Steroid Therapy and Steroid Response in Autoimmune Pancreatitis
Abstract
1. Introduction
2. Steroid Response in Diagnosis of AIP
2.1. Mimickers of AIP
2.2. Atypical Cases of AIP and Their Steroid Responses
2.3. Development of Malignancies in the Course of AIP
3. Corticosteroid Treatments for AIP
3.1. Corticosteroid Therapy (Standard Steroid Therapy)
3.2. Rationale for Maintenance Steroid Therapy
4. Steroid Response in Cases of AIP
4.1. Steroid Response Ratio and the Duration until Response Recognition
4.2. Biomarkers for Assessing Steroid Response and Relapse
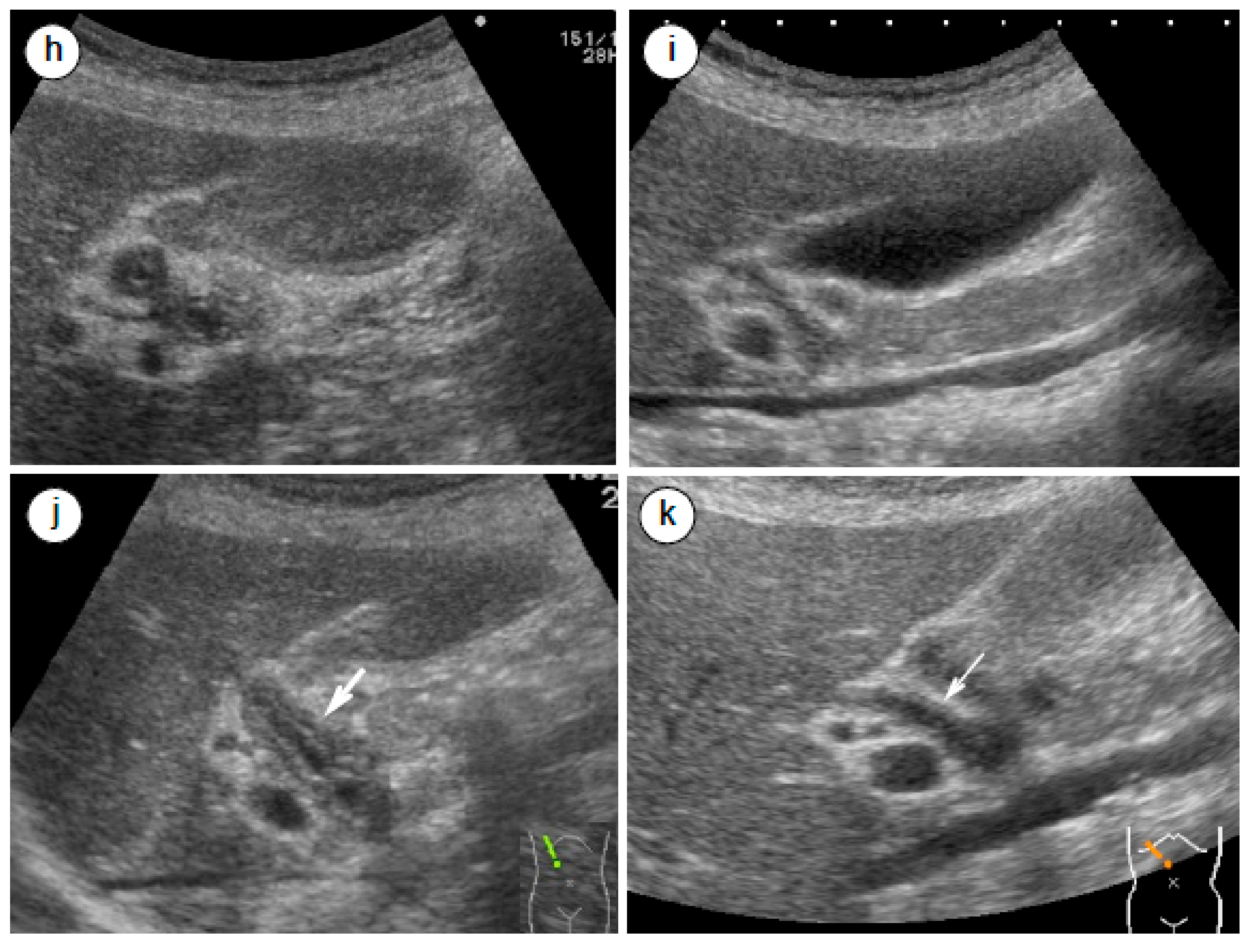
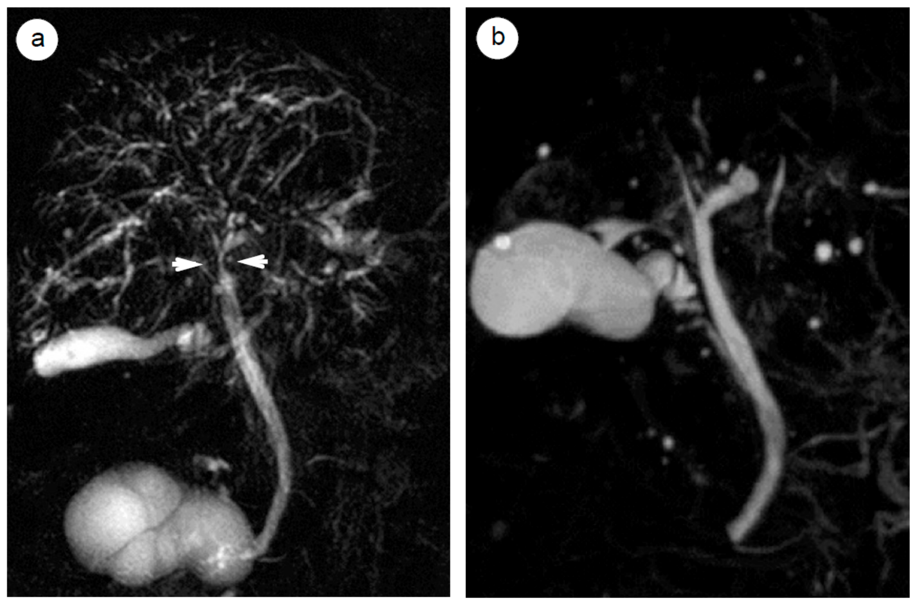
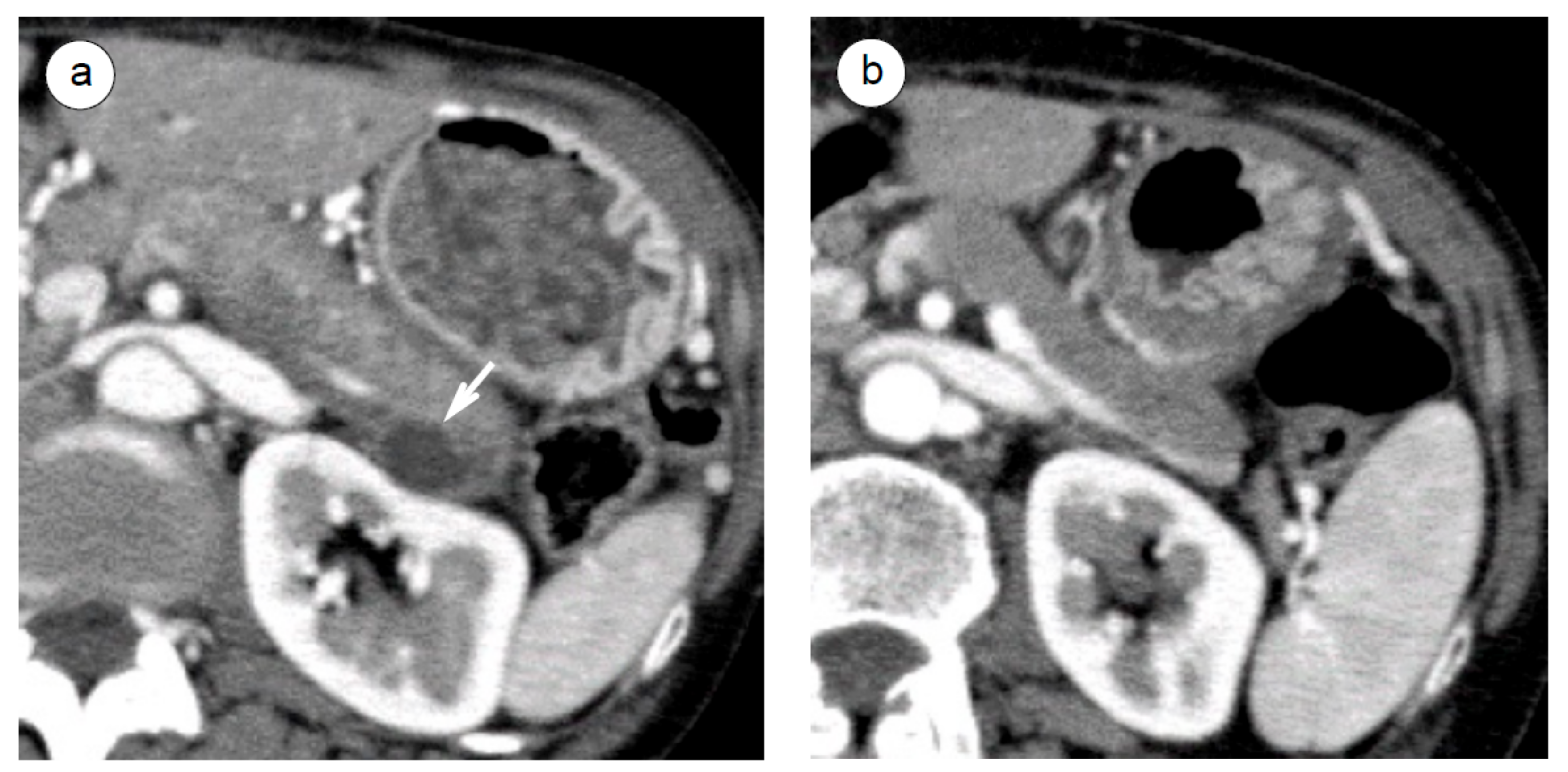
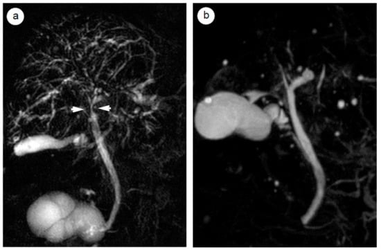
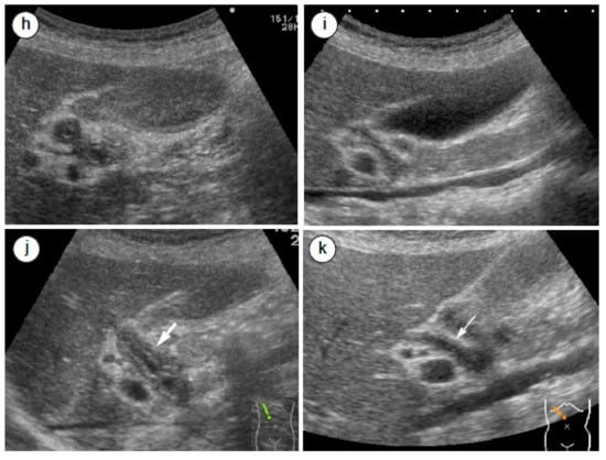
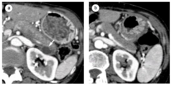
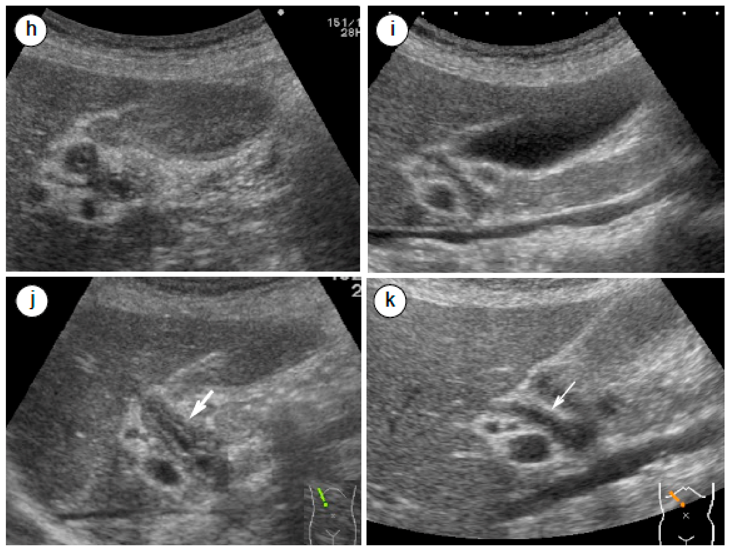
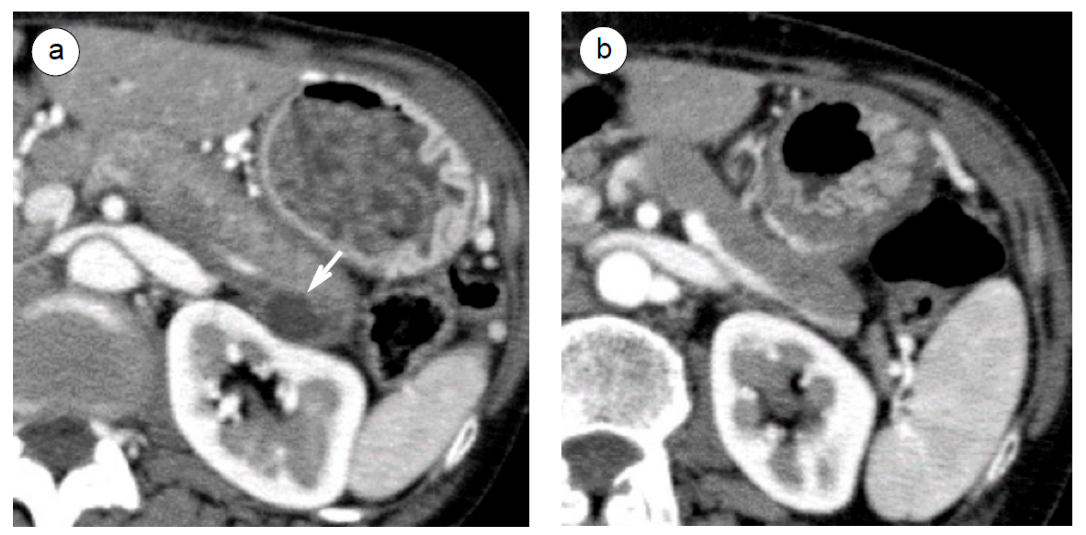
4.3. Radiological and Ultrasonographic Evaluation for Assessing AIP Response to Steroids
4.4. Steroid Response in Pancreatic Cystic Lesions
4.5. Extrapancreatic Lesions
4.6. Clinical Emergency in Cases of AIP or IgG4-Related Diseases
5. Steroid Therapy for Diabetic Control in AIP Patients
6. Recurrence of AIP and Factors Associated with Recurrence
7. Treatment Strategies for Steroid Refractory Cases
8. Conclusions
Author Contributions
Funding
Conflicts of Interest
References
- Kanno, A.; Masamune, A.; Okazaki, K.; Kamisawa, T.; Kawa, S.; Nishimori, I.; Tsuji, I.; Shimosegawa, T. Nationwide Epidemiological Survey of Autoimmune Pancreatitis in Japan in 2011. Pancreas 2015, 44, 535–539. [Google Scholar] [CrossRef] [PubMed]
- Shimosegawa, T.; Chari, S.T.; Frulloni, L.; Kamisawa, T.; Kawa, S.; Mino-Kenudson, M.; Kim, M.-H.; Kippel, G.; Lerch, M.M.; Lhr, M.; et al. International Consensus Diagnostic Criteria for autoimmune pancreatitis—Guidelines of the International Association of Pancreatology. Pancreas 2011, 40, 352–358. [Google Scholar] [CrossRef] [PubMed]
- Okazaki, K.; Tomiyama, T.; Mitsuyama, T.; Sumimoto, K.; Uchida, K. Diagnosis and classification of autoimmune pancreatitis. Autoimmun. Rev. 2014, 13, 451–458. [Google Scholar] [CrossRef] [PubMed]
- Kawa, S.; Okazaki, K.; Kamisawa, T.; Shimosegawa, T.; Tanaka, M.; Working members of Research Committee for Intractable Pancreatic Disease and Japan Pancreas Society. Japanese consensus guidelines for management of autoimmune pancreatitis: II. Extrapancreatic lesions, differential diagnosis. J. Gastroenterol. 2010, 45, 355–369. [Google Scholar] [CrossRef]
- Kamisawa, T.; Ryu, J.K.; Kim, M.H.; Okazaki, K.; Shimosegawa, T.; Chung, J.B. Recent Advances in the Diagnosis and Management of Autoimmune Pancreatitis: Similarities and Differences in Japan and Korea. Gut Liver 2013, 7, 394–400. [Google Scholar] [CrossRef]
- Ito, T.; Otsuki, M.; Itoi, T.; Shimosegawa, T.; Funakoshi, A.; Shiratori, K.; Naruse, S.; Kuroda, Y. The Research Committee of Intractable Diseases of the Pancreas Pancreatic diabetes in a follow-up survey of chronic pancreatitis in Japan. J. Gastroenterol. 2007, 42, 291–297. [Google Scholar] [CrossRef]
- Hirano, K.; Isogawa, A.; Tada, M.; Isayama, H.; Takahara, N.; Miyabayashi, K.; Mizuno, S.; Mohri, D.; Kawakubo, K.; Sasaki, T.; et al. Long-Term Prognosis of Autoimmune Pancreatitis in Terms of Glucose Tolerance. Pancreas 2012, 41, 691–695. [Google Scholar] [CrossRef]
- Masuda, A.; Shiomi, H.; Matsuda, T.; Takenaka, M.; Arisaka, Y.; Azuma, T.; Kutsumi, H. The relationship between pancreatic atrophy after steroid therapy and diabetes mellitus in patients with autoimmune pancreatitis. Pancreatology 2014, 14, 361–365. [Google Scholar] [CrossRef]
- Nishimori, I.; Tamakoshi, A.; Kawa, S.; Tanaka, S.; Takeuchi, K.; Kamisawa, T.; Saisho, H.; Hirano, K.; Okamura, K.; Yanagawa, N.; et al. Influence of steroid therapy on the course of diabetes mellitus in patients with autoimmune pancreatitis: Findings from a nationwide survey in Japan. Pancreas 2006, 32, 244–248. [Google Scholar] [CrossRef]
- Miyamoto, Y.; Kamisawa, T.; Tabata, T.; Hara, S.; Kuruma, S.; Chiba, K.; Inaba, Y.; Kuwata, G.; Fujiwara, T.; Egashira, H.; et al. Short and Long-Term Outcomes of Diabetes Mellitus in Patients with Autoimmune Pancreatitis after Steroid Therapy. Gut Liver 2012, 6, 501–504. [Google Scholar] [CrossRef]
- Noguchi, K.; Nakai, Y.; Mizuno, S.; Isayama, H.; Hirano, K.; Kanai, S.; Nakamura, T.; Uchino, R.; Takahara, N.; Kogure, H.; et al. Insulin secretion improvement during steroid therapy for autoimmune pancreatitis according to the onset of diabetes mellitus. J. Gastroenterol. 2019, 1–7. [Google Scholar] [CrossRef] [PubMed]
- Kamisawa, T.; Chari, S.T.; Lerch, M.M.; Kim, M.-H.; Gress, T.M.; Shimosegawa, T. Recent advances in autoimmune pancreatitis: Type 1 and type 2. Gut 2013, 62, 1373–1380. [Google Scholar] [CrossRef] [PubMed]
- Klöppel, G.; Detlefsen, S.; Chari, S.T.; Longnecker, D.S.; Zamboni, G. Autoimmune pancreatitis: The clinicopathological characteristics of the subtype with granulocytic epithelial lesions. J. Gastroenterol. 2010, 45, 787–793. [Google Scholar] [CrossRef] [PubMed]
- Matsubayashi, H.; Kakushima, N.; Takizawa, K.; Tanaka, M.; Imai, K.; Hotta, K.; Ono, H. Diagnosis of autoimmune pancreatitis. World J. Gastroenterol. 2014, 20, 16559–16569. [Google Scholar] [CrossRef]
- Detlefsen, S.; Zamboni, G.; Frulloni, L.; Feyerabend, B.; Braun, F.; Gerke, O.; Schlitter, A.M.; Esposito, I.; Klöppel, G. Clinical features and relapse rates after surgery in type 1 autoimmune pancreatitis differ from type 2: A study of 114 surgically treated European patients. Pancreatology 2012, 12, 276–283. [Google Scholar] [CrossRef]
- Culver, E.L.; Sadler, R.; Simpson, D.; Cargill, T.; Makuch, M.; Bateman, A.C.; Ellis, A.J.; Collier, J.; Chapman, R.W.; Klenerman, P.; et al. Elevated Serum IgG4 Levels in Diagnosis, Treatment Response, Organ Involvement, and Relapse in a Prospective IgG4-Related Disease UK Cohort. Am. J. Gastroenterol. 2016, 111, 733–743. [Google Scholar] [CrossRef]
- Deshpande, V.; Zen, Y.; Chan, J.K.; Yi, E.; Sato, Y.; Yoshino, T.; Klöppel, G.; Heathcote, J.G.; Khosroshahi, A.; Ferry, J.; et al. Consensus statement on the pathology of IgG4-related disease. Mod. Pathol. 2012, 25, 1181–1192. [Google Scholar] [CrossRef]
- Serrero, M.; Abitbol, V.; Allez, M.; Amiot, A.; Barthet, M.; Beaugerie, L.; Bellaiche, G.; Bouguen, G.; Bouhnik, Y.; Bourreille, A.; et al. Features of Autoimmune Pancreatitis Associated With Inflammatory Bowel Diseases. Clin. Gastroenterol. Hepatol. 2018, 16, 59–67. [Google Scholar]
- Hart, P.A.; Levy, M.J.; Smyrk, T.C.; Takahashi, N.; Abu Dayyeh, B.K.; Clain, J.E.; Gleeson, F.C.; Pearson, R.K.; Petersen, B.T.; Topazian, M.D.; et al. Clinical profiles and outcomes in idiopathic duct-centric chronic pancreatitis (type 2 autoimmune pancreatitis): The Mayo Clinic experience. Gut 2016, 65, 1702–1709. [Google Scholar] [CrossRef]
- Kawa, S.; Okazaki, K.; Notohara, K.; Watanabe, M.; Shimosegawa, T.; Study Group for Pancreatitis Complicated with Inflammatory Bowel Disease organized by The Research Committee for Intractable Pancreatic Disease (Chairman: Tooru Shimosegawa) and The Research Committee for Intractable Inflammatory Bowel Disease (Chairman: Mamoru Watanabe), both of which are Supported by the Ministry of Health, Labour, and Welfare of Japan. Autoimmune pancreatitis complicated with inflammatory bowel disease and comparative study of type 1 and type 2 autoimmune pancreatitis. J. Gastroenterol. 2015, 50, 805–815. [Google Scholar] [CrossRef]
- Buijs, J.; Cahen, D.L.; Van Heerde, M.J.; Rauws, E.A.; de Buy Wenniger, L.J.; Hansen, B.E.; Biermann, K.; Verheij, J.; Vleggaar, F.P.; Brink, M.A.; et al. The Long-Term Impact of Autoimmune Pancreatitis on Pancreatic Function, Quality of Life, and Life Expectancy. Pancreas 2015, 44, 1065–1071. [Google Scholar] [CrossRef]
- Matsubayashi, H.; Sawai, H.; Kimura, H.; Yamaguchi, Y.; Tanaka, M.; Kakushima, N.; Takizawa, K.; Kadooka, M.; Takao, T.; Hebbar, S.; et al. Characteristics of autoimmune pancreatitis based on serum IgG4 level. Dig. Liver Dis. 2011, 43, 731–735. [Google Scholar] [CrossRef]
- Imai, K.; Matsubayashi, H.; Fukutomi, A.; Uesaka, K.; Sasaki, K.; Ono, H. Endoscopic ultrasonography-guided fine needle aspiration biopsy using 22-gauge needle in diagnosis of autoimmune pancreatitis. Dig. Liver Dis. 2011, 43, 869–874. [Google Scholar] [CrossRef]
- Matsubayashi, H.; Matsui, T.; Yabuuchi, Y.; Imai, K.; Tanaka, M.; Kakushima, N.; Sasaki, K.; Ono, H. Endoscopic ultrasonography guided-fine needle aspiration for the diagnosis of solid pancreaticobiliary lesions: Clinical aspects to improve the diagnosis. World J. Gastroenterol. 2016, 22, 628–640. [Google Scholar] [CrossRef]
- Kanno, A.; Masamune, A.; Fujishima, F.; Iwashita, T.; Kodama, Y.; Katanuma, A.; Ohara, H.; Kitano, M.; Inoue, H.; Itoi, T.; et al. Diagnosis of autoimmune pancreatitis by EUS-guided FNA using a 22-gauge needle: A prospective multicenter study. Gastrointest. Endosc. 2016, 84, 797–804.e1. [Google Scholar] [CrossRef] [PubMed]
- Chang, M.-C.; Liang, P.-C.; Jan, I.-S.; Yang, C.-Y.; Tien, Y.-W.; Wei, S.-C.; Wong, J.-M.; Chang, Y.-T. Comparison and validation of International Consensus Diagnostic Criteria for diagnosis of autoimmune pancreatitis from pancreatic cancer in a Taiwanese cohort. BMJ Open 2014, 4, e005900. [Google Scholar] [CrossRef] [PubMed]
- Naitoh, I.; Nakazawa, T.; Hayashi, K.; Miyabe, K.; Shimizu, S.; Kondo, H.; Yoshida, M.; Yamashita, H.; Umemura, S.; Hori, Y.; et al. Clinical Evaluation of International Consensus Diagnostic Criteria for Type 1 Autoimmune Pancreatitis in Comparison With Japanese Diagnostic Criteria 2011. Pancreas 2013, 42, 1238–1244. [Google Scholar] [CrossRef]
- Kamisawa, T.; Okazaki, K.; Kawa, S.; Shimosegawa, T.; Tanaka, M.; Research Committee for Intractable Pancreatic Disease and Japan Pancreas Society. Japanese consensus guidelines for management of autoimmune pancreatitis: III. Treatment and prognosis of AIP. J. Gastroenterol. 2010, 45, 471–477. [Google Scholar] [CrossRef]
- Kubota, K.; Kamisawa, T.; Okazaki, K.; Kawa, S.; Hirano, K.; Hirooka, Y.; Uchida, K.; Shiomi, H.; Ohara, H.; Shimizu, K.; et al. Low-dose maintenance steroid treatment could reduce the relapse rate in patients with type 1 autoimmune pancreatitis: A long-term Japanese multicenter analysis of 510 patients. J. Gastroenterol. 2017, 52, 955–964. [Google Scholar] [CrossRef]
- Matsubayashi, H.; Kishida, Y.; Iwai, T.; Murai, K.; Yoshida, M.; Imai, K.; Yamamoto, Y.; Kikuyama, M.; Ono, H. Transpapillary biliary stenting is a risk factor for pancreatic stones in patients with autoimmune pancreatitis. Endosc. Int. Open 2016, 4, E912–E917. [Google Scholar] [CrossRef][Green Version]
- Matsubayashi, H.; Matsui, T.; Ono, H. Pancreatic Duct Drainage for the Treatment of a Huge Pancreatic Cyst Associated With Autoimmune Pancreatitis. Clin. Gastroenterol. Hepatol. 2015, 13, e151–e152. [Google Scholar] [CrossRef] [PubMed]
- Okazaki, K.; Chari, S.T.; Frulloni, L.; Lerch, M.M.; Kamisawa, T.; Kawa, S.; Kim, M.-H.; Levy, P.; Masamune, A.; Webster, G.; et al. International consensus for the treatment of autoimmune pancreatitis. Pancreatol. 2017, 17, 1–6. [Google Scholar] [CrossRef] [PubMed]
- Moon, S.-H.; Kim, M.-H.; Park, D.H.; Hwang, C.Y.; Park, S.J.; Lee, S.S.; Seo, D.W.; Lee, S.K. Is a 2-week steroid trial after initial negative investigation for malignancy useful in differentiating autoimmune pancreatitis from pancreatic cancer? A prospective outcome study. Gut 2008, 57, 1704–1712. [Google Scholar] [CrossRef] [PubMed]
- Matsubayashi, H.; Imai, K.; Kusumoto, K.; Ono, H. Suspected autoimmune pancreatitis—An indication for steroid treatment? Dig. Liver Dis. 2010, 42, 525–526. [Google Scholar] [CrossRef] [PubMed]
- Matsubayashi, H.; Furukawa, H.; Uesaka, K.; Sasaki, K.; Ono, H.; Hruban, R.H. Autoimmune pancreatitis accompanied by cholecystitis, periaortitis and pseudotumors of the liver. Case Rep. Gastroenterol. 2008, 2, 155–161. [Google Scholar] [CrossRef] [PubMed]
- Sasahira, N.; Kawabe, T.; Nakamura, A.; Shimura, K.; Shimura, H.; Itobayashi, E.; Asada, M.; Shiratori, Y.; Omata, M. Inflammatory pseudotumor of the liver and peripheral eosinophilia in autoimmune pancreatitis. World J. Gastroenterol. 2005, 11, 922–925. [Google Scholar] [CrossRef] [PubMed]
- Campbell, S.N.; Rubio, E.; Loschner, A.L. Clinical Review of Pulmonary Manifestations of IgG4-related Disease. Ann. Am. Thorac. Soc. 2014, 11, 1466–1475. [Google Scholar] [CrossRef]
- Matsubayashi, H.; Iwai, T.; Matsui, T.; Wada, T.; Kawata, N.; Ito, H.; Sasaki, K.; Uesaka, K.; Ono, H. Pancreatic cystic lesions with atypical steroid response should be carefully managed in cases of autoimmune pancreatitis. J. Gastroenterol. Hepatol. 2016, 31, 270–276. [Google Scholar] [CrossRef]
- Matsubayashi, H.; Takagaki, S.; Otsubo, T.; Iiri, T.; Kobayashi, Y.; Yokota, T.; Shichijo, K.; Iwafuchi, M.; Kijima, H. Pancreatic T-cell lymphoma with high level of soluble interleukin-2 receptor. J. Gastroenterol. 2002, 37, 863–867. [Google Scholar] [CrossRef]
- Matsubayashi, H.; Matsunaga, K.; Uesaka, K.; Fukutomi, A.; Sasaki, K.; Furukawa, H.; Ono, H. A case of pancreatic carcinoma with suspected autoimmune pancreatitis. Clin. J. Gastroenterol. 2009, 2, 59–63. [Google Scholar] [CrossRef]
- Abarrategi, A.; Mariñas-Pardo, L.; Mirones, I.; Rincón, E.; Garcia-Castro, J. Mesenchymal niches of bone marrow in cancer. Clin. Transl. Oncol. 2011, 13, 611–616. [Google Scholar] [CrossRef]
- Motosugi, U.; Ichikawa, T.; Yamaguchi, H.; Nakazawa, T.; Katoh, R.; Itakura, J.; Fujii, H.; Sato, T.; Araki, T.; Shimizu, M. Small invasive ductal adenocarcinoma of the pancreas associated with lymphoplasmacytic sclerosing pancreatitis. Pathol. Int. 2009, 59, 744–747. [Google Scholar] [CrossRef] [PubMed]
- Kamisawa, T.; Imai, M.; Chen, P.Y.; Tu, Y.; Egawa, N.; Tsuruta, K.; Okamoto, A.; Suzuki, M.; Kamata, N. Strategy for Differentiating Autoimmune Pancreatitis From Pancreatic Cancer. Pancreas 2008, 37, e62–e67. [Google Scholar] [CrossRef] [PubMed]
- Matsubayashi, H.; Uesaka, K.; Kanemoto, H.; Asakura, K.; Kakushima, N.; Tanaka, M.; Kimura, H.; Ono, H. Soluble IL-2 Receptor, a New Marker for Autoimmune Pancreatitis. Pancreas 2012, 41, 493–496. [Google Scholar] [CrossRef] [PubMed]
- Matsubayashi, H.; Sasaki, K.; Nagata, K.; Kanemoto, H.; Kiuchi, R.; Ono, H. Pancreatic carcinoma mimicking diffuse-type autoimmune pancreatitis: Important diagnostic role of pancreatic juice cytology using endoscopic naso-pancreatic drainage. J. Dig. Dis. 2012, 13, 287–290. [Google Scholar] [CrossRef] [PubMed]
- Rankovic, B.; Limbaeck-Stokin, C.; Dokic, M.; Stanisavljević, D.; Volavšek, M. Simultaneous occurrence of pancreatic mixed acinar-ductal adenocarcinoma and primary follicular lymphoma of the duodenum, accompanied by increased number of IgG4 plasma cells in tumor-free parenchyma as concomitant IgG4-related disease or reaction to tumor? A case report. Pol. J. Pathol. 2017, 68, 86–91. [Google Scholar] [PubMed]
- Zhang, X.; Zhang, P.; Peng, L.; Fei, Y.; Zhang, W.; Feng, R.; Zhang, W. Clinical characteristics of a concurrent condition of IgG4-RD and Castleman’s disease. Clin. Rheumatol. 2018, 37, 3387–3395. [Google Scholar] [CrossRef]
- Ryu, J.K.; Chung, J.B.; Park, S.W.; Lee, J.K.; Lee, K.T.; Moon, J.H.; Cho, K.B.; Kang, .; D.W, .; Hwang, J.H.; et al. Review of 67 patients with autoimmune pancreatitis in Korea: A multicenter nationwide study. Histopathology 2019, 74, 709–717. [Google Scholar] [CrossRef]
- Danlos, F.-X.; Rossi, G.M.; Blockmans, D.; Emmi, G.; Kronbichler, A.; Durupt, S.; Maynard, C.; Luca, L.; Garrouste, C.; Lioger, B.; et al. Antineutrophil cytoplasmic antibody-associated vasculitides and IgG4-related disease: A new overlap syndrome. Autoimmun. Rev. 2017, 16, 1036–1043. [Google Scholar] [CrossRef]
- Kawashima, H.; Utsugi, A.; Shibamiya, A.; Iida, K.; Mimura, N.; Ohashi, H.; Hase, R.; Kawakami, M.; Yanagisawa, T.; Hiraguri, M. Consideration concerning similarities and differences between ANCA-associated vasculitis and IgG-4-related diseases: Case series and review of literature. Immunol. Res. 2019, 67, 99–107. [Google Scholar] [CrossRef]
- Matsubayashi, H.; Uesaka, K.; Sasaki, K.; Shimada, S.; Takada, K.; Ishiwatari, H.; Ono, H. A Pancreatic Inflammatory Myofibroblastic Tumor with Spontaneous Remission: A Case Report with a Literature Review. Diagnostics 2019, 9, 150. [Google Scholar] [CrossRef] [PubMed]
- Nowak, V.; Agaimy, A.; Kristiansen, G.; Gütgemann, I. Increased IgG4-positive plasma cells in nodular-sclerosing Hodgkin lymphoma: A diagnostic pitfall. Histopathology 2019, 76, 244–250. [Google Scholar] [CrossRef] [PubMed]
- Kamisawa, T.; Shimosegawa, T.; Okazaki, K.; Nishino, T.; Watanabe, H.; Kanno, A.; Okumura, F.; Nishikawa, T.; Kobayashi, K.; Ichiya, T.; et al. Standard steroid treatment for autoimmune pancreatitis. Gut 2009, 58, 1504–1507. [Google Scholar] [CrossRef] [PubMed]
- Matsubayashi, H.; Yoneyama, M.; Nanri, K.; Sugimoto, S.; Shinjo, K.; Kakushima, N.; Tanaka, M.; Ito, S.; Takao, M.; Ono, H. Determination of steroid response by abdominal ultrasound in cases with autoimmune pancreatitis. Dig. Liver Dis. 2013, 45, 1034–1040. [Google Scholar] [CrossRef]
- Matsubayashi, H.; Uesaka, K.; Kanemoto, H.; Aramaki, T.; Nakaya, Y.; Kakushima, N.; Ono, H. Reduction of splenic volume by steroid therapy in cases with autoimmune pancreatitis. J. Gastroenterol. 2013, 48, 942–950. [Google Scholar] [CrossRef]
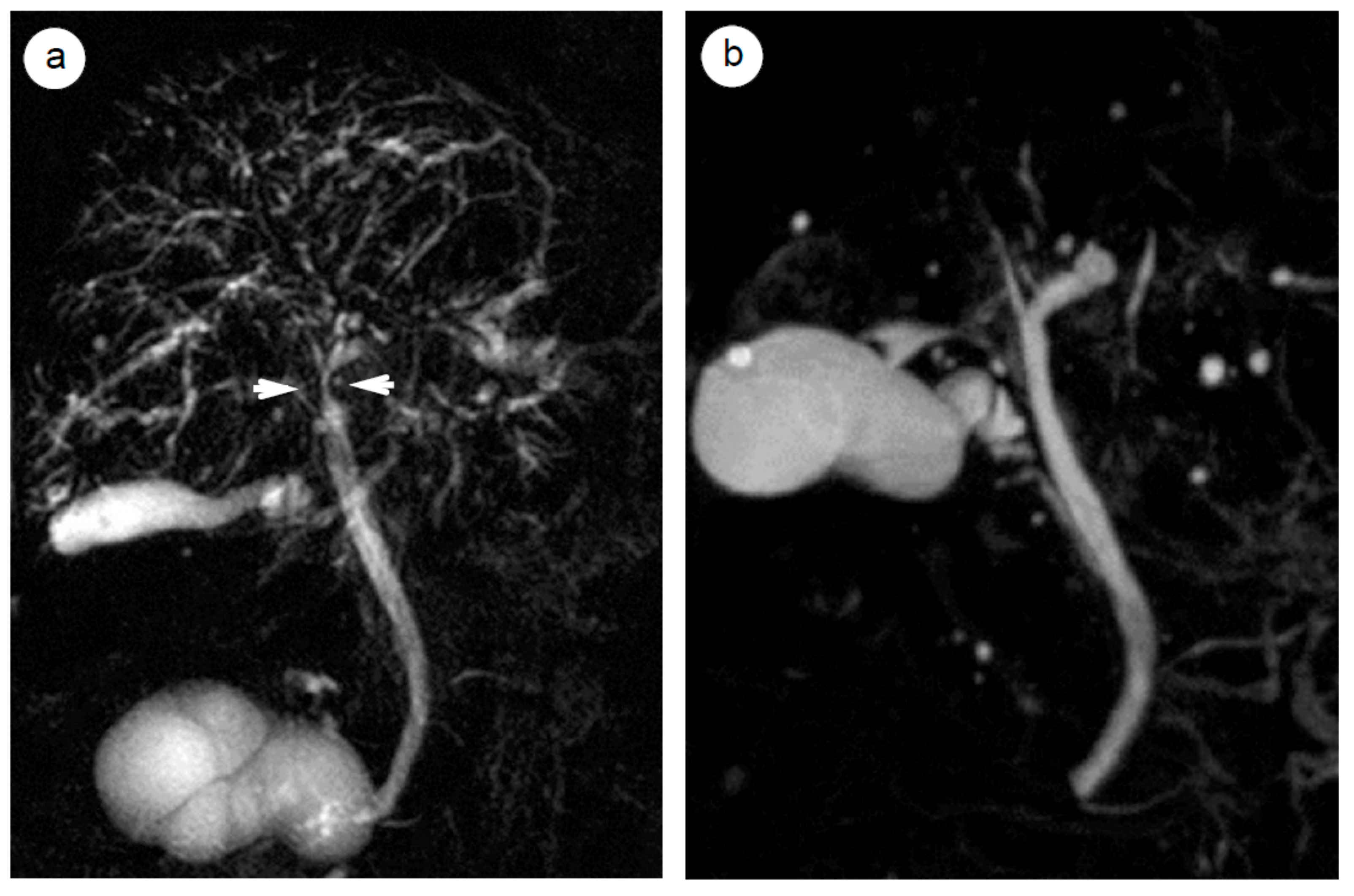
- Ishikawa, T.; Itoh, A.; Kawashima, H.; Ohno, E.; Itoh, Y.; Nakamura, Y.; Hiramatsu, T.; Miyahara, R.; Ohmiya, N.; Haruta, J.; et al. Peripancreatic vascular involvements of autoimmune pancreatitis. J. Gastroenterol. Hepatol. 2012, 27, 1790–1795. [Google Scholar] [CrossRef]
- Koshita, S.; Ito, K.; Fujita, N.; Noda, Y.; Kobayashi, G.; Horaguchi, J.; Kato, Y.; Yamashita, Y.; Kanno, Y.; Ogawa, T. Localized autoimmune pancreatitis, 9 mm in size, without strictures of the main pancreatic duct. Gastrointest. Endosc. 2012, 75, 920–922. [Google Scholar] [CrossRef]
- Fujie, S.; Matsubayashi, H.; Ishiwatari, H.; Hazama, H.; Ito, T.; Sasaki, K.; Ono, H. Intraductal Tubulopapillary Epithelial Proliferation Associated with Type 1 Autoimmune Pancreatitis. J. Gastrointestin Liver Dis. 2018, 27, 83–87. [Google Scholar]
- Nakaji, S.; Hirata, N.; Fujii, H.; Iwaki, K.; Shiratori, T.; Kobayashi, M.; Wakasugi, S.; Ishii, E.; Takeyama, H.; Hoshi, K. A case of focal autoimmune pancreatitis (AIP) mimicking an intraductal papillary mucinous neoplasm (IPMN). Clin. J. Gastroenterol. 2013, 6, 329–333. [Google Scholar] [CrossRef]
- Koshita, S.; Noda, Y.; Ito, K.; Kanno, Y.; Ogawa, T.; Masu, K.; Masaki, Y.; Kusunose, H.; Sakai, T.; Murabayashi, T.; et al. Branch Duct Intraductal Papillary Mucinous Neoplasms of the Pancreas Involving Type 1 Localized Autoimmune Pancreatitis with Normal Serum IgG4 Levels Successfully Diagnosed by Endoscopic Ultrasound-guided Fine-needle Aspiration and Treated without Pancreatic Surgery. Intern. Med. 2017, 56, 1163–1167. [Google Scholar]
- Kaneko, J.; Matsubayashi, H.; Satoh, T.; Sato, J.; Takinami, M.; Ishiwatari, H.; Uesaka, K.; Abe, M.; Sasaki, K.; Ono, H. Multilocular Cyst of Type 1 Autoimmune Pancreatitis Masquerading as Cancerization of Intraductal Papillary Mucinous Neoplasm. Intern. Med. 2019, 3561-19. [Google Scholar] [CrossRef] [PubMed]
- Matsubayashi, H.; Kishida, Y.; Yoshida, Y.; Yoshida, M.; Tanaka, Y.; Igarashi, K.; Imai, K.; Ono, H. Autoimmune pancreatitis with colonic stenosis: An unusual complication and atypical pancreatographic finding. BMC Gastroenterol. 2014, 14, 173. [Google Scholar] [CrossRef] [PubMed][Green Version]
- Kasahara, C.; Wada, Y.; Matsuo, M.; Machida, K.; Matsushita, A.; Ito, H. A Case of Pancreatitis with a Similar Course to Autoimmune Pancreatitis Occurring After Pembrolizumab Therapy in a Patient with Non-small Cell Lung Cancer. Haigan 2018, 58, 344–348. [Google Scholar] [CrossRef]
- Shiokawa, M.; Kodama, Y.; Yoshimura, K.; Kawanami, C.; Mimura, J.; Yamashita, Y.; Asada, M.; Kikuyama, M.; Okabe, Y.; Inokuma, T.; et al. Risk of Cancer in Patients With Autoimmune Pancreatitis. Am. J. Gastroenterol. 2013, 108, 610–617. [Google Scholar] [CrossRef] [PubMed]
- Ikeura, T.; Miyoshi, H.; Uchida, K.; Fukui, T.; Shimatani, M.; Fukui, Y.; Sumimoto, K.; Matsushita, M.; Takaoka, M.; Okazaki, K. Relationship between autoimmune pancreatitis and pancreatic cancer: A single-center experience. Pancreatology 2014, 14, 373–379. [Google Scholar] [CrossRef]
- Ishida, M.; Hodohara, K.; Yoshida, K.; Kagotani, A.; Iwai, M.; Yoshii, M.; Okuno, H.; Horinouchi, A.; Nakanishi, R.; Harada, A.; et al. Occurrence of anaplastic large cell lymphoma following IgG4-related autoimmune pancreatitis and cholecystitis and diffuse large B-cell lymphoma. Int. J. Clin. Exp. Pathol. 2013, 6, 2560–2568. [Google Scholar]
- Asano, J.; Watanabe, T.; Oguchi, T.; Kanai, K.; Maruyama, M.; Ito, T.; Muraki, T.; Hamano, H.; Arakura, N.; Matsumoto, A.; et al. Association Between Immunoglobulin G4–related Disease and Malignancy within 12 Years after Diagnosis: An Analysis after Longterm Followup. J. Rheumatol. 2015, 42, 2135–2142. [Google Scholar] [CrossRef]
- Yamamoto, M.; Takahashi, H.; Tabeya, T.; Suzuki, C.; Naishiro, Y.; Ishigami, K.; Yajima, H.; Shimizu, Y.; Obara, M.; Yamamoto, H.; et al. Risk of malignancies in IgG4-related disease. Mod. Rheumatol. 2012, 22, 414–418. [Google Scholar] [CrossRef]
- Bledsoe, J.R.; Wallace, Z.S.; Stone, J.H.; Deshpande, V.; Ferry, J.A. Lymphomas in IgG4-related disease: Clinicopathologic features in a Western population. Virchows Arch 2018, 472, 839–852. [Google Scholar] [CrossRef]
- Ahn, S.S.; Song, J.J.; Park, Y.-B.; Lee, S.-W. Malignancies in Korean patients with immunoglobulin G4-related disease. Int. J. Rheum. Dis. 2017, 20, 1028–1035. [Google Scholar] [CrossRef]
- Din, L.; Sheikh, M.; Kosaraju, N.; Smedby, K.E.; Bernatsky, S.; Berndt, S.I.; Skibola, C.F.; Nieters, A.; Wang, S.; McKay, J.D.; et al. Genetic overlap between autoimmune diseases and non-Hodgkin lymphoma subtypes. Genet. Epidemiol. 2019, 43, 844–863. [Google Scholar] [CrossRef] [PubMed]
- Masamune, A.; Nishimori, I.; Kikuta, K.; Tsuji, I.; Mizuno, N.; Iiyama, T.; Kanno, A.; Tachibana, Y.; Ito, T.; Kamisawa, T.; et al. Randomised controlled trial of long-term maintenance corticosteroid therapy in patients with autoimmune pancreatitis. Gut 2017, 66, 487–494. [Google Scholar] [CrossRef] [PubMed]
- Sah, R.P.; Chari, S.T.; Pannala, R.; Sugumar, A.; Clain, J.E.; Levy, M.J.; Pearson, R.K.; Smyrk, T.C.; Petersen, B.T.; Topazian, M.D.; et al. Differences in Clinical Profile and Relapse Rate of Type 1 Versus Type 2 Autoimmune Pancreatitis. Gastroenterology 2010, 139, 140–148. [Google Scholar] [CrossRef]
- Kamisawa, T.; Okazaki, K.; Kawa, S.; Ito, T.; Inui, K.; Irie, H.; Nishino, T.; Notohara, K.; Nishimori, I.; Tanaka, S.; et al. Amendment of the Japanese Consensus Guidelines for Autoimmune Pancreatitis, 2013 III. Treatment and prognosis of autoimmune pancreatitis. J. Gastroenterol. 2014, 49, 961–970. [Google Scholar] [PubMed]
- Shimizu, S.; Naitoh, I.; Nakazawa, T.; Hayashi, K.; Miyabe, K.; Kondo, H.; Nishi, Y.; Yoshida, M.; Umemura, S.; Hori, Y.; et al. Correlation between long-term outcome and steroid therapy in type 1 autoimmune pancreatitis: Relapse, malignancy and side effect of steroid. Scand. J. Gastroenterol. 2015, 50, 1411–1418. [Google Scholar] [CrossRef]
- Kubota, K.; Kamisawa, T.; Hirano, K.; Hirooka, Y.; Uchida, K.; Ikeura, T.; Shiomi, H.; Ohara, H.; Shimizu, K.; Arakura, N.; et al. Clinical course of type 1 autoimmune pancreatitis patients without steroid treatment: A Japanese multicenter study of 97 patients. J. Hepatobiliary Pancreat. Sci. 2018, 25, 223–230. [Google Scholar]
- Kawa, S.; Okazaki, K.; Kamisawa, T.; Kubo, K.; Ohara, H.; Hasebe, O.; Fujinaga, Y.; Irisawa, A.; Notohara, K.; Ito, T.; et al. Amendment of the Japanese Consensus Guidelines for Autoimmune Pancreatitis, 2013 II. Extrapancreatic lesions, differential diagnosis. J. Gastroenterol. 2014, 49, 765–784. [Google Scholar] [CrossRef][Green Version]
- Soliman, H.; Vullierme, M.-P.; Maire, F.; Hentic, O.; Ruszniewski, P.; Lévy, P.; Rebours, V. Risk factors and treatment of relapses in autoimmune pancreatitis: Rituximab is safe and effective. United Eur. Gastroenterol. J. 2019, 7, 1073–1083. [Google Scholar]
- Kubota, K.; Watanabe, S.; Uchiyama, T.; Kato, S.; Sekino, Y.; Suzuki, K.; Mawatari, H.; Iida, H.; Endo, H.; Fujita, K.; et al. Factors predictive of relapse and spontaneous remission of autoimmune pancreatitis patients treated/not treated with corticosteroids. J. Gastroenterol. 2011, 46, 834–842. [Google Scholar]
- Zhu, L.; Xue, H.-D.; Zhang, W.; Wang, Q.; Tan, B.; Lai, Y.-M.; Zheng, W.-Y.; Asbach, P.; Hamm, B.; Denecke, T.; et al. Pancreaticobiliary involvement in treated type 1 autoimmune pancreatitis: Imaging pattern and risk factors for disease relapse. Eur. J. Radiol. 2019, 120, 108673. [Google Scholar] [CrossRef]
- Shimizu, K.; Tahara, J.; Takayama, Y.; Akao, J.; Ajihara, T.; Nagao, K.; Shiratori, K.; Tokushige, K. Assessment of the Rate of Decrease in Serum IgG4 Level of Autoimmune Pancreatitis Patients in Response to Initial Steroid Therapy as a Predictor of Subsequent Relapse. Pancreas 2016, 45, 1–1346. [Google Scholar]
- Kawa, S.; Ito, T.; Watanabe, T.; Maruyama, M.; Hamano, H.; Maruyama, M.; Muraki, T.; Arakura, N. The Utility of Serum IgG4 Concentrations as a Biomarker. Int. J. Rheumatol. 2012, 2012, 1–4. [Google Scholar] [CrossRef] [PubMed]
- Culver, E.L.; Sadler, R.; Bateman, A.C.; Makuch, M.; Cargill, T.; Ferry, B.; Aalberse, R.; Barnes, E.; Rispens, T. Increases in IgE, Eosinophils, and Mast Cells Can be Used in Diagnosis and to Predict Relapse of IgG4-Related Disease. Clin. Gastroenterol. Hepatol. 2017, 15, 1444–1452.e6. [Google Scholar] [CrossRef] [PubMed]
- Lanzillotta, M.; Della-Torre, E.; Milani, R.; Bozzolo, E.; Bozzalla-Cassione, E.; Rovati, L.; Arcidiacono, P.G.; Partelli, S.; Falconi, M.; Ciceri, F.; et al. Increase of circulating memory B cells after glucocorticoid-induced remission identifies patients at risk of IgG4-related disease relapse. Arthritis Res. 2018, 20, 222. [Google Scholar]
- Mattoo, H.; Della-Torre, E.; Mahajan, V.S.; Stone, J.H.; Pillai, S. Circulating Th2 memory cells in IgG4-related disease are restricted to a defined subset of subjects with atopy. Allergy 2014, 69, 399–402. [Google Scholar] [CrossRef] [PubMed]
- Frulloni, L.; Lunardi, C. Serum IgG4 in autoimmune pancreatitis: A marker of disease severity and recurrence? Dig. Liver Dis. 2011, 43, 674–675. [Google Scholar]
- Kamisawa, T.; Tu, Y.; Egawa, N.; Okamoto, A.; Kodama, M.; Kamata, N. Can MRCP replace ERCP for the diagnosis of autoimmune pancreatitis? Abdom Imaging 2009, 34, 381–384. [Google Scholar] [CrossRef]
- Matsubayashi, H.; Furukawa, H.; Maeda, A.; Matsunaga, K.; Kanemoto, H.; Uesaka, K.; Fukutomi, A.; Ono, H. Usefulness of Positron Emission Tomography in the Evaluation of Distribution and Activity of Systemic Lesions Associated with Autoimmune Pancreatitis. Pancreatology 2009, 9, 694–699. [Google Scholar] [CrossRef]
- Kamisawa, T.; Egawa, N.; Nakajima, H.; Tsuruta, K.; Okamoto, A.; Kamata, N.; Funata, N. Comparison of radiological and histological findings in autoimmune pancreatitis. Hepatogastroenterology 2006, 53, 953–956. [Google Scholar]
- Shigekawa, M.; Yamao, K.; Sawaki, A.; Hara, K.; Takagi, T.; Bhatia, V.; Nishio, M.; Tamaki, T.; El-Amin, H.; Sayed, Z.-A.; et al. Is (18)F-fluorodeoxyglucose positron emission tomography meaningful for estimating the efficacy of corticosteroid therapy in patients with autoimmune pancreatitis? J. Hepatobiliary Pancreat. Sci. 2010, 17, 269–274. [Google Scholar] [CrossRef]
- Okabe, Y.; Ishida, Y.; Kaji, R.; Sugiyama, G.; Yasumoto, M.; Naito, Y.; Toyonaga, A.; Tsuruta, O.; Sata, M. Endoscopic ultrasonographic study of autoimmune pancreatitis and the effect of steroid therapy. J. Hepatobiliary Pancreat. Sci. 2012, 19, 266–273. [Google Scholar] [PubMed]
- Cho, M.K.; Moon, S.-H.; Song, T.J.; Kim, R.E.; Oh, D.W.; Park, D.H.; Lee, S.S.; Seo, D.W.; Lee, S.K.; Kim, M.-H. Contrast-Enhanced Endoscopic Ultrasound for Differentially Diagnosing Autoimmune Pancreatitis and Pancreatic Cancer. Gut Liver 2018, 12, 591–596. [Google Scholar] [CrossRef] [PubMed]
- Ohno, E.; Hirooka, Y.; Kawashima, H.; Ishikawa, T.; Tanaka, H.; Sakai, D.; Ishizu, Y.; Kuzuya, T.; Nakamura, M.; Honda, T. Feasibility and usefulness of endoscopic ultrasonography-guided shear-wave measurement for assessment of autoimmune pancreatitis activity: A prospective exploratory study. J. Med. Ultrason. 2009, 46, 425–433. [Google Scholar] [CrossRef] [PubMed]
- Kwon, J.H.; Kim, J.H.; Kim, S.Y.; Byun, J.H.; Kim, H.J.; Lee, M.-G.; Lee, S.S. Differentiating focal autoimmune pancreatitis and pancreatic ductal adenocarcinoma: Contrast-enhanced MRI with special emphasis on the arterial phase. Eur. Radiol. 2019, 29, 5763–5771. [Google Scholar] [PubMed]
- Choi, S.-Y.; Kim, S.H.; Kang, T.W.; Song, K.D.; Park, H.J.; Choi, Y.-H. Differentiating Mass-Forming Autoimmune Pancreatitis from Pancreatic Ductal Adenocarcinoma on the Basis of Contrast-Enhanced MRI and DWI Findings. Am. J. Roentgenol. 2016, 206, 291–300. [Google Scholar]
- Kubota, K.; Fujita, Y.; Sato, T.; Sekino, Y.; Hosono, K.; Kobayashi, N.; Fujisawa, N.; Kagawa, K.; Fujisawa, T.; Matsuhashi, N.; et al. Autoimmune pancreatitis associated with pancreatic cyst: How can we manage it? J. Hepatobiliary Pancreat. Sci. 2014, 21, 902–910. [Google Scholar]
- Kuraishi, Y.; Watanabe, T.; Muraki, T.; Ashihara, N.; Ozawa, M.; Nakamura, A.; Kanai, K.; Hamano, H.; Kawa, S. Effectiveness of steroid therapy for pancreatic cysts complicating autoimmune pancreatitis and management strategy for cyst-related complications. Scand. J. Gastroenterol. 2019, 54, 773–779. [Google Scholar]
- Donet, J.A.; Barkin, J.A.; Keihanian, T.; Nemeth, Z.; Barkin, J.S. Pancreatic Pseudocysts and Parenchymal Necrosis in Patients With Autoimmune Pancreatitis. Pancreas 2018, 47, 952–957. [Google Scholar]
- Matsubayashi, H.; Kubota, K. Pancreatic Cystic Lesions in Cases of Autoimmune Pancreatitis. Pancreas 2019, 48, e14. [Google Scholar]
- Chang, K.A.; Kim, T.N.; Lee, S.H. Autoimmune pancreatitis complicated by an infected pseudocyst. Clin. J. Gastroenterol. 2010, 3, 168–173. [Google Scholar]
- Yamamoto, K.; Itoi, T.; Sofuni, A.; Tsuchiya, T.; Tsuji, S.; Tanaka, R.; Tonozuka, R.; Honjo, M.; Mukai, S.; Kamada, K.; et al. The Role of Endoscopic Ultrasound-guided Drainage for Autoimmune Pancreatitis-associated Pancreatic Cysts: A Report of Five Cases and a Literature Review. Intern. Med. 2018, 57, 1523–1531. [Google Scholar] [CrossRef] [PubMed]
- Kawakami, H.; Kuwatani, M.; Shinada, K.; Yamato, H.; Hirano, S.; Kondo, S.; Yonemori, A.; Itoh, T.; Matsuno, Y.; Asaka, M. Autoimmune pancreatitis associated with hemorrhagic pseudocysts: A case report and literature review. Intern. Med. 2008, 47, 603–608. [Google Scholar] [CrossRef] [PubMed][Green Version]
- Kubota, K.; Wada, T.; Kato, S.; Mozaki, Y.; Yoneda, M.; Fujita, K.; Takahashi, H.; Inamori, M.; Abe, Y.; Kobayashi, N.; et al. Highly Active State of Autoimmune Pancreatitis With Mikulicz Disease. Pancreas 2010, 39, e6–e10. [Google Scholar] [PubMed]
- Zen, Y.; Fujii, T.; Sato, Y.; Masuda, S.; Nakanuma, Y. Pathological classification of hepatic inflammatory pseudotumor with respect to IgG4-related disease. Mod. Pathol. 2007, 20, 884–894. [Google Scholar] [CrossRef]
- Hara, N.; Kawaguchi, M.; Takeda, K.; Zen, Y. Retroperitoneal disorders associated with IgG4-related autoimmune pancreatitis. World J. Gastroenterol. 2014, 20, 16550–16558. [Google Scholar] [CrossRef]
- Salvadori, M.; Tsalouchos, A. Immunoglobulin G4-related kidney diseases: An updated review. World J. Nephrol. 2018, 7, 29–40. [Google Scholar] [CrossRef]
- Taniguchi, T.; Hamasaki, A.; Okamoto, M. A case of suspected lymphocytic hypophysitis and organizing pneumonia during maintenance therapy for autoimmune pancreatitis associated with autoimmune thrombocytopenia. Endocr. J. 2006, 53, 563–566. [Google Scholar] [CrossRef]
- Detiger, S.E.; Karim, F.; Monserez, D.; Verdijk, R.; van Hagen, M.; Paridaens, D.; van Laar, J. IgG4-related disease of the skull base: A case series of three patients with headache. World Neurosurg. 2019. [Google Scholar] [CrossRef]
- Detiger, S.E.; Karim, A.F.; Verdijk, R.M.; Van Hagen, P.M.; Van Laar, J.A.M.; Paridaens, D. The treatment outcomes in IgG4-related orbital disease: A systematic review of the literature. Acta Ophthalmol. 2019, 97, 451–459. [Google Scholar] [CrossRef]
- van den Elshout-den, U.D.; Spoto, C.P.E.; De Boer, M.; Leiner, T.; Leavis, H.L.; Leguit, R.J. First Report of IgG4 Related Disease Primary Presenting as Vertebral Bone Marrow Lesions. Front. Immunol. 2019, 10, 1910. [Google Scholar] [CrossRef]
- Chan, S.K.; Cheuk, W.; Chan, K.T.; Chan, J.K. IgG4-related sclerosing pachymeningitis: A previously unrecognized form of central nervous system involvement in IgG4-related sclerosing disease. Am. J. Surg. Pathol. 2009, 33, 1249–1252. [Google Scholar] [CrossRef] [PubMed]
- Obiorah, I.; Hussain, A.; Palese, C.; Azumi, N.; Benjamin, S.; Ozdemirli, M. IgG4-related disease involving the esophagus: A clinicopathological study. Dis. Esophagus 2017, 30, 1–7. [Google Scholar] [PubMed]
- Cheuk, W.; Chan, A.C.L.; Lam, W.-L.; Chow, S.-M.; Crowley, P.; Lloydd, R.; Campbell, I.; Thorburn, M.; Chan, J.K.C. IgG4-related Sclerosing Mastitis: Description of a New Member of the IgG4-related Sclerosing Diseases. Am. J. Surg. Pathol. 2009, 33, 1058–1064. [Google Scholar] [CrossRef] [PubMed]
- Fukuda, M.; Miyake, T.; Matsubara, A.; Ikai, N.; Tanaka, E.; Namura, T.; Wada, Y.; Noujima, M.; Moritani, S.; Murakami, K.; et al. A Case of Sclerosing Mesenteritis Mimicking IgG4-related Disease. Intern. Med. 2019. [Google Scholar] [CrossRef]
- Yabuuchi, Y.; Matsubayashi, H.; Matsuzaki, M.; Shiomi, A.; Moriguchi, M.; Kawamura, I.; Ito, I.; Ono, H. Colovesical fistula caused by glucocorticoid therapy for IgG4-related intrapelvic mass. World J. Clin. Cases 2015, 3, 1000–1004. [Google Scholar] [CrossRef]
- Matsui, S. IgG4-related respiratory disease. Mod. Rheumatol. 2019, 29, 251–256. [Google Scholar] [CrossRef]
- Zen, Y.; Kitagawa, S.; Minato, H.; Kurumaya, H.; Katayanagi, K.; Masuda, S.; Niwa, H.; Fujimura, M.; Nakanuma, Y. IgG4-positive plasma cells in inflammatory pseudotumor (plasma cell granuloma) of the lung. Hum. Pathol. 2005, 36, 710–717. [Google Scholar]
- Hoffmann, J.C.; Lin, C.Y.; Bhattacharyya, S.; Weinberg, O.K.; Chisholm, K.M.; Bayerl, M.; Cascio, M.; Venkataraman, G.; Allison, K.; Troxell, M.; et al. Rosai-Dorfman Disease of the Breast With Variable IgG4+ Plasma Cells: A Diagnostic Mimicker of Other Malignant and Reactive Entities. Am. J. Surg. Pathol. 2019, 43, 1653–1660. [Google Scholar]
- Tracht, J.; Reid, M.D.; Xue, Y.; Madrigal, E.; Sarmiento, J.M.; Kooby, D.; Alese, O.B.; Krasinskas, A.M. Rosai-Dorfman Disease of the Pancreas Shows Significant Histologic Overlap With IgG4-related Disease. Am. J. Surg. Pathol. 2019, 43, 1536–1546. [Google Scholar]
- Shibata, M.; Matsubayashi, H.; Aramaki, T.; Uesaka, K.; Tsutsumi, N.; Sasaki, K.; Ono, H. A case of IgG4-related hepatic inflammatory pseudotumor replaced by an abscess after steroid treatment. BMC Gastroenterol. 2016, 16, 89. [Google Scholar]
- Notohara, K.; Kamisawa, T.; Uchida, K.; Zen, Y.; Kawano, M.; Kasashima, S.; Sato, Y.; Shiokawa, M.; Uehara, T.; Yoshifuji, H.; et al. Gastrointestinal manifestation of immunoglobulin G4-related disease: Clarification through a multicenter survey. J. Gastroenterol. 2018, 53, 845–853. [Google Scholar] [CrossRef] [PubMed]
- Ma, Y.; Chen, L.; Xu, Y.; Han, Q.; Yu, B.; Yuan, Y.; Zhao, J.; Yang, Y.; Chen, J.; Han, F. Clinical and pathological features of patients with antineutrophil cytoplasmic antibody-associated vasculitides concomitant with IgG4-related disease. Int. J. Rheum. Dis. 2019, 22, 2143–2150. [Google Scholar]
- Kubota, K.; Iida, H.; Fujisawa, T.; Ogawa, M.; Inamori, M.; Saito, S.; Kakuta, Y.; Oshiro, H.; Nakajima, A. Clinical Significance of Swollen Duodenal Papilla in Autoimmune Pancreatitis. Pancreas 2007, 35, e51–e60. [Google Scholar] [PubMed]
- Ohyama, K.; Koike, H.; Takahashi, M.; Kawagashira, Y.; Iijima, M.; Watanabe, H.; Sobue, G. Immunoglobulin G4-related pathologic features in inflammatory neuropathies. Neurology 2015, 85, 1400–1407. [Google Scholar] [CrossRef] [PubMed]
- Anan, R.; Akiyama, M.; Kaneko, Y.; Kikuchi, J.; Suzuki, K.; Matsubara, S.; Takeuchi, T. Polymyositis with elevated serum IgG4 levels and abundant IgG4+ plasma cell infiltration: A case report and literature review. Medicine 2017, 96, e8710. [Google Scholar]
- Sato, Y.; Takeuchi, M.; Takata, K.; Ohno, K.; Iwaki, N.; Orita, Y.; Goto, N.; Hida, A.I.; Iwamoto, T.; Asano, N.; et al. Clinicopathologic analysis of IgG4-related skin disease. Mod. Pathol. 2013, 26, 523–532. [Google Scholar]
- Yamasue, M.; Nureki, S.-I.; Matsumoto, H.; Kan, T.; Hashimoto, T.; Ushijima, R.; Usagawa, Y.; Kadota, J.-I. Corticosteroid Therapy for a Patient with Relapsing Polychondritis Complicated by IgG4-Related Disease. Tohoku J. Exp. Med. 2016, 239, 223–230. [Google Scholar]
- Sawai, H.; Matsubayashi, H.; Tanaka, M.; Yamaguchi, Y.; Ono, H. A case of autoimmune pancreatitis with metachronous appearance of idiopathic thrombocytopenic purpura. Clin. J. Gastroenterol. 2010, 3, 243–247. [Google Scholar] [CrossRef]
- Okazaki, K.; Yanagawa, M.; Mitsuyama, T.; Uchida, K. Recent Advances in the Concept and Pathogenesis of IgG4-Related Disease in the Hepato-Bilio-Pancreatic System. Gut Liver 2014, 8, 462–470. [Google Scholar] [CrossRef]
- Nayar, M.; Charnley, R.; Scott, J.; Haugk, B.; Oppong, K. Autoimmune pancreatitis with multiorgan involvement. A case of pericardial involvement. JOP 2009, 10, 539–542. [Google Scholar]
- Horie, K.; Tada, N.; Yamaguchi, K.; Inazawa, K.; Endo, M.; Inoue, N. Immunoglobulin G4-related constrictive pericarditis identified by cytological examination of pericardial effusion: A case report. J. Med Case Rep. 2016, 10, 359. [Google Scholar] [CrossRef] [PubMed]
- Tajima, M.; Nagai, R.; Hiroi, Y. IgG4-Related Cardiovascular Disorders. Int. Hear. J. 2014, 55, 287–295. [Google Scholar]
- Alharbi, A.; Almadi, M.; Szilagyi, A. An Unusual Cause of Upper Gastrointestinal Bleeding. Gastroenterology 2012, 142, 211–413. [Google Scholar] [CrossRef] [PubMed]
- Hoes, J.N.; Jacobs, J.W.; Verstappen, S.M.; Bijlsma, J.W.; Van der Heijden, G.J. Adverse events of low- to medium-dose oral glucocorticoids in inflammatory diseases: A meta-analysis. Ann. Rheum. Dis. 2009, 68, 1833–1838. [Google Scholar] [CrossRef] [PubMed]
- Ito, T.; Nakamura, T.; Fujimori, N.; Niina, Y.; Igarashi, H.; Oono, T.; Uchida, M.; Kawabe, K.; Takayanagi, R.; Nishimori, I.; et al. Characteristics of pancreatic diabetes in patients with autoimmune pancreatitis. J. Dig. Dis. 2011, 12, 210–216. [Google Scholar]
- Lee, H.W.; Moon, S.-H.; Kim, M.-H.; Cho, D.H.; Jun, J.H.; Nam, K.; Song, T.J.; Park, D.H.; Lee, S.S.; Seo, D.-W.; et al. Relapse rate and predictors of relapse in a large single center cohort of type 1 autoimmune pancreatitis: Long-term follow-up results after steroid therapy with short-duration maintenance treatment. J. Gastroenterol. 2018, 53, 967–977. [Google Scholar]
- Nakamura, A.; Ozawa, M.; Watanabe, T.; Ito, T.; Muraki, T.; Hamano, H.; Koinuma, M.; Kawa, S. Predictive Factors for Autoimmune Pancreatitis Relapse After 3 Years of Maintenance Therapy. Pancreas 2018, 47, 1337–1343. [Google Scholar] [CrossRef]
- Xin, L.; Meng, Q.Q.; Hu, L.H.; Lin, H.; Pan, J.; Hao, L.; Liu, P.P.; Qian, W.; Wang, L.W.; Li, Z.S. Prediction and Management for Relapse of Type 1 Autoimmune Pancreatitis After Initial Steroid Treatment: A Long-Term Follow-up From China. Pancreas 2018, 47, 1110–1114. [Google Scholar]
- Miki, M.; Fujimori, N.; Oono, T.; Kawabe, K.; Ohno, A.; Matsumoto, K.; Teramatsu, K.; Tachibana, Y.; Ogawa, Y. Relapse patterns and predictors of IgG4-related diseases involved with autoimmune pancreatitis: A single-center retrospective study of 115 patients. J. Dig. Dis. 2019, 20, 152–158. [Google Scholar]
- Ishii, Y.; Serikawa, M.; Sasaki, T.; Fujimoto, Y.; Yamaguchi, A.; Ogawa, T.; Noma, B.; Okazaki, A.; Yukutake, M.; Ishigaki, T.; et al. Impact of sclerosing dacryoadenitis/sialadenitis on relapse during steroid therapy in patients with type 1 autoimmune pancreatitis. Scand. J. Gastroenterol. 2019, 54, 259–264. [Google Scholar]
- Kubota, K.; Iida, H.; Fujisawa, T.; Yoneda, M.; Inamori, M.; Abe, Y.; Kirikoshi, H.; Saito, S.; Ohshiro, H.; Kakuta, Y.; et al. Clinical factors predictive of spontaneous remission or relapse in cases of autoimmune pancreatitis. Gastrointest. Endosc. 2007, 66, 1142–1151. [Google Scholar] [PubMed]
- Miyazawa, M.; Takatori, H.; Shimakami, T.; Kawaguchi, K.; Kitamura, K.; Arai, K.; Matsuda, K.; Sanada, T.; Urabe, T.; Inamura, K.; et al. Prognosis of type 1 autoimmune pancreatitis after corticosteroid therapy-induced remission in terms of relapse and diabetes mellitus. PLoS ONE 2017, 12, e0188549. [Google Scholar] [CrossRef] [PubMed]
- Tacelli, M.; Celsa, C.; Magro, B.; Barresi, L.; Guastella, S.; Capurso, G.; Frulloni, L.; Cabibbo, G.; Cammà, C. Risk Factors for Rate of Relapse and Effects of Steroid Maintenance Therapy in Patients With Autoimmune Pancreatitis: Systematic Review and Meta-analysis. Clin. Gastroenterol. Hepatol. 2019, 17, 1061–1072. [Google Scholar] [CrossRef] [PubMed]
- Ohno, Y.; Kumagi, T.; Yokota, T.; Azemoto, N.; Tanaka, Y.; Tange, K.; Inada, N.; Miyata, H.; Imamura, Y.; Koizumi, M.; et al. Early pancreatic volume reduction on CT predicts relapse in patients with type 1 autoimmune pancreatitis treated with steroids. Orphanet J. Rare Dis. 2016, 11, 103. [Google Scholar] [CrossRef] [PubMed]
- Hart, P.A.; Topazian, M.D.; Witzig, T.E.; Clain, J.E.; Gleeson, F.C.; Klebig, R.R.; Levy, M.J.; Pearson, R.K.; Petersen, B.T.; Smyrk, T.C.; et al. Treatment of relapsing autoimmune pancreatitis with immunomodulators and rituximab: The Mayo Clinic experience. Gut 2013, 62, 1607–1615. [Google Scholar] [PubMed]
- Akiyama, M.; Takeuchi, T. IgG4-Related Disease: Beyond Glucocorticoids. Drugs Aging 2018, 35, 275–287. [Google Scholar] [CrossRef] [PubMed]
- Matsushita, M.; Ikeura, T.; Fukui, T.; Uchida, K.; Okazaki, K. Refractory autoimmune pancreatitis: Azathioprine or steroid pulse therapy? Am. J. Gastroenterol. 2008, 103, 1834–1835. [Google Scholar] [PubMed]
- Rovati, L.; Lanzillotta, M.; Bozzolo, E.; Arcidiacono, P.G.; Falconi, M.; Dagna, L.; Della-Torre, E. Methotrexate as Induction of Remission Therapy for Type 1 Autoimmune Pancreatitis. Am. J. Gastroenterol. 2019, 114, 831–833. [Google Scholar] [CrossRef]
- Buechter, M.; Klein, C.G.; Kloeters, C.; Schlaak, J.F.; Canbay, A.; Gerken, G.; Kahraman, A. Tacrolimus as a Reasonable Alternative in a Patient with Steroid-Dependent and Thiopurine-Refractory Autoimmune Pancreatitis with IgG4-Associated Cholangitis. Z. Gastroenterol. 2014, 52, 564–568. [Google Scholar]
- Lazarevic, I.; Banko, A.; Miljanovic, D.; Cupic, M. Immune-Escape Hepatitis B Virus Mutations Associated with Viral Reactivation upon Immunosuppression. Viruses 2019, 11, 778. [Google Scholar]
- Matsushita, M.; Yamashina, M.; Ikeura, T.; Shimatani, M.; Uchida, K.; Takaoka, M.; Okazaki, K. Effective steroid pulse therapy for the biliary stenosis caused by autoimmune pancreatitis. Am. J. Gastroenterol. 2007, 102, 220–221. [Google Scholar] [PubMed]
- Sugimoto, M.; Takagi, T.; Suzuki, R.; Konno, N.; Watanabe, K.; Nakamura, J.; Kikuchi, H.; Waragai, Y.; Asama, H.; Takasumi, M.; et al. Efficacy of Steroid Pulse Therapy for Autoimmune Pancreatitis Type 1: A Retrospective Study. PLoS ONE 2015, 10, e0138604. [Google Scholar]





| Type 1 AIP | Type 2 AIP | |
|---|---|---|
| Distribution | Asia > USA, Europe | Europe > USA > Asia |
| Age at onset | 60s–70s | 40s-50s |
| Sex | Male >> Female | Male = Female |
| Symptoms | Jaundice, Abdominal pain | Jaundice, Abdominal pain |
| Serology | IgG4, IgG, Autoantibodies | (−) |
| Pancreatic images | Enlarged (focal, diffuse) | Enlarged (focal, diffuse) |
| Pancreatic histology | LPSP * | IDCP with GEL # |
| Extrapancreatic lesions | Sclerosing cholangitis, Sialoadenitis, Retroperitoneal fibrosis, Interstitional nephritis, etc. | Inflammatory bowel disease |
| Steroid response | Mostly respond | Mostly respond |
| Relapse rate | 24–52% | 0–27% |
| Close Association | Possible Association with Type 1 AIP | Possible Association with IgG4-Related Lesion |
|---|---|---|
| with type 1 AIP | hypophysitis [107] | skull and vertebral lesions [108,109,110] |
| dacryoadenitis [103] | neurosensory hearing loss [4] | orbital lesions [109] |
| sialoadenitis [103] | chronic thyroiditis [4] | meningitis [111] |
| hilar lymphadenopathy [88] | inflammatory pseudotumors | esophagitis [112] |
| interstitial pneumonitis [104] | breast [113] | sclerosing mesenteritis [114,115] |
| sclerosing cholangitis [21,35,54] | lung [116,117] | Rosai-Dorfman disease [118,119] |
| retroperitoneal fibrosis [105] | liver [35,36,104,120] | gastroenteritis [121] |
| tubulointerstitial nephritis [106] | gastric ulcer [4] | vasculitis [122] |
| swelling of the papilla of Vater [123] | neuropathy [124] | |
| with type 2 AIP | hepatopathy [35] | myopathy [125] |
| inflammatory bowel diseases [2,4,12,14] (ulcerative colitis and Crohn’s disease) | aortitis [35] | dermatitis [126] |
| prostatitis [4,88] | chondritis [127] | |
| Schonlein-Henoch purpura [4,128,129] | ||
| autoimmune thrombocytopenia [4,128,129] |
© 2019 by the authors. Licensee MDPI, Basel, Switzerland. This article is an open access article distributed under the terms and conditions of the Creative Commons Attribution (CC BY) license (http://creativecommons.org/licenses/by/4.0/).
Share and Cite
Matsubayashi, H.; Ishiwatari, H.; Imai, K.; Kishida, Y.; Ito, S.; Hotta, K.; Yabuuchi, Y.; Yoshida, M.; Kakushima, N.; Takizawa, K.; et al. Steroid Therapy and Steroid Response in Autoimmune Pancreatitis. Int. J. Mol. Sci. 2020, 21, 257. https://doi.org/10.3390/ijms21010257
Matsubayashi H, Ishiwatari H, Imai K, Kishida Y, Ito S, Hotta K, Yabuuchi Y, Yoshida M, Kakushima N, Takizawa K, et al. Steroid Therapy and Steroid Response in Autoimmune Pancreatitis. International Journal of Molecular Sciences. 2020; 21(1):257. https://doi.org/10.3390/ijms21010257
Chicago/Turabian StyleMatsubayashi, Hiroyuki, Hirotoshi Ishiwatari, Kenichiro Imai, Yoshihiro Kishida, Sayo Ito, Kinichi Hotta, Yohei Yabuuchi, Masao Yoshida, Naomi Kakushima, Kohei Takizawa, and et al. 2020. "Steroid Therapy and Steroid Response in Autoimmune Pancreatitis" International Journal of Molecular Sciences 21, no. 1: 257. https://doi.org/10.3390/ijms21010257
APA StyleMatsubayashi, H., Ishiwatari, H., Imai, K., Kishida, Y., Ito, S., Hotta, K., Yabuuchi, Y., Yoshida, M., Kakushima, N., Takizawa, K., Kawata, N., & Ono, H. (2020). Steroid Therapy and Steroid Response in Autoimmune Pancreatitis. International Journal of Molecular Sciences, 21(1), 257. https://doi.org/10.3390/ijms21010257

