Xiaoyaosan Improves Depressive-Like Behaviors in Mice through Regulating Apelin-APJ System in Hypothalamus
Abstract
1. Introduction
2. Results
2.1. Effect of Xiaoyaosan on Physical Condition, Body Weight and Food Intake of CUMS-Induced Mice
2.2. Effect of Xiaoyaosan on Depressive-Like Behaviors of CUMS-Induced Mice
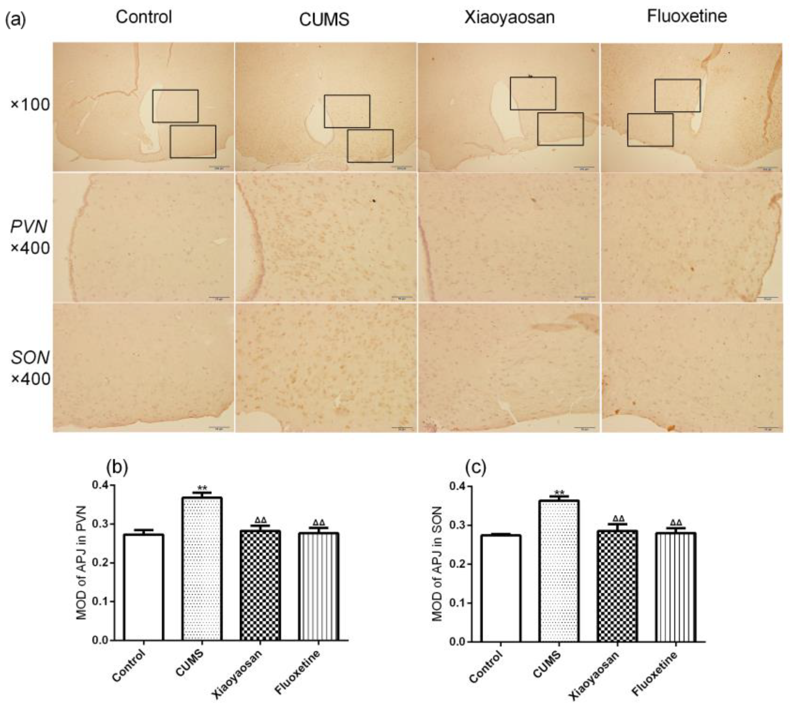
2.3. Effect of Xiaoyaosan on the Expression of Apelin and APJ in Hypothalamus of CUMS-Induced Mice
3. Discussion
4. Materials and Methods
4.1. Animals
4.2. Preparation of Drugs
4.3. CUMS Procedure and Drug Administration
4.4. Sucrose Preference Test
4.5. Forced Swimming Test
4.6. Open Field Test
4.7. Sample Collection and Preparation
4.8. Quantitative Real-Time Polymerase Chain Reaction (qRT-PCR) Analysis
4.9. Western Blot Analysis
4.10. Immunohistochemical Staining Analysis
4.11. Statistical Analysis
5. Conclusions
Supplementary Materials
Author Contributions
Acknowledgments
Conflicts of Interest
References
- Chrousos, G.P.; Gold, P.W. The concepts of stress and stress system disorders. Overview of physical and behavioral homeostasis. JAMA J. Am. Med. Assoc. 1992, 267, 1244–1252. [Google Scholar] [CrossRef]
 - Hemmerle, A.M.; Herman, J.P.; Seroogy, K.B. Stress, depression and Parkinson’s disease. Exp. Neurol. 2012, 233, 79–86. [Google Scholar] [CrossRef] [PubMed]
 - Huang, H.; Zhao, J.; Jiang, L.; Xie, Y.; Xia, Y.; Lv, R.; Dong, L. Paeoniflorin improves menopause depression in ovariectomized rats under chronic unpredictable mild stress. Int. J. Clin. Exp. Medi. 2015, 8, 5103. [Google Scholar]
 - Binder, E.B.; Nemeroff, C.B. The crf system, stress, depression and anxiety-insights from human genetic studies. Mol. Psychiatry 2010, 15, 574–588. [Google Scholar] [CrossRef] [PubMed]
 - Vale, W.; Spiess, J.; Rivier, C.; Rivier, J. Characterization of a 41-residue ovine hypothalamic peptide that stimulates secretion of corticotropin and beta-endorphin. Science 1981, 213, 1394–1397. [Google Scholar] [CrossRef] [PubMed]
 - Bremner, J.D. Does stress damage the brain? Biol. Psychiatry 1999, 45, 797–805. [Google Scholar] [CrossRef]
 - Evanson, N.K.; Tasker, J.G.; Hill, M.N.; Hillard, C.J.; Herman, J.P. Fast feedback inhibition of the HPA axis by glucocorticoids is mediated by endocannabinoid signaling. Endocrinology 2010, 151, 4811–4819. [Google Scholar] [CrossRef] [PubMed]
 - O’Dowd, B.F.; Heiber, M.; Chan, A.; Heng, H.H.Q.; Tsui, L.C.; Kennedy, J.L.; Shi, X.; Petronis, A.; George, S.R.; Nguyen, T. A human gene that shows identity with the gene encoding the angiotensin receptor is located on chromosome 11. Gene 1993, 136, 355–360. [Google Scholar] [CrossRef]
 - Tatemoto, K.; Hosoya, M.; Habata, Y.; Fujii, R.; Kakegawa, T.; Zou, M.X.; Kawamata, Y.; Fukusumi, S.; Hinuma, S.; Kitada, C. Isolation and characterization of a novel endogenous peptide ligand for the human APJ receptor. Biochem. Biophys. Res. Commun. 1998, 251, 471–476. [Google Scholar] [CrossRef] [PubMed]
 - Lee, D.K.; Saldivia, V.R.; Nguyen, T.; Cheng, R.; George, S.R.; O’Dowd, B.F. Modification of the terminal residue of apelin-13 antagonizes its hypotensive action. Endocrinology 2005, 146, 231–236. [Google Scholar] [CrossRef] [PubMed]
 - Langelaan, D.N.; Bebbington, E.M.; Reddy, T.; Rainey, J.K. Structural insight into g-protein coupled receptor binding by apelin. Biochemistry 2009, 48, 537–548. [Google Scholar] [CrossRef] [PubMed]
 - Wang, G.; Anini, Y.; Wei, W.; Qi, X.; Ocarroll, A.M.; Mochizuki, T.; Wang, H.Q.; Hellmich, M.R.; Englander, E.W.; Greeley, G.H., Jr. Apelin, a new enteric peptide: Localization in the gastrointestinal tract, ontogeny, and stimulation of gastric cell proliferation and of cholecystokinin secretion. Endocrinology 2013, 145, 1342–1348. [Google Scholar] [CrossRef] [PubMed]
 - Leeper, N.J.; Tedesco, M.M.; Kojima, Y.; Schultz, G.M.; Kundu, R.K.; Ashley, E.A.; Tsao, P.S.; Dalman, R.L.; Quertermous, T. Apelin prevents aortic aneurysm formation by inhibiting macrophage inflammation. Am. J. Physiol. 2009, 296, H1329–H1335. [Google Scholar]
 - Pope, G.R.; Roberts, E.M.; Lolait, S.J.; O’Carroll, A.M. Central and peripheral apelin receptor distribution in the mouse: Species differences with rat. Peptides 2012, 33, 139–148. [Google Scholar] [CrossRef] [PubMed]
 - De, M.N.; Lenkei, Z.; Llorens-Cortès, C. Cloning, pharmacological characterization and brain distribution of the rat apelin receptor. Neuroendocrinology 2000, 72, 400–407. [Google Scholar]
 - O’Carroll, A.M.; Don, A.L.J.; Lolait, S.J. APJ receptor mrna expression in the rat hypothalamic paraventricular nucleus: Regulation by stress and glucocorticoids. J. Neuroendocrinol. 2003, 15, 1095–1101. [Google Scholar] [CrossRef] [PubMed]
 - Morimoto, I.; Yamamoto, S.; Kai, K.; Fujihira, T.; Morita, E.; Eto, S. Centrally administered murine-leptin stimulates the hypothalamus-pituitary-adrenal axis through arginine-vasopressin. Neuroendocrinology 2000, 71, 366–374. [Google Scholar] [CrossRef] [PubMed]
 - Kagiyama, S.; Fukuhara, M.; Matsumura, K.; Lin, Y.; Fujii, K.; Iida, M. Central and peripheral cardiovascular actions of apelin in conscious rats. Regul. Pept. 2005, 125, 55–59. [Google Scholar] [PubMed]
 - Taheri, S.M.K.; Cohen, M.; Sujkovic, E.; Kennedy, A.; Dhillo, W.; Dakin, C.; Sajedi, A.; Ghatei, M.; Bloom, S. The effects of centrally administered apelin-13 on food intake, water intake and pituitary hormone release in rats. Biochem. Biophys. Res. Commun. 2002, 291, 1208–1212. [Google Scholar] [CrossRef] [PubMed]
 - Meng, Z.Z.; Chen, J.X.; Jiang, Y.M.; Zhang, H.T. Effect of xiaoyaosan decoction on learning and memory deficit in rats induced by chronic immobilization stress. Evid. Based Complement. Alternat. Med. 2013, 2013, 297154. [Google Scholar] [PubMed]
 - Ding, X.F.; Zhao, X.H.; Tao, Y.; Zhong, W.C.; Fan, Q.; Diao, J.X.; Liu, Y.L.; Chen, Y.Y.; Chen, J.X.; Lv, Z.P. Xiao yao san improves depressive-like behaviors in rats with chronic immobilization stress through modulation of locus coeruleus-norepinephrine system. Evid. Based Complement. Alternat. Med. 2014, 2014, 605914. [Google Scholar] [CrossRef] [PubMed]
 - Tian, J.S.; Peng, G.J.; Gao, X.X.; Zhou, Y.Z.; Xing, J.; Qin, X.M.; Du, G.H. Dynamic analysis of the endogenous metabolites in depressed patients treated with TCM formula Xiaoyaosan using urinary (1)H NMR-based metabolomics. J. Ethnopharmacol. 2014, 158, 1–10. [Google Scholar] [CrossRef] [PubMed]
 - Xu, Y.; Ku, B.; Lu, T.; Yao, H.; Jiang, W.; Ma, X.; Li, X. Curcumin reverses the effects of chronic stress on behavior, the HPA axis, BDNF expression and phosphorylation of CREB. Brain Res. 2006, 1122, 56–64. [Google Scholar] [CrossRef] [PubMed]
 - Pothion, S.; Bizot, J.C.; Trovero, F.; Belzung, C. Strain differences in sucrose preference and in the consequences of unpredictable chronic mild stress. Behav. Brain Res. 2004, 155, 135–146. [Google Scholar] [CrossRef] [PubMed]
 - Walsh, R.N.; Cummins, R.A. The open-field test: A critical review. Psychol. Bull. 1976, 83, 482–504. [Google Scholar] [CrossRef] [PubMed]
 - Wan, Q.; Gao, K.; Rong, H.; Wu, M.; Wang, H.; Wang, X.; Wang, G.; Liu, Z. Histone modifications of the crhr1 gene in a rat model of depression following chronic stress. Behav. Brain Res. 2014, 271, 1–6. [Google Scholar] [CrossRef] [PubMed]
 - Xiong, Z.; Jiang, B.; Wu, P.F.; Tian, J.; Shi, L.L.; Gu, J.; Hu, Z.L.; Fu, H.; Wang, F.; Chen, J.G. Antidepressant effects of a plant-derived flavonoid baicalein involving extracellular signal-regulated kinases cascade. Biol. Pharm. Bull. 2011, 34, 253–259. [Google Scholar] [CrossRef] [PubMed]
 - Norcross, M.; Poonam, M.; Enoch, A.J.; Karlsson, R.M.; Brigman, J.L.; Cameron, H.A.; Harvey-White, J.; Holmes, A. Effects of adolescent fluoxetine treatment on fear-, anxiety- or stress-related behaviors in C57BL/6J or BALB/cJ mice. Psychopharmacology 2008, 200, 413–424. [Google Scholar] [CrossRef] [PubMed]
 - Li, Q.; Zhao, H.; Zhao, M.; Zhang, Z.; Li, Y. Chronic green tea catechins administration prevents oxidative stress-related brain aging in C57BL/6J mice. Brain Res. 2010, 1353, 28–35. [Google Scholar] [CrossRef] [PubMed]
 - Licinio-Paixao, J. Hyperinsulinemia; a mediator of decreased food intake and weight loss in anorexia nervosa and major depression. Med. Hypotheses 1989, 28, 125–130. [Google Scholar] [CrossRef]
 - Fichtner, C.G.; Braun, B.G. Hyperphagia and weight loss during fluoxetine treatment. Ann. Pharmacother. 1994, 28, 1350–1352. [Google Scholar] [CrossRef] [PubMed]
 - Cheer, S.; Nz, D.C.; Goa, K. Fluoxetine: A review of its therapeutic potential in the treatment of depression associated with physical illness. Drugs 2001, 61, 81–110. [Google Scholar] [CrossRef] [PubMed]
 - Yen, T.T.; Fuller, R.W. Preclinical pharmacology of fluoxetine, a serotonergic drug for weight loss. Am. J. Clin. Nutr. 1992, 55, 177S–180S. [Google Scholar] [CrossRef] [PubMed]
 - Jallo, M.K.; Toma, N.K. Diabetes and depression: The impact of fluoxetine on glycemic control. Eur. Psychiatry 2007, 22, S27. [Google Scholar]
 - Aboulfotouh, S. Behavioral effects of nicotinic antagonist mecamylamine in a rat model of depression: Prefrontal cortex level of bdnf protein and monoaminergic neurotransmitters. Psychopharmacology 2015, 232, 1095–1105. [Google Scholar]
 - Willner, P.; Towell, A.; Sampson, D.; Sophokleous, S.; Muscat, R. Reduction of sucrose preference by chronic unpredictable mild stress, and its restoration by a tricyclic antidepressant. Psychopharmacology 1987, 93, 358–364. [Google Scholar] [CrossRef] [PubMed]
 - Borsini, F.; Meli, A. Is the forced swimming test a suitable model for revealing antidepressant activity? Psychopharmacology 1988, 94, 147–160. [Google Scholar] [CrossRef] [PubMed]
 - Stanford, S.C. The open field test: Reinventing the wheel. J. Psychopharmacol. 2007, 21, 134–136. [Google Scholar] [CrossRef] [PubMed]
 - Cowen, P.J. Not fade away: The hpa axis and depression. Psychol. Med. 2010, 40, 1–4. [Google Scholar] [CrossRef] [PubMed]
 - Bakshi, V.P.; Kalin, N.H. Corticotropin-releasing hormone and animal models of anxiety: Gene-environment interactions. Biol. Psychiatry 2000, 48, 1175–1198. [Google Scholar] [CrossRef]
 - Habata, Y.; Fujii, R.; Hosoya, M.; Fukusumi, S.; Kawamata, Y.; Hinuma, S.; Kitada, C.; Nishizawa, N.; Murosaki, S.; Kurokawa, T. Apelin, the natural ligand of the orphan receptor APJ, is abundantly secreted in the colostrum. Biochim. Et Biophys. Acta 1999, 1452, 25–35. [Google Scholar] [CrossRef]
 - Devic, E.; Rizzoti, K.; Bodin, S.; Knibiehler, B.; Audigier, Y. Amino acid sequence and embryonic expression of msr/apj, the mouse homolog of Xenopus X-msr and human APJ. Mech. Dev. 1999, 84, 199–203. [Google Scholar] [CrossRef]
 - O’Carroll, A.M.; Selby, T.L.; Palkovits, M.; Lolait, S.J. Distribution of mRNA encoding B78/apj, the rat homologue of the human APJ receptor, and its endogenous ligand apelin in brain and peripheral tissues. Biochim. Biophys. Acta 2000, 1492, 72–80. [Google Scholar] [CrossRef]
 - Bodineau, L.; Taveau, C.; Hh, L.Q.S.; Osterstock, G.; Queguiner, I.; Moos, F.; Frugière, A.; Llorens-Cortes, C. Data supporting a new physiological role for brain apelin in the regulation of hypothalamic oxytocin neurons in lactating rats. Endocrinology 2011, 152, 3492–3503. [Google Scholar] [CrossRef] [PubMed]
 - Reauxle, G.A.; Morinville, A.; Burlet, A.; Llorenscortes, C.; Beaudet, A. Dehydration-induced cross-regulation of apelin and vasopressin immunoreactivity levels in magnocellular hypothalamic neurons. Endocrinology 2004, 145, 4392–4400. [Google Scholar]
 - Clarke, K.J.; Whitaker, K.W.; Reyes, T.M. Diminished metabolic responses to centrally-administered apelin-13 in diet-induced obese rats fed a high-fat diet. J. Neuroendocrinol. 2009, 21, 83–89. [Google Scholar] [CrossRef] [PubMed]
 - Newson, M.J.; Pope, G.R.; Roberts, E.M.; Lolait, S.J.; O’Carroll, A.M. Stress-dependent and gender-specific neuroregulatory roles of the apelin receptor in the hypothalamic-pituitary-adrenal axis response to acute stress. J. Endocrinol. 2013, 216, 99–109. [Google Scholar] [CrossRef] [PubMed]
 - Jiang, Y.M.; Li, X.J.; Meng, Z.Z.; Liu, Y.Y.; Zhao, H.B.; Li, N.; Yan, Z.Y.; Ma, Q.Y.; Zhang, H.T.; Chen, J.X. Effects of Xiaoyaosan on stress-induced anxiety-like behavior in rats: Involvement of CRF1 receptor. Evid. Based Complement. Alternat. Med. 2016, 2016, 1–9. [Google Scholar] [CrossRef] [PubMed]
 - Lv, S.Y.; Yang, Y.J.; Qin, Y.J.; Mo, J.R.; Wang, N.B.; Wang, Y.J.; Chen, Q. Central apelin-13 inhibits food intake via the CRF receptor in mice. Peptides 2011, 33, 132–138. [Google Scholar] [CrossRef] [PubMed]
 - Lacasse, J.R.; Leo, J. Serotonin and depression: A disconnect between the advertisements and the scientific literature. PLoS Med. 2005, 2, e392. [Google Scholar] [CrossRef] [PubMed]
 - Bruley-Rosset, M.; Vergnon, I. Interleukin-1 synthesis and activity in aged mice. Mechan. Ageing Dev. 1984, 24, 247–264. [Google Scholar] [CrossRef]
 - Chen, J.X.; Li, W.; Zhao, X.; Yang, J.X. Effects of the chinese traditional prescription Xiaoyaosan decoction on chronic immobilization stress-induced changes in behavior and brain BDNF, TrkB, and NT-3 in rats. Cell. Mol. Neurobiol. 2008, 28, 745–755. [Google Scholar] [CrossRef] [PubMed]
 - Ding, X.F.; Liu, Y.; Yan, Z.Y.; Li, X.J.; Ma, Q.Y.; Jin, Z.Y.; Liu, Y.; Li, Y.H.; Liu, Y.Y.; Xue, Z.; et al. Involvement of normalized glial fibrillary acidic protein expression in the hippocampi in antidepressant-like effects of xiaoyaosan on chronically stressed mice. Evid. Based Complement. Alternat. Med. 2017, 2017, 1960584. [Google Scholar] [CrossRef] [PubMed]
 - Tang, J.; Xue, W.; Xia, B.; Ren, L.; Tao, W.; Chen, C.; Zhang, H.; Wu, R.; Wang, Q.; Wu, H. Involvement of normalized NMDA receptor and mTOR-related signaling in rapid antidepressant effects of Yueju and ketamine on chronically stressed mice. Sci. Rep. 2015, 5, 13573. [Google Scholar] [CrossRef] [PubMed]
 - Hallam, K.T.; Horgan, J.C.; Norman, T.R. An investigation of the effect of tacrine and physostigmine on spatial working memory deficits in the olfactory bulbectomised rat. Behav. Brain Res. 2004, 153, 481–486. [Google Scholar] [CrossRef] [PubMed]
 - Zhao, H.B.; Jiang, Y.M.; Li, X.J.; Liu, Y.Y.; Bai, X.H.; Li, N.; Chen, J.X.; Liu, Q.; Yan, Z.Y.; Zhao, F.Z. Xiao yao san improves the anxiety-like behaviors of rats induced by chronic immobilization stress: The involvement of the jnk signaling pathway in the hippocampus. Biol. Pharm. Bull. 2017, 40, 187–194. [Google Scholar] [CrossRef] [PubMed][Green Version]
 - Paxinos, G.; Franklin, K.B.J. The Mouse Brain in Stereotaxic Coordinates; Academic Press: New York, NY, USA, 2001; pp. 41–43. [Google Scholar]
 - Rubin, G.J.; Melhem, M.F.; Barnes, E.L.; Tweardy, D.J. Quantitative immunohistochemical analysis of transforming growth factor-alpha and epidermal growth factor receptor in patients with squamous cell carcinoma of the head and neck. Cancer 1996, 78, 1284–1292. [Google Scholar]
 - Goldstein, J.; Borowsky, A.D.; Goyal, R.; Roland, J.T.; Arnold, S.; Gellert, L.L.; Clark, P.E.; Hameed, O.; Giannico, G.A. Membrane-associated guanylate kinase, Ww and Pdz domain-containing protein 2 (magi-2) in prostate cancer: An immunohistochemical study. Hum. Pathol. 2016, 36, A8. [Google Scholar]
 
Sample Availability: Samples of the compounds are available from the authors.  | 







| Gene | Sequences | |
|---|---|---|
| Apelin | forward | 5′-CTGCTCTGGCTCTCCTTGAC-3′ | 
| reverse | 5′-CTCGAAGTTCTGGGCTTCAC-3′ | |
| APJ | forward | 5′-CGCTCATTCCTGCCATCTAC-3′ | 
| reverse | 5′-AAGGTCAAGTCAGCCACTGC-3′ | 
© 2018 by the authors. Licensee MDPI, Basel, Switzerland. This article is an open access article distributed under the terms and conditions of the Creative Commons Attribution (CC BY) license (http://creativecommons.org/licenses/by/4.0/).
Share and Cite
Yan, Z.; Jiao, H.; Ding, X.; Ma, Q.; Li, X.; Pan, Q.; Wang, T.; Hou, Y.; Jiang, Y.; Liu, Y.; et al. Xiaoyaosan Improves Depressive-Like Behaviors in Mice through Regulating Apelin-APJ System in Hypothalamus. Molecules 2018, 23, 1073. https://doi.org/10.3390/molecules23051073
Yan Z, Jiao H, Ding X, Ma Q, Li X, Pan Q, Wang T, Hou Y, Jiang Y, Liu Y, et al. Xiaoyaosan Improves Depressive-Like Behaviors in Mice through Regulating Apelin-APJ System in Hypothalamus. Molecules. 2018; 23(5):1073. https://doi.org/10.3390/molecules23051073
Chicago/Turabian StyleYan, Zhiyi, Haiyan Jiao, Xiufang Ding, Qingyu Ma, Xiaojuan Li, Qiuxia Pan, Tingye Wang, Yajing Hou, Youming Jiang, Yueyun Liu, and et al. 2018. "Xiaoyaosan Improves Depressive-Like Behaviors in Mice through Regulating Apelin-APJ System in Hypothalamus" Molecules 23, no. 5: 1073. https://doi.org/10.3390/molecules23051073
APA StyleYan, Z., Jiao, H., Ding, X., Ma, Q., Li, X., Pan, Q., Wang, T., Hou, Y., Jiang, Y., Liu, Y., & Chen, J. (2018). Xiaoyaosan Improves Depressive-Like Behaviors in Mice through Regulating Apelin-APJ System in Hypothalamus. Molecules, 23(5), 1073. https://doi.org/10.3390/molecules23051073
        
