Proline to Threonine Mutation at Position 162 of NS5B of Classical Swine Fever Virus Vaccine C Strain Promoted Genome Replication and Infectious Virus Production by Facilitating Initiation of RNA Synthesis
Abstract
1. Introduction
2. Materials and Methods
2.1. Cells and Viruses
2.2. Construction of Infectious Chimeric cDNA Clones and Rescue of Viruses
2.3. Continuous Passaging of Chimeric Viruses, Virus Titration, Plaque Assay and Growth Curve
2.4. Immunofluorescence (IF) Assay
2.5. qRT-PCR
2.6. Construction of Infectious Chimeric cDNA Clones Harbouring Site Mutation
2.7. Experimental Infection of Rabbits
2.8. Expression and Purification of NS5B and Its Mutant
2.9. RNA Template Preparation
2.10. RNA-Dependent RNA Polymerase (RdRp) Assay
2.11. Statistical Analysis
3. Results
3.1. Rescue of Chimeric CSFV Vaccine C Strains Containing Pestivirus 3′UTR Substitution and Characteristics of Passaged Viruses
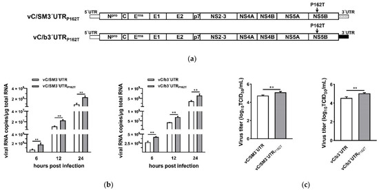
3.2. Proline to Threonine Mutation at Position 162 of NS5B Increased Chimeric CSFVs RNA Replication and Infectious Virus Production
3.3. The Influence of P162T Mutation on Fever Response and Virus Replication in Rabbits
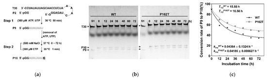
3.4. NS5B P162T Mutation Increased RNA-Dependent RNA Polymerase Activity In Vitro
3.5. The RdRp Elongation Activity and Stability of Elongation Complex (EC) Were Not Affected by NS5B P162T Mutation
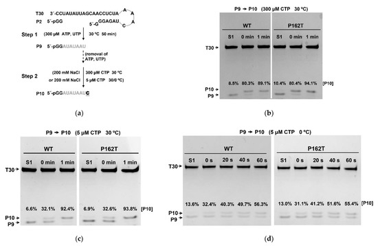
3.6. The Increased RdRp Activity of NS5BP162T Mutant Resulted from Enhanced Initiation Efficiency of RNA Synthesis
4. Discussion
Supplementary Materials
Author Contributions
Funding
Institutional Review Board Statement
Informed Consent Statement
Data Availability Statement
Acknowledgments
Conflicts of Interest
References
- Becher, P.; Avalos Ramirez, R.; Orlich, M.; Cedillo Rosales, S.; Konig, M.; Schweizer, M.; Stalder, H.; Schirrmeier, H.; Thiel, H.J. Genetic and antigenic characterization of novel pestivirus genotypes: Implications for classification. Virology 2003, 311, 96–104. [Google Scholar] [CrossRef]
- Becher, P.; Thiel, H.-J. Pestivirus. In The Springer Index of Viruses; Tidona, C.A., Darai, G., Büchen-Osmond, C., Eds.; Springer: Berlin/Heidelberg, Germany, 2001; pp. 327–331. [Google Scholar] [CrossRef]
- Collett, M.S.; Moennig, V.; Horzinek, M.C. Recent advances in pestivirus research. J. Gen. Virol. 1989, 70 Pt 2, 253–266. [Google Scholar] [CrossRef]
- Lamp, B.; Riedel, C.; Roman-Sosa, G.; Heimann, M.; Jacobi, S.; Becher, P.; Thiel, H.J.; Rumenapf, T. Biosynthesis of classical swine fever virus nonstructural proteins. J. Virol. 2011, 85, 3607–3620. [Google Scholar] [CrossRef]
- Rumenapf, T.; Unger, G.; Strauss, J.H.; Thiel, H.J. Processing of the envelope glycoproteins of pestiviruses. J. Virol. 1993, 67, 3288–3294. [Google Scholar] [CrossRef] [PubMed]
- Thiel, H.J.; Stark, R.; Weiland, E.; Rumenapf, T.; Meyers, G. Hog cholera virus: Molecular composition of virions from a pestivirus. J. Virol. 1991, 65, 4705–4712. [Google Scholar] [CrossRef] [PubMed]
- Qiu, H.J.; Tong, G.Z.; Shen, R.X. The lapinized Chinese strain of classical swine fever virus: A retrospective review spanning half a century. Agric. Sci. China 2006, 5, 1–14. [Google Scholar] [CrossRef]
- Xia, H.; Wahlberg, N.; Qiu, H.J.; Widén, F.; Belák, S.; Liu, L. Lack of phylogenetic evidence that the Shimen strain is the parental strain of the lapinized Chinese strain (C-strain) vaccine against classical swine fever. Arch. Virol. 2011, 156, 1041–1044. [Google Scholar] [CrossRef] [PubMed]
- Li, C.; Li, Y.; Shen, L.; Huang, J.; Sun, Y.; Luo, Y.; Zhao, B.; Wang, C.; Yuan, J.; Qiu, H.J. The role of noncoding regions of classical swine fever virus C-strain in its adaptation to the rabbit. Virus Res. 2014, 183, 117–122. [Google Scholar] [CrossRef]
- Graham, S.P.; Everett, H.E.; Haines, F.J.; Johns, H.L.; Sosan, O.A.; Salguero, F.J.; Clifford, D.J.; Steinbach, F.; Drew, T.W.; Crooke, H.R. Challenge of pigs with classical swine fever viruses after C-strain vaccination reveals remarkably rapid protection and insights into early immunity. PLoS ONE 2012, 7, e29310. [Google Scholar] [CrossRef]
- Suradhat, S.; Damrongwatanapokin, S. The influence of maternal immunity on the efficacy of a classical swine fever vaccine against classical swine fever virus, genogroup 2.2, infection. Vet. Microbiol. 2003, 92, 187–194. [Google Scholar] [CrossRef]
- Vandeputte, J.; Too, H.L.; Ng, F.K.; Chen, C.; Chai, K.K.; Liao, G.A. Adsorption of colostral antibodies against classical swine fever, persistence of maternal antibodies, and effect on response to vaccination in baby pigs. Am. J. Vet. Res. 2001, 62, 1805–1811. [Google Scholar] [CrossRef]
- Xiao, M.; Gao, J.; Wang, Y.; Wang, X.; Lu, W.; Zhen, Y.; Chen, J.; Li, B. Influence of a 12-nt insertion present in the 3′ untranslated region of classical swine fever virus HCLV strain genome on RNA synthesis. Virus Res. 2004, 102, 191–198. [Google Scholar] [CrossRef] [PubMed]
- Fletcher, S.P.; Jackson, R.J. Pestivirus internal ribosome entry site (IRES) structure and function: Elements in the 5′ untranslated region important for IRES function. J. Virol. 2002, 76, 5024–5033. [Google Scholar] [CrossRef] [PubMed]
- Sheng, C.; Chen, Y.; Xiao, J.; Xiao, J.; Wang, J.; Li, G.; Chen, J.; Xiao, M. Classical swine fever virus NS5A protein interacts with 3′-untranslated region and regulates viral RNA synthesis. Virus Res. 2012, 163, 636–643. [Google Scholar] [CrossRef] [PubMed]
- Yu, H.; Grassmann, C.W.; Behrens, S.E. Sequence and structural elements at the 3′ terminus of bovine viral diarrhea virus genomic RNA: Functional role during RNA replication. J. Virol. 1999, 73, 3638–3648. [Google Scholar] [CrossRef] [PubMed]
- Xiao, M.; Zhang, C.Y.; Pan, Z.S.; Wu, H.X.; Guo, J.Q. Classical swine fever virus NS5B-GFP fusion protein possesses an RNA-dependent RNA polymerase activity. Arch. Virol. 2002, 147, 1779–1787. [Google Scholar] [CrossRef]
- Xiao, M.; Gao, J.; Wang, W.; Wang, Y.; Chen, J.; Chen, J.; Li, B. Specific interaction between the classical swine fever virus NS5B protein and the viral genome. Eur. J. Biochem. 2004, 271, 3888–3896. [Google Scholar] [CrossRef]
- Pankraz, A.; Thiel, H.J.; Becher, P. Essential and nonessential elements in the 3′ nontranslated region of Bovine viral diarrhea virus. J. Virol. 2005, 79, 9119–9127. [Google Scholar] [CrossRef]
- Wu, H.X.; Wang, J.F.; Zhang, C.Y.; Fu, L.Z.; Pan, Z.S.; Wang, N.; Zhang, P.W.; Zhao, W.G. Attenuated lapinized chinese strain of classical swine fever virus: Complete nucleotide sequence and character of 3′-noncoding region. Virus Genes 2001, 23, 69–76. [Google Scholar] [CrossRef]
- Bjorklund, H.V.; Stadejek, T.; Vilcek, S.; Belak, S. Molecular characterization of the 3′ noncoding region of classical swine fever virus vaccine strains. Virus Genes 1998, 16, 307–312. [Google Scholar] [CrossRef]
- Wang, Y.; Wang, Q.; Lu, X.; Zhang, C.; Fan, X.; Pan, Z.; Xu, L.; Wen, G.; Ning, Y.; Tang, F.; et al. 12-nt insertion in 3′ untranslated region leads to attenuation of classic swine fever virus and protects host against lethal challenge. Virology 2008, 374, 390–398. [Google Scholar] [CrossRef]
- Behrens, S.E.; Tomei, L.; De Francesco, R. Identification and properties of the RNA-dependent RNA polymerase of hepatitis C virus. EMBO J. 1996, 15, 12–22. [Google Scholar] [CrossRef]
- Zhong, W.; Gutshall, L.L.; Del Vecchio, A.M. Identification and characterization of an RNA-dependent RNA polymerase activity within the nonstructural protein 5B region of bovine viral diarrhea virus. J. Virol. 1998, 72, 9365–9369. [Google Scholar] [CrossRef]
- Zhong, W.; Uss, A.S.; Ferrari, E.; Lau, J.Y.; Hong, Z. De novo initiation of RNA synthesis by hepatitis C virus nonstructural protein 5B polymerase. J. Virol. 2000, 74, 2017–2022. [Google Scholar] [CrossRef]
- Kao, C.C.; Singh, P.; Ecker, D.J. De novo initiation of viral RNA-dependent RNA synthesis. Virology 2001, 287, 251–260. [Google Scholar] [CrossRef]
- Appleby, T.C.; Perry, J.K.; Murakami, E.; Barauskas, O.; Feng, J.; Cho, A.; Fox, D., 3rd; Wetmore, D.R.; McGrath, M.E.; Ray, A.S.; et al. Viral replication. Structural basis for RNA replication by the hepatitis C virus polymerase. Science 2015, 347, 771–775. [Google Scholar] [CrossRef]
- Dutartre, H.; Boretto, J.; Guillemot, J.C.; Canard, B. A relaxed discrimination of 2′-O-methyl-GTP relative to GTP between de novo and Elongative RNA synthesis by the hepatitis C RNA-dependent RNA polymerase NS5B. J. Biol. Chem. 2005, 280, 6359–6368. [Google Scholar] [CrossRef]
- Scrima, N.; Caillet-Saguy, C.; Ventura, M.; Harrus, D.; Astier-Gin, T.; Bressanelli, S. Two crucial early steps in RNA synthesis by the hepatitis C virus polymerase involve a dual role of residue 405. J. Virol. 2012, 86, 7107–7117. [Google Scholar] [CrossRef] [PubMed]
- Liu, W.; Shi, X.; Gong, P. A unique intra-molecular fidelity-modulating mechanism identified in a viral RNA-dependent RNA polymerase. Nucleic Acids Res. 2018, 46, 10840–10854. [Google Scholar] [CrossRef] [PubMed]
- Li, W.; Wu, B.; Soca, W.A.; An, L. Crystal Structure of Classical Swine Fever Virus NS5B Reveals a Novel N-Terminal Domain. J. Virol. 2018, 92, e00324-18. [Google Scholar] [CrossRef] [PubMed]
- Steffens, S.; Thiel, H.J.; Behrens, S.E. The RNA-dependent RNA polymerases of different members of the family Flaviviridae exhibit similar properties in vitro. J. Gen. Virol. 1999, 80 Pt 10, 2583–2590. [Google Scholar] [CrossRef]
- Wang, Y.; Xiao, M.; Chen, J.; Zhang, W.; Luo, J.; Bao, K.; Nie, M.; Chen, J.; Li, B. Mutational analysis of the GDD sequence motif of classical swine fever virus RNA-dependent RNA polymerases. Virus Genes 2007, 34, 63–65. [Google Scholar] [CrossRef]
- Choi, K.H.; Gallei, A.; Becher, P.; Rossmann, M.G. The structure of bovine viral diarrhea virus RNA-dependent RNA polymerase and its amino-terminal domain. Structure 2006, 14, 1107–1113. [Google Scholar] [CrossRef]
- Choi, K.H.; Groarke, J.M.; Young, D.C.; Kuhn, R.J.; Smith, J.L.; Pevear, D.C.; Rossmann, M.G. The structure of the RNA-dependent RNA polymerase from bovine viral diarrhea virus establishes the role of GTP in de novo initiation. Proc. Natl. Acad. Sci. USA 2004, 101, 4425–4430. [Google Scholar] [CrossRef] [PubMed]
- Li, L.; Pang, H.; Wu, R.; Zhang, Y.; Tan, Y.; Pan, Z. Development of a novel single-step reverse genetics system for the generation of classical swine fever virus. Arch. Virol. 2016, 161, 1831–1838. [Google Scholar] [CrossRef]
- Reed, L.J.; Muench, H. A simple method for estimating fifty percent end points. Am. J. Hyg. 1938, 27, 493–497. [Google Scholar]
- Wu, R.; Li, L.; Zhao, Y.; Tu, J.; Pan, Z. Identification of two amino acids within E2 important for the pathogenicity of chimeric classical swine fever virus. Virus Res. 2016, 211, 79–85. [Google Scholar] [CrossRef] [PubMed]
- Yang, Z.; Wu, R.; Li, R.W.; Li, L.; Xiong, Z.; Zhao, H.; Guo, D.; Pan, Z. Chimeric classical swine fever (CSF)-Japanese encephalitis (JE) viral replicon as a non-transmissible vaccine candidate against CSF and JE infections. Virus Res. 2012, 165, 61–70. [Google Scholar] [CrossRef] [PubMed]
- Tong, C.; Chen, N.; Liao, X.; Yuan, X.; Sun, M.; Li, X.; Fang, W. Continuous Passaging of a Recombinant C-Strain Virus in PK-15 Cells Selects Culture-Adapted Variants that Showed Enhanced Replication but Failed to Induce Fever in Rabbits. J. Microbiol. Biotechnol. 2017, 27, 1701. [Google Scholar] [CrossRef]
- Li, L.; Wu, R.; Zheng, F.; Zhao, C.; Pan, Z. The N-terminus of classical swine fever virus (CSFV) nonstructural protein 2 modulates viral genome RNA replication. Virus Res. 2015, 210, 90–99. [Google Scholar] [CrossRef]
- Zheng, L.; Baumann, U.; Reymond, J.L. An efficient one-step site-directed and site-saturation mutagenesis protocol. Nucleic Acids Res. 2004, 32, e115. [Google Scholar] [CrossRef]
- Xie, L.; Han, Y.; Ma, Y.; Yuan, M.; Li, W.; Li, L.F.; Li, M.; Sun, Y.; Luo, Y.; Li, S.; et al. P108 and T109 on E2 Glycoprotein Domain I Are Critical for the Adaptation of Classical Swine Fever Virus to Rabbits but Not for Virulence in Pigs. J. Virol. 2020, 94, e01104-20. [Google Scholar] [CrossRef] [PubMed]
- Hoffmann, B.; Beer, M.; Schelp, C.; Schirrmeier, H.; Depner, K. Validation of a real-time RT-PCR assay for sensitive and specific detection of classical swine fever. J. Virol. Methods 2005, 130, 36–44. [Google Scholar] [CrossRef]
- Curti, E.; Jaeger, J. Residues Arg283, Arg285, and Ile287 in the nucleotide binding pocket of bovine viral diarrhea virus NS5B RNA polymerase affect catalysis and fidelity. J. Virol. 2013, 87, 199–207. [Google Scholar] [CrossRef]
- Wen, G.; Xue, J.; Shen, Y.; Zhang, C.; Pan, Z. Characterization of classical swine fever virus (CSFV) nonstructural protein 3 (NS3) helicase activity and its modulation by CSFV RNA-dependent RNA polymerase. Virus Res. 2009, 141, 63–70. [Google Scholar] [CrossRef]
- Wu, J.; Ye, H.Q.; Zhang, Q.Y.; Lu, G.; Zhang, B.; Gong, P. A conformation-based intra-molecular initiation factor identified in the flavivirus RNA-dependent RNA polymerase. PLoS Pathog. 2020, 16, e1008484. [Google Scholar] [CrossRef] [PubMed]
- Wu, J.; Lu, G.; Zhang, B.; Gong, P. Perturbation in the conserved methyltransferase-polymerase interface of flavivirus NS5 differentially affects polymerase initiation and elongation. J. Virol. 2015, 89, 249–261. [Google Scholar] [CrossRef] [PubMed]
- Kamkaew, M.; Chimnaronk, S. Characterization of soluble RNA-dependent RNA polymerase from dengue virus serotype 2: The polyhistidine tag compromises the polymerase activity. Protein Expr. Purif. 2015, 112, 43–49. [Google Scholar] [CrossRef] [PubMed]
- Nguyen, H.T.; Chong, Y.; Oh, D.K.; Heo, Y.S.; Viet, P.T.; Kang, L.W.; Jeon, S.J.; Kim, D.E. An efficient colorimetric assay for RNA synthesis by viral RNA-dependent RNA polymerases, using thermostable pyrophosphatase. Anal. Biochem. 2013, 434, 284–286. [Google Scholar] [CrossRef] [PubMed]
- de Smit, A.J.; van Gennip, H.G.; Miedema, G.K.; van Rijn, P.A.; Terpstra, C.; Moormann, R.J. Recombinant classical swine fever (CSF) viruses derived from the Chinese vaccine strain (C-strain) of CSF virus retain their avirulent and immunogenic characteristics. Vaccine 2000, 18, 2351–2358. [Google Scholar] [CrossRef]
- Jin, Z.; Leveque, V.; Ma, H.; Johnson, K.A.; Klumpp, K. Assembly, purification, and pre-steady-state kinetic analysis of active RNA-dependent RNA polymerase elongation complex. J. Biol. Chem. 2012, 287, 10674–10683. [Google Scholar] [CrossRef]
- Hobdey, S.E.; Kempf, B.J.; Steil, B.P.; Barton, D.J.; Peersen, O.B. Poliovirus polymerase residue 5 plays a critical role in elongation complex stability. J. Virol. 2010, 84, 8072–8084. [Google Scholar] [CrossRef] [PubMed][Green Version]
- Ganges, L.; Crooke, H.R.; Bohorquez, J.A.; Postel, A.; Sakoda, Y.; Becher, P.; Ruggli, N. Classical swine fever virus: The past, present and future. Virus Res. 2020, 289, 198151. [Google Scholar] [CrossRef]
- Reimann, I.; Depner, K.; Trapp, S.; Beer, M. An avirulent chimeric Pestivirus with altered cell tropism protects pigs against lethal infection with classical swine fever virus. Virology 2004, 322, 143–157. [Google Scholar] [CrossRef]
- van Gennip, H.G.; van Rijn, P.A.; Widjojoatmodjo, M.N.; de Smit, A.J.; Moormann, R.J. Chimeric classical swine fever viruses containing envelope protein E(RNS) or E2 of bovine viral diarrhoea virus protect pigs against challenge with CSFV and induce a distinguishable antibody response. Vaccine 2000, 19, 447–459. [Google Scholar] [CrossRef]
- Hofmann, M.A. Construction of an infectious chimeric classical swine fever virus containing the 5′UTR of bovine viral diarrhea virus, and its application as a universal internal positive control in real-time RT-PCR. J. Virol. Methods 2003, 114, 77–90. [Google Scholar] [CrossRef] [PubMed]
- Deng, R.; Brock, K.V. 5′ and 3′ untranslated regions of pestivirus genome: Primary and secondary structure analyses. Nucleic Acids Res. 1993, 21, 1949–1957. [Google Scholar] [CrossRef] [PubMed]
- Zuker, M. Mfold web server for nucleic acid folding and hybridization prediction. Nucleic Acids Res. 2003, 31, 3406–3415. [Google Scholar] [CrossRef] [PubMed]
- Van Gennip, H.G.; Vlot, A.C.; Hulst, M.M.; De Smit, A.J.; Moormann, R.J. Determinants of virulence of classical swine fever virus strain Brescia. J. Virol. 2004, 78, 8812–8823. [Google Scholar] [CrossRef]
- Hulst, M.M.; van Gennip, H.G.; Moormann, R.J. Passage of classical swine fever virus in cultured swine kidney cells selects virus variants that bind to heparan sulfate due to a single amino acid change in envelope protein E(rns). J. Virol. 2000, 74, 9553–9561. [Google Scholar] [CrossRef]
- Cao, T.; Zhang, S.; Li, X.; Xu, Y.; Wang, Z.; Chen, C.; Paudyal, N.; Li, X.; Sun, J.; Fang, W. Classical swine fever virus C-strain with eight mutation sites shows enhanced cell adaptation and protects pigs from lethal challenge. Arch. Virol. 2019, 164, 1619–1628. [Google Scholar] [CrossRef]
- Li, Y.; Xie, L.; Zhang, L.; Wang, X.; Li, C.; Han, Y.; Hu, S.; Sun, Y.; Li, S.; Luo, Y.; et al. The E2 glycoprotein is necessary but not sufficient for the adaptation of classical swine fever virus lapinized vaccine C-strain to the rabbit. Virology 2018, 519, 197–206. [Google Scholar] [CrossRef] [PubMed]
- Cao, T.; Wang, Z.; Li, X.; Zhang, S.; Paudyal, N.; Zhang, X.; Li, X.; Fang, W. E2 and E(rns) of classical swine fever virus C-strain play central roles in its adaptation to rabbits. Virus Genes 2019, 55, 238–242. [Google Scholar] [CrossRef] [PubMed]
- Xiao, M.; Li, H.; Wang, Y.; Wang, X.; Wang, W.; Peng, J.; Chen, J.; Li, B. Characterization of the N-terminal domain of classical swine fever virus RNA-dependent RNA polymerase. J. Gen. Virol. 2006, 87, 347–356. [Google Scholar] [CrossRef] [PubMed]
- Lesburg, C.A.; Cable, M.B.; Ferrari, E.; Hong, Z.; Mannarino, A.F.; Weber, P.C. Crystal structure of the RNA-dependent RNA polymerase from hepatitis C virus reveals a fully encircled active site. Nat. Struct. Biol. 1999, 6, 937–943. [Google Scholar] [CrossRef] [PubMed]
- Zhang, P.; Xie, J.; Yi, G.; Zhang, C.; Zhou, R. De novo RNA synthesis and homology modeling of the classical swine fever virus RNA polymerase. Virus Res. 2005, 112, 9–23. [Google Scholar] [CrossRef]
- Di Marco, S.; Volpari, C.; Tomei, L.; Altamura, S.; Harper, S.; Narjes, F.; Koch, U.; Rowley, M.; De Francesco, R.; Migliaccio, G.; et al. Interdomain communication in hepatitis C virus polymerase abolished by small molecule inhibitors bound to a novel allosteric site. J. Biol. Chem. 2005, 280, 29765–29770. [Google Scholar] [CrossRef]
- O’Farrell, D.; Trowbridge, R.; Rowlands, D.; Jager, J. Substrate complexes of hepatitis C virus RNA polymerase (HC-J4): Structural evidence for nucleotide import and de-novo initiation. J. Mol. Biol. 2003, 326, 1025–1035. [Google Scholar] [CrossRef]
- Butcher, S.J.; Grimes, J.M.; Makeyev, E.V.; Bamford, D.H.; Stuart, D.I. A mechanism for initiating RNA-dependent RNA polymerization. Nature 2001, 410, 235–240. [Google Scholar] [CrossRef] [PubMed]
- Kim, Y.C.; Russell, W.K.; Ranjith-Kumar, C.T.; Thomson, M.; Russell, D.H.; Kao, C.C. Functional analysis of RNA binding by the hepatitis C virus RNA-dependent RNA polymerase. J. Biol. Chem. 2005, 280, 38011–38019. [Google Scholar] [CrossRef] [PubMed]
- Wu, R.; Li, L.; Lei, L.; Zhao, C.; Shen, X.; Zhao, H.; Pan, Z. Synergistic roles of the E2 glycoprotein and 3′ untranslated region in the increased genomic stability of chimeric classical swine fever virus with attenuated phenotypes. Arch. Virol. 2017, 162, 2667–2678. [Google Scholar] [CrossRef] [PubMed]







| Primer | Sequence (5′–3′) |
|---|---|
| C11152-F | GCAACAGCATGCTAAATGTC |
| C12072-R | CTCATGCCCCTCTCCCTATCAGC |
| SM-3′UTR-F | AGAGGGGCATGAGCGCGGGTAACCCG |
| SM-3′UTR-R | CGACGCGTCGGAGTACTGGTCGACCTCCGAAGTTGGGGGGGAGGGCCGTTAGGAAATTAC |
| NADL-3′UTR-F | GAGAGGGGCATGAGACAAAATGTATATATTG |
| NADL-3′UTR-R | CGACGCGTCGGAGTACTGGTCGACCTCCGAAGTTGGGGGGGAGGGGGCTGTTAGAGGTC |
| C9522-F | GACCCACTAGAAGTGAGAGATATG |
| C12047-R | CATCATCATGACTCTCAGCC |
| P162T-F | GGGCCCAGACAGACACAACCAACTTCCACCAAGCAA |
| P162T-R | GTGGAAGTTGGTTGTGTCTGTCTGGGCCCTAACCA |
| C-NS5B-F | AGGAGATATACCATGAGTAATTGGGTGATGCAAGAAG |
| C-NS5B-R | CCGCTCGAGATTGTACCTGTCTGTCCCTTG |
| T7-F | TAGGAAGCAGCCCAGTAGTAG |
| T7-R | CATCACCCAATTACTCATGGTATATCTCCTTCTTAAAGTT |
| qRT-PCR-NS5B-F | ATCTGCCTACAAGGAAGTCATCGG |
| qRT-PCR-NS5B-R | CCAGTTGCCCTCTTTAACACCCATA |
| qRT-PCR-5′UTR-F | ATGCCCATAGTAGGACTAGCA |
| qRT-PCR-5′UTR-R | CTACTGACGACTGTCCTGTAC |
| CSFV-5′UTR-probe | 6FAM-TGGCGAGCTCCCTGGGTGGTCTAAGT-BHQ1 |
| T7-3′UTR-F | TAATACGACTCACTATAGGGCGCGGGTAACCCGGGATC |
| 3′UTR-R | GGGCCGTTAGGAAATTACCTTAGTC |
| Virus | Passage | Amino Acid at the Indicated Position in Protein | ||||||
|---|---|---|---|---|---|---|---|---|
| E0 | E2 | NS4B | NS5B | |||||
| 476 | 745 | 979 | 2494 | 2671 | 3342 | 3431 | ||
| vC | S | T | M | N | L | P | G | |
| vC/SM3′UTR | p3 | |||||||
| p11 | K/M | |||||||
| p21 | K | M | T | |||||
| p31 | R | K | M | T | S | |||
| vC/b3′UTR | p3 | |||||||
| p11 | P/T | |||||||
| p21 | M/K | T | ||||||
| p31 | R | I | K | H | T | |||
| vShimen | R | T | R | N | L | T | G | |
| Inoculum | Dose (TCID50) | Fever Response | Viral Replication | ||||
|---|---|---|---|---|---|---|---|
| No. with Fever/Total | No. of Hours to Onset | Duration (Hours) | Maximum Average Temperature (°C) | No. with Viral Replication/Total | Viral RNA Copies in the Spleens (Copies/μg RNA) * | ||
| vC/SM3′UTR | 104 | 3/3 | 30 | 10 | 41.0 | 3/3 | (1.76 ± 0.42) × 104 |
| vC/SM3′UTRP162T | 104 | 3/3 | 30 | 8 | 40.3 | 3/3 | (3.48 ± 0.97) × 104 |
| Negative control | / | 0/2 | / | / | / | 0/2 | / |
Publisher’s Note: MDPI stays neutral with regard to jurisdictional claims in published maps and institutional affiliations. |
© 2021 by the authors. Licensee MDPI, Basel, Switzerland. This article is an open access article distributed under the terms and conditions of the Creative Commons Attribution (CC BY) license (https://creativecommons.org/licenses/by/4.0/).
Share and Cite
Pang, H.; Li, L.; Liu, H.; Pan, Z. Proline to Threonine Mutation at Position 162 of NS5B of Classical Swine Fever Virus Vaccine C Strain Promoted Genome Replication and Infectious Virus Production by Facilitating Initiation of RNA Synthesis. Viruses 2021, 13, 1523. https://doi.org/10.3390/v13081523
Pang H, Li L, Liu H, Pan Z. Proline to Threonine Mutation at Position 162 of NS5B of Classical Swine Fever Virus Vaccine C Strain Promoted Genome Replication and Infectious Virus Production by Facilitating Initiation of RNA Synthesis. Viruses. 2021; 13(8):1523. https://doi.org/10.3390/v13081523
Chicago/Turabian StylePang, Huining, Ling Li, Hongru Liu, and Zishu Pan. 2021. "Proline to Threonine Mutation at Position 162 of NS5B of Classical Swine Fever Virus Vaccine C Strain Promoted Genome Replication and Infectious Virus Production by Facilitating Initiation of RNA Synthesis" Viruses 13, no. 8: 1523. https://doi.org/10.3390/v13081523
APA StylePang, H., Li, L., Liu, H., & Pan, Z. (2021). Proline to Threonine Mutation at Position 162 of NS5B of Classical Swine Fever Virus Vaccine C Strain Promoted Genome Replication and Infectious Virus Production by Facilitating Initiation of RNA Synthesis. Viruses, 13(8), 1523. https://doi.org/10.3390/v13081523

