Abstract
The ninety day toxicity and toxicokinetics of fluorochloridone (FLC) were accessed in Wistar rats. Animals were gavaged with FLC at doses of 31.25 mg/kg, 125 mg/kg and 500 mg/kg for ninety days, followed by thirty days for recovery. On the 1st, 60th, 75th and 90th days of the dosing phase, plasma of ten animals of all groups treated with FLC was collected for toxicokinetic analysis of FLC by an UPLC-MS/MS method. Numerous changes in body weight, hematology, serum chemistry, and organ weight ratios were observed by the 45th and 90th dosing day. Most changes in groups treated with FLC were absent on the last recovery day. Testis and epididymis lesions were consistently seen in histopathological observations on the 45th, 90th dosing day and the last recovery day. Repeated administration of FLC increased the level of testosterone in serum in male rats on the 90th dosing day. FLC plasma concentrations could be detected in all animal drug-treated groups during the dosing phase, and a dose proportional relationship was seen between FLC dose and AUC or Cmax. This study will support future studies on the mechanism of FLC-induced toxicity.
1. Introduction
Among the three major classes of pesticides global herbicide sales have been in first place in recent years at around 48% of the total. A large number of herbicides have been developed by the agrochemical industry and are widely used around the world. The proportion of herbicide users in various areas is different and the differences are becoming bigger and bigger in recent years. Economically developed regions such as Europe and North America are the largest consumers of herbicides. Most herbicides exhibit low acute toxicity, and there are very few reports of acute poisoning incidents, but herbicide residues in vegetables and other foods can result in chronic harmful effects to humans and animals, and it is noted that chronic hazards, such as nervous system damage [,,], hormone imbalance [], fertility disorders [], immune system dysfunction [], and so on, pose a threat to human health.
The herbicide fluorochloridone (FLC) is widely used for pre-emergence control of broad-leaved weeds and annual grasses in carrot, sunflower, potato and several other crops. According to the European Food Safety Authority [], there is no evidence suggesting that fluorochloridone is genotoxic, carcinogenic or neurotoxic. The target organs of FLC as a potential endocrine disruptor in male rats are the testis and epididymides [], but there is no data to confirm this. In the report, the heart, major vessels and the haematopoietic system were also identified as potential target organs of FLC in rat []. Acute and short-term NOAELs were set from these critical studies at 20 mg/kg bw/day, where the LOAEL is 25 mg/kg bw/day []. In a recent investigation, we discovered that oral administration of FLC (30 mg/kg·bw/day–750 mg/kg·bw/day) for 28 days could damage the testis of adult Sprague Dawley (SD) rats by inducting oxidative stress []. Abnormal cell-cycle progression, cellular mitodepressive activity and chromosomal abnormalities induced by FLC in Allium cepa root meristematic cells were also demonstrated []. The genotoxic and cytotoxic effects of pure FLC and its two main formulations in Chinese Hamster Ovary K1 (CHO-K1) cells using several end-points were reported []. In addition, FLC and its two commercial formulations could induce single-strand DNA breaks in vitro in mammalian cells []. GC-MS methods of analysis are recommended for residues of FLC in plants, soil, water and air, but there is a data gap for a suitable method of analysis for body fluids and tissues [].
Based on the European Food Safety Authority (EFSA) report, there are no more detailed technical data about all the target organs or potential target organs in rats. Consistency of toxicity assessment data on FLC derived from different institutions is also important for revealing the characteristics of FLC toxicity. In this study, we report the 90 day toxicity and toxicokinetics (TK) of FLC in Wistar rats to characterize more detailed findings about target organs. Rats were gavaged with FLC daily for 90 days, followed by a 30 day recovery phase. The following clinical signs were observed: changes in body weight, food consumption, serum biochemistry, hematology, hormone level in serum, macroscopic findings at necropsy and histopathologic alterations. In addition, the TK profiles of FLC were reported using a validated UPLC-MS/MS assay by comparing different doses of FLC on the 1st, 60th, 75th and last (90th) dosing day.
2. Materials and Methods
2.1. Materials
Fluorochloridone (purity > 95.5%) was purchased from Jiangxi Anlida Chemical Co., Ltd. (Jiangxi, China). A FLC standard (purity 99.0%) was purchased from Sigma-Aldrich (Seelze, Germany). Verapamil was provided by the Shanghai Institute for Food and Drug Control (Shanghai, China) as an internal standard for the UHPLC-MS/MS analysis of FLC. Mass spectroscopy grade acetonitrile, methanol, and formic acid were purchased from Merck (Darmstadt, Germany). All other chemicals used were of the highest commercial grade available.
2.2. Experimental Animals and Housing Conditions
This study was conducted at the Shanghai Institute for Food and Drug Control (SIFDC, Shanghai, China) and was carried out according to the OECD Guidelines for the “Repeated Dose 90-day Oral Toxicity Study in Rodents” []. All protocols were approved by the Institutional Animal Care and Use Committee of SIFDC. Six weeks male and female Wistar rats were obtained from Shanghai SLAC Laboratory Animal Co., Ltd. (Shanghai, China). Animals were kept in a room maintained at 23 ± 2 °C, relative humidity of 40%–70%, under a 12 h light/dark cycle.
2.3. Sample Preparation Procedures
FLC was suspended in 0.5% (w/v) sodium carboxymethyl cellulose (CMC-Na) used as a vehicle at concentrations of 1.56 mg/mL, 6.25 mg/mL and 25 mg/mL and fresh samples were prepared once every three days. The suspension was stirring during oral administration at room temperature.
2.4. Experimental Design
One hundred and ninety Wistar rats were fed a standard diet for 10 days to adapt to the environment before the experiments, and then divided into four groups at random by body weight. Group 0 was the control group which was gavaged with 0.5% (w/v) CMC-Na (n = 40, G0). Group 1 was gavaged with a dose of 31.25 mg/kg FLC (n = 50, G1). Group 2 was gavaged with a dose of 125 mg/kg FLC (n = 50, G2). Group 3 was gavaged a dose of 500 mg/kg FLC (n = 50, G3). Each group included half male and half female rats. Forty rats of each FLC group (G1, 2 and 3) and control group (G0) used in the ninety day toxicity test were gavaged with FLC for 90 days (Weeks 1–13) and feed without FLC to recover for 30 days (Weeks 14–17). The remaining ten animals of each FLC group (G1, G2 and G3) used in the TK test were gavaged with FLC for 90 days without a recovery phase. Body weights of all animals were measured once a week and the volume of FLC gavaged to each animal was adjusted according to their body weights.
On the 46th, 91th and 121th experimental date during the 90 day dosing phase and 30 day recovery phase of the 90 day toxicity test, 12, 16 and 12 animals, respectively, including half male and female rats, were fasted 18 h but with free access to water in a metabolic cage before histopathological examination. Animals’ blood were drawn via the abdominal aorta and urine of each animal was accumulated for clinical biochemistry, hematology, coagulation, hormone detection and routine urine tests. The main organs like brain, heart, liver, lung, kidney, adrenal gland ratio, thymus, spleen, testis, epididymis, prostate, seminal vesicle, ovary, uterus and fallopian tube were removed and weighed immediately for histopathology. Other organs and tissues like the eyeballs, lymphonodus, salivary glands, pancreas, stomach, intestine, bladder, vagina, sciatic nerve, pituitary gland, spine, and so on were also removed for histopathology. On the 1st, 60th, 75th and 90th experimental days of the TK test, G1, G2 and G3 included eight time points at 30 min. and 1, 2, 3, 5, 8, 10 and 24 h after administration before the next dosing on each experimental date. Blood samples of ten animals of each group were collected (anticoagulant: heparin sodium) via the orbital sinus.
2.5. Clinical Observations
Clinical observations were performed every day for all animals prior to the oral administration and during the course of gavage. Body weight data and food consumption data were collected once a week during the study period.
2.6. Clinical Pathology
Serum and plasma of all animals was accumulated by centrifugation at 804× g for 10 min. at 4 °C (Hettich Rotanta 460R Centrifuge, Tuttlingen, Germany). Biochemistry of the serum samples was tested using a Hitachi 7060 Automatic Biochemical Analyzer (Naka, Japan). Hematology of plasma samples (with K2-EDTA added as anticoagulant) was analyzed on a Bayer ADVIA 120 Automatic Blood Cell Analyzer (Leverkusen, Germany). Plasma samples (with added sodium citrate as anticoagulant) were tested for coagulation function on a Sysmex CA1500 Full-Automatic Coagulation Analyzer (Kobe, Japan). Urine samples were collected for routine urine tests (Bayer HealthCare Clinitek Status Urine Analyzer, NY, USA). The levels of testosterone (T), estradiol (E2), follicle-stimulating hormone (FSH) and luteinizing hormone (LH) in serum were measured by radioimmunoassay.
Blood samples were collected from the abdominal aorta on the 46th, 91th and 121th experimental date for clinical biochemistry, hematology, coagulation and routine urine tests. The following indicators of serum were determined: alanine aminotransferase, alkaline phosphatase, aspartate aminotransferase, γ-glutamyltraspeptidase, total protein, albumin, creatine phosphokinase, glucose, cholesterol, triglycerides, total bilirubin, urea nitrogen, creatinine, uric acid, glycosylated hemoglobin, high density lipoprotein, low density lipoprotein, sodium ion, potassium ion, chloride ion. Samples were collected in tubes containing K2-EDTA for the hematology analyses and the following indicators were determined: total leukocyte count, differential leukocyte count, hemoglobin, red blood cell count, hematocrit, red blood cell distribution width—coefficient of variation, mean corpuscular hemoglobin concentration, platelet count, absolute reticulocytes count and so on. Samples collected in tubes containing sodium citrate were analyzed for coagulation function and the following indicators were determined: activated partial thromboplastin time, thromboplastin time, fibrinogen, fibrinogen concentration, prothrombin time, prothrombin time international normalized ratio. Urine samples were tested for pH, urobilinogen, glucose, etc.
2.7. Necropsy and Histopathology
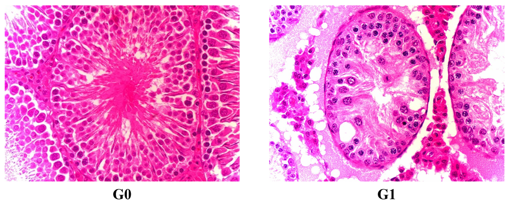
Animals were sacrificed by exsanguination while under deep anesthesia. The final body weight was recorded, and a complete gross necropsy was conducted. Major organs were weighed, and a complete standard set of tissues (>30 per animal) were preserved in neutral buffered formalin and male reproductive organs were preserved in Davison’s fixative. Some main organs like brain, heart, liver, lung, kidney, adrenal gland ratio, thymus, spleen, testis, epididymis, prostate, seminal vesicle, ovary, uterus and fallopian tubes were weighted immediately. Main organ coefficients (organ weight × 100 / body weight) were calculated. Organs and tissues were embedded in paraffin, sectioned, stained with hematoxylin and eosin (H&E), and examined by histological analysis (Figure 1 and Figure 2). Histological diagnosis was performed according to [,].
Figure 1.
Mean body weight trend chart of Wistar rats treated with FLC. G0 means Group 0 (Control, 0.5% CMC-Na), G1 means Group 1 (FLC 31.25 mg/kg), G2 means Group 2 (FLC 125 mg/kg), G3 means Group 3 (FLC 500 mg/kg).

Figure 2.
Lesion of testis in male rats treated with FLC on day 45 for atrophic and degenerating tubules, stained with H&E. G0 means Group 0 (0.5% CMC-Na), G1 means Group 1 (FLC 31.25 mg/kg), G2 means Group 2 (FLC 125 mg/kg), G3 means Group 3 (FLC 500 mg/kg).
2.8. Plasma FLC Determination
Plasma was cumulated by centrifugation at 804 × g for 10 min. at 4 °C (Hettich Rotanta 460R Centrifuge) and the supernatant was stored at −70 °C until analysis. Plasma samples were analyzed for FLC by an UPLC-MS/MS method. Briefly, a 100 μL aliquot of plasma was transferred into a 1.5-mL tapered plastic centrifuge tube, followed by the addition of 10 μL of verapamil (0.05 μg/mL) as an internal standard. The mixture was mixed for 30 s, followed by an addition of 300 μL of acetonitrile. The mixture was vortexed for 3 min and centrifuged at 36,670 × g for 10 min at 4 °C (Sartorius SIGMA 3K30 Centrifuge, Göttingen, Germany). An aliquot of the upper phase (1 μL) was subsequently injected into the UPLC-MS/MS system for analysis. An API 5000 triple quadrupole mass spectrometer (AB SCIEX, Boston, MA, USA) accompanied by Ultra Performance Liquid Chromatography was performed on an ACQUITY UPLC BEH C18 column (2.1 mm × 50 mm, 1.7 μm, Waters, Milford, MA, USA). The mobile phase was 0.1% formic acid in water-0.1% formic acid in acetonitrile (50:50, v/v) at a flow rate of 0.6 mL/min. The ion-spray potential was set at 5.5 kV, and the source temperature was 450 °C. Multiple reaction monitoring (MRM) were performed by using nitrogen as the collision gas. The analysis were detected by monitoring the transtitions m/z 312.0 → m/z 292.0 for FLC and m/z 456.2 → m/z 165.2 for verapamil (IS), with collision energies (CE) of 31 eV and 41 eV, respectively. The declustering potentials (DP) of FLC and verapamil were 188 V and 218 V. The calibration equation was determined by least-squares linear regression (weighted 1/x × x) over the range 3–3000 ng/mL in plasma.
2.9. Statistical Analysis
All measurements are expressed as the means ± standard deviation. Statistical analysis was performed with one-way analysis of variance (ANOVA) and Student’s t test using SPSS 19.0. p-values lower than 0.05 were considered to be significant. Toxicokinetic parameters (Tmax, Cmax, Clearance [CLz/F] and area under the curve [AUC]) in rats were assessed by a non-compartmental method using the Drug and Statistics 2.1 (DAS 2.1) software package (Mathematical Pharmacology Professional Committee of China, Shanghai, China).
3. Results
3.1. In-Vivo Observations
No animals died during dosing phase and there were no abnormal clinical signs indicating of an adverse effect arising from the oral administration of FLC. A difference in the body weight was observed intermittently in male animals treated by FLC 125 mg/kg (Weeks 2–4 and 7–13) and male animals treated by FLC 500 mg/kg (Weeks 1 and 3–13) with comparison to control-treated male animals (Figure 1). A difference in the body weight was observed intermittently in female animals treated by FLC 125 mg/kg (Weeks 5–7 and 13–15) and female animals treated by FLC 500 mg/kg (Weeks 3–7 and 13–15) compared to control-treated female animals (Figure 1). The difference in the body weight was not significant in male and female animals treated with FLC 125 mg/kg and 500 mg/kg during the last two recovery weeks compared to control-treated animals. Mean food consumption data indicated no treatment-related changes during the dosing phase or the recovery phase.
3.2. Clinical Pathology
Serum chemistry parameters are shown in Table 1 and Table 2. A decreased value of alkaline phosphatase, aspartate aminotransferase and alanine aminotransferase were observed in both male and female FLC-treated rats of all groups compared to the control-treated rats on the 45th dosing day and the last dosing day. A decreased level of aspartate aminotransferase and alanine aminotransferase were observed in the male and female FLC-treated rats of G3 compared to the control-treated rats on the last dosing day, respectively. An increased value of cholesterol was observed on both male and female FLC-treated rats of G2 and G3 compared with the control-treated rats on the last dosing day. An increased value of glucose was observed in the female FLC-treated rats of G1 compared to the control-treated rats on the 45th dosing day. On the last dosing day, glycosylated hemoglobin was tested to predict the influence of FLC on the pancreas. An obviously decreased value of glycosylated hemoglobin was observed in both male and female FLC-treated rats of G2 and G3 compared to the control-treated rats. A moderately increased value of total protein, albumin, total bilirubin and urine nitrogen were observed in the male and female FLC-treated rats of G2 and G3 compared to the control-treated rats within an acceptable normal range on the 45th dosing day and the last dosing day. Interestingly, an increased value of high density lipoprotein and a decreased value of low density lipoprotein were observed in both male and female FLC-treated rats of G2 and G3 compared to the control-treated rats on the last dosing day. The varietions of all biochemical indices of G1, G2 and G3 were not significant on the recovery day compared to control-treated animals.
Hematological observation results are described in Table 3 and Table 4. Small changes were observed in mean corpuscular hemoglobin and red cell distribution width-coefficient of variation in the male FLC-treated rats of G2 and G3 compared to the control-treated rats within an acceptable normal range on the 45th dosing day and the last dosing day.
Table 1.
Summary of clinical biochemistry in male rats.
| Tests | Dosing Days 45 | Dosing Days 90 | Recovery Days 30 | |||||||||
|---|---|---|---|---|---|---|---|---|---|---|---|---|
| G0 | G1 | G2 | G3 | G0 | G1 | G2 | G3 | G0 | G1 | G2 | G3 | |
| n = 6 | n = 6 | n = 6 | n = 6 | n = 8 | n = 8 | n = 8 | n = 8 | n = 6 | n = 6 | n = 6 | n = 6 | |
| Alanine aminotransferase (U/L) | 60 ± 13 | 54 ± 10 | 57 ± 16 | 66 ± 38 | 70 ± 34 | 57 ± 10 | 53 ± 5 | 45 ± 12 | 78 ± 11 | 80 ± 20 | 76 ± 17 | 84 ± 40 |
| Alkaline phosphatase (U/L) | 99 ± 7 | 85 ± 8 ** | 74 ± 4 ** | 72 ± 5 ** | 87 ± 15 | 71 ± 11 * | 67 ± 10 ** | 54 ± 6 ** | 112 ± 13 | 106 ± 6 | 94 ± 12 | 89 ± 8 |
| Aspartate aminotransferase (U/L) | 203 ± 53 | 177 ± 29 | 184 ± 38 | 178 ± 40 | 178 ± 45 | 144 ± 29 | 153 ± 41 | 120 ± 44 * | 209 ± 42 | 186 ± 58 | 178 ± 38 | 189 ± 51 |
| Gamma-glutamyltraspeptidase (U/L) | 0.86 ± 0.27 | 0.72 ± 0.28 | 0.65 ± 0.24 | 0.78 ± 0.31 | 0.59 ± 0.36 | 0.76 ± 0.20 | 0.62 ± 0.38 | 0.73 ± 0.30 | 0.73 ± 0.20 | 0.76 ± 0.25 | 0.73 ± 0.18 | 0.71 ± 0.18 |
| Total protein (g/L) | 58.2 ± 1.7 | 58.6 ± 1.9 | 58.4 ± 1.8 | 58.4 ± 2.8 | 57.3 ± 2.4 | 57.3 ± 1.8 | 59.4 ± 1.2 | 59.0 ± 1.1 | 61.1 ± 1.5 | 59.3 ± 1.2 | 61.0 ± 1.7 | 61.0 ± 1.3 |
| Albumin (g/L) | 24.4 ± 1.4 | 25.2 ± 1.2 | 25.4 ± 1.5 | 26.2 ± 1.5 | 24.1 ± 0.9 | 24.3 ± 0.8 | 26.0 ± 0.7 ** | 26.0 ± 1.1 ** | 24.2 ± 1.5 | 24.7 ± 0.8 | 25.3 ± 1.2 | 25.0 ± 0.7 |
| Creatine phosphokinase (U/L) | 1901 ± 617 | 1659 ± 354 | 1742 ± 568 | 1563 ± 341 | 1632 ± 453 | 1335 ± 288 | 1434 ± 680 | 1105 ± 751 | 1942 ± 712 | 1653 ± 807 | 1384 ± 809 | 1674 ± 842 |
| Glucose (mmol/L) | 6.44 ± 0.97 | 6.30 ± 1.21 | 5.66 ± 1.08 | 5.62 ± 1.26 | 8.56 ± 3.52 | 7.49 ± 1.01 | 7.30 ± 0.86 | 6.49 ± 1.37 | 8.46 ± 0.96 | 8.96 ± 0.99 | 8.85 ± 1.12 | 8.66 ± 1.31 |
| Cholesterol (mmol/L) | 1.66 ± 0.10 | 1..75 ± 0.11 | 1.74 ± 0.19 | 1.85 ± 0.16 | 1.80 ± 0.15 | 1.94 ± 0.19 | 2.10 ± 0.13 * | 1.79 ± 0.14 | 1.93 ± 0.10 | 1.87 ± 0.06 | 2.00 ± 0.21 | 1.88 ± 0.14 |
| Triglycerides (mmol/L) | 0.74 ± 0.24 | 0.58 ± 0.29 | 0.43 ± 0.09 | 0.59 ± 0.13 | 0.45 ± 0.12 | 0.55 ± 0.18 | 0.51 ± 0.13 | 0.50 ± 0.18 | 0.86 ± 0.40 | 0.86 ± 0.21 | 0.80 ± 0.35 | 0.84 ± 0.30 |
| Total bilirubin (μmol/L) | 0.4 ± 0.2 | 0.5 ± 0.1 | 0.4 ± 0.2 | 0.8 ± 0.2 ** | 0.5 ± 0.2 | 0.5 ± 0.2 | 0.7 ± 0.2 | 0.7 ± 0.2 | 0.6 ± 0.3 | 0.8 ± 0.3 | 0.8 ± 0.2 | 0.5 ± 0.3 |
| Urea nitrogen (mmol/L) | 6.62 ± 0.62 | 6.40 ± 0.50 | 6.62 ± 0.57 | 6.26 ± 0.49 | 6.58 ± 0.50 | 6.32 ± 0.31 | 6.44 ± 0.49 | 6.65 ± 0.57 | 8.28 ± 0.74 | 7.66 ± 0.65 | 7.66 ± 0.76 | 7.44 ± 0.58 |
| Creatinine (μmol/L) | 33.6 ± 3.9 | 31.4 ± 1.6 | 33.6 ± 1.6 | 35.5 ± 3.8 | 36.8 ± 13.0 | 31.9 ± 2.8 | 30.8 ± 3.9 | 32.8 ± 2.4 | 36.4 ± 4.4 | 32.6 ± 2.8 | 36.7 ± 9.1 | 34.5 ± 8.2 |
| Uric acid (mmol/L) | 78.34 ± 10.47 | 77.47 ± 7.45 | 80.80 ± 6.97 | 91.72 ± 28.32 | 113 ± 109 | 70.88 ± 19.80 | 72.57 ± 24.72 | 61.85 ± 11.77 | 76.18 ± 21.12 | 59.56 ± 5.06 | 91.43 ± 58.05 | 82.93 ± 55.31 |
| Glycosylated hemoglobin (%) # | / | / | / | / | 2.8 ± 0.1 | 2.8 ± 0.2 | 2.6 ± 0.1 ** | 2.1 ± 0.2 ** | 2.9 ± 0.1 | 2.4 ± 0.9 | 2.8 ± 0.1 | 2.3 ± 1.0 |
| High density lipoprotein (mmol/L) # | / | / | / | / | 0.54 ± 0.04 | 0.55 ± 0.05 | 0.64 ± 0.05 ** | 0.57 ± 0.06 | 0.53 ± 0.05 | 0.52 ± 0.04 | 0.54 ± 0.07 | 0.54 ± 0.05 |
| Low density lipoprotein (mmol/L) # | / | / | / | / | 0.08 ± 0.01 | 0.08 ± 0.01 | 0.06 ± 0.01 | 0.06 ± 0.02 * | 0.07 ± 0.02 | 0.06 ± 0.01 | 0.08 ± 0.02 | 0.06 ± 0.01 |
| Sodion (mmoL/L) | 138.8 ± 1.7 | 138.9 ± 1.2 | 139.5 ± 1.4 | 139.8 ± 1.2 | 140.3 ± 1.1 | 140.4 ± 1.2 | 140.4 ± 1.7 | 141.0 ± 1.6 | 138.6 ± 1.5 | 138.7 ± 1.5 | 139.1 ± 1.2 | 139.2 ± 0.6 |
| Potassium ion (mmoL/L) | 4.90 ± 0.40 | 4.98 ± 0.52 | 4.85 ± 0.39 | 5.00 ± 0.37 | 5.09 ± 0.76 | 5.45 ± 0.88 | 5.54 ± 0.63 | 5.25 ± 0.82 | 6..28 ± 1.10 | 6.02 ± 0.96 | 6.95 ± 0.61 | 6.48 ± 1.01 |
| Chloride ion (mmoL/L) | 100.3 ± 0.9 | 100.3 ± 0.9 | 100.4 ± 1.5 | 100.9 ± 1.2 | 102.1 ± 1.9 | 102.5 ± 1.9 | 102.4 ± 1.6 | 103.1 ± 1.9 | 99.8 ± 0.9 | 99.5 ± 0.7 | 99.4 ± 1.9 | 99.9 ± 0.9 |
Notes: G0 means Group 0 (0.5% CMC-Na), G1 means Group 1 (FLC 31.25 mg/kg), G2 means Group 2 (FLC 125 mg/kg), G3 means Group 3 (FLC 500 mg/kg). Data are expressed at mean ± S.D. # Glycosylated hemoglobin, high density lipoprotein and low density lipoprotein were not detected on the 45th day of dosing phase. * A significant difference at p < 0.05 level compared with the control (Group 0). ** A significant difference at p < 0.01 level compared with the control (Group 0).
Table 2.
Summary of clinical biochemistry in female rats.
| Tests | Dosing Days 45 | Dosing Days 90 | Recovery Days 30 | |||||||||
|---|---|---|---|---|---|---|---|---|---|---|---|---|
| G0 | G1 | G2 | G3 | G0 | G1 | G2 | G3 | G0 | G1 | G2 | G3 | |
| n = 6 | n = 6 | n = 6 | n = 6 | n = 8 | n = 8 | n = 8 | n = 8 | n = 6 | n = 6 | n = 6 | n = 6 | |
| Alanine aminotransferase (U/L) | 41 ± 4 | 38 ± 2 | 37 ± 4 | 36 ± 5 | 49 ± 6 | 46 ± 8 | 41 ± 10 | 36 ± 8 * | 40 ± 4 | 42 ± 7 | 37 ± 5 | 40 ± 4 |
| Alkaline phosphatase (U/L) | 58 ± 11 | 76 ± 12 * | 46 ± 4 | 42 ± 4 * | 56 ± 11 | 48 ± 11 | 44 ± 11 | 30 ± 3 ** | 53 ± 14 | 56 ± 2 | 71 ± 12 | 59 ± 9 |
| Aspartate aminotransferase (U/L) | 134 ± 40 | 128 ± 28 | 118 ± 31 | 109 ± 24 | 139 ± 33 | 126 ± 42 | 129 ± 60 | 110 ± 25 | 133 ± 53 | 141 ± 31 | 112 ± 33 | 132 ± 26 |
| Gamma-glutamyltraspeptidase (U/L) | 1.04 ± 0.43 | 1.06 ± 0.07 | 0.96 ± 0.13 | 1.05 ± 0.22 | 0.76 ± 0.31 | 0.81 ± 0.41 | 1.01 ± 0.15 | 0.83 ± 0.36 | 0.58 ± 0.30 | 0.72 ± 0.26 | 0.75 ± 0.22 | 0.74 ± 0.26 |
| Total protein (g/L) | 56.4 ± 2.4 | 56.6 ± 2.2 | 58.4 ± 1.9 | 59.8 ± 1.9 | 54.4 ± 2.5 | 56.0 ± 1.8 | 58.0 ± 1.1 ** | 59.3 ± 2.5 ** | 58.4 ± 2.1 | 58.7 ± 2.6 | 58.1 ± 1.6 | 58.8 ± 2.1 |
| Albumin (g/L) | 25.5 ± 1.1 | 26.1 ± 1.0 | 27.3 ± 0.8 * | 28.8 ± 1.2 ** | 25.7 ± 1.3 | 26.8 ± 1.3 | 27.6 ± 1.0 ** | 29.2 ± 1.0 ** | 27.1 ± 1.2 | 27.2 ± 1.1 | 25.3 ± 0.7 | 26.4 ± 1.2 |
| Creatine phosphokinase (U/L) | 1158 ± 527 | 1147 ± 411 | 1003 ± 440 | 949 ± 391 | 1268 ± 525 | 1127 ± 699 | 1054 ± 582 | 1158 ± 440 | 1179 ± 857 | 1322 ± 487 | 933 ± 546 | 1084 ± 589 |
| Glucose (mmol/L) | 5.08 ± 0.81 | 8.19 ± 1.27 ** | 5.17 ± 0.92 | 5.44 ± 0.98 | 7.48 ± 1.25 | 6.50 ± 1.53 | 6.98 ± 1.69 | 5.54 ± 0.39 * | 7.37 ± 1.00 | 7.96 ± 0.90 | 8.56 ± 1.32 | 7.26 ± 0.66 |
| Cholesterol (mmol/L) | 2.43 ± 0.18 | 2.32 ± 0.18 | 2.65 ± 0.23 | 2.79 ± 0.27 | 2.37 ± 0.29 | 2.23 ± 0.20 | 2.50 ± 0.27 | 2.99 ± 0.21 ** | 2.47 ± 0.10 | 2.19 ± 0.39 | 2.03 ± 0.22 | 2.40 ± 0.24 |
| Triglycerides (mmol/L) | 0.42 ± 0.06 | 0.38 ± 0.07 | 0.39 ± 0.02 | 0.46 ± 0.08 | 0.33 ± 0.05 | 0.35 ± 0.04 | 0.31 ± 0.08 | 0.40 ± 0.06 | 0.39 ± 0.10 | 0.32 ± 0.05 | 0.32 ± 0.10 | 0.32 ± 0.02 |
| Total bilirubin (μmol/L) | 0.5 ± 0.2 | 0.3 ± 0.2 | 0.6 ± 0.2 | 0.9 ± 0.2 ** | 0.3 ± 0.2 | 0.5 ± 0.3 | 0.6 ± 0.4 | 0.8 ± 0.2 * | 0.7 ± 0.1 | 0.6 ± 0.2 | 0.5 ± 0.3 | 0.5 ± 0.2 |
| Urea nitrogen (mmol/L) | 6.62 ± 0.50 | 8.26 ± 0.67 ** | 6.20 ± 0.40 | 5.96 ± 0.39 | 7.65 ± 1.46 | 7.42 ± 0.59 | 7.35 ± 1.34 | 6.65 ± 0.41 | 6.82 ± 0.70 | 7.46 ± 1.34 | 8.11 ± 1.01 | 7.58 ± 0.57 |
| Creatinine (μmol/L) | 33.8 ± 3.6 | 31.8 ± 4.4 | 31.3 ± 2.1 | 30.5 ± 3.0 | 33.8 ± 4.5 | 33.2 ± 5.9 | 30.4 ± 3.8 | 30.0 ± 2.1 | 34.6 ± 5.4 | 34.5 ± 3.7 | 34.4 ± 4.3 | 32.4 ± 4.1 |
| Uric acid (mmol/L) | 78.24 ± 8.60 | 87.86 ± 22.95 | 86.12 ± 15.52 | 81.18 ± 17.07 | 82.3 ± 33.1 | 78.9 ± 46.4 | 60.6 ± 17.7 | 67.8 ± 13.2 | 81.4 ± 34.5 | 76.3 ± 18.6 | 82.1 ± 32.9 | 72.9 ± 21.7 |
| Glycosylated hemoglobin (%) # | / | / | / | / | 2.4 ± 0.1 | 2.4 ± 0.1 | 2.1 ± 0.1 ** | 1.8 ± 0.1 ** | 1.8 ± 0.9 | 2.1 ± 0.9 | 2.0 ± 0.9 | 2.1 ± 0.8 |
| High density lipoprotein (mmol/L) # | / | / | / | / | 0.78 ± 0.08 | 0.72 ± 0.08 | 0.84 ± 0.10 | 1.02 ± 0.07 ** | 0.85 ± 0.03 | 0.76 ± 0.13 | 0.70 ± 0.07 | 0.82 ± 0.08 |
| Low density lipoprotein (mmol/L) # | / | / | / | / | 0.06 ± 0.02 | 0.05 ± 0.01 | 0.05 ± 0.01 | 0.04 ± 0.01 ** | 0.03 ± 0.02 | 0.04 ± 0.02 | 0.04 ± 0.01 | 0.05 ± 0.01 |
| High density lipoprotein (mmol/L) # | 141.3 ± 1.4 | 141.6 ± 1.2 | 141.8 ± 0.6 | 142.5 ± 2.1 | 138.7 ± 0.9 | 122.1 ± 49.4 | 140.3 ± 1.1 | 140.0 ± 0.9 | 139.5 ± 0.8 | 139.7 ± 1.4 | 139.7 ± 0.7 | 139.8 ± 1.4 |
| Low density lipoprotein (mmol/L)# | 4.86 ± 0.75 | 5.40 ± 0.72 | 5.14 ± 0.50 | 4.78 ± 0.42 | 5.22 ± 0.63 | 4.37 ± 1.95 | 5.22 ± 0.63 | 5.07 ± 0.60 | 5.94 ± 0.57 | 6.15 ± 1.30 | 6.34 ± 1.22 | 6.29 ± 0.43 |
| Chloride ion (mmoL/L) | 103.2 ± 1.9 | 104.9 ± 1.9 | 104.9 ± 0.8 | 105.4 ± 0.3 | 101.2 ± 1.3 | 89.8 ± 36.3 | 102.0 ± 1.2 | 101.7 ± 1.0 | 101.4 ± 0.5 | 101.2 ± 1.4 | 102.1 ± 1.3 | 102.2 ± 0.5 |
Notes: G0 means Group 0 (0.5% CMC-Na), G1 means Group 1 (FLC 31.25 mg/kg), G2 means Group 2 (FLC 125 mg/kg), G3 means Group 3 (FLC 500 mg/kg). Data are expressed at mean ± S.D. # Glycosylated hemoglobin, High density lipoprotein and Low density lipoprotein were not detected on the 45th day of dosing phase. * A significant difference at p < 0.05 level compared with the control (Group 0). ** A significant difference at p < 0.01 level compared with the control (Group 0).
Table 3.
Summary of hematology in male rats.
| Tests | Dosing Days 45 | Dosing Days 90 | Recovery Days 30 | |||||||||
|---|---|---|---|---|---|---|---|---|---|---|---|---|
| G0 | G1 | G2 | G3 | G0 | G1 | G2 | G3 | G0 | G1 | G2 | G3 | |
| n = 6 | n = 6 | n = 6 | n = 6 | n = 8 | n = 8 | n = 8 | n = 8 | n = 6 | n = 6 | n = 6 | n = 6 | |
| White blood cell (109/L) | 8.05 ± 2.12 | 7.18 ± 2.06 | 6.45 ± 3.30 | 8.33 ± 2.38 | 6.04 ± 1.29 | 6.81 ± 1.83 | 5.47 ± 0.90 | 5.87 ± 1.59 | 3.43 ± 1.54 | 2.78 ± 1.11 | 4.35 ± 1.73 | 3.07 ± 0.62 |
| Neutrophil (%) | 30.9 ± 9.6 | 26.4 ± 2.5 | 39.1 ± 17.1 | 30.0 ± 8.0 | 31.6 ± 8.2 | 28.2 ± 5.8 | 30.2 ± 4.0 | 27.6 ± 5.7 | 37.1 ± 6.9 | 35.8 ± 9.3 | 30.6 ± 9.6 | 36.9 ± 7.4 |
| Lymphocytes (%) | 63.8 ± 9.6 | 67.6 ± 2.4 | 53.2 ± 22.9 | 63.7 ± 7.1 | 61.8 ± 8.6 | 64.8 ± 5.7 | 63.2 ± 3.3 | 65.4 ± 5.2 | 55.3 ± 6.9 | 55.0 ± 9.9 | 62.1 ± 8.8 | 55.2 ± 7.7 |
| Monocyte (%) | 2.9 ± 0.4 | 3.4 ± 1.0 | 5.6 ± 7.4 | 3.6 ± 0.7 | 3.1 ± 0.7 | 3.3 ± 0.9 | 2.9 ± 0.5 | 2.9 ± 1.1 | 2.4 ± 0.4 | 3.1 ± 0.6 | 2.9 ± 0.8 | 2.7 ± 0.4 |
| Eosinophil (%) | 1.4 ± 0.2 | 1.3 ± 0.2 | 1.3 ± 0.9 | 1.4 ± 0.3 | 1.8 ± 0.3 | 1.9 ± 0.8 | 2.0 ± 0.5 | 2.2 ± 0.6 | 3.8 ± 2.4 | 4.0 ± 1.0 | 2.5 ± 1.8 | 3.5 ± 0.7 |
| Basophil (%) | 0.4 ± 0.1 | 0.4 ± 0.1 | 0.3 ± 0.1 | 0.3 ± 0.1 | 0.3 ± 0.1 | 0.3 ± 0.1 | 0.3 ± 0.1 | 0.4 ± 0.1 | 0.5 ± 0.2 | 0.5 ± 0.2 | 0.6 ± 0.2 | 0.4 ± 0.2 |
| Red blood cell (1012/ L) | 9.41 ± 0.80 | 9.64 ± 0.20 | 9.21 ± 0.57 | 9.48 ± 0.37 | 9.84 ± 0.35 | 9.94 ± 0.29 | 9.98 ± 0.30 | 9.88 ± 0.28 | 9.03 ± 0.37 | 9.03 ± 0.16 | 9.49 ± 0.19 * | 9.38 ± 0.19 |
| Hemoglobin (g/dL) | 15.2 ± 1.3 | 15.8 ± 0.4 | 14.9 ± 0.8 | 15.2 ± 0.6 | 15.7 ± 0.6 | 16.0 ± 0.6 | 15.9 ± 0.5 | 15.5 ± 0.3 | 15.2 ± 0.5 | 15.6 ± 0.5 | 16.0 ± 0.3 * | 15.6 ± 0.3 |
| Hematocrit (%) | 49.2 ± 3.9 | 51.1 ± 1.5 | 48.1 ± 2.5 | 49.4 ± 2.2 | 49.0 ± 1.8 | 49.8 ± 2.3 | 49.2 ± 1.8 | 48.8 ± 1.4 | 45.9 ± 1.8 | 47.3 ± 1.1 | 49.0 ± 1.6 * | 47.4 ± 1.4 |
| Mean corpuscular volume (fL) | 52 ± 0 | 53 ± 1 | 52 ± 1 | 52 ± 1 | 50 ± 1 | 50 ± 1 | 49 ± 1 | 49 ± 1 | 51 ± 1 | 52 ± 1 | 52 ± 1 | 51 ± 1 |
| Mean corpuscular hemoglobin (pg) | 16.2 ± 0.2 | 16.4 ± 0.2 | 16.1 ± 0.4 | 16.0 ± 0.2 | 16.0 ± 0.3 | 16.1 ± 0.1 | 16.0 ± 0.2 | 15.7 ± 0.2 * | 16.9 ± 0.2 | 17.1 ± 0.3 | 16.9 ± 0.1 | 16.6 ± 0.1 |
| Mean corpuscular hemoglobin concentration (g/dL) | 30.9 ± 0.3 | 31.0 ± 0.3 | 30.9 ± 0.4 | 30.7 ± 0.3 | 32.2 ± 0.4 | 32.2 ± 0.5 | 32.4 ± 0.5 | 31.8 ± 0.4 | 33.2 ± 0.5 | 33.0 ± 0.3 | 32.7 ± 0.7 | 32.8 ± 0.5 |
| Red cell distribution width-coefficient of variation (%) | 11.6 ± 0.2 | 11.8 ± 0.4 | 12.2 ± 0.4 * | 12.5 ± 0.2 ** | 11.8 ± 0.3 | 11.7 ± 0.2 | 11.7 ± 0.2 | 12.3 ± 0.4 | 13.1 ± 0.4 | 13.2 ± 0.2 | 13.2 ± 0.3 | 13.4 ± 0.4 |
| Platelet count (109/L) | 1117 ± 286 | 1171 ± 145 | 1002 ± 357 | 1117 ± 95 | 1241 ± 100 | 1240 ± 77 | 1259 ± 84 | 1226 ± 75 | 917 ± 197 | 914 ± 96 | 1018 ± 60 | 1027 ± 106 |
| Reticulocytes (%) | 2.1 ± 0.2 | 2.1 ± 0.3 | 2.2 ± 0.2 | 2.5 ± 0.3 | 2.0 ± 0.2 | 2.1 ± 0.3 | 2.0 ± 0.3 | 2.5 ± 0.3 ** | 2.1 ± 0.5 | 2.3 ± 0.1 | 2.2 ± 0.1 | 2.1 ± 0.2 |
| Reticulocytes count (×109/L) | 200.4 ± 15.4 | 200.4 ± 30.3 | 206.6 ± 17.1 | 240.4 ± 24.4 * | 196.2 ± 25.4 | 210.3 ± 31.9 | 196.6 ± 25.4 | 247.4 ± 27.9 ** | 189.9 ± 44.7 | 213.4 ± 7.9 | 205.8 ± 12.0 | 191.3 ± 15.7 |
| Activated partial thromboplastin time (s) | 20.4 ± 2.6 | 19.9 ± 1.5 | 19.8 ± 2.7 | 20.3 ± 3.0 | 29.8 ± 2.4 | 29.1 ± 3.0 | 26.6 ± 2.7 | 26.0 ± 2.3 * | 23.1 ± 7.9 | 20.2 ± 3.5 | 20.3 ± 1.6 | 19.9 ± 2.5 |
| Thromboplastin time (s) | 50.2 ± 7.4 | 49.6 ± 6.2 | 45.7 ± 7.7 | 40.2 ± 10.8 | 61.8 ± 7.8 | 61.2 ± 3.7 | 59.8 ± 3.0 | 58.1 ± 3.3 | 57.2 ± 1.5 | 54.5 ± 5.3 | 62.8 ± 3.6 | 58.5 ± 4.1 |
| Fibrinogen (g/L) | 8.7 ± 0.8 | 8.8 ± 0.8 | 8.6 ± 0.9 | 8.5 ± 0.5 | 10.6 ± 0.9 | 10.1 ± 0.6 | 10.2 ± 0.6 | 10.3 ± 0.9 | 9.6 ± 2.1 | 8.7 ± 0.4 | 8.9 ± 0.9 | 8.6 ± 0.9 |
| Prothrombin time (s) | 8.8 ± 0.4 | 8.9 ± 0.3 | 8.8 ± 0.4 | 8.5 ± 0.3 | 12.9 ± 0.9 | 12.4 ± 1.5 | 11.8 ± 1.2 | 11.5 ± 1.1 | 8.9 ± 0.3 | 8.8 ± 0.3 | 9.1 ± 0.2 | 9.0 ± 0.5 |
Notes: G0 means Group 0 (0.5% CMC-Na), G1 means Group 1 (FLC 31.25 mg/kg), G2 means Group 2 (FLC 125 mg/kg), G3 means Group 3 (FLC 500 mg/kg). Data are expressed at mean ± S.D. * A significant difference at p < 0.05 level compared with the control (Group 0). ** A significant difference at p < 0.01 level compared with the control (Group 0).
Table 4.
Summary of hematology in female rats.
| Tests | Dosing Days 45 | Dosing Days 90 | Recovery Days 30 | |||||||||
|---|---|---|---|---|---|---|---|---|---|---|---|---|
| G0 | G1 | G2 | G3 | G0 | G1 | G2 | G3 | G0 | G1 | G2 | G3 | |
| n = 6 | n = 6 | n = 6 | n = 6 | n = 8 | n = 8 | n = 8 | n = 8 | n = 6 | n = 6 | n = 6 | n = 6 | |
| White blood cell (109/L) | 4.15 ± 1.15 | 4.52 ± 0.86 | 4.88 ± 1.22 | 4.35 ± 1.60 | 2.90 ± 0.87 | 2.57 ± 0.87 | 3.22 ± 1.11 | 2.56 ± 1.27 | 1.95 ± 1.08 | 2.22 ± 0.97 | 2.29 ± 0.44 | 2.09 ± 0.74 |
| Neutrophil (%) | 33.0 ± 8.3 | 30.8 ± 6.8 | 33.2 ± 5.7 | 32.6 ± 9.6 | 29.0 ± 7.4 | 28.3 ± 8.3 | 33.3 ± 4.3 | 25.2 ± 7.0 | 29.1 ± 3.4 | 31.8 ± 5.1 | 35.3 ± 4.2 | 35.6 ± 12.3 |
| Lymphocytes (%) | 61.7 ± 7.8 | 64.8 ± 6.3 | 61.6 ± 5.7 | 62.8 ± 9.6 | 64.1 ± 5.5 | 65.3 ± 8.1 | 60.6 ± 3.9 | 68.1 ± 6.8 | 63.3 ± 3.2 | 60.9 ± 4.2 | 58.1 ± 4.0 | 57.2 ± 12.4 |
| Monocyte (%) | 3.0 ± 0.7 | 2.2 ± 0.9 | 2.6 ± 0.6 | 2.6 ± 0.8 | 2.4 ± 1.3 | 2.7 ± 1.2 | 2.9 ± 1.3 | 2.8 ± 0.8 | 2.0 ± 0.5 | 2.2 ± 0.8 | 2.2 ± 0.3 | 2.2 ± 0.4 |
| Eosinophil (%) | 1.3 ± 0.3 | 1.5 ± 0.4 | 1.4 ± 0.2 | 1.7 ± 0.5 | 3.3 ± 5.0 | 2.6 ± 1.3 | 1.5 ± 1.1 | 1.8 ± 0.5 | 4.4 ± 1.6 | 3.8 ± 2.0 | 3.2 ± 1.2 | 3.6 ± 0.6 |
| Basophil (%) | 0.3 ± 0.1 | 0.3 ± 0.1 | 0.3 ± 0.1 | 0.3 ± 0.2 | 0.3 ± 0.1 | 0.3 ± 0.2 | 0.4 ± 0.1 | 0.4 ± 0.1 | 0.6 ± 0.2 | 0.6 ± 0.3 | 0.4 ± 0.2 | 0.5 ± 0.2 |
| Red blood cell (1012/ L) | 8.84 ± 0.35 | 8.73 ± 0.27 | 8.71 ± 0.07 | 8.40 ± 0.18 | 8.87 ± 0.22 | 8.70 ± 0.42 | 8.79 ± 0.24 | 8.74 ± 0.37 | 8.63 ± 0.26 | 8.79 ± 0.25 | 8.35 ± 0.29 | 8.63 ± 0.22 |
| Hemoglobin (g/dL) | 15.4 ± 0.7 | 15.4 ± 0.3 | 15.1 ± 0.4 | 14.6 ± 0.4 | 15.3 ± 0.3 | 15.0 ± 0.8 | 14.9 ± 0.4 | 13.8 ± 3.1 | 16.0 ± 0.5 | 16.2 ± 0.6 | 15.3 ± 0.6 | 15.7 ± 0.4 |
| Hematocrit (%) | 48.6 ± 2.3 | 47.6 ± 1.4 | 47.0 ± 0.8 | 45.4 ± 1.0 ** | 46.8 ± 1.3 | 45.8 ± 1.8 | 46.1 ± 1.3 | 46.1 ± 1.8 | 46.8 ± 1.5 | 47.7 ± 2.0 | 45.4 ± 1.7 | 45.9 ± 1.0 |
| Mean corpuscular volume (fL) | 55.0 ± 1.0 | 54.5 ± 0.6 | 54.0 ± 0.9 | 54.1 ± 1.1 | 52.8 ± 0.7 | 52.7 ± 0.6 | 52.4 ± 0.8 | 52.8 ± 0.5 | 54.2 ± 0.5 | 54.3 ± 1.0 | 54.4 ± 1.1 | 53.2 ± 0.5 |
| Mean corpuscular hemoglobin (pg) | 17.4 ± 0.4 | 17.7 ± 0.3 | 17.4 ± 0.4 | 17.4 ± 0.3 | 17.2 ± 0.1 | 17.2 ± 0.1 | 17.0 ± 0.1 | 15.7 ± 3.2 | 18.5 ± 0.3 | 18.4 ± 0.2 | 18.3 ± 0.2 | 18.2 ± 0.2 |
| Mean corpuscular hemoglobin concentration (g/dL) | 31.6 ± 0.7 | 32.5 ± 0.5 * | 32.1 ± 0.4 | 32.2 ± 0.2 | 32.6 ± 0.5 | 32.6 ± 0.4 | 32.4 ± 0.5 | 29.7 ± 6.2 | 34.2 ± 0.8 | 34.0 ± 0.4 | 33.6 ± 1.0 | 34.2 ± 0.5 |
| Red cell distribution width-coefficient of variation (%) | 10.8 ± 0.3 | 10.6 ± 0.3 | 11.0 ± 0.6 | 11.3 ± 0.4 | 10.1 ± 0.3 | 10.1 ± 0.2 | 10.2 ± 0.2 | 10.4 ± 0.3 | 11.6 ± 0.4 | 11.5 ± 0.2 | 12.0 ± 0.4 | 11.8 ± 0.2 |
| Platelet count (109/L) | 1270 ± 144 | 1172 ± 199 | 1088 ± 233 | 1098 ± 74 | 1303 ± 75 | 1134 ± 80 * | 1199 ± 72 | 1090 ± 185 ** | 1087 ± 137 | 999 ± 78 | 1026 ± 68 | 1100 ± 53 |
| Reticulocytes (%) | 2.2 ± 0.3 | 2.4 ± 0.4 | 2.5 ± 0.6 | 2.9 ± 0.7 | 2.6 ± 0.4 | 2.7 ± 0.6 | 2.8 ± 0.3 | 2.9 ± 0.5 | 2.2 ± 0.5 | 1.9 ± 0.2 | 2.6 ± 1.0 | 1.9 ± 0.3 |
| Reticulocytes count (×109/L) | 193.3 ± 25.6 | 206.8 ± 31.1 | 216.0 ± 53.2 | 243.2 ± 57.9 | 232.8 ± 35.5 | 229.7 ± 40.7 | 245.9 ± 27.9 | 251.0 ± 43.5 | 192.4 ± 39.2 | 170.8 ± 20.0 | 214.3 ± 82.0 | 162.7 ± 19.7 |
| Activated partial thromboplastin time (s) | 19.0 ± 1.5 | 20.2 ± 5.1 | 18.8 ± 3.1 | 16.9 ± 0.8 | 24.0 ± 3.0 | 25.1 ± 2.4 | 25.3 ± 1.7 | 24.4 ± 2.1 | 26.4 ± 2.2 | 26.1 ± 3.8 | 24.3 ± 2.9 | 25.2 ± 1.6 |
| Thromboplastin time (s) | 51.6 ± 4.6 | 44.5 ± 10.3 | 45.0 ± 6.7 | 46.3 ± 2.1 | 52.8 ± 5.0 | 53.9 ± 3.9 | 54.2 ± 2.2 | 52.5 ± 2.6 | 56.8 ± 3.6 | 51.0 ± 7.7 | 55.8 ± 2.8 | 57.3 ± 1.6 |
| Fibrinogen (g/L) | 9.0 ± 0.8 | 9.9 ± 1.0 | 9.7 ± 0.9 | 9.9 ± 0.5 | 11.4 ± 0.7 | 11.6 ± 1.0 | 11.2 ± 1.4 | 11.5 ± 1.5 | 12.2 ± 1.7 | 12.6 ± 0.6 | 11.1 ± 1.1 | 11.5 ± 1.3 |
| Prothrombin time (s) | 9.0 ± 0.8 | 8.7 ± 0.4 | 8.4 ± 0.3 | 8.4 ± 0.2 | 10.2 ± 1.1 | 10.4 ± 1.0 | 10.7 ± 0.7 | 10.3 ± 1.0 | 10.7 ± 1.1 | 10.3 ± 1.3 | 10.7 ± 1.6 | 10.1 ± 0.7 |
Notes: G0 means Group 0 (0.5% CMC-Na), G1 means Group 1 (FLC 31.25 mg/kg), G2 means Group 2 (FLC 125 mg/kg), G3 means Group 3 (FLC 500 mg/kg). Data are expressed at mean ± S.D. * A significant difference at p < 0.05 level compared with the control (Group 0). ** A significant difference at p < 0.01 level compared with the control (Group 0).
In addition, small changes were observed in hematocrit and mean corpuscular hemoglobin concentration in the female FLC-treated rats of G1 and G3 compared to the control-treated rats within an acceptable normal range on the 45th dosing day. A significantly decreased platelet count value was observed in the female FLC-treated rats of G1 and G3 compared to the control-treated rats on the last dosing day. A significantly increased value of reticulocytes was observed in the male FLC-treated rats of G3 compared to the control-treated rats on the 45th dosing day and the last dosing day. Significantly increased values of red blood cell, hemoglobin and hematocrit counts were observed in the male FLC-treated rats of G2 compared to the control-treated rats on the last recovery day. The variation of all the hematology indices of female rats in G1, G2 and G3 were not significant on the last recovery day compared to control-treated animals. A decreased value of activated partial thromboplastin time was observed in the male FLC-treated rats of G3 compared to the control-treated rats on the last dosing day. In addition, no significant changes of thromboplastin time, fibrinogen and prothrombin time were observed in the coagulation parameters in any group compared with the control-treated rats (Table 3 and Table 4). The variation of all coagulation indices of G1, G2 and G3 were not significant on the last recovery day compared to control-treated animals. There were no alterations in the routine urine tests on the 45th dosing day, the last dosing day and the last day of the recovery phase.
3.3. Endocrine Function
A significantly increased value of T in serum was observed in the male FLC-treated rats of Group 3 compared to the control-treated rats on the last dosing day. A similar trend was also shown on the 45th day. The T level differences of G1, G2 and G3 were not significant on the last recovery day compared to control-treated animals. In addition, no treatment-related alterations were observed in the levels of E2, FSH, LH on the 45th day and the last dosing day (Table 5 and Table 6).
3.4. Necropsy and Histopathlolgoy
Organs coefficients are given in Table 7 and Table 8. A significantly increased value of brain coefficients was observed in the male FLC-treated rats of G2 and G3 compared with the control-treated rats on the last dosing day. A significantly increased value of heart coefficients was observed in the male FLC-treated rats of G3 on the 45th dosing day. The same trend of heart coefficients was observed in the female FLC-treated rats of G2 and G3 on the last dosing day. A significantly increased value of liver coefficient was observed in male and female FLC-treated rats of almost all groups on the 45th dosing day and the last dosing day. Female rats of G3 exhibited increases in kidney coefficient value on the last dosing day. A similar trend of thymus coefficients was observed in the female FLC-treated rats of G3 on the last recovering day. In addition, male rats who received FLC exhibited a decreased dependence on dose concerning the value of testis and epididymis coefficients in all groups compared with the control treated rats on the 45th dosing day, the last dosing day and the last recovery day. By the 45th day, FLC administration produced prolonged or severe germ cell degeneration in all male rats treated with FLC, as well as severe absence of most or all germ cells from affected tubules, severe tubules lined only by sertoli cells, severe decreased tubular diameter, decreased testis size and weight in G2 and G3 male rats.
Table 5.
Summary of hormone in serum in male rats.
| Tests | Dosing Day 45 | Dosing Day 90 | Recovery Day 30 | |||||||||
|---|---|---|---|---|---|---|---|---|---|---|---|---|
| G0 | G1 | G2 | G3 | G0 | G1 | G2 | G3 | G0 | G1 | G2 | G3 | |
| n = 6 | n = 6 | n = 6 | n = 6 | n = 8 | n = 8 | n = 8 | n = 8 | n = 6 | n = 6 | n = 6 | n = 6 | |
| Testosterone (T, ng/mL) | 1.64 ± 1.34 | 2.25 ± 1.56 | 2.26 ± 1.68 | 3.02 ± 1.20 | 0.71 ± 0.40 | 1.07 ± 0.40 | 0.74 ± 0.15 | 1.31 ± 0.44 * | 0.95 ± 0.24 | 0.92 ± 0.14 | 0.94 ± 0.34 | 0.94 ± 0.17 |
| Follicle-Stimulating Hormone (FSH, mIU/mL) | 1.89 ± 0.44 | 2.10 ± 0.48 | 2.48 ± 0.45 | 2.20 ± 0.68 | 2.46 ± 0.81 | 3.05 ± 0.65 | 2.79 ± 0.79 | 2.63 ± 0.59 | 2.53 ± 0.84 | 2.45 ± 0.85 | 2.28 ± 0.88 | 2.15 ± 1.06 |
| Luteinizing Hormone (LH, mIU/mL) | 5.02 ± 1.19 | 3.75 ± 1.33 | 4.31 ± 0.59 | 4.24 ± 1.46 | 3.68 ± 1.05 | 4.05 ± 0.60 | 3.68 ± 1.06 | 3.24 ± 0.72 | 6.51 ± 0.85 | 5.84 ± 2.77 | 7.70 ± 1.18 | 5.56 ± 2.28 |
Notes: G0 means Group 0 (0.5% CMC-Na), G1 means Group 1 (FLC 31.25 mg/kg), G2 means Group 2 (FLC 125 mg/kg), G3 means Group 3 (FLC 500 mg/kg). Data are expressed at mean ± S.D. * A significant difference at p < 0.05 level compared with the control (Group 0).
Table 6.
Summary of hormone in serum in female rats.
| Tests | Dosing Day 45 | Dosing Day 90 | Recovery Day 30 | |||||||||
|---|---|---|---|---|---|---|---|---|---|---|---|---|
| G0 | G1 | G2 | G3 | G0 | G1 | G2 | G3 | G0 | G1 | G2 | G3 | |
| n = 6 | n = 6 | n = 6 | n = 6 | n = 8 | n = 8 | n = 8 | n = 8 | n = 6 | n = 6 | n = 6 | n = 6 | |
| Estradiol (E2, pg/mL) | 23.32 ± 11.34 | 17.20 ± 7.06 | 24.66 ± 8.82 | 27.14 ± 16.43 | 21.88 ± 13.20 | 20.32 ± 22.18 | 21.06 ± 14.68 | 21.84 ± 14.99 | 24.64 ± 12.99 | 25.38 ± 12.49 | 26.74 ± 11.42 | 26.46 ± 14.27 |
| Follicle-Stimulating Hormone (FSH, mIU/mL) | 3.07 ± 0.83 | 2.83 ± 0.51 | 3.07 ± 0.70 | 3.07 ± 0.74 | 2.50 ± 1.00 | 2.29 ± 0.82 | 3.00 ± 0.49 | 2.75 ± 0.93 | 2.08 ± 0.66 | 2.04 ± 0.20 | 2.17 ± 0.89 | 1.84 ± 0.42 |
| Luteinizing Hormone (LH, mIU/mL) | 6.61 ± 0.95 | 6.08 ± 0.92 | 6.22 ± 1.09 | 5.80 ± 0.98 | 4.52 ± 0.93 | 4.21 ± 1.21 | 4.60 ± 0.66 | 4.64 ± 0.82 | 6.84 ± 1.23 | 4.99 ± 2.10 | 6.50 ± 2.47 | 6.90 ± 1.07 |
Notes: G0 means Group 0 (0.5% CMC-Na), G1 means Group 1 (FLC 31.25 mg/kg), G2 means Group 2 (FLC 125 mg/kg), G3 means Group 3 (FLC 500 mg/kg). Data are expressed at mean ± S.D.
Table 7.
Summary of organ coefficients in male rats.
| Tests | Dosing Day 45 | Dosing Day 90 | Recovery Day 30 | |||||||||
|---|---|---|---|---|---|---|---|---|---|---|---|---|
| G0 | G1 | G2 | G3 | G0 | G1 | G2 | G3 | G0 | G1 | G2 | G3 | |
| n = 6 | n = 6 | n = 6 | n = 6 | n = 8 | n = 8 | n = 8 | n = 8 | n = 6 | n = 6 | n = 6 | n = 6 | |
| Brain ratio | 0.5176 ± 0.0433 | 0.5278 ± 0.0163 | 0.5261 ± 0.0295 | 0.5471 ± 0.0320 | 0.4665 ± 0.0212 | 0.5009 ± 0.0340 | 0.5154 ± 0.0272 ** | 0.5038 ± 0.0180 * | 0.4631 ± 0.05178 | 0.4527 ± 0.03946 | 0.4493 ± 0.0387 | 0.4675 ± 0.0193 |
| Heart ratio | 0.3070 ± 0.0133 | 0.3255 ± 0.0152 | 0.3221 ± 0.0233 | 0.3616 ± 0.0526 * | 0.3021 ± 0.0224 | 0.3099 ± 0.0236 | 0.3070 ± 0.0220 | 0.3114 ± 0.0132 | 0.3038 ± 0.0354 | 0.3002 ± 0.0290 | 0.2949 ± 0.0269 | 0.3184 ± 0.0108 |
| Liver ratio | 2.5030 ± 0.0957 | 2.7033 ± 0.1136 ** | 2.8729 ± 0.0761 ** | 3.2967 ± 0.0817 ** | 2.2965 ± 0.1131 | 2.5475 ± 0.0717 ** | 2.6937 ± 0.1213 ** | 2.9500 ± 0.1618 ** | 2.3125 ± 0.4473 | 2.5547 ± 0.2937 | 2.4687 ± 0.1151 | 2.5664 ± 0.0952 |
| Lung ratio | 0.3660 ± 0.0101 | 0.3730 ± 0.0206 | 0.4137 ± 0.0391 | 0.3865 ± 0.0274 | 0.3416 ± 0.0216 | 0.3500 ± 0.0279 | 0.3613 ± 0.0214 | 0.3832 ± 0.0455 | 0.3515 ± 0.0397 | 0.3447 ± 0.0273 | 0.3264 ± 0.0393 | 0.3371 ± 0.0291 |
| Kidney ratio | 0.6124 ± 0.0820 | 0.5709 ± 0.0510 | 0.5834 ± 0.0142 | 0.6121 ± 0.0173 | 0.5491 ± 0.0667 | 0.5957 ± 0.0739 | 0.5798 ± 0.0258 | 0.5714 ± 0.0232 | 0.5574 ± 0.0688 | 0.5334 ± 0.0547 | 0.5250 ± 0.1694 | 0.5617 ± 0.0189 |
| Adrenal gland ratio | 0.0136 ± 0.0014 | 0.0128 ± 0.0027 | 0.0144 ± 0.0017 | 0.0148 ± 0.0028 | 0.0125 ± 0.0017 | 0.0113 ± 0.0028 | 0.0109 ± 0.0014 | 0.0107 ± 0.0016 | 0.0121 ± 0.0025 | 0.0108 ± 0.0011 | 0.0100 ± 0.0032 | 0.0141 ± 0.0030 |
| Thymus ratio | 0.1182 ± 0.0111 | 0.1163 ± 0.0176 | 0.1145 ± 0.0164 | 0.1066 ± 0.0071 | 0.0834 ± 0.0094 | 0.0915 ± 0.0155 | 0.0828 ± 0.0148 | 0.0810 ± 0.0242 | 0.0695 ± 0.0129 | 0.0794 ± 0.0140 | 0.0736 ± 0.0098 | 0.0824 ± 0.0127 |
| Spleen ratio | 0.1740 ± 0.0083 | 0.1731 ± 0.0073 | 0.1753 ± 0.0158 | 0.1762 ± 0.0165 | 0.1628 ± 0.0129 | 0.1725 ± 0.0118 | 0.1655 ± 0.0075 | 0.1729 ± 0.0133 | 0.1611 ± 0.0167 | 0.1594 ± 0.0151 | 0.1606 ± 0.0140 | 0.1628 ± 0.0095 |
| Testis ratio | 0.9201 ± 0.0543 | 0.3667 ± 0.0944 ** | 0.2832 ± 0.1246 ** | 0.3547 ± 0.0497 ** | 0.8318 ± 0.0441 | 0.2618 ± 0.1022 ** | 0.2792 ± 0.0762 ** | 0.3764 ± 0.0982 ** | 0.7346 ± 0.1516 | 0.2468 ± 0.0862 ** | 0.2541 ± 0.0529 ** | 0.2679 ± 0.0250 ** |
| Epididymis ratio | 0.2684 ± 0.0303 | 0.1822 ± 0.0362 ** | 0.1928 ± 0.0321 ** | 0.1666 ± 0.0310 ** | 0.2822 ± 0.0346 | 0.1901 ± 0.0311 ** | 0.1527 ± 0.0220 ** | 0.1755 ± 0.0497 ** | 0.2485 ± 0.0269 | 0.1687 ± 0.01770 ** | 0.1480 ± 0.0151 ** | 0.1669 ± 0.0307 ** |
| Prostate ratio | 0.1063 ± 0.0360 | 0.1217 ± 0.0174 | 0.0960 ± 0.0115 | 0.0972 ± 0.0183 | 0.1945 ± 0.0426 | 0.1863 ± 0.0445 | 0.2212 ± 0.0662 | 0.1766 ± 0.0478 | 0.1186 ± 0.0325 | 0.1305 ± 0.0312 | 0.0985 ± 0.0329 | 0.0875 ± 0.0210 |
| Seminal vesicle ratio | 0.2229 ± 0.0773 | 0.2623 ± 0.0734 | 0.2301 ± 0.0788 | 0.1868 ± 0.0599 | 0.2183 ± 0.0743 | 0.1998 ± 0.0516 | 0.2121 ± 0.0644 | 0.2643 ± 0.1102 | 0.2191 ± 0.0613 | 0.2183 ± 0.0425 | 0.2474 ± 0.0949 | 0.2167 ± 0.0878 |
Notes: G0 means Group 0 (0.5% CMC-Na), G1 means Group 1 (FLC 31.25 mg/kg), G2 means Group 2 (FLC 125 mg/kg), G3 means Group 3 (FLC 500 mg/kg). Data are expressed at mean ± S.D. * A significant difference at p < 0.05 level compared with the control (Group 0). ** A significant difference at p < 0.01 level compared with the control (Group 0).
Table 8.
Summary of organ coefficients in female rats.
| Tests | Dosing Day 45 | Dosing Day 90 | Recovery Day 30 | |||||||||
|---|---|---|---|---|---|---|---|---|---|---|---|---|
| G0 | G1 | G2 | G3 | G0 | G1 | G2 | G3 | G0 | G1 | G2 | G3 | |
| n = 6 | n = 6 | n = 6 | n = 6 | n = 8 | n = 8 | n = 8 | n = 8 | n = 6 | n = 6 | n = 6 | n = 6 | |
| Brain ratio | 0.8160 ± 0.0327 | 0.8111 ± 0.0434 | 0.8240 ± 0.0545 | 0.8565 ± 0.0443 | 0.7515 ± 0.0478 | 0.7575 ± 0.0407 | 0.8112 ± 0.0734 | 0.8168 ± 0.0645 | 0.7414 ± 0.0224 | 0.7473 ± 0.0461 | 0.7338 ± 0.0683 | 0.7930 ± 0.0486 |
| Heart ratio | 0.3498 ± 0.0246 | 0.3532 ± 0.0312 | 0.3597 ± 0.0266 | 0.3563 ± 0.0183 | 0.3275 ± 0.0177 | 0.3383 ± 0.0098 | 0.3745 ± 0.0394 * | 0.3736 ± 0.0206 ** | 0.3347 ± 0.0244 | 0.3403 ± 0.0081 | 0.3466 ± 0.0065 | 0.3526 ± 0.0080 |
| Liver ratio | 2.4911 ± 0.1233 | 2.6718 ± 0.2241 | 2.7763 ± 0.1911 * | 3.2757 ± 0.0632 ** | 2.3098 ± 0.1340 | 2.4276 ± 0.0913 | 2.8209 ± 0.3459 * | 3.1955 ± 0.1947 ** | 2.4413 ± 0.1328 | 2.4674 ± 0.3438 | 2.6624 ± 0.4890 | 2.6088 ± 0.2043 |
| Lung ratio | 0.4677 ± 0.0496 | 0.4340 ± 0.0160 | 0.4747 ± 0.0614 | 0.4747 ± 0.0324 | 0.4081 ± 0.0212 | 0.4116 ± 0.0261 | 0.4225 ± 0.1007 | 0.4550 ± 0.0188 | 0.4258 ± 0.0201 | 0.3946 ± 0.0197 | 0.4273 ± 0.0329 | 0.4593 ± 0.0299 |
| Kidney ratio | 0.6407 ± 0.0346 | 0.6640 ± 0.0283 | 0.6562 ± 0.0261 | 0.6625 ± 0.0216 | 0.6060 ± 0.0226 | 0.6131 ± 0.0254 | 0.6978 ± 0.0898 | 0.6982 ± 0.0148 ** | 0.6209 ± 0.0109 | 0.6131 ± 0.0466 | 0.6454 ± 0.0512 | 0.6535 ± 0.0296 |
| Adrenal gland ratio | 0.0253 ± 0.0037 | 0.0255 ± 0.0034 | 0.0247 ± 0.0036 | 0.0224 ± 0.0098 | 0.0209 ± 0.0019 | 0.0204 ± 0.0030 | 0.0234 ± 0.0036 | 0.0225 ± 0.0017 | 0.0228 ± 0.0033 | 0.0186 ± 0.0051 | 0.0230 ± 0.0032 | 0.0256 ± 0.0030 |
| Thymus ratio | 0.1509 ± 0.0225 | 0.1581 ± 0.0202 | 0.1548 ± 0.0221 | 0.1346 ± 0.0122 | 0.1211 ± 0.0097 | 0.1204 ± 0.0189 | 0.1356 ± 0.0415 | 0.1089 ± 0.0186 | 0.1092 ± 0.0097 | 0.1194 ± 0.0103 | 0.1137 ± 0.0206 | 0.1436 ± 0.0038 ** |
| Spleen ratio | 0.2153 ± 0.0246 | 0.1951 ± 0.0112 | 0.2090 ± 0.0237 | 0.1924 ± 0.0151 | 0.1853 ± 0.0080 | 0.1933 ± 0.0167 | 0.2036 ± 0.0222 | 0.1902 ± 0.0081 | 0.1912 ± 0.0138 | 0.1833 ± 0.0167 | 0.2061 ± 0.0173 | 0.2101 ± 0.0125 |
| Ovary ratio | 0.2207 ± 0.0428 | 0.2290 ± 0.0409 | 0.2239 ± 0.0359 | 0.2313 ± 0.0256 | 0.0188 ± 0.0021 | 0.0191 ± 0.0028 | 0.0227 ± 0.0047 | 0.0208 ± 0.0035 | 0.0194 ± 0.0046 | 0.0211 ± 0.0051 | 0.0213 ± 0.0034 | 0.0249 ± 0.0026 |
| Uterus ratio | 0.1613 ± 0.0444 | 0.1665 ± 0.0380 | 0.1775 ± 0.0362 | 0.1802 ± 0.0396 | 0.1661 ± 0.0377 | 0.1647 ± 0.0450 | 0.1821 ± 0.0419 | 0.1763 ± 0.0428 | 0.1957 ± 0.0202 | 0.1512 ± 0.0315 | 0.1971 ± 0.0515 | 0.1570 ± 0.0287 |
| Fallopian tube ratio | 0.8107 ± 0.2994 | 0.8223 ± 0.1068 | 0.8534 ± 0.2957 | 1.0718 ± 0.1676 | 0.0115 ± 0.0040 | 0.0092 ± 0.0008 | 0.0115 ± 0.0035 | 0.0102 ± 0.0023 | 0.0094 ± 0.0018 | 0.0105 ± 0.0023 | 0.0111 ± 0.0024 | 0.0123 ± 0.0021 |
Notes: G0 means Group 0 (0.5% CMC-Na), G1 means Group 1 (FLC 31.25 mg/kg), G2 means Group 2 (FLC 125 mg/kg), G3 means Group 3 (FLC 500 mg/kg). Data are expressed at mean ± S.D. * A significant difference at p < 0.05 level compared with the control (Group 0). ** A significant difference at p < 0.01 level compared with the control (Group 0).
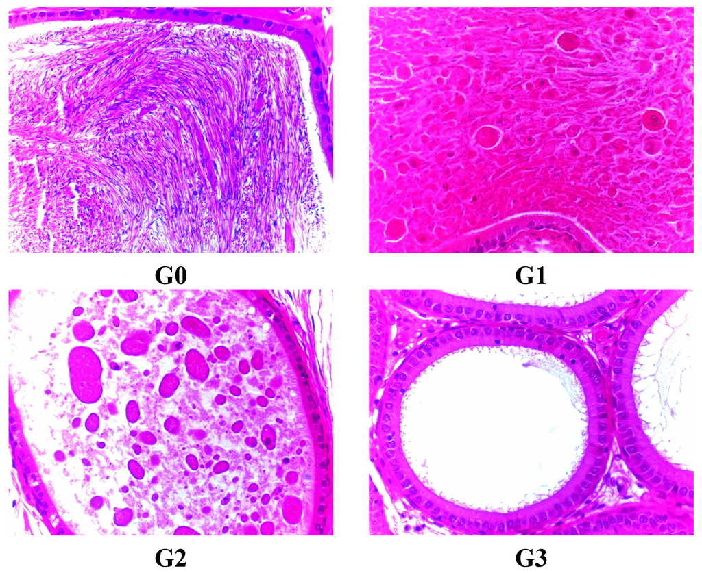
G1 male rats presented a small number of residual germ and sperm cells in affected tubules. There were very few sloughed germ cells in the epididymis of all male rats treated with FLC. Cell debris were present in the epididymal lumen. There were obvious testis and epididymis lesion differences among G1, G2 and G3, indicating a dose dependent toxicity in rats (Figure 2 and Figure 3, Table 9).
Figure 3.
Epididymis lesions in male rats treated with FLC on day 45 for exfoliation and sloughing of testicular germ cells into the epididymal lumen, stained with H&E. G0 means Group 0 (0.5% CMC-Na) , G1 means Group 1 (FLC 31.25 mg/kg), G2 means Group 2 (FLC 125 mg/kg), G3 means Group 3 (FLC 500 mg/kg).
Table 9.
Summary of histopathological findings in male rats.
| Dosing Day 45 | Dosing Day 90 | Recovery Day 30 | ||||||||||
|---|---|---|---|---|---|---|---|---|---|---|---|---|
| G0 | G1 | G2 | G3 | G0 | G1 | G2 | G3 | G0 | G1 | G2 | G3 | |
| n = 6 | n = 6 | n = 6 | n = 6 | n = 8 | n = 8 | n = 8 | n = 8 | n = 6 | n = 6 | n = 6 | n = 6 | |
| Testis | ||||||||||||
| Atrophy | 0 | 6 | 6 | 6 | 0 | 8 | 8 | 8 | 0 | 6 | 6 | 6 |
| Unremarkable (−) | 6 | 0 | 0 | 0 | 8 | 0 | 0 | 0 | 6 | 0 | 0 | 0 |
| Minimal (+1) | 0 | 0 | 0 | 0 | 0 | 0 | 0 | 0 | 0 | 0 | 0 | 0 |
| Mild (+2) | 0 | 0 | 0 | 0 | 0 | 0 | 0 | 0 | 0 | 0 | 0 | 0 |
| Moderate (+3) | 0 | 3 | 0 | 0 | 0 | 3 | 0 | 0 | 0 | 6 | 0 | 0 |
| Marked (+4) | 0 | 3 | 0 | 0 | 0 | 5 | 0 | 0 | 0 | 0 | 0 | 0 |
| Severe (+5) | 0 | 0 | 6 | 6 | 0 | 0 | 8 | 8 | 0 | 0 | 6 | 6 |
| Degeneration | 0 | 6 | 6 | 6 | 0 | 8 | 8 | 8 | 0 | 6 | 6 | 6 |
| Unremarkable (−) | 6 | 0 | 0 | 0 | 8 | 0 | 0 | 0 | 6 | 0 | 0 | 0 |
| Minimal(+1) | 0 | 0 | 0 | 0 | 0 | 0 | 0 | 0 | 0 | 0 | 0 | 0 |
| Mild (+2) | 0 | 1 | 0 | 0 | 0 | 0 | 0 | 0 | 0 | 0 | 0 | 0 |
| Moderate (+3) | 0 | 4 | 0 | 0 | 0 | 3 | 0 | 0 | 0 | 6 | 0 | 0 |
| Marked (+4) | 0 | 1 | 1 | 0 | 0 | 5 | 0 | 0 | 0 | 0 | 0 | 0 |
| Severe (+5) | 0 | 0 | 5 | 6 | 0 | 0 | 8 | 8 | 0 | 0 | 6 | 6 |
| Fibrosis | 0 | 2 | 5 | 4 | 0 | 5 | 6 | 6 | 0 | 6 | 6 | 6 |
| Unremarkable (−) | 6 | 4 | 1 | 2 | 8 | 3 | 2 | 2 | 6 | 0 | 0 | 0 |
| Minimal (+1) | 0 | 2 | 1 | 0 | 0 | 5 | 3 | 2 | 0 | 2 | 0 | 0 |
| Mild (+2) | 0 | 0 | 4 | 4 | 0 | 0 | 3 | 4 | 0 | 3 | 0 | 0 |
| Moderate (+3) | 0 | 0 | 0 | 0 | 0 | 0 | 0 | 0 | 0 | 1 | 2 | 0 |
| Marked (+4) | 0 | 0 | 0 | 0 | 0 | 0 | 0 | 0 | 0 | 0 | 4 | 6 |
| Severe (+5) | 0 | 0 | 0 | 0 | 0 | 0 | 0 | 0 | 0 | 0 | 0 | 0 |
| Epididymis | ||||||||||||
| germ cell debris | 0 | 6 | 6 | 6 | 0 | 8 | 8 | 8 | 0 | 6 | 6 | 6 |
| Unremarkable (−) | 6 | 0 | 0 | 0 | 8 | 0 | 0 | 0 | 6 | 0 | 0 | 0 |
| Minimal (+1) | 0 | 0 | 0 | 0 | 0 | 0 | 0 | 0 | 0 | 0 | 0 | 5 |
| Mild (+2) | 0 | 0 | 0 | 0 | 0 | 1 | 0 | 0 | 0 | 3 | 2 | 0 |
| Moderate (+3) | 0 | 6 | 3 | 2 | 0 | 6 | 1 | 0 | 0 | 3 | 4 | 1 |
| Marked (+4) | 0 | 0 | 3 | 4 | 0 | 1 | 6 | 6 | 0 | 0 | 0 | 0 |
| Severe (+5) | 0 | 0 | 0 | 0 | 0 | 0 | 1 | 2 | 0 | 0 | 0 | 0 |
| Reduced sperm | 0 | 6 | 6 | 6 | 0 | 8 | 8 | 8 | 0 | 6 | 6 | 6 |
| Unremarkable (−) | 6 | 0 | 0 | 0 | 8 | 0 | 0 | 0 | 6 | 0 | 0 | 0 |
| Minimal (+1) | 0 | 0 | 0 | 0 | 0 | 0 | 0 | 0 | 0 | 0 | 0 | 0 |
| Mild (+2) | 0 | 0 | 0 | 0 | 0 | 1 | 0 | 0 | 0 | 1 | 0 | 0 |
| Moderate (+3) | 0 | 5 | 0 | 0 | 0 | 5 | 0 | 0 | 0 | 5 | 0 | 0 |
| Marked (+4) | 0 | 1 | 0 | 0 | 0 | 2 | 1 | 0 | 0 | 0 | 2 | 0 |
| Severe (+5) | 0 | 0 | 6 | 6 | 0 | 0 | 7 | 8 | 0 | 0 | 4 | 6 |
Notes: G0 means Group 0 (0.5% CMC-Na), G1 means Group 1 (FLC 31.25 mg/kg), G2 means Group 2 (FLC 125 mg/kg), G3 means Group 3 (FLC 500 mg/kg).
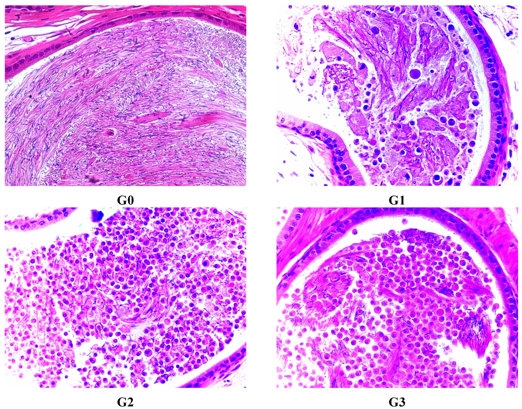
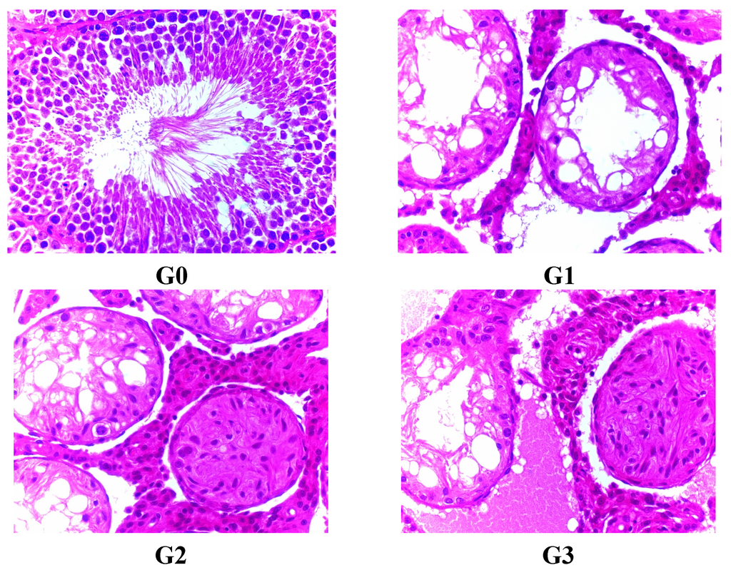
No lesions affecting Leydig cells were observed in any groups treated with FLC. Main organs did not present any lesion in any of the groups. On the last dosing day, there were no significant differences in testis and epididymis lesions compared to the 45th day. After the recovery phase, the degree of toxicity of FLC on testis and epididymis was not relieved (Figure 4 and Figure 5).
Figure 4.
Testis lesions in male rats treated with FLC after recovery for atrophic and degenerating tubules. There were a little of fibrotic tubules in G2 and G3, stained with H&E. G0 means Group 0 (0.5% CMC-Na), G1 means Group 1 (FLC 31.25 mg/kg), G2 means Group 2 (FLC 125 mg/kg), G3 means Group 3 (FLC 500 mg/kg).
Figure 5.
Epididymis lesions in male rats treated with FLC after recovery for exfoliation and sloughing of testicular germ cell debris into the epididymal lumen. There were nothing in the epididymal lumen in G3, stained with H&E. G0 means Group 0 (0.5% CMC-Na), G1 means Group 1 (FLC 31.25 mg/kg), G2 means Group 2 (FLC 125 mg/kg), G3 means Group 3 (FLC 500 mg/kg).
3.5. Toxicokinetic Evaluation in Rats
Plasma concentration-time profiles and linear relation of FLC in rats are shown in Figure 6 and Figure 7. Corresponding exposure data in terms of Cmax, Tmax and AUC of FLC in male and female rats are summarized in Table 10 and Table 11, respectively. As shown in Figure 6 and Figure 7, FLC could be detected in all animal groups during the dosing phase, and there was a dose proportional relationship between FLC dose and AUC or Cmax on the 1st dosing day. There were significant differences of Cmax and AUC among the three groups which indicated a dose dependent relationship on the 1st, 60th, 75th, and 90th day. The toxicokinetic profiles of FLC exhibited analogous variation trends in all groups. AUC and Cmax both decreased on the 60th, 75th, and 90th day of the dosing phase. In G1, G2 and G3, on the 75th day compared to the 1st day, repeated doses of FLC produced approximately 55%, 68%, 76% lower AUC, 54%, 60%, 73% lower Cmax, and 122%, 215%, 350% higher CLz/F, respectively, but on the last dosing day compared to the 1st day, repeated doses of FLC produced approximately 20%, 61%, 66% lower AUC, 10%, 56%, 58% lower Cmax, and 28%, 181%, 218% higher CLz/F, respectively. The decreasing toxicokinetic manifestation of AUC and Cmax might be associated with the increasing CLz/F. After oral administration, FLC was absorbed, and the average Tmax for low-, middle- and high-doses were 1.8 h, 2.4 h and 4.1 h on the 1st day. The average Tmax in G1 and G2 were decreasing on the 60th, 75th, and 90th day compared to the 1st day, but the average Tmax in G3 was increasing compared to the 1st day at the same time.

Figure 6.
Mean plasma concentration-time profiles of FLC by oral administration in Group 1, Group 2 and Group 3. Group 1 (FLC 31.25 mg/kg), Group 2 (FLC 125 mg/kg) and Group 3 (FLC 500 mg/kg).
Figure 7.
The linear relationship between FLC dose and AUC or Cmax on the first day.
Table 10.
Toxicokinetic parameters of FLC in male rats.
| Tests | Day 1 | Day 60 | Day 75 | Day 90 | ||||||||
|---|---|---|---|---|---|---|---|---|---|---|---|---|
| G1 | G2 | G3 | G1 | G2 | G3 | G1 | G2 | G3 | G1 | G2 | G3 | |
| AUC(0–24 h) (ng·h/mL) | 5915 ± 376 | 21,528 ± 2435 | 62,261 ± 3458 | 2817 ± 576 | 15,608 ± 2086 | 15,629 ± 4108 | 2810 ± 255 | 7355 ± 1555 | 14,098 ± 2666 | 4315 ± 953 | 6973 ± 1136 | 18,766 ± 3281 |
| Cmax (ng/mL) | 1064.0 ± 117.7 | 2574.0 ± 423.6 | 5708.0 ± 503.9 | 557.9 ± 149.3 | 1640.0 ± 191.0 | 1942.0 ± 593.4 | 436.6 ± 133.0 | 1019.6 ± 271.4 | 1634.0 ± 380.4 | 767.2 ± 97.0 | 830.4 ± 243.4 | 1988.0 ± 509.0 |
| Tmax (h) | 1.8 ± 1.1 | 3.0 ± 0.0 | 3.8 ± 1.1 | 0.7 ± 0.3 | 2.1 ± 1.7 | 5.8 ± 2.2 | 1.5 ± 1.0 | 1.2 ± 0.8 | 5.0 ± 0.0 | 1.0 ± 0.6 | 1.7 ± 0.7 | 3.8 ± 2.4 |
| CLz/F (L/h/kg) | 5.3 ± 0.3 | 5.8 ± 0.7 | 7.7 ± 1.1 | 10.8 ± 2.6 | 7.9 ± 1.2 | 32.5 ± 7.9 | 11.1 ± 0.9 | 17.3 ± 3.7 | 35.7 ± 5.5 | 7.2 ± 1.6 | 17.3 ± 2.7 | 26.8 ± 5.2 |
Notes: G1 means Group 1 (FLC 31.25 mg/kg), G2 means Group 2 (FLC 125 mg/kg), G3 means Group 3 (FLC 500 mg/kg). Data are expressed at mean ± S.D. (n = 5).
Table 11.
Toxicokinetic parameters of FLC in female rats.
| Tests | Day 1 | Day 60 | Day 75 | Day 90 | ||||||||
|---|---|---|---|---|---|---|---|---|---|---|---|---|
| G1 | G2 | G3 | G1 | G2 | G3 | G1 | G2 | G3 | G1 | G2 | G3 | |
| AUC(0–24 h) (ng·h/mL) | 4674 ± 324 | 18,989 ± 2039 | 64,072 ± 3808 | 2817 ± 1013 | 14,910 ± 4053 | 21,372 ± 6080 | 1971 ± 177 | 5316 ± 542 | 15,188 ± 1912 | 4108 ± 1198 | 8874 ± 1061 | 24,265 ± 5413 |
| Cmax (ng/mL) | 1046.8 ± 262.2 | 2960.0 ± 512.0 | 4865.0 ± 435.6 | 756.0 ± 140.4 | 2452.0 ± 745.5 | 2558.0 ± 781.3 | 522.0 ± 62.2 | 1210.2 ± 242.6 | 1210.0 ± 151.8 | 1122.6 ± 275.1 | 1658.5 ± 351.5 | 2818.0 ± 711.3 |
| Tmax (h) | 1.0 ± 0.0 | 1.8 ± 1.1 | 4.2 ± 2.5 | 0.7 ± 0.3 | 1.0 ± 0.0 | 6.6 ± 3.2 | 1.1 ± 0.8 | 0.5 ± 0.0 | 5.2 ± 2.8 | 0.6 ± 0.2 | 1.4 ± 0.8 | 3.6 ± 2.5 |
| CLz/F (L/h/kg) | 6.7 ± 0.5 | 5.3 ± 0.7 | 7.4 ± 0.5 | 12.1 ± 4.0 | 7.1 ± 1.8 | 22.7 ± 4.1 | 15.8 ± 1.3 | 22.9 ± 1.7 | 32.4 ± 4.3 | 8.1 ± 2.1 | 14.0 ± 2.1 | 21.3 ± 6.4 |
Notes: G1 means Group 1 (FLC 31.25 mg/kg), G2 means Group 2 (FLC 125 mg/kg), G3 means Group 3 (FLC 500 mg/kg). Data are expressed at mean ± S.D. (n = 5).
4. Discussion
EFSA has reported that oral administration of FLC could affect the testis, epididymis, heart, great vessels and haematopoietic system in rats []. However, there is little available technical data about the systemic toxicity and toxicokinetics of FLC after repeated administration. In this work we aimed to provide a sound basis for the safety evaluation of FLC.
The results of our studies demonstrated that 90 days of repeated administration of FLC could cause severe toxicity to the testis and epididymis, obvious toxicity to the liver and hematopoietic system, and potential toxicity to the brain, heart, pancreas, kidney and thymus. There were no obvious signs to suggest toxicity to the great vessels. Testis and epididymis lesion from the microscopic examination combined with decreased organ coefficients showed a severe toxicity of FLC to the reproductive organs in male rats. What is interesting is that the level of testosterone was increasing in male rats treated with high doses of FLC, but different sperm cell stages were not observed in the seminiferous tubules. Testosterone is secreted by Leydig cells and the adrenal gland to assist in completing spermatogenesis. Leydig cell lesions were not apparent from the microscopic examination. It was reported that testosterone could decrease the level of HDL-C [,,,], but increased levels of HDL-C were observed in both male and female rats. Testosterone also could improve insulin sensitivity [,,]. This finding suggested that FLC could be an endocrine disrupter. Further studies should be performed to clarify the toxicity and mechanism of action of FLC on the testis, epididymis, pancreas, vessels, etc. Tubular atrophy is an end-stage lesion where there are no germ cells left within a tubule. It can result from progressive degeneration and phagocytosis/exfoliation of germ cells or cumulative depletion of germ cells. It is a treatment-related change. A greater number are present in the epididymis in all male rats treated with FLC, due to the inefficiency of the first cycle of spermatogenesis. Increased numbers of sloughed, degenerate germ cells in the epididymal lumen of male rats treated with FLC generally reflect ongoing severe testicular degeneration/atrophy, spermatid degeneration, or germ cell exfoliation. The location of the cell debris can provide important information on when cells were sloughed from the testes. Cell debris in the caput would have been released from the testis within the previous 3 days whereas cells in the distal cauda were probably released more than a week previously. The presence of cell debris in the epididymis is often associated with increased prominence of clear cells in the distal corpus and cauda, probably due to increased endocytosis of particulate matter. The decreased testis and epididymis coefficients in all FLC-treated groups without a recovery trend revealed that the oral NOAEL of the 90 day toxicity study could be much less than 31.25 mg/kg according to the histopathological findings. This finding is similar to the EFSA report. Previous work on FLC has suggested that the compound interferes with mitosis. The current findings suggested toxicity to organs or cell grouping which were very mitotically active like the seminiferous tubules (spermatogonia to primary spermatocytes) and liver.
The toxicokinetic findings provided a clue to understand the influence of the pattern of repeated exposure to FLC in rats on the absorption phase. FLC (31.25–500 mg/kg) showed a persistent plasma concentration (436–5708 ng/mL) throughout the dosing phase with no significant differences between male and female rats. With the prolongation of the treatment time, the in vivo FLC exposure decreased in all groups. As Table 10 and Table 11 indicated, the AUC and Cmax of FLC decreased and clearance increased. This discovery suggests that there was possibily an increase in xenobiotic metabolism due to the increased activity or expression of liver enzymes. Therefore, aside from the results of this study, the distribution of FLC in rat tissues, especially in the testis and epididymis, should be studied in the future to explain the mechanism of toxicity of FLC to reproductive organs, liver, brain, spleen, etc.
5. Conclusions
Histopathological and clinical pathological tests and endocrine function tests demonstrated dose-dependent testis and epididymis lesions induced by FLC. An obvious toxicity to the liver, and hematopoietic system, and potential toxicity to the brain, heart, pancreas, kidney and thymus were observed in this study. The UPLC-MS/MS method was successfully applied for the rapid and sensitive quantification of FLC in rat plasma. Toxicokinetic analysis revealed that FLC showed a persistent plasma concentration throughout the dosing phase with no significant differences between male and female rats. Nevertheless, the decreased FLC exposure in vivo with the prolongation of the treatment time suggested that there would be a possibility that there were gastrointestinal tract lesions affecting the absorption process with rising clearance. The causal link between FLC exposure and testis, epididymis lesion still needs further investigation.
Acknowledgments
This study was supported by the National Natural Science Foundation of China (Grant No. 81373040).
Author Contributions
Please state the individual contribution of each co-author to the reported research and writing of the paper. Please write the full name without title for every author. Study conception and design: Zhijun Zhou, Liming Tang, Chunhua Wu, Xiuli Chang; acquisition of data: Xiaoqin Cheng, Yu Wang, Junpei Fan, Rui Li, Su Zhou, Jingmin Shi, Shihong Liu, Jie Sun, Yue Hu, Chaojin Xu; drafting of manuscript: Suhui Zhang, Yu Wang; Critical revision: Zhijun Zhou.
Conflicts of Interest
The authors declare that there are no conflict of interest.
References
- Coleman, M.D. Expert Report Writing in Toxicology: Forensic, Scientific and Legal Aspects, 1st ed.; John Wiley & Sons Inc.: New York, NY, USA, 2014; pp. 135–138. [Google Scholar]
- Wu, B.; Song, B.; Tian, S.Z.; Huo, S.H.; Cui, C.X.; Guo, Y.S.; Liu, H.J. Central nervous system damage due to acute paraquat poisoning: A neuroimaging study with 3.0 T MRI. Neurotoxicology 2012, 33, 1330–1337. [Google Scholar] [CrossRef] [PubMed]
- Wu, B.L.; Song, B.; Yang, H.Q.; Huang, B.Y.; Chi, B.; Guo, Y.S.; Liu, H.J. Central nervous system damage due to acute paraquat poisoning: An experimental study with rat model. Neurotoxicology 2013, 35, 62–70. [Google Scholar] [CrossRef] [PubMed]
- Rieke, S.; Koehn, S.; Ernst, K.H.; Pfeil, R.; Kneuer, C.; Stoelting, P.M. Combination effects of (Tri)Azzole fungicides on hormone production and xenobiotic metabolism in a human placental cell line. Int. J. Environ. Res. Public Health 2014, 11, 9660–9679. [Google Scholar] [CrossRef] [PubMed]
- Lotter, D. Facing food insecurity in Africa: Why, after 30 years of work in organic agriculture, I am promoting the use of synthetic fertilizers and herbicides in small-scale staple crop production. Agric. Human Values 2015, 32, 111–118. [Google Scholar] [CrossRef]
- Corsini, E.; Codeca, I.; Mangiaratti, S.; Birindelli, S.; Minoia, C.; Turci, R.; Viviani, B.; Facchi, A.; Vitelli, N.; Lucchi, L.; Galli, C.L.; Marinovich, M.; Colosio, C. Immunomodulatory effects of the herbicide propanil on cytokine production in humans: In vivo and in vitro exposure. Toxicol. Appl. Pharmacol. 2007, 222, 202–210. [Google Scholar] [CrossRef] [PubMed]
- European Food Safety Authority. Peer review report to the conclusion regarding the peer review of the pesticide risk assessment of the active substance flurochloridone. EFSA J. 2010, 8, 1869–1935. [Google Scholar]
- Xu, L.R.; Zhao, Q.K.; Lou, D.; Chang, X.L.; Xiao, P.; Hong, X.Y.; Zhou, Z.J. Oral exposure of fluorochloridone caused testes damage of sparague dwaley rats. Chin. J. Ind. Hyg. Occup. Dis. 2014, 32, 516–520. [Google Scholar]
- Yüzbasioglu, D.; Ünal, F.; Sancak, C.; Kasap, R. Cytological effects of the herbicide race “flurochloridone” on Allium cepa. Caryological 2003, 56, 97–105. [Google Scholar] [CrossRef]
- Nikoloff, N.; Soloneski, S.; Larramendy, M. Genotoxic and cytotoxic evaluation of the herbicide flurochloridone on Chinese hamster ovary (CHO-K1) cells. Toxicol. In Vitro 2012, 23, 157–163. [Google Scholar] [CrossRef]
- Nikoloff, N.; Larramendy, M.; Soloneski, S. Comparative evaluation in vitro of the herbicide flurochloridone by cytokinesis-block micronuleus cytome and comet assays. Environ. Toxicol. 2012, 10, 884–892. [Google Scholar]
- OECD. Repeated Dose 90-day Oral Toxicity Study in Rodents, Test Guideline 408, OECD Guideline for Testing of Chemicals; OECD: Paris, France, 21 September 1998. [Google Scholar]
- Creasy, D.; Bube, A.; de Rijk, E.; Kandori, H.; Kuwahara, M.; Masson, R.; Nolte, T.; Reams, R.; Regan, K.; Rehm, S.; et al. Proliferative and nonproliferative lesions of the rat and mouse male reproductive system. Toxicol. Pathol. 2012, 40, 40–121. [Google Scholar] [CrossRef] [PubMed]
- Foley, G.L. Overview of male reproductive pathology. Toxicol. Pathol. 2001, 29, 49–63. [Google Scholar] [CrossRef] [PubMed]
- Su, J.J.; Park, S.K.; Hsieh, T.M. The effect of testosterone on cardiovascular disease: A critical review of the literature. Am. J. Men’s Health 2014, 8, 470–491. [Google Scholar] [CrossRef]
- Viktor, Č.; Željko, B. Testosterone levels and heart failure in obese and non-obese men. Int. J. Cardiol. 2014, 176, 1163–1166. [Google Scholar] [CrossRef] [PubMed]
- Robin, H.; Henry, V.; Christin, S.; Matthias, N.; Henri, W. The role of sex hormone-binding globulin and testosterone in the risk of incident metabolic syndrome. Eur. J. Prev. Cardiol. 2013, 20, 1061–1068. [Google Scholar] [CrossRef] [PubMed]
- Bica, B.L.; Lezha, L.M.; Kuka, K.N.; Goda, G.A. Relation of serum testosterone levels to high density lipoprotein cholesterol and triglyceride in Men. J. Am. Coll. Cardiol. 2013, 62. [Google Scholar] [CrossRef] [PubMed]
- Mao, J.F.; Wu, X.Y.; Li, N.S.; Lu, S.Y.; Jing, Z.M.; Shi, Y.F. Testosterone replacement in hypogonadotropic hypogonadal young male improves insulin sensitivity. Chin. Med. J. 2008, 88, 2550–2552. [Google Scholar]
- Wang, Y.X.; Zhu, W.J.; Zhang, H.Y. Effects of rosiglitazone on adiponectin expression in 3T3-L1 adipocytes at high levels of both testosterone and insulin in vitro culture. J. Reprod. Contracept. 2014, 25, 199–206. [Google Scholar]
© 2015 by the authors; licensee MDPI, Basel, Switzerland. This article is an open access article distributed under the terms and conditions of the Creative Commons Attribution license (http://creativecommons.org/licenses/by/4.0/).