Acute Obturator Externus Injury in Professional Soccer Players: A Case Series
Abstract
:1. Introduction
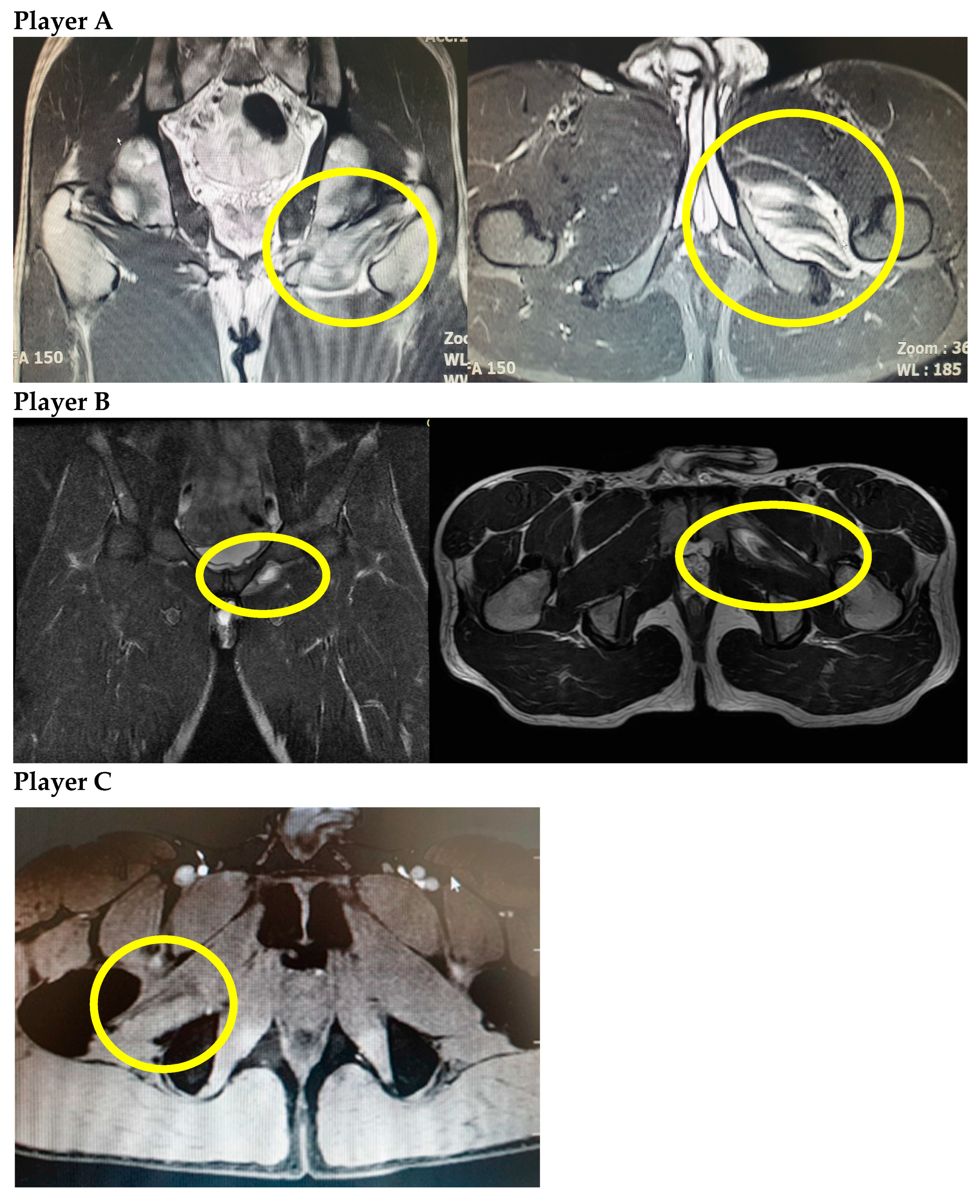
2. Presentation of Cases
3. Discussion
4. Conclusions
Author Contributions
Funding
Institutional Review Board Statement
Informed Consent Statement
Data Availability Statement
Conflicts of Interest
References
- Weir, A.; Brukner, P.; Delahunt, E.; Ekstrand, J.; Griffin, D.; Khan, K.M.; Lovell, G.; Meyers, W.C.; Muschaweck, U.; Orchard, J.; et al. Doha agreement meeting on terminology and definitions in groin pain in athletes. Br. J. Sports Med. 2015, 49, 768–774. [Google Scholar] [CrossRef] [PubMed]
- Mosler, A.B.; Weir, A.; Eirale, C.; Farooq, A.; Thorborg, K.; Whiteley, R.J.; Hӧlmich, P.; Crossley, K.M. Epidemiology of time loss groin injuries in a men’s professional football league: A 2-year prospective study of 17 clubs and 606 players. Br. J. Sports Med. 2018, 52, 292–297. [Google Scholar] [CrossRef] [PubMed]
- Khodaee, M.; Jones, D.; Spittler, J. Obturator Internus and Obturator Externus Strain in a High School Quarterback. Asian J. Sports Med. 2015, 6, e23481. [Google Scholar] [CrossRef] [PubMed]
- Dimmick, S.; Rehnitz, C.; Weber, M.-A.; Linklater, J.M. MRI of muscle injuries. In Magnetic Resonance Imaging of the Skeletal Musculature; Springer: Berlin/Heidelberg, Germany, 2013; pp. 187–219. [Google Scholar]
- Valente, H.G.; Marques, F.O.; Souza, L.D.S.D.; Abib, R.T.; Ribeiro, D.C. Injury of the external obturator muscle in professional soccer athletes. Rev. Bras. Med. Esporte 2011, 17, 36–39. [Google Scholar] [CrossRef]
- Sirico, F.; Palermi, S.; Massa, B.; Corrado, B. Tendinopathies of the hip and pelvis in athletes: A narrative review. J. Hum. Sports Exerc. 2020, 15, S748–S762. [Google Scholar] [CrossRef]
- Gudena, R.; Alzahrani, A.; Railton, P.; Powell, J.; Ganz, R. The Anatomy and Function of the Obturator Externus. HIP Int. 2015, 25, 424–427. [Google Scholar] [CrossRef]
- Wong-On, M.; Turmo-Garuz, A.; Arriaza, R.; De Suso, J.M.G.; Til-Perez, L.; Yanguas-Leite, X.; Diaz-Cueli, D.; Gasol-Santa, X. Injuries of the obturator muscles in professional soccer players. Knee Surg. Sports Traumatol. Arthrosc. 2018, 26, 1936–1942. [Google Scholar] [CrossRef]
- Vaarbakken, K.; Steen, H.; Samuelsen, G.; Dahl, H.A.; Leergaard, T.B.; Stuge, B. Primary functions of the quadratus femoris and obturator externus muscles indicated from lengths and moment arms measured in mobilized cadavers. Clin. Biomech. 2015, 30, 231–237. [Google Scholar] [CrossRef] [PubMed]
- Palermi, S.; Massa, B.; Vecchiato, M.; Mazza, F.; De Blasiis, P.; Romano, A.M.; Di Salvatore, M.G.; Della Valle, E.; Tarantino, D.; Ruosi, C.; et al. Indirect Structural Muscle Injuries of Lower Limb: Rehabilitation and Therapeutic Exercise. J. Funct. Morphol. Kinesiol. 2021, 6, 75. [Google Scholar] [CrossRef] [PubMed]
- Cass, S.P. Piriformis Syndrome: A cause of nondiscogenic sciatica. Curr. Sports Med. Rep. 2015, 14, 41–44. [Google Scholar] [CrossRef] [PubMed]
- Willick, S.E.; Lazarus, M.; Press, J.M. Quadratus Femoris Strain. Clin. J. Sport Med. 2002, 12, 130–131. [Google Scholar] [CrossRef] [PubMed]
- Brukner, P.D.; Connell, D. ‘Serious thigh muscle strains’: Beware the intramuscular tendon which plays an important role in difficult hamstring and quadriceps muscle strains. Br. J. Sports Med. 2016, 50, 205–208. [Google Scholar] [CrossRef] [PubMed]

Publisher’s Note: MDPI stays neutral with regard to jurisdictional claims in published maps and institutional affiliations. |
© 2022 by the authors. Licensee MDPI, Basel, Switzerland. This article is an open access article distributed under the terms and conditions of the Creative Commons Attribution (CC BY) license (https://creativecommons.org/licenses/by/4.0/).
Share and Cite
Rhim, H.C.; Gureck, A.E.; Jang, K.-M. Acute Obturator Externus Injury in Professional Soccer Players: A Case Series. Medicina 2022, 58, 1145. https://doi.org/10.3390/medicina58091145
Rhim HC, Gureck AE, Jang K-M. Acute Obturator Externus Injury in Professional Soccer Players: A Case Series. Medicina. 2022; 58(9):1145. https://doi.org/10.3390/medicina58091145
Chicago/Turabian StyleRhim, Hye Chang, Ashley E. Gureck, and Ki-Mo Jang. 2022. "Acute Obturator Externus Injury in Professional Soccer Players: A Case Series" Medicina 58, no. 9: 1145. https://doi.org/10.3390/medicina58091145
APA StyleRhim, H. C., Gureck, A. E., & Jang, K.-M. (2022). Acute Obturator Externus Injury in Professional Soccer Players: A Case Series. Medicina, 58(9), 1145. https://doi.org/10.3390/medicina58091145

