Abstract
We conducted a phase Ib study to examine the safety of a combination of carbon-ion RT (CIRT) with durvalumab (MEDI4736; AstraZeneca) in patients with locally advanced cervical cancer. This was an open-label, single-arm study with a modified 3 + 3 design. Patients with newly diagnosed histologically proven locally advanced cervical cancer were enrolled. All patients received 74.4 Gy of CIRT in 20 fractions and concurrent weekly cisplatin (chemo-CIRT) at a dose of 40 mg/m2. Durvalumab was administered (1500 mg/body) at weeks two and six. The primary endpoint was the incidence of adverse events (AEs) and serious AEs (SAEs), including dose-limiting toxicity (DLT). All three enrolled patients completed the treatment without interruption. One patient developed hypothyroidism after treatment and was determined to be an SAE. No other SAEs were observed. The patient recovered after levothyroxine sodium hydrate treatment. None of the AEs, including hypothyroidism, were associated with DLT in the present study. All three patients achieved complete responses within the CIRT region concerning treatment efficacy. This phase 1b trial demonstrates the safety of combining chemo-CIRT and durvalumab for locally advanced cervical cancer in the early phase. Further research is required as only three patients were included in this study.
1. Introduction
Cervical cancer is the fourth most common cancer in women worldwide. In 2020, there were approximately 604,000 new cases and 342,000 deaths [1]. For locally advanced cervical cancer, concurrent chemoradiotherapy (CCRT) is the standard treatment strategy [2,3,4,5]. Intracavitary brachytherapy is a critical component of radiotherapy (RT) in patients with cervical cancer [2]. Three-dimensional image-guided brachytherapy (3D-IGBT) has become a critical strategy, and a recent prospective clinical trial demonstrated a favorable local control (LC) rate [6,7,8]. However, recent reports have indicated that patients with bulky tumors or adenocarcinomas have a lower LC rate even when 3D-IGBT is employed [9,10,11]. Therefore, these types of cervical cancer require novel therapeutic approaches.
Charged particle therapies such as proton beam therapy and carbon-ion RT (CIRT) are promising forms of RT with excellent dose distributions. Numerous clinical trials have been conducted using CIRT for many types of tumors and have shown favorable outcomes, taking advantage of the superior dose distribution and biological benefits of higher linear energy transfer (LET) [12]. We have investigated the significance of CIRT for cervical cancer in previous decades. Even in patients with tumor diameters > 6 cm, we have shown a five-year LC rate of 70% for cervical squamous cell carcinoma [13]. Wakatsuki et al. reported a five-year LC rate of 55% for locally advanced adenocarcinoma of the uterine cervix [14]. Subsequently, concurrently administering weekly cisplatin with CIRT for locally advanced adenocarcinoma of the uterine cervix showed promising clinical outcomes, with two-year LC and overall survival (OS) rates of 71% and 88%, respectively [15]. We also reported the significance of the concurrent use of cisplatin in CIRT for locally advanced adenocarcinoma of the uterine cervix, resulting in improved OS and distant metastasis-free rates compared to CIRT alone, using a propensity score-matched analysis [16]. According to a recent systematic review, CIRT is both safe and effective for cervical cancer [17]. However, owing to the aggressive nature of metastatic potential, distant metastasis is still observed even when concurrent chemo-CIRT is used for locally advanced cervical cancer. Thus, to improve the clinical outcomes of difficult-to-treat uterine cervical cancers, such as bulky tumors or adenocarcinomas, a new strategy to prevent distant metastasis is required.
The immune system recognizes cancer cells and sometimes controls or eliminates them. Based on this concept, immune checkpoint inhibitor (ICI) therapy has ushered in a new era of antitumor treatment, with sustained responses and significant survival advantages observed in various tumors. The coordination of programmed death-ligand 1 (PD-L1) and programmed death-1 (PD-1) receptors play critical roles in the T-cell immune response in several molecules involved in the antitumor immune response [18]. When PD-L1 binds to PD-1, T cells receive an inhibitory signal, which decreases their proliferation and cytokine production. Tumor cells utilize this immune checkpoint pathway to escape immune surveillance [19]. One of the ICIs, an anti-programmed death-ligand 1 (PD-L1) antibody, has been shown to be effective in treating various cancers in clinical settings [20,21,22,23]. The “PACIFIC Trial” was a symbolic success, particularly in combining radiotherapy and an ICI [20,21]. Durvalumab, an anti-PD-L1 antibody used as an adjuvant after CCRT for non-small cell lung cancer (NSCLC), improved OS and progression-free survival [20,21]. Thus, the combination of durvalumab and CCRT appears to be a promising treatment strategy.
Many preclinical and clinical studies have shown that RT activates antitumor immunity [24]. However, we recently discovered that CIRT for patients with cervical cancer upregulated PD-L1 expression in tumor tissue samples [25]. This could imply that the antitumor effect of CIRT was suppressed by PD-L1 upregulation. Therefore, combining anti-PD-L1 antibody and CIRT is expected to maximize the local effect of CIRT while inhibiting distant metastasis through activated antitumor immunity. However, there have been no reports on the combination of CIRT and durvalumab. Therefore, we conducted a phase Ib study to test the safety and efficacy of this combination in patients with locally advanced cervical cancer. This report aims to demonstrate the initial efficacy and safety of CIRT with durvalumab in patients with locally advanced cervical cancer.
2. Results
2.1. Patient Population
Three patients were included in the study, although the initial plan was to enroll a maximum of ten patients. After enrolling three patients, the dramatic rise in cases of coronavirus disease 2019 (COVID-19) in Japan made further enrollment difficult. Specifically, if a patient or the patient’s family had a fever exceeding 37.5 °C, proof of a negative PCR test for COVID-19 was required at the time of the visit to our hospital. Therefore, we decided to terminate enrollment in the study up to the enrollment of three patients. Table 1 summarizes the clinical characteristics of the three patients.
Table 1.
The clinical characteristics of the three patients.
2.2. Treatment Feasibility and Adverse Events
All enrolled patients completed the prescribed course of treatment, which included 74.4 Gy of CIRT, five courses of 40 mg/m2 cisplatin weekly, and two courses of 1500 mg/body durvalumab administered at weeks two and six. No treatment delays were observed. All treated patients complied with the guidelines for good clinical practice (GCP) and had no protocol violations; thus, safety and efficacy were assessed in these three patients.
Table 2 summarizes the adverse events (AEs) associated with treatment. All patients had grade 3 neutropenia, and one patient (33%) had increased gamma-glutamyl transpeptidase levels. These toxicities improved rapidly after treatment. One patient developed hypothyroidism after treatment. The patient had an increase in free T3 (5.23 pg/mL: normal level of 2.52–4.06 pg/mL) and a decrease in thyroid-stimulating hormone (TSH) (0.07 µIU/mL: normal level of 0.61–4.23 µIU/mL) two months after starting treatment. Subsequently, a decrease in free T3 (1.97 pg/mL) and free T4 (0.40 ng/dL—normal level of 0.75–1.45 ng/dL), and an increase in TSH (24.3 µIU/mL) were observed 14 weeks after the start of treatment. The patient showed no abnormal physical signs. A further decrease in free T3 (<0.67 pg/mL) and free T4 (<0.10 ng/dL) and a further increase in TSH (≥200 µIU/mL) were observed six months after the start of treatment, along with fatigue and facial edema. Based on the course and symptoms, the patient was diagnosed with hypothyroidism. After hospitalization, the patient recovered after treatment with levothyroxine sodium hydrate. None of the AEs, including hypothyroidism, were associated with dose-limiting toxicity (DLT) in the present study. In other words, none of the three patients showed DLT.
Table 2.
Adverse events (possibly, probably, or definitely) attributed to the treatment.
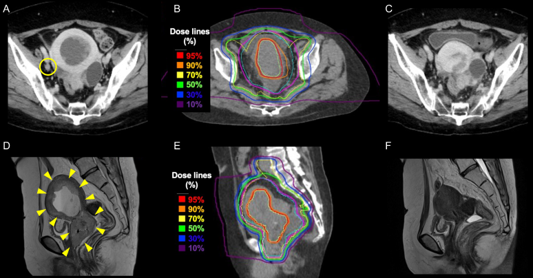
All three patients achieved complete response (CR) within the CIRT region concerning treatment efficacy. Thus, the objective response (OR) and CR rates in this study were 100%. Figure 1 shows representative images of the patients who received treatment. For lesions outside the CIRT irradiation field, one patient developed para-aortic lymph node (PAN) metastasis 42 weeks after the start of treatment. There was no metastasis to other sites, and additional treatment was decided upon for metastatic PAN.
Figure 1.
Representative images of the patients who received the treatment. (A) Pre-treatment axial computed tomography (CT) image. The yellow circles indicate enlarged metastatic lymph nodes. (B) Dose distribution on axial CT. Enlarged metastatic lymph nodes were not observed. (C) Axial CT image obtained three months after treatment. (D) Pre-treatment sagittal magnetic resonance imaging (MRI), T2 weighted image (WI). The tumor invades the area circled by the yellow arrows. (E) Dose distribution on sagittal CT. (F) Sagittal MRI, T2 WI three months after treatment. There was no evidence of residual tumor.
3. Discussion
To our knowledge, this is the first clinical trial to combine CIRT and durvalumab. Although many clinical trials on the combination of RT and ICI have been conducted, this is the first clinical trial to combine CIRT and ICI in the world, and the concurrent use of ICI and CIRT is also highly novel. All three patients achieved CR within the CIRT region, and none developed DLT. Although only three patients were included, the combination of chemo-CIRT and durvalumab appears promising, considering its initial efficacy and safety profile.
There is no doubt that ICIs are effective against many types of cancer. In addition, the clinical significance of the combination of ICI and RT is gaining support [20,21,26,27]. To date, in phase III trials that have shown positive results with the combination of ICI and RT, ICI has been performed as an adjuvant therapy to RT [20,21,27]. However, the optimal timing of ICI therapy for RT remains controversial. Sato et al. reported that the DNA double-strand break repair pathway regulates PD-L1 expression in cancer cells [28]. Their report showed the upregulation of PD-L1 on the tumor cell surface 24–48 h after irradiation [28]. We found a significant upregulation of PD-L1 expression one week after starting CIRT in clinical cervical cancer specimens [25]. These results suggest that irradiation enhances PD-L1 expression on the tumor surface within a few days of the start of irradiation. Considering these facts, it would make sense to use ICI, especially anti-PD-L1 antibody, simultaneously with RT, as in this study. Currently, a phase III trial of durvalumab in combination with CCRT for NSCLC is ongoing [29]. The results of this trial provide important insights into whether durvalumab should be used concurrently with CCRT or as an adjuvant.
Although CIRT has been suggested to be more effective than conventional RT in treating cervical cancer, particularly adenocarcinoma [30], the clinical benefit of CIRT over conventional RT when used in conjunction with ICI remains unclear. However, CIRT may more efficiently elicit an antitumor immune response. Critically, radiation-elicited T-cell activation is mediated by the accumulation of cytosolic DNA in irradiated cells, with consequent activation of the cyclic GMP-AMP synthase (cGAS)/stimulator of interferon (IFN) genes (STING) pathway and downstream production of type-I IFN and other pro-inflammatory cytokines [31]. CIRT is known to cause complex double-strand breaks in DNA owing to its high LET [32], which may result in the efficient activation of T cells via the cGAS-STING pathway. Although further validation of the clinical significance is needed, an anti-PD-L1 antibody that maintains T-cell activation and CIRT may be an ideal combination.
Although the study enrolled only three patients, all patients completed the scheduled treatment and did not develop DLT. Thus, by combining chemo-CIRT and anti-PD-L1 antibodies, our treatment strategy was considered tolerable. A recent meta-analysis of toxicity in a regimen combining ICIs and RT found that the incidence of grade 3–4 toxicity was comparable to an ICI-alone regimen [33]. The Grade 3 neutropenia was likely due to chemo-CIRT, and the concurrent use of durvalumab did not exacerbate this AE. Our results support the findings of their study. It is worth mentioning that the concurrent use of durvalumab did not worsen the AEs of CIRT in the irradiated region, specifically intestinal disturbances. Careful monitoring of the presence and extent of late AEs in the three cases treated in this study is needed. One patient developed hypothyroidism after the treatment. The possibility of hypothyroidism after durvalumab administration is widely known, and this is an AE that can occur with other ICIs [34]. However, it should be noted that hypothyroidism can occur even with short-term durvalumab administration. In our treatment schedule, durvalumab was administered twice during CIRT and was not used as adjuvant therapy. The patient manifested hypothyroidism between three and six months of treatment. This means that patients should be closely monitored after the last dose of durvalumab, even if only a small number of doses are administered and completed. The three patients will continue to be closely monitored.
The primary limitation of this study is the small number of patients, only three patients; while the impact of COVID-19 on patient aggregation was discouraging, validation in a larger number of patients may be warranted. A phase II trial with a larger number of patients is desired in the future. Another limitation is the possibility of bias due to favorable performance status, as well as the fact that the study was conducted in a single country. Currently, only a few centers offer CIRT, though this number is steadily increasing. CIRT combined with chemotherapy containing ICI will be available in many centers in the future.
4. Materials and Methods
4.1. Overview of Study Design
This was a phase 1b, interventional, open-label, single-arm study named the DECISION study (Japan Registry of Clinical Trials: jRCT2031210083). The protocol design was described in a previous report [35]. Japanese or non-Japanese patients who fully understood Japanese were allowed to enroll according to a modified 3 + 3 design, and we assessed the safety of the first three patients. Seven additional patients were planned to be enrolled if no DLT developed in these three patients. If one of the first three patients developed DLT, three additional patients were planned to be enrolled. The study was terminated if two or all of the first three patients developed DLT. The period for evaluating DLTs was set from the start of treatment to 92 days after that. No randomization was intended for patient enrollment. Table 3 describes the DLT used to assess the safety of this study. The study protocol was approved by the Human Research Ethics Committees of QST Hospital (#C21-002, 26 April 2021) and Chiba University (#2021006, 21 April 2021). This study was carried out in accordance with the Helsinki Declaration’s principles.
Table 3.
The dose-limiting toxicities of the present study.
4.2. Protocol Treatment
All patients received 74.4 Gy of CIRT in 20 fractions and concurrent weekly cisplatin at a dose of 40 mg/m2. Durvalumab was administered (1500 mg/body) at weeks two and six. CIRT and cisplatin were administered at the QST Hospital in a way approved by the responsible ministry and relevant radiotherapy society [36]. The modified microdosimetric kinetic model (MKM) was applied to calculate the relative biological effectiveness (RBE) of calculation at our institution [37]. The “Gy” in this paper is the RBE-weighted dose based on the modified MKM. Durvalumab was administered at the Chiba University Hospital. The dosage of durvalumab was based on the CALLA trial, which compared concurrent and adjuvant durvalumab with CCRT versus CCRT alone in patients with locally advanced cervical cancer [38]. The enrolled patients were followed up strictly per the scheduled protocol for one year after CIRT initiation (Figure 2). Supplementary Table S1 summarizes the relevant concomitant care and interventions permitted or prohibited during this study.
Figure 2.
Design of the present study. C-ion RT = carbon-ion radiotherapy; DLT = dose-limiting toxicity; CT = computed tomography; MRI = magnetic resonance imaging.
4.3. Patient Eligibility
This study included patients with locally advanced cervical cancer, as defined by the International Federation of Gynecology and Obstetrics (FIGO) 2018 staging: histologically proven uterine cervical cancer of FIGO stage IIB, IIIA, IIIB, IIIC1, or IVA. This study used physical examination and diagnostic imaging to determine staging rather than surgical diagnosis. Supplementary Table S2 lists the inclusion and exclusion criteria.
4.4. Endpoints
The incidence of AEs and serious AEs, including DLTs, was the primary endpoint. The secondary endpoints were one-year OS, progression-free survival, and the distant metastasis rate. In addition, as secondary endpoints, the OR and CR rates were assessed. Furthermore, tumor tissue and blood were collected before and one week after treatment began. These samples were evaluated as an exploratory goal to assess the relationship between immune response and prognosis.
This paper focuses on the early results for safety and efficacy; thus, it reports the AEs and response rates.
4.5. Evaluation Methods
All data analyses were performed using a predetermined statistical plan. The full analysis set (FAS) included patients receiving at least one dose of durvalumab, one dose of cisplatin, and one session of CIRT. The population of patients that complied with the guidelines for GCP was defined as the safety analysis set (SAS), and AEs in the SAS were evaluated [39]. The per-protocol set (PPS) was the population of patients excluded from the FAS who severely violated the study protocol provisions. The PPS was used to assess treatment effectiveness. Prior to data analysis, the study personnel determined eligibility for the FAS, SAS, and PPS.
All AEs were evaluated using the Common Terminology Criteria for Adverse Events version 5.0 [40]. The DLTs were assessed from the start of treatment until 92 days later. An independent data-monitoring committee confirmed all AEs and DLTs.
Regarding efficacy analyses, the OR was the percentage of patients with CR or partial response among the PPS that could be evaluated, as confirmed based on Response Evaluation Criteria in Solid Tumors version 1.1 [41]. The evaluation was based on imaging assessments, including CT and MRI. Figure 2 includes the time points for each imaging diagnosis. CR means the disappearance of all target and non-target lesions as determined at the 28-week assessment in this study. No interim analysis was performed for safety or efficacy in the present study.
5. Conclusions
In conclusion, we reported the early safety and efficacy results of combining chemo-CIRT and durvalumab for locally advanced cervical cancer. The long-term follow-up of this dataset and the immune response in these patient samples will be reported in future articles.
Supplementary Materials
The following supporting information can be downloaded at: https://www.mdpi.com/article/10.3390/ijms241310565/s1.
Author Contributions
N.O., K.M., S.Y., H.H., M.S. and H.U. conceptualized the study with assistance from M.H. (Makoto Hori), T.K., Y.I., T.F., Y.F., M.H. (Michiko Hanawa), Y.K., Y.H. (Yoko Hattori), K.S., K.T., M.W., S.H. and H.T.; N.O., K.M., S.Y., M.K., H.I., H.H., M.S., H.T. and H.U. developed the design of this study. N.O., K.M., M.H. (Makoto Hori), M.H. (Michiko Hanawa), Y.H. (Yoko Hattori), K.S. and K.T. developed and prepared the database for this study. All authors validated the overall results of the research outputs. N.O. and Y.K. performed the formal analysis of this study. K.M., Y.H. (Yuji Habu) and H.U. examined patients and provided treatments. M.H. (Michiko Hanawa), Y.H. (Yoko Hattori), K.S. and K.T. performed data curation. N.O., K.M. and H.U. drafted the manuscript. N.O., M.K., H.I., H.H., M.S., H.T. and H.U. coordinated manuscript revisions. N.O., K.M., S.Y. and H.U. managed and coordinated the research activity planning and execution. N.O. and S.Y. obtained the research funding. All authors have read and agreed to the published version of the manuscript.
Funding
This study was supported by AstraZeneca (ESR-19-20362). This study was also supported by the management expense grants for national universities and institutes. This work was also supported by management expense grants from the National Institutes for Quantum Science and Technology, Chiba, Japan.
Institutional Review Board Statement
The study was conducted in accordance with the Declaration of Helsinki and approved by the Institutional Review Board of QST Hospital (#C21-002, 26 April 2021) and Chiba University (#2021006, 21 April 2021).
Informed Consent Statement
Informed consent was obtained from all subjects involved in the study. Written informed consent has been obtained from the patients to publish this paper.
Data Availability Statement
The data is unavailable because the data related to this study belong to AstraZeneca.
Acknowledgments
The authors would like to thank Miwa Saito, Yoko Kaneko, Emi Kabasawa, Kokoro Someya, Tamiki Hikake, Eri Imanishi, Emiko Miyahara, and Eri Matsuura for helpful discussions on the protocol and database construction. The first author is deeply grateful to Toshio Hirano (ex-president of QST) for providing the opportunity to begin this research.
Conflicts of Interest
The authors declare they have no other competing interests.
References
- Sung, H.; Ferlay, J.; Siegel, R.L.; Laversanne, M.; Soerjomataram, I.; Jemal, A.; Bray, F. Global cancer statistics 2020: GLOBOCAN estimates of incidence and mortality worldwide for 36 cancers in 185 countries. CA Cancer J. Clin. 2021, 71, 209–249. [Google Scholar] [CrossRef]
- NCCN Guidelines Ver 1. Cervical Cancer. Available online: https://www.nccn.org/professionals/physician_gls/pdf/cervical.pdf (accessed on 21 March 2023).
- Green, J.A.; Kirwan, J.M.; Tierney, J.F.; Symonds, P.; Fresco, L.; Collingwood, M.; Williams, C.J. Survival and recurrence after concomitant chemotherapy and radiotherapy for cancer of the uterine cervix: A systematic review and meta-analysis. Lancet. 2001, 358, 781–786. [Google Scholar] [CrossRef] [PubMed]
- Vale, C.; Tierney, J.; Stewart, L. Concomitant chemoradiotherapy for cervical cancer: A systematic review and meta-analysis of individual patient data. Gynecol. Oncol. 2006, 10, 442–443. [Google Scholar] [CrossRef] [PubMed]
- Chemoradiotherapy for Cervical Cancer Meta-Analysis Collaboration. Reducing uncertainties about the effects of chemoradiotherapy for cervical cancer: A systematic review and meta-analysis of individual patient data from 18 randomized trials. J. Clin. Oncol. 2008, 26, 5802–5812. [Google Scholar] [CrossRef] [PubMed]
- Haie-Meder, C.; Pötter, R.; Van Limbergen, E.; Briot, E.; De Brabandere, M.; Dimopoulos, J.; Dumas, I.; Hellebust, T.P.; Kirisits, C.; Lang, S.; et al. Recommendations from Gynaecological (GYN) GEC-ESTRO working group (I): Concepts and terms in 3D image based 3D treatment planning in cervix cancer brachytherapy with emphasis on MRI assessment of GTV and CTV. Radiother. Oncol. 2005, 74, 235–245. [Google Scholar] [CrossRef] [PubMed]
- Pötter, R.; Haie-Meder, C.; Van Limbergen, E.; Barillot, I.; De Brabandere, M.; Dimopoulos, J.; Dumas, I.; Erickson, B.; Lang, S.; Nulens, A.; et al. Recommendations from gynaecological (GYN) GEC ESTRO working group (II): Concepts and terms in 3D image-based treatment planning in cervix cancer brachytherapy-3D dose volume parameters and aspects of 3D image-based anatomy, radiation physics, radiobiology. Radiother. Oncol. 2006, 78, 67–77. [Google Scholar] [CrossRef]
- Pötter, R.; Tanderup, K.; Schmid, M.P.; Jürgenliemk-Schulz, I.; Haie-Meder, C.; Fokdal, L.U.; Sturdza, A.E.; Hoskin, P.; Mahantshetty, U.; Segedin, B.; et al. MRI-guided adaptive brachytherapy in locally advanced cervical cancer (EMBRACE-I): A multicentre prospective cohort study. Lancet Oncol. 2021, 22, 538–547. [Google Scholar] [CrossRef]
- Minkoff, D.; Gill, B.S.; Kang, J.; Beriwal, S. Cervical cancer outcome prediction to high-dose rate brachytherapy using quantitative magnetic resonance imaging analysis of tumor response to external beam radiotherapy. Radiother. Oncol. 2015, 115, 78–83. [Google Scholar] [CrossRef]
- Kusada, T.; Toita, T.; Ariga, T.; Maemoto, H.; Hashimoto, S.; Shiina, H.; Kakinohana, Y.; Heianna, J.; Nagai, Y.; Kudaka, W.; et al. Computed tomography-based image-guided brachytherapy for cervical cancer: Correlations between dose-volume parameters and clinical outcomes. J. Radiat. Res. 2018, 59, 67–76. [Google Scholar] [CrossRef]
- Yokoi, E.; Mabuchi, S.; Takahashi, R.; Matsumoto, Y.; Kuroda, H.; Kozasa, K.; Kimura, T. Impact of histological subtype on survival in patients with locally advanced cervical cancer that were treated with definitive radiotherapy: Adenocarcinoma/adenosquamous carcinoma versus squamous cell carcinoma. J. Gynecol. Oncol. 2017, 28, e19. [Google Scholar] [CrossRef]
- Kamada, T.; Tsujii, H.; Blakely, E.A.; Debus, J.; De Neve, W.; Durante, M.; Jäkel, O.; Mayer, R.; Orecchia, R.; Pötter, R.; et al. Carbon ion radiotherapy in Japan: An assessment of 20 years of clinical experience. Lancet Oncol. 2015, 16, e93–e100. [Google Scholar] [CrossRef] [PubMed]
- Okonogi, N.; Wakatsuki, M.; Kato, S.; Shiba, S.; Kobayashi, D.; Kiyohara, H.; Karasawa, K.; Ohno, T.; Nakano, T.; Kamada, T.; et al. Long-term outcomes of carbon-ion radiotherapy for locally advanced squamous cell carcinoma of the uterine cervix. Anticancer Res. 2018, 38, 457–463. [Google Scholar] [CrossRef] [PubMed]
- Wakatsuki, M.; Kato, S.; Ohno, T.; Karasawa, K.; Kiyohara, H.; Tamaki, T.; Ando, K.; Tsujii, H.; Nakano, T.; Kamada, T.; et al. Clinical outcomes of carbon ion radiotherapy for locally advanced adenocarcinoma of the uterine cervix in phase 1/2 clinical trial (protocol 9704). Cancer 2014, 120, 1663–1669. [Google Scholar] [CrossRef]
- Okonogi, N.; Wakatsuki, M.; Kato, S.; Karasawa, K.; Kiyohara, H.; Shiba, S.; Kobayashi, D.; Nakano, T.; Kamada, T.; Shozu, M.; et al. Clinical outcomes of carbon ion radiotherapy with concurrent chemotherapy for locally advanced uterine cervical adenocarcinoma in a phase 1/2 clinical trial (Protocol 1001). Cancer Med. 2018, 7, 351–359. [Google Scholar] [CrossRef] [PubMed]
- Okonogi, N.; Wakatsuki, M.; Kato, S.; Murata, H.; Kiyohara, H.; Karasawa, K.; Ohno, T.; Tsuji, H.; Nakano, T.; Shozu, M.; et al. Significance of concurrent use of weekly cisplatin in carbon-ion radiotherapy for locally advanced adenocarcinoma of the uterine cervix: A propensity score-matched analysis. Cancer Med. 2020, 9, 1400–1408. [Google Scholar] [CrossRef] [PubMed]
- Wang, L.; Wang, X.; Zhang, Q.; Ran, J.; Geng, Y.; Feng, S.; Li, C.; Zhao, X. Is there a role for carbon therapy in the treatment of gynecological carcinomas? A systematic review. Future Oncol. 2019, 15, 3081–3095. [Google Scholar] [CrossRef] [PubMed]
- Keir, M.E.; Butte, M.J.; Freeman, G.J.; Sharpe, A.H. PD-1 and its ligands in tolerance and immunity. Annu. Rev. Immunol. 2008, 26, 677–704. [Google Scholar] [CrossRef]
- Okazaki, T.; Honjo, T. PD-1 and PD-1 ligands: From discovery to clinical application. Int. Immunol. 2007, 19, 813–824. [Google Scholar] [CrossRef]
- Antonia, S.J.; Villegas, A.; Daniel, D.; Vicente, D.; Murakami, S.; Hui, R.; Yokoi, T.; Chiappori, A.; Lee, K.H.; de Wit, M.; et al. Durvalumab after chemoradiotherapy in stage III non-small-cell lung cancer. N. Engl. J. Med. 2017, 377, 1919–1929. [Google Scholar] [CrossRef]
- Antonia, S.J.; Villegas, A.; Daniel, D.; Vicente, D.; Murakami, S.; Hui, R.; Kurata, T.; Chiappori, A.; Lee, K.H.; de Wit, M.; et al. Overall survival with durvalumab after chemoradiotherapy in stage III NSCLC. N. Engl. J. Med. 2018, 379, 2342–2350. [Google Scholar] [CrossRef]
- Schmid, P.; Adams, S.; Rugo, H.S.; Schneeweiss, A.; Barrios, C.H.; Iwata, H.; Diéras, V.; Hegg, R.; Im, S.A.; Shaw Wright, G.; et al. Atezolizumab and Nab-Paclitaxel in Advanced Triple-Negative Breast Cancer. N. Engl. J. Med. 2018, 379, 2108–2121. [Google Scholar] [CrossRef]
- Finn, R.S.; Qin, S.; Ikeda, M.; Galle, P.R.; Ducreux, M.; Kim, T.Y.; Kudo, M.; Breder, V.; Merle, P.; Kaseb, A.O.; et al. Atezolizumab plus Bevacizumab in Unresectable Hepatocellular Carcinoma. N. Engl. J. Med. 2020, 382, 1894–1905. [Google Scholar] [CrossRef] [PubMed]
- Sato, H.; Okonogi, N.; Nakano, T. Rationale of combination of anti-PD-1/PD-L1 antibody therapy and radiotherapy for cancer treatment. Int. J. Clin. Oncol. 2020, 25, 801–809. [Google Scholar] [CrossRef] [PubMed]
- Iijima, M.; Okonogi, N.; Nakajima, N.I.; Morokoshi, Y.; Kanda, H.; Yamada, T.; Kobayashi, Y.; Banno, K.; Wakatsuki, M.; Yamada, S.; et al. Significance of PD-L1 expression in carbon-ion radiotherapy for uterine cervical adeno/adenosquamous carcinoma. J. Gynecol. Oncol. 2020, 31, e19. [Google Scholar] [CrossRef]
- Postow, M.A.; Callahan, M.K.; Barker, C.A.; Yamada, Y.; Yuan, J.; Kitano, S.; Mu, Z.; Rasalan, T.; Adamow, M.; Ritter, E.; et al. Immunologic correlates of the abscopal effect in a patient with melanoma. N. Engl. J. Med. 2012, 366, 925–931. [Google Scholar] [CrossRef]
- Kelly, R.J.; Ajani, J.A.; Kuzdzal, J.; Zander, T.; Van Cutsem, E.; Piessen, G.; Mendez, G.; Feliciano, J.; Motoyama, S.; Lièvre, A.; et al. Adjuvant Nivolumab in Resected Esophageal or Gastroesophageal Junction Cancer. N. Engl. J. Med. 2021, 384, 1191–1203. [Google Scholar] [CrossRef] [PubMed]
- Sato, H.; Niimi, A.; Yasuhara, T.; Permata, T.B.M.; Hagiwara, Y.; Isono, M.; Nuryadi, E.; Sekine, R.; Oike, T.; Kakoti, S.; et al. DNA double-strand break repair pathway regulates PD-L1 expression in cancer cells. Nat. Commun. 2017, 8, 1751. [Google Scholar] [CrossRef]
- Bradley, J.D.; Nishio, M.; Okamoto, I.; Newton, M.D.; Trani, L.; Shire, N.J.; Gu, Y.; Dennis, P.A.; Lee, K.H. PACIFIC-2: Phase 3 study of concurrent durvalumab and platinum-based chemoradiotherapy in patients with unresectable, stage III NSCLC. J. Clin. Oncol. 2019, 37 (Suppl. 15), TPS8573. [Google Scholar] [CrossRef]
- Okonogi, N.; Ando, K.; Murata, K.; Wakatsuki, M.; Noda, S.E.; Irie, D.; Tsuji, H.; Shozu, M.; Ohno, T. Multi-Institutional Retrospective Analysis of Carbon-Ion Radiotherapy for Patients with Locally Advanced Adenocarcinoma of the Uterine Cervix. Cancers 2021, 13, 2713. [Google Scholar] [CrossRef] [PubMed]
- Lhuillier, C.; Rudqvist, N.P.; Elemento, O.; Formenti, S.C.; Demaria, S. Radiation therapy and anti-tumor immunity: Exposing immunogenic mutations to the immune system. Genome Med. 2019, 11, 40. [Google Scholar] [CrossRef]
- Oike, T.; Niimi, A.; Okonogi, N.; Murata, K.; Matsumura, A.; Noda, S.E.; Kobayashi, D.; Iwanaga, M.; Tsuchida, K.; Kanai, T.; et al. Visualization of complex DNA double-strand breaks in a tumor treated with carbon ion radiotherapy. Sci. Rep. 2016, 6, 22275. [Google Scholar] [CrossRef] [PubMed]
- Sha, C.M.; Lehrer, E.J.; Hwang, C.; Trifiletti, D.M.; Mackley, H.B.; Drabick, J.J.; Zaorsky, N.G. Toxicity in combination immune checkpoint inhibitor and radiation therapy: A systematic review and meta-analysis. Radiother. Oncol. 2020, 151, 141–148. [Google Scholar] [CrossRef] [PubMed]
- El Sabbagh, R.; Azar, N.S.; Eid, A.A.; Azar, S.T. Thyroid Dysfunctions Due to Immune Checkpoint Inhibitors: A Review. Int. J. Gen. Med. 2020, 13, 1003–1009. [Google Scholar] [CrossRef]
- Okonogi, N.; Usui, H.; Murata, K.; Hori, M.; Kurokawa, T.; Fujiwara, T.; Fujii, Y.; Hanawa, M.; Kawasaki, Y.; Hattori, Y.; et al. Phase Ib study of durvalumab (MEDI4736) in combination with carbon-ion radiotherapy and weekly cisplatin for patients with locally advanced cervical cancer (DECISION study): Study protocol for a prospective open-label single-arm study. BMJ Open 2022, 12, e056424. [Google Scholar] [CrossRef] [PubMed]
- Japanese Society for Radiation Oncology. Authorized Treatment Policy of Carbon-Ion Radiotherapy for Locally Advanced Cervical Cancer. Available online: https://www.jastro.or.jp/medicalpersonnel/particle_beam/2022/07/post-10.html (accessed on 21 March 2023). (in Japanese).
- Inaniwa, T.; Furukawa, T.; Kase, Y.; Matsufuji, N.; Toshito, T.; Matsumoto, Y.; Furusawa, Y.; Noda, K. Treatment planning for a scanned carbon beam with a modified microdosimetric kinetic model. Phys. Med. Biol. 2010, 55, 6721–6737. [Google Scholar] [CrossRef] [PubMed]
- Mayadev, J.; Nunes, A.T.; Li, M.; Marcovitz, M.; Lanasa, M.C.; Monk, B.J. CALLA: Efficacy and safety of concurrent and adjuvant durvalumab with chemoradiotherapy versus chemoradiotherapy alone in women with locally advanced cervical cancer: A phase III, randomized, double-blind, multicenter study. Int. J. Gynecol. Cancer 2020, 30, 1065–1070. [Google Scholar] [CrossRef] [PubMed]
- Integrated Addendum to ICH E6 (R1): Guideline for Good Clinical Practice. Available online: https://database.ich.org/sites/default/files/E6_R2_Addendum.pdf (accessed on 21 March 2023).
- Common Terminology Criteria for Adverse Events (CTCAE) Version 5.0. Available online: https://ctep.cancer.gov/protocoldevelopment/electronic_applications/docs/ctcae_v5_quick_reference_5x7.pdf (accessed on 21 March 2023).
- Eisenhauer, E.A.; Therasse, P.; Bogaerts, J.; Schwartz, L.H.; Sargent, D.; Ford, R.; Dancey, J.; Arbuck, S.; Gwyther, S.; Mooney, M.; et al. New response evaluation criteria in solid tumours: Revised RECIST guideline (version 1.1). Eur. J. Cancer 2009, 45, 228–247. [Google Scholar] [CrossRef]
Disclaimer/Publisher’s Note: The statements, opinions and data contained in all publications are solely those of the individual author(s) and contributor(s) and not of MDPI and/or the editor(s). MDPI and/or the editor(s) disclaim responsibility for any injury to people or property resulting from any ideas, methods, instructions or products referred to in the content. |
© 2023 by the authors. Licensee MDPI, Basel, Switzerland. This article is an open access article distributed under the terms and conditions of the Creative Commons Attribution (CC BY) license (https://creativecommons.org/licenses/by/4.0/).

