Structural Complexity of Quercus virgiliana Galls Induced by Andricus quercustozae (Hymenoptera: Cynipidae)
Abstract
1. Introduction
2. Materials and Methods
2.1. Gall Sampling and Histological Analysis
2.2. Transcriptome Sampling and RNA-Seq Analysis
3. Results
3.1. Histology
3.1.1. Young Galls Collected in June and July
3.1.2. Growing Galls Collected in August and September
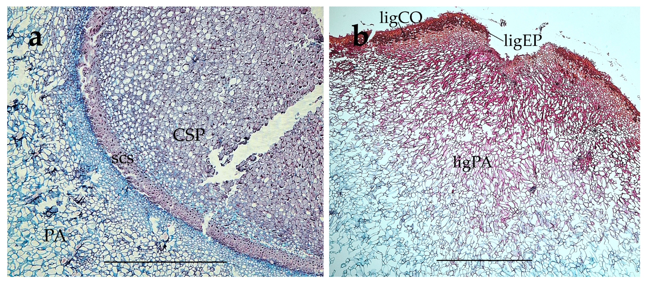
3.1.3. The Mature Gall, Collected in October
3.1.4. The Lignified Gall, Collected in January
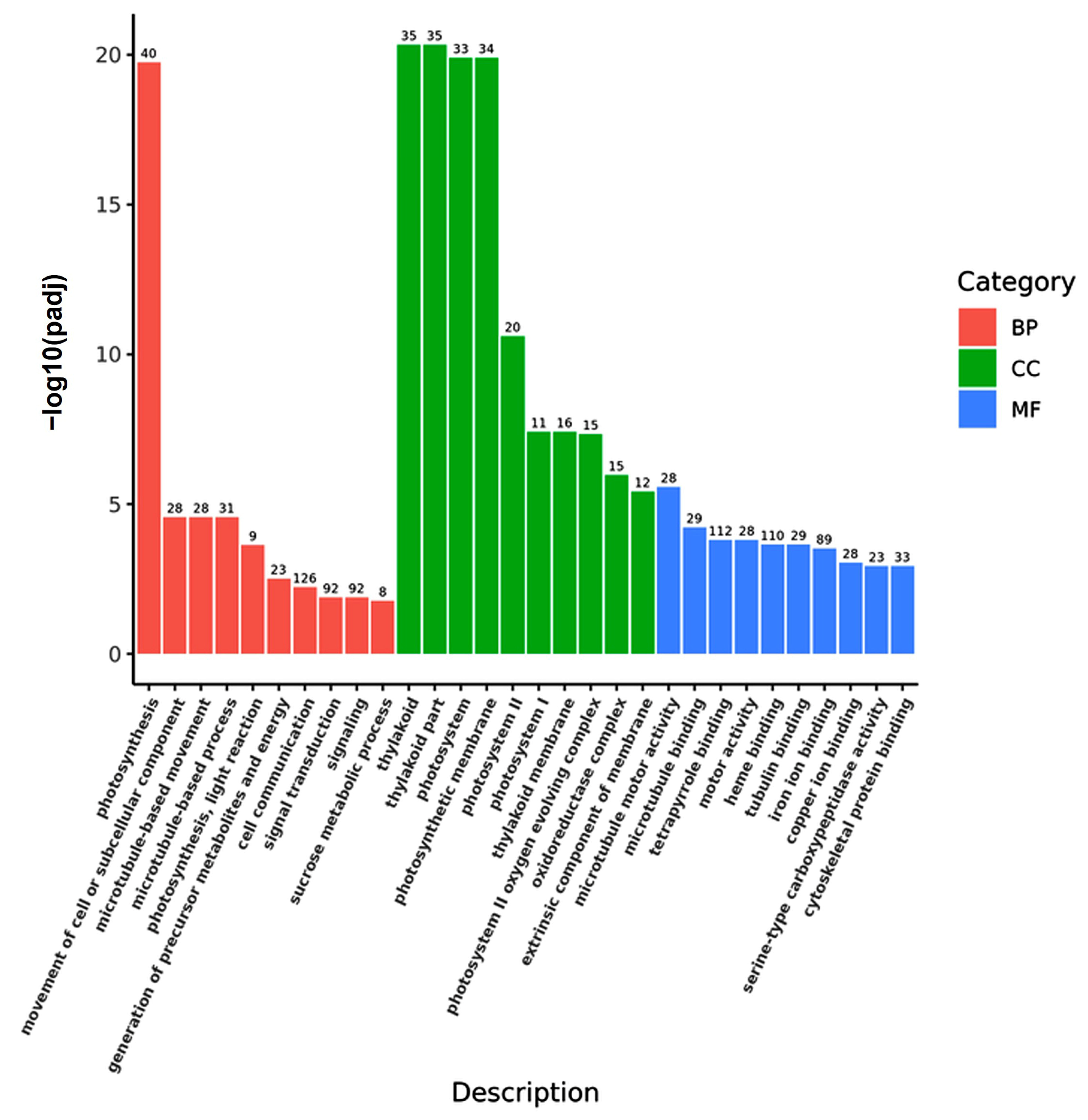
3.2. Transcriptomic Reprogramming During Gall Development
3.2.1. Global Functional Reorganisation of Gall Transcriptomes
3.2.2. Directionality of Transcriptional Changes
3.2.3. Developmental Continuity and Gall-Core Transcriptional Programmes
3.2.4. Pathway-Level Metabolic Reorganisation
3.2.5. Gene-Level Modulation of Secondary Metabolism and Hormone-Related Regulators
3.2.6. Integration of Anatomical and Transcriptomic Evidence
4. Discussion
5. Conclusions
Supplementary Materials
Author Contributions
Funding
Data Availability Statement
Acknowledgments
Conflicts of Interest
Abbreviations
| 1 + 2 vl | First and second valvulae |
| 3 vl | Third valvula |
| bs | Bud scale |
| bu | Bud |
| CO | Collenchyma |
| CSP | Cambial storage parenchyma |
| cu | Cuticle |
| CZ | Crystal zone |
| EP | Epidermis |
| gm | Ground meristem |
| gp | Gonopore |
| lc | Larval chamber |
| ligCO | Lignified collenchyma cell walls |
| ligEP | Lignified epidermal cell walls |
| ligPA | Lignified parenchyma cell walls |
| lp | Leaf primordia |
| md | Mandible |
| NLT | Nutritive-like tissue |
| NT | Nutritive tissue |
| ova | Ovarium |
| PA | Parenchyma |
| pc | Procambium |
| pt | Protoderm |
| scl | Sclereids |
| SCp | Sclerenchyma plate |
| scs | Sclerenchyma sheath |
| se | Setae |
| st | Stalk |
| Vb | Vascular bundle |
| vg | Venom gland |
| vr | Venom reservoir |
References
- Melika, G.; Stone, G.N.; Sadeghi, S.E.; Pujade-Villar, J. New species of cynipid gall wasps from Iran and Turkey (Hymenoptera: Cynipidae: Cynipini). Acta Zool. Acad. Sci. Hung. 2004, 50, 139–151. [Google Scholar]
- Kostoff, D.; Kendall, J. Studies on the structure and development of certain Cynipid galls. Biol. Bull. 1929, 56, 402–458. [Google Scholar] [CrossRef]
- Ashmead, W.H. Classification of the gall-wasps and the parasitic cynipoids, or the super-family Cynipoidea. Psyche 1903, 10, 140–155. [Google Scholar] [CrossRef]
- Larew, H.G. A Comparative Anatomical Study of Galls Caused by the Major Cecidogenetic Groups, with Special Emphasis on the Nutritive Tissue. Ph.D. Thesis, Oregon State University, Corvallis, OR, USA, 1981. [Google Scholar]
- Rohfritsch, O. Patterns in gall development. In Biology of Insect Induced Galls; Shorthouse, J.D., Rohfritsch, O., Eds.; Oxford University Press: New York, NY, USA, 1992; pp. 60–86. [Google Scholar]
- Schönrogge, K.; Crawley, M.J. Quantitative webs as a means of assessing the impact of alien insects. J. Anim. Ecol. 2000, 69, 841–868. [Google Scholar] [CrossRef] [PubMed]
- Stone, G.N.; Schönrogge, K.; Atkinson, R.J.; Bellido, D.; Pujade-Villar, J. The population biology of oak gall wasps (Hymenoptera: Cynipidae). Annu. Rev. Entomol. 2002, 47, 633–668. [Google Scholar] [CrossRef] [PubMed]
- Stone, G.N.; Schönrogge, K. The adaptive significance of insect gall morphology. Trends Ecol. Evol. 2003, 18, 512–522. [Google Scholar] [CrossRef]
- Ferreira, B.G.; Carneiro, R.G.S.; Isaias, R.M.S. Multivesicular bodies differentiate exclusively in nutritive fast-dividing cells in Marcetia taxifolia galls. Protoplasma 2015, 252, 1275–1283. [Google Scholar] [CrossRef]
- Giron, D.; Huguet, E.; Stone, G.N.; Body, M. Insect-induced effects on plants and possible effectors used by galling and leaf-mining insects to manipulate their host-plant. J. Insect Physiol. 2016, 84, 70–89. [Google Scholar] [CrossRef]
- Shorthouse, J.D.; Rohfritsch, O. Biology of Insect-Induced Galls; University Press: New York, NY, USA, 1992; p. 296. [Google Scholar]
- Schönrogge, K.; Harper, L.J.; Lichtenstein, C.P. The protein content of tissues in cynipid galls (Hymenoptera: Cynipidae): Similarities between cynipid galls and seeds. Plant Cell Environ. 2000, 23, 215–222. [Google Scholar] [CrossRef]
- LeBlanc, D.A.; Lacroix, C.R. Developmental potential of galls induced by Diplolepis rosaefolii (Hymenoptera, Cynipidae) on the leaves of Rosa virginiana and the influence of Periclistus species on the Diplolepis rosaefolii galls. Int. J. Plant Sci. 2001, 162, 29–46. [Google Scholar] [CrossRef]
- Markel, K.; Novák, V.; Bowen, B.P.; Tian, Y.; Chen, Y.-C.; Sirirungruang, S.; Zhou, A.; Louie, K.B.; Northen, T.R.; Eudes, A.; et al. Cynipid wasps systematically reprogram host metabolism and restructure cell walls in developing galls. Plant Physiol. 2024, 195, 698–712. [Google Scholar] [CrossRef] [PubMed]
- Hearn, J.; Blaxter, M.; Schὂnrogge, K.; Nieves Aldrey, J.-L.; Pujade-Villar, J.; Huguet, E.; Drezen, J.-M.; Shorthouse, J.D.; Stone, G.N. Genomic dissection of an extended phenotype: Oak galling by a cynipid gall wasp. PLoS Genet. 2019, 15, e1008398. [Google Scholar] [CrossRef]
- Ferreira, B.G.; Moreira, G.R.P.; Carneiro, R.G.S.; Isaias, R.M.S. Complex meristematic activity induced by Eucecidoses minutanus on Schinus engleri turns shoots into galls. Am. J. Bot. 2022, 109, 209–225. [Google Scholar] [CrossRef]
- Isaias, R.M.S.; Arriola, Í.A.; Ferreira, B.G. Meristematic Features Influence on Gall Development. In Plant Galls; Oliveira, D.C.d., Isaias, R.M.d.S., Eds.; Springer: Cham, Switzerland, 2025; pp. 1–17. [Google Scholar] [CrossRef]
- Meyer-Rochow, V.B. Can Molecularly Engineered Plant Galls Help to Ease the Problem of World Food Shortage (and Our Dependence on Pollinating Insects)? Foods 2022, 11, 4014. [Google Scholar] [CrossRef] [PubMed] [PubMed Central]
- Ferreira, B.G.; Álvarez, R.; Bragança, G.P.; Alvarenga, D.R.; Pérez-Hidalgo, N.; Isaias, R.M.S. Feeding and Other Gall Facets: Patterns and Determinants in Gall Structure. Bot. Rev. 2019, 85, 78–106. [Google Scholar] [CrossRef]
- Rey, L.A. Developmental morphology of two types of hymenopterous galls. In Biology of Insect-Induced Galls; Shorthouse, J.D., Rohfritsch, O., Eds.; Oxford University Press: New York, NY, USA, 1992; pp. 87–101. [Google Scholar]
- Mani, M.S. Ecology of Plant Galls; Dr. W. Junk Publishers: The Hague, The Netherlands, 1964; p. 434. [Google Scholar]
- Meyer, J. Plant Galls and Gall Inducers; Gebrüder Bomtraeger: Berlin, Germany, 1987; p. 291. [Google Scholar]
- Bronner, R. The role of nutritive cells in the nutrition of cynipids and cecidomyiids. In Biology of Insect-Induced Galls; Shorthouse, J.D., Rohfritsch, O., Eds.; Oxford University Press: New York, NY, USA, 1992; pp. 118–140. [Google Scholar]
- Moura, M.Z.D.; Soares, G.L.G.; Isaias, R.M.S. Species-specific changes in tissue morphogenesis induced by two arthropod leaf gallers in Lontana camara L. (Verbenaceae). Aust. J. Bot. 2008, 56, 153–160. [Google Scholar] [CrossRef]
- Oliveira, D.C.; Isaias, R.M.S.; Fernandes, G.W.; Ferreira, B.G.; Carneiro, R.G.S.; Fuzaro, L. Manipulation of host plant cells and tissues by gall-inducing insects and adaptive strategies used by different feeding guilds. J. Insect Physiol. 2016, 84, 103–113. [Google Scholar] [CrossRef]
- Ferreira, B.G.; Isaias, R.M.S. Floral-like destiny induced by a galling Cecidomyiidae on the axillary buds of Marcetia taxifolia (Melastomataceae). Flora 2014, 209, 391–400. [Google Scholar] [CrossRef]
- Carneiro, R.G.S.; Isaias, R.M.S. Gradients of metabolite accumulation and redifferentiation of nutritive cells associated with vascular tissues in galls induced by sucking insects. AoB Plants 2015, 7, plv086. [Google Scholar] [CrossRef]
- Ferreira, B.G.; Álvarez, R.; Avritzer, S.C.; Isaias, R.M. Revisiting the histological patterns of storage tissues: Beyond the limits of gall-inducing taxa. Botany 2017, 95, 173–184. [Google Scholar] [CrossRef]
- Kovácsne Koncz, N.; Szabó, L.J.; Jámbrik, K.; Mikóné Hamvas, M. Histologial study of quercus galls of Neuroterus quercusbaccarum (Linnaeus 1758) (Hymenoptera: Cynipidae). Acta Biol. Szeged. 2011, 55, 247–253. [Google Scholar]
- Pires, C.S.S.; Price, P.W. Patterns of Host Plant Growth and Attack and Establishment of Gall-Inducing Wasp (Hymenoptera: Cynipidae). Environ. Entomol. 2000, 29, 49–54. [Google Scholar] [CrossRef]
- Miller, D.G.; Ivey, C.T.; Shedd, J.D. Support for the microenvironment hypothesis for adaptive value of gall induction in the California gall wasp, Andricus quercuscalifornicus. Entomol. Exp. Appl. 2009, 132, 126–133. [Google Scholar] [CrossRef]
- Gilbert, S.F. Developmental Biology: The Questions of Developmental Biology, 6th ed.; Sinauer Associates: Sunderland, MA, USA, 2000; p. 639. [Google Scholar]
- Rodríguez, A.; Gómez, J.F.; Nieves-Aldrey, J.L. Modeling the potential distribution and conservation status of three species of oak gall wasps (Hymenoptera: Cynipidae) in the Iberian range. J. Insect Conserv. 2015, 19, 921–934. [Google Scholar] [CrossRef]
- Martinson, E.O.; Werren, J.H.; Egan, S.P. Tissue-specific gene expression shows a cynipid wasp repurposes oak host gene networks to create a complex and novel parasite-specific organ. Mol. Ecol. 2022, 31, 3228–3240. [Google Scholar] [CrossRef]
- O’Brien, T.P.; McCully, M.E. The Study of Plant Structure: Principles and Selected Methods; Termacarphi PTY. Ltd.: Melbourne, Australia, 1981; p. 357. [Google Scholar]
- Mortazavi, A.; Williams, B.A.; McCue, K.; Schaeffer, L.; Wold, B. Mapping and quantifying mammalian transcriptomes by RNA-Seq. Nat. Methods 2008, 5, 621–628. [Google Scholar] [CrossRef]
- Parkhomchuk, D.; Borodina, T.; Amstislavskiy, V.; Banaru, M.; Hallen, L.; Krobitsch, S.; Lehrach, H.; Soldatov, A. Transcriptome analysis by strand-specific sequencing of complementary DNA. Nucleic Acids Res. 2009, 37, e123. [Google Scholar] [CrossRef] [PubMed]
- ENCODE Project Consortium. The ENCODE (ENCyclopedia of DNA Elements) Project. Science 2004, 306, 636–640. [Google Scholar] [CrossRef]
- Garber, M.; Grabherr, M.G.; Guttman, M.; Trapnell, C. Computational methods for transcriptome annotation and quantification using RNA-seq. Nat. Methods 2011, 8, 469–477. [Google Scholar] [CrossRef]
- Liao, Y.; Smyth, G.K.; Shi, W. featureCounts: An efficient general-purpose program for assigning sequence reads to genomic features. Bioinformatics 2014, 30, 923–930. [Google Scholar] [CrossRef]
- Love, M.I.; Huber, W.; Anders, S. Moderated estimation of fold change and dispersion for RNA-seq data with DESeq2. Genome Biol. 2014, 15, 550. [Google Scholar] [CrossRef]
- Anders, S.; Huber, W. Differential Expression Analysis for Sequence Count Data. Genome Biol. 2010, 11, R106. [Google Scholar] [CrossRef] [PubMed]
- Young, M.D.; Wakefield, M.J.; Smyth, G.K.; Oshlack, A. Gene ontology analysis for RNA-seq: Accounting for selection bias. Genome Biol. 2010, 11, R14. [Google Scholar] [CrossRef]
- Inouye, B.D.; Agrawal, A.A. Ant mutualists alter the composition and attack rate of the parasitoid community for the gall wasp Disholcaspis eldoradensis (Cynipidae). Ecol. Entomol. 2004, 29, 692–696. [Google Scholar] [CrossRef]
- Chen, J. It’s gall relative: Metabolic profiling of two morphologically distinct oak leaf galls induced by cynipid wasps. Plant Physiol. 2024, 195, 248–250. [Google Scholar] [CrossRef]
- Hernández-Soto, P.; Lara-Flores, M.; Agredano-Moreno, L.; Jiménez-García, L.F.; Cue-vas-Reyes, P.; Oyama, K. Developmental morphology of bud galls induced on the vegetative meristems of Quercus castanea by Amphibolips michoacaensis (Hymenoptera: Cynipidae). Bot. Sci. 2015, 93, 685–693. [Google Scholar] [CrossRef]
- Rey, L. La galle de Biorhiza pallida Ol. Etude préliminaire du bourgeon de Quercus pedunculata Ehrh. au moment de l’attaque du parasite. Bull. Soc. Bot. Fr. 1966, 113, 503–514. [Google Scholar] [CrossRef]
- Rey, L. La galle de Biorhiza pallida Bosc. Sur la racine de Quercus pedunculata Ehrh.: Observation de la ponte et de les premières réactions de l’hôte. Comptes Rendus l’Académie Sci. 1967, 264, 2891–2894. [Google Scholar]
- Jankiewicz, L.S.; Guzicka, M.; Marasek-Ciołakowska, A. Structure and Ultrastructure of Three Oak Leaf Galls: Cynips quercusfolii L., Neuroterus numismalis Geoffroy and Cynips longiventris Hartig. Insects 2025, 16, 173. [Google Scholar] [CrossRef]
- Guzicka, M.; Karolewski, P.; Giertyczh, M.J. Structural modification of Quercus petraea leaf caused by Cynips quercusfolii—Histological study of gall. J. Plant Interact. 2017, 12, 7–13. [Google Scholar] [CrossRef]
- Hough, J.S. Studies on the common spangle gall of oak: II. A general consideration of past work on gall induction. New Phytol. 1953, 52, 218–228. [Google Scholar] [CrossRef]
- Jankiewicz, L.S.; Guzicka, M.; Marasek-Ciołakowska, A. Anatomy and ultrastructure of galls induced by Neuroterus quercusbaccarum (Hymenoptera: Cynipidae) on oak leaves (Quercus robur). Insects 2021, 12, 850. [Google Scholar] [CrossRef]
- Raman, A. Gall induction by hemipteroid insects. J. Plant Interact. 2012, 7, 29–44. [Google Scholar] [CrossRef]
- Zeh, M.; Ritter, E.; Ribi, G. Spawning and egg development of Perca fluviatilis in Lake Zürich. Aquat. Sci. 1989, 51, 100–107. [Google Scholar] [CrossRef]
- de Vere, M.W.R.; Gijswijt, M.J. Revision of the European species of Torymus Dalman (Hymenoptera: Torymidae). Zool. Verh. 1998, 317, 1–202. [Google Scholar]
- Price, P.W. Adaptive radiation of gall-inducing insects. Basic Appl. Ecol. 2005, 6, 413–421. [Google Scholar] [CrossRef]
- Shorthouse, J.D.; Leggo, J.J.; Sliva, M.D.; Lalonde, R.G. Has egg location influenced the radiation of Diplolepis (Hymenoptera: Cynipidae) gall wasps on wild roses? Basic Appl. Ecol. 2005, 6, 423–434. [Google Scholar] [CrossRef]
- Vilhelmsen, L. Flexible ovipositor sheaths in parasitoid Hymenoptera (Insecta). Arthr. Struct. Dev. 2003, 32, 277–287. [Google Scholar] [CrossRef]
- Snodgrass, R.E. Principles of Insect Morphology; McGraw-Hill: New York, NY, USA, 1935; 667p. [Google Scholar]
- Fergusson, N.D.M. A comparative study of the structures of phylogenetic importance of female genitalia of the Cynipoidea (Hymenoptera). Syst. Entomol. 1988, 13, 13–30. [Google Scholar] [CrossRef]
- Vårdal, H. Venom gland and reservoir morphology in cynipoid wasps. Arthropod Struct. Dev. 2006, 35, 127–136. [Google Scholar] [CrossRef]
- Sturm, R. Morphology and ultrastructure of the accessory glands in the female genital tract of the house cricket, Acheta domesticus. J. Insect Sci. 2012, 12, 99. [Google Scholar] [CrossRef]
- Field, S.A.; Austin, A.D. Anatomy and mechanics of the telescopic ovipositor system of Scelio latreille (Hymenoptera: Scelionidae) and related genera. Int. J. Insect Morphol. Embryol. 1994, 23, 135–158. [Google Scholar] [CrossRef]
- Quicke, D.L.J.; LeRalec, A.; Vilhelmsen, L. Ovipositor structure and function in the parasitic Hymenoptera with an exploration of new hypotheses. Rendiconti 1999, 47, 197–239. [Google Scholar]
- Fürstenberg-Hägg, J.; Zagrobelny, M.; Bak, S. Plant Defense against Insect Herbivores. Int. J. Mol. Sci. 2013, 14, 10242–10297. [Google Scholar] [CrossRef] [PubMed]
- Schultz, J.C.; Appel, H.M.; Ferrieri, A.P.; Arnold, T.M. Flexible resource allocation during plant defense responses. Front. Plant Sci. 2013, 4, 324. [Google Scholar] [CrossRef]
- Mostafa, S.; Wang, Y.; Zeng, W.; Jin, B. Plant Responses to Herbivory, Wounding, and Infection. Int. J. Mol. Sci. 2022, 23, 7031. [Google Scholar] [CrossRef] [PubMed]
- Schultz, J.C.; Edger, P.P.; Body, M.J.A.; Appel, H.M. A galling insect activates plant reproductive programs during gall development. Sci. Rep. 2019, 9, 1833. [Google Scholar] [CrossRef]
- Jouannet, V.; Brackmann, K.; Greb, T. (Pro)cambium formation and proliferation: Two sides of the same coin? Curr. Opin. Plant Biol. 2015, 23, 54–60. [Google Scholar] [CrossRef]
- Burrows, G.; Chisnall, L.K. Buds buried in bark: The reason why Quercus suber (cork oak) is an excellent post-fire epicormic resprouter. Trees 2016, 30, 241–254. [Google Scholar] [CrossRef]
- Nabity, P.D. Insect-induced plant phenotypes: Revealing mechanisms, through comparative genomics of galling insects and their hosts. Am. J. Bot. 2016, 103, 979–981. [Google Scholar] [CrossRef]
- Kariñho-Betancourt, E.; Hernández-Soto, P.; Calderón-Cortés, N.; Rendón-Anaya, M.; Estrella, A.H.; Oyama, K. Ecological genomics of plant-insect interactions: The case of wasp-induced galls. In Evolutionary Ecology of Plant-Herbivore Interaction; Núñez-Farfán, J., Valverde, P.L., Eds.; Springer Nature Switzerland AG: Cham, Switzerland, 2020; pp. 315–341. [Google Scholar]
- Schultz, J.C.; Stone, G.N. A tale of two tissues: Probing gene expression in a complex insect-induced gall. Mol. Ecol. 2022, 31, 3031–3034. [Google Scholar] [CrossRef] [PubMed]
- Takeda, S.; Yoza, M.; Amano, T.; Ohshima, I.; Hirano, T.; Sato, M.H.; Sakamoto, T.; Kimura, S. Comparative transcriptome analysis of galls from four different host plants suggests the molecular mechanism of gall development. PLoS ONE 2019, 14, e0223686. [Google Scholar] [CrossRef] [PubMed]
- Oates, C.N.; Denby, K.J.; Myburg, A.A.; Slippers, B.; Naidoo, S. Insect Gallers and Their Plant Hosts: From Omics Data to Systems Biology. Int. J. Mol. Sci. 2016, 17, 1891. [Google Scholar] [CrossRef] [PubMed]













Disclaimer/Publisher’s Note: The statements, opinions and data contained in all publications are solely those of the individual author(s) and contributor(s) and not of MDPI and/or the editor(s). MDPI and/or the editor(s) disclaim responsibility for any injury to people or property resulting from any ideas, methods, instructions or products referred to in the content. |
© 2026 by the authors. Licensee MDPI, Basel, Switzerland. This article is an open access article distributed under the terms and conditions of the Creative Commons Attribution (CC BY) license.
Share and Cite
Puljas, S.; Kamenjarin, J.; Šamanić, I. Structural Complexity of Quercus virgiliana Galls Induced by Andricus quercustozae (Hymenoptera: Cynipidae). Int. J. Plant Biol. 2026, 17, 9. https://doi.org/10.3390/ijpb17020009
Puljas S, Kamenjarin J, Šamanić I. Structural Complexity of Quercus virgiliana Galls Induced by Andricus quercustozae (Hymenoptera: Cynipidae). International Journal of Plant Biology. 2026; 17(2):9. https://doi.org/10.3390/ijpb17020009
Chicago/Turabian StylePuljas, Sanja, Juraj Kamenjarin, and Ivica Šamanić. 2026. "Structural Complexity of Quercus virgiliana Galls Induced by Andricus quercustozae (Hymenoptera: Cynipidae)" International Journal of Plant Biology 17, no. 2: 9. https://doi.org/10.3390/ijpb17020009
APA StylePuljas, S., Kamenjarin, J., & Šamanić, I. (2026). Structural Complexity of Quercus virgiliana Galls Induced by Andricus quercustozae (Hymenoptera: Cynipidae). International Journal of Plant Biology, 17(2), 9. https://doi.org/10.3390/ijpb17020009

