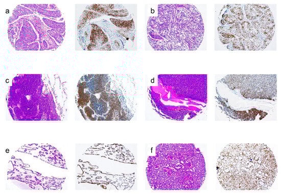
Complete Loss of EPCAM Immunoexpression Identifies EPCAM Deletion Carriers in MSH2-Negative Colorectal Neoplasia
Simple Summary
- Supplementary File 1:
PDF-Document (PDF, 979 KiB)
Cuatrecasas, M.; Gorostiaga, I.; Riera, C.; Saperas, E.; Llort, G.; Costa, I.; Matias-Guiu, X.; Carrato, C.; Navarro, M.; Pineda, M.; Dueñas, N.; Brunet, J.; Marco, V.; Trias, I.; Busteros, J.I.; Mateu, G.; Balaguer, F.; Fernández-Figueras, M.-T.; Esteller, M.; Musulén, E. Complete Loss of EPCAM Immunoexpression Identifies EPCAM Deletion Carriers in MSH2-Negative Colorectal Neoplasia. Cancers 2020, 12, 2803. https://doi.org/10.3390/cancers12102803
Cuatrecasas M, Gorostiaga I, Riera C, Saperas E, Llort G, Costa I, Matias-Guiu X, Carrato C, Navarro M, Pineda M, Dueñas N, Brunet J, Marco V, Trias I, Busteros JI, Mateu G, Balaguer F, Fernández-Figueras M-T, Esteller M, Musulén E. Complete Loss of EPCAM Immunoexpression Identifies EPCAM Deletion Carriers in MSH2-Negative Colorectal Neoplasia. Cancers. 2020; 12(10):2803. https://doi.org/10.3390/cancers12102803
Chicago/Turabian StyleCuatrecasas, Míriam, Iñigo Gorostiaga, Cristina Riera, Esteban Saperas, Gemma Llort, Irmgard Costa, Xavier Matias-Guiu, Cristina Carrato, Matilde Navarro, Marta Pineda, Núria Dueñas, Joan Brunet, Vicente Marco, Isabel Trias, José I. Busteros, Gemma Mateu, Francesc Balaguer, María-Teresa Fernández-Figueras, Manel Esteller, and Eva Musulén. 2020. "Complete Loss of EPCAM Immunoexpression Identifies EPCAM Deletion Carriers in MSH2-Negative Colorectal Neoplasia" Cancers 12, no. 10: 2803. https://doi.org/10.3390/cancers12102803


