Cardiovascular Involvement of a CD138-Negative Anaplastic Myeloma: A Diagnostic Dilemma
Abstract
1. Introduction
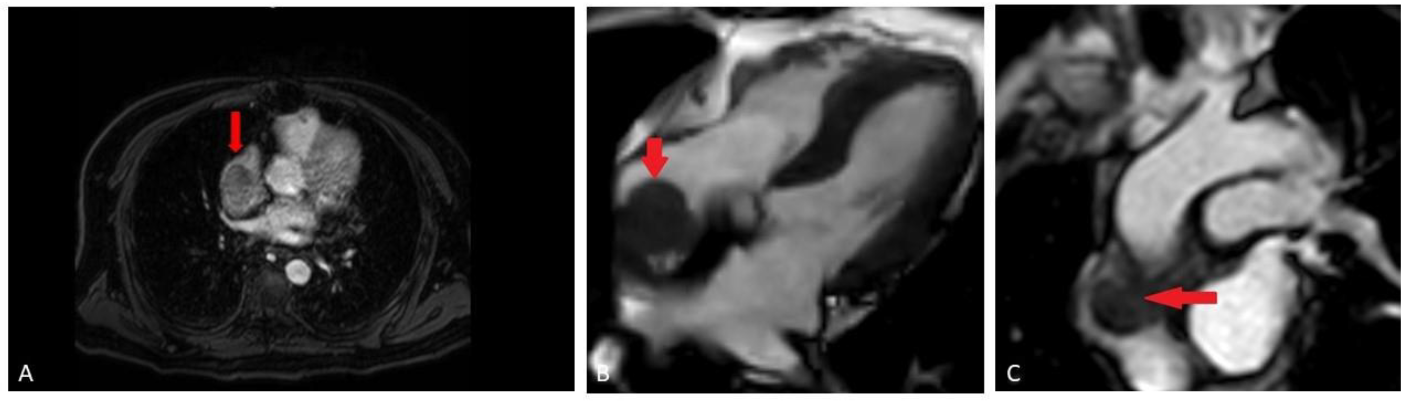
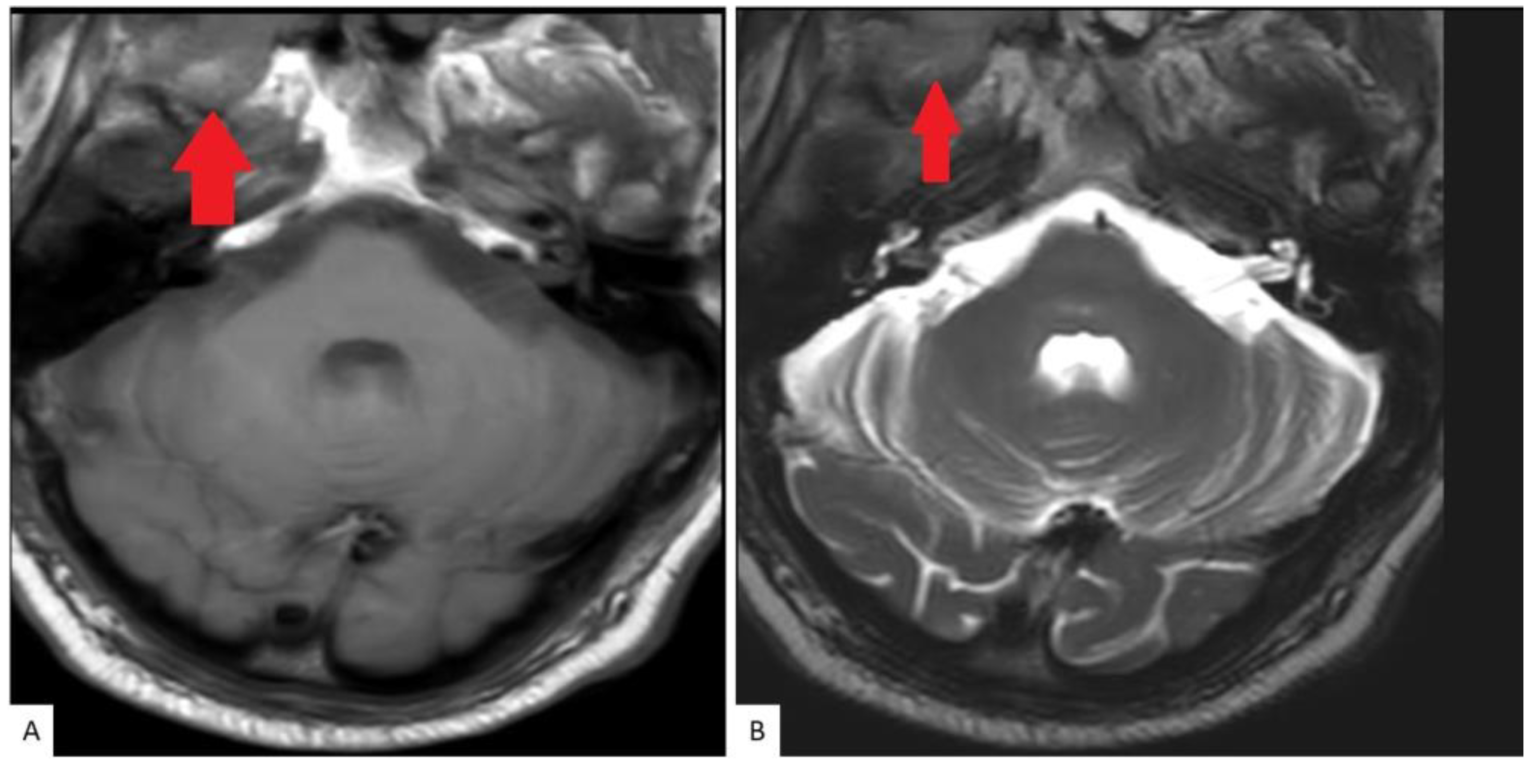
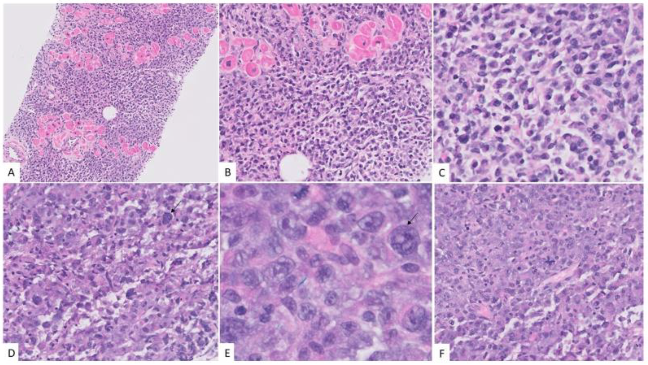
2. Case Presentation
3. Discussion
4. Conclusions
Author Contributions
Funding
Institutional Review Board Statement
Informed Consent Statement
Data Availability Statement
Conflicts of Interest
References
- Foucar, K.; Raber, M.; Foucar, E.; Barlogie, B.; Sandler, C.M.; Alexanian, R. Anaplastic myeloma with massive extramedullary involvement. Report of two cases. Cancer 1983, 51, 166–174. [Google Scholar] [CrossRef] [PubMed]
- Wu, J.; Chu, E.; Chase, C.C.; Choi, T.; Gasparetto, C.; Young, K.; Kang, Y. Anaplastic Multiple Myeloma: Case Series and Literature Review. Asploro J. Biomed. Clin. Case Rep. 2022, 5, 1–11. [Google Scholar] [CrossRef] [PubMed]
- Singh, N.; Agrawal, N.; Mehta, A.; Panaych, A.; Sekhri, R. CD38-Negative Myeloma with Anaplastic Morphology at Presentation: A Case Report. Indian J. Hematol. Blood Transfus. 2018, 34, 362–364. [Google Scholar] [CrossRef] [PubMed]
- Ichikawa, S.; Fukuhara, N.; Hatta, S.; Himuro, M.; Nasu, K.; Ono, K.; Okitsu, Y.; Kobayashi, M.; Onishi, Y.; Ri, M.; et al. Anaplastic multiple myeloma: Possible limitations of conventional chemotherapy for long-term remission. J. Clin. Exp. Hematop. 2018, 58, 39–42. [Google Scholar] [CrossRef] [PubMed]
- Huang, J.X.; Meng, F.J.; Feng, X.Q.; Lyu, X.; Wang, X. Clinical and histopathological analyses of anaplastic myeloma. Chin. Med. J. 2020, 133, 1614–1616. [Google Scholar] [CrossRef] [PubMed]
- Sethi, S.; Miller, I. Plasma cell myeloma with anaplastic transformation. Blood 2016, 128, 2106. [Google Scholar] [CrossRef] [PubMed]
- Michels, T.C.; Petersen, K.E. Multiple Myeloma: Diagnosis and Treatment. Am. Fam. Physician 2017, 95, 373A–383A. Available online: https://pubmed.ncbi.nlm.nih.gov/28318212 (accessed on 15 August 2022).
- Chilosi, M.; Adami, F.; Lestani, M.; Montagna, L.; Cimarosto, L.; Semenzato, G.; Pizzolo, G.; Menestrina, F. CD138/syndecan-1: A useful immunohistochemical marker of normal and neoplastic plasma cells on routine trephine bone marrow biopsies. Mod. Pathol. 1999, 12, 1101–1106. Available online: https://pubmed.ncbi.nlm.nih.gov/10619261 (accessed on 15 August 2022). [PubMed]
- Guan, X.; Jalil, A.; Khanal, K.; Liu, B.; Jain, A.G. Extramedullary Plasmacytoma Involving the Heart: A Case Report and Focused Literature Review. Cureus 2020, 12, e7418. [Google Scholar] [CrossRef] [PubMed]
- Coakley, M.; Yeneneh, B.; Rosenthal, A.; Fonseca, R.; Mookadam, F. Extramedullary Cardiac Multiple Myeloma-A Case Report and Contemporary Review of the Literature. Clin. Lymphoma Myeloma Leuk. 2016, 16, 246–252. [Google Scholar] [CrossRef] [PubMed]
- Keung, Y.K.; Lau, S.; Gill, P. Extramedullary plasmacytoma of the heart presenting as cardiac emergency. Review of literature. Am. J. Clin. Oncol. 1994, 17, 427–429. [Google Scholar] [CrossRef] [PubMed]
- Vigo, F.; Ciammella, P.; Valli, R.; Cagni, E.; Iotti, C. Extraskeletal multiple myeloma presenting with an atrial mass: A case report and a review of the literature. J. Med. Case Rep. 2012, 6, 236. [Google Scholar] [CrossRef] [PubMed]
- Aljabry, M.S. CD38 negative anaplastic plasma cell myeloma with (14;16) translocation: A diagnostic dilemma for highly aggressive neoplasm: Case report. J. Hematop. 2019, 12, 27–30. [Google Scholar] [CrossRef]
- Chen, B.J.; Chuang, S.S. Lymphoid Neoplasms With Plasmablastic Differentiation: A Comprehensive Review and Diagnostic Approaches. Adv. Anat. Pathol. 2020, 27, 61–74. [Google Scholar] [CrossRef] [PubMed]
- Raman Ramalingam, T.; Vaidhyanathan, L.; Pandurangan, P. Anaplastic plasma cell myeloma—A morphological dilemma. Hematol. Transfus. Cell Ther. 2020, 44, 132–133. [Google Scholar] [CrossRef] [PubMed]
- Elsabah, H.; Soliman, D.S.; Ibrahim, F.; Al-Sabbagh, A.; Yassin, M.; Moustafa, A.; Nashwan, A.M.; Nawaz, Z.; ElOmri, H.M. Plasma Cell Myeloma with an Aggressive Clinical Course and Anaplastic Morphology in a 22-Year-Old Patient: A Case Report and Review of Literature. Am. J. Case Rep. 2020, 21, e920489-1–e920489-8. [Google Scholar] [CrossRef] [PubMed]
- Kawano, Y.; Fujiwara, S.; Wada, N.; Izaki, M.; Yuki, H.; Okuno, Y.; Iyama, K.; Yamasaki, H.; Sakai, A.; Mitsuya, H.; et al. Multiple myeloma cells expressing low levels of CD138 have an immature phenotype and reduced sensitivity to lenalidomide. Int. J. Oncol. 2012, 41, 876–884. [Google Scholar] [CrossRef] [PubMed]
- Vega, F.; Chang, C.C.; Medeiros, L.j.; Udden, M.M.; Cho-Vega, J.H.; Lau, C.-C.; Finch, C.J.; Vilchez, R.A.; McGregor, D.; Jorgensen, J.L. Plasmablastic lymphomas and plasmablastic plasma cell myelomas have nearly identical immunophenotypic profiles. Mod. Pathol. 2005, 18, 806–815. [Google Scholar] [CrossRef] [PubMed]






Disclaimer/Publisher’s Note: The statements, opinions and data contained in all publications are solely those of the individual author(s) and contributor(s) and not of MDPI and/or the editor(s). MDPI and/or the editor(s) disclaim responsibility for any injury to people or property resulting from any ideas, methods, instructions or products referred to in the content. |
© 2023 by the authors. Licensee MDPI, Basel, Switzerland. This article is an open access article distributed under the terms and conditions of the Creative Commons Attribution (CC BY) license (https://creativecommons.org/licenses/by/4.0/).
Share and Cite
Choudhuri, J.; Janmey, V.; Ding, J.; Dailey, D.; Shi, Y.; Wang, Y. Cardiovascular Involvement of a CD138-Negative Anaplastic Myeloma: A Diagnostic Dilemma. Hematol. Rep. 2023, 15, 66-72. https://doi.org/10.3390/hematolrep15010007
Choudhuri J, Janmey V, Ding J, Dailey D, Shi Y, Wang Y. Cardiovascular Involvement of a CD138-Negative Anaplastic Myeloma: A Diagnostic Dilemma. Hematology Reports. 2023; 15(1):66-72. https://doi.org/10.3390/hematolrep15010007
Chicago/Turabian StyleChoudhuri, Jui, Victor Janmey, Juan Ding, Denise Dailey, Yang Shi, and Yanhua Wang. 2023. "Cardiovascular Involvement of a CD138-Negative Anaplastic Myeloma: A Diagnostic Dilemma" Hematology Reports 15, no. 1: 66-72. https://doi.org/10.3390/hematolrep15010007
APA StyleChoudhuri, J., Janmey, V., Ding, J., Dailey, D., Shi, Y., & Wang, Y. (2023). Cardiovascular Involvement of a CD138-Negative Anaplastic Myeloma: A Diagnostic Dilemma. Hematology Reports, 15(1), 66-72. https://doi.org/10.3390/hematolrep15010007

