Different Regulatory Effects of Heated Products and Maillard Reaction Products of Half-Fin Anchovy Hydrolysates on Intestinal Antioxidant Defense in Healthy Animals
Abstract
1. Introduction
2. Results and Discussion
2.1. Body Weight and Organ Index Measurement
2.2. Serum Lipid and Inflammatory Factor Analyses
2.3. Histological Analysis of the Intestine Tract
2.4. Estimation of Cu/Zn-SOD (SOD1), Mn-SOD (SOD2), Catalase (CAT), Glutathione peroxidase 2 (GPX2), Oligopeptide Transporter 1 (PEPT1), and Nε-carboxymethyllysine (CML) Expression in Colonic Mucosa via Immunohistochemistry (IHC) Staining
2.5. Real-Time Quantitative Polymerase Chain Reaction (qRT-PCR) Analysis of Colonic Mucosa
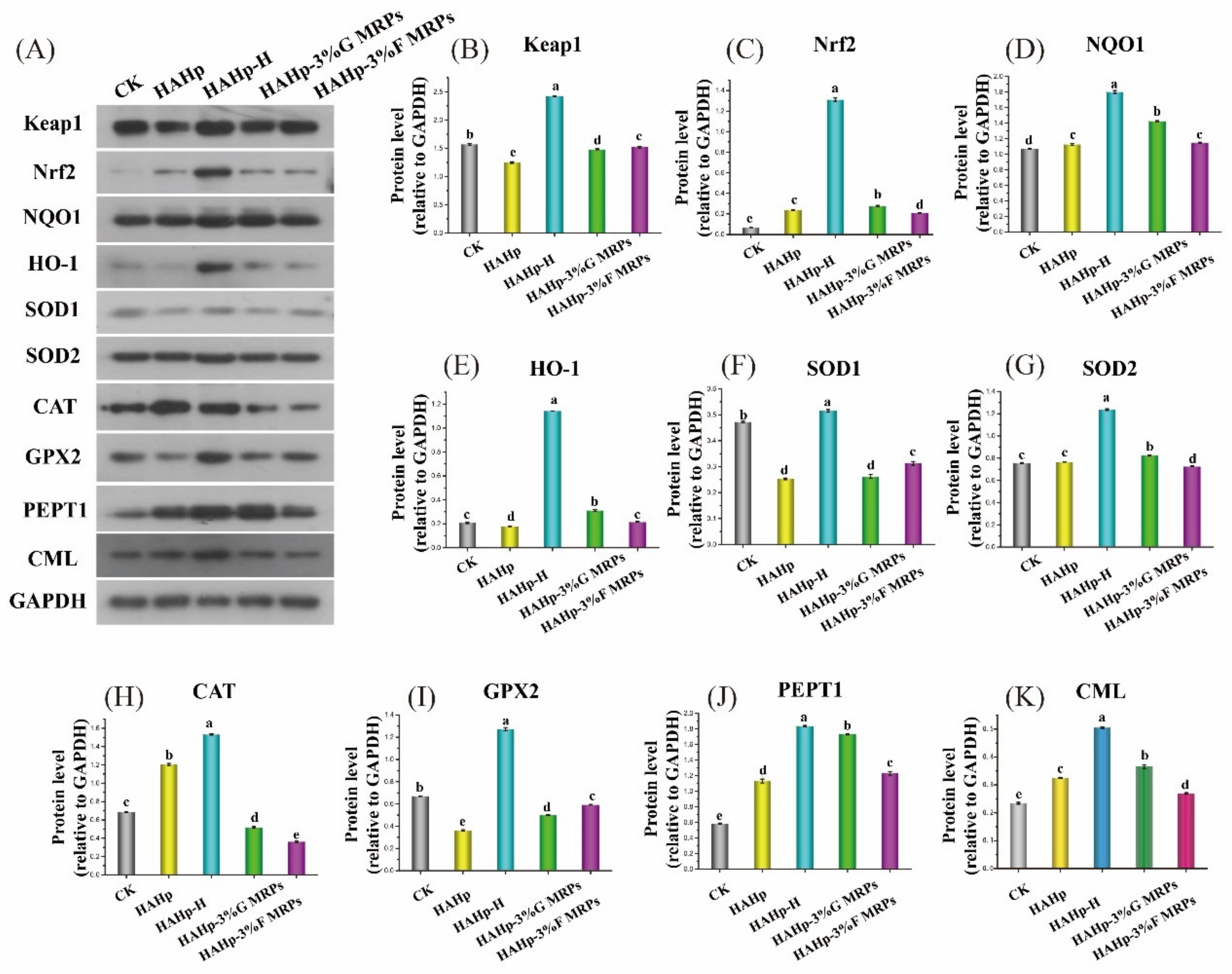
2.6. Western Blot (WB) Analysis of Colonic Mucosa
3. Materials and Methods
3.1. Materials
3.2. Preparation of Half-fin Anchovy Hydrolysates (HAHp) and Its Thermal Products and Maillard Reaction Products (MRPs)
3.3. Animals and Experiment Design
3.4. Blood and Tissues Collection
3.5. Body Weight and Organ Index Measurement
3.6. Lipid Oxidation and Proinflammatory Cytokines Measurement
3.7. Histopathology
3.8. IHC Measurement
3.9. qRT-PCR Analysis
3.10. Estimated Expressions of Related Proteins by WB
3.11. Statistical Analysis
4. Conclusions
Supplementary Materials
Author Contributions
Funding
Institutional Review Board Statement
Informed Consent Statement
Data Availability Statement
Acknowledgments
Conflicts of Interest
Abbreviations
| HAHp | Half-fin anchovy hydrolysates |
| MR | Maillard reaction |
| MRPs | Maillard reaction products |
| HAHp-H | Heated products of HAHp |
| HAHp-3%G MRPs | MRPs of HAHp with 3% of glucose |
| HAHp-3%F MRPs | MRPs of HAHp with 3% of fructose |
| FSP | Fish scale peptides |
| SOD | Superoxide dismutase |
| CAT | Catalase |
| GPX | Glutathione peroxidase |
| MDA | Malondialdehyde |
| TG | Triglyceride |
| Keap1 | Kelch-like ECH-associated protein 1 |
| Nrf2 | Transcription factors Nrf-2 |
| NQO-1 | NAD(P)H: quinine oxidoreductase 1 |
| HO-1 | Hemoxygenase-1 |
| LDL | Low-density lipoprotein |
| ox-LDL | Oxidized low-density lipoprotein |
| LDL-C | Low-density lipoprotein cholesterol |
| HDL | High-density lipoprotein |
| HDL-C | High-density lipoprotein cholesterol |
| AGE | Advanced glycation end products |
| IL-6 | Inflammatory factors interleukin-6 |
| TNF-α | Tumor necrosis factor-alpha |
| H&E | Hematoxylin-eosin |
| IHC | Immunohistochemistry |
| SOD1 | Copper/zinc superoxide dismutase |
| SOD2 | Manganese superoxide dismutase |
| ROS | Reactive oxygen species |
| AOD | Average optical density |
| PEPT1 | Oligopeptide transporter 1 |
| CML | Nε-carboxymethyllysine |
| qRT-PCR | Real time quantitative polymerase chain reaction |
| ARE | Antioxidant responsive element |
| WB | Western blot |
| GAPDH | Glyceraldehyde-3-phosphate dehydrogenase |
| IOD | Integrated optical density |
| SDS-PAGE | Sodium dodecyl sulfate–polyacrylamide gel electrophoresis |
References
- Hodge, J.E. Dehydrated Foods, Chemistry of Browning Reactions in Model Systems. J. Agric. Food Chem. 1953, 1, 928–943. [Google Scholar] [CrossRef]
- Nooshkam, M.; Varidi, M.; Verma, D.K. Functional and Biological Properties of Maillard Conjugates and their Potential Application in Medical and Food: A Review. Food Res. Int. 2020, 131, 109003. [Google Scholar] [CrossRef] [PubMed]
- Lindenmeier, M.; Faist, V.; Hofmann, T. Structural and Functional Characterization of Pronyl-lysine, a Novel Protein Modification in Bread Crust Melanoidins Showing in Vitro, Antioxidative and Phase I/II Enzyme Modulating Activity. J. Agric. Food Chem. 2002, 50, 6997–7006. [Google Scholar] [CrossRef] [PubMed]
- Monente, C.; Bravo, J.; Vitas, A.I.; Arbillaga, L.; De Peña, M.P.; Cid, C. Coffee and Spent Coffee Extracts Protect against Cell Mutagens and Inhibit Growth of Food-borne Pathogen Microorganisms. J. Funct. Foods 2015, 12, 365–374. [Google Scholar] [CrossRef]
- Liang, C.; Yuan, F.; Liu, F.; Wang, Y.; Gao, Y. Structure and Antimicrobial Mechanism of ε-polylysine–chitosan Conjugates through Maillard Reaction. Int. J. Biol. Macromol. 2014, 70, 427–434. [Google Scholar] [CrossRef]
- Chang, H.; Chen, Y.; Tan, F. Antioxidative Properties of a Chitosan–glucose Maillard Reaction Product and its Effect on Pork Qualities During Refrigerated Storage. Food Chem. 2011, 124, 589–595. [Google Scholar] [CrossRef]
- Hong, C.O.; Rhee, C.H.; Pyo, M.C.; Lee, K.W. Anti-inflammatory Effect of Glucose-lysine Maillard Reaction Products on Intestinal Inflammation Model in Vivo. Int. Immunopharmacol. 2017, 52, 324–332. [Google Scholar] [CrossRef]
- Yang, S.Y.; Lee, S.; Pyo, M.C.; Jeon, H.; Kim, Y.; Lee, K.W. Improved Physicochemical Properties and Hepatic Protection of Maillard Reaction Products Derived from Fish Protein Hydrolysates and Ribose. Food Chem. 2017, 221, 1979–1988. [Google Scholar] [CrossRef]
- Chen, X.; Fang, F.; Wang, S. Physicochemical Properties and Hepatoprotective Effects of Glycated Snapper Fish Scale Peptides Conjugated with Xylose via Maillard Reaction. Food Chem. Toxicol. 2020, 137, 111–115. [Google Scholar] [CrossRef]
- Joung, J.Y.; Lee, J.S.; Oh, N.S.; Kim, S.H. Fermented Maillard Reaction Products Attenuate Stress-induced Testicular Dysfunction in Mice. J. Dairy Sci. 2021, 104, 1384–1393. [Google Scholar] [CrossRef]
- Zhang, Z.; He, S.; Cao, X.; Ye, Y.; Yang, L.; Wang, J.; Liu, H.; Sun, H. Potential Prebiotic Activities of Soybean Peptides Maillard Reaction Products on Modulating Gut Microbiota to Alleviate Aging-related Disorders in D-galactose-induced ICR Mice. J. Funct. Foods 2019, 65, 103729. [Google Scholar] [CrossRef]
- Song, R.; Wei, R.B.; Zhang, B.; Wang, D.F. Optimization of the Antibacterial Activity of Half-fin Anchovy (Setipinna taty) Hydrolysates. Food Bioprocess Technol. 2012, 5, 1979–1989. [Google Scholar] [CrossRef]
- Song, R.; Wei, R.B.; Zhang, B.; Yang, Z.S.; Wang, D.F. Antioxidant and Antiproliferative Activities of Heated Sterilized Pepsin Hydrolysate Derived from Half-fin Anchovy (Setipinna taty). Mar. Drugs 2011, 9, 1142–1156. [Google Scholar] [CrossRef]
- Song, R.; Yang, P.; Wei, R.; Ruan, G. Antioxidative, Antibacterial, and Food Functional Properties of the Half-fin Anchovy Hydrolysates-glucose Conjugates Formed via Maillard Reaction. Molecules 2016, 21, 795. [Google Scholar] [CrossRef]
- Song, R.; Shi, Q.; Yang, P.; Wei, R. In Vitro Membrane Damage Induced by Half-fin Anchovy Hydrolysates/glucose Maillard Reaction Products and the Effects on Oxidative Status in Vivo. Food Funct. 2018, 9, 785–796. [Google Scholar] [CrossRef]
- Song, R.; Shi, M.; Gu, L. Digestive Properties of Half-fin Anchovy Hydro- lysates/glucose Maillard Reaction Products and Modulation Effects on Intestinal Microbiota. J. Sci. Food Agric. 2021, 102, 2584–2597. [Google Scholar] [CrossRef]
- Brown, M.S.; Goldstein, J.L. Lipoprotein Metabolism in the Macrophage: Implications for Cholesterol Deposition in Atherosclerosis. Annu. Rev. Biochem. 1983, 52, 223–261. [Google Scholar] [CrossRef]
- Lin, P.J.; Chang, C.H. Endothelium Dysfunction in Cardiovascular Disease. J. Food Sci. 1994, 77, 105–110. [Google Scholar]
- Wadhera, R.K.; Steen, D.L.; Khan, I.; Giugliano, R.P.; Foody, J.M. A Review of Low-density Lipoprotein Cholesterol, Treatment Strategies, and its Impact on Cardiovascular Disease Morbidity and Mortality. J. Clin. Lipidol. 2016, 10, 472–489. [Google Scholar] [CrossRef]
- Lee, M.; Uboldi, P.; Giudice, D.; Catapano, A.L.; Kovanen, P.T. Identification of Domains in ApoA-I Susceptible to Proteolysis by Mast Cell Chymase: Implications for HDL Function. J. Lipid Res. 2000, 41, 975–984. [Google Scholar] [CrossRef]
- Kjeldsen, E.W.; Thomassen, J.Q.; Frikke-Schmidt, R. HDL Cholesterol Concentrations and Risk of Atherosclerotic Cardiovascular Disease–Insights from Randomized Clinical Trials and Human Genetics. Biochim. Biophys. Acta Mol. Cell Res. 2022, 1867, 159063. [Google Scholar] [CrossRef] [PubMed]
- Mastrocola, R.; Collotta, D.; Gaudioso, G.; Le Berre, M.; Cento, A.S.; Ferreira, A.G.; Chiazza, F.; Verta, R.; Bertocchi, I.; Manig, F.; et al. Effects of Exogenous Dietary Advanced Glycation End Products on the Cross-Talk Mechanisms Linking Microbiota to Metabolic Inflammation. Nutrients 2020, 12, 2497. [Google Scholar] [CrossRef] [PubMed]
- Kimura, T.; Itoh, T.; Fusazaki, T.; Matsui, H.; Sugawara, S.; Ogino, Y.; Endo, H.; Kobayashi, K.; Nakamura, M. Low-density Lipoprotein-cholesterol/High-density Lipoprotein-cholesterol Ratio Predicts Lipid-rich Coronary Plaque in Patients with Coronary Artery Disease-integrated-backscatter Intravascular Ultrasound study. Circ. J. 2010, 74, 1392–1398. [Google Scholar] [CrossRef] [PubMed]
- Du, R.; Li, M.; Wang, X.; Wang, S.; Li, S.; Tian, H.; Wu, Y.; Zhang, C. LDL-C/HDL-C Ratio Associated with Carotid Intima-media Thickness and Carotid Plaques in Male but not Female Patients with Type 2 Diabetes. Clin. Chim. Acta 2020, 511, 215–220. [Google Scholar] [CrossRef]
- Choe, S.S.; Huh, J.Y.; Hwang, I.J.; Kim, J.I.; Kim, J.B. Adipose Tissue Remodeling: Its Role in Energy Metabolism and Metabolic Disorders. Front. Endocrinol. 2016, 7, 30. [Google Scholar] [CrossRef]
- Kim, Y.-K.; Na, K.-S.; Myint, A.-M.; Leonard, B.E. The Role of Pro-inflammatory Cytokines in Neuroinflammation, Neurogenesis and the Neuroendocrine System in Major Depression. Prog. Neuro-Psychopharmacol. Biol. Psychiatry 2016, 64, 277–284. [Google Scholar] [CrossRef]
- Bastard, P.J.; Maachi, M.; Lagathu, C.; Kim, J.M.; Caron, M.; Vidal, H.; Capeau, J.; Feve, B. Recent Advances in the Relationship between Obesity, Inflammation, and Insulin Resistance. Eur. Cytokine Netw. 2006, 17, 4–12. [Google Scholar]
- Svegliati-Baroni, G.; Candelaresi, C.; Saccomanno, S.; Ferretti, G.; Bachetti, T.; Marzioni, M.; De Minicis, S.; Nobili, L.; Salzano, R.; Omenetti, A.; et al. A Model of Insulin Resistance and Nonalcoholic Steatohepatitis in Rats: Role of Peroxisome Proliferator-activated Receptor-α and N-3 Polyunsaturated Fatty Acid Treatment on Liver Injury. Am. J. Pathol. 2006, 169, 846–860. [Google Scholar] [CrossRef]
- Aidy, S.E.; Bogert, B.; Kleerebezem, M. The Small Intestine Microbiota, Nutritional Modulation and Relevance for Health. Curr. Opin. Biotechnol. 2015, 32, 14–20. [Google Scholar] [CrossRef]
- Deplancke, B.; Gaskins, H.R. Microbial Modulation of Innate Defense: Goblet Cells and the Intestinal Mucus Layer. Am. J. Clin. Nutr. 2001, 73, 1131S–1141S. [Google Scholar] [CrossRef]
- Yang, Z.; Ding, G. Histology and Embryology, 2nd ed.; Beijing People’s Health Publishing House: Beijing, China, 2012; Volume 78. (In Chinese) [Google Scholar]
- Zhao, Y.; Bi, J.; Yi, J.; Peng, J.; Ma, Q. Dose-dependent Effects of Apple Pectin on Alleviating High Fat-induced Obesity Modulated by Gut Microbiota and SCAFs. Food Sci. Hum. Wellness 2022, 11, 143–154. [Google Scholar] [CrossRef]
- Jädert, C.; Phillipson, M.; Holm, L.; Lundberg, J.O.; Borniquel, S. Preventive and Therapeutic Effects of Nitrite Supplementation in Experimental Inflammatory Bowel Disease. Redox Biol. 2014, 2, 73–81. [Google Scholar] [CrossRef]
- Culotta, V.C.; Yang, M.; O’Halloran, T.V. Activation of Superoxide Dismutases: Putting the Metal to the Pedal. Biochim. Biophys. Acta Mol. Cell Res. 2006, 1763, 747–758. [Google Scholar] [CrossRef]
- Eleutherio, E.C.A.; Magalhães, R.S.S.; Brasil, A.A.; Neto, J.R.M.; Paranhos, L.H. SOD1, More Than Just an Antioxidant. Arch. Biochem. Biophys. 2021, 697, 108701. [Google Scholar] [CrossRef]
- Engidawork, E.; Lubec, G. Protein Expression in Down Syndrome Brain. Amino Acids 2001, 21, 331–361. [Google Scholar] [CrossRef]
- Papa, L.; Manfredi, G.; Germain, D. SOD1, an Unexpected Novel Target for Cancer Therapy. Genes Cancer 2015, 5, 15–21. [Google Scholar] [CrossRef]
- Park, J.H.; Elpers, C.; Reunert, J.; McCormick, M.L.; Mohr, J.; Biskup, S.; Schwartz, O.; Rust, S.; Grüneberg, M.; Seelhöfer, A.; et al. SOD1 Deficiency: A Novel Syndrome Distinct from Amyotrophic Lateral Sclerosis. Brain 2019, 142, 2230–2237. [Google Scholar] [CrossRef]
- Li, M.; Wei, Y.; Cai, M.; Gu, R.; Pan, X.; Du, J. Perilla Peptides Delay the Progression of Kidney Disease by Improving Kidney Apoptotic Injury and Oxidative Stress and Maintaining Intestinal Barrier Function. Food Biosci. 2021, 43, 101333. [Google Scholar] [CrossRef]
- Bakala, H.; Hamelin, M.; Mary, J.; Borot-Laloi, C.; Friguet, B. Catalase, a Target of Glycation Damage in Rat Liver Mitochondria with Aging. Biochim. Biophys. Acta Mol. Basis Dis. 2012, 1822, 1527–1534. [Google Scholar] [CrossRef]
- Hussain, I.; Kellett, L.; Afleck, J.; Shepherd, J.; Boyd, R. Expression and Cellular Distribution During Development of the Peptide Transporter (PepT1) in the Small Intestinal Epithelium of the Rat. Cell Tissue Res. 2002, 307, 139–142. [Google Scholar]
- Nielsen, C.U.; Brodin, B. Di/tri-peptide Transporters as Drug Delivery Targets: Regulation of Transport Under Physiological and Patho-physiological Conditions. Curr. Drug Targets 2003, 4, 373–388. [Google Scholar] [CrossRef] [PubMed]
- Ingersoll, S.A.; Ayyadurai, S.; Charania, M.A.; Laroui, H.; Yan, Y.; Merlin, D. The Role and Pathophysiological Relevance of Membrane Transporter PepT1 in Intestinal Inflammation and Inflammatory Bowel Disease. Am. J. Physiol. Gastrointest. Liver Physiol. 2011, 302, G484–G492. [Google Scholar] [CrossRef] [PubMed]
- Hull, G.L.J.; Woodside, J.V.; Ames, J.M.; Cuskelly, G.J. Nε-(carboxymethyl) Lysine Content of Foods Commonly Consumed in a Western Style Diet. Food Chem. 2012, 131, 170–174. [Google Scholar] [CrossRef]
- Itoh, K.; Mimura, J.; Yamamoto, M. Discovery of the Negative Regulator of Nrf2, Keap1: A Historical Overview. Antioxid. Redox Signal. 2010, 13, 1665–1678. [Google Scholar] [CrossRef] [PubMed]
- Bellezza, I.; Giambanco, I.; Minelli, A.; Donato, R. Nrf2-Keap1 Signaling in Oxidative and Reductive Stress. Biochim. Biophys. Acta Mol. Cell Res. 2018, 1865, 721–733. [Google Scholar] [CrossRef]
- Folbergrová, J.; Ješina, P.; Nůsková, H.; Houštěk, J. Antioxidant Enzymes in Cerebral Cortex of Immature Rats Following Experimentally-induced Seizures: Upregulation of Mitochondrial MnSOD (SOD2). Int. J. Dev. Neurosci. 2013, 31, 123–130. [Google Scholar] [CrossRef]
- Tang, J.Z.; Cao, S.P.; Qu, F.F. Effects of Sodium Butyrate Nanoparticles on Growth Performance, Serum Biochemical Indexes, Intestinal Mucosal Morphology and PepT1 Gene Expression of Grass Carp. Int. J. Aquat. Biol. 2021, 45, 764–773. [Google Scholar]
- Wang, H.Y.; Qian, H.; Yao, W.R. Melanoidins Produced by the Maillard Reaction: Structure and Biological Activity. Food Chem. 2011, 128, 573–584. [Google Scholar] [CrossRef]
- Guilbaud, A.; Howsam, M.; Niquet-Léridon, C.; Delguste, F.; Boulanger, E.; Tessier, F.J. The LepRdb/db Mice Model for Studying Glycation in the Context of Diabetes. Diabetes Metab. Res. Rev. 2019, 35, e3103. [Google Scholar] [CrossRef]
- Sun, X.; Tang, J.; Wang, J.; Rasco, B.A.; Lai, K.; Huang, Y. Formation of Free and Protein-bound Carboxymethyllysine and Carboxyethyllysine in Meats During Commercial Sterilization. Meat Sci. 2016, 116, 1–7. [Google Scholar] [CrossRef]
- Tessier, F.J.; Niquet-Leridon, C.; Jacolot, P.; Jouquand, C.; Genin, M.; Schmidt, A.M.; Grossin, N.; Boulanger, E. Quantitative Assessment of Organ Distribution of Dietary Protein-bound 13C-labeled Nε -carboxymethyllysine after a Chronic Oral Exposure in Mice. Mol. Nutr. Food Res. 2016, 60, 2446–2456. [Google Scholar] [CrossRef]
- Yuan, X.; Bai, Y.; Zhang, J.; Zhai, R.; Nie, C.; Tu, A.; Li, S.; Chen, Z.; Zhang, M.; Li, J. Comparison of Tissue Distribution of Free and Protein Bound Nε-carboxymethyllysine after Long-term Oral Administration to Mice. Food Res. Int. 2022, 161, 111787. [Google Scholar] [CrossRef]
- Dubois, C.; Litke, R.; Rianha, S.; Paul-Constant, C.; Lo Guidice, J.M.; Taront, S.; Tessier, F.J.; Boulanger, E.; Fradin, C. Exposure of Caenorhabditis elegans to Dietary Nε-Carboxymethyllysine Emphasizes Endocytosis as a New Route for Intestinal Absorption of Advanced Glycation End Products. Nutrients 2021, 13, 4398. [Google Scholar] [CrossRef]
- Tripathi, D.N.; Jena, G.B. Astaxanthin Intervention Ameliorates Cyclophosphamide-induced Oxidative Stress, DNA Damage and Early Hepatocarcinogenesis in Rat: Role of Nrf2, p53, p38 and Phase-II Enzymes. Mutat. Res. Genet. Toxicol. Environ. Mutagen. 2010, 696, 69–80. [Google Scholar] [CrossRef]
- Song, R.; Jia, Z.; Xu, Y.; Zhang, X.X.; Wei, R.B.; Sun, J.P. Saponification to Improve the Antioxidant Activity of Astaxanthin Extracts from Penaeus Sinensis (Solenocera Crassicornis) by-products and Intervention Effect on Paracetamol-induced Acute Hepatic Injury in Rat. J. Funct. Foods 2020, 73, 104–150. [Google Scholar] [CrossRef]






| Group | 0 d | 7 d | 14 d | 21 d | 28 d | 30 d |
|---|---|---|---|---|---|---|
| CK | 28.69 ± 1.75 a | 29.74 ± 2.97 a | 31.42 ± 3.06 a | 33.80 ± 2.82 a | 35.31 ± 2.76 ab | 36.00 ± 3.07 a |
| HAHp | 28.35 ± 0.92 a | 29.75 ± 1.19 a | 31.30 ± 1.23 a | 33.05 ± 1.41 a | 34.01 ± 1.45 b | 34.88 ± 1.56 a |
| HAHp-H | 28.11 ± 0.97 a | 30.34 ± 1.46 a | 32.73 ± 1.91 a | 34.46 ± 1.88 a | 35.76 ± 2.3 ab | 36.43 ± 2.32 a |
| HAHp-3%G MRPs | 29.29 ± 0.83 a | 31.73 ± 1.53 a | 33.84 ± 1.42 a | 35.48 ± 1.42 a | 36.94 ± 1.8 a | 37.49 ± 1.88 a |
| HAHp-3%F MRPs | 28.43 ± 1.15 a | 31.03 ± 1.37 a | 32.60 ± 1.90 a | 34.31 ± 1.77 a | 35.80 ± 2.06 ab | 36.23 ± 2.12 a |
| Group | Heart (mg/g) | Liver (g/100 g) | Spleen (mg/g) | Kidney (g/100 g) | Thymus (mg/g) |
|---|---|---|---|---|---|
| CK | 5.55 ± 0.82 a | 4.48 ± 0.20 a | 2.76 ± 0.54 a | 1.75 ± 0.18 a | 1.82 ± 0.70 a |
| HAHp | 5.48 ± 0.67 a | 4.47 ± 0.51 a | 2.44 ± 0.63 a | 1.46 ± 0.14 c | 1.75 ± 0.54 a |
| HAHp-H | 5.26 ± 0.46 a | 4.34 ± 0.51 a | 2.77 ± 0.37 a | 1.68 ± 0.11 ab | 1.66 ± 0.36 a |
| HAHp-3%G MRPs | 5.16 ± 0.47 a | 4.55 ± 0.30 a | 2.53 ± 0.35 a | 1.59 ± 0.14 abc | 1.92 ± 0.45 a |
| HAHp-3%F MRPs | 5.11 ± 0.39 a | 4.28 ± 0.17 a | 2.73 ± 0.58 a | 1.52 ± 0.13 bc | 2.08 ± 0.50 a |
| Genes | Upper Primers (5’, 3’) | Downstream Primers (5’, 3’) | bp |
|---|---|---|---|
| Keap1 | AATGTTGACACGGAGGATTGG | ATCCGCCACTCATTCCTCTC | 132 |
| Nrf2 | CTTCCATTTACGGAGACCCAC | GATTCACGCATAGGAGCACTG | 175 |
| NQO1 | TCAACTGGTTTACAGCATTGGC | GCTTGGAGCAAAATAGAGTGGG | 118 |
| HO-1 | CGAATGAACACTCTGGAGATGAC | GCCTCTGACGAAGTGACGC | 166 |
| SOD1 | GTGACTGCTGGAAAGGACGG | CAATCCCAATCACTCCACAGG | 196 |
| SOD2 | GAGGCTATCAAGCGTGACTTTG | GCAATGGGTCCTGATTAGAGC | 157 |
| CAT | ATTGCCGTTCGATTCTCCAC | TCCCACAAGATCCCAGTTACC | 117 |
| GPX2 | CCTGGATGGGGAGAAGATAGAC | CGAACTGGTTGCAAGGGAAG | 170 |
| PEPT1 | GGCTTCTAACTGTGGCGGTC | CTCTGCTGGGTTGATGTAGGTG | 167 |
| CML | TCCTTCACGACTTGCTAAAACAC | TCCTCGTTGATGCTGGACAG | 106 |
| GAPDH | TGTTCCTACCCCCAATGTGTC | TGAAGTCGCAGGAGACAACC | 158 |
Disclaimer/Publisher’s Note: The statements, opinions and data contained in all publications are solely those of the individual author(s) and contributor(s) and not of MDPI and/or the editor(s). MDPI and/or the editor(s) disclaim responsibility for any injury to people or property resulting from any ideas, methods, instructions or products referred to in the content. |
© 2023 by the authors. Licensee MDPI, Basel, Switzerland. This article is an open access article distributed under the terms and conditions of the Creative Commons Attribution (CC BY) license (https://creativecommons.org/licenses/by/4.0/).
Share and Cite
Shi, M.; Song, R.; Gu, L. Different Regulatory Effects of Heated Products and Maillard Reaction Products of Half-Fin Anchovy Hydrolysates on Intestinal Antioxidant Defense in Healthy Animals. Int. J. Mol. Sci. 2023, 24, 2355. https://doi.org/10.3390/ijms24032355
Shi M, Song R, Gu L. Different Regulatory Effects of Heated Products and Maillard Reaction Products of Half-Fin Anchovy Hydrolysates on Intestinal Antioxidant Defense in Healthy Animals. International Journal of Molecular Sciences. 2023; 24(3):2355. https://doi.org/10.3390/ijms24032355
Chicago/Turabian StyleShi, Min, Ru Song, and Luo Gu. 2023. "Different Regulatory Effects of Heated Products and Maillard Reaction Products of Half-Fin Anchovy Hydrolysates on Intestinal Antioxidant Defense in Healthy Animals" International Journal of Molecular Sciences 24, no. 3: 2355. https://doi.org/10.3390/ijms24032355
APA StyleShi, M., Song, R., & Gu, L. (2023). Different Regulatory Effects of Heated Products and Maillard Reaction Products of Half-Fin Anchovy Hydrolysates on Intestinal Antioxidant Defense in Healthy Animals. International Journal of Molecular Sciences, 24(3), 2355. https://doi.org/10.3390/ijms24032355
