TRPM8 Channel Activation Reduces the Spontaneous Contractions in Human Distal Colon
Abstract
1. Introduction
2. Results
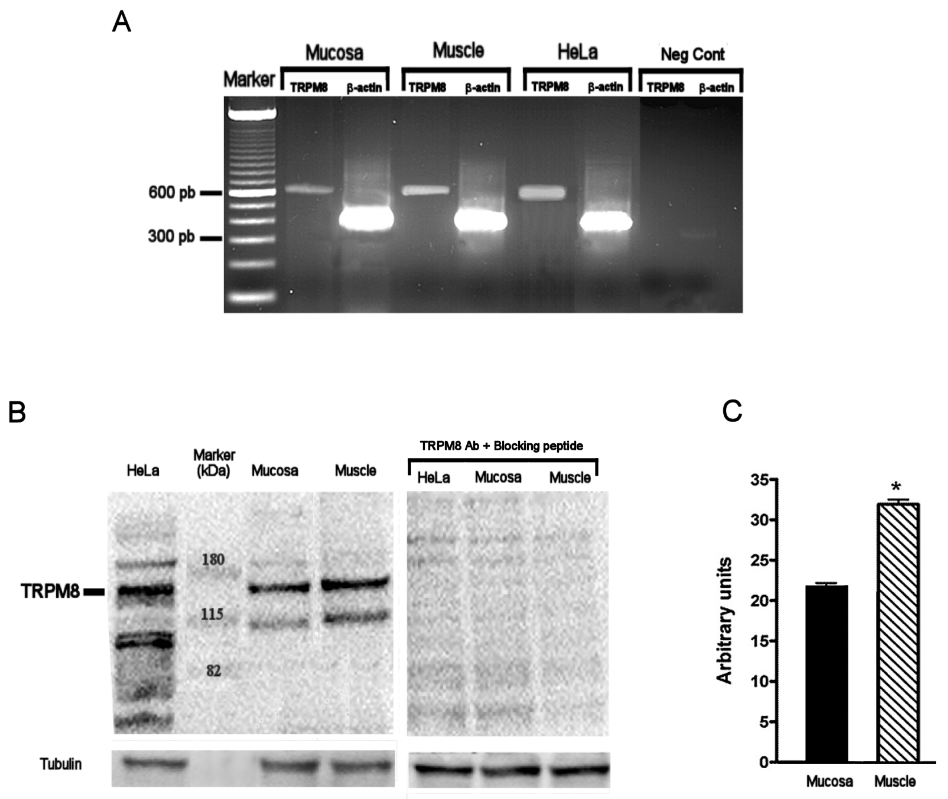
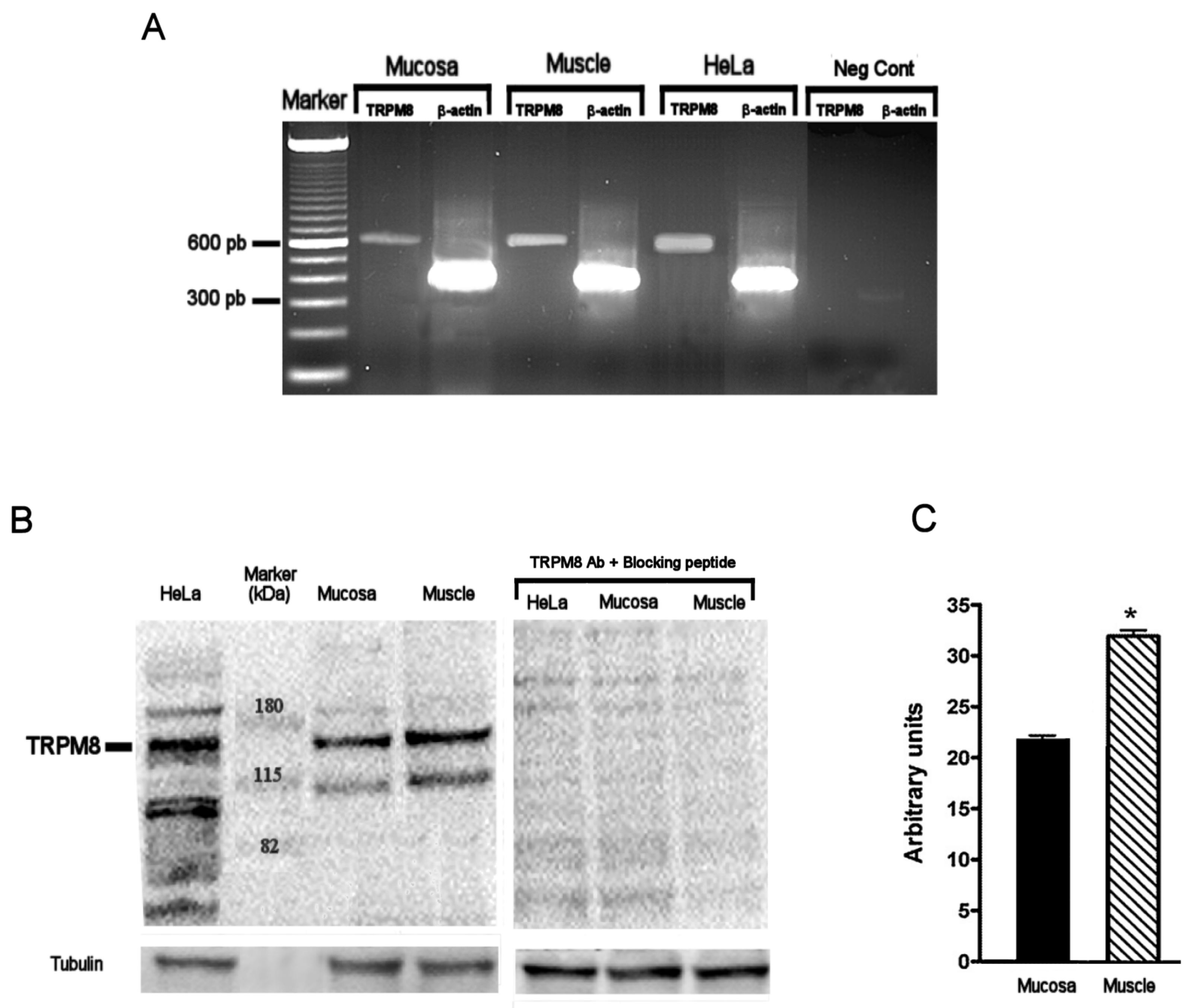
2.1. TRPM8 Gene and Protein Expression in Human Distal Colon
2.2. Functional Studies
3. Discussion
4. Materials and Methods
4.1. Human Tissue Specimens
4.2. TRPM8 Expression Analysis
4.3. Preparation of Circular Muscle Strips and Experimental Protocol
4.4. Drugs
4.5. Data and Statistical Analysis
5. Conclusions
Supplementary Materials
Author Contributions
Funding
Acknowledgments
Conflicts of Interest
Abbreviations
| 5-BT | 5-benzyloxytryptamine |
| ARNAS | Azienda di Rilievo Nazionale ad Alta Specializzazione-Highly Specialized National Relief Hospital |
| BKCa | Large-conductance calcium-activated potassium channels |
| CCh | Carbachol |
| CHO | Chinese hamster ovary cells |
| Cls | 95% confidence limits |
| DAPA | 1-[Dialkyl-phosphinoyl]-alkane |
| DED | Dry eye disease |
| DIPA | 1-[Diisopropyl-phosphinoyl]-alkane |
| DMSO | Dimethylsulphoxide |
| EC50 | Half-maximum response |
| Emax | Maximum effect |
| HeLa | Human epithelial carcinoma cell line |
| HRP | Horseradish peroxidase |
| IBD | Inflammatory bowel disease |
| IBS | Irritable bowel syndrome |
| IbTX | Iberiotoxin |
| KCl | Potassium chloride |
| KDa | Kilodalton |
| RIPA | Radioimmunoprecipitation assay |
| RNA | Ribonucleic Acid |
| RT-PCR | Reverse transcriptase-polymerase chain reaction |
| SEM | Error of the mean |
| TEA | Tetraethylammonium chloride |
| TRP | Transient receptor potential |
| TRPM8 | Transient receptor potential melastatin 8 |
| TTX | Tetrodotoxin |
References
- Beckers, A.B.; Weerts, Z.Z.R.M.; Helyes, Z.; Masclee, A.A.M.; Keszthelyi, D. Review article: Transient receptor potential channels as possible therapeutic targets in irritable bowel syndrome. Aliment. Pharmacol. Ther. 2017, 46, 938–952. [Google Scholar] [CrossRef] [PubMed]
- Huang, Y.; Fliegert, R.; Guse, A.H.; Lü, W.; Du, J. A Structural overview of the ion channels of the TRPM family. Cell Calcium 2020, 85, 102111. [Google Scholar] [CrossRef] [PubMed]
- Clapham, D.E. TRP channels as cellular sensors. Nature 2003, 426, 517–524. [Google Scholar] [CrossRef] [PubMed]
- De Jong, P.R.; Takahashi, N.; Peiris, M.; Bertin, S.; Lee, J.; Gareau, M.G.; Paniagua, A.; Harris, A.R.; Herdman, D.S.; Corr, M.; et al. TRPM8 on mucosal sensory nerves regulates colitogenic responses by innate immune cells via CGRP. Mucosal Immunol. 2015, 8, 491–504. [Google Scholar] [CrossRef] [PubMed]
- Almaraz, L.; Manenschijn, J.A.; de la Peña, E.; Viana, F. TRPM8. In Mammalian Transient Receptor Potential (TRP) Cation Channels; Nilius, B., Flockerzi, V., Eds.; Springer: Berlin/Heidelberg, Germany, 2014. [Google Scholar]
- Zakharian, E.; Cao, C.; Rohacs, T. Gating of transient receptor potential melastatin 8 (TRPM8) channels activated by cold and chemical agonists in planar lipid bilayers. J. Neurosci. 2010, 30, 12526–12534. [Google Scholar] [CrossRef]
- Dhaka, A.; Earley, T.J.; Watson, J.; Patapoutian, A. Visualizing cold spots: TRPM8-expressing sensory neurons and their projections. J. Neurosci. 2008, 28, 566–575. [Google Scholar] [CrossRef]
- Hayashi, T.; Kondo, T.; Ishimatsu, M.; Yamada, S.; Nakamura, K.; Matsuoka, K.; Akasu, T. Expression of the TRPM8-immunoreactivity in dorsal root ganglion neurons innervating the rat urinary bladder. Neurosci. Res. 2009, 65, 245–251. [Google Scholar] [CrossRef]
- Fisher, J.T. TRPM8 and dyspnea: From the frigid and fascinating past to the cool future? Curr. Opin. Pharmacol. 2011, 11, 218–223. [Google Scholar] [CrossRef]
- Tsavaler, L.; Shapero, M.H.; Morkowski, S.; Laus, R. Trp-p8, a novel prostate-specific gene, is up-regulated in prostate cancer and other malignancies and shares high homology with transient receptor potential calcium channel proteins. Cancer Res. 2001, 61, 3760–3769. [Google Scholar] [PubMed]
- Ramachandran, R.; Hyun, E.; Zhao, L.; Lapointe, T.K.; Chapman, K.; Hirota, C.L.; Ghosh, S.; McKemy, D.D.; Vergnolle, N.; Beck, P.; et al. TRPM8 activation attenuates inflammatory responses in mouse models of colitis. Proc. Natl. Acad. Sci. USA 2013, 110, 7476–7481. [Google Scholar] [CrossRef]
- Henstroem, M.; Hadizadeh, F.; Beyder, A.; Bonfiglio, F.; Zheng, T.; Assadi, G.; Rafter, J.; Bujanda, L.; Agreus, L.; Andreasson, A.; et al. TRPM8 polymorphisms associated with increased risk of IBS-C and IBS-M. Gut 2017, 66, 1725–1728. [Google Scholar] [CrossRef] [PubMed]
- Alvarez-Berdugo, D.; Rofes, L.; Casamitjana, J.F.; Enrique, A.; Chamizo, J.; Vina, C.; Pollan, C.M.; Clave, P. TRPM8, ASIC1, and ASIC3 localization and expression in the human oropharynx. Neurogastroenterol. Motil. 2018, 30, e13398. [Google Scholar] [CrossRef] [PubMed]
- Bonvini, S.J.; Belvisi, M.G. Cough and airway disease: The role of ion channels. Pulm. Pharmacol. Ther. 2017, 47, 21–28. [Google Scholar] [CrossRef] [PubMed]
- Huang, F.; Ni, M.; Zhang, J.M.; Li, D.J.; Shen, F.M. TRPM8 downregulation by angiotensin II in vascular smooth muscle cells is involved in hypertension. Mol. Med. Rep. 2017, 15, 1900–1908. [Google Scholar] [CrossRef] [PubMed]
- Anderson, K.J.; Cormier, R.T.; Scott, P.M. Role of ion channels in gastrointestinal cancer. World J. Gastroenterol. 2019, 25, 5732–5772. [Google Scholar] [CrossRef] [PubMed]
- Zhang, L.; Jones, S.; Brody, K.; Costa, M.; Brookes, S.J. Thermosensitive transient receptor potential channels in vagal afferent neurons of the mouse. Am. J. Physiol. Gastrointest. Liver Physiol. 2004, 286, G983–G991. [Google Scholar] [CrossRef] [PubMed]
- Penuelas, A.; Tashima, K.; Tsuchiya, S.; Matsumoto, K.; Nakamura, T.; Horie, S.; Yano, S. Contractile effect of TRPA1 receptor agonists in the isolated mouse intestine. Eur. J. Pharmacol. 2007, 576, 143–150. [Google Scholar] [CrossRef]
- Harrington, A.M.; Hughes, P.A.; Martin, C.M.; Yang, J.; Castro, J.; Isaacs, N.J.; Blackshaw, L.A.; Brierley, S.M. A novel role for TRPM8 in visceral afferent function. Pain 2011, 152, 1459–1468. [Google Scholar] [CrossRef]
- Mustafa, S.; Oriowo, M. Cooling-induced contraction of the rat gastric fundus: Mediation via transient receptor potential (TRP) cation channel TRPM8 receptor and Rho-kinase activation. Clin. Exp. Pharm. Physiol. 2005, 32, 832–838. [Google Scholar] [CrossRef]
- Hosoya, T.; Matsumoto, K.; Tashima, K.; Nakamura, H.; Fujino, H.; Murayama, T.; Horie, S. TRPM8 has a key role in experimental colitis-induced visceral hyperalgesia in mice. Neurogastroenterol. Motil. 2014, 26, 1112–1121. [Google Scholar] [CrossRef]
- Amato, A.; Liotta, R.; Mulè, F. Effects of menthol on circular smooth muscle of human colon: Analysis of the mechanism of action. Eur J. Pharmacol. 2014, 740, 295–301. [Google Scholar] [CrossRef] [PubMed]
- Holzer, P.; Lembeck, F. Longitudinal contraction of isolated guinea-pig ileum induced by rapid cooling. Naunyn Schmiedebergs Arch. Pharmacol. 1979, 310, 169–174. [Google Scholar] [CrossRef] [PubMed]
- González-Muñiz, R.; Bonache, M.A.; Martín-Escura, C.; Gómez-Monterrey, I. Recent progress in TRPM8 modulation: An update. Int J. Mol Sci. 2019, 20, 2618. [Google Scholar] [CrossRef] [PubMed]
- Millqvist, E. TRPV1 and TRPM8 in treatment of chronic cough. Pharmaceuticals 2016, 9, 45. [Google Scholar] [CrossRef]
- Yang, J.M.; Li, F.; Liu, Q.; Rüedi, M.; Wei, E.T.; Lentsman, M.; Lee, H.S.; Choi, W.; Kim, S.J.; Yoon, K.C. A novel TRPM8 agonist relieves dry eye discomfort. BMC Ophthalmol. 2017, 17, 101. [Google Scholar] [CrossRef]
- Wei, E.T.; Thomas, H.A. Anti-inflammatory peptide agonists. Annu Rev. Pharmacol. Toxicol. 1993, 33, 91–108. [Google Scholar] [CrossRef]
- Bodding, M.; Wissenbach, U.; Flockerzi, V. Characterisation of TRPM8 as a pharmacophore receptor. Cell Calcium 2007, 42, 618–628. [Google Scholar] [CrossRef]
- Liu, Y.; Qin, N. TRPM8 in health and disease: Cold sensing and beyond. Adv. Exp. Med. Biol. 2011, 704, 185–208. [Google Scholar] [PubMed]
- McKemy, D.D.; Neuhausser, W.M.; Julius, D. Identification of a cold receptor reveals a general role for TRP channels in thermosensation. Nature 2002, 416, 52–58. [Google Scholar] [CrossRef]
- Mueller-Tribbensee, S.M.; Karna, M.; Khalil, M.; Neurath, M.F.; Reeh, P.W.; Engel, M.A. Differential contribution of TRPA1, TRPV4 and TRPM8 to colonic nociception in mice. PLoS ONE 2015, 10, e0128242. [Google Scholar] [CrossRef]
- Blackshaw, L.A. Transient receptor potential cation channels in visceral sensory pathways. Br. J. Pharmacol. 2014, 171, 2528–2536. [Google Scholar] [CrossRef] [PubMed]
- Khanna, R.; MacDonald, J.K.; Levesque, B.G. Peppermint oil for the treatment of irritable bowel syndrome: A systematic review and meta-analysis. J. Clin. Gastroenterol. 2014, 48, 505–512. [Google Scholar] [CrossRef] [PubMed]
- Yee, N.S. TRPM8 Ion channels as potential cancer biomarker and target in pancreatic cancer. Adv. Protein Chem. Struct. Biol. 2016, 104, 127–155. [Google Scholar] [PubMed]
- Weyer, A.D.; Lehto, S.G. Development of TRPM8 antagonists to treat chronic pain and migraine. Pharmaceuticals 2017, 10, 37. [Google Scholar] [CrossRef] [PubMed]
- McKemy, D.D. Therapeutic potential of TRPM8 modulators. Open Drug Discov. J. 2010, 2, 81–88. [Google Scholar] [CrossRef]
- DeFalco, J.; Duncton, M.A.J.; Emerling, D. TRPM8 biology and medicinal chemistry. Curr. Top. Med. Chem. 2011, 11, 2237–2252. [Google Scholar] [CrossRef]
- ShailendraKapoor, M.D. TRPM8 antagonists and their emerging role in the modulation of pain and allodynia. Biochem. Biophys. Res. Commun. 2012, 420, 937. [Google Scholar] [CrossRef]
- Journigan, V.B.; Zaveri, N.T. TRPM8 ion channel ligands for new therapeutic applications and as probes to study menthol pharmacology. Life Sci. 2013, 92, 425–437. [Google Scholar] [CrossRef]
- Wei, E.T. Di-isopropyl-phosphinoyl-alkanes as topical agents for the treatment of sensory discomfort. U.S. Patent 20,150,164,924, 18 June 2015. [Google Scholar]
- Wei, E.T. Anti-Inflammatory Compositions and Method with Corticotropin-Releasing Factor Analogs. U.S. Patent 4,801,612, 1999. [Google Scholar]
- DeFalco, J.; Steiger, D.; Dourado, M.; Emerling, D.; Duncton, M.A.J. 5-benzyloxytryptamine as an Antagonist of TRPM8. Bioorg. Med. Chem. Lett. 2010, 20, 7076–7079. [Google Scholar] [CrossRef]
- Koh, S.D.; Ward, S.M.; Dick, G.M.; Epperson, A.; Bonner, H.P.; Sanders, K.M.; Horowitz, B.; Kenyon, J.L. Contribution of delayed rectifier potassium currents to the electrical activity of murine colonic smooth muscle. J. Physiol. 1999, 515, 475–487. [Google Scholar] [CrossRef]
- Silva, D.F.; Araújo, I.G.A.; Albuquerque, J.G.F.; Porto, D.L.; Dias, K.L.G.; Cavalcante, K.V.M.; Veras, R.C.; Nunes, X.P.; Barbosa-Filho, J.M.; Araújo, D.A.M. Rotundifolone-induced Relaxation Is Mediated by BK(Ca) Channel Activation and Ca(v) Channel Inactivation. Basic Clin. Pharmacol. Toxicol. 2011, 109, 465–475. [Google Scholar] [CrossRef] [PubMed]
- Silva, D.F.; de Almeida, M.M.; Chaves, C.G.; Braz, A.L.; Gomes, M.A.; Pinho-da-Silva, L.; Pesquero, J.L.; Andrade, V.A.; Leite, M.F.; de Albuquerque, J.G.; et al. TRPM8 channel activation induced by monoterpenoid rotundifolone underlies mesenteric artery relaxation. PLoS ONE 2015, 10, e0143171. [Google Scholar] [CrossRef] [PubMed]
- Silva, D.F.; Wenceslau, C.F.; Mccarthy, C.G.; Szasz, T.; Ogbi, S.; Webb, R.C. TRPM8 channel activation triggers relaxation of pudendal artery with increased sensitivity in the hypertensive rats. Pharmacol. Res. 2019, 147, 104329. [Google Scholar] [CrossRef] [PubMed]
- Ulasli, M.; Gurses, S.A.; Bayraktar, R.; Yumrutas, O.; Oztuzcu, S.; Igci, M.; Igci, Y.Z.; Cakmak, E.A.; Arslan, A. The effects of Nigella Sativa (Ns), Anthemis Hyalina (Ah) and Citrus Sinensis (Cs) extracts on the replication of coronavirus and the expression of TRP Genes Family. Mol. Biol. Rep. 2014, 41, 1703–1711. [Google Scholar] [CrossRef]
- Amato, A.; Baldassano, S.; Liotta, R.; Serio, R.; Mulè, F. Exogenous glucagon-like peptide 1 reduces contractions in human colon circular muscle. J. Endocrinol. 2014, 221, 29–37. [Google Scholar] [CrossRef]
- Wei, E.T. Dialkyl-Phosphinoyl-Alkane (DAPA) Compounds and Compositions for Treatment of Lower Gastrointestinal Tract Disorders. U.S. Patent 20,170,189,428, 6 July 2017. [Google Scholar]
- Kim, H.J.; La, J.H.; Kim, H.M.; Yang, I.S.; Sung, T.S. Anti-diarrheal effect of Scutellaria baicalensis is associated with suppression of smooth muscle in the rat colon. Exp. Ther. Med. 2019, 17, 4748–4756. [Google Scholar] [CrossRef]





| TRPM8 Agonist | Concentration Range | EC50 | Cls | Emax (%) |
|---|---|---|---|---|
| DAPA 2–5 | 1 μM–1 mM | 33 μM | 21–50 μM | 80.9 ± 8.2 |
| DIPA 1–7 | 1 nM–1 mM | 1 μM | 0.5–2 μM | 63.5 ± 3.5 |
| DIPA 1–8 | 1 nM–100 μM | 41 nM | 28–61 nM | 88.3 ± 2.2 |
| DIPA 1–9 | 1 nM–100 μM | 72 nM | 42–123 nM | 79 ± 1 |
| DIPA 1–10 | 1 nM–1 mM | 460 nM | 251–977 nM | 80.6 ± 1.8 |
| Code | Chemical Name | Chemical Structure |
|---|---|---|
| DAPA 2–5 | 1-Di(sec-butyl)phosphinoyl-pentane | ![]() |
| DIPA 1–7 | 1-Diisopropyl-phosphinoyl-heptane | ![]() |
| DIPA 1–8 | 1-Diisopropyl-phosphinoyl-octane | ![]() |
| DIPA 1–9 | 1-Diisopropyl-phosphinoyl-nonane | ![]() |
| DIPA 1–10 | 1-Diisopropyl-phosphinoyl-decane | ![]() |
| DIPA 1–12 | 1-Diisopropyl-phosphinoyl-dodecane | ![]() |
© 2020 by the authors. Licensee MDPI, Basel, Switzerland. This article is an open access article distributed under the terms and conditions of the Creative Commons Attribution (CC BY) license (http://creativecommons.org/licenses/by/4.0/).
Share and Cite
Amato, A.; Terzo, S.; Lentini, L.; Marchesa, P.; Mulè, F. TRPM8 Channel Activation Reduces the Spontaneous Contractions in Human Distal Colon. Int. J. Mol. Sci. 2020, 21, 5403. https://doi.org/10.3390/ijms21155403
Amato A, Terzo S, Lentini L, Marchesa P, Mulè F. TRPM8 Channel Activation Reduces the Spontaneous Contractions in Human Distal Colon. International Journal of Molecular Sciences. 2020; 21(15):5403. https://doi.org/10.3390/ijms21155403
Chicago/Turabian StyleAmato, Antonella, Simona Terzo, Laura Lentini, Pierenrico Marchesa, and Flavia Mulè. 2020. "TRPM8 Channel Activation Reduces the Spontaneous Contractions in Human Distal Colon" International Journal of Molecular Sciences 21, no. 15: 5403. https://doi.org/10.3390/ijms21155403
APA StyleAmato, A., Terzo, S., Lentini, L., Marchesa, P., & Mulè, F. (2020). TRPM8 Channel Activation Reduces the Spontaneous Contractions in Human Distal Colon. International Journal of Molecular Sciences, 21(15), 5403. https://doi.org/10.3390/ijms21155403






