Locally Advanced Adenoid Cystic Carcinoma of the Breast—A Case Report with a Review of the Literature
Abstract
1. Introduction
2. Materials and Methods
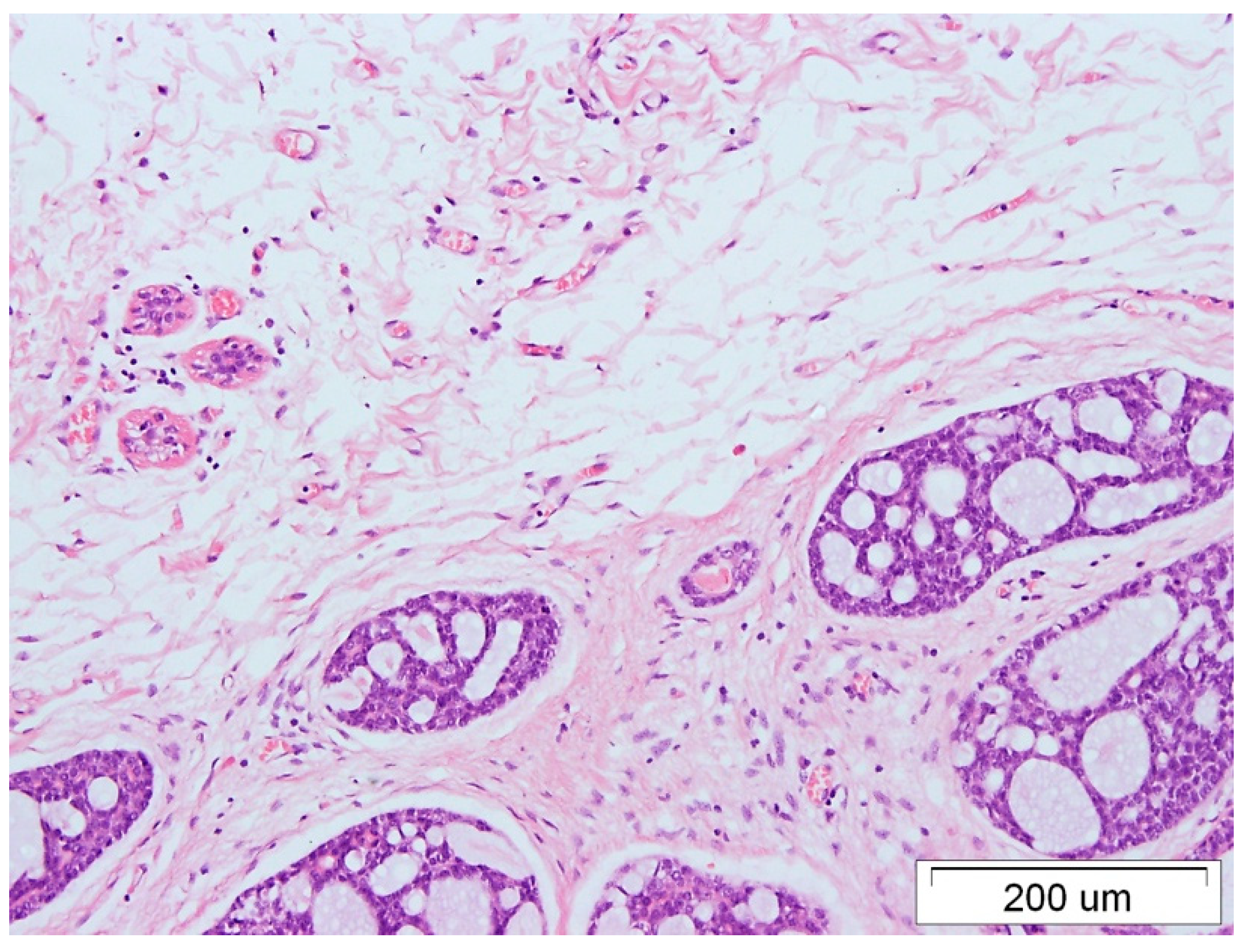
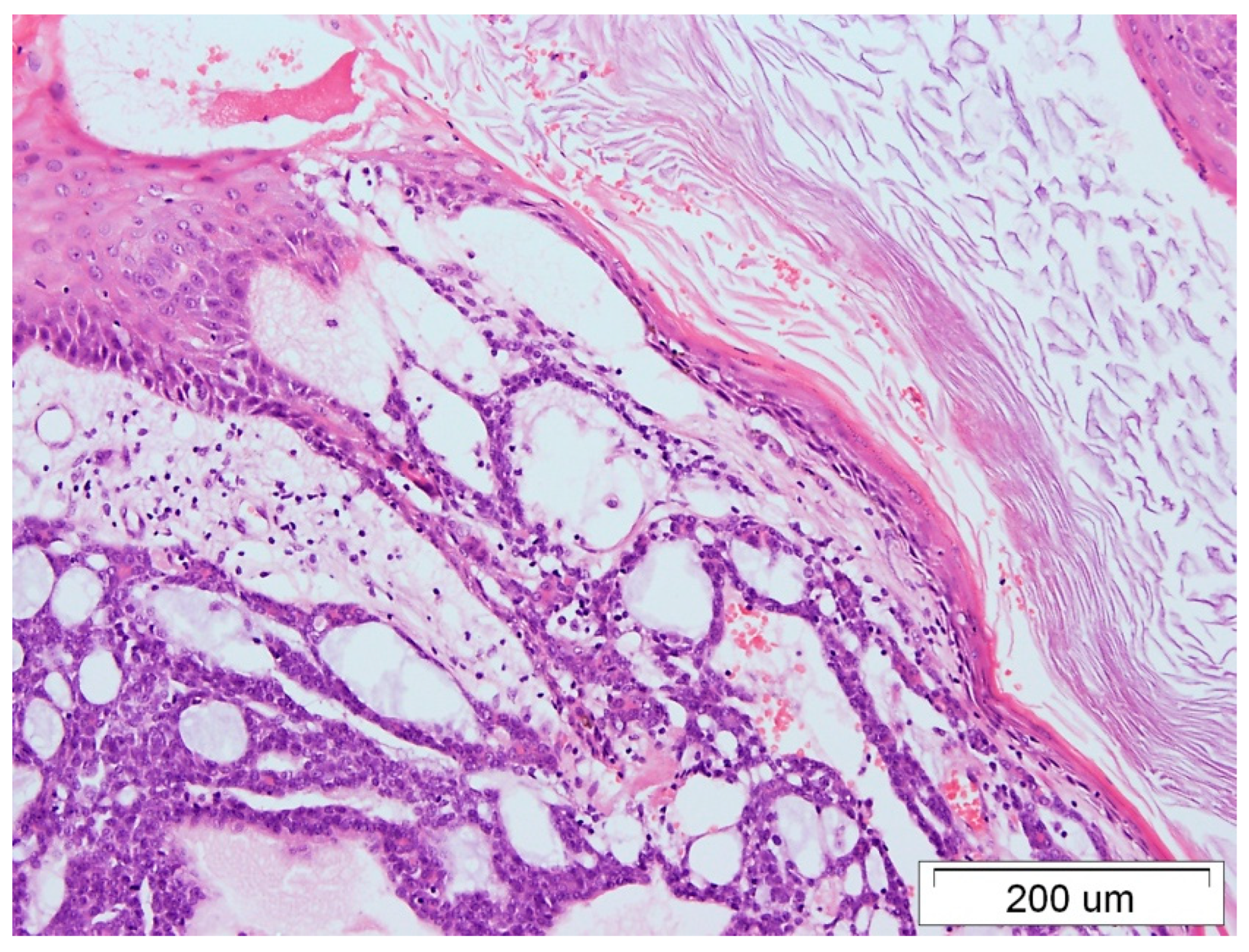
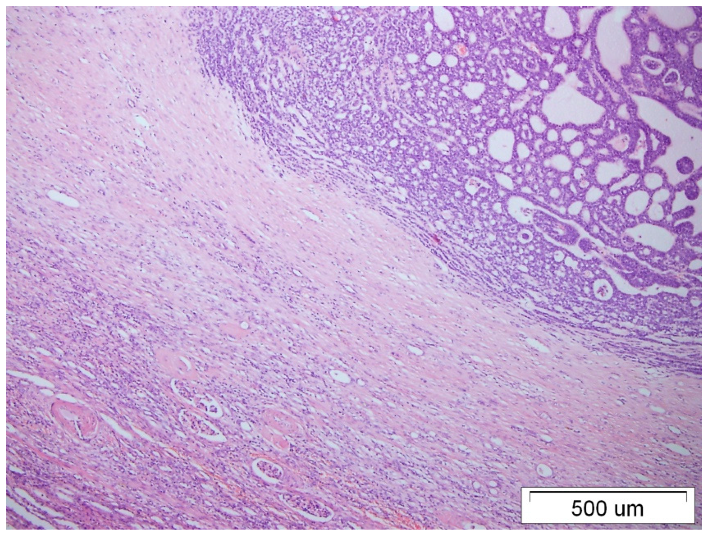
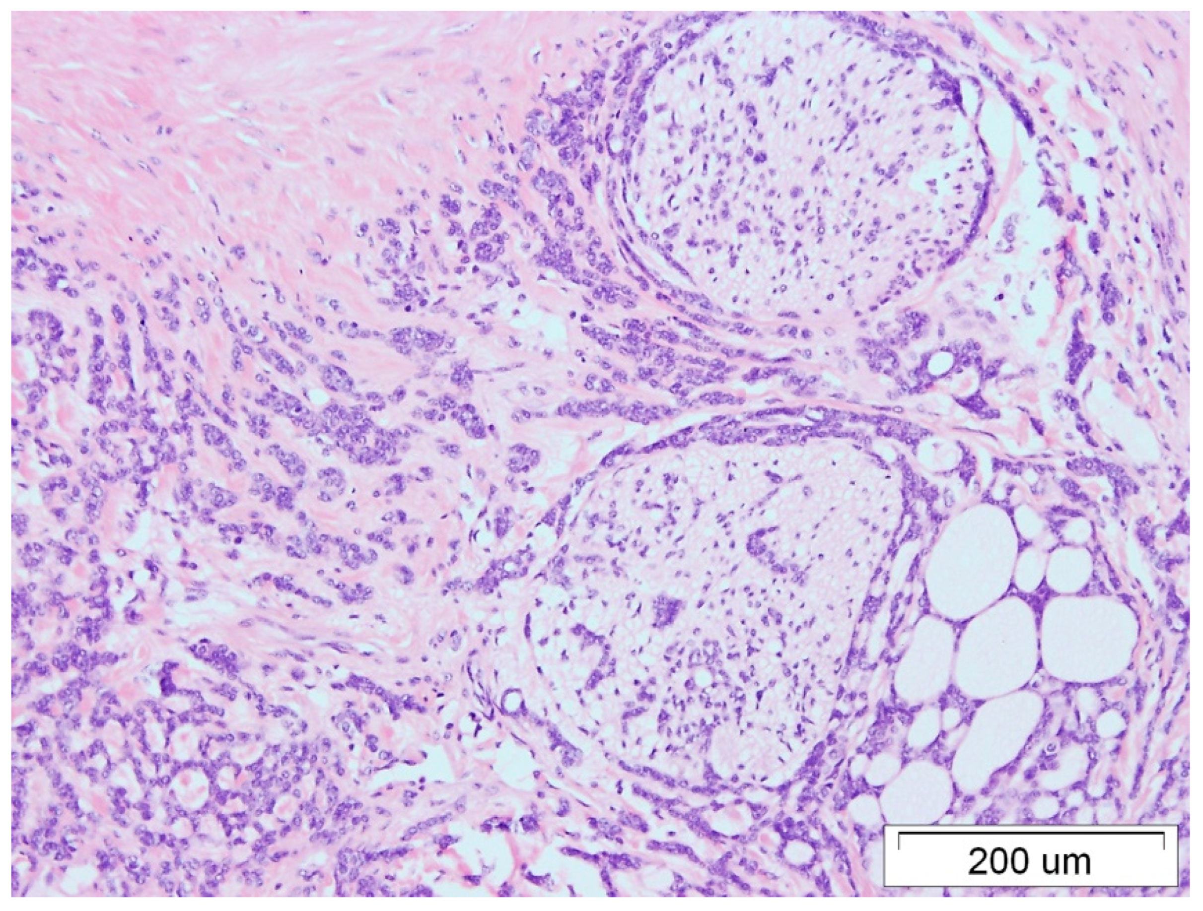
3. Case Report
4. Discussion
5. Conclusions
Author Contributions
Funding
Institutional Review Board Statement
Informed Consent Statement
Data Availability Statement
Conflicts of Interest
Abbreviations
| ABPAS | Alcian Blue periodic acid-Schiff |
| ACC | adenoid cystic carcinoma |
| AMACAR | alpha-methylacyl-CoA racemase |
| BC | breast cancer |
| BLIA | basal-like immune-activated |
| BLIS | basal-like immune-suppressed |
| CAP | cyclophosphamide + doxorubicin + cisplatin schedule |
| CEA | carcinoembryonic antigen |
| CK | cytokeratin |
| CR | complete response |
| CT | computed tomography |
| CTH | chemotherapy |
| DFS | disease-free survival |
| DXL | docetaxel |
| DXR | doxorubicin |
| EBUS | endobronchial ultrasound |
| ER | estrogen receptor |
| FAC | 5-fluorouracil + doxorubicin + cyclophosphamide schedule |
| GATA-3 | GATA binding protein 3 |
| HE | hematoxylin and eosin |
| HER2 | human epidermal growth factor receptor 2 |
| LAR | luminal androgen receptor |
| MES | mesenchymal |
| mo | month |
| ND | not done |
| NVB | vinorelbine |
| OS | overall survival |
| PAX-8 | paired-box gene 8 |
| PD | progressive disease |
| PET-CT | positron emission tomography-computed tomography |
| PR | progesterone receptor |
| RTH | radiation therapy |
| SD | stable disease |
| SMA | smooth muscle actin |
| SLNB | sentinel node biopsy |
| TKI | tyrosine kinase inhibitor |
References
- Sung, H.; Ferlay, J.; Siegel, R.L.; Laversanne, M.; Soerjomataram, I.; Jemal, A.; Bray, F. Global Cancer Statistics 2020: GLOBOCAN Estimates of Incidence and Mortality Worldwide for 36 Cancers in 185 Countries. CA Cancer J. Clin. 2021, 71, 209–249. [Google Scholar] [CrossRef]
- Shaath, H.; Elango, R.; Alajez, N.M. Molecular Classification of Breast Cancer Utilizing Long Non-Coding RNA (LncRNA) Transcriptomes Identifies Novel Diagnostic LncRNA Panel for Triple-Negative Breast Cancer. Cancers 2021, 13, 5350. [Google Scholar] [CrossRef]
- Ramamoorthy, P.; Dandawate, P.; Jensen, R.A.; Anant, S. Celastrol and Triptolide Suppress Stemness in Triple Negative Breast Cancer: Notch as a Therapeutic Target for Stem Cells. Biomedicines 2021, 9, 482. [Google Scholar] [CrossRef]
- Yao, H.; He, G.; Yan, S.; Chen, C.; Song, L.; Rosol, T.J.; Deng, X. Triple-Negative Breast Cancer: Is There a Treatment on the Horizon? Oncotarget 2017, 8, 1913–1924. [Google Scholar] [CrossRef]
- Badowska-Kozakiewicz, A.M.; Budzik, M.P. Immunohistochemical Characteristics of Basal-like Breast Cancer. Contemp. Oncol. (Pozn) 2016, 20, 436–443. [Google Scholar] [CrossRef]
- Burstein, M.D.; Tsimelzon, A.; Poage, G.M.; Covington, K.R.; Contreras, A.; Fuqua, S.A.W.; Savage, M.I.; Osborne, C.K.; Hilsenbeck, S.G.; Chang, J.C.; et al. Comprehensive Genomic Analysis Identifies Novel Subtypes and Targets of Triple-Negative Breast Cancer. Clin. Cancer Res. 2015, 21, 1688–1698. [Google Scholar] [CrossRef]
- Arpino, G.; Clark, G.M.; Mohsin, S.; Bardou, V.J.; Elledge, R.M. Adenoid Cystic Carcinoma of the Breast: Molecular Markers, Treatment, and Clinical Outcome. Cancer 2002, 94, 2119–2127. [Google Scholar] [CrossRef]
- Marco, V.; Garcia, F.; Rubio, I.T.; Soler, T.; Ferrazza, L.; Roig, I.; Mendez, I.; Andreu, X.; Minquez, C.G.; Tresserra, F. Adenoid Cystic Carcinoma and Basaloid Carcinoma of the Breast: A Clinicopathological Study. Rev. Esp. Patol. 2021, 54, 242–249. [Google Scholar] [CrossRef] [PubMed]
- Spiro, R.H.; Huvos, A.G. Stage Means More than Grade in Adenoid Cystic Carcinoma. Am. J. Surg. 1992, 164, 623–628. [Google Scholar] [CrossRef] [PubMed]
- Khan, A.J.; DiGiovanna, M.P.; Ross, D.A.; Sasaki, C.T.; Carter, D.; Son, Y.H.; Haffty, B.G. Adenoid Cystic Carcinoma: A Retrospective Clinical Review. Int. J. Cancer 2001, 96, 149–158. [Google Scholar] [CrossRef] [PubMed]
- Ahn, S.K.; Kim, K.; Choi, I.J.; Lee, J.M. Adenoid Cystic Carcinoma of the Prostate Gland: Pathological Review with a Case Report. Yonsei Med. J. 1991, 32, 74–78. [Google Scholar] [CrossRef] [PubMed]
- Boggio, R. Adenoid Cystic Carcinoma of Scalp. Arch. Dermatol. 1975, 111, 793. [Google Scholar] [CrossRef] [PubMed]
- Rosen, P.P. Adenoid cystic carcinoma of the breast: A morphologically heterogenous neoplasm. Pathol. Annu. 1989, 24, 237–254. [Google Scholar] [PubMed]
- Da Cruz Perez, D.E.; De Abreu Alves, F.; Nishimoto, I.N.; De Almeida, O.P.; Kowalski, L.P. Prognostic Factors in Head and Neck Adenoid Cystic Carcinoma. Oral Oncol. 2006, 42, 139–146. [Google Scholar] [CrossRef] [PubMed]
- Grabenstetter, A.; Brogi, E.; Zhang, H.; Razavi, P.; Reis-Filho, J.S.; VanZee, K.J.; Norton, L.; Wen, H.Y. Solid-Basaloid Variant of Adenoid Cystic Carcinoma of the Breast with near Complete Response to Neoadjuvant Chemotherapy. NPJ Breast Cancer 2022, 8, 93. [Google Scholar] [CrossRef]
- Yang, L.; Wang, C.; Liu, M.; Wang, S. Evaluation of Adjuvant Treatments for Adenoid Cystic Carcinoma of the Breast: A Population-Based, Propensity Score Matched Cohort Study from the SEER Database. Diagnostics 2022, 12, 1760. [Google Scholar] [CrossRef] [PubMed]
- Marinello, J.; Delcuratolo, M.; Capranico, G. Anthracyclines as Topoisomerase II Poisons: From Early Studies to New Perspectives. Int. J. Mol. Sci. 2018, 19, 3480. [Google Scholar] [CrossRef]
- Vranic, S.; Frkovic-Grazio, S.; Lamovec, J.; Serdarevic, F.; Gurjeva, O.; Palazzo, J.; Bilalovic, N.; Lee, L.M.J.; Gatalica, Z. Adenoid Cystic Carcinomas of the Breast Have Low Topo IIα Expression but Frequently Overexpress EGFR Protein without EGFR Gene Amplification. Hum. Pathol. 2010, 41, 1617–1623. [Google Scholar] [CrossRef] [PubMed]
- Glover, T.E.; Butel, R.; Bhuller, C.M.; Senior, E.L. An Unusual Presentation of Adenoid Cystic Carcinoma of the Breast with Metastatic Disease in the Clavicle. BJR Case Rep. 2017, 3, 20160119. [Google Scholar] [CrossRef]
- Monga, V.; Leone, J.P. Metastatic Adenoid Cystic Carcinoma of the Breast. Breast J. 2016, 22, 239–240. [Google Scholar] [CrossRef][Green Version]
- Mhamdi, H.A.; Kourie, H.R.; Jungels, C.; Aftimos, P.; Belbaraka, R.; Piccart-Gebhart, M. Adenoid Cystic Carcinoma of the Breast—An Aggressive Presentation with Pulmonary, Kidney, and Brain Metastases: A Case Report. J. Med. Case Rep. 2017, 11, 303. [Google Scholar] [CrossRef] [PubMed]
- Herzberg, A.J.; Bossen, E.H.; Walther, P.J. Adenoid Cystic Carcinoma of the Breast Metastatic to the Kidney. A Clinically Symptomatic Lesion Requiring Surgical Management. Cancer 1991, 68, 1015–1020. [Google Scholar] [CrossRef]
- Sołek, J.M.; Braun, M.; Kalwas, M.; Jesionek-Kupnicka, D.; Romańska, H.M. Adenoid Cystic Carcinoma of the Breast—An Uncommon Malignancy with Unpredictable Clinical Behaviour. A Case Series of Three Patients. Contemp. Oncol. (Pozn) 2020, 24, 263–265. [Google Scholar] [CrossRef]
- Hassoun, H.; Alabed, Y.Z.; Karls, S.; Probst, S.; Laufer, J. 18F-FDG PET/CT Imaging of Bilateral Renal Metastasis of Breast Adenoid Cystic Carcinoma. Clin. Nucl. Med. 2016, 41, 148–149. [Google Scholar] [CrossRef]
- Vranić, S.; Bilalović, N.; Lee, L.M.J.; Kruslin, B.; Lillenberg, S.L.; Gatalica, Z. PIK3CA and PTEN Mutations in Adenoid Cystic Carcinoma of the Breast Metastatic to Kidney. Hum. Pathol. 2007, 38, 1425–1431. [Google Scholar] [CrossRef]
- Nozoe, T.; Nozoe, E.; Ohga, T.; Ezaki, T.; Sueishi, K. A Case of Adenoid Cystic Carcinoma of the Breast. J. Med. Investig. 2018, 65, 289–291. [Google Scholar] [CrossRef]
- Silva, I.; Tome, V.; Oliveira, J. Adenoid Cystic Carcinoma of the Breast with Cerebral Metastisation: A Clinical Novelty. BMJ Case. Rep. 2011, 2011, bcr0820114692. [Google Scholar] [CrossRef] [PubMed]
- Kim, M.; Lee, D.; Im, J.; Suh, K.J.; Keam, B.; Moon, H.; Im, S.; Han, W.; Park, I.A.; Noh, D. Adenoid Cystic Carcinoma of the Breast: A Case Series of Six Patients and Literature Review. Cancer Res. Treat. 2014, 46, 93–97. [Google Scholar] [CrossRef] [PubMed]
- Koller, M.; Ram, Z.; Findler, G.; Lipshitz, M. Brain Metastasis: A Rare Manifestation of Adenoid Cystic Carcinoma of the Breast. Surg. Neurol. 1986, 26, 470–472. [Google Scholar] [CrossRef]
- Gillie, B.; Kmeid, M.; Asarian, A.; Xiao, P. Adenoid Cystic Carcinoma of the Breast with Distant Metastasis to the Liver and Spleen: A Case Report. J. Sur. Case Rep. 2020, 2020, rjaa483. [Google Scholar] [CrossRef]
- Vasudevan, G.; John, A.M.; Vijaykumar, D.K.; Vallonthaiel, A.G. Adenoid Cystic Carcinoma of the Breast with Late Recurrence and High-Grade Transformation. BMJ. Case Rep. 2023, 16, e252336. [Google Scholar] [CrossRef] [PubMed]
- Lei, T.; Shi, Y.; Da, W.; Xia, C.; Wang, H. A Novel EWSR1-MYB Fusion in an Aggressive Advanced Breast Adenoid Cystic Carcinoma with Mixed Classical and Solid-Basaloid Components. Virchows Arch. 2023. [Google Scholar] [CrossRef]
- Li, L.; Zhang, D.; Ma, F. Adenoid Cystic Carcinoma of the Breast May Be Exempt from Adjuvant Chemotherapy. J. Clin. Med. 2022, 11, 4477. [Google Scholar] [CrossRef] [PubMed]
- Bardia, A.; Hurvitz, S.A.; Tolaney, S.M.; Loirat, D.; Punie, K.; Oliveira, M.; Brufsky, A.; Sardesai, S.D.; Kalinsky, K.; Zelnak, A.B.; et al. Sacituzumab Govitecan in Metastatic Triple-Negative Breast Cancer. N. Engl. J. Med. 2021, 384, 1529–1541. [Google Scholar] [CrossRef] [PubMed]
- Wolber, P.; Nachtsheim, L.; Hoffmann, F.; Klußmann, J.P.; Meyer, M.; von Eggeling, F.; Guntinas-Lichius, O.; Quaas, A.; Arolt, C. Trophoblast Cell Surface Antigen 2 (Trop-2) Protein Is Highly Expressed in Salivary Gland Carcinomas and Represents a Potential Therapeutic Target. Head Neck Pathol. 2021, 15, 1147–1155. [Google Scholar] [CrossRef]
- Lee, R.H.; Wai, K.C.; Chan, J.W.; Ha, P.K.; Kang, H. Approaches to the Management of Metastatic Adenoid Cystic Carcinoma. Cancers 2022, 14, 5698. [Google Scholar] [CrossRef]
- Ho, A.S.; Ochoa, A.; Jayakumaran, G.; Zehir, A.; Mayor, C.V.; Tepe, J.; Makarov, V.; Dalin, M.G.; He, J.; Bailey, M.; et al. Genetic Hallmarks of Recurrent/Metastatic Adenoid Cystic Carcinoma. J. Clin. Investig. 2019, 129, 4276–4289. [Google Scholar] [CrossRef] [PubMed]
- Ferrarotto, R.; Mitani, Y.; Diao, L.; Guijarro, I.; Wang, J.; Zweidler-McKay, P.; Bell, D.; William, W.N., Jr.; Glisson, B.S.; Wick, M.J.; et al. Activating NOTCH1 Mutations Define a Distinct Subgroup of Patients with Adenoid Cystic Carcinoma Who Have Poor Prognosis, Propensity to Bone and Liver Metastasis, and Potential Responsiveness to Notch1 Inhibitors. J. Clin. Oncol. 2017, 35, 352–360. [Google Scholar] [CrossRef]
- Frierson, H.F.; Moskaluk, C.A. Mutation Signature of Adenoid Cystic Carcinoma: Evidence for Transcriptional and Epigenetic Reprogramming. J. Clin. Investig. 2013, 123, 2783–2785. [Google Scholar] [CrossRef]
- Brayer, K.J.; Kang, H.; El-Naggar, A.K.; Andreasen, S.; Homøe, P.; Kiss, K.; Mikkelsen, L.; Heegaard, S.; Pelaez, D.; Moeyersoms, A.; et al. Dominant Gene Expression Profiles Define Adenoid Cystic Carcinoma (ACC) from Different Tissues: Validation of a Gene Signature Classifier for Poor Survival in Salivary Gland ACC. Cancers 2023, 15, 1390. [Google Scholar] [CrossRef]





| BREAST ACC | KIDNEY METASTASIS | |
|---|---|---|
| CYTOKERATINS | + | + |
| CK5/6 | + | + |
| CK7 | + | ND |
| CK18 | ND | − |
| CK19 | + | + |
| CK20 | ND | − |
| CD7 | +/− | ND |
| CD10 | − | − |
| VIMENTIN | + | + |
| CD117 | +/− | +/− |
| PAX-8 | − | − |
| PR | − | ND |
| ER | − | ND |
| CD10 | − | − |
| S100 | − | ND |
| GATA-3 | − | − |
| ABPAS | ND | + |
| AMACAR | ND | − |
| SMA | + | −/+ |
| CEA | ND | − |
| CALPONIN | ND | − |
| P53 | ND | − |
| P63 | + | ND |
| Article | Age | Stage | Primary Treatment | DFS | Cancer Dissemination | Secondary Treatment | Treatment Response |
|---|---|---|---|---|---|---|---|
| Glover et al., 2016 [19] | 50 | T1N0M0 | Mastectomy | 13 yrs | Bones (clavicle) | metastasectomy, adjuvant RTH | - |
| Monga et al., 2016 [20] | 57 | - | Lumpectomy + RTH | 8 yrs | Lung (isolated) Multiple after 3 yrs: scalp lesion, bones (rib, vertebrae, femur, pelvis) | Lobectomy next 3 years removal of skin lesion, palliative RTH (spine lesion), CTH (PXL) | OS 2 yrs |
| Mhamdi et al., 2017 [21] | 65 | T3N0M0 | Mastectomy with lymphadenectomy + RTH | 4 yrs | Lungs, kidney, brain, pancreas | Metastasectomy, RTH | - |
| Herzberg et al., 1991 [22] | 57 | T1cN0M0 | Mastectomy | 6 yrs | Lung After 12 yrs kidney | Metastasectomy | CR (2 yrs of follow-up after surgery) |
| Sołek et al., 2020 [23] | 41 | T1N0Mx | Lumpectomy + RTH | 23 mo(s) | Brain, lungs, liver | CTH (4 AC cycles), metastasectomy (lungs), RTH and CTH (AC, DXL, capecitabine, and cisplatin in monotherapy) | SD |
| Sołek et al., 2020 [23] | 52 | T2N0Mx | Mastectomy + RTH | 1 mo | Lungs | 4 different CTH (no details) | SD |
| Hassoun et al., 2016 [24] | 40 | - | Mastectomy | 15 yrs | Lungs After 10 yrs kidney | Right upper lobectomy | - |
| Vranic et al., 2007 [25] | 71 | T1cN0M0 | Mastectomy | 5 yrs | Kidney | Radical nephrectomy | CR (OS 12 yrs, death not related to cancer) |
| Nozoe et al., 2018 [26] | 85 | T3N0M1 (lungs) | Mastectomy, refused CTH | - | - | - | - |
| Silva et al., 2011 [27] | 37 | T2N1M0 | Mastectomy + adjuvant CTH (6 AC cycles) + RTH | 2 yrs | Lungs, liver, after a yr cerebellum, brainstem, bones | CTH (6 DXL + NVB (6 cycles), after a yr CTH (5-FU) | OS 3 yrs |
| Kim et al., 2014 [28] | 33 | T2N0M0 | Lumpectomy + RT + adjuvant CTH (FAC) | 28 mo(s) | Lungs after 17 months recurrence in lungs | Metastasectomy, palliative CTH (6 DXL cycles + 3 capecitabine cycles after recurrence) | SD (1 yr follow-up) |
| Kim et al., 2014 [29] | 58 | T2N0M0 | Mastectomy with lymphadenectomy + adjuvant CTH (6 CAP cycles) | 6 yrs | Lungs, bone (scapula), and liver | Palliative RTH (scapula) | PD (1 mo) |
| Koller et al., 1986 [30] | 49 | T?N0 | Mastectomy | 12 yrs | Lungs, brain | Metastasectomy | CR (lost to follow-up after 5 yrs) |
| Gillie et al., 2020 [31] | 67 | T2N0M0 | Mastectomy with lymphadenectomy | 1 yr | Liver, spleen | Best supportive care | - |
| Vasudevan et al., 2023 [32] | 48 | T1N0M0 | R1 lumpectomy followed by mastectomy with lymphadenectomy + tamoxifen (5 yrs) | 11 yrs | Left chest (2 lesions), After 1 yr local recurrence and progression in lungs | Metastasectomy + RTH (refused CTH) | _ |
| Lei et al., 2023 [33] | 70 | T4N1M0 | Mastectomy + lymphadenectomy + CTH (2 AC cycles)) | 1 mo | Rib, lungs | palliative CTH (10 non-specified cycles) | OS 1 yr |
Disclaimer/Publisher’s Note: The statements, opinions and data contained in all publications are solely those of the individual author(s) and contributor(s) and not of MDPI and/or the editor(s). MDPI and/or the editor(s) disclaim responsibility for any injury to people or property resulting from any ideas, methods, instructions or products referred to in the content. |
© 2023 by the authors. Licensee MDPI, Basel, Switzerland. This article is an open access article distributed under the terms and conditions of the Creative Commons Attribution (CC BY) license (https://creativecommons.org/licenses/by/4.0/).
Share and Cite
Rypel, J.; Kubacka, P.; Mykała-Cieśla, J.; Pająk, J.; Bulska-Będkowska, W.; Chudek, J. Locally Advanced Adenoid Cystic Carcinoma of the Breast—A Case Report with a Review of the Literature. Medicina 2023, 59, 2005. https://doi.org/10.3390/medicina59112005
Rypel J, Kubacka P, Mykała-Cieśla J, Pająk J, Bulska-Będkowska W, Chudek J. Locally Advanced Adenoid Cystic Carcinoma of the Breast—A Case Report with a Review of the Literature. Medicina. 2023; 59(11):2005. https://doi.org/10.3390/medicina59112005
Chicago/Turabian StyleRypel, Joanna, Paulina Kubacka, Joanna Mykała-Cieśla, Jacek Pająk, Weronika Bulska-Będkowska, and Jerzy Chudek. 2023. "Locally Advanced Adenoid Cystic Carcinoma of the Breast—A Case Report with a Review of the Literature" Medicina 59, no. 11: 2005. https://doi.org/10.3390/medicina59112005
APA StyleRypel, J., Kubacka, P., Mykała-Cieśla, J., Pająk, J., Bulska-Będkowska, W., & Chudek, J. (2023). Locally Advanced Adenoid Cystic Carcinoma of the Breast—A Case Report with a Review of the Literature. Medicina, 59(11), 2005. https://doi.org/10.3390/medicina59112005

