Abstract
A key limitation to glioma treatment involves the blood brain barrier (BBB). Convection enhanced delivery (CED) is a technique that uses a catheter placed directly into the brain parenchyma to infuse treatments using a pressure gradient. In this manuscript, we describe the physical principles behind CED along with the common pitfalls and methods for optimizing convection. Finally, we highlight our institutional experience using topotecan CED for the treatment of malignant glioma.
1. Introduction
Glioblastoma (GBM) is the most common and aggressive primary brain tumor, with a remarkable propensity to infiltrate the surrounding brain tissue, making complete resection impossible, recurrence inevitable, and prognosis dismal [1]. The genetic, transcriptional and functional heterogeneity of this malignancy and its microenvironment present a major challenge to the successful application of targeted therapies [2]. The current standard of care consisting of resection, temozolomide [3], and radiation [4] epitomizes the scarcity of major breakthroughs in the past 50 years and the desperate need for more comprehensive and innovative approaches to make transformative contributions in the clinical management of GBM. Although numerous chemotherapeutic drugs demonstrate a significant anti-tumor activity in preclinical studies, their efficacy in clinical trials has been disappointing since systemic delivery fails to achieve therapeutic drug levels in tumor cells due to blood-brain barrier permeability and systemic toxicity [5,6]. Therefore, circumventing the BBB remains a major research topic within CNS oncology, as it is essential for effective anti-tumor response. Multiple techniques including the use of liposomes or chemotherapy laden nanoparticles, focused ultrasound, and even surgical grafts receiving extracranial vessel blood supply are under investigation as mechanisms to bypass the BBB [7,8,9]. Convection enhanced delivery (CED), first described by Bobo et al. in 1994 [10], remains a promising technique for circumventing the BBB and delivering therapy in a non-diffusion dependent manner, thereby facilitating high local concentrations of infusate. This mechanism of bypassing the BBB dramatically increases the number of therapies that can feasibly be used to treat glioma.
Herein, we will explore the applications of CED to the glioma treatment. We will highlight our institutional experience with CED with a special focus on the topoisomerase inhibitor topotecan.
2. Blood Brain Barrier Physiology and Pathophysiology in Glioma
The BBB consists of a network of cells bound together by tight junctions. These cells, endothelial cells surrounding cerebral microvasculature and epithelial cells in the meningeal arachnoid and choroid plexus, work to exclude large hydrophilic molecules, thereby tightly regulating the transit of substances into the CNS. While small lipophilic molecules or gases can pass paracellularly, all other substances must be actively transported transcellularly due to the occlusive tight junctions between cells [11]. Therefore, most chemotherapeutics are excluded from the CNS due to their molecular size or polarity [12].
High-grade glioma is capable of disrupting the neurovascular unit that comprises endothelial BBB. Not only is high-grade glioma characterized by endothelial proliferation, and neovascularization, but tumor cells can physically disrupt the BBB integrity and secrete factors leading to the increased BBB permeability [13,14]. This disruption can lead to a myriad of pathologies including the loss of ionic regulation and epileptogenesis [15] or edema and neurological compromise. The areas with disrupted BBB are surgically resected when possible. The near universal recurrence of GBM highlights the importance of treatments targeting tumor cells invading peritumoral areas, where the BBB remains intact.
3. Convection Enhanced Delivery—Rationale and Mechanisms
Convection relies on a constant hydraulic force that distributes infusate based on a pressure gradient causing bulk flow through the interstitial space. Utilizing this pressure gradient gives CED two key benefits: A larger volume of distribution and a constant concentration of infusate within the volume of distribution. This is in contrast to non-convective methods with systemic delivery, which are diffusion-dependent and rely on a passive concentration gradient for infusate distribution. This passive flow limits infusate distribution to just a few millimeters from the drug source and requires steep concentration gradients for adequate treatment [16].
3.1. Biophysical Properties
CED is achieved using a catheter attached to a hydraulic pump. The catheter is inserted directly into the interstitium of the brain. Infusate is distributed through pressure equalization of the interstitial fluid. Although the different tissue densities of gray or white matter can alter the volume of distribution, the infusate is not bound by these anatomical boundaries. However, the volume of distribution is bound by the pial surface. Unlike non-convective methods where a gradual concentration gradient will occur, infusate delivery is relatively constant across the volume of distribution with a steep drop off outside this volume, which then distributes further by diffusion [10,16].
Mechanical factors important to CED are viscosity of infusate, infusion flow rate, and volume of infusion. In general, the volume of distribution is proportional to the volume of infusion [10,17,18]. Intrinsic molecular properties including size, polarity, binding to extracellular matrix proteins and or enzymes and export through efflux pumps all contribute to the convection volume and persistence of therapy [10,17,18]. Effective flow rates range between 1 and 10 µL/min as higher flow rates are susceptible to backflow and poor convection.
3.2. CED Logistics
Prior to CED, advanced neuroimaging including computed tomography (CT) and magnetic resonance imaging (MRI) are necessary. MR imaging should at minimum include T1, T2, and T1 post-contrast images, which is especially true if gadolinium or another contrast agent is to be injected with the infusate. Additional methods including susceptibility weighted imaging, diffusion weighted imaging, or T2-gradient echo and BOLD-fMRI are helpful in better characterization of necrosis, edema, and functional neuroanatomic structures. In addition, all can help with catheter trajectory planning [16,19]. Tumor volume, areas of necrosis, potential flow voids, proximity to ventricles, peritumoral edema, and vasculature or breaches into the ventricular system are all critical variables for determining the catheter tip placement and optimal convection volume [16].
Historically, the CED infusion time has spanned a few hours to at most a few days. Most studies have had infusions lasting at maximum 96 h. These infusions have used an externalized catheter connected to an infusion pump. Patients generally remain as inpatients in order to help minimize the risk for infection and to facilitate catheter removal. Recent studies have used catheters attached to transcutaneous ports to allow for the infusion which occurs to outpatients, as no externalized hardware is present [20]. Our group has also attempted to address the chronicity but through the use of a subcutaneous implantable pump, as described below [21].
3.3. Pitfalls of CED
Two key considerations that impact the efficacy of CED are backflow or reflux and the presence of pathology near the catheter tip. Reflux or backflow of the infusate can alter this relationship and dramatically diminish the volume of distribution [10,16,22]. Backflow occurs when a pocket forms around the catheter due to mechanical shearing during catheter placement or pressure spikes due to the flow rate. Mechanical shearing can be minimized through the use of soft and thin catheters [23]. Stepped profile cannulas have been shown to limit the reflux even with high flow rate infusions. This design combines a wide bore cannula with a narrow tip attached by a sharp transition or step [24,25]. The presence of pressure spikes can be minimized by the use of porous catheters with multiple infusate outlets preventing occlusions [23].
While systemic toxicity is greatly reduced, CED can be associated with certain complications. A risk of infection (i.e., bacterial meningitis, subdural empyema, abscess at the catheter tip) is rare but has been reported [26]. More common dose limiting toxicities include chemical meningitis or seizure highlighting the need for studies identifying the maximum tolerated dose [27].
Factors related to brain pathology also impact distribution patterns with CED. Areas of necrosis with a lack of interstitial architecture can lead to infusate pooling. Highly vascular regions—common in high-grade glioma—can lead to infusate leaking into systemic circulation [28]. In a phase I trial of CED of the Delta-24-RGD adenovirus in recurrent GBM patients, the treatment infusion was preceded by gadolinium infusion. These studies demonstrated that the leakage of gadolinium into the CSF was associated with the decreased volume of distribution to volume of infusion ratios. Furthermore, they also showed that intratumoral catheter placement led to the decreased volume of distributions likely due to tumor vasculature and necrosis [29]. These considerations are important when combining catheter placement and surgical resection for high grade glioma patients.
4. Convection Enhanced Delivery—The Columbia University Medical Center Experience
4.1. Preclinical Data—Small Animal Models
At our institution, we have repeatedly demonstrated the efficacy of CED in treating orthotopic models of glioblastoma. Our investigational therapies have focused on topoisomerase inhibitors, specifically topotecan (TPT). TPT has a long clinical history demonstrating safety in local and systemic delivery [21,30,31,32,33]. The presence of dose limiting systemic toxicities make it an optimal candidate for local delivery. Moreover, as a topoisomerase 1 inhibitor, it is toxic to glioma cells and relatively non-toxic to the normal brain tissue [34].
The first TPT CED study involved treating rats with orthotopically implanted C6 glioma cells. These mice were treated with intracerebral infusion of topotecan (TPT) through a CED microcatheter. Both a high dose (160 µg/kg/day) and low dose (32 µg/kg/day) CED of topotecan led to complete tumor regression and cure. Notably one mouse in the high-dose group did die from neurological toxicity [34]. This preliminary study showed that TPT CED was safe as animals tolerated the infusion without decreases in weight. More importantly it showed that TPT CED was effective as 11/12 mice became long-term survivors [34]. These results were replicated in an orthotopic syngeneic rat model that relies on retroviral infection with a PDGF-IRES-GFP construct. Infected cells overexpress the platelet derived growth factor (PDGF) and reliably form tumors with characteristic features of glioblastoma including endothelial proliferation, pseudopalisading necrosis, and hypercellularity [35]. Topotecan at a dose of 136 uM was infused for 1, 4, or 7 days. Compared to the control, all topotecan infusion groups had improved survival. Importantly, rats treated with 7 days of topotecan CED had a 1.7× increase in the median survival over rats treated with 4 days of topotecan CED (Figure 1) [35]. The correlation between the prolonged treatment duration and treatment efficacy likely relates to the TPTs mechanism of action. Topotecan is a topoisomerase I inhibitor and thus acts during the S-phase of the cell cycle. The greater duration of treatment ensures that more cells will enter the S-phase and experience the cytotoxic effects of TPT [36].
Figure 1.
Chronic convection enhanced delivery (CED) of topotecan provides a significant survival advantage. Rats with orthotopic virally-induced, platelet derived growth factor (PDGF) driven tumors were treated with CED of topotecan for various days (1, 4, or 7 days). p-values show a comparison to the PBS control. 1, 4, and 7 days CED survival were each significantly greater than PBS (p < 0.05). The median survival for 7 days CED was significantly greater than the other groups, (median survival: PBS—20 dpi, 1 day—23 dpi, 4 day—31 dpi, 7 day—54 dpi; p < 0.05). The figure is reproduced with permission from [35], Cancer Res. 2011.
We have also tested another topoisomerase inhibitor, etoposide, in an orthotopic syngeneic murine model of glioma. This model, which is also driven by PDGF overexpression, shows close transcriptional similarity with human proneural glioma [37,38]. CED with a high dose (80 µM) etoposide for 7 days led to a significant survival benefit with half of the animals becoming long-term survivors; a low dose treatment (4 µM) led to no survival benefit [37]. These findings point to two key factors that drive tumor response: High local concentrations and prolonged duration of treatment.
4.2. Pre-Clinical Data—Large Animal Models
Based on our murine and rodent studies, we hypothesized that prolonged or chronic TPT CED would enhance the therapeutic effect in glioma patients. To this end, we developed a mechanism for an implantable subcutaneous pump (Synchromed II, Medtronic; Minneapolis, MN). We first used a large animal pig model to demonstrate that the subcutaneous pump was safe, and allowed drug distribution for periods ranging from 3–10 days (Figure 2) [21]. We were further able to broaden this pig model by expanding the limits of chronic convection enhanced delivery using an implanted pump. We utilized a total of 12 pigs in which we performed CED using an implantable subcutaneous pump with varying convection durations ranging from 4 to 32 days. In both experiments, TPT concentrations of 136 µM were used. Neurobehavioral side effects were measured showing minimal measurable side effects of prolonged treatment.
Figure 2.
CED using a subcutaneous implantable pump is safe and feasible in a large animal model. A schematic demonstration with the sample MRI of convection volume with co-infusion of topotecan and gadolinium is shown demonstrating a sizeable volume of distribution.
4.3. Gadolinium as a Surrogate for Convection Volumes
The noninvasive methodology for monitoring drug distribution is critical for a successful application of CED in the clinic. To model this in our pig experiments gadodiamide was added to the TPT infusate. For an accurate evaluation of the convection treatment volume, the subcutaneous pump was loaded with a mixture of TPT and gadodiamide. Gadodiamide has a molecular weight of 591.7 g/mol and is freely water soluble, while TPT has a molecular weight of 421.4 g/mol and a solubility in water of 1 mg/mL. Topotecan is a quinolone alkaloid derivative with numerous hexacyclic rings [39,40]. Even with these different physical properties, our data suggest that TPT and gadodiamide distribute in similar patterns when co-infused using CED. We showed that co-infusion of a contrast agent with topotecan would allow gadolinium signal intensity to act as an accurate surrogate for topotecan concentration (Figure 3) [41]. This model also helped determine the time course associated with convection volumes. During the long-term infusions, a maximum contrast enhancement was reached by day 3 or 4. The greatest increase in volume of distribution occurred during the first 48 h. Over the 32 day infusion course, the volume of distribution would decline from the maximum volume until a steady state was achieved. Local anticipated signal hypodensities at the catheter tip were also observed with both changes likely attributable to the local tissue and tumor response to infusion. Again, such radiographic changes were not associated with the neurological deficit or evidence of toxicity [41].
Figure 3.
Topotecan concentration is correlated with the gadolinium absolute pixel intensity of T1 MRI. Studies were conducted in a porcine model using a subcutaneous pump that co-delivered topotecan and gadolinium. Liquid chromatography-mass spectrometry was used for the quantification of topotecan concentration and correlated with the absolute pixel intensity from T1-weighted MRI. The data are reproduced from D’Amico et al., 2019 [41].
4.4. Clinical Experience with Topotecan
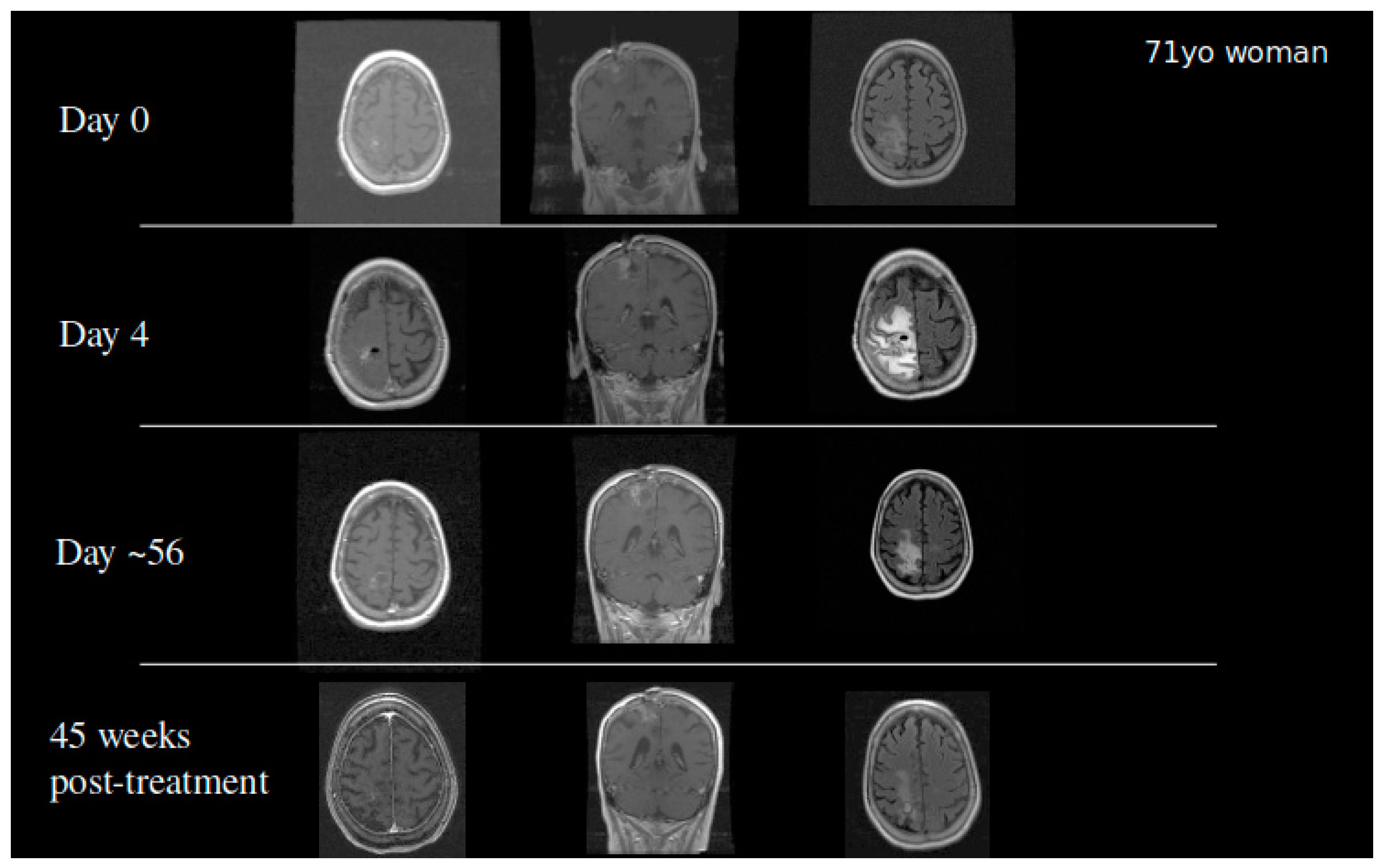
Based on the success of TPT by CED in our animal models, we received FDA approval to conduct a clinical trial in patients with recurrent malignant gliomas. Our initial Phase IB clinical trial studied 10 glioblastoma and six anaplastic astrocytoma patients in a dose escalation study to determine the maximum tolerated dose. Infusions of topotecan continued for 100 h with a flow rate of 200 µL/h. Four dose levels were studied: 0.04, 0.0667, 0.1, and 0.133 mg/mL. We did observe two events of dose limiting toxicity that established the maximum tolerated dose. Eleven out of 16 patients demonstrated either early response or pseudoprogression showing that the infusion of topotecan could lead to tumor specific cell death with minimal adverse events [42]. Patients who had an early response or pseudoprogression on MRI had a significantly improved overall survival. GBM patients in this cohort had a 20%, 2-year survival following the treatment. Two patients became long-term survivors with a survival from treatment of over 10 years [42]. To date, one patient from the cohort remains alive (Figure 4). This finding coupled with the high percentage of patients with tumor response demonstrated that further optimization of treatment regimens may require chronic dosing of therapies through the CED catheter.
Figure 4.
A 71-year-old woman who developed a parietal lobe syndrome on the fourth day of topotecan (TPT) by the CED treatment. Scans are shown at the time of treatment (day 0), at the time the dose limiting toxicity occurred (day 4), 8 weeks after treatment, and 45 weeks after treatment with approximately 90% return to her baseline neurological exam. She was progression free 3 years after the treatment and died just under 4 years post CED.
This patient cohort was evaluated using the HeadMinder Cognitive Stability Index (CSI) and the SF-36 Health Survey (SF-36) at baseline and 4, 8, 12, and 16 weeks post-treatment. These scales tested a host of neurocognitive functions including processing speed, spatial memory, and working memory. The quality of life assessments focused on physical pain, mental health, emotional health, and general vitality. Across both investigatory questionnaires, most patients reported stable or improved scores functioning across these areas at 4 weeks; over 75% of patients reported stable or improved scores at 8 and 16 weeks post-treatment [43].
We also explored the use of TPT CED in the treatment of DIPG. Our experience with two pediatric patients showed that the catheter placement and TPT infusion is technically feasible. We also observed that high infusion rates and high infusion volumes were associated with functional decline. This finding highlights the need for chronic treatment schedules for minimization of potential harms [44].
4.5. Current Chronic CED Clinical Studies
Based on our preclinical data showing that the efficacy of TPT with CED in gliomas improves with the increased treatment duration, we designed a clinical protocol that utilizes the implanted pump strategy validated in our pig model. We received FDA approval to conduct a Phase IB clinical trial in five human GBM patients, using chronic convection enhanced delivery of topotecan through an implantable and programmable subcutaneous pump (Synchromed II, Medtronic; Minneapolis). There were multiple goals of this trial. Primarily, we wanted to prove that chronic convection enhanced delivery via an implantable pump is a safe technique for drug delivery in humans. Furthermore, we wanted to validate the use of gadolinium as a surrogate marker for topotecan drug concentration when co-infused through the convection enhanced delivery catheter. Finally, we wanted to utilize our expertise with MRI-localized biopsies to get both histologic and molecular based analyses of pre-treatment and post-treatment samples to understand the various effects drug infusion can have on the tumor and tumor microenvironment. The full schematic of the clinical trial can be found in Figure 5. The trial was recently concluded and the results are currently being analyzed.
Figure 5.
Diagram outlining the clinical trial parameters for a recently completed Phase IB trial for chronic CED of topotecan in patients with recurrent glioblastoma.
4.6. Best Practices
Our experience has led us to develop a set of best practices for CED clinical trials. Initially, compounds of interest need to be tested in a large animal model prior to initiation of the clinical trial. The most important reason for this is to validate the drug distribution parameters and their correlation with radiological findings such as gadolinium enhancement while proving safety. Newer techniques such as MR spectroscopy or PET imaging may also be important to validate for different classes of therapeutic molecules [45,46,47]. Neurobehavioral testing including performance outcomes are critical for determining dose limiting toxicities associated with CED. Finally, evaluation of the chronicity of treatment should be undertaken in relevant preclinical models to help guide the creation of optimal trial guidelines.
5. Current Landscape of CED Clinical Treatments
There has been an increase in the number of clinical trials utilizing CED. The first study examining CED in malignant brain tumors utilized a transferrin conjugated to a genetically mutated diphtheria toxin [48]. Since then, multiple studies have used chemotherapies such as carboplatin, paclitaxel, or topotecan in patients with recurrent glioma [26,42,49]. These chemotherapies were often found to be too toxic when delivered systemically and are having a renaissance with local delivery. Since 2013, multiple groups including ours have utilized CED for the delivery of chemotherapy in adult brainstem gliomas and pediatric diffuse infiltrating gliomas [44,50,51,52]. Beyond chemotherapies, CED is being used for targeted delivery of cytotoxins with toxin conjugates. These cytotoxins generally work by targeting a surface receptor overexpressed in glioma cells with a protein which is then conjugated to an endotoxin. Phase I and II trials have targeted the IL13 receptor, IL4 receptor, TGF-alpha receptor, and the CD155 receptor to name a few [53,54,55,56]. Desjardins et al. reported on a Phase I clinical trial of 61 patients treated with a dose escalation of a recombinant polio-rhinovirus chimera, which has a particular tropism for CD155 [57]. The other studies have conjugated a cytokine or protein of interest (IL13, IL4, TGF-α) to the pseudomonas exotoxin, thereby targeting this toxin to glioma cells leading to glioma cell specific toxicity [55,58]. Phase II studies have focused on immunological modifiers examining local CED of CpG oligonucleotides as immune agonists [59,60]. Antibody therapies are also being delivered via CED; clinical studies have used radiolabeled antibodies against CD276 in DIPG patients [50], while pre-clinical studies span the gamut from validated antibodies including, cetuximab, bevacizumab to novel designer constructs [61,62,63,64]. A summary of clinical trials using CED for glioma—based on a NCBI pubmed search for “convection enhanced delivery glioma” and “clinical trial”—and their clinical trial parameters can be found in Table 1.
Table 1.
Summary of clinical studies.
These studies highlight two key benefits of CED: The ability to avoid systemic toxicity and maximize locoregional dosing of therapy. Additionally, CED allows the use of new classes of drugs including proteins and novel biologics that would not be feasible with systemic delivery. In all the studies described, however, a true survival benefit remains elusive even with documented tumor regression and treatment response. Even though the benefits of CED have been thoroughly described, one key limitation was the duration of the treatment. Our success prolonging the treatment duration with implantable pumps requires an additional study to overcome current treatment limitations. Of all the published trials, only the trial outlined by Bogdahn et al. utilizes chronic treatment parameters. This trial connected a CED catheter to a subcutaneous port access system and utilized an external pump to allow patients to receive up to 11 treatment cycles in an outpatient setting [65].
6. Investigational Drug Formulation
As described, CED provides a mechanism to improve drug delivery across the BBB. Drug features such as hydrophilicity or size can still impact the distribution through the interstitial space. To optimize drug delivery therapeutics have been combined with various nanoparticle formulations including but not limited to: Liposomes, micelles, and polymeric nanoparticles [71]. The goal of nano-encapsulation of drugs for delivery is to protect compounds from enzymatic degradation or efflux, decrease toxicity, and improve drug targeting and distribution [71]. Many pre-clinical studies have used poly-ethylene glycol (PEG) coated nanoparticles to improve the brain penetration of therapies such as paclitaxel [72,73]. Importantly, PEG can decrease the tumor cell uptake of therapies. The impact of nano-encapsulation on the uptake of therapies needs to be evaluated on a case-by-case basis for each type of nano-encapsulation.
Beyond their applicability in drug delivery, nanoparticles can be used to deliver contrast or radioactive material for accurate MRI or CT imaging of convection volume. These methods have been demonstrated in small and large animal models and multiple clinical trials are ongoing to investigate nanoparticle loading with CED [74,75]. Nanoparticle formulations of panobinostat, a notoriously hydrophobic and unstable drug, are being investigated in CED clinical trials for DIPG patients [76,77].
7. Potential Applications of CED beyond Glioma Therapy
The consistent safety profile seen in CED clinical trials of glioma patients has laid the groundwork for CED to be used in disease processes where systemically delivered drugs have been ineffective. The ability for targeted chronic delivery of compounds—ranging from biologics to small molecules to viruses—directly into the brain parenchyma can have a profound impact on a host of other diseases. Numerous studies have demonstrated the efficacy of CED in animal models of Alzheimer’s disease. These studies in mice and rats use a host of different compounds from bacteriophages, to amyloid degrading enzymes, to viral vectors and antibodies [78,79,80,81]. Moreover, more recent studies show that the efficacy with systemic delivery of antioxidant compounds may benefit from higher concentrations, which could be achieved with local delivery [82,83]. Researchers have also validated the use of CED in non-human primates showing that consistent targeting to deep brain structures, such as the entorhinal cortex or hippocampus, is feasible and safe [84].
The use of CED in Parkinson’s disease (PD) is another burgeoning field. Pre-clinical studies have demonstrated efficacy using CED for the delivery of adenoviral based gene therapies and for the delivery of compounds that prevent oxidative stress and subsequent neurodegeneration [85,86,87]. Phase I experiments delivering glial derived neurotrophic factors or an adenoviral vector delivering aromatic L-amino-acid decarboxylase for PD patients have been undertaken. Although safety has been established with CED to deep brain structures, larger studies are necessary to describe the outcome improvements [88,89,90]. These studies all highlight the potential benefit that CED can have in many disease processes outside of the glioma treatment.
8. Conclusions
CED is a safe, effective, and feasible method for direct intraparenchymal delivery of anti-tumor compounds. It provides a novel and measurable strategy to treat patients with recurrent glioblastoma by achieving a local-regional distribution of a drug directly into the tumor and the surrounding brain bypassing the inherent limitations imposed by conventional systemic delivery. Co-infusion of Gd provides a reliable, measurable, and non-invasive method for monitoring drug distribution in real time. The optimization of this delivery technique in glioma patients now provides the opportunity for these same techniques to be applied to other pathological states. The field has continued to develop with catheters, which are able to minimize backflow, maximize volume of distribution, and even allow for chronic treatment over days to weeks. Future studies may seek to determine safe methods for refillable CED pumps, which can allow for multiple drug treatments spread out in time through a single catheter.
Author Contributions
J.N.B. and P.C., conceived the ideas and conducted all pre-clinical and clinical experiments from the Columbia University Medical Center; E.F.S. conducted and organized the clinical trial; P.S.U, E.F.S. and M.G.A., wrote the original draft preparation; P.S.U. and E.F.S wrote, reviewed, and edited the article. All authors have read and agreed to the published version of the manuscript.
Funding
J.N.B. was supported in part by the NIH grant R01CA161404. This research was funded in part through the NIH/NCI Cancer Center Support Grant P30CA013696, as well as the National Center for Advancing Translational Sciences, National Institutes of Health, grant number UL1TR001873.
Institutional Review Board Statement
Institutional Review Board approval from the IRB Board of Columbia University Irving Medical Center was obtained for all Columbia University Medical Center clinical trials described within this manuscript.
Informed Consent Statement
Informed consent was obtained from all subjects involved in the summarized studies.
Data Availability Statement
Data for this review is publicly available through previously published manuscripts as referenced.
Acknowledgments
The content is solely the responsibility of the authors and does not necessarily represent the official views of the NIH. JNB has a consulting agreement with Theracle, Inc. We thank Eliza Bruce for the illustration.
Conflicts of Interest
The authors declare no conflict of interest.
References
- Gill, B.J.; Pisapia, D.J.; Malone, H.R.; Goldstein, H.; Lei, L.; Sonabend, A.; Yun, J.; Samanamud, J.; Sims, J.S.; Banu, M.; et al. MRI-localized biopsies reveal subtype-specific differences in molecular and cellular composition at the margins of glioblastoma. Proc. Natl. Acad. Sci. USA 2014, 111, 12550–12555. [Google Scholar] [CrossRef] [PubMed]
- Yuan, J.; Levitin, H.M.; Frattini, V.; Bush, E.C.; Boyett, D.M.; Samanamud, J.; Ceccarelli, M.; Dovas, A.; Zanazzi, G.; Canoll, P.; et al. Single-cell transcriptome analysis of lineage diversity in high-grade glioma. Genome Med. 2018, 10, 1–15. [Google Scholar] [CrossRef] [PubMed]
- Stupp, R.; Mason, W.P.; van den Bent, M.J.; Weller, M.; Fisher, B.; Taphoorn, M.J.B.; Belanger, K.; Brandes, A.A.; Marosi, C.; Bogdahn, U.; et al. Radiotherapy plus Concomitant and Adjuvant Temozolomide for Glioblastoma. N. Engl. J. Med. 2005, 352, 987–996. [Google Scholar] [CrossRef]
- Walker, M.D.; Strike, T.A.; Sheline, G.E. An analysis of dose-effect relationship in the radiotherapy of malignant gliomas. Int. J. Radiat. Oncol. 1979, 5, 1725–1731. [Google Scholar] [CrossRef]
- Lesimple, T.; Riffaud, L.; Frappaz, D.; Ben Hassel, M.; Gedouin, D.; Bay, J.-O.; Linassier, C.; Hamlat, A.; Piot, G.; Fabbro, M.; et al. Topotecan in combination with radiotherapy in unresectable glioblastoma: A phase 2 study. J. Neuro-Oncol. 2009, 93, 253–260. [Google Scholar] [CrossRef] [PubMed]
- Falzone, L.; Salomone, S.; Libra, M. Evolution of Cancer Pharmacological Treatments at the Turn of the Third Millennium. Front. Pharmacol. 2018, 9, 1300. [Google Scholar] [CrossRef] [PubMed]
- Patel, N.V.; Khatri, D.; D’Amico, R.; Abrams, M.; Reichman, N.; Filippi, C.G.; Anderson, T.; Ratzon, F.; Wong, T.; Fralin, S.; et al. Vascularized Temporoparietal Fascial Flap: A Novel Surgical Technique to Bypass the Blood-Brain Barrier in Glioblastoma. World Neurosurg. 2020, 143, 38–45. [Google Scholar] [CrossRef]
- Guthkelch, A.N.; Carter, L.P.; Cassady, J.R.; Hynynen, K.H.; Iacono, R.P.; Johnson, P.C.; Obbens, E.A.M.T.; Roemer, R.B.; Seeger, J.F.; Shimm, D.S.; et al. Treatment of malignant brain tumors with focused ultrasound hyperthermia and radiation: Results of a phase I trial. J. Neuro-Oncol. 1991, 10, 271–284. [Google Scholar] [CrossRef]
- Ananda, S.; Nowak, A.K.; Cher, L.; Dowling, A.; Brown, C.; Simes, J.; Rosenthal, M.A. Phase 2 trial of temozolomide and pegylated liposomal doxorubicin in the treatment of patients with glioblastoma multiforme following concurrent radiotherapy and chemotherapy. J. Clin. Neurosci. 2011, 18, 1444–1448. [Google Scholar] [CrossRef]
- Bobo, R.H.; Laske, D.W.; Akbasak, A.; Morrison, P.F.; Dedrick, R.L.; Oldfield, E.H. Convection-enhanced delivery of macromolecules in the brain. Proc. Natl. Acad. Sci. USA 1994, 91, 2076–2080. [Google Scholar] [CrossRef]
- Abbott, N.J.; Rönnbäck, L.; Hansson, E. Astrocyte-endothelial interactions at the blood-brain barrier. Nat. Rev. Neurosci. 2006, 7, 41–53. [Google Scholar] [CrossRef]
- Wolburg, H.; Noell, S.; Mack, A.; Wolburg-Buchholz, K.; Fallier-Becker, P. Brain endothelial cells and the glio-vascular complex. Cell Tissue Res. 2008, 335, 75–96. [Google Scholar] [CrossRef] [PubMed]
- Arismendi-Morillo, G.; Castellano, A. Tumoral micro-blood vessels and vascular microenvironment in human astrocytic tumors. A transmission electron microscopy study. J. Neuro-Oncol. 2005, 73, 211–217. [Google Scholar] [CrossRef] [PubMed]
- Bruce, J.N.; Criscuolo, G.R.; Merrill, M.J.; Moquin, R.R.; Blacklock, J.B.; Oldfield, E.H. Vascular permeability induced by protein product of malignant brain tumors: Inhibition by dexamethasone. J. Neurosurg. 1987, 67, 880–884. [Google Scholar] [CrossRef] [PubMed]
- Mendes, N.F.; Pansani, A.P.; Carmanhães, E.R.; Tange, P.; Meireles, J.V.; Ochikubo, M.; Chagas, J.R.; da Silva, A.V.; Monteiro de Castro, G.; Sueur-Maluf, L. The Blood-Brain Barrier Breakdown during Acute Phase of the Pilocarpine Model of Epilepsy Is Dynamic and Time-Dependent. Front. Neurol. 2019, 10, 382. [Google Scholar] [CrossRef]
- Mehta, A.M.; Sonabend, A.M.; Bruce, J.N. Convection-Enhanced Delivery. Neurotherapeutics 2017, 14, 358–371. [Google Scholar] [CrossRef]
- Souweidane, M.M. Editorial: Convection-enhanced delivery for diffuse intrinsic pontine glioma. J. Neurosurg. Pediatr. 2014, 13, 273–275. [Google Scholar] [CrossRef]
- Ung, T.H.; Malone, H.; Canoll, P.; Bruce, J.N. Convection-enhanced delivery for glioblastoma: Targeted delivery of antitumor therapeutics. CNS Oncol. 2015, 4, 225–234. [Google Scholar] [CrossRef]
- Mohammed, W.; Hong, X.N.; Haibin, S.; Jingzhi, M. Clinical applications of susceptibility-weighted imaging in detecting and grading intracranial gliomas: A review. Cancer Imaging 2013, 13, 186–195. [Google Scholar] [CrossRef]
- Barua, N.U.; Hopkins, K.; Woolley, M.; O’Sullivan, S.; Harrison, R.; Edwards, R.J.; Bienemann, A.S.; Wyatt, M.J.; Arshad, A.; Gill, S.S. A novel implantable catheter system with transcutaneous port for intermittent convection-enhanced delivery of carboplatin for recurrent glioblastoma. Drug Deliv. 2014, 23, 167–173. [Google Scholar] [CrossRef]
- Sonabend, A.M.; Stuart, R.M.; Yun, J.; Yanagihara, T.; Mohajed, H.; Dashnaw, S.; Bruce, S.S.; Brown, T.; Romanov, A.; Sebastian, M.; et al. Prolonged intracerebral convection-enhanced delivery of topotecan with a subcutaneously implantable infusion pump. Neuro-Oncology 2011, 13, 886–893. [Google Scholar] [CrossRef] [PubMed]
- Zhou, Z.; Singh, R.; Souweidane, M.M. Convection-Enhanced Delivery for Diffuse Intrinsic Pontine Glioma Treatment. Curr. Neuropharmacol. 2016, 15, 116–128. [Google Scholar] [CrossRef]
- Sillay, K.A.; McClatchy, S.G.; Shepherd, B.A.; Venable, G.T.; Fuehrer, T.S. Image-guided Convection-enhanced Delivery into Agarose Gel Models of the Brain. J. Vis. Exp. 2014, e51466. [Google Scholar] [CrossRef] [PubMed]
- Yin, D.; Forsayeth, J.; Bankiewicz, K.S. Optimized cannula design and placement for convection-enhanced delivery in rat striatum. J. Neurosci. Methods 2010, 187, 46–51. [Google Scholar] [CrossRef] [PubMed]
- Lewis, O.; Woolley, M.; Johnson, D.; Rosser, A.E.; Barua, N.U.; Bienemann, A.S.; Gill, S.S.; Evans, S.L. Chronic, intermittent convection-enhanced delivery devices. J. Neurosci. Methods 2016, 259, 47–56. [Google Scholar] [CrossRef] [PubMed]
- Lidar, Z.; Mardor, Y.; Jonas, T.; Pfeffer, R.; Faibel, M.; Nass, D.; Hadani, M.; Ram, Z. Convection-enhanced delivery of paclitaxel for the treatment of recurrent malignant glioma: A Phase I/II clinical study. J. Neurosurg. 2004, 100, 472–479. [Google Scholar] [CrossRef] [PubMed]
- Shi, M.; Sanche, L. Convection-Enhanced Delivery in Malignant Gliomas: A Review of Toxicity and Efficacy. J. Oncol. 2019, 2019, 1–13. [Google Scholar] [CrossRef]
- Varenika, V.; Dickinson, P.; Bringas, J.; Lecouteur, R.; Higgins, R.; Park, J.; Fiandaca, M.; Berger, M.; Sampson, J.; Bankiewicz, K.S. Detection of infusate leakage in the brain using real-time imaging of convection-enhanced delivery. J. Neurosurg. 2008, 109, 874–880. [Google Scholar] [CrossRef]
- Van Putten, E.H.; Wembacher-Schröder, E.; Smits, M.; Dirven, C.M. Magnetic Resonance Imaging–Based Assessment of Gadolinium-Conjugated Diethylenetriamine Penta-Acetic Acid Test-Infusion in Detecting Dysfunction of Convection-Enhanced Delivery Catheters. World Neurosurg. 2016, 89, 272–279. [Google Scholar] [CrossRef]
- Bruce, J.N.; Falavigna, A.; Johnson, J.P.; Hall, J.S.; Birch, B.D.; Yoon, J.T.; Wu, E.X.; Fine, R.L.; Parsa, A.T. Intracerebral clysis in a rat glioma model. Neurosurgery 2000, 46, 683–691. [Google Scholar] [CrossRef]
- Yamashita, Y.; Krauze, M.T.; Kawaguchi, T.; Noble, C.O.; Drummond, D.C.; Park, J.W.; Bankiewicz, K.S. Convection-enhanced delivery of a topoisomerase I inhibitor (nanoliposomal topotecan) and a topoisomerase II inhibitor (pegylated liposomal doxorubicin) in intracranial brain tumor xenografts1. Neuro-Oncology 2007, 9, 20–28. [Google Scholar] [CrossRef] [PubMed]
- Mitchell, A.B.; Vasilyeva, A.; Gajjar, A.; Santana, V.M.; Stewart, C.F. Determining success rates of the current pharmacokinetically guided dosing approach of topotecan in pediatric oncology patients. Pediatr. Blood Cancer 2018, 66, e27578. [Google Scholar] [CrossRef] [PubMed]
- Perkins, J.B.; Goldstein, S.C.; Dawson, J.L.; Kim, J.; Field, T.L.; Partyka, J.S.; Fields, K.K.; Maddox, B.L.; Simonelli, C.E.; Neuger, A.M.; et al. Phase I Study of Topotecan, Ifosfamide, and Etoposide (TIME) with Autologous Stem Cell Transplant in Refractory Cancer: Pharmacokinetic and Pharmacodynamic Correlates. Clin. Cancer Res. 2011, 17, 7743–7753. [Google Scholar] [CrossRef] [PubMed]
- Kaiser, M.G.; Parsa, A.T.; Fine, R.L.; Hall, J.S.; Chakrabarti, I.; Bruce, J.N. Tissue distribution and antitumor activity of topotecan delivered by intracerebral clysis in a rat glioma model. Neurosurgery 2000, 47, 1391–1398; discussion 1398–1399. [Google Scholar] [CrossRef]
- Lopez, K.A.; Tannenbaum, A.M.; Assanah, M.C.; Linskey, K.; Yun, J.; Kangarlu, A.; Gil, O.D.; Canoll, P.; Bruce, J.N. Convection-Enhanced Delivery of Topotecan into a PDGF-Driven Model of Glioblastoma Prolongs Survival and Ablates Both Tumor-Initiating Cells and Recruited Glial Progenitors. Cancer Res. 2011, 71, 3963–3971. [Google Scholar] [CrossRef]
- Mei, C.; Lei, L.; Tan, L.-M.; Xu, X.-J.; He, B.-M.; Luo, C.; Yin, J.-Y.; Li, X.; Zhang, W.; Zhou, H.-H.; et al. The role of single strand break repair pathways in cellular responses to camptothecin induced DNA damage. Biomed. Pharmacother. 2020, 125, 109875. [Google Scholar] [CrossRef]
- Sonabend, A.M.; Carminucci, A.S.; Amendolara, B.; Bansal, M.; Leung, R.; Lei, L.; Realubit, R.; Li, H.; Karan, C.; Yun, J.; et al. Convection-enhanced delivery of etoposide is effective against murine proneural glioblastoma. Neuro-Oncology 2014, 16, 1210–1219. [Google Scholar] [CrossRef]
- Sonabend, A.M.; Bansal, M.; Guarnieri, P.; Lei, L.; Amendolara, B.; Soderquist, C.; Leung, R.; Yun, J.; Kennedy, B.; Sisti, J.; et al. The transcriptional regulatory network of proneural glioma determines the genetic alterations selected during tumor progression. Cancer Res. 2014, 74, 1440–1451. [Google Scholar] [CrossRef]
- PubChem. Gadodiamide. Available online: https://pubchem.ncbi.nlm.nih.gov/compound/Gadodiamide (accessed on 18 December 2020).
- PubChem. Topotecan. Available online: https://pubchem.ncbi.nlm.nih.gov/compound/topotecan (accessed on 8 December 2020).
- D’Amico, R.S.; Neira, J.A.; Yun, J.; Alexiades, N.G.; Banu, M.; Englander, Z.K.; Kennedy, B.C.; Ung, T.H.; Rothrock, R.J.; Romanov, A.; et al. Validation of an effective implantable pump-infusion system for chronic convection-enhanced delivery of intracerebral topotecan in a large animal model. J. Neurosurg. 2020, 133, 614–623. [Google Scholar] [CrossRef]
- Bruce, J.N.; Fine, R.L.; Canoll, P.; Yun, J.; Kennedy, B.C.; Rosenfeld, S.S.; Sands, S.A.; Surapaneni, K.; Lai, R.; Yanes, C.L.; et al. Regression of Recurrent Malignant Gliomas with Convection-Enhanced Delivery of Topotecan. Neurosurgery 2011, 69, 1272–1279; discussion 1279–1280. [Google Scholar] [CrossRef]
- Oberg, J.A.; Dave, A.N.; Bruce, J.N.; Sands, S.A. Neurocognitive functioning and quality of life in patients with recurrent malignant gliomas treated on a phase Ib trial evaluating topotecan by convection-enhanced delivery. Neuro-Oncol. Pract. 2014, 1, 94–100. [Google Scholar] [CrossRef] [PubMed]
- Anderson, R.C.E.; Kennedy, B.; Yanes, C.L.; Garvin, J.; Needle, M.; Canoll, P.; Feldstein, N.A.; Bruce, J.N. Convection-enhanced delivery of topotecan into diffuse intrinsic brainstem tumors in children. J. Neurosurg. Pediatr. 2013, 11, 289–295. [Google Scholar] [CrossRef]
- Pöpperl, G.; Goldbrunner, R.; Gildehaus, F.J.; Kreth, F.W.; Tanner, P.; Holtmannspötter, M.; Tonn, J.C.; Tatsch, K. O-(2-[18F]fluoroethyl)-l-tyrosine PET for monitoring the effects of convection-enhanced delivery of paclitaxel in patients with recurrent glioblastoma. Eur. J. Nucl. Med. Mol. Imaging 2005, 32, 1018–1025. [Google Scholar] [CrossRef] [PubMed]
- Singh, R.; Zhou, Z.; Tisnado, J.; Haque, S.; Peck, K.K.; Young, R.J.; Tsiouris, A.J.; Thakur, S.B.; Souweidane, M.M. A novel magnetic resonance imaging segmentation technique for determining diffuse intrinsic pontine glioma tumor volume. J. Neurosurg. Pediatr. 2016, 18, 565–572. [Google Scholar] [CrossRef] [PubMed]
- Guisado, D.I.; Singh, R.; Minkowitz, S.; Zhou, Z.; Haque, S.; Peck, K.K.; Young, R.J.; Tsiouris, A.J.; Souweidane, M.M.; Thakur, S.B. A Novel Methodology for Applying Multivoxel MR Spectroscopy to Evaluate Convection-Enhanced Drug Delivery in Diffuse Intrinsic Pontine Gliomas. Am. J. Neuroradiol. 2016, 37, 1367–1373. [Google Scholar] [CrossRef] [PubMed]
- Laske, D.W.; Youle, R.J.; Oldfield, E.H. Tumor regression with regional distribution of the targeted toxin TF-CRM107 in patients with malignant brain tumors. Nat. Med. 1997, 3, 1362–1368. [Google Scholar] [CrossRef]
- White, E.; Bienemann, A.; Taylor, H.; Hopkins, K.; Cameron, A.L.; Gill, S.S. A phase I trial of carboplatin administered by convection-enhanced delivery to patients with recurrent/progressive glioblastoma multiforme. Contemp. Clin. Trials 2012, 33, 320–331. [Google Scholar] [CrossRef]
- Souweidane, M.M.; Kramer, K.; Pandit-Taskar, N.; Zhou, Z.; Haque, S.; Zanzonico, P.; Carrasquillo, J.A.; Lyashchenko, S.K.; Thakur, S.B.; Donzelli, M.; et al. Convection-enhanced delivery for diffuse intrinsic pontine glioma: A single-centre, dose-escalation, phase 1 trial. Lancet Oncol. 2018, 19, 1040–1050. [Google Scholar] [CrossRef]
- Heiss, J.D.; Jamshidi, A.; Shah, S.; Martin, S.; Wolters, P.L.; Argersinger, D.P.; Warren, K.E.; Lonser, R.R. Phase I trial of convection-enhanced delivery of IL13-Pseudomonas toxin in children with diffuse intrinsic pontine glioma. J. Neurosurg. Pediatr. 2019, 23, 333–342. [Google Scholar] [CrossRef]
- Saito, R.; Kanamori, M.; Sonoda, Y.; Yamashita, Y.; Nagamatsu, K.; Murata, T.; Mugikura, S.; Kumabe, T.; Wembacher-Schroeder, E.; Thomson, R.; et al. Phase I trial of convection-enhanced delivery of nimustine hydrochloride (ACNU) for brainstem recurrent glioma. Neuro-Oncol. Adv. 2020, 2. [Google Scholar] [CrossRef]
- Rand, R.W.; Kreitman, R.J.; Patronas, N.; Varricchio, F.; Pastan, I.; Puri, R.K. Intratumoral administration of recombinant circularly permuted interleukin-4-Pseudomonas exotoxin in patients with high-grade glioma. Clin. Cancer Res. 2000, 6, 2157–2165. [Google Scholar] [PubMed]
- Weber, F.W.; Floeth, F.; Asher, A.; Bucholz, R.; Berge, M.; Pradoss, M.; Chang, S.; Bruces, J.; Hall, W.; Raino, N.G.; et al. Local convection enhanced delivery of IL4-Pseudomonas exotoxin (NBI-3001) for treatment of patients with recurrent malignant glioma. Oper. Neuromodul. 2003, 88, 93–103. [Google Scholar] [CrossRef]
- Kunwar, S. Convection enhanced delivery of IL13-PE38QQR for treatment of recurrent malignant glioma: Presentation of interim findings from ongoing phase 1 studies. Oper. Neuromodul. 2003, 88, 105–111. [Google Scholar] [CrossRef]
- Sampson, J.H.; Akabani, G.; Archer, G.E.; Bigner, D.D.; Berger, M.S.; Friedman, A.H.; Friedman, H.S.; Ii, J.E.H.; Kunwar, S.; Marcus, S.; et al. Progress Report of a Phase I Study of the Intracerebral Microinfusion of a Recombinant Chimeric Protein Composed of Transforming Growth Factor (TGF)-α and a Mutated form of the Pseudomonas Exotoxin Termed PE-38 (TP-38) for the Treatment of Malignant Brain Tumors. J. Neuro-Oncol. 2003, 65, 27–35. [Google Scholar] [CrossRef]
- Desjardins, A.; Gromeier, M.; Ii, J.E.H.; Beaubier, N.; Bolognesi, D.P.; Friedman, A.H.; Friedman, H.S.; McSherry, F.; Muscat, A.; Nair, S.; et al. Recurrent Glioblastoma Treated with Recombinant Poliovirus. N. Engl. J. Med. 2018, 379, 150–161. [Google Scholar] [CrossRef]
- Shimamura, T.; Husain, S.R.; Puri, R.K. The IL-4 and IL-13 pseudomonas exotoxins: New hope for brain tumor therapy. Neurosurg. Focus 2006, 20, E11. [Google Scholar] [CrossRef]
- Carpentier, A.; Laigle-Donadey, F.; Zohar, S.; Capelle, L.; Behin, A.; Tibi, A.; Martin-Duverneuil, N.; Sanson, M.; Lacomblez, L.; Taillibert, S.; et al. Phase 1 trial of a CpG oligodeoxynucleotide for patients with recurrent glioblastoma. Neuro-Oncology 2006, 8, 60–66. [Google Scholar] [CrossRef]
- Carpentier, A.F.; Metellus, P.; Ursu, R.; Zohar, S.; Lafitte, F.; Barrié, M.; Meng, Y.; Richard, M.; Parizot, C.; Laigle-Donadey, F.; et al. Intracerebral administration of CpG oligonucleotide for patients with recurrent glioblastoma: A phase II study. Neuro-Oncology 2010, 12, 401–408. [Google Scholar] [CrossRef]
- Hadjipanayis, C.G.; Machaidze, R.; Kaluzova, M.; Wang, L.; Schuette, A.J.; Chen, H.; Wu, X.; Mao, H. EGFRvIII Antibody-Conjugated Iron Oxide Nanoparticles for Magnetic Resonance Imaging-Guided Convection-Enhanced Delivery and Targeted Therapy of Glioblastoma. Cancer Res. 2010, 70, 6303–6312. [Google Scholar] [CrossRef]
- Platt, S.R.; Nduom, E.K.; Kent, M.; Freeman, C.; Machaidze, R.; Kaluzova, M.; Wang, L.; Mao, H.; Hadjipanayis, C.G. Canine Model of Convection-Enhanced Delivery of Cetuximab-Conjugated Iron-Oxide Nanoparticles Monitored with Magnetic Resonance Imaging. Clin. Neurosurg. 2012, 59, 107–113. [Google Scholar] [CrossRef]
- Chandramohan, V.; Bao, X.; Keir, S.T.; Pegram, C.N.; Szafranski, S.E.; Piao, H.; Wikstrand, C.J.; McLendon, R.E.; Kuan, C.-T.; Pastan, I.H.; et al. Construction of an Immunotoxin, D2C7-(scdsFv)-PE38KDEL, Targeting EGFRwt and EGFRvIII for Brain Tumor Therapy. Clin. Cancer Res. 2013, 19, 4717–4727. [Google Scholar] [CrossRef] [PubMed]
- Wang, W.; Sivakumar, W.; Torres, S.; Jhaveri, N.; Vaikari, V.P.; Gong, A.; Howard, A.; Golden, E.B.; Louie, S.G.; Schönthal, A.H.; et al. Effects of convection-enhanced delivery of bevacizumab on survival of glioma-bearing animals. Neurosurg. Focus 2015, 38, E8. [Google Scholar] [CrossRef] [PubMed]
- Bogdahn, U.; Hau, P.; Stockhammer, G.; Venkataramana, N.K.; Mahapatra, A.K.; Suri, A.A.; Balasubramaniam, A.; Nair, S.; Oliushine, V.; Parfenov, V.; et al. Targeted therapy for high-grade glioma with the TGF-β2 inhibitor trabedersen: Results of a randomized and controlled phase IIb study. Neuro-Oncology 2011, 13, 132–142. [Google Scholar] [CrossRef] [PubMed]
- Kunwar, S.; Chang, S.M.; Westphal, M.; Vogelbaum, M.; Sampson, J.; Barnett, G.; Shaffrey, M.; Ram, Z.; Piepmeier, J.; Prados, M.; et al. Phase III randomized trial of CED of IL13-PE38QQR vs Gliadel wafers for recurrent glioblastoma. Neuro-Oncology 2010, 12, 871–881. [Google Scholar] [CrossRef] [PubMed]
- Sampson, J.H.; Akabani, G.; Archer, G.E.; Berger, M.S.; Coleman, R.E.; Friedman, A.H.; Friedman, H.S.; Greer, K.; Herndon, J.E.; Kunwar, S.; et al. Intracerebral infusion of an EGFR-targeted toxin in recurrent malignant brain tumors. Neuro-Oncology 2008, 10, 320–329. [Google Scholar] [CrossRef]
- Vogelbaum, M.A.; Sampson, J.H.; Kunwar, S.; Chang, S.M.; Shaffrey, M.; Asher, A.L.; Lang, F.F.; Croteau, D.; Parker, K.; Grahn, A.Y.; et al. Convection-enhanced delivery of cintredekin besudotox (interleukin-13-PE38QQR) followed by radiation therapy with and without temozolomide in newly diagnosed malignant gliomas: Phase 1 study of final safety results. Neurosurgery 2007, 61, 1031–1037; discussion 1037–1038. [Google Scholar] [CrossRef]
- Kunwar, S.; Prados, M.D.; Chang, S.M.; Berger, M.S.; Lang, F.F.; Piepmeier, J.M.; Sampson, J.H.; Ram, Z.; Gutin, P.H.; Gibbons, R.D.; et al. Direct Intracerebral Delivery of Cintredekin Besudotox (IL13-PE38QQR) in Recurrent Malignant Glioma: A Report by the Cintredekin Besudotox Intraparenchymal Study Group. J. Clin. Oncol. 2007, 25, 837–844. [Google Scholar] [CrossRef]
- Sampson, J.H.; Brady, M.L.; Petry, N.A.; Croteau, D.; Friedman, A.H.; Friedman, H.S.; Wong, T.; Bigner, D.D.D.; Pastan, I.; Puri, R.K.K.; et al. Intracerebral Infusate Distribution by Convection-enhanced Delivery in Humans with Malignant Gliomas: Descriptive Effects of Target Anatomy and Catheter Positioning. Oper. Neurosurg. 2007, 60, ONS-89–ONS-98; discussion ONS98–ONS99. [Google Scholar] [CrossRef]
- Seo, Y.-E.; Bu, T.; Saltzman, W.M. Nanomaterials for convection-enhanced delivery of agents to treat brain tumors. Curr. Opin. Biomed. Eng. 2017, 4, 1–12. [Google Scholar] [CrossRef]
- Nance, E.; Zhang, C.; Shih, T.-Y.; Xu, Q.; Schuster, B.S.; Hanes, J. Brain-Penetrating Nanoparticles Improve Paclitaxel Efficacy in Malignant Glioma Following Local Administration. ACS Nano 2014, 8, 10655–10664. [Google Scholar] [CrossRef]
- Zhang, C.; Nance, E.A.; Mastorakos, P.; Chisholm, J.; Berry, S.; Eberhart, C.; Tyler, B.; Brem, H.; Suk, J.S.; Hanes, J. Convection enhanced delivery of cisplatin-loaded brain penetrating nanoparticles cures malignant glioma in rats. J. Control. Release 2017, 263, 112–119. [Google Scholar] [CrossRef] [PubMed]
- Dickinson, P.J.; LeCouteur, R.A.; Higgins, R.J.; Bringas, J.R.; Roberts, B.; Larson, R.F.; Yamashita, Y.; Krauze, M.; Noble, C.O.; Drummond, D.; et al. Canine model of convection-enhanced delivery of liposomes containing CPT-11 monitored with real-time magnetic resonance imaging: Laboratory investigation. J. Neurosurg. 2008, 108, 989–998. [Google Scholar] [CrossRef] [PubMed]
- Krauze, M.T.; Vandenberg, S.R.; Yamashita, Y.; Saito, R.; Forsayeth, J.; Noble, C.; Park, J.; Bankiewicz, K.S. Safety of real-time convection-enhanced delivery of liposomes to primate brain: A long-term retrospective. Exp. Neurol. 2008, 210, 638–644. [Google Scholar] [CrossRef] [PubMed]
- MTX110 by Convection-Enhanced Delivery in Treating Participants with Newly-Diagnosed Diffuse Intrinsic Pontine Glioma—Full Text View—ClinicalTrials.Gov. Available online: https://clinicaltrials.gov/ct2/show/NCT03566199?term=convection+enhanced+delivery+nanoparticle&cond=glioma&draw=2&rank=1 (accessed on 4 December 2020).
- Case Medical Research CED of MTX110 Newly Diagnosed Diffuse Midline Gliomas. Case Med. Res. 2020. [CrossRef]
- Ryan, D.A.; Mastrangelo, M.A.; Narrow, W.C.; Sullivan, M.A.; Federoff, H.J.; Bowers, W.J. Abeta-directed single-chain antibody delivery via a serotype-1 AAV vector improves learning behavior and pathology in Alzheimer’s disease mice. Mol. Ther. 2010, 18, 1471–1481. [Google Scholar] [CrossRef]
- Carty, N.; Lee, D.C.; Dickey, C.A.; Ceballos-Diaz, C.; Jansen-West, K.; Golde, T.E.; Gordon, M.N.; Morgan, D.; Nash, K.R. Convection-enhanced delivery and systemic mannitol increase gene product distribution of AAV vectors 5, 8, and 9 and increase gene product in the adult mouse brain. J. Neurosci. Methods 2010, 194, 144–153. [Google Scholar] [CrossRef]
- Barua, N.; Miners, J.S.; Bienemann, A.S.; Wyatt, M.J.; Welser, K.; Tabor, A.B.; Hailes, H.C.; Love, S.; Gill, S.S. Convection-Enhanced Delivery of Neprilysin: A Novel Amyloid-β-Degrading Therapeutic Strategy. J. Alzheimer’s Dis. 2012, 32, 43–56. [Google Scholar] [CrossRef]
- Ksendzovsky, A.; Walbridge, S.; Saunders, R.C.; Asthagiri, A.R.; Heiss, J.D.; Lonser, R.R. Convection-enhanced delivery of M13 bacteriophage to the brain. J. Neurosurg. 2012, 117, 197–203. [Google Scholar] [CrossRef]
- Ates, G.; Goldberg, J.; Currais, A.; Maher, P. CMS121, a fatty acid synthase inhibitor, protects against excess lipid peroxidation and inflammation and alleviates cognitive loss in a transgenic mouse model of Alzheimer’s disease. Redox Biol. 2020, 36, 101648. [Google Scholar] [CrossRef]
- Currais, A.; Huang, L.; Goldberg, J.; Petrascheck, M.; Ates, G.; Pinto-Duarte, A.; Shokhirev, M.N.; Schubert, D.; Maher, P. Elevating acetyl-CoA levels reduces aspects of brain aging. Elife 2019, 8, e47866. [Google Scholar] [CrossRef]
- Nagahara, A.H.; Wilson, B.R.; Ivasyk, I.; Kovacs, I.; Rawalji, S.; Bringas, J.R.; Pivirotto, P.J.; Sebastian, W.S.; Samaranch, L.; Bankiewicz, K.S.; et al. MR-guided delivery of AAV2-BDNF into the entorhinal cortex of non-human primates. Gene Ther. 2018, 25, 104–114. [Google Scholar] [CrossRef]
- Park, H.W.; Park, C.G.; Park, M.; Lee, S.H.; Park, H.R.; Lim, J.; Paek, S.H.; Choy, Y.B. Intrastriatal administration of coenzyme Q10 enhances neuroprotection in a Parkinson’s disease rat model. Sci. Rep. 2020, 10, 9572. [Google Scholar] [CrossRef] [PubMed]
- Heiss, J.D.; Walbridge, S.; Argersinger, D.P.; Hong, C.S.; Ray-Chaudhury, A.; Lonser, R.R.; Elias, W.J.; Zaghloul, K.A. Convection-Enhanced Delivery of Muscimol Into the Bilateral Subthalamic Nuclei of Nonhuman Primates. Neurosurgery 2018, 84, E420–E429. [Google Scholar] [CrossRef] [PubMed]
- Heiss, J.D.; Lungu, C.; Hammoud, D.A.; Herscovitch, P.; Ehrlich, D.J.; Bs, D.P.A.; Sinharay, S.; Scott, G.; Wu, T.; Federoff, H.J.; et al. Trial of magnetic resonance–guided putaminal gene therapy for advanced Parkinson’s disease. Mov. Disord. 2019, 34, 1073–1078. [Google Scholar] [CrossRef]
- Valles, F.; Fiandaca, M.S.; Eberling, J.L.; Starr, P.A.; Larson, P.S.; Christine, C.W.; Forsayeth, J.; Richardson, R.M.; Su, X.; Aminoff, M.J.; et al. Qualitative Imaging of Adeno-Associated Virus Serotype 2–Human Aromatic L-Amino Acid Decarboxylase Gene Therapy in a Phase I Study for the Treatment of Parkinson Disease. Neurosurgery 2010, 67, 1377–1385. [Google Scholar] [CrossRef] [PubMed]
- Slevin, J.T.; Gash, D.M.; Smith, C.D.; Gerhardt, G.A.; Kryscio, R.; Chebrolu, H.; Walton, A.; Wagner, R.; Young, A.B. Unilateral intraputamenal glial cell line–derived neurotrophic factor in patients with Parkinson disease: Response to 1 year of treatment and 1 year of withdrawal. J. Neurosurg. 2007, 106, 614–620. [Google Scholar] [CrossRef] [PubMed]
- Whone, A.; Luz, M.; Boca, M.; Woolley, M.; Mooney, L.; Dharia, S.; Broadfoot, J.; Cronin, D.; Schroers, C.; Barua, N.U.; et al. Randomized trial of intermittent intraputamenal glial cell line-derived neurotrophic factor in Parkinson’s disease. Brain 2019, 142, 512–525. [Google Scholar] [CrossRef]
Publisher’s Note: MDPI stays neutral with regard to jurisdictional claims in published maps and institutional affiliations. |
© 2020 by the authors. Licensee MDPI, Basel, Switzerland. This article is an open access article distributed under the terms and conditions of the Creative Commons Attribution (CC BY) license (http://creativecommons.org/licenses/by/4.0/).




