Application of a Caries Treatment Difficulty Assessment System in Dental Caries Management
Abstract
1. Introduction
2. Case Reports
2.1. Dental Caries Management Software Programming
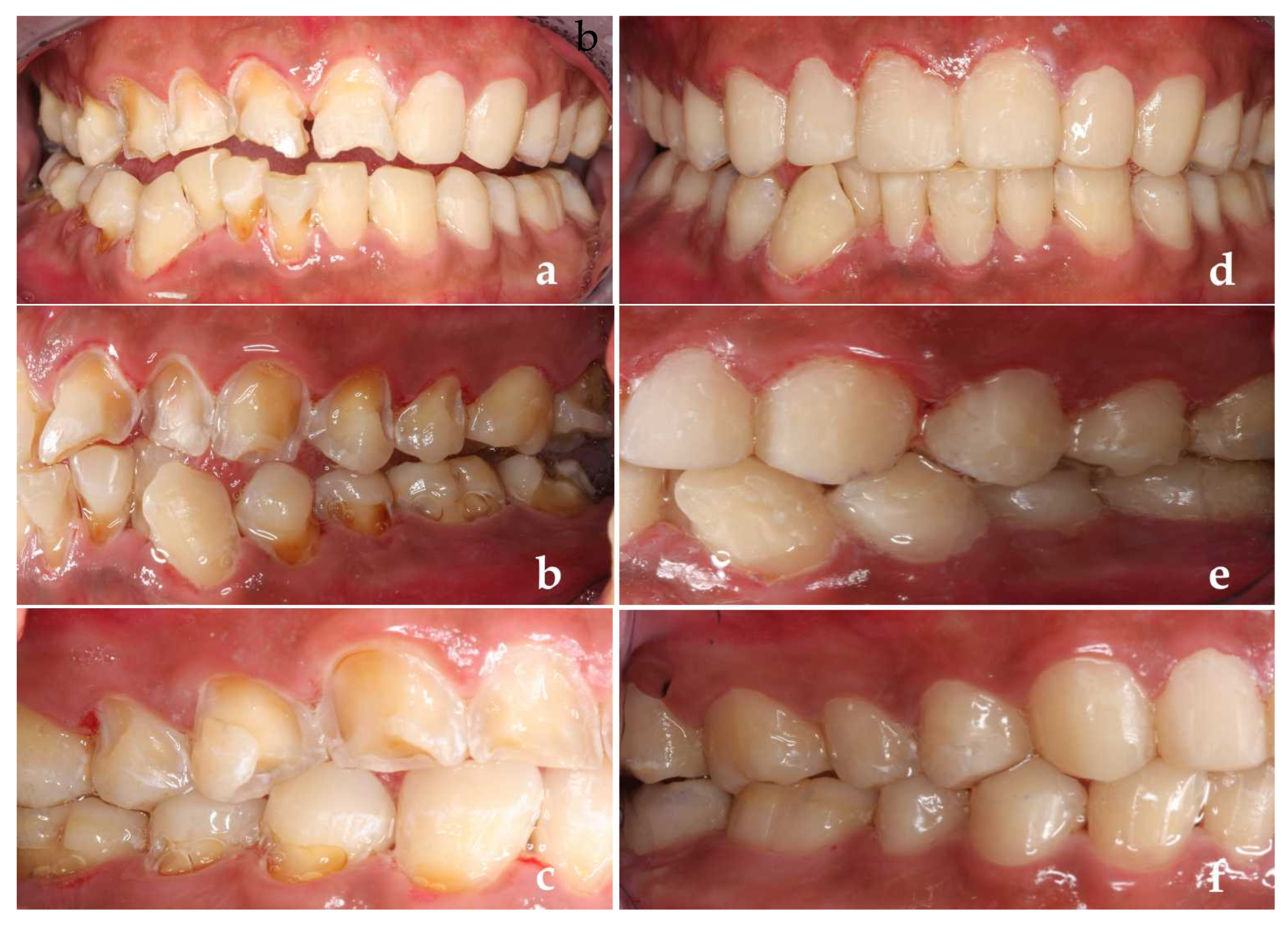
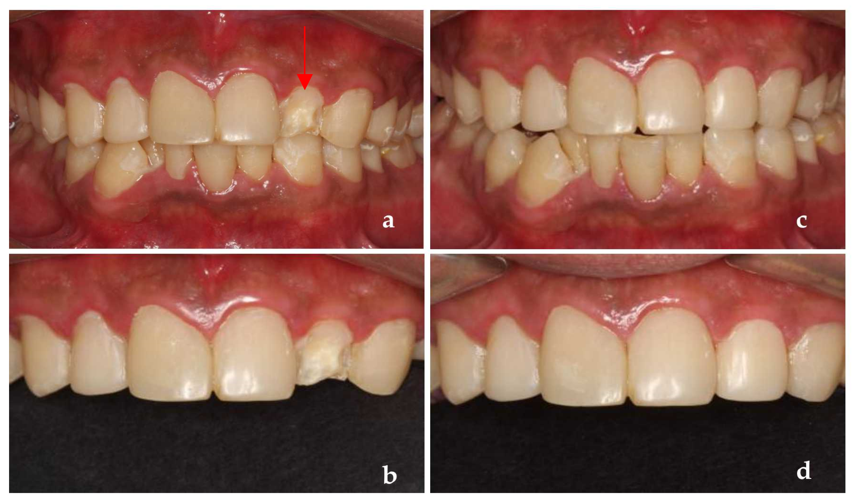
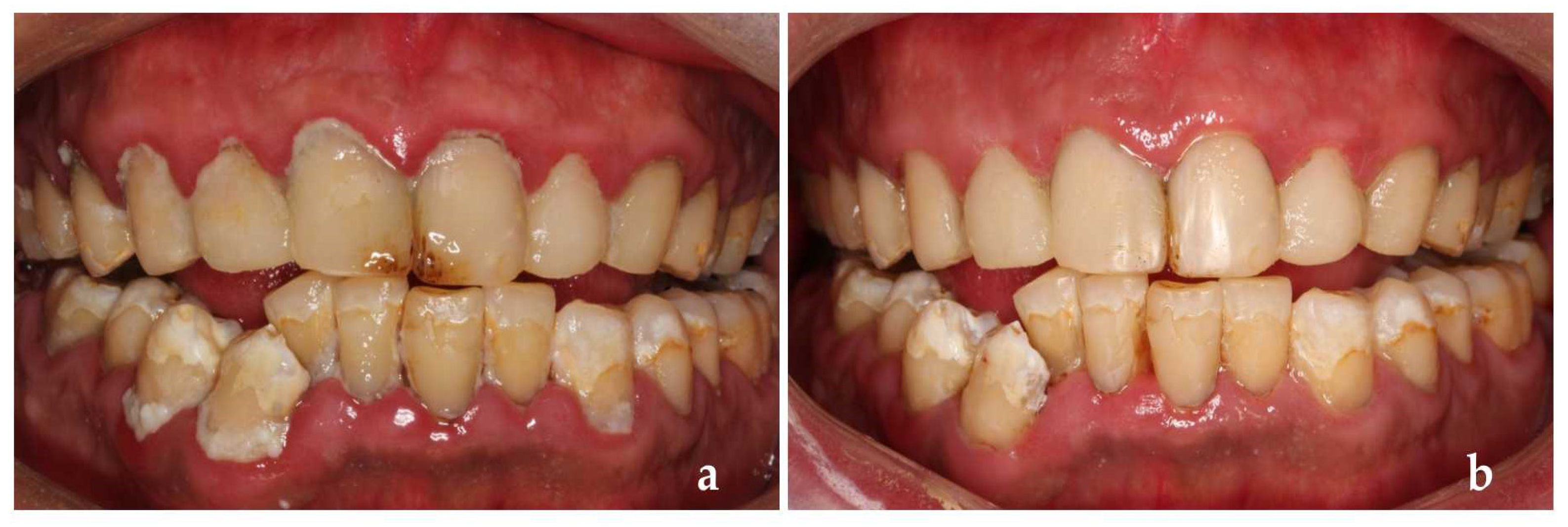
2.2. A Case of Dental Caries
2.3. Application of Caries Treatment Difficulty Assessment in Population
3. Discussion
4. Conclusions
Supplementary Materials
Author Contributions
Funding
Institutional Review Board Statement
Informed Consent Statement
Data Availability Statement
Acknowledgments
Conflicts of Interest
References
- Pitts, N.B.; Zero, D.T.; Marsh, P.D.; Ekstrand, K.; Weintraub, J.A.; Ramos-Gomez, F.; Tagami, J.; Twetman, S.; Tsakos, G.; Ismail, A. Dental caries. Nat. Rev. Dis. Prim. 2017, 3, 17030. [Google Scholar] [CrossRef] [PubMed]
- Marcenes, W.; Kassebaum, N.J.; Bernabé, E.; Flaxman, A.; Naghavi, M.; Lopez, A.; Murray, C.J. Global burden of oral conditions in 1990-2010: A systematic analysis. J. Dent. Res. 2013, 92, 592–597. [Google Scholar] [CrossRef] [PubMed]
- Pitts, N.B.; Twetman, S.; Fisher, J.; Marsh, P.D. Understanding dental caries as a non-communicable disease. Br. Dent. J. 2021, 231, 749–753. [Google Scholar] [CrossRef] [PubMed]
- Mehta, A.; Bhalla, S. Assessing consequences of untreated carious lesions using pufa index among 5–6 years old school children in an urban Indian population. Indian J. Dent. Res. 2014, 25, 150–153. [Google Scholar] [CrossRef]
- Badr, F.; Sabbah, W. Inequalities in Untreated Root Caries and Affordability of Dental Services among Older American Adults. Int. J. Environ. Res. Public Health 2020, 17, 8523. [Google Scholar] [CrossRef] [PubMed]
- Pitts, N.B.; Mayne, C. Making Cavities History: A Global Policy Consensus for Achieving a Dental Cavity-Free Future. JDR Clin. Trans. Res. 2021, 6, 264–267. [Google Scholar] [CrossRef] [PubMed]
- Innes, N.P.; Clarkson, J.E.; Douglas, G.V.A.; Ryan, V.; Wilson, N.; Homer, T.; Marshman, Z.; McColl, E.; Vale, L.; Robertson, M.; et al. Child Caries Management: A Randomized Controlled Trial in Dental Practice. J. Dent. Res. 2020, 99, 36–43. [Google Scholar] [CrossRef]
- Philip, N.; Suneja, B.; Walsh, L.J. Ecological Approaches to Dental Caries Prevention: Paradigm Shift or Shibboleth? Caries Res. 2018, 52, 153–165. [Google Scholar] [CrossRef]
- Pitts, N.B. Caries and collaborations in context. Br. Dent. J. 2021, 231, 737–740. [Google Scholar] [CrossRef]
- Selwitz, R.H.; Ismail, A.I.; Pitts, N.B. Dental caries. Lancet 2007, 369, 51–59. [Google Scholar] [CrossRef]
- Chen, F.; Wang, D. Novel technologies for the prevention and treatment of dental caries: A patent survey. Expert Opin. Ther. Pat. 2010, 20, 681–694. [Google Scholar] [CrossRef] [PubMed]
- Pretty, I.A.; Ellwood, R.P. The caries continuum: Opportunities to detect, treat and monitor the re-mineralization of early caries lesions. J. Dent. 2013, 41, S12–S21. [Google Scholar] [CrossRef]
- Opdam, N.J.; van de Sande, F.H.; Bronkhorst, E.; Cenci, M.S.; Bottenberg, P.; Pallesen, U.; Gaengler, P.; Lindberg, A.; Huysmans, M.C.; van Dijken, J.W. Longevity of posterior composite restorations: A systematic review and meta-analysis. J. Dent. Res. 2014, 93, 943–949. [Google Scholar] [CrossRef]
- Wierichs, R.J.; EKramer, J.; Meyer-Lueckel, H. Risk Factors for Failure of Direct Restorations in General Dental Practices. J. Dent. Res. 2020, 99, 1039–1046. [Google Scholar] [CrossRef]
- Zhou, X.D.; Cheng, L.; Zheng, L.W. [Strategies of caries management in whole life cycle]. Zhonghua Kou Qiang Yi Xue Za Zhi Chin. J. Stomatol. 2018, 53, 367–373. [Google Scholar]
- Cheng, L.; Zhang, L.; Yue, L.; Ling, J.; Fan, M.; Yang, D.; Huang, Z.; Niu, Y.; Liu, J.; Zhao, J.; et al. Expert consensus on dental caries management. Int. J. Oral Sci. 2022, 14, 17. [Google Scholar] [CrossRef] [PubMed]
- Mao, Y.C.; Chen, T.Y.; Chou, H.S.; Lin, S.Y.; Liu, S.Y.; Chen, Y.A.; Liu, Y.L.; Chen, C.A.; Huang, Y.C.; Chen, S.L.; et al. Caries and Restoration Detection Using Bitewing Film Based on Transfer Learning with CNNs. Sensors 2021, 21, 4613. [Google Scholar] [CrossRef] [PubMed]
- Suese, K. Progress in digital dentistry: The practical use of intraoral scanners. Dent. Mater. J. 2020, 39, 52–56. [Google Scholar] [CrossRef] [PubMed]
- Marmaneu-Menero, A.; Iranzo-Cortés, J.E.; Almerich-Torres, T.; Ortolá-Síscar, J.C.; Montiel-Company, J.M.; Almerich-Silla, J.M. Diagnostic Validity of Digital Imaging Fiber-Optic Transillumination (DIFOTI) and Near-Infrared Light Transillumination (NILT) for Caries in Dentine. J. Clin. Med. 2020, 9, 420. [Google Scholar] [CrossRef]
- Khanagar, S.B.; Al-Ehaideb, A.; Maganur, P.C.; Vishwanathaiah, S.; Patil, S.; Baeshen, H.A.; Sarode, S.C.; Bhandi, S. Developments, application, performance of artificial intelligence in dentistry—A systematic review. J. Dent. Sci. 2021, 16, 508–522. [Google Scholar] [CrossRef]
- Su, N.; Lagerweij, M.D.; van der Heijden, G. Assessment of predictive performance of caries risk assessment models based on a systematic review and meta-analysis. J. Dent. 2021, 110, 103664. [Google Scholar] [CrossRef]
- Cai, Y.; Li, F.; Zhang, J.; Wu, Z. Occupational Health Risk Assessment in the Electronics Industry in China Based on the Occupational Classification Method and EPA Model. Int. J. Environ. Res. Public Health 2018, 20, 2061. [Google Scholar] [CrossRef] [PubMed]
- Bruner, T. Dental caries management: A practical approach for your practice. J. Public Health Dent. 2020, 80, S117–S121. [Google Scholar] [CrossRef] [PubMed]
- Gomez, J. Detection and diagnosis of the early caries lesion. BMC Oral Health 2015, 15, S3. [Google Scholar] [CrossRef]
- Cho, K.H.; Kang, C.M.; Jung, H.I.; Lee, H.S.; Lee, K.; Lee, T.Y.; Song, J.S. The diagnostic efficacy of quantitative light-induced fluorescence in detection of dental caries of primary teeth. J. Dent. 2021, 115, 103845. [Google Scholar] [CrossRef] [PubMed]
- Rosa, M.I.; Schambeck, V.S.; Dondossola, E.R.; Alexandre, M.C.; Tuon, L.; Grande, A.J.; Hugo, F. Laser fluorescence of caries detection in permanent teeth in vitro: A systematic review and meta-analysis. J. Evid. Based Med. 2016, 9, 213–224. [Google Scholar] [CrossRef]
- Qiu, W.; Zhou, Y.; Li, Z.; Huang, T.; Xiao, Y.; Cheng, L.; Peng, X.; Zhang, L.; Ren, B. Application of Antibiotics/Antimicrobial Agents on Dental Caries. Biomed Res. Int. 2020, 2020, 5658212. [Google Scholar] [CrossRef]
- Zhou, W.; Zhou, X.; Huang, X.; Zhu, C.; Weir, M.D.; Melo, M.A.S.; Bonavente, A.; Lynch, C.D.; Imazato, S.; Oates, T.W.; et al. Antibacterial and remineralizing nanocomposite inhibit root caries biofilms and protect root dentin hardness at the margins. J. Dent. 2020, 97, 103344. [Google Scholar] [CrossRef]
- Gruner, D.; Paris, S.; Schwendicke, F. Probiotics for managing caries and periodontitis: Systematic review and meta-analysis. J. Dent. 2016, 48, 16–25. [Google Scholar] [CrossRef]
- Patel, M. Dental caries vaccine: Are we there yet? Lett. Appl. Microbiol. 2020, 70, 2–12. [Google Scholar] [CrossRef]
- Rathee, M.; Sapra, A. Dental Caries. In StatPearls; StatPearls Publishing LLC.: Treasure Island, FL, USA, 2022. [Google Scholar]
- Chen, X.; Daliri, E.B.; Kim, N.; Kim, J.R.; Yoo, D.; Oh, D.H. Microbial Etiology and Prevention of Dental Caries: Exploiting Natural Products to Inhibit Cariogenic Biofilms. Pathogens 2020, 9, 569. [Google Scholar] [CrossRef] [PubMed]
- Doitchinova, L.; Kirov, D.; Nikolova, J.; Topalova-Pirinska, S. Caries Risk Assessment in Adults Using the Cariogram. Folia Med. 2020, 62, 831–837. [Google Scholar] [CrossRef] [PubMed]
- Carta, G.; Cagetti, M.G.; Cocco, F.; Sale, S.; Lingström, P.; Campus, G. Caries-risk profiles in Italian adults using computer caries assessment system and ICDAS. Braz. Oral. Res. 2015, 29, S1806-83242015000100306. [Google Scholar] [CrossRef]
- Mamai-Homata, E.; Koletsi-Kounari, H.; Margaritis, V. Gender differences in oral health status and behavior of Greek dental students: A meta-analysis of 1981, 2000, 2010 data. J. Int. Soc. Prev. Community Dent. 2016, 6, 60–68. [Google Scholar]
- Bombert, F.; Manso, A.C.; Ferreira, C.S.; Nogueira, P.; Nunes, C. Sociodemographic factors associated with oral health in 12-year-old adolescents: Hygiene behaviours and health appointments. A cross-sectional national study in Portugal. Int. Dent. J. 2018, 68, 327–335. [Google Scholar] [CrossRef] [PubMed]
- Featherstone, J.D.; Domejean-Orliaguet, S.; Jenson, L.; Wolff, M.; Young, D.A. Caries risk assessment in practice for age 6 through adult. J. Calif. Dent. Assoc. 2007, 35, 703–713. [Google Scholar] [PubMed]












| Diagnosis | Treatment |
|---|---|
| Gingivitis | Periodontal basic treatment and dental health education |
| Dental caries (teeth #17–27, #37–47) | Permanent resin filling |
| Chronic pulpitis (tooth #46) | Root canal therapy |
Publisher’s Note: MDPI stays neutral with regard to jurisdictional claims in published maps and institutional affiliations. |
© 2022 by the authors. Licensee MDPI, Basel, Switzerland. This article is an open access article distributed under the terms and conditions of the Creative Commons Attribution (CC BY) license (https://creativecommons.org/licenses/by/4.0/).
Share and Cite
Wei, Y.; Wang, J.; Dai, D.; Wang, H.; Zhang, M.; Zhang, Z.; Zhou, X.; He, L.; Cheng, L. Application of a Caries Treatment Difficulty Assessment System in Dental Caries Management. Int. J. Environ. Res. Public Health 2022, 19, 14069. https://doi.org/10.3390/ijerph192114069
Wei Y, Wang J, Dai D, Wang H, Zhang M, Zhang Z, Zhou X, He L, Cheng L. Application of a Caries Treatment Difficulty Assessment System in Dental Caries Management. International Journal of Environmental Research and Public Health. 2022; 19(21):14069. https://doi.org/10.3390/ijerph192114069
Chicago/Turabian StyleWei, Yu, Jingqian Wang, Dongyue Dai, Haohao Wang, Min Zhang, Zhigang Zhang, Xuedong Zhou, Libang He, and Lei Cheng. 2022. "Application of a Caries Treatment Difficulty Assessment System in Dental Caries Management" International Journal of Environmental Research and Public Health 19, no. 21: 14069. https://doi.org/10.3390/ijerph192114069
APA StyleWei, Y., Wang, J., Dai, D., Wang, H., Zhang, M., Zhang, Z., Zhou, X., He, L., & Cheng, L. (2022). Application of a Caries Treatment Difficulty Assessment System in Dental Caries Management. International Journal of Environmental Research and Public Health, 19(21), 14069. https://doi.org/10.3390/ijerph192114069

