nuclear shape/size and presence of larger nucleoli and coarse debris in starry sky macrophages in some cases | Identical immunophenotype to BL, variable MYC expression | Minimal gain in 11q23.3 and a minimal region of loss in 11q24.1-qter, lack of MYC translocation |
| High-grade B-cell lymphoma with MYC and BCL2 or MYC and BCL6 rearrangements | Variable morphology large-cell or blastoid/high-grade morphology | Germinal center B-cell-like positive for CD10 and BCL6 and varying reactivity for IRF4/MUM1, Ki67 more variable than BL, most (with MYC and BCL2 translocation) strongly express BCL2, in occasional cases subset of cells expressing TdT | BCL2 translocation in addition to MYC translocation/ BCL6 translocation in addition to MYC translocation |
| High-grade B-cell lymphoma, NOS | Medium-sized or blastoid cells, variation in nuclear size and nucleolar content; cohesive growth usually absent | Germinal center B-cell-like in the majority of the cases, most express strongly BCL2 | Single MYC rearrangements in a proportion of cases (without accompanying BCL2 and BCL6 breaks) |
| Diffuse large B-cell lymphoma (DLBCL) | Broad spectrum of architectural features including cohesive growth and variable cell size | Can be CD10-positive and BCL2-negative and may have a high proliferation index | MYC translocation is found in 6–10% of the cases and in 1/3 of these MYC rearrangement occurs as single translocation |
| B-lymphoblastic leukemia/lymphoma | Medium-sized blasts with uniform appearance. Fine nuclear chromatin; nucleoli often less conspicuous | Uniform expression of TdT in most cases; CD34 expression in a subset of cases. Frequently reduced expression of CD20 and weakly positive for BCL2. CD10 positive in a subset | Rarely MYC single translocations or MYC and BCL2 dual translocations presence of other key defining rearrangements/translocations |
6. Outlook/Conclusions
Funding
Conflicts of Interest
References
- Burkitt, D. A sarcoma involving the jaws in African children. Br. J. Surg. 1958, 46, 218–223. [Google Scholar] [CrossRef]
- O’Conor, G.T.; Davies, J.N. Malignant tumors in African children. With special reference to malignant lymphoma. J. Pediatr. 1960, 56, 526–535. [Google Scholar] [CrossRef]
- Magrath, I. Denis Burkitt and the African lymphoma. Ecancermedicalscience 2009, 3, 159. [Google Scholar] [CrossRef][Green Version]
- Burkitt, D.P. The discovery of Burkitt’s lymphoma. Cancer 1983, 51, 1777–1786. [Google Scholar] [CrossRef]
- Fraser, J.; Reubi, D.; Cochrane, T. The model multiple: Representing cancer in sub-Saharan Africa. Hist. Human. Sci. 2024. Onlinefirst. [Google Scholar] [CrossRef]
- Epstein, M.A.; Barr, Y.M. Cultivation in Vitro of Human Lymphoblasts from Burkitt’s Malignant Lymphoma. Lancet 1964, 1, 252–253. [Google Scholar] [CrossRef]
- Epstein, M.A.; Achong, B.G.; Barr, Y.M. Virus Particles in Cultured Lymphoblasts from Burkitt’s Lymphoma. Lancet 1964, 1, 702–703. [Google Scholar] [CrossRef]
- Henle, W.; Diehl, V.; Kohn, G.; Zur Hausen, H.; Henle, G. Herpes-type virus and chromosome marker in normal leukocytes after growth with irradiated Burkitt cells. Science 1967, 157, 1064–1065. [Google Scholar] [CrossRef] [PubMed]
- Wright, D.H. Burkitt’s tumour in England. A comparison with childhood lymphosarcoma. Int. J. Cancer 1966, 1, 503–514. [Google Scholar] [CrossRef] [PubMed]
- O’Conor, G.T.; Rappaport, H.; Smith, E.B. Childhood Lymphoma Resembling “Burkitt Tumor” in the United States. Cancer 1965, 18, 411–417. [Google Scholar] [CrossRef]
- Manolov, G.; Manolova, Y. Marker band in one chromosome 14 from Burkitt lymphomas. Nature 1972, 237, 33–34. [Google Scholar] [CrossRef] [PubMed]
- Dalla-Favera, R.; Bregni, M.; Erikson, J.; Patterson, D.; Gallo, R.C.; Croce, C.M. Human c-myc onc gene is located on the region of chromosome 8 that is translocated in Burkitt lymphoma cells. Proc. Natl. Acad. Sci. USA 1982, 79, 7824–7827. [Google Scholar] [CrossRef] [PubMed]
- Kafuko, G.W.; Burkitt, D.P. Burkitt’s lymphoma and malaria. Int. J. Cancer 1970, 6, 1–9. [Google Scholar] [CrossRef]
- Liao, H.M.; Liu, H.; Chin, P.J.; Li, B.; Hung, G.C.; Tsai, S.; Otim, I.; Legason, I.D.; Ogwang, M.D.; Reynolds, S.J.; et al. Epstein-Barr Virus in Burkitt Lymphoma in Africa Reveals a Limited Set of Whole Genome and LMP-1 Sequence Patterns: Analysis of Archival Datasets and Field Samples From Uganda, Tanzania, and Kenya. Front. Oncol. 2022, 12, 812224. [Google Scholar] [CrossRef]
- Geser, A.; Lenoir, G.M.; Anvret, M.; Bornkamm, G.; Klein, G.; Williams, E.H.; Wright, D.H.; De-The, G. Epstein-Barr virus markers in a series of Burkitt’s lymphomas from the West Nile District, Uganda. Eur. J. Cancer Clin. Oncol. 1983, 19, 1393–1404. [Google Scholar] [CrossRef]
- Hassan, R.; Klumb, C.E.; Felisbino, F.E.; Guiretti, D.M.; White, L.R.; Stefanoff, C.G.; Barros, M.H.; Seuanez, H.N.; Zalcberg, I.R. Clinical and demographic characteristics of Epstein-Barr virus-associated childhood Burkitt’s lymphoma in Southeastern Brazil: Epidemiological insights from an intermediate risk region. Haematologica 2008, 93, 780–783. [Google Scholar] [CrossRef]
- Mbulaiteye, S.M.; Pullarkat, S.T.; Nathwani, B.N.; Weiss, L.M.; Rao, N.; Emmanuel, B.; Lynch, C.F.; Hernandez, B.; Neppalli, V.; Hawes, D.; et al. Epstein-Barr virus patterns in US Burkitt lymphoma tumors from the SEER residual tissue repository during 1979–2009. APMIS 2014, 122, 5–15. [Google Scholar] [CrossRef]
- Dunford, A.; Weinstock, D.M.; Savova, V.; Schumacher, S.E.; Cleary, J.P.; Yoda, A.; Sullivan, T.J.; Hess, J.M.; Gimelbrant, A.A.; Beroukhim, R.; et al. Tumor-suppressor genes that escape from X-inactivation contribute to cancer sex bias. Nat. Genet. 2017, 49, 10–16. [Google Scholar] [CrossRef] [PubMed]
- Richter, J.; John, K.; Staiger, A.M.; Rosenwald, A.; Kurz, K.; Michgehl, U.; Ott, G.; Franzenburg, S.; Kohler, C.; Finger, J.; et al. Epstein-Barr virus status of sporadic Burkitt lymphoma is associated with patient age and mutational features. Br. J. Haematol. 2022, 196, 681–689. [Google Scholar] [CrossRef] [PubMed]
- Zhang, X.; Zhong, H.; Li, Y.; Shi, Z.; Ren, H.; Zhang, Z.; Zhou, X.; Tang, S.; Han, X.; Lin, Y.; et al. Sex- and age-related trajectories of the adult human gut microbiota shared across populations of different ethnicities. Nat. Aging 2021, 1, 87–100. [Google Scholar] [CrossRef]
- Mbulaiteye, S.M.; Anderson, W.F.; Bhatia, K.; Rosenberg, P.S.; Linet, M.S.; Devesa, S.S. Trimodal age-specific incidence patterns for Burkitt lymphoma in the United States, 1973-2005. Int. J. Cancer 2010, 126, 1732–1739. [Google Scholar] [CrossRef]
- de-The, G.; Day, N.E.; Geser, A.; Lavoue, M.F.; Ho, J.H.; Simons, M.J.; Sohier, R.; Tukei, P.; Vonka, V.; Zavadova, H. Sero-epidemiology of the Epstein-Barr virus: Preliminary analysis of an international study—A review. IARC Sci. Publ. 1975, 11, 3–16. [Google Scholar]
- Balfour, H.H., Jr.; Sifakis, F.; Sliman, J.A.; Knight, J.A.; Schmeling, D.O.; Thomas, W. Age-specific prevalence of Epstein-Barr virus infection among individuals aged 6-19 years in the United States and factors affecting its acquisition. J. Infect. Dis. 2013, 208, 1286–1293. [Google Scholar] [CrossRef]
- Venkitaraman, A.R.; Lenoir, G.M.; John, T.J. The seroepidemiology of infection due to Epstein-Barr virus in southern India. J. Med. Virol. 1985, 15, 11–16. [Google Scholar] [CrossRef]
- Condon, L.M.; Cederberg, L.E.; Rabinovitch, M.D.; Liebo, R.V.; Go, J.C.; Delaney, A.S.; Schmeling, D.O.; Thomas, W.; Balfour, H.H., Jr. Age-specific prevalence of Epstein-Barr virus infection among Minnesota children: Effects of race/ethnicity and family environment. Clin. Infect. Dis. 2014, 59, 501–508. [Google Scholar] [CrossRef]
- Balfour, H.H., Jr.; Odumade, O.A.; Schmeling, D.O.; Mullan, B.D.; Ed, J.A.; Knight, J.A.; Vezina, H.E.; Thomas, W.; Hogquist, K.A. Behavioral, virologic, and immunologic factors associated with acquisition and severity of primary Epstein-Barr virus infection in university students. J. Infect. Dis. 2013, 207, 80–88. [Google Scholar] [CrossRef]
- Morris, M.C.; Edmunds, W.J. The changing epidemiology of infectious mononucleosis? J. Infect. 2002, 45, 107–109. [Google Scholar] [CrossRef] [PubMed]
- Takeuchi, K.; Tanaka-Taya, K.; Kazuyama, Y.; Ito, Y.M.; Hashimoto, S.; Fukayama, M.; Mori, S. Prevalence of Epstein-Barr virus in Japan: Trends and future prediction. Pathol. Int. 2006, 56, 112–116. [Google Scholar] [CrossRef] [PubMed]
- Ding, B.; Zhang, Y.; Wu, Y.; Li, Y. Analysis of the epidemiology and clinical characteristics of Epstein-Barr virus infection. J. Med. Virol. 2024, 96, e29960. [Google Scholar] [CrossRef] [PubMed]
- Hammerl, L.; Colombet, M.; Rochford, R.; Ogwang, D.M.; Parkin, D.M. The burden of Burkitt lymphoma in Africa. Infect. Agent. Cancer 2019, 14, 17. [Google Scholar] [CrossRef]
- Moss, D. Epstein-Barr virus and malaria in relation to Burkitt’s lymphoma in Papua New Guinea. Papua N. Guin. Med. J. 1986, 29, 41–43. [Google Scholar]
- Offor, U.T.; Akyea, R.K.; Neequaye, J.E.; Renner, L.A.; Segbefia, C.I. The changing clinical pattern of endemic Burkitt lymphoma in Western Africa: Experience from a tertiary center in Ghana. Pediatr. Blood Cancer 2018, 65, e27275. [Google Scholar] [CrossRef]
- Mutalima, N.; Molyneux, E.; Jaffe, H.; Kamiza, S.; Borgstein, E.; Mkandawire, N.; Liomba, G.; Batumba, M.; Lagos, D.; Gratrix, F.; et al. Associations between Burkitt lymphoma among children in Malawi and infection with HIV, EBV and malaria: Results from a case-control study. PLoS ONE 2008, 3, e2505. [Google Scholar] [CrossRef]
- Roschewski, M.; Staudt, L.M.; Wilson, W.H. Burkitt’s Lymphoma. N. Engl. J. Med. 2022, 387, 1111–1122. [Google Scholar] [CrossRef] [PubMed]
- Ziegler, J.L.; Drew, W.L.; Miner, R.C.; Mintz, L.; Rosenbaum, E.; Gershow, J.; Lennette, E.T.; Greenspan, J.; Shillitoe, E.; Beckstead, J.; et al. Outbreak of Burkitt’s-like lymphoma in homosexual men. Lancet 1982, 2, 631–633. [Google Scholar] [CrossRef] [PubMed]
- Zimmermann, H.; Reinke, P.; Neuhaus, R.; Lehmkuhl, H.; Oertel, S.; Atta, J.; Planker, M.; Gartner, B.; Lenze, D.; Anagnostopoulos, I.; et al. Burkitt post-transplantation lymphoma in adult solid organ transplant recipients: Sequential immunochemotherapy with rituximab (R) followed by cyclophosphamide, doxorubicin, vincristine, and prednisone (CHOP) or R-CHOP is safe and effective in an analysis of 8 patients. Cancer 2012, 118, 4715–4724. [Google Scholar] [CrossRef] [PubMed]
- Lim, S.T.; Karim, R.; Nathwani, B.N.; Tulpule, A.; Espina, B.; Levine, A.M. AIDS-related Burkitt’s lymphoma versus diffuse large-cell lymphoma in the pre-highly active antiretroviral therapy (HAART) and HAART eras: Significant differences in survival with standard chemotherapy. J. Clin. Oncol. 2005, 23, 4430–4438. [Google Scholar] [CrossRef]
- Queiroga, E.M.; Gualco, G.; Weiss, L.M.; Dittmer, D.P.; Araujo, I.; Klumb, C.E.; Harrington, W.J., Jr.; Bacchi, C.E. Burkitt lymphoma in Brazil is characterized by geographically distinct clinicopathologic features. Am. J. Clin. Pathol. 2008, 130, 946–956. [Google Scholar] [CrossRef]
- Wright, D.H. What is Burkitt’s lymphoma and when is it endemic? Blood 1999, 93, 758. [Google Scholar] [CrossRef]
- Alaggio, R.; Amador, C.; Anagnostopoulos, I.; Attygalle, A.D.; Araujo, I.B.O.; Berti, E.; Bhagat, G.; Borges, A.M.; Boyer, D.; Calaminici, M.; et al. The 5th edition of the World Health Organization Classification of Haematolymphoid Tumours: Lymphoid Neoplasms. Leukemia 2022, 36, 1720–1748. [Google Scholar] [CrossRef]
- Rochford, R.; Cannon, M.J.; Moormann, A.M. Endemic Burkitt’s lymphoma: A polymicrobial disease? Nat. Rev. Microbiol. 2005, 3, 182–187. [Google Scholar] [CrossRef]
- Arisue, N.; Chagaluka, G.; Palacpac, N.M.Q.; Johnston, W.T.; Mutalima, N.; Peprah, S.; Bhatia, K.; Borgstein, E.; Liomba, G.N.; Kamiza, S.; et al. Assessment of Mixed Plasmodium falciparum sera5 Infection in Endemic Burkitt Lymphoma: A Case-Control Study in Malawi. Cancers 2021, 13, 1692. [Google Scholar] [CrossRef]
- Legason, I.D.; Pfeiffer, R.M.; Udquim, K.I.; Bergen, A.W.; Gouveia, M.H.; Kirimunda, S.; Otim, I.; Karlins, E.; Kerchan, P.; Nabalende, H.; et al. Evaluating the Causal Link Between Malaria Infection and Endemic Burkitt Lymphoma in Northern Uganda: A Mendelian Randomization Study. EBioMedicine 2017, 25, 58–65. [Google Scholar] [CrossRef]
- Dutta, D.; Gouveia, M.H.; Gorman, B.R.; Adu-Gyamfi, A.; Lee, C.H.; Ogwang, M.D.; Kerchan, P.; Reynolds, S.J.; Tenge, C.N.; Were, P.A.; et al. A genome-wide association study identifies an African-specific locus on chromosome 21q22.12 associated with Burkitt lymphoma risk and survival. Leukemia 2025, 39, 2196–2206. [Google Scholar] [CrossRef]
- Gouveia, M.H.; Otim, I.; Ogwang, M.D.; Wang, M.; Zhu, B.; Cole, N.; Luo, W.; Hicks, B.; Jones, K.; Oehl-Huber, K.; et al. Endemic Burkitt Lymphoma in second-degree relatives in Northern Uganda: In-depth genome-wide analysis suggests clues about genetic susceptibility. Leukemia 2021, 35, 1209–1213. [Google Scholar] [CrossRef]
- Sumba, P.O.; Kabiru, E.W.; Namuyenga, E.; Fiore, N.; Otieno, R.O.; Moormann, A.M.; Orago, A.S.; Rosenbaum, P.F.; Rochford, R. Microgeographic variations in Burkitt’s lymphoma incidence correlate with differences in malnutrition, malaria and Epstein-Barr virus. Br. J. Cancer 2010, 103, 1736–1741. [Google Scholar] [CrossRef]
- Ravell, J.; Otim, I.; Nabalende, H.; Legason, I.D.; Reynolds, S.J.; Ogwang, M.D.; Ndugwa, C.M.; Marshall, V.; Whitby, D.; Goedert, J.J.; et al. Plasma magnesium is inversely associated with Epstein-Barr virus load in peripheral blood and Burkitt lymphoma in Uganda. Cancer Epidemiol. 2018, 52, 70–74. [Google Scholar] [CrossRef] [PubMed]
- Mahale, P.; Ugoji, C.; Engels, E.A.; Shiels, M.S.; Peprah, S.; Morton, L.M. Cancer risk following lymphoid malignancies among HIV-infected people. AIDS 2020, 34, 1237–1245. [Google Scholar] [CrossRef]
- Newton, R.; Ziegler, J.; Beral, V.; Mbidde, E.; Carpenter, L.; Wabinga, H.; Mbulaiteye, S.; Appleby, P.; Reeves, G.; Jaffe, H.; et al. A case-control study of human immunodeficiency virus infection and cancer in adults and children residing in Kampala, Uganda. Int. J. Cancer 2001, 92, 622–627. [Google Scholar] [CrossRef]
- Jiamsakul, A.; Polizzotto, M.; Wen-Wei Ku, S.; Tanuma, J.; Hui, E.; Chaiwarith, R.; Kiertiburanakul, S.; Avihingasanon, A.; Yunihastuti, E.; Kumarasamy, N.; et al. Brief Report: Malignancies in Adults Living With HIV in Asia. J. Acquir. Immune Defic. Syndr. 2019, 80, 301–307. [Google Scholar] [CrossRef] [PubMed]
- Dang, C.V. MYC on the path to cancer. Cell 2012, 149, 22–35. [Google Scholar] [CrossRef] [PubMed]
- Lopez, C.; Burkhardt, B.; Chan, J.K.C.; Leoncini, L.; Mbulaiteye, S.M.; Ogwang, M.D.; Orem, J.; Rochford, R.; Roschewski, M.; Siebert, R. Burkitt lymphoma. Nat. Rev. Dis. Primers 2022, 8, 78. [Google Scholar] [CrossRef]
- Muramatsu, M.; Kinoshita, K.; Fagarasan, S.; Yamada, S.; Shinkai, Y.; Honjo, T. Class switch recombination and hypermutation require activation-induced cytidine deaminase (AID), a potential RNA editing enzyme. Cell 2000, 102, 553–563. [Google Scholar] [CrossRef]
- Wagener, R.; Lopez, C.; Kleinheinz, K.; Bausinger, J.; Aukema, S.M.; Nagel, I.; Toprak, U.H.; Seufert, J.; Altmuller, J.; Thiele, H.; et al. IG-MYC (+) neoplasms with precursor B-cell phenotype are molecularly distinct from Burkitt lymphomas. Blood 2018, 132, 2280–2285. [Google Scholar] [CrossRef]
- Lopez, C.; Kleinheinz, K.; Aukema, S.M.; Rohde, M.; Bernhart, S.H.; Hubschmann, D.; Wagener, R.; Toprak, U.H.; Raimondi, F.; Kreuz, M.; et al. Genomic and transcriptomic changes complement each other in the pathogenesis of sporadic Burkitt lymphoma. Nat. Commun. 2019, 10, 1459. [Google Scholar] [CrossRef] [PubMed]
- Hummel, M.; Bentink, S.; Berger, H.; Klapper, W.; Wessendorf, S.; Barth, T.F.; Bernd, H.W.; Cogliatti, S.B.; Dierlamm, J.; Feller, A.C.; et al. A biologic definition of Burkitt’s lymphoma from transcriptional and genomic profiling. N. Engl. J. Med. 2006, 354, 2419–2430. [Google Scholar] [CrossRef] [PubMed]
- Leucci, E.; Cocco, M.; Onnis, A.; De Falco, G.; van Cleef, P.; Bellan, C.; van Rijk, A.; Nyagol, J.; Byakika, B.; Lazzi, S.; et al. MYC translocation-negative classical Burkitt lymphoma cases: An alternative pathogenetic mechanism involving miRNA deregulation. J. Pathol. 2008, 216, 440–450. [Google Scholar] [CrossRef]
- Egle, A.; Harris, A.W.; Bouillet, P.; Cory, S. Bim is a suppressor of Myc-induced mouse B cell leukemia. Proc. Natl. Acad. Sci. USA 2004, 101, 6164–6169. [Google Scholar] [CrossRef]
- Frenzel, A.; Labi, V.; Chmelewskij, W.; Ploner, C.; Geley, S.; Fiegl, H.; Tzankov, A.; Villunger, A. Suppression of B-cell lymphomagenesis by the BH3-only proteins Bmf and Bad. Blood 2010, 115, 995–1005. [Google Scholar] [CrossRef] [PubMed]
- Michalak, E.M.; Jansen, E.S.; Happo, L.; Cragg, M.S.; Tai, L.; Smyth, G.K.; Strasser, A.; Adams, J.M.; Scott, C.L. Puma and to a lesser extent Noxa are suppressors of Myc-induced lymphomagenesis. Cell Death Differ. 2009, 16, 684–696. [Google Scholar] [CrossRef]
- Hoffman, B.; Liebermann, D.A. Apoptotic signaling by c-MYC. Oncogene 2008, 27, 6462–6472. [Google Scholar] [CrossRef]
- Schmitz, R.; Young, R.M.; Ceribelli, M.; Jhavar, S.; Xiao, W.; Zhang, M.; Wright, G.; Shaffer, A.L.; Hodson, D.J.; Buras, E.; et al. Burkitt lymphoma pathogenesis and therapeutic targets from structural and functional genomics. Nature 2012, 490, 116–120. [Google Scholar] [CrossRef]
- Richter, J.; Schlesner, M.; Hoffmann, S.; Kreuz, M.; Leich, E.; Burkhardt, B.; Rosolowski, M.; Ammerpohl, O.; Wagener, R.; Bernhart, S.H.; et al. Recurrent mutation of the ID3 gene in Burkitt lymphoma identified by integrated genome, exome and transcriptome sequencing. Nat. Genet. 2012, 44, 1316–1320. [Google Scholar] [CrossRef] [PubMed]
- Sander, S.; Calado, D.P.; Srinivasan, L.; Kochert, K.; Zhang, B.; Rosolowski, M.; Rodig, S.J.; Holzmann, K.; Stilgenbauer, S.; Siebert, R.; et al. Synergy between PI3K signaling and MYC in Burkitt lymphomagenesis. Cancer Cell 2012, 22, 167–179. [Google Scholar] [CrossRef]
- Grande, B.M.; Gerhard, D.S.; Jiang, A.; Griner, N.B.; Abramson, J.S.; Alexander, T.B.; Allen, H.; Ayers, L.W.; Bethony, J.M.; Bhatia, K.; et al. Genome-wide discovery of somatic coding and noncoding mutations in pediatric endemic and sporadic Burkitt lymphoma. Blood 2019, 133, 1313–1324. [Google Scholar] [CrossRef]
- Schmitz, R.; Ceribelli, M.; Pittaluga, S.; Wright, G.; Staudt, L.M. Oncogenic mechanisms in Burkitt lymphoma. Cold Spring Harb. Perspect. Med. 2014, 4, a014282. [Google Scholar] [CrossRef]
- Zhang, Y.; Xiong, Y.; Yarbrough, W.G. ARF promotes MDM2 degradation and stabilizes p53: ARF-INK4a locus deletion impairs both the Rb and p53 tumor suppression pathways. Cell 1998, 92, 725–734. [Google Scholar] [CrossRef]
- Gong, C.; Krupka, J.A.; Gao, J.; Grigoropoulos, N.F.; Giotopoulos, G.; Asby, R.; Screen, M.; Usheva, Z.; Cucco, F.; Barrans, S.; et al. Sequential inverse dysregulation of the RNA helicases DDX3X and DDX3Y facilitates MYC-driven lymphomagenesis. Mol. Cell 2021, 81, 4059–4075 e4011. [Google Scholar] [CrossRef]
- Nascimento, E.M.; Cox, C.L.; MacArthur, S.; Hussain, S.; Trotter, M.; Blanco, S.; Suraj, M.; Nichols, J.; Kubler, B.; Benitah, S.A.; et al. The opposing transcriptional functions of Sin3a and c-Myc are required to maintain tissue homeostasis. Nat. Cell Biol. 2011, 13, 1395–1405. [Google Scholar] [CrossRef] [PubMed]
- Muppidi, J.R.; Schmitz, R.; Green, J.A.; Xiao, W.; Larsen, A.B.; Braun, S.E.; An, J.; Xu, Y.; Rosenwald, A.; Ott, G.; et al. Loss of signalling via Galpha13 in germinal centre B-cell-derived lymphoma. Nature 2014, 516, 254–258. [Google Scholar] [CrossRef]
- Geser, A.; de The, G.; Lenoir, G.; Day, N.E.; Williams, E.H. Final case reporting from the Ugandan prospective study of the relationship between EBV and Burkitt’s lymphoma. Int. J. Cancer 1982, 29, 397–400. [Google Scholar] [CrossRef] [PubMed]
- Asito, A.S.; Piriou, E.; Odada, P.S.; Fiore, N.; Middeldorp, J.M.; Long, C.; Dutta, S.; Lanar, D.E.; Jura, W.G.; Ouma, C.; et al. Elevated anti-Zta IgG levels and EBV viral load are associated with site of tumor presentation in endemic Burkitt’s lymphoma patients: A case control study. Infect. Agent. Cancer 2010, 5, 13. [Google Scholar] [CrossRef]
- Neri, A.; Barriga, F.; Inghirami, G.; Knowles, D.M.; Neequaye, J.; Magrath, I.T.; Dalla-Favera, R. Epstein-Barr virus infection precedes clonal expansion in Burkitt’s and acquired immunodeficiency syndrome-associated lymphoma. Blood 1991, 77, 1092–1095. [Google Scholar] [PubMed]
- Shimizu, N.; Tanabe-Tochikura, A.; Kuroiwa, Y.; Takada, K. Isolation of Epstein-Barr virus (EBV)-negative cell clones from the EBV-positive Burkitt’s lymphoma (BL) line Akata: Malignant phenotypes of BL cells are dependent on EBV. J. Virol. 1994, 68, 6069–6073. [Google Scholar] [CrossRef]
- Rowe, M.; Rowe, D.T.; Gregory, C.D.; Young, L.S.; Farrell, P.J.; Rupani, H.; Rickinson, A.B. Differences in B cell growth phenotype reflect novel patterns of Epstein-Barr virus latent gene expression in Burkitt’s lymphoma cells. EMBO J. 1987, 6, 2743–2751. [Google Scholar] [CrossRef] [PubMed]
- Kennedy, G.; Komano, J.; Sugden, B. Epstein-Barr virus provides a survival factor to Burkitt’s lymphomas. Proc. Natl. Acad. Sci. USA 2003, 100, 14269–14274. [Google Scholar] [CrossRef]
- Holowaty, M.N.; Frappier, L. HAUSP/USP7 as an Epstein-Barr virus target. Biochem. Soc. Trans. 2004, 32, 731–732. [Google Scholar] [CrossRef]
- Komano, J.; Maruo, S.; Kurozumi, K.; Oda, T.; Takada, K. Oncogenic role of Epstein-Barr virus-encoded RNAs in Burkitt’s lymphoma cell line Akata. J. Virol. 1999, 73, 9827–9831. [Google Scholar] [CrossRef] [PubMed]
- Bristol, J.A.; Djavadian, R.; Albright, E.R.; Coleman, C.B.; Ohashi, M.; Hayes, M.; Romero-Masters, J.C.; Barlow, E.A.; Farrell, P.J.; Rochford, R.; et al. A cancer-associated Epstein-Barr virus BZLF1 promoter variant enhances lytic infection. PLoS Pathog. 2018, 14, e1007179. [Google Scholar] [CrossRef]
- Sall, F.B.; Shmakova, A.; Karpukhina, A.; Tsfasman, T.; Lomov, N.; Canoy, R.J.; Boutboul, D.; Oksenhendler, E.; Toure, A.O.; Lipinski, M.; et al. Epstein-Barr virus reactivation induces MYC-IGH spatial proximity and t(8;14) in B cells. J. Med. Virol. 2023, 95, e28633. [Google Scholar] [CrossRef]
- Navari, M.; Etebari, M.; De Falco, G.; Ambrosio, M.R.; Gibellini, D.; Leoncini, L.; Piccaluga, P.P. The presence of Epstein-Barr virus significantly impacts the transcriptional profile in immunodeficiency-associated Burkitt lymphoma. Front. Microbiol. 2015, 6, 556. [Google Scholar] [CrossRef]
- Vereide, D.T.; Seto, E.; Chiu, Y.F.; Hayes, M.; Tagawa, T.; Grundhoff, A.; Hammerschmidt, W.; Sugden, B. Epstein-Barr virus maintains lymphomas via its miRNAs. Oncogene 2014, 33, 1258–1264. [Google Scholar] [CrossRef]
- Mundo, L.; Ambrosio, M.R.; Picciolini, M.; Lo Bello, G.; Gazaneo, S.; Del Porro, L.; Lazzi, S.; Navari, M.; Onyango, N.; Granai, M.; et al. Unveiling Another Missing Piece in EBV-Driven Lymphomagenesis: EBV-Encoded MicroRNAs Expression in EBER-Negative Burkitt Lymphoma Cases. Front. Microbiol. 2017, 8, 229. [Google Scholar] [CrossRef]
- Allday, M.J. How does Epstein-Barr virus (EBV) complement the activation of Myc in the pathogenesis of Burkitt’s lymphoma? Semin. Cancer Biol. 2009, 19, 366–376. [Google Scholar] [CrossRef]
- Sample, J.; Young, L.; Martin, B.; Chatman, T.; Kieff, E.; Rickinson, A.; Kieff, E. Epstein-Barr virus types 1 and 2 differ in their EBNA-3A, EBNA-3B, and EBNA-3C genes. J. Virol. 1990, 64, 4084–4092. [Google Scholar] [CrossRef]
- Kaymaz, Y.; Oduor, C.I.; Aydemir, O.; Luftig, M.A.; Otieno, J.A.; Ong’echa, J.M.; Bailey, J.A.; Moormann, A.M. Epstein-Barr Virus Genomes Reveal Population Structure and Type 1 Association with Endemic Burkitt Lymphoma. J. Virol. 2020, 94, e02007-19. [Google Scholar] [CrossRef]
- Kaymaz, Y.; Oduor, C.I.; Yu, H.; Otieno, J.A.; Ong’echa, J.M.; Moormann, A.M.; Bailey, J.A. Comprehensive Transcriptome and Mutational Profiling of Endemic Burkitt Lymphoma Reveals EBV Type-Specific Differences. Mol. Cancer Res. 2017, 15, 563–576. [Google Scholar] [CrossRef]
- Hutcheson, R.L.; Chakravorty, A.; Sugden, B. Burkitt Lymphomas Evolve to Escape Dependencies on Epstein-Barr Virus. Front. Cell Infect. Microbiol. 2020, 10, 606412. [Google Scholar] [CrossRef]
- Mundo, L.; Del Porro, L.; Granai, M.; Siciliano, M.C.; Mancini, V.; Santi, R.; Marcar, L.; Vrzalikova, K.; Vergoni, F.; Di Stefano, G.; et al. Frequent traces of EBV infection in Hodgkin and non-Hodgkin lymphomas classified as EBV-negative by routine methods: Expanding the landscape of EBV-related lymphomas. Mod. Pathol. 2020, 33, 2407–2421. [Google Scholar] [CrossRef] [PubMed]
- Piccaluga, P.P.; De Falco, G.; Kustagi, M.; Gazzola, A.; Agostinelli, C.; Tripodo, C.; Leucci, E.; Onnis, A.; Astolfi, A.; Sapienza, M.R.; et al. Gene expression analysis uncovers similarity and differences among Burkitt lymphoma subtypes. Blood 2011, 117, 3596–3608. [Google Scholar] [CrossRef]
- Robbiani, D.F.; Bothmer, A.; Callen, E.; Reina-San-Martin, B.; Dorsett, Y.; Difilippantonio, S.; Bolland, D.J.; Chen, H.T.; Corcoran, A.E.; Nussenzweig, A.; et al. AID is required for the chromosomal breaks in c-myc that lead to c-myc/IgH translocations. Cell 2008, 135, 1028–1038. [Google Scholar] [CrossRef]
- Stavnezer, J. Complex regulation and function of activation-induced cytidine deaminase. Trends Immunol. 2011, 32, 194–201. [Google Scholar] [CrossRef]
- Keim, C.; Kazadi, D.; Rothschild, G.; Basu, U. Regulation of AID, the B-cell genome mutator. Genes Dev. 2013, 27, 1–17. [Google Scholar] [CrossRef]
- Wang, Q.; Oliveira, T.; Jankovic, M.; Silva, I.T.; Hakim, O.; Yao, K.; Gazumyan, A.; Mayer, C.T.; Pavri, R.; Casellas, R.; et al. Epigenetic targeting of activation-induced cytidine deaminase. Proc. Natl. Acad. Sci. USA 2014, 111, 18667–18672. [Google Scholar] [CrossRef]
- Rebhandl, S.; Huemer, M.; Greil, R.; Geisberger, R. AID/APOBEC deaminases and cancer. Oncoscience 2015, 2, 320–333. [Google Scholar] [CrossRef]
- Shponka, V.; Reveles, C.Y.; Alam, S.; Jaramillo, M.; Maguire, A.; Rimsza, L.M.; Kendrick, S. Frequent expression of activation-induced cytidine deaminase in diffuse large B-cell lymphoma tissues from persons living with HIV. AIDS 2020, 34, 2025–2035. [Google Scholar] [CrossRef] [PubMed]
- Hardianti, M.S.; Tatsumi, E.; Syampurnawati, M.; Furuta, K.; Saigo, K.; Nakamachi, Y.; Kumagai, S.; Ohno, H.; Tanabe, S.; Uchida, M.; et al. Activation-induced cytidine deaminase expression in follicular lymphoma: Association between AID expression and ongoing mutation in FL. Leukemia 2004, 18, 826–831. [Google Scholar] [CrossRef]
- Oppezzo, P.; Navarrete, M.; Chiorazzi, N. AID in Chronic Lymphocytic Leukemia: Induction and Action During Disease Progression. Front. Oncol. 2021, 11, 634383. [Google Scholar] [CrossRef] [PubMed]
- Wilmore, J.R.; Asito, A.S.; Wei, C.; Piriou, E.; Sumba, P.O.; Sanz, I.; Rochford, R. AID expression in peripheral blood of children living in a malaria holoendemic region is associated with changes in B cell subsets and Epstein-Barr virus. Int. J. Cancer 2015, 136, 1371–1380. [Google Scholar] [CrossRef]
- Kalchschmidt, J.S.; Bashford-Rogers, R.; Paschos, K.; Gillman, A.C.; Styles, C.T.; Kellam, P.; Allday, M.J. Epstein-Barr virus nuclear protein EBNA3C directly induces expression of AID and somatic mutations in B cells. J. Exp. Med. 2016, 213, 921–928. [Google Scholar] [CrossRef] [PubMed]
- Kim, J.H.; Kim, W.S.; Park, C. Epstein-Barr virus latent membrane protein 1 increases genomic instability through Egr-1-mediated up-regulation of activation-induced cytidine deaminase in B-cell lymphoma. Leuk. Lymphoma 2013, 54, 2035–2040. [Google Scholar] [CrossRef]
- Tobollik, S.; Meyer, L.; Buettner, M.; Klemmer, S.; Kempkes, B.; Kremmer, E.; Niedobitek, G.; Jungnickel, B. Epstein-Barr virus nuclear antigen 2 inhibits AID expression during EBV-driven B-cell growth. Blood 2006, 108, 3859–3864. [Google Scholar] [CrossRef]
- Chene, A.; Donati, D.; Orem, J.; Mbidde, E.R.; Kironde, F.; Wahlgren, M.; Bejarano, M.T. Endemic Burkitt’s lymphoma as a polymicrobial disease: New insights on the interaction between Plasmodium falciparum and Epstein-Barr virus. Semin. Cancer Biol. 2009, 19, 411–420. [Google Scholar] [CrossRef]
- Wilmore, J.R.; Maue, A.C.; Rochford, R. Plasmodium chabaudi infection induces AID expression in transitional and marginal zone B cells. Immun. Inflamm. Dis. 2016, 4, 497–505. [Google Scholar] [CrossRef]
- Robbiani, D.F.; Deroubaix, S.; Feldhahn, N.; Oliveira, T.Y.; Callen, E.; Wang, Q.; Jankovic, M.; Silva, I.T.; Rommel, P.C.; Bosque, D.; et al. Plasmodium Infection Promotes Genomic Instability and AID-Dependent B Cell Lymphoma. Cell 2015, 162, 727–737. [Google Scholar] [CrossRef]
- Parroche, P.; Lauw, F.N.; Goutagny, N.; Latz, E.; Monks, B.G.; Visintin, A.; Halmen, K.A.; Lamphier, M.; Olivier, M.; Bartholomeu, D.C.; et al. Malaria hemozoin is immunologically inert but radically enhances innate responses by presenting malaria DNA to Toll-like receptor 9. Proc. Natl. Acad. Sci. USA 2007, 104, 1919–1924. [Google Scholar] [CrossRef] [PubMed]
- Robbiani, D.F.; Nussenzweig, M.C. Chromosome translocation, B cell lymphoma, and activation-induced cytidine deaminase. Annu. Rev. Pathol. 2013, 8, 79–103. [Google Scholar] [CrossRef] [PubMed]
- Capolunghi, F.; Cascioli, S.; Giorda, E.; Rosado, M.M.; Plebani, A.; Auriti, C.; Seganti, G.; Zuntini, R.; Ferrari, S.; Cagliuso, M.; et al. CpG drives human transitional B cells to terminal differentiation and production of natural antibodies. J. Immunol. 2008, 180, 800–808. [Google Scholar] [CrossRef] [PubMed]
- Ariera, B.; Guyah, B.; Rahkola, J.; Arao, I.; Waomba, K.; Koech, E.; Samayoa-Reyes, G.; Sabourin, K.R.; Ogolla, S.; Rochford, R. Sustained activation induced cytidine deaminase (AID) expression in B cells following Plasmodium falciparum malaria infection in Kenyan children. J. Immunol. 2025, 214, 926–935. [Google Scholar] [CrossRef]
- Refaeli, Y.; Young, R.M.; Turner, B.C.; Duda, J.; Field, K.A.; Bishop, J.M. The B cell antigen receptor and overexpression of MYC can cooperate in the genesis of B cell lymphomas. PLoS Biol. 2008, 6, e152. [Google Scholar] [CrossRef]
- Amato, T.; Abate, F.; Piccaluga, P.; Iacono, M.; Fallerini, C.; Renieri, A.; De Falco, G.; Ambrosio, M.R.; Mourmouras, V.; Ogwang, M.; et al. Clonality Analysis of Immunoglobulin Gene Rearrangement by Next-Generation Sequencing in Endemic Burkitt Lymphoma Suggests Antigen Drive Activation of BCR as Opposed to Sporadic Burkitt Lymphoma. Am. J. Clin. Pathol. 2016, 145, 116–127. [Google Scholar] [CrossRef]
- Capello, D.; Martini, M.; Gloghini, A.; Cerri, M.; Rasi, S.; Deambrogi, C.; Rossi, D.; Spina, M.; Tirelli, U.; Larocca, L.M.; et al. Molecular analysis of immunoglobulin variable genes in human immunodeficiency virus-related non-Hodgkin’s lymphoma reveals implications for disease pathogenesis and histogenesis. Haematologica 2008, 93, 1178–1185. [Google Scholar] [CrossRef]
- Shiramizu, B.; Barriga, F.; Neequaye, J.; Jafri, A.; Dalla-Favera, R.; Neri, A.; Guttierez, M.; Levine, P.; Magrath, I. Patterns of chromosomal breakpoint locations in Burkitt’s lymphoma: Relevance to geography and Epstein-Barr virus association. Blood 1991, 77, 1516–1526. [Google Scholar]
- Neri, A.; Barriga, F.; Knowles, D.M.; Magrath, I.T.; Dalla-Favera, R. Different regions of the immunoglobulin heavy-chain locus are involved in chromosomal translocations in distinct pathogenetic forms of Burkitt lymphoma. Proc. Natl. Acad. Sci. USA 1988, 85, 2748–2752. [Google Scholar] [CrossRef]
- Pelicci, P.G.; Knowles, D.M., 2nd; Magrath, I.; Dalla-Favera, R. Chromosomal breakpoints and structural alterations of the c-myc locus differ in endemic and sporadic forms of Burkitt lymphoma. Proc. Natl. Acad. Sci. USA 1986, 83, 2984–2988. [Google Scholar] [CrossRef]
- Bellan, C.; Lazzi, S.; Hummel, M.; Palummo, N.; de Santi, M.; Amato, T.; Nyagol, J.; Sabattini, E.; Lazure, T.; Pileri, S.A.; et al. Immunoglobulin gene analysis reveals 2 distinct cells of origin for EBV-positive and EBV-negative Burkitt lymphomas. Blood 2005, 106, 1031–1036. [Google Scholar] [CrossRef] [PubMed]
- Abate, F.; Ambrosio, M.R.; Mundo, L.; Laginestra, M.A.; Fuligni, F.; Rossi, M.; Zairis, S.; Gazaneo, S.; De Falco, G.; Lazzi, S.; et al. Distinct Viral and Mutational Spectrum of Endemic Burkitt Lymphoma. PLoS Pathog. 2015, 11, e1005158. [Google Scholar] [CrossRef]
- Thomas, N.; Dreval, K.; Gerhard, D.S.; Hilton, L.K.; Abramson, J.S.; Ambinder, R.F.; Barta, S.; Bartlett, N.L.; Bethony, J.; Bhatia, K.; et al. Genetic subgroups inform on pathobiology in adult and pediatric Burkitt lymphoma. Blood 2023, 141, 904–916. [Google Scholar] [CrossRef] [PubMed]
- Glaser, S.; Wagener, R.; Kretzmer, H.; Lopez, C.; Baptista, M.J.; Bens, S.; Bernhart, S.; Bhatia, K.; Borkhardt, A.; Elgaafary, S.; et al. Subtyping Burkitt Lymphoma by DNA Methylation. Genes Chromosomes Cancer 2025, 64, e70042. [Google Scholar] [CrossRef]
- Chapman, C.J.; Mockridge, C.I.; Rowe, M.; Rickinson, A.B.; Stevenson, F.K. Analysis of VH genes used by neoplastic B cells in endemic Burkitt’s lymphoma shows somatic hypermutation and intraclonal heterogeneity. Blood 1995, 85, 2176–2181. [Google Scholar] [PubMed]
- Tamaru, J.; Hummel, M.; Marafioti, T.; Kalvelage, B.; Leoncini, L.; Minacci, C.; Tosi, P.; Wright, D.; Stein, H. Burkitt’s lymphomas express VH genes with a moderate number of antigen-selected somatic mutations. Am. J. Pathol. 1995, 147, 1398–1407. [Google Scholar]
- Klein, U.; Klein, G.; Ehlin-Henriksson, B.; Rajewsky, K.; Kuppers, R. Burkitt’s lymphoma is a malignancy of mature B cells expressing somatically mutated V region genes. Mol. Med. 1995, 1, 495–505. [Google Scholar] [CrossRef]
- Chapman, C.J.; Zhou, J.X.; Gregory, C.; Rickinson, A.B.; Stevenson, F.K. VH and VL gene analysis in sporadic Burkitt’s lymphoma shows somatic hypermutation, intraclonal heterogeneity, and a role for antigen selection. Blood 1996, 88, 3562–3568. [Google Scholar] [CrossRef] [PubMed]
- Lombardo, K.A.; Coffey, D.G.; Morales, A.J.; Carlson, C.S.; Towlerton, A.M.H.; Gerdts, S.E.; Nkrumah, F.K.; Neequaye, J.; Biggar, R.J.; Orem, J.; et al. High-throughput sequencing of the B-cell receptor in African Burkitt lymphoma reveals clues to pathogenesis. Blood Adv. 2017, 1, 535–544. [Google Scholar] [CrossRef]
- Bock, T.; Bewarder, M.; Cetin, O.; Fadle, N.; Regitz, E.; Schwarz, E.C.; Held, J.; Roth, S.; Lohse, S.; Pfuhl, T.; et al. B-cell receptors of EBV-negative Burkitt lymphoma bind modified isoforms of autoantigens. EJHaem 2022, 3, 739–747. [Google Scholar] [CrossRef] [PubMed]
- Berard, C.W. Morphological Definition of Burkitt’s Tumour: Historical Review and Present Status. IARC Sci. Publ. 1985, 31–35. Available online: https://pubmed.ncbi.nlm.nih.gov/3905589/ (accessed on 30 December 2025).
- Haralambieva, E.; Rosati, S.; van Noesel, C.; Boers, E.; van Marwijk Kooy, M.; Schuuring, E.; Kluin, P. Florid granulomatous reaction in Epstein-Barr virus-positive nonendemic Burkitt lymphomas: Report of four cases. Am. J. Surg. Pathol. 2004, 28, 379–383. [Google Scholar] [CrossRef] [PubMed]
- Schrager, J.A.; Pittaluga, S.; Raffeld, M.; Jaffe, E.S. Granulomatous reaction in Burkitt lymphoma: Correlation with EBV positivity and clinical outcome. Am. J. Surg. Pathol. 2005, 29, 1115–1116. [Google Scholar] [CrossRef]
- Granai, M.; Lazzi, S.; Mancini, V.; Akarca, A.; Santi, R.; Vergoni, F.; Sorrentino, E.; Guazzo, R.; Mundo, L.; Cevenini, G.; et al. Burkitt lymphoma with a granulomatous reaction: An M1/Th1-polarised microenvironment is associated with controlled growth and spontaneous regression. Histopathology 2022, 80, 430–442. [Google Scholar] [CrossRef]
- Menter, T.; Gasser, A.; Juskevicius, D.; Dirnhofer, S.; Tzankov, A. Diagnostic Utility of the Germinal Center-associated Markers GCET1, HGAL, and LMO2 in Hematolymphoid Neoplasms. Appl. Immunohistochem. Mol. Morphol. 2015, 23, 491–498. [Google Scholar] [CrossRef]
- Krenacs, D.; Borbenyi, Z.; Bedekovics, J.; Mehes, G.; Bagdi, E.; Krenacs, L. Pattern of MEF2B expression in lymphoid tissues and in malignant lymphomas. Virchows Arch. 2015, 467, 345–355. [Google Scholar] [CrossRef]
- Colomo, L.; Vazquez, I.; Papaleo, N.; Espinet, B.; Ferrer, A.; Franco, C.; Comerma, L.; Hernandez, S.; Calvo, X.; Salar, A.; et al. LMO2-negative Expression Predicts the Presence of MYC Translocations in Aggressive B-Cell Lymphomas. Am. J. Surg. Pathol. 2017, 41, 877–886. [Google Scholar] [CrossRef]
- Liu, Y.; Bian, T.; Zhang, Y.; Zheng, Y.; Zhang, J.; Zhou, X.; Xie, J. A combination of LMO2 negative and CD38 positive is useful for the diagnosis of Burkitt lymphoma. Diagn. Pathol. 2019, 14, 100. [Google Scholar] [CrossRef]
- Masque-Soler, N.; Szczepanowski, M.; Kohler, C.W.; Aukema, S.M.; Nagel, I.; Richter, J.; Siebert, R.; Spang, R.; Burkhardt, B.; Klapper, W. Clinical and pathological features of Burkitt lymphoma showing expression of BCL2--an analysis including gene expression in formalin-fixed paraffin-embedded tissue. Br. J. Haematol. 2015, 171, 501–508. [Google Scholar] [CrossRef]
- Sureda-Gomez, M.; Iaccarino, I.; De Bolos, A.; Meyer, M.; Balsas, P.; Richter, J.; Rodriguez, M.L.; Lopez, C.; Carreras-Caballe, M.; Glaser, S.; et al. SOX11 expression is restricted to EBV-negative Burkitt lymphoma and is associated with molecular genetic features. Blood 2024, 144, 187–200. [Google Scholar] [CrossRef]
- Gualco, G.; Queiroga, E.M.; Weiss, L.M.; Klumb, C.E.; Harrington, W.J., Jr.; Bacchi, C.E. Frequent expression of multiple myeloma 1/interferon regulatory factor 4 in Burkitt lymphoma. Hum. Pathol. 2009, 40, 565–571. [Google Scholar] [CrossRef] [PubMed]
- Walther, N.; Ulrich, A.; Vockerodt, M.; von Bonin, F.; Klapper, W.; Meyer, K.; Eberth, S.; Pukrop, T.; Spang, R.; Trumper, L.; et al. Aberrant lymphocyte enhancer-binding factor 1 expression is characteristic for sporadic Burkitt’s lymphoma. Am. J. Pathol. 2013, 182, 1092–1098. [Google Scholar] [CrossRef] [PubMed]
- Mundo, L.; Ambrosio, M.R.; Raimondi, F.; Del Porro, L.; Guazzo, R.; Mancini, V.; Granai, M.; Jim Rocca, B.; Lopez, C.; Bens, S.; et al. Molecular switch from MYC to MYCN expression in MYC protein negative Burkitt lymphoma cases. Blood Cancer J. 2019, 9, 91. [Google Scholar] [CrossRef] [PubMed]
- Ambrosio, M.R.; Piccaluga, P.P.; Ponzoni, M.; Rocca, B.J.; Malagnino, V.; Onorati, M.; De Falco, G.; Calbi, V.; Ogwang, M.; Naresh, K.N.; et al. The alteration of lipid metabolism in Burkitt lymphoma identifies a novel marker: Adipophilin. PLoS ONE 2012, 7, e44315. [Google Scholar] [CrossRef]
- Tzankov, A.; Xu-Monette, Z.Y.; Gerhard, M.; Visco, C.; Dirnhofer, S.; Gisin, N.; Dybkaer, K.; Orazi, A.; Bhagat, G.; Richards, K.L.; et al. Rearrangements of MYC gene facilitate risk stratification in diffuse large B-cell lymphoma patients treated with rituximab-CHOP. Mod. Pathol. 2014, 27, 958–971. [Google Scholar] [CrossRef]
- King, R.L.; McPhail, E.D.; Meyer, R.G.; Vasmatzis, G.; Pearce, K.; Smadbeck, J.B.; Ketterling, R.P.; Smoley, S.A.; Greipp, P.T.; Hoppman, N.L.; et al. False-negative rates for MYC fluorescence in situ hybridization probes in B-cell neoplasms. Haematologica 2019, 104, e248–e251. [Google Scholar] [CrossRef]
- Collinge, B.; Ben-Neriah, S.; Hilton, L.K.; Alduaij, W.; Tucker, T.; Slack, G.W.; Farinha, P.; Craig, J.W.; Boyle, M.; Meissner, B.; et al. Unbalanced MYC break-apart FISH patterns indicate the presence of a MYC rearrangement in HGBCL-DH-BCL2. Blood 2024, 144, 1611–1616. [Google Scholar] [CrossRef]
- Tang, G.; Li, S.; Toruner, G.A.; Jain, P.; Tang, Z.; Hu, S.; Xu, J.; Cheng, J.; Robinson, M.; Vega, F.; et al. Clinical impact of 5(‘)MYC or 3(‘)MYC gain/loss detected by FISH in patients with aggressive B-cell lymphomas. Cancer Genet. 2023, 272–273, 1–8. [Google Scholar] [CrossRef]
- Dave, S.S.; Fu, K.; Wright, G.W.; Lam, L.T.; Kluin, P.; Boerma, E.J.; Greiner, T.C.; Weisenburger, D.D.; Rosenwald, A.; Ott, G.; et al. Molecular diagnosis of Burkitt’s lymphoma. N. Engl. J. Med. 2006, 354, 2431–2442. [Google Scholar] [CrossRef]
- Salaverria, I.; Zettl, A.; Bea, S.; Hartmann, E.M.; Dave, S.S.; Wright, G.W.; Boerma, E.J.; Kluin, P.M.; Ott, G.; Chan, W.C.; et al. Chromosomal alterations detected by comparative genomic hybridization in subgroups of gene expression-defined Burkitt’s lymphoma. Haematologica 2008, 93, 1327–1334. [Google Scholar] [CrossRef] [PubMed]
- Sha, C.; Barrans, S.; Cucco, F.; Bentley, M.A.; Care, M.A.; Cummin, T.; Kennedy, H.; Thompson, J.S.; Uddin, R.; Worrillow, L.; et al. Molecular High-Grade B-Cell Lymphoma: Defining a Poor-Risk Group That Requires Different Approaches to Therapy. J. Clin. Oncol. 2019, 37, 202–212. [Google Scholar] [CrossRef]
- Ennishi, D.; Jiang, A.; Boyle, M.; Collinge, B.; Grande, B.M.; Ben-Neriah, S.; Rushton, C.; Tang, J.; Thomas, N.; Slack, G.W.; et al. Double-Hit Gene Expression Signature Defines a Distinct Subgroup of Germinal Center B-Cell-Like Diffuse Large B-Cell Lymphoma. J. Clin. Oncol. 2019, 37, 190–201. [Google Scholar] [CrossRef]
- Davies, J.R.; Hilton, L.K.; Jiang, A.; Barrans, S.; Burton, C.; Johnson, P.W.M.; Davies, A.J.; Du, M.Q.; Tooze, R.; Cucco, F.; et al. Comparison of MHG and DZsig reveals shared biology and a core overlap group with inferior prognosis in DLBCL. Blood Adv. 2023, 7, 6156–6162. [Google Scholar] [CrossRef] [PubMed]
- Davies, A.J.; Barrans, S.; Stanton, L.; Caddy, J.; Wilding, S.; Saunders, G.; Mamot, C.; Novak, U.; McMillan, A.; Fields, P.; et al. Differential Efficacy From the Addition of Bortezomib to R-CHOP in Diffuse Large B-Cell Lymphoma According to the Molecular Subgroup in the REMoDL-B Study With a 5-Year Follow-Up. J. Clin. Oncol. 2023, 41, 2718–2723. [Google Scholar] [CrossRef]
- Naresh, K.N.; Ibrahim, H.A.; Lazzi, S.; Rince, P.; Onorati, M.; Ambrosio, M.R.; Bilhou-Nabera, C.; Amen, F.; Reid, A.; Mawanda, M.; et al. Diagnosis of Burkitt lymphoma using an algorithmic approach--applicable in both resource-poor and resource-rich countries. Br. J. Haematol. 2011, 154, 770–776. [Google Scholar] [CrossRef]
- Naresh, K.N.; Lazzi, S.; Santi, R.; Granai, M.; Onyango, N.; Leoncini, L. A refined approach to the diagnosis of Burkitt lymphoma in a resource-poor setting. Histopathology 2022, 80, 743–745. [Google Scholar] [CrossRef] [PubMed]
- Salaverria, I.; Martin-Guerrero, I.; Wagener, R.; Kreuz, M.; Kohler, C.W.; Richter, J.; Pienkowska-Grela, B.; Adam, P.; Burkhardt, B.; Claviez, A.; et al. A recurrent 11q aberration pattern characterizes a subset of MYC-negative high-grade B-cell lymphomas resembling Burkitt lymphoma. Blood 2014, 123, 1187–1198. [Google Scholar] [CrossRef]
- Horn, H.; Kalmbach, S.; Wagener, R.; Staiger, A.M.; Huttl, K.; Mottok, A.; Bens, S.; Traverse-Glehen, A.; Fontaine, J.; Siebert, R.; et al. A Diagnostic Approach to the Identification of Burkitt-like Lymphoma With 11q Aberration in Aggressive B-Cell Lymphomas. Am. J. Surg. Pathol. 2021, 45, 356–364. [Google Scholar] [CrossRef]
- Quintanilla-Martinez, L.; Laurent, C.; Soma, L.; Ng, S.B.; Climent, F.; Ondrejka, S.L.; Zamo, A.; Wotherspoon, A.; de Leval, L.; Dirnhofer, S.; et al. Emerging entities: High-grade/large B-cell lymphoma with 11q aberration, large B-cell lymphoma with IRF4 rearrangement, and new molecular subgroups in large B-cell lymphomas. A report of the 2022 EA4HP/SH lymphoma workshop. Virchows Arch. 2023, 483, 281–298. [Google Scholar] [CrossRef] [PubMed]
- WHO Classification of Tumours Editorial Board. Haematolymphoid Tumours; International Agency for Research on Cancer: Lyon, France, 2024; Volume 11.
- Rymkiewicz, G.; Grygalewicz, B.; Chechlinska, M.; Blachnio, K.; Bystydzienski, Z.; Romejko-Jarosinska, J.; Woroniecka, R.; Zajdel, M.; Domanska-Czyz, K.; Martin-Garcia, D.; et al. A comprehensive flow-cytometry-based immunophenotypic characterization of Burkitt-like lymphoma with 11q aberration. Mod. Pathol. 2018, 31, 732–743. [Google Scholar] [CrossRef] [PubMed]
- Wagener, R.; Seufert, J.; Raimondi, F.; Bens, S.; Kleinheinz, K.; Nagel, I.; Altmuller, J.; Thiele, H.; Hubschmann, D.; Kohler, C.W.; et al. The mutational landscape of Burkitt-like lymphoma with 11q aberration is distinct from that of Burkitt lymphoma. Blood 2019, 133, 962–966. [Google Scholar] [CrossRef]
- Di Stefano, G.; Fischer, A.; Chteinberg, E.; Bens, S.; Wagener, R.; Abramov, D.; Adam, P.; Bernhart, S.H.; Borkhardt, A.; Burkhardt, B.; et al. MicroRNA Expression in High-Grade B-Cell Lymphoma With 11q Aberration. Genes Chromosom. Cancer 2025, 64, e70021. [Google Scholar] [CrossRef]
- Grygalewicz, B.; Woroniecka, R.; Rymkiewicz, G.; Rygier, J.; Borkowska, K.; Kotyl, A.; Blachnio, K.; Bystydzienski, Z.; Nowakowska, B.; Pienkowska-Grela, B. The 11q-Gain/Loss Aberration Occurs Recurrently in MYC-Negative Burkitt-like Lymphoma With 11q Aberration, as Well as MYC-Positive Burkitt Lymphoma and MYC-Positive High-Grade B-Cell Lymphoma, NOS. Am. J. Clin. Pathol. 2017, 149, 17–28. [Google Scholar] [CrossRef]
- Grygalewicz, B.; Szafron, L.M.; Szafron, L.A.; Woroniecka, R.; Parada, J.; Ott, G.; Horn, H.; Pienkowska-Grela, B.; Rygier, J.; Malawska, N.; et al. Cytogenomic and Clinicopathologic Comparison of MYC-Positive and MYC-Negative High-Grade B-Cell Lymphoma With 11q Aberration in the Context of Other Aggressive Lymphomas With MYC Rearrangement. Mod. Pathol. 2025, 38, 100774. [Google Scholar] [CrossRef] [PubMed]
- Aukema, S.M.; Siebert, R.; Schuuring, E.; van Imhoff, G.W.; Kluin-Nelemans, H.C.; Boerma, E.J.; Kluin, P.M. Double-hit B-cell lymphomas. Blood 2011, 117, 2319–2331. [Google Scholar] [CrossRef]
- Collinge, B.; Hilton, L.K.; Wong, J.; Alduaij, W.; Ben-Neriah, S.; Slack, G.W.; Farinha, P.; Boyle, M.; Meissner, B.; Cook, J.R.; et al. High-grade B-cell lymphoma, not otherwise specified: An LLMPP study. Blood Adv. 2025, 9, 5409–5422. [Google Scholar] [CrossRef]
- Chong, L.C.; Ben-Neriah, S.; Slack, G.W.; Freeman, C.; Ennishi, D.; Mottok, A.; Collinge, B.; Abrisqueta, P.; Farinha, P.; Boyle, M.; et al. High-resolution architecture and partner genes of MYC rearrangements in lymphoma with DLBCL morphology. Blood Adv. 2018, 2, 2755–2765. [Google Scholar] [CrossRef]
- Cucco, F.; Barrans, S.; Sha, C.; Clipson, A.; Crouch, S.; Dobson, R.; Chen, Z.; Thompson, J.S.; Care, M.A.; Cummin, T.; et al. Distinct genetic changes reveal evolutionary history and heterogeneous molecular grade of DLBCL with MYC/BCL2 double-hit. Leukemia 2020, 34, 1329–1341. [Google Scholar] [CrossRef]
- Alduaij, W.; Collinge, B.; Ben-Neriah, S.; Jiang, A.; Hilton, L.K.; Boyle, M.; Meissner, B.; Chong, L.; Miyata-Takata, T.; Slack, G.W.; et al. Molecular determinants of clinical outcomes in a real-world diffuse large B-cell lymphoma population. Blood 2023, 141, 2493–2507. [Google Scholar] [CrossRef]
- Kim, D.H.; Medeiros, L.J.; Xu, J.; Tang, G.; Qiu, L.; Wang, S.A.; Ok, C.Y.; Wang, W.; Yin, C.C.; You, M.J.; et al. Diffuse Large B-Cell Lymphoma/High-Grade B-Cell Lymphoma With MYC and BCL6 Rearrangements: A Study of 60 Cases. Mod. Pathol. 2025, 38, 100710. [Google Scholar] [CrossRef]
- Li, S.; Qiu, L.; Xu, J.; Lin, P.; Ok, C.Y.; Tang, G.; McDonnell, T.J.; James You, M.; Khanlari, M.; Miranda, R.N.; et al. High-grade B-cell lymphoma (HGBL)-NOS is clinicopathologically and genetically more similar to DLBCL/HGBL-DH than DLBCL. Leukemia 2023, 37, 422–432. [Google Scholar] [CrossRef]
- Hilton, L.K.; Tang, J.; Ben-Neriah, S.; Alcaide, M.; Jiang, A.; Grande, B.M.; Rushton, C.K.; Boyle, M.; Meissner, B.; Scott, D.W.; et al. The double-hit signature identifies double-hit diffuse large B-cell lymphoma with genetic events cryptic to FISH. Blood 2019, 134, 1528–1532. [Google Scholar] [CrossRef] [PubMed]
- Scott, D.W.; King, R.L.; Staiger, A.M.; Ben-Neriah, S.; Jiang, A.; Horn, H.; Mottok, A.; Farinha, P.; Slack, G.W.; Ennishi, D.; et al. High-grade B-cell lymphoma with MYC and BCL2 and/or BCL6 rearrangements with diffuse large B-cell lymphoma morphology. Blood 2018, 131, 2060–2064. [Google Scholar] [CrossRef]
- Staiger, A.M.; Ziepert, M.; Horn, H.; Scott, D.W.; Barth, T.F.E.; Bernd, H.W.; Feller, A.C.; Klapper, W.; Szczepanowski, M.; Hummel, M.; et al. Clinical Impact of the Cell-of-Origin Classification and the MYC/BCL2 Dual Expresser Status in Diffuse Large B-Cell Lymphoma Treated Within Prospective Clinical Trials of the German High-Grade Non-Hodgkin’s Lymphoma Study Group. J. Clin. Oncol. 2017, 35, 2515–2526. [Google Scholar] [CrossRef]
- Huttl, K.S.; Staiger, A.M.; Richter, J.; Ott, M.M.; Kalmbach, S.; Klapper, W.; Biesdorf, A.S.; Trumper, L.; Rosenwald, A.; Ziepert, M.; et al. The “Burkitt-like” immunophenotype and genotype is rarely encountered in diffuse large B cell lymphoma and high-grade B cell lymphoma, NOS. Virchows Arch. 2021, 479, 575–583. [Google Scholar] [CrossRef] [PubMed]
- Momose, S.; Weissbach, S.; Pischimarov, J.; Nedeva, T.; Bach, E.; Rudelius, M.; Geissinger, E.; Staiger, A.M.; Ott, G.; Rosenwald, A. The diagnostic gray zone between Burkitt lymphoma and diffuse large B-cell lymphoma is also a gray zone of the mutational spectrum. Leukemia 2015, 29, 1789–1791. [Google Scholar] [CrossRef]
- Thomas, N.; Garcia-Prieto, C.A.; Dreval, K.; Hilton, L.K.; Abramson, J.S.; Bartlett, N.L.; Bethony, J.; Bowen, J.; Bryan, A.C.; Casper, C.; et al. DNA Methylation Epitypes of Burkitt Lymphoma with Distinct Molecular and Clinical Features. Blood Cancer Discov. 2025, 6, 325–342. [Google Scholar] [CrossRef] [PubMed]
- Glaser, S.; Fischer, A.; Martinez-Manjon, J.E.; Lopez, C.; Kretzmer, H.; Burkhardt, B.; Hubschmann, D.; Hummel, M.; Klapper, W.; Kolarova, J.; et al. Subgrouping germinal center-derived B-cell lymphomas based on machine learning-deduced DNA methylation modules. Leukemia 2025, 39, 967–971. [Google Scholar] [CrossRef] [PubMed]
- Tzioni, M.M.; Cucco, F.; Raso-Barnett, L.; Chen, Z.; Wotherspoon, A.; Kurz, K.S.; Madej, E.; Makker, J.; Strazda, A.E.; Guo, F.; et al. Mutation profiling in differential diagnosis between TdT-positive high-grade/large B-cell lymphoma and B-lymphoblastic leukaemia/lymphoma. J. Pathol. 2025, 267, 410–423. [Google Scholar] [CrossRef] [PubMed]
- Lap, C.J.; Dunleavy, K. Novel Molecular Insights and Evolution of Less Toxic Therapeutic Strategies in Burkitt Lymphoma. Cancers 2025, 17, 3372. [Google Scholar] [CrossRef]
- Pighi, C.; Cheong, T.C.; Compagno, M.; Patrucco, E.; Arigoni, M.; Olivero, M.; Wang, Q.; Lopez, C.; Bernhart, S.H.; Grande, B.M.; et al. Frequent mutations of FBXO11 highlight BCL6 as a therapeutic target in Burkitt lymphoma. Blood Adv. 2021, 5, 5239–5257. [Google Scholar] [CrossRef] [PubMed]






















Disclaimer/Publisher’s Note: The statements, opinions and data contained in all publications are solely those of the individual author(s) and contributor(s) and not of MDPI and/or the editor(s). MDPI and/or the editor(s) disclaim responsibility for any injury to people or property resulting from any ideas, methods, instructions or products referred to in the content. |
© 2026 by the authors. Licensee MDPI, Basel, Switzerland. This article is an open access article distributed under the terms and conditions of the Creative Commons Attribution (CC BY) license.
Share and Cite
Anagnostopoulos, I.; Zamò, A.; Horn, H.; Staiger, A.; Ott, G. Burkitt Lymphoma—A Guide to Biological Features, Diagnosis and Differential Diagnosis. Cancers 2026, 18, 579. https://doi.org/10.3390/cancers18040579
Anagnostopoulos I, Zamò A, Horn H, Staiger A, Ott G. Burkitt Lymphoma—A Guide to Biological Features, Diagnosis and Differential Diagnosis. Cancers. 2026; 18(4):579. https://doi.org/10.3390/cancers18040579
Chicago/Turabian StyleAnagnostopoulos, Ioannis, Alberto Zamò, Heike Horn, Annette Staiger, and German Ott. 2026. "Burkitt Lymphoma—A Guide to Biological Features, Diagnosis and Differential Diagnosis" Cancers 18, no. 4: 579. https://doi.org/10.3390/cancers18040579
APA StyleAnagnostopoulos, I., Zamò, A., Horn, H., Staiger, A., & Ott, G. (2026). Burkitt Lymphoma—A Guide to Biological Features, Diagnosis and Differential Diagnosis. Cancers, 18(4), 579. https://doi.org/10.3390/cancers18040579

