Investigation of a Novel Multicomponent Mycotoxin Detoxifying Agent in Amelioration of Mycotoxicosis Induced by Aflatoxin-B1 and Ochratoxin A in Broiler Chicks
Abstract
1. Introduction
2. Results
2.1. Performance
2.2. Serum Biochemical Analysis
2.3. Gross Lesion Score
2.4. Physicochemical Measurements of Intestinal Content
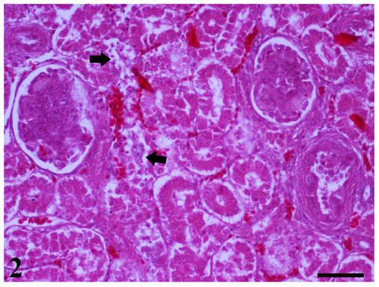
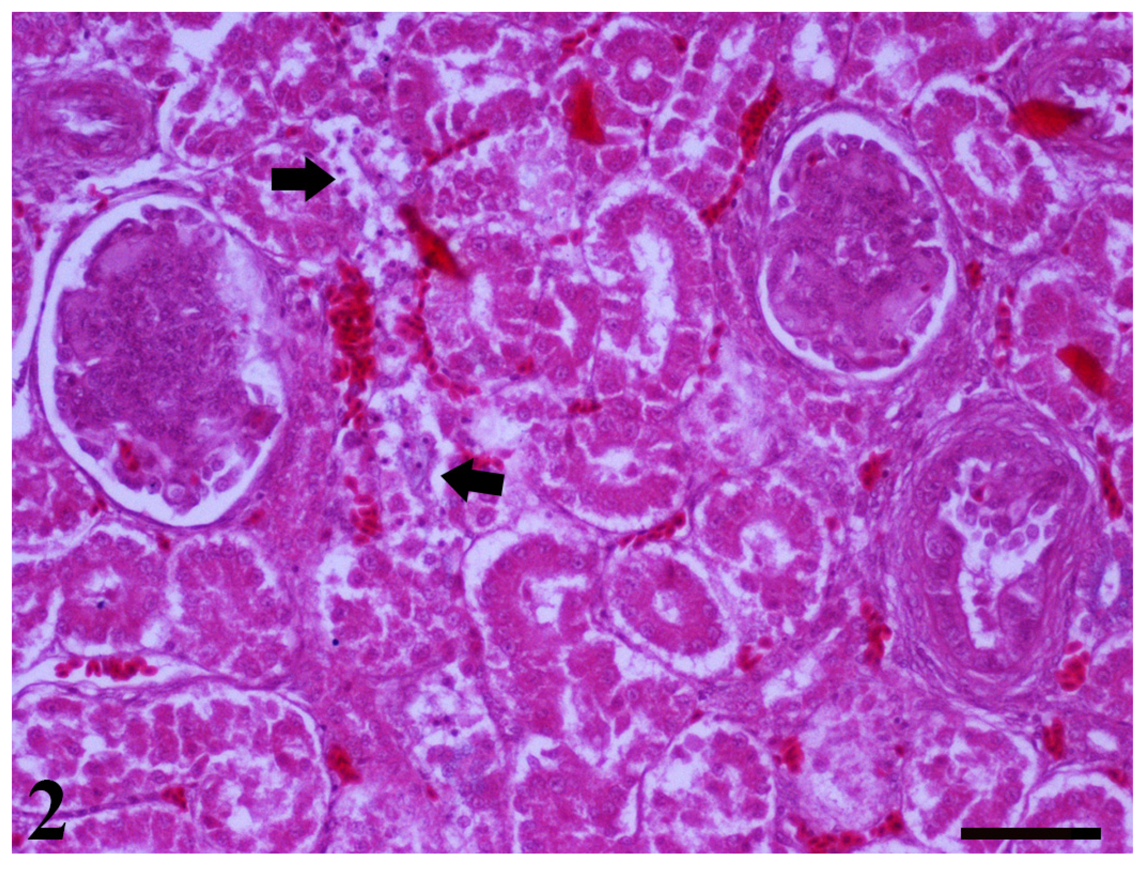
2.5. Histopathological Findings
2.6. Microbiological Analysis
3. Discussion
3.1. Performance
3.2. Biochemical Investigation
3.3. pH and Viscosity
3.4. Gut Microbiota
4. Conclusions
5. Materials and Methods
5.1. Animals and Ethics
5.2. Test Product
5.3. Mycotoxin Production
5.4. Feed Preparation and Analysis
5.5. Experimental Design
5.6. Performance
5.7. Serum Biochemical Analysis
5.8. Gross Lesion Score
5.9. Physicochemical Measurements of Intestinal Content
5.10. Histopathology
5.11. Microbiological Analysis
5.12. Statistical Analysis
Supplementary Materials
Author Contributions
Funding
Institutional Review Board Statement
Informed Consent Statement
Data Availability Statement
Acknowledgments
Conflicts of Interest
References
- Galarza-Seeber, R.; Latorre, J.D.; Bielke, L.R.; Kuttappan, V.A.; Wolfenden, A.D.; Hernandez-Velasco, X.; Merino-Guzman, R.; Vicente, J.L.; Donoghue, A.; Cross, D.; et al. Leaky Gut and Mycotoxins: Aflatoxin B1 does not increase gut permeability in broiler chickens. Front. Vet. Sci. 2016, 3, 1–8. [Google Scholar] [CrossRef] [PubMed]
- Peng, W.X.; Marchal, J.L.M.; Van der Poel, A.F.B. Strategies to prevent and reduce mycotoxins for compound feed manufacturing. Anim. Feed Sci. Technol. 2018, 237, 129–153. [Google Scholar] [CrossRef]
- Tessari, E.N.C.; Kobashigawa, E.; Cardoso, A.L.S.P.; Ledoux, D.R.; Rottinghaus, G.E.; Oliveira, C.A.F. Effects of aflatoxin (B 1) and fumonisin (B 1) on blood biochemical parameters in broilers. Toxins 2010, 2, 453–460. [Google Scholar] [CrossRef]
- Eskola, M.; Kos, G.; Elliott, C.T.; Hajšlová, J.; Mayar, S.; Krska, R. Worldwide contamination of food-crops with mycotoxins: Validity of the widely cited ‘FAO estimate’ of 25%. Crit. Rev. Food Sci. Nutr. 2019, 60, 2773–2789. [Google Scholar] [CrossRef] [PubMed]
- Guerre, P. Worldwide mycotoxins exposure in pig and poultry feed formulations. Toxins 2016, 8, 350. [Google Scholar] [CrossRef] [PubMed]
- IARC (International Agency for Research on Cancer). Monographs on the evaluation of carcinogenic risks to humans: Some naturally occurring substances, food items and constituents, heterocyclic aromatic amines and mycotoxins. Geneva Int. Agency Res. Cancer 1993, 56, 489–521. [Google Scholar]
- Hoerr, F.J. Mycotoxicoses. In Diseases of Poultry, 14th ed.; John Wiley & Sons: Hoboken, NJ, USA, 2020; pp. 1330–1348. [Google Scholar] [CrossRef]
- Murugesan, G.R.; Ledoux, D.R.; Naehrer, K.; Berthiller, F.; Applegate, T.J.; Grenier, B.; Phillips, T.D.; Schatzmayr, G. Prevalence and effects of mycotoxins on poultry health and performance, and recent development in mycotoxin counteracting strategies. Poult. Sci. 2015, 94, 1298–1315. [Google Scholar] [CrossRef]
- Zhai, S.; Zhu, Y.; Feng, P.; Li, M.; Wang, W.; Yang, L.; Yang, Y. Ochratoxin A: Its impact on poultry gut health and microbiota, an overview. Poult. Sci. 2021, 100, 101037. [Google Scholar] [CrossRef]
- Denli, M.; Perez, J.F. Ochratoxins in feed, a risk for animal and human health: Control strategies. Toxins 2010, 2, 1065–1077. [Google Scholar] [CrossRef]
- Streit, E.; Schatzmayr, G.; Tassis, P.; Tzika, E.; Marin, D.; Taranu, I.; Tabuc, C.; Nicolau, A.; Aprodu, I.; Puel, O.; et al. Current situation of mycotoxin contamination and co-occurrence in animal feed focus on Europe. Toxins 2012, 4, 788–809. [Google Scholar] [CrossRef]
- Gruber-Dorninger, C.; Jenkins, T.; Schatzmayr, G. Global Mycotoxin Occurrence in Feed: A Ten-Year Survey. Toxins 2019, 11, 375. [Google Scholar] [CrossRef] [PubMed]
- Filazi, A.; Yurdakok-Dikmen, B.; Kuzukiran, O.; Sireli, U.T. Poultry Science. Chapter 4. In Mycotoxins in Poultry; Intech: Rijeka, Italy, 2017. [Google Scholar] [CrossRef]
- Battacone, G.; Nudda, A.; Pulina, G. Effects of Ochratoxin A on Livestock Production. Toxins 2010, 2, 1796–1824. [Google Scholar] [CrossRef] [PubMed]
- Yunus, A.W.; Razzazi-Fazeli, E.; Bohm, J. Aflatoxin B1 in affecting broiler’s performance, immunity, and gastrointestinal tract: A review of history and contemporary issues. Toxins 2011, 3, 566–590. [Google Scholar] [CrossRef]
- Nedeljković-Trailović, J.; Trailović, S.; Dimitrijević, M.; Ilić, V. Blood serum protein status in broilers fed with increasing concentrations of ochratoxin A. Acta Vet. 2013, 63, 77–88. [Google Scholar] [CrossRef]
- Grenier, B.; Oswald, I.P. Mycotoxin co-contamination of food and feed: Meta-analysis of publications describing toxicological interactions. World Mycotoxin J. 2011, 4, 285–313. [Google Scholar] [CrossRef]
- Klarić, M.Š.; Rašić, D.; Peraica, M. Deleterious Effects of Mycotoxin Combinations Involving Ochratoxin A. Toxins 2013, 5, 1965–1987. [Google Scholar] [CrossRef]
- Pappas, A.C.; Tsiplakou, E.; Tsitsigiannis, D.I.; Georgiadou, M.; Iliadi, M.K.; Sotirakoglou, K.; Zervas, G. The role of bentonite binders in single or concomitant mycotoxin contamination of chicken diets. Br. Poult. Sci. 2016, 57, 551–558. [Google Scholar] [CrossRef]
- Huff, W.E.; Doerr, J.A. Synergism between aflatoxin and ochratoxin A in broiler chickens. Poult. Sci. 1981, 60, 550–555. [Google Scholar] [CrossRef]
- Choi, S.Y.; Kim, T.H.; Hong, M.W.; Park, T.S.; Lee, H.; Lee, S.J. Transcriptomic alterations induced by aflatoxin B1 and ochratoxin A in LMH cell line. Poult. Sci. 2020, 99, 5265–5274. [Google Scholar] [CrossRef]
- European Parliament and of the Council Directive 2002/32/EC of 7 May 2002 on Undesirable Substances in Animal Feed. Available online: https://eur-lex.europa.eu/legal-content/EN/TXT/HTML/?uri=CELEX:32002L0032&from=EN (accessed on 7 May 2002).
- Commission Recommendation of 17 August 2006 on the Presence of Deoxynivalenol, Zearalenone, Ochratoxin A, T-2 and HT-2 and Fumonisins in Products Intended for Animal Feeding. Available online: http://eur-lex.europa.eu/legal-content/EN/TXT/PDF/?uri=CELEX:32006H0576&from=EN (accessed on 11 August 2016).
- Haque, M.A.; Wang, Y.; Shen, Z.; Li, X.; Saleemi, M.K.; He, C. Mycotoxin contamination and control strategy in human, domestic animal and poultry: A review. Microb. Pathog. 2020, 142, 104095. [Google Scholar] [CrossRef]
- Daković, A.; Tomašević-Čanović, M.; Dondur, V.; Vujakovic, A.A.; Radosevic, P. Kinetics of aflatoxin B1 and G2 adsorption on Ca-clinoptilolite. J. Serb. Chem. Soc. 2000, 715–723. [Google Scholar] [CrossRef]
- Tomacevic-Canovic, M.; Dacovic, A.; Markovic, V.; Stojcic, D. The effect of exchangeable cations in clinoptilolite and montmorillonite on the adsorption of aflatoxin B1. J. Serb. Chem. Soc. 2001, 66, 555–561. [Google Scholar] [CrossRef]
- Tomasevic-Canovic, M.; Dakovic, A.; Rottinghaus, G.; Matijasevic, S.; Duricic, M. Surfactant Modified Zeolites—new Efficient Adsorbents for Mycotoxins. Microporous Mesoporous Mater. 2003, 61, 173–180. [Google Scholar] [CrossRef]
- Raksha Rao, K.; Vipin, A.V.; Hariprasad, P.; Anu Appaiah, K.A.; Venkateswaran, G. Biological detoxification of Aflatoxin B1 by Bacillus licheniformis CFR1. Food Control 2017, 71, 234–241. [Google Scholar] [CrossRef]
- Yalcin, N.F.; Avci, T.; Isik, M.K.; Oguz, H. In vitro activity of toxin binders on aflatoxin B1 in poultry gastrointestinal medium. Pak. Vet. J. 2018, 38, 61–65. [Google Scholar] [CrossRef]
- Boudergue, C.; Burel, C.; Dragacci, S.; Favrot, M.; Fremy, J.; Massimi, C.; Prigent, P.; Debongnie, P.; Pussemier, L.; Boudra, H.; et al. Review of mycotoxin-detoxifying agents used as feed additives: Mode of action, efficacy and feed/food safety. EFSA Supporting Publ. 2017, 6. [Google Scholar] [CrossRef]
- Elaroussi, M.A.; Mohamed, F.R.; El Barkouky, E.M.; Atta, A.M.; Abdou, A.M.; Hatab, M.H. Experimental ochratoxicosis in broiler chickens. Avian Pathol. 2006, 35, 263–269. [Google Scholar] [CrossRef]
- Zhao, J.; Shirley, R.B.; Dibner, J.D.; Uraizee, F.; Officer, M.; Kitchell, M.; Vazquez-Anon, M.; Knight, C.D. Comparison of hydrated sodium calcium aluminosilicate and yeast cell wall on counteracting aflatoxicosis in broiler chicks. Poult. Sci. 2010, 89, 2147–2156. [Google Scholar] [CrossRef]
- Ma, Q.; Li, Y.; Fan, Y.; Zhao, L.; Wei, H.; Ji, C.; Zhang, J. Molecular Mechanisms of Lipoic Acid Protection against Aflatoxin B1 -Induced Liver Oxidative Damage and Inflammatory Responses in Broilers. Toxins 2015, 5435–5447. [Google Scholar] [CrossRef]
- Qu, D.; Huang, X.; Han, J.; Man, N. Efficacy of mixed adsorbent in ameliorating ochratoxicosis in broilers fed ochratoxin A contaminated diets. Ital. J. Anim. Sci. 2017, 16, 573–579. [Google Scholar] [CrossRef]
- Malekinezhad, P.; Ellestad, L.E.; Afzali, N.; Farhangfar, S.H.; Omidi, A.; Mohammadi, A. Evaluation of berberine efficacy in reducing the effects of aflatoxin B1 and ochratoxin A added to male broiler rations. Poult. Sci. 2021, 100, 797–809. [Google Scholar] [CrossRef] [PubMed]
- Orguz, H.; Kurtoglu, V. Effect of clinoptilolite on performance of broiler chickens during experimental aflatoxicosis. Br. Poult. Sci. 2000, 41, 512–517. [Google Scholar] [CrossRef] [PubMed]
- Nedeljković-Trailović, J.; Trailović, S.; Resanović, R.; Milićević, D.; Jovanovic, M.; Vasiljevic, M. Comparative investigation of the efficacy of three different adsorbents against OTA-induced toxicity in broiler chickens. Toxins 2015, 7, 1174–1191. [Google Scholar] [CrossRef] [PubMed]
- Salem, R.; El-Habashi, N.; Fadl, E.S.; Sakr, O.A.; Elbialy, I.Z. Effect of probiotic supplement on aflatoxicosis and gene expression in the liver of broiler chicken. Environ. Toxicol. Pharmacol. 2018, 60, 118–127. [Google Scholar] [CrossRef]
- Raj, J.; Vasiljević, M.; Tassis, P.; Farkaš, H.; Bošnjak-Neumüller, J.; Männer, K. Effects of a modified clinoptilolite zeolite on growth performance, health status and detoxification of aflatoxin B1 and ochratoxin A in male broiler chickens. Br. Poult. Sci. 2021, 12, 1–10. [Google Scholar] [CrossRef]
- Tedesco, D.; Steidler, S.; Galletti, S.; Tameni, M.; Sonzogni, O.; Ravarotto, L. Efficacy of silymarin-phospholipid complex in reducing the toxicity of aflatoxin B1 in broiler chicks. Poult. Sci. 2004, 83, 1839–1843. [Google Scholar] [CrossRef]
- Arak, H.; Karimi-Torshizi, M.A.; Hedayati, M.; Rahimi, S. The efficiency of synthetic polymers to ameliorate the adverse effects of Aflatoxin on plasma biochemistry, immune responses, and hepatic genes expression in ducklings. Toxicon 2020, 187, 136–143. [Google Scholar] [CrossRef]
- Denli, M.; Blandon, J.C.; Guynot, M.E.; Salado, S.; Perez, J.F. Effects of dietary AflaDetox on performance, serum biochemistry, histopathological changes, and aflatoxin residues in broilers exposed to aflatoxin B1. Poult. Sci. 2009, 88, 1444–1451. [Google Scholar] [CrossRef]
- Ozer, J.; Ratner, M.; Shaw, M.; Bailey, W.; Schomaker, S. The current state of serum biomarkers of hepatotoxicity. Toxicology 2008, 245, 194–205. [Google Scholar] [CrossRef]
- El-Nekeety, A.A.; Mohamed, S.R.; Hathout, A.S.; Hassan, N.S.; Aly, S.E.; Abdel-Wahhab, M.A. Antioxidant properties of Thymus vulgaris oil against aflatoxin-induce oxidative stress in male rats. Toxicon 2011, 57, 984–991. [Google Scholar] [CrossRef]
- Barati, M.; Chamani, M.; Mousavi, S.N.; Hosein, S.A.; Ebrahimi, M.T.A. Effects of biological and mineral compounds in aflatoxin-contaminated diets on blood parameters and immune response of broiler chickens. J. Appl. Anim. Res. 2018, 46, 707–713. [Google Scholar] [CrossRef]
- Tsiouris, V.; Kontominas, M.G.; Filioussis, G.; Chalvatzi, S.; Giannenas, I.; Papadopoulos, G.; Koutoulis, K.; Fortomaris, P.; Georgopoulou, I. The effect of whey on performance, gut health and bone morphology parameters in broiler chicks. Foods 2020, 9, 588. [Google Scholar] [CrossRef] [PubMed]
- İsmail, A.; Tanay, B.; Hüseyin, E. The Effect of Organic Acid, Zeolite, or Their Combination on Performance, Some Serum Indices, and Ileum PH Values in Broilers Fed with Different Phosphorus Levels. Turk. J. Vet. Anim. Sci. 2011, 35, 337–344. [Google Scholar] [CrossRef]
- Dschaak, C.M.; Eun, J.S.; Young, A.J.; Stott, R.D.; Peterson, S. Effects of Supplementation of Natural Zeolite on Intake, Digestion, Ruminal Fermentation, and Lactational Performance of Dairy Cows. Prof. Anim. Sci. 2010, 26, 647–654. [Google Scholar] [CrossRef]
- Szajewska, H.; Dziechciarz, P.; Mrukowicz, J. Meta-analysis: Smectite in the treatment of acute infectious diarrhoea in children. Aliment. Pharmacol. Ther. 2006, 23, 217–227. [Google Scholar] [CrossRef]
- Shang, Y.; Kumar, S.; Oakley, B.; Kim, W.K. Chicken gut microbiota: Importance and detection technology. Front. Vet. Sci. 2018, 5, 254. [Google Scholar] [CrossRef] [PubMed]
- Khan, S.; Moore, R.J.; Stanley, D.; Chousalkar, K.K. The Gut Microbiota of Laying Hens and Its Manipulation with Prebiotics and Probiotics to Enhance Gut Health and Food Safety. Appl. Environ. Microbiol. 2020, 86. [Google Scholar] [CrossRef] [PubMed]
- Liew, W.P.P.; Mohd-Redzwan, S. Mycotoxin: Its impact on gut health and microbiota. Front. Cell. Infect. Microbiol. 2018, 8. [Google Scholar] [CrossRef]
- Ouethrani, M.; Van de Wiele, T.; Verbeke, E.; Bruneau, A.; Carvalho, M.; Rabot, S.; Camel, V. Metabolic fate of ochratoxin A as a coffee contaminant in a dynamic simulator of the human colon. Food Chem. 2013, 141, 3291–3300. [Google Scholar] [CrossRef]
- Jahanian, E.; Mahdavi, A.H.; Asgary, S.; Jahanian, R. Effects of dietary inclusion of silymarin on performance, intestinal morphology and ileal bacterial count in aflatoxin-challenged broiler chicks. J. Anim. Physiol. Anim. Nutr. 2017, 101, e43–e54. [Google Scholar] [CrossRef]
- Wang, L.C.; Zhang, T.T.; Wen, C.; Jiang, Z.Y.; Wang, T.; Zhou, Y.M. Protective effects of zinc-bearing clinoptilolite on broilers challenged with Salmonella pullorum. Poult. Sci. 2012, 91, 1838–1845. [Google Scholar] [CrossRef] [PubMed]
- Wu, Q.J.; Wang, L.C.; Zhou, Y.M.; Zhang, J.F.; Wang, T. Effects of clinoptilolite and modified clinoptilolite on the growth performance, intestinal microflora, and gut parameters of broilers. Poult. Sci. 2013, 92, 684–692. [Google Scholar] [CrossRef] [PubMed]
- Daković, A.; Tomašević-Čanović, M.; Dondur, V.; Rottinghaus, G.E.; Medaković, V.; Zarić, S. Adsorption of mycotoxins by organozeolites. Colloids Surf. B Biointerfaces 2005, 46, 20–25. [Google Scholar] [CrossRef] [PubMed]
- E.C. 2010. Directive 2010/63/EU of the European Parliament and of the Council of 22 September 2010 on the protection of animals used for scientific purposes. Off. J. Eur. Union 2010, 276, 33.
- Li, W.; Herrman, T.J.; Dai, S.Y. Rapid determination of fumonisins in corn-based products by liquid chromatography/tandem mass spectrometry. J. AOAC Int. 2010, 93, 1472–1481. [Google Scholar] [CrossRef]
- Ren, Y.; Zhang, Y.; Shao, S.; Cai, Z.; Feng, L.; Pan, H.; Wang, Z. Simultaneous determination of multicomponent mycotoxin contaminants in foods and feeds by ultra-performance liquid chromatography tandem mass spectrometry. J. Chromatogr. 2007, 1143, 48–64. [Google Scholar] [CrossRef]
- Tassis, P.D.; Tsakmakidis, I.A.; Nagl, V.; Reisinger, N.; Tzika, E.; Gruber-Dorninger, C.; Michos, I.; Mittas, N.; Basioura, A.; Schatzmayr, D. Individual and Combined In Vitro Effects of Deoxynivalenol and Zearalenone on Boar Semen. Toxins 2020, 12, 495. [Google Scholar] [CrossRef]
- E.C. Commission Regulation (EC) No 152/2009 on laying down the methods of sampling and analysis for the official control of feed. Off. J. Eur. Union 2009, 54, 1–130.
- Chalvatzi, S.; Papadopoulos, G.A.; Tsiouris, V.; Giannenas, I.; Karapanagiotidis, I.T.; Theodoridis, A.; Georgopoulou, I.; Fortomaris, P.D. Dimethylglycine Supplementation in Reduced Energy Broilers’ Diets Restores Performance by Improving Nutrient Digestibility. Animals 2020, 10, 789. [Google Scholar] [CrossRef]
- Novoa-Garrido, M.; Larsen, S.; Kaldhusdal, M. Association between gizzard lesions and increased caecal Clostridium perfringens counts in broiler chickens. Avian Pathol. 2006, 35, 367–372. [Google Scholar] [CrossRef]
- Tsiouris, V.; Georgopoulou, I.; Batzios, C.; Pappaioannou, N.; Diakou, A.; Petridou, E.; Ducatelle, R.; Fortomaris, P. The role of an attenuated anticoccidial vaccine on the intestinal ecosystem and on the pathogenesis of experimental necrotic enteritis in broiler chickens. Avian Pathol. 2013, 42, 163–170. [Google Scholar] [CrossRef] [PubMed][Green Version]
- Tsiouris, V.; Georgopoulou, I.; Batzios, C.; Pappaioannou, N.; Ducatelle, R.; Fortomaris, P. High stocking density as a predisposing factor for necrotic enteritis in broiler chicks. Avian Pathol. 2015, 44, 59–66. [Google Scholar] [CrossRef] [PubMed]
- R Core Team. R: A Language and Environment for Statistical Computing; R Foundation for Statistical Computing: Vienna, Austria, 2013; Available online: http://www.R-project.org/ (accessed on 18 December 2020).
- Pinheiro, J.; Bates, D. Mixed-Effects Models in S and S-PLUS; Springer Science & Business Media: Berlin, Germany, 2006. [Google Scholar]
- Kenward, M.G.; Roger, J.H. Small sample inference for fixed effects from restricted maximum likelihood. Biometrics 1997, 53, 983–997. [Google Scholar] [CrossRef] [PubMed]


| Parameter | Period | Group A Negative Control | Group B Mycotoxins | Group C Mycotoxins+ MMDA 1 g/kg Feed | Group D Mycotoxins+ MMDA 3 g/kg Feed |
|---|---|---|---|---|---|
| Body weight (g) | 1 d | 38 ± 2 | 39 ± 3 | 39 ± 3 | 39 ± 2 |
| 7 d | 131 ± 10 a | 132 ± 9 a | 126 ± 12 b | 131 ± 9 a | |
| 15 d | 384 ± 40 a# | 370 ± 27 a# | 369 ± 32 a# | 382 ± 37 a# | |
| 25 d | 1086 ± 10 a | 1003 ± 74 b | 1007 ± 96 b | 1023 ± 104 b | |
| 32 d | 1763 ± 125 a | 1610 ± 112 b | 1622 ± 123 b | 1599 ± 130 b | |
| 42 d | 2605 ± 217 a | 2440 ± 199 b | 2446 ± 192 b | 2477 ± 205 b | |
| Average daily weight gain (g) * | 1–25 d | 42 ± 1 | 39 ± 1 | 39 ± 1 | 39 ± 2 |
| 25–42 d | 89 ± 1 | 85 ± 1 | 85 ± 3 | 85 ± 5 | |
| 1–42 d | 61 ± 1 | 57 ± 1 | 57 ± 1 | 58 ± 3 | |
| Feed conversion ratio (g:g) | 1–25 d | 1.62 ± 0.04 a | 1.72 ± 0.04 b | 1.73 ± 0.06 b | 1.73 ± 0.05 b |
| 25–42 d | 1.23 ± 0.08 a | 1.40 ± 0.04 b | 1.25 ± 0.02 a | 1.25 ± 0.05 a | |
| 1–42 d | 1.41 ± 0.03 a | 1.50 ± 0.04 b# | 1.44 ± 0.02 ab# | 1.45 ± 0.05 ab# | |
| Adjusted feed conversion ratio (g:g) ¶ | 1–42 d | 1.39 ± 0.02 a | 1.51 ± 0.05 b | 1.45 ± 0.02 ab | 1.45 ± 0.07 ab |
| Parameters (Unit) | Group A Negative Control | Group B Mycotoxins | Group C Mycotoxins+ MMDA 1 g/kg Feed | Group D Mycotoxins+ MMDA 3 g/kg Feed |
|---|---|---|---|---|
| First Blood Sampling (25th day) | ||||
| Total Proteins * (g/dL) | 2.48 ± 0.26 | 2.39 ± 0.28 | 2.23 ± 0.39 | 2.34 ± 0.15 |
| Albumins * (g/dL) | 1.14 ± 0.14 | 1.06 ± 0.14 | 1.02 ± 0.13 | 1.01 ± 0.06 |
| ALP * (U/L) | 3932 ± 788 | 4613 ± 1561 | 5682 ± 1764 | 4887 ± 1486 |
| ALT * (U/L) | 9.69 ± 1.89 | 9.81 ± 4.64 | 7.75 ± 2.05 | 6.19 ± 1.52 |
| AST (U/L) | 111 ± 33 c | 176 ± 23 a | 168 ± 27 a | 125 ± 13 b |
| γ-GT * (U/L) | 5.75 ± 1.57 | 5.75 ± 1.65 | 5.88 ± 1.36 | 6.63 ± 1.26 |
| Glucose * (mg/dL) | 226 ± 22 | 213 ± 27 | 219 ± 14 | 228 ± 9 |
| Cholesterol (mg/dL) | 139 ± 15 a# | 129 ± 17 a | 127 ± 16 a# | 138 ± 17 a# |
| Second Blood Sampling (42nd day) | ||||
| Total Proteins * (g/dL) | 2.96 ± 0.69 | 2.64 ± 0.71 | 2.86 ± 0.87 | 2.69 ± 0.26 |
| Albumins * (g/dL) | 1.40 ± 0.30 | 1.25 ± 0.23 | 1.31 ± 0.34 | 1.24 ± 0.19 |
| ALP * (U/L) | 1727 ± 568 | 2005 ± 645 | 1796 ± 628 | 2012 ± 418 |
| ALT * (U/L) | 5.19 ± 1.76 | 5.8 ± 1.61 | 5.63 ± 2 | 5.25 ± 1.98 |
| AST (U/L) | 126 ± 14 a | 230 ± 39 b | 216 ± 39 b | 226 ± 22 b |
| γ-GT * (U/L) | 7.56 ± 2.16 | 8.27 ± 2.4 | 7.75 ± 2.65 | 7.81 ± 2.48 |
| Glucose * (mg/dL) | 202 ± 24 | 208 ± 31 | 214 ± 29 | 220 ± 20 |
| Cholesterol (mg/dL) | 112 ± 18 ab | 113 ± 14 ab | 121 ± 16 b | 107 ± 16 a |
| Group A Negative Control | Group B Mycotoxins | Group C Mycotoxins+ MMDA 1 g/kg Feed | Group D Mycotoxins+ MMDA 3 g/kg Feed | |
|---|---|---|---|---|
| Gross Lesions score | ||||
| Intestine # | 1.44 ± 0.82 | 1.63 ± 0.71 | 1.65 ± 1.05 | 1.74 ± 0.79 |
| Gizzard ǁ | 0.23 ± 0.42 a | 0.18 ± 0.5 a | 0.08 ± 0.27 a | 0.03 ± 0.16 b |
| Liver ¶ | 0.1 ± 0.3 | 0.15 ± 0.43 | 0.25 ± 0.44 | 0.3 ± 0.46 |
| pH of Intestinal Digesta | ||||
| Duodenum | 5.88 ± 0.53 a | 5.95 ± 0.55 b | 6.02 ± 0.19 b | 5.98 ± 0.11 b |
| Jejunum | 5.89 ± 0.17 a | 6.08 ± 0.15 b | 5.94 ± 0.2a b | 5.84 ± 0.15 a |
| Ileum | 6.39 ± 0.65 a | 5.84 ± 0.88 ab | 5.57 ± 0.65 b | 5.33 ± 0.59 b |
| Caeca | 6.01 ± 0.36 a | 5.97 ± 0.32 a | 6.18 ± 0.22 ab | 6.41 ± 0.36 b |
| Viscosity of Intestinal Digesta | ||||
| Jejunum | 1.39 ± 0.46 | 1.57 ± 0.8 | 1.28 ± 0.39 | 1.5 ± 0.48 |
| Ileum | 1.47 ± 0.56 | 1.58 ± 0.64 | 1.14 ± 0.15 | 1.41 ± 0.46 |
| Group A Negative Control | Group B Mycotoxins | Group C Mycotoxins+ MMDA 1 g/kg Feed | Group D Mycotoxins+ MMDA 3 g/kg Feed | |
|---|---|---|---|---|
| Caecal weight | 8.36 ± 2.54 | 9.1 ± 3.07 | 10.44 ± 4.14 | 9.61 ± 2.72 |
| E. coli | 4.58 ± 0.87 ab | 5.44 ± 0.94 b | 4.04 ± 0.94 a | 4.17 ± 1.08 a |
| Clostridium spp. | 4.47 ± 0.81 | 4.36 ± 0.74 | 3.92 ± 0.82 | 4.19 ± 1.00 |
| Lactobacillus spp. | 6.36 ± 0.66 | 6.47 ± 0.62 | 6.46 ± 0.77 | 6.51 ± 0.66 |
| Bifidobacterium spp. | 5.34 ± 0.62 | 4.91 ± 0.95 | 5.29 ± 1.04 | 5.12 ± 0.92 |
Publisher’s Note: MDPI stays neutral with regard to jurisdictional claims in published maps and institutional affiliations. |
© 2021 by the authors. Licensee MDPI, Basel, Switzerland. This article is an open access article distributed under the terms and conditions of the Creative Commons Attribution (CC BY) license (https://creativecommons.org/licenses/by/4.0/).
Share and Cite
Tsiouris, V.; Tassis, P.; Raj, J.; Mantzios, T.; Kiskinis, K.; Vasiljević, M.; Delić, N.; Petridou, E.; Brellou, G.D.; Polizopoulou, Z.; et al. Investigation of a Novel Multicomponent Mycotoxin Detoxifying Agent in Amelioration of Mycotoxicosis Induced by Aflatoxin-B1 and Ochratoxin A in Broiler Chicks. Toxins 2021, 13, 367. https://doi.org/10.3390/toxins13060367
Tsiouris V, Tassis P, Raj J, Mantzios T, Kiskinis K, Vasiljević M, Delić N, Petridou E, Brellou GD, Polizopoulou Z, et al. Investigation of a Novel Multicomponent Mycotoxin Detoxifying Agent in Amelioration of Mycotoxicosis Induced by Aflatoxin-B1 and Ochratoxin A in Broiler Chicks. Toxins. 2021; 13(6):367. https://doi.org/10.3390/toxins13060367
Chicago/Turabian StyleTsiouris, Vasilios, Panagiotis Tassis, Jog Raj, Tilemachos Mantzios, Konstantinos Kiskinis, Marko Vasiljević, Nikola Delić, Evanthia Petridou, Georgia D. Brellou, Zoe Polizopoulou, and et al. 2021. "Investigation of a Novel Multicomponent Mycotoxin Detoxifying Agent in Amelioration of Mycotoxicosis Induced by Aflatoxin-B1 and Ochratoxin A in Broiler Chicks" Toxins 13, no. 6: 367. https://doi.org/10.3390/toxins13060367
APA StyleTsiouris, V., Tassis, P., Raj, J., Mantzios, T., Kiskinis, K., Vasiljević, M., Delić, N., Petridou, E., Brellou, G. D., Polizopoulou, Z., Mittas, N., & Georgopoulou, I. (2021). Investigation of a Novel Multicomponent Mycotoxin Detoxifying Agent in Amelioration of Mycotoxicosis Induced by Aflatoxin-B1 and Ochratoxin A in Broiler Chicks. Toxins, 13(6), 367. https://doi.org/10.3390/toxins13060367

